JavaScript is disabled in your browser. Please enable JavaScript to view this website.
AB102248

Rabbit Anti-Rat IgG H&L preadsorbed

Rabbit Anti-Rat IgG H&L preadsorbed

5

(1 Review)

|

(8 Publications)

Suitable for ICC, IHC-P, ELISA, WB. Preadsorbed to minimise non-specific binding and high background staining. Cited in 8 publications.

別名を表示する

Ig gamma-1 chain C region

6 Images
Immunohistochemistry (Formalin/PFA-fixed paraffin-embedded sections) - Rabbit Anti-Rat IgG H&L preadsorbed (AB102248)
  • IHC-P

Supplier Data

Immunohistochemistry (Formalin/PFA-fixed paraffin-embedded sections) - Rabbit Anti-Rat IgG H&L preadsorbed (AB102248)

Immunohistochemical analysis of paraffin-embedded human ovarian cancer tissue labeling CD16 with ab308607 at 1/1000 (0.93 ug/ml) followed by a ready to use LeicaDS9800 (Bond™ Polymer Refine Detection). Positive staining on stromal cells of human ovarian cancer. The section was incubated with ab308607 for 10 mins at room temperature, followed by anti-rat IgG antibody (ab102248) for 8 mins during the LeicaDS9800 kit staining procedure. The immunostaining was performed on a Leica Biosystems BOND® RX instrument. Counterstained with Hematoxylin. Secondary antibody only control : Secondary antibody is a ready to use LeicaDS9800 (Bond™ Polymer Refine Detection). Heat mediated antigen retrieval was performed with Tris-EDTA buffer (pH 9.0, Epitope Retrieval Solution2) for 10 mins.

Immunohistochemistry (Formalin/PFA-fixed paraffin-embedded sections) - Rabbit Anti-Rat IgG H&L preadsorbed (AB102248)
  • IHC-P

Supplier Data

Immunohistochemistry (Formalin/PFA-fixed paraffin-embedded sections) - Rabbit Anti-Rat IgG H&L preadsorbed (AB102248)

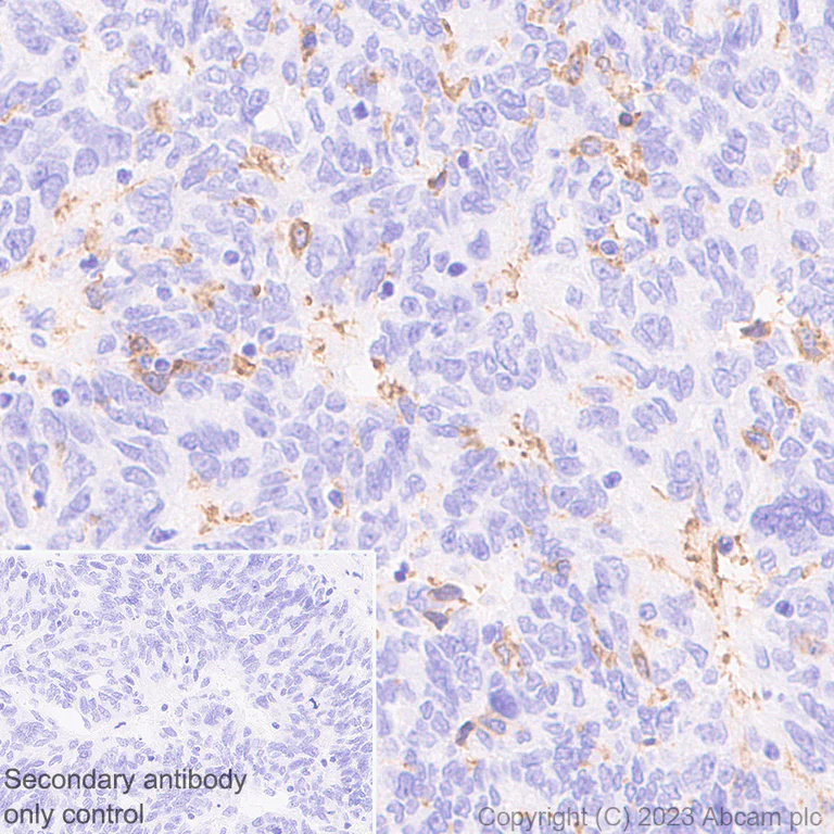
Immunohistochemical analysis of paraffin-embedded human spleen tissue labeling CD16 with ab308607 at 1/1000 (0.93 ug/ml) followed by a ready to use LeicaDS9800 (Bond™ Polymer Refine Detection). Positive staining on human spleen. The section was incubated with ab308607 for 10 mins at room temperature, followed by anti-rat IgG antibody (ab102248) for 8 mins during the LeicaDS9800 kit staining procedure. The immunostaining was performed on a Leica Biosystems BOND® RX instrument. Counterstained with Hematoxylin. Secondary antibody only control : Secondary antibody is a ready to use LeicaDS9800 (Bond™ Polymer Refine Detection). Heat mediated antigen retrieval was performed with Tris-EDTA buffer (pH 9.0, Epitope Retrieval Solution2) for 10 mins.

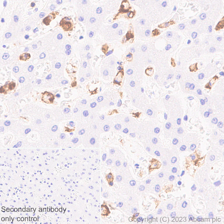
Immunohistochemistry (Formalin/PFA-fixed paraffin-embedded sections) - Rabbit Anti-Rat IgG H&L preadsorbed (AB102248)
  • IHC-P

Supplier Data

Immunohistochemistry (Formalin/PFA-fixed paraffin-embedded sections) - Rabbit Anti-Rat IgG H&L preadsorbed (AB102248)

Immunohistochemical analysis of paraffin-embedded human liver tissue labeling CD16 with ab308607 at 1/1000 (0.93 ug/ml) followed by a ready to use LeicaDS9800 (Bond™ Polymer Refine Detection). Positive staining on Kuffer cells of human liver. The section was incubated with ab308607 for 10 mins at room temperature, followed by anti-rat IgG antibody (ab102248) for 8 mins during the LeicaDS9800 kit staining procedure. The immunostaining was performed on a Leica Biosystems BOND® RX instrument. Counterstained with Hematoxylin. Secondary antibody only control : Secondary antibody is a ready to use LeicaDS9800 (Bond™ Polymer Refine Detection). Heat mediated antigen retrieval was performed with Tris-EDTA buffer (pH 9.0, Epitope Retrieval Solution2) for 10 mins.

Immunohistochemistry (Formalin/PFA-fixed paraffin-embedded sections) - Rabbit Anti-Rat IgG H&L preadsorbed (AB102248)
  • IHC-P

Supplier Data

Immunohistochemistry (Formalin/PFA-fixed paraffin-embedded sections) - Rabbit Anti-Rat IgG H&L preadsorbed (AB102248)

Immunohistochemical analysis of paraffin-embedded Human Alzheimer's Disease brain tissue labeling Ubiquitin (phospho S65) with ab318991 at 1/5000 (0.179 ug/ml) dilution, followed by a ready to use LeicaDS9800 (Bond™ Polymer Refine Detection).

Positive staining on human Alzheimer's Disease brain without alkaline phosphatase treatment (image A). No signal was detected when tissues were treated with alkaline phosphatase (image B).
The section was incubated with ab318991 for 30 mins at room temperature and followed by anti-rat IgG antibody (ab102248) for 8 mins during the LeicaDS9800 kit staining procedure.
The immunostaining was performed on a Leica Biosystems BOND® RX instrument

Counterstained with Hematoxylin.

Secondary antibody only control : Secondary antibody is a ready to use LeicaDS9800 (Bond™ Polymer Refine Detection).

Heat mediated antigen retrieval was performed with Tris-EDTA buffer (pH 9.0, Epitope Retrieval Solution2) for 20 mins

Immunohistochemistry (Formalin/PFA-fixed paraffin-embedded sections) - Rabbit Anti-Rat IgG H&L preadsorbed (AB102248)
  • IHC-P

Supplier Data

Immunohistochemistry (Formalin/PFA-fixed paraffin-embedded sections) - Rabbit Anti-Rat IgG H&L preadsorbed (AB102248)

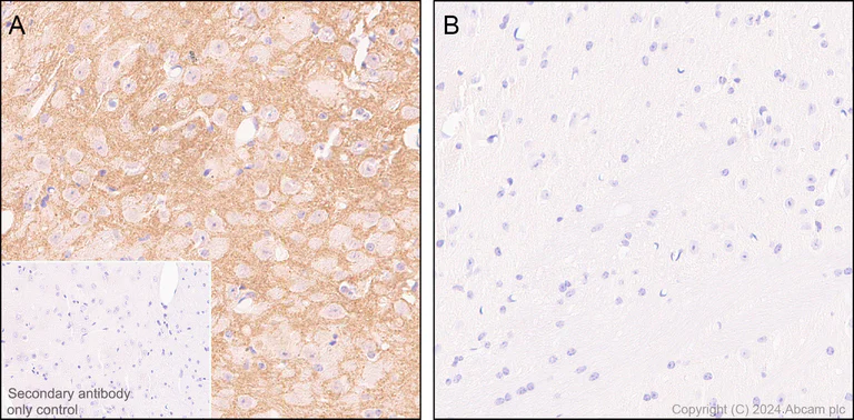
Immunohistochemical analysis of paraffin-embedded Mouse cerebrum tissue labeling Ubiquitin (phospho S65) with ab318991 at 1/5000 (0.179 ug/ml) dilution, followed by a ready to use LeicaDS9800 (Bond™ Polymer Refine Detection).

Positive staining on mouse cerebrum without alkaline phosphatase treatment (image A). No signal was detected when tissues were treated with alkaline phosphatase (image B).
The section was incubated with ab318991 for 30 mins at room temperature and followed by anti-rat IgG antibody (ab102248) for 8 mins during the LeicaDS9800 kit staining procedure.
The immunostaining was performed on a Leica Biosystems BOND® RX instrument

Counterstained with Hematoxylin.

Secondary antibody only control : Secondary antibody is a ready to use LeicaDS9800 (Bond™ Polymer Refine Detection).

Heat mediated antigen retrieval was performed with Tris-EDTA buffer (pH 9.0, Epitope Retrieval Solution2) for 20 mins

Immunohistochemistry (Formalin/PFA-fixed paraffin-embedded sections) - Rabbit Anti-Rat IgG H&L preadsorbed (AB102248)
  • IHC-P

Supplier Data

Immunohistochemistry (Formalin/PFA-fixed paraffin-embedded sections) - Rabbit Anti-Rat IgG H&L preadsorbed (AB102248)

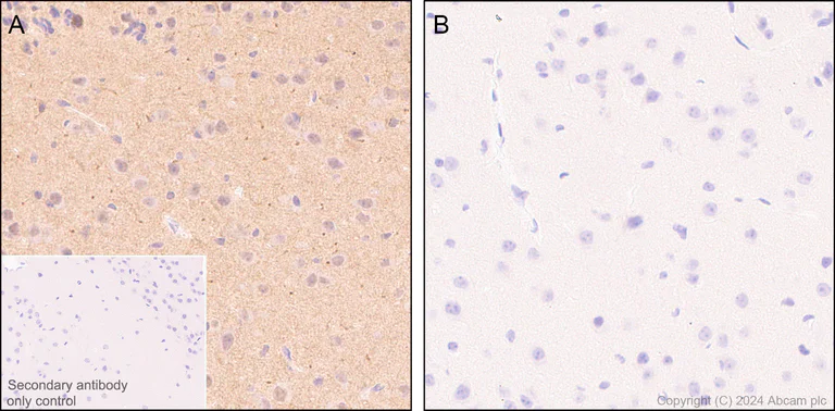
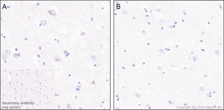
Immunohistochemical analysis of paraffin-embedded Mouse Alzheimer's Disease (FAD4T model) brain tissue labeling Ubiquitin (phospho S65) with ab318991 at 1/5000 (0.179 ug/ml) dilution, followed by a ready to use LeicaDS9800 (Bond™ Polymer Refine Detection).

Positive staining on mouse Alzheimer's Disease (FAD4T model) brain without alkaline phosphatase treatment (image A). No signal was detected when tissues were treated with alkaline phosphatase (image B).
The section was incubated with ab318991 for 30 mins at room temperature and followed by anti-rat IgG antibody (ab102248) for 8 mins during the LeicaDS9800 kit staining procedure.
The immunostaining was performed on a Leica Biosystems BOND® RX instrument

Counterstained with Hematoxylin.

Secondary antibody only control : Secondary antibody is a ready to use LeicaDS9800 (Bond™ Polymer Refine Detection).

Heat mediated antigen retrieval was performed with Tris-EDTA buffer (pH 9.0, Epitope Retrieval Solution2) for 20 mins

Key facts

宿主種

Rabbit

ターゲット種

Rat

ターゲットアイソタイプ

IgG

ターゲット特異性

Heavy & Light chains

最小限の交差反応性

Mouse, Sheep, Rabbit, Horse, Cow, Human

血清吸着処理済み

Yes

アプリケーション

WB, ICC, IHC-P, ELISA

applications

クローン性

Polyclonal

アイソタイプ

IgG

特異性

By immunoelectrophoresis and ELISA this antibody reacts specifically with rat IgG and with light chains common to other rat immunoglobulins. No antibody was detected against non-immunoglobulin serum proteins. Less than 1% cross reactivity to bovine, horse, human, mouse, rabbit and sheep IgG was detected. This antibody may cross react with IgG from other species.

Reactivity data

{ "title": "Reactivity Data", "filters": { "stats": ["", "Reactivity", "Dilution Info", "Notes"] }, "values": { "ICC": { "reactivity":"TESTED_AND_REACTS", "dilution-info":"1/200 - 1/2000", "notes":"<p></p>" }, "IHC-P": { "reactivity":"TESTED_AND_REACTS", "dilution-info":"1/200 - 1/2000", "notes":"<p></p>" }, "ELISA": { "reactivity":"TESTED_AND_REACTS", "dilution-info":"1/100 - 1/30000", "notes":"<p>Coating: Use 1/100 - 1/500 dilution; Primary: Use 1/1000 - 1/30000 dilution.</p>" }, "WB": { "reactivity":"TESTED_AND_REACTS", "dilution-info":"1/1000 - 1/30000", "notes":"<p>Colorimetric: Use 1/1000 - 1/10000 dilution; Chemiluminescent: Use 1/1000 - 1/30000 dilution.</p>" } } }

出荷温度及び保存条件

製品の状態
Liquid
精製方法
Affinity purification Immunogen
精製に関する特記事項
Antiserum was cross adsorbed using bovine, horse, human, mouse and sheep immunosorbents to remove cross reactive antibodies. This antibody was isolated by affinity chromatography using antigen coupled to agarose beads.
バッファー組成
pH: 6.8 - 7.4 Preservative: 0.09% Sodium azide Constituents: PBS
出荷温度
Blue Ice
短期保存期間
1-2 weeks
短期保存温度
+4°C
長期保存温度
+4°C
分注に関する情報
Upon delivery aliquot
保管に関する情報
Avoid freeze / thaw cycle

製品プロトコール

ターゲットの情報

See full target information

文献 (8)

Recent publications for all applications. Explore the full list and refine your search

Journal of hepatology 80:467-481 PubMed37972658

2023

Single cell-resolved study of advanced murine MASH reveals a homeostatic pericyte signaling module.

Applications

Unspecified application

Species

Unspecified reactive species

Sofie M Bendixen,Peter R Jakobsgaard,Daniel Hansen,Kamilla H Hejn,Mike K Terkelsen,Frederik A Bjerre,Annemette P Thulesen,Niels G Eriksen,Philip Hallenborg,Yana Geng,Trine V Dam,Frederik T Larsen,Charlotte W Wernberg,Janusa Vijayathurai,Emma A H Scott,Ann-Britt Marcher,Sönke Detlefsen,Lars Grøntved,Henrik Dimke,Rebecca Berdeaux,Thomas Q de Aguiar Vallim,Peter Olinga,Mette M Lauridsen,Aleksander Krag,Blagoy Blagoev,Kim Ravnskjaer

Nature immunology 24:1331-1344 PubMed37443284

2023

Transcription factor EGR2 controls homing and pathogenicity of T17 cells in the central nervous system.

Applications

Unspecified application

Species

Unspecified reactive species

Yuanyuan Gao,Yan Wang,Daniel Chauss,Alejandro V Villarino,Verena M Link,Hiroyuki Nagashima,Camille A Spinner,Vishal N Koparde,Nicolas Bouladoux,Michael S Abers,Timothy J Break,Laura B Chopp,Jung-Hyun Park,Jinfang Zhu,David L Wiest,Warren J Leonard,Michail S Lionakis,John J O'Shea,Behdad Afzali,Yasmine Belkaid,Vanja Lazarevic

Toxicologic pathology 49:755-772 PubMed33251977

2020

Impact of Preanalytical Factors During Histology Processing on Section Suitability for Digital Image Analysis.

Applications

Unspecified application

Species

Unspecified reactive species

Elizabeth A Chlipala,Mark Butters,Miles Brous,Jessica S Fortin,Roni Archuletta,Karen Copeland,Brad Bolon

International journal of molecular sciences 21: PubMed32545915

2020

A Flowable Placental Formulation Prevents Bleomycin-Induced Dermal Fibrosis in Aged Mice.

Applications

Unspecified application

Species

Unspecified reactive species

Sandeep Dhall,Anne Lerch,Nicholas Johnson,Vimal Jacob,Brielle Jones,Min Sung Park,Malathi Sathyamoorthy

Blood 135:1969-1982 PubMed32276277

2020

Platelet protein S limits venous but not arterial thrombosis propensity by controlling coagulation in the thrombus.

Applications

Unspecified application

Species

Unspecified reactive species

Sara Calzavarini,Raja Prince-Eladnani,François Saller,Luca Bologna,Laurent Burnier,Anne C Brisset,Claudia Quarroz,Maria Desiré Reina Caro,Vladimir Ermolayev,Yasuhiro Matsumura,José A Fernández,Tilman M Hackeng,John H Griffin,Anne Angelillo-Scherrer

Molecular cancer therapeutics 18:1544-1554 PubMed31213507

2019

Antibody-Based Delivery of Cytokine Payloads to Carbonic Anhydrase IX Leads to Cancer Cures in Immunocompetent Tumor-Bearing Mice.

Applications

Unspecified application

Species

Unspecified reactive species

Barbara Ziffels,Marco Stringhini,Philipp Probst,Tim Fugmann,Theo Sturm,Dario Neri

Scientific reports 9:2324 PubMed30787418

2019

Transcriptional regulation of Hepatic Stellate Cell activation in NASH.

Applications

Unspecified application

Species

Unspecified reactive species

Ann-Britt Marcher,Sofie M Bendixen,Mike K Terkelsen,Sonja S Hohmann,Maria H Hansen,Bjørk D Larsen,Susanne Mandrup,Henrik Dimke,Sönke Detlefsen,Kim Ravnskjaer

Journal of neuroinflammation 14:59 PubMed28320424

2017

The Alzheimer's disease risk factors apolipoprotein E and TREM2 are linked in a receptor signaling pathway.

Applications

Unspecified application

Species

Unspecified reactive species

Charlotte Jendresen,Vibeke Årskog,Michael R Daws,Lars N G Nilsson
View all publications

Abcam product promise

当社は、高品質な試薬を通じてお客様の研究を力強くサポートすることをお約束いたします。ご使用いただく各段階で、常にお客様をサポートできる体制を整えております。万が一、製品が期待通りに機能しない場合は、「Abcam Product Promise」による当社保証制度に基づき、安心してご利用いただけます。
保証に関する詳細については利用規約をご確認ください。

Please note: All products are 'FOR RESEARCH USE ONLY. NOT FOR USE IN DIAGNOSTIC OR THERAPEUTIC PROCEDURES'.

For licensing inquiries, please contact partnerships@abcam.com