JavaScript is disabled in your browser. Please enable JavaScript to view this website.
AB9659

Recombinant human Interferon gamma protein (Active)

Recombinant human Interferon gamma protein (Active)

Be the first to review this product! Submit a review

|

(8 Publications)

Recombinant human Interferon gamma protein (Active) is a Human Full Length protein, in the 1 to 144 aa range with >98% purity, < 1 EU/µg endotoxin level and suitable for western blot, SDS-PAGE, Functional studies and HPLC. The predicted molecular weight of ab9659 protein is 16.8 kDa.

- Save time and ensure accurate results- use our IFN-gamma protein as a control
- Optimal protein bioactivity and stability

別名を表示する

Interferon gamma, IFN-gamma, Immune interferon, IFNG

2 Images
Immunoprecipitation - Recombinant human Interferon gamma protein (Active) (AB9659)
  • IP

Lab

Immunoprecipitation - Recombinant human Interferon gamma protein (Active) (AB9659)

CXCL11 was immunoprecipitated from 0.35mg of THP-1 (human monocytic leukemia cell line) whole cell lysate with ab216157 at 1/30 dilution. Western blot was performed from the immunoprecipitate using ab216157 at 1/1000 dilution. VeriBlot for IP Detection Reagent (HRP) (ab131366), was used for detection at 1/5000 dilution.

Lane 1 : THP-1 (human monocytic leukemia cell line) treated with 200 ng/ml interferon-gamma (IFN-gamma, ab9659) and 50 ng/ml lipopolysaccharide (LPS) for 24 hours, then added 300 ng/ml Brefeldin A (BFA) for 20 hours, whole cell lysate 10ug (Input).
Lane 2 : ab216157 IP in THP-1 treated with 200 ng/ml interferon-gamma (IFN-gamma, ab9659) and 50 ng/ml lipopolysaccharide (LPS) for 24 hours, then added 300 ng/ml Brefeldin A (BFA) for 20 hours, whole cell lysate.
Lane 3 : Rabbit monoclonal IgG (ab172730) instead of ab216157 in THP-1 treated with 200 ng/ml interferon-gamma (IFN-gamma, ab9659) and 50 ng/ml lipopolysaccharide (LPS) for 24 hours, then added 300 ng/ml Brefeldin A (BFA) for 20 hours, whole cell lysate.

Blocking/Dilution buffer : 5% NFDM/TBST

All lanes:

Immunoprecipitation - Recombinant human Interferon gamma protein (Active) (ab9659)

true

Exposure time: 30s

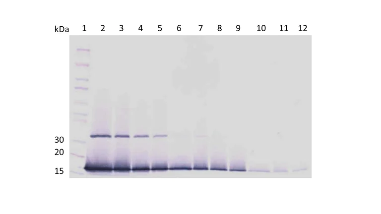
Western blot - Recombinant human Interferon gamma protein (Active) (AB9659)
  • WB

Supplier Data

Western blot - Recombinant human Interferon gamma protein (Active) (AB9659)

Lane 1:

Western blot - Anti-Interferon gamma antibody (<a href='/products/primary-antibodies/interferon-gamma-antibody-ab9657'>ab9657</a>)

Lanes 2 - 12:

Western blot - Anti-Interferon gamma antibody (<a href='/products/primary-antibodies/interferon-gamma-antibody-ab9657'>ab9657</a>) at 0.1 µg/mL

All lanes:

Western blot - Recombinant human Interferon gamma protein (Active) (ab9659)

Predicted band size: 19 kDa

false

Key facts

精製度

>98% SDS-PAGE

エンドトキシンレベル

< 1 EU/µg

発現系

Escherichia coli

タグ

Tag free

アプリケーション

SDS-PAGE, HPLC, WB, FuncS

applications

生物活性

Yes

生物学的活性

The ED50 determined by a cytotoxicity assay using HT-29 cells is ≤ 0.05 ng/ml, corresponding to a specific activity of ≥ 2 x 10^7 units/mg.

アクセッション番号

P01579

アニマルフリー

No

キャリアフリー

Yes

Human

再構成

reconstitute with PBS, pH 8.0 at 100µL

バッファー組成

Constituents: PBS

storage-buffer

Reactivity data

{ "title": "Reactivity Data", "filters": { "stats": ["", "Reactivity", "Dilution Info", "Notes"] }, "values": { "SDS-PAGE": { "reactivity":"TESTED_AND_REACTS", "dilution-info":"", "notes":"<p></p>" }, "FuncS": { "reactivity":"TESTED_AND_REACTS", "dilution-info":"", "notes":"<p></p>" }, "HPLC": { "reactivity":"TESTED_AND_REACTS", "dilution-info":"", "notes":"<p></p>" }, "WB": { "reactivity":"TESTED_AND_REACTS", "dilution-info":"", "notes":"<p></p>" } } }

製品の詳細

Ensure the validity of your result using our recombinant bioactive human IFN-gamma protein ab9659 as a positive control in western blot, SDS-PAGE and HPLC. On SDS-PAGE, IFN gamma appears as a combination of 25, 20 and minor 15.5 kDa bands as a result of differential glycosylation.

Human IFN gamma does not show cross-reactivity with mouse.


Check out our protein gel staining guide for SDS-PAGE here

Check out of western blot protocol for more information here

配列情報

[{"sequence":"MQDPYVKEAENLKKYFNAGHSDVADNGTLFLGILKNWKEESDRKIMQSQIVSFYFKLFKNFKDDQSIQKSVETIKEDMNVKFFNSNKKKRDDFEKLTNYSVTDLNVQRKAIHELIQVMAELSPAAKTGKRKRSQMLFQGRRASQ","proteinLength":"Full Length","predictedMolecularWeight":"16.8 kDa","actualMolecularWeight":null,"aminoAcidEnd":144,"aminoAcidStart":1,"nature":"Recombinant","expressionSystem":"Escherichia coli","accessionNumber":"P01579","tags":[]}]

出荷温度及び保存条件

出荷温度
Blue Ice
短期保存期間
1-2 weeks
短期保存温度
+4°C
長期保存温度
-20°C
分注に関する情報
Upon delivery aliquot
保管に関する情報
Avoid freeze / thaw cycle
True

補足情報

This supplementary information is collated from multiple sources and compiled automatically.

Interferon gamma (IFN-γ) also known as type II interferon is a cytokine that plays an important role in immune response. IFN-γ has a molecular weight of about 17 kDa and is produced by T cells and natural killer (NK) cells. IFN-γ binds to the interferon gamma receptor initiating a signaling cascade that activates various genes involved in immune functions. It is expressed mainly in activated immune cells within lymphoid tissues and inflamed sites during immune responses.
Biological function summary

This cytokine is significant in promoting macrophage activation enhancing the antigen presentation process and boosting the antimicrobial activity of phagocytes. IFN-γ is not part of a larger protein complex but works as a homodimer in signal transduction. Its production heightens the Th1 immune response by stimulating the differentiation of naпve T cells into Th1 cells which is essential for effective cellular immunity.

Pathways

IFN-γ is integrally involved in the JAK-STAT signaling pathway alongside another critical cytokine Interleukin-12. This pathway further amplifies the immune response by regulating the expression of genes associated with cellular defense mechanisms. IFN-γ also interacts with the NF-kB pathway influencing inflammation and the activation of further immune responses. These interactions show a network of cooperativity with proteins like STAT1 and NF-kB essential for executing its biological roles.

IFN-γ is linked to autoimmune diseases such as rheumatoid arthritis and multiple sclerosis where its elevated levels can exacerbate inflammatory processes. It connects to other proteins like TNF-alpha in promoting the inflammatory cascade. Moreover lower levels of IFN-γ are associated with a heightened risk of infections like tuberculosis demonstrating its vital role in pathogen defense. Therefore understanding IFN-γ and its interactions can be key in developing therapeutic approaches against these conditions.

製品の性状

製品の状態

Lyophilized

補足情報

>98%% HPLC analyses. Sterile filtered.

一般的な情報

機能

Type II interferon produced by immune cells such as T-cells and NK cells that plays crucial roles in antimicrobial, antiviral, and antitumor responses by activating effector immune cells and enhancing antigen presentation (PubMed : 16914093, PubMed : 8666937). Primarily signals through the JAK-STAT pathway after interaction with its receptor IFNGR1 to affect gene regulation (PubMed : 8349687). Upon IFNG binding, IFNGR1 intracellular domain opens out to allow association of downstream signaling components JAK2, JAK1 and STAT1, leading to STAT1 activation, nuclear translocation and transcription of IFNG-regulated genes. Many of the induced genes are transcription factors such as IRF1 that are able to further drive regulation of a next wave of transcription (PubMed : 16914093). Plays a role in class I antigen presentation pathway by inducing a replacement of catalytic proteasome subunits with immunoproteasome subunits (PubMed : 8666937). In turn, increases the quantity, quality, and repertoire of peptides for class I MHC loading (PubMed : 8163024). Increases the efficiency of peptide generation also by inducing the expression of activator PA28 that associates with the proteasome and alters its proteolytic cleavage preference (PubMed : 11112687). Up-regulates as well MHC II complexes on the cell surface by promoting expression of several key molecules such as cathepsins B/CTSB, H/CTSH, and L/CTSL (PubMed : 7729559). Participates in the regulation of hematopoietic stem cells during development and under homeostatic conditions by affecting their development, quiescence, and differentiation (By similarity).

配列の類似性

Belongs to the type II (or gamma) interferon family.

翻訳後修飾

Proteolytic processing produces C-terminal heterogeneity, with proteins ending alternatively at Gly-150, Met-157 or Gly-161.

製品プロトコール

ターゲットの情報

Type II interferon produced by immune cells such as T-cells and NK cells that plays crucial roles in antimicrobial, antiviral, and antitumor responses by activating effector immune cells and enhancing antigen presentation (PubMed : 16914093, PubMed : 8666937). Primarily signals through the JAK-STAT pathway after interaction with its receptor IFNGR1 to affect gene regulation (PubMed : 8349687). Upon IFNG binding, IFNGR1 intracellular domain opens out to allow association of downstream signaling components JAK2, JAK1 and STAT1, leading to STAT1 activation, nuclear translocation and transcription of IFNG-regulated genes. Many of the induced genes are transcription factors such as IRF1 that are able to further drive regulation of a next wave of transcription (PubMed : 16914093). Plays a role in class I antigen presentation pathway by inducing a replacement of catalytic proteasome subunits with immunoproteasome subunits (PubMed : 8666937). In turn, increases the quantity, quality, and repertoire of peptides for class I MHC loading (PubMed : 8163024). Increases the efficiency of peptide generation also by inducing the expression of activator PA28 that associates with the proteasome and alters its proteolytic cleavage preference (PubMed : 11112687). Up-regulates as well MHC II complexes on the cell surface by promoting expression of several key molecules such as cathepsins B/CTSB, H/CTSH, and L/CTSL (PubMed : 7729559). Participates in the regulation of hematopoietic stem cells during development and under homeostatic conditions by affecting their development, quiescence, and differentiation (By similarity).
See full target information IFNG

文献 (8)

Recent publications for all applications. Explore the full list and refine your search

Nature communications 16:598 PubMed39799115

2025

Inhibited peroxidase activity of peroxiredoxin 1 by palmitic acid exacerbates nonalcoholic steatohepatitis in male mice.

Applications

Unspecified application

Species

Unspecified reactive species

Wen Yin,Heng Xu,Zhonghao Bai,Yue Wu,Yan Zhang,Rui Liu,Zhangzhao Wang,Bei Zhang,Jing Shen,Hao Zhang,Xin Chen,Danting Ma,Xiaofeng Shi,Lihui Yan,Chang Zhang,Hualiang Jiang,Kaixian Chen,Dean Guo,Wenyan Niu,Huiyong Yin,Weiping J Zhang,Cheng Luo,Xiangyang Xie

ACS applied materials & interfaces 16:40543-40554 PubMed39042828

2024

Microfluidic-Derived Docosahexaenoic Acid Liposomes for Targeting Glioblastoma and Its Inflammatory Microenvironment.

Applications

Unspecified application

Species

Unspecified reactive species

Daniel Mendanha,Marta R Casanova,Sara Gimondi,Helena Ferreira,Nuno M Neves

Cancer cell 41:1207-1221.e12 PubMed37327789

2023

The CD58-CD2 axis is co-regulated with PD-L1 via CMTM6 and shapes anti-tumor immunity.

Applications

Unspecified application

Species

Unspecified reactive species

Patricia Ho,Johannes C Melms,Meri Rogava,Chris J Frangieh,Joanna Poźniak,Shivem B Shah,Zachary Walsh,Oleksandr Kyrysyuk,Amit Dipak Amin,Lindsay Caprio,Benjamin T Fullerton,Rajesh Kumar Soni,Casey R Ager,Jana Biermann,Yiping Wang,Mohsen Khosravi-Maharlooei,Giorgia Zanetti,Michael Mu,Hijab Fatima,Emily K Moore,Neil Vasan,Samuel F Bakhoum,Steven L Reiner,Chantale Bernatchez,Megan Sykes,Emily M Mace,Kai W Wucherpfennig,Dirk Schadendorf,Oliver Bechter,Parin Shah,Gary K Schwartz,Jean-Christophe Marine,Benjamin Izar

Cells 12: PubMed36611829

2022

MiR-302a Regenerates Human Corneal Endothelial Cells against IFN-γ-Induced Cell Death.

Applications

Unspecified application

Species

Unspecified reactive species

Se-Hie Park,Jin-Sun Hwang,Sun-Hee Oh,Young-Joo Shin

Frontiers in psychiatry 13:836217 PubMed36186864

2022

Interferon-γ exposure of human iPSC-derived neurons alters major histocompatibility complex I and synapsin protein expression.

Applications

Unspecified application

Species

Unspecified reactive species

Adam Pavlinek,Rugile Matuleviciute,Laura Sichlinger,Lucia Dutan Polit,Nikolaos Armeniakos,Anthony Christopher Vernon,Deepak Prakash Srivastava

Science advances 6:eaay9506 PubMed32875100

2020

Interferon-γ signaling in human iPSC-derived neurons recapitulates neurodevelopmental disorder phenotypes.

Applications

Unspecified application

Species

Unspecified reactive species

Katherine Warre-Cornish,Leo Perfect,Roland Nagy,Rodrigo R R Duarte,Matthew J Reid,Pooja Raval,Annett Mueller,Amanda L Evans,Amalie Couch,Cédric Ghevaert,Grainne McAlonan,Eva Loth,Declan Murphy,Timothy R Powell,Anthony C Vernon,Deepak P Srivastava,Jack Price

Nature structural & molecular biology 23:1101-1110 PubMed27775709

2016

RNA-binding protein CPEB1 remodels host and viral RNA landscapes.

Applications

FuncS

Species

Human

Ranjan Batra,Thomas J Stark,Elizabeth Clark,Jean-Philippe Belzile,Emily C Wheeler,Brian A Yee,Hui Huang,Chelsea Gelboin-Burkhart,Stephanie C Huelga,Stefan Aigner,Brett T Roberts,Tomas J Bos,Shashank Sathe,John Paul Donohue,Frank Rigo,Manuel Ares,Deborah H Spector,Gene W Yeo

The Journal of biological chemistry 282:22414-25 PubMed17558024

2007

Oxidative stress modulates complement factor H expression in retinal pigmented epithelial cells by acetylation of FOXO3.

Applications

Unspecified application

Species

Unspecified reactive species

Zhihao Wu,Thomas W Lauer,Anna Sick,Sean F Hackett,Peter A Campochiaro
View all publications

Abcam product promise

当社は、高品質な試薬を通じてお客様の研究を力強くサポートすることをお約束いたします。ご使用いただく各段階で、常にお客様をサポートできる体制を整えております。万が一、製品が期待通りに機能しない場合は、「Abcam Product Promise」による当社保証制度に基づき、安心してご利用いただけます。
保証に関する詳細については利用規約をご確認ください。

Please note: All products are 'FOR RESEARCH USE ONLY. NOT FOR USE IN DIAGNOSTIC OR THERAPEUTIC PROCEDURES'.

For licensing inquiries, please contact partnerships@abcam.com