JavaScript is disabled in your browser. Please enable JavaScript to view this website.
AB117771

Anti-ZNF462 抗体

Anti-ZNF462 antibody

Be the first to review this product! Submit a review

|

(1 Publication)

Rabbit Polyclonal ZNF462 antibody. Suitable for IHC-P, IP, WB and reacts with Human, Mouse samples. Cited in 1 publication. Immunogen corresponding to Synthetic Peptide within Human ZNF462 aa 2450 to C-terminus.

別名を表示する

KIAA1803, ZNF462, Zinc finger protein 462, Zinc finger PBX1-interacting protein, ZFPIP

4 Images
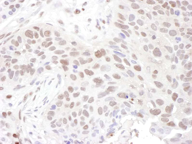
Immunohistochemistry (Formalin/PFA-fixed paraffin-embedded sections) - Anti-ZNF462 antibody (AB117771)
  • IHC-P

Supplier Data

Immunohistochemistry (Formalin/PFA-fixed paraffin-embedded sections) - Anti-ZNF462 antibody (AB117771)

Immunohistochemical analysis of human lung cancer tissue labeling ZNF462 with ab117771 at a dilution of 1/5000.

Immunoprecipitation - Anti-ZNF462 antibody (AB117771)
  • IP

Supplier Data

Immunoprecipitation - Anti-ZNF462 antibody (AB117771)

Detection of human ZNF462 by western blot of immunoprecipitates. Samples : Whole cell lysate (0.5 or 1.0 mg per IP reaction; 20% of IP loaded) from HEK293T cells prepared using NETN lysis buffer. Antibodies : Affinity purified ab117771 used for IP at 6 μg per reaction. For blotting immunoprecipitated ZNF462, ab117771 was used at 1 μg/ml. Detection : Chemiluminescence with an exposure time of 3 minutes.

Lane 1:

Immunoprecipitation - Anti-ZNF462 antibody (ab117771)

Lane 2:

Control IgG

Predicted band size: 285 kDa

false

Western blot - Anti-ZNF462 antibody (AB117771)
  • WB

Supplier Data

Western blot - Anti-ZNF462 antibody (AB117771)

Samples : Whole cell lysate (50 μg) from HeLa and HEK293T cells prepared using NETN lysis buffer. Antibodies : Affinity purified ab117771 used for WB at 0.4 μg/ml. Detection : Chemiluminescence with an exposure time of 30 seconds.

All lanes:

Western blot - Anti-ZNF462 antibody (ab117771) at 0.4 µg/mL

Lane 1:

HeLa whole cell lysate at 50 µg

Lane 2:

HEK-293T whole cell lysate at 50 µg

Predicted band size: 285 kDa

false

Western blot - Anti-ZNF462 antibody (AB117771)
  • WB

Supplier Data

Western blot - Anti-ZNF462 antibody (AB117771)

Samples : Whole cell lysate (50 μg) from NIH/3T3 cells prepared using NETN lysis buffer. Antibodies : Affinity purified ab117771 used for WB at 0.4 μg/ml. Detection : Chemiluminescence with an exposure time of 3 minutes.

All lanes:

Western blot - Anti-ZNF462 antibody (ab117771) at 0.4 µg/mL

All lanes:

NIH/3T3 whole cell lysate at 50 µg

Predicted band size: 285 kDa

false

Key facts

宿主種

Rabbit

クローン性

Polyclonal

アイソタイプ

IgG

キャリアフリー

No

交差種

Mouse, Human

アプリケーション

IHC-P, IP, WB

applications

免疫原

Synthetic Peptide within Human ZNF462 aa 2450 to C-terminus. The exact immunogen used to generate this antibody is proprietary information.

Q96JM2

Reactivity data

{ "title": "Reactivity Data", "filters": { "stats": ["", "Species", "Dilution Info", "Notes"], "tabs": { "all-applications": {"fullname" : "All Applications", "shortname": "All Applications"}, "IHCP" : {"fullname" : "Immunohistochemistry (Formalin/PFA-fixed paraffin-embedded sections)", "shortname":"IHC-P"}, "IP" : {"fullname" : "Immunoprecipitation", "shortname":"IP"}, "WB" : {"fullname" : "Western blot", "shortname":"WB"} }, "product-promise": { "all": "all", "testedAndGuaranteed": "tested", "guaranteed": "expected", "predicted": "predicted", "notRecommended": "not-recommended" } }, "values": { "Human": { "IHCP-species-checked": "testedAndGuaranteed", "IHCP-species-dilution-info": "1/1000 - 1/5000", "IHCP-species-notes": "<p></p> Perform heat-mediated antigen retrieval with citrate buffer pH 6 before commencing with IHC staining protocol.", "IP-species-checked": "testedAndGuaranteed", "IP-species-dilution-info": "2-10 µg/mg of lysate", "IP-species-notes": "<p></p>", "WB-species-checked": "testedAndGuaranteed", "WB-species-dilution-info": "1/1000 - 1/5000", "WB-species-notes": "<p></p>" }, "Mouse": { "IHCP-species-checked": "guaranteed", "IHCP-species-dilution-info": "", "IHCP-species-notes": "", "IP-species-checked": "guaranteed", "IP-species-dilution-info": "", "IP-species-notes": "", "WB-species-checked": "testedAndGuaranteed", "WB-species-dilution-info": "1/1000 - 1/5000", "WB-species-notes": "<p></p>" }, "Chimpanzee": { "IHCP-species-checked": "predicted", "IHCP-species-dilution-info": "", "IHCP-species-notes": "", "IP-species-checked": "predicted", "IP-species-dilution-info": "", "IP-species-notes": "", "WB-species-checked": "predicted", "WB-species-dilution-info": "", "WB-species-notes": "" }, "Cow": { "IHCP-species-checked": "predicted", "IHCP-species-dilution-info": "", "IHCP-species-notes": "", "IP-species-checked": "predicted", "IP-species-dilution-info": "", "IP-species-notes": "", "WB-species-checked": "predicted", "WB-species-dilution-info": "", "WB-species-notes": "" }, "Elephant": { "IHCP-species-checked": "predicted", "IHCP-species-dilution-info": "", "IHCP-species-notes": "", "IP-species-checked": "predicted", "IP-species-dilution-info": "", "IP-species-notes": "", "WB-species-checked": "predicted", "WB-species-dilution-info": "", "WB-species-notes": "" }, "Gorilla": { "IHCP-species-checked": "predicted", "IHCP-species-dilution-info": "", "IHCP-species-notes": "", "IP-species-checked": "predicted", "IP-species-dilution-info": "", "IP-species-notes": "", "WB-species-checked": "predicted", "WB-species-dilution-info": "", "WB-species-notes": "" }, "Guinea pig": { "IHCP-species-checked": "predicted", "IHCP-species-dilution-info": "", "IHCP-species-notes": "", "IP-species-checked": "predicted", "IP-species-dilution-info": "", "IP-species-notes": "", "WB-species-checked": "predicted", "WB-species-dilution-info": "", "WB-species-notes": "" }, "Orangutan": { "IHCP-species-checked": "predicted", "IHCP-species-dilution-info": "", "IHCP-species-notes": "", "IP-species-checked": "predicted", "IP-species-dilution-info": "", "IP-species-notes": "", "WB-species-checked": "predicted", "WB-species-dilution-info": "", "WB-species-notes": "" }, "Pig": { "IHCP-species-checked": "predicted", "IHCP-species-dilution-info": "", "IHCP-species-notes": "", "IP-species-checked": "predicted", "IP-species-dilution-info": "", "IP-species-notes": "", "WB-species-checked": "predicted", "WB-species-dilution-info": "", "WB-species-notes": "" }, "Rabbit": { "IHCP-species-checked": "predicted", "IHCP-species-dilution-info": "", "IHCP-species-notes": "", "IP-species-checked": "predicted", "IP-species-dilution-info": "", "IP-species-notes": "", "WB-species-checked": "predicted", "WB-species-dilution-info": "", "WB-species-notes": "" }, "Rhesus monkey": { "IHCP-species-checked": "predicted", "IHCP-species-dilution-info": "", "IHCP-species-notes": "", "IP-species-checked": "predicted", "IP-species-dilution-info": "", "IP-species-notes": "", "WB-species-checked": "predicted", "WB-species-dilution-info": "", "WB-species-notes": "" } } }

出荷温度及び保存条件

製品の状態
Liquid
精製方法
Affinity purification Immunogen
精製に関する特記事項
ab117771 was affinity purified using an epitope specific to ZNF462 immobilized on solid support.
バッファー組成
pH: 7 - 8 Preservative: 0.09% Sodium azide Constituents: 99% Tris citrate/phosphate
出荷温度
Blue Ice
短期保存温度
+4°C
長期保存温度
+4°C
分注に関する情報
Upon delivery aliquot
保管に関する情報
Avoid freeze / thaw cycle

補足情報

This supplementary information is collated from multiple sources and compiled automatically.

ZNF462 also known as Zinc Finger Protein 462 is a protein with a mass of approximately 280 kDa. It acts as a transcription factor due to its zinc finger domains which allows it to bind to specific DNA sequences and regulate gene expression. This target is widely expressed in the brain heart and skeletal muscle. It plays a part in the developmental processes by influencing the expression of various genes.
Biological function summary

ZNF462 influences the regulation of neural crest development and craniofacial morphogenesis. This protein often functions alongside other transcription factors and may form part of a larger transcriptional complex. Its role is essential in modulating the activity of genes responsible for developmental patterning and cell differentiation.

Pathways

This protein plays a part in the Wnt signaling pathway and the TGF-beta signaling pathway. These pathways are key in developmental processes and cellular communication. ZNF462 interacts with proteins like beta-catenin and SMADs which are central mediators within these pathways managing signals that dictate cell fate determination and tissue homeostasis.

ZNF462 mutations connect to disorders like Weiss-Kruszka syndrome and some craniofacial abnormalities. This protein's dysfunction influences genes related to developmental genes often in conjunction with other transcription factors such as ZIC2 and GLI3. These interactions can disrupt normal craniofacial development leading to syndromic features and developmental delays observed in related disorders.

製品プロトコール

For this product, it's our understanding that no specific protocols are required. You can visit:

ターゲットの情報

Zinc finger nuclear factor involved in transcription by regulating chromatin structure and organization (PubMed : 20219459, PubMed : 21570965). Involved in the pluripotency and differentiation of embryonic stem cells by regulating SOX2, POU5F1/OCT4, and NANOG (PubMed : 21570965). By binding PBX1, prevents the heterodimerization of PBX1 and HOXA9 and their binding to DNA (By similarity). Regulates neuronal development and neural cell differentiation (PubMed : 21570965).
See full target information ZNF462

文献 (1)

Recent publications for all applications. Explore the full list and refine your search

Autophagy 12:2038-2053 PubMed27541728

2016

Functional characterization of EI24-induced autophagy in the degradation of RING-domain E3 ligases.

Applications

Unspecified application

Species

Unspecified reactive species

Sushil Devkota,Hyobin Jeong,Yunmi Kim,Muhammad Ali,Jae-Il Roh,Daehee Hwang,Han-Woong Lee
View all publications

Abcam product promise

当社は、高品質な試薬を通じてお客様の研究を力強くサポートすることをお約束いたします。ご使用いただく各段階で、常にお客様をサポートできる体制を整えております。万が一、製品が期待通りに機能しない場合は、「Abcam Product Promise」による当社保証制度に基づき、安心してご利用いただけます。
保証に関する詳細については利用規約をご確認ください。

Please note: All products are 'FOR RESEARCH USE ONLY. NOT FOR USE IN DIAGNOSTIC OR THERAPEUTIC PROCEDURES'.

For licensing inquiries, please contact partnerships@abcam.com