JavaScript is disabled in your browser. Please enable JavaScript to view this website.
AB320005

Anti-YB1 antibody [RM1188]

Anti-YB1 antibody [RM1188]

  • 20ul selling size
  • BOND RX™ Validated
  • Recombinant
  • RabMAb
  • 詳細を見る

Be the first to review this product! Submit a review

|

(0 Publication)

Rabbit Recombinant Multiclonal YB1 antibody. Suitable for ICC/IF, WB, Flow Cyt, IP, Flow Cyt (Intra), IHC-P and reacts with Human, Mouse, Rat samples.

別名を表示する

NSEP1, YB1, YBX1, Y-box-binding protein 1, YB-1, CCAAT-binding transcription factor I subunit A, DNA-binding protein B, Enhancer factor I subunit A, Nuclease-sensitive element-binding protein 1, Y-box transcription factor, CBF-A, DBPB, EFI-A

19 Images
Immunohistochemistry (Formalin/PFA-fixed paraffin-embedded sections) - Anti-YB1 antibody [RM1188] (AB320005)
  • IHC-P

Supplier Data

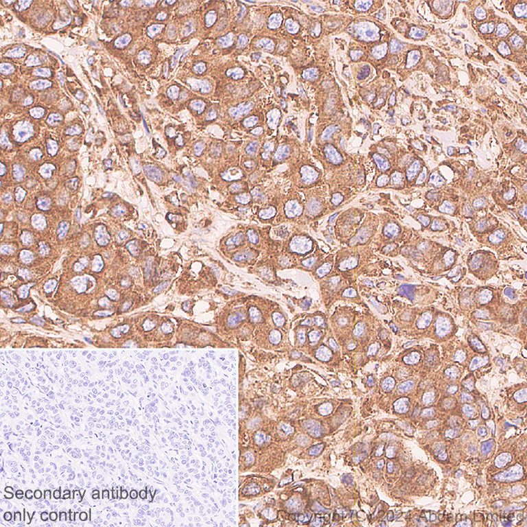
Immunohistochemistry (Formalin/PFA-fixed paraffin-embedded sections) - Anti-YB1 antibody [RM1188] (AB320005)

Immunohistochemical analysis of paraffin-embedded Human breast tissue labeling YB1 with ab320005 at 1/5000 (0.098 ug/ml) dilution, followed by a ready to use LeicaDS9800 (Bond™ Polymer Refine Detection).

Positive staining on human breast in (A) ab320005 and (B) ab12148. The image on (A) ab320005 is applied with Anti-YBX1 antibody at 1/5000 dilution. The image on (B) ab12148 is applied with Anti-YBX1 antibody at 1/200 dilution. The section was incubated with ab320005 for 30 mins at room temperature. The immunostaining was performed on a Leica Biosystems BOND® RX instrument
Incubate slides with 3% Hydrogen Peroxide for 10 mins at room temperature after secondary antibody incubation to reduce the background

Counterstained with Hematoxylin.

Secondary antibody only control : Secondary antibody is a ready to use LeicaDS9800 (Bond™ Polymer Refine Detection).

Heat mediated antigen retrieval was performed with Tris-EDTA buffer (pH 9.0, Epitope Retrieval Solution2) for 20 mins

Immunocytochemistry/ Immunofluorescence - Anti-YB1 antibody [RM1188] (AB320005)
  • ICC/IF

Supplier Data

Immunocytochemistry/ Immunofluorescence - Anti-YB1 antibody [RM1188] (AB320005)

Immunofluorescent analysis of 4% Paraformaldehyde-fixed, 0.1% TritonX-100 permeabilized HeLa (human cervical adenocarcinoma epithelial cell) cells labelling YB1 with ab320005 at 1/500 (0.978 ug/ml) dilution, followed by ab150081 Goat Anti-Rabbit IgG H&L (Alexa Fluor® 488) preadsorbed antibody at 1/1000 2 ug/ml dilution (Green).

Confocal image showing mainly cytoplasmic staining in HeLa cell line (shown in green). The counterstain was observed in magenta. Nuclear DNA was labeled with DAPI (shown in blue). Image was taken with a confocal microscope (Leica-Microsystems, TCS SP8).

ab195889 Anti-alpha Tubulin mouse monoclonal antibody - Microtubule Marker (Alexa Fluor® 594) was used to counterstain tubulin at 1/200 2.5ug/ml dilution (Magenta). The Nuclear counterstain was DAPI (Blue).

Secondary antibody only control : Secondary antibody is ab150081 Goat Anti-Rabbit IgG H&L (Alexa Fluor® 488) preadsorbed at 1/1000 2 ug/ml dilution.

Immunohistochemistry (Formalin/PFA-fixed paraffin-embedded sections) - Anti-YB1 antibody [RM1188] (AB320005)
  • IHC-P

Supplier Data

Immunohistochemistry (Formalin/PFA-fixed paraffin-embedded sections) - Anti-YB1 antibody [RM1188] (AB320005)

Immunohistochemical analysis of paraffin-embedded Human breast carcinoma tissue labeling YB1 with ab320005 at 1/5000 (0.098 ug/ml) dilution, followed by a ready to use LeicaDS9800 (Bond™ Polymer Refine Detection).

Positive staining on human breast carcinoma. The section was incubated with ab320005 for 30 mins at room temperature. The immunostaining was performed on a Leica Biosystems BOND® RX instrument
Incubate slides with 3% Hydrogen Peroxide for 10 mins at room temperature after secondary antibody incubation to reduce the background

Counterstained with Hematoxylin.

Secondary antibody only control : Secondary antibody is a ready to use LeicaDS9800 (Bond™ Polymer Refine Detection).

Heat mediated antigen retrieval was performed with Tris-EDTA buffer (pH 9.0, Epitope Retrieval Solution2) for 20 mins

Flow Cytometry (Intracellular) - Anti-YB1 antibody [RM1188] (AB320005)
  • Flow Cyt (Intra)

Supplier Data

Flow Cytometry (Intracellular) - Anti-YB1 antibody [RM1188] (AB320005)

Flow cytometric analysis of 4% paraformaldehyde fixed 90% methanol permeabilized HeLa (human cervix adenocarcinoma epithelial cell) (red) cells labelling YB1 with ab320005 at 1/500 dilution (0.1ug) compared with a Rabbit monoclonal IgG (ab172730) (Black) isotype control and an unlabelled control (cells without incubation with primary antibody and secondary antibody).

Goat Anti-Rabbit IgG (Alexa Fluor® 488, ab150081) at 1/5000 dilution was used as the secondary antibody.

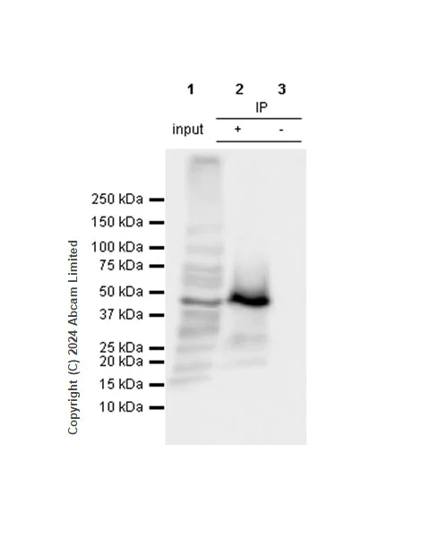
Immunoprecipitation - Anti-YB1 antibody [RM1188] (AB320005)
  • IP

Supplier Data

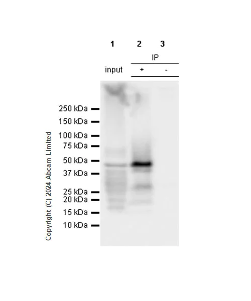
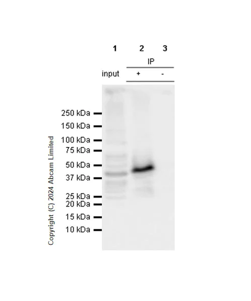
Immunoprecipitation - Anti-YB1 antibody [RM1188] (AB320005)

YB1 was immunoprecipitated from 0.35 mg HeLa (human cervical adenocarcinoma epithelial cell) whole cell lysate with ab320005 at 1/30 dilution (2ug in 0.35mg lysates). Western blot was performed on the immunoprecipitate using ab320005 at 1/1000 dilution. VeriBlot for IP secondary antibody(HRP)(ab131366) was used at 1/5000 dilution.

Lane 1 : HeLa (human cervical adenocarcinoma epithelial cell) whole cell lysate
Lane 2 : ab320005 IP in HeLa (human cervical adenocarcinoma epithelial cell) whole cell lysate
Lane 3 : Rabbit monoclonal IgG (ab172730) instead of ab320005 in HeLa whole cell lysate

Blocking and dilution buffer and concentration : 5% NFDM/TBST

All lanes:

Immunoprecipitation - Anti-YB1 antibody [RM1188] (ab320005) at 1/30 dilution

All lanes:

HeLa (human cervical adenocarcinoma epithelial cell) whole cell lysate

Secondary

All lanes:

Immunoprecipitation - VeriBlot for IP Detection Reagent (HRP) (<a href='/products/reagents/veriblot-for-ip-detection-reagent-hrp-ab131366'>ab131366</a>) at 1/5000 dilution

false

Exposure time: 3s

Flow Cytometry (Intracellular) - Anti-YB1 antibody [RM1188] (AB320005)
  • Flow Cyt (Intra)

Supplier Data

Flow Cytometry (Intracellular) - Anti-YB1 antibody [RM1188] (AB320005)

Flow cytometric analysis of 4% paraformaldehyde fixed 90% methanol permeabilized C6 (rat glial tumor glial cell) (red) cells labelling YB1 with ab320005 at 1/500 dilution (0.1ug) compared with a Rabbit monoclonal IgG (ab172730) (Black) isotype control and an unlabelled control (cells without incubation with primary antibody and secondary antibody).

Goat Anti-Rabbit IgG (Alexa Fluor® 488, ab150081) at 1/5000 dilution was used as the secondary antibody.

Flow Cytometry (Intracellular) - Anti-YB1 antibody [RM1188] (AB320005)
  • Flow Cyt (Intra)

Supplier Data

Flow Cytometry (Intracellular) - Anti-YB1 antibody [RM1188] (AB320005)

Flow cytometric analysis of 4% paraformaldehyde fixed 90% methanol permeabilized NIH/3T3 (mouse embryonic fibroblast) (red) cells labelling YB1 with ab320005 at 1/500 dilution (0.1ug) compared with a Rabbit monoclonal IgG (ab172730) (Black) isotype control and an unlabelled control (cells without incubation with primary antibody and secondary antibody).

Goat Anti-Rabbit IgG (Alexa Fluor® 488, ab150081) at 1/5000 dilution was used as the secondary antibody.

Immunocytochemistry/ Immunofluorescence - Anti-YB1 antibody [RM1188] (AB320005)
  • ICC/IF

Supplier Data

Immunocytochemistry/ Immunofluorescence - Anti-YB1 antibody [RM1188] (AB320005)

Immunofluorescent analysis of 4% Paraformaldehyde-fixed, 0.1% TritonX-100 permeabilized C6 (rat glial tumor glial cell) cells labelling YB1 with ab320005 at 1/500 (0.978 ug/ml) dilution, followed by ab150081 Goat Anti-Rabbit IgG H&L (Alexa Fluor® 488) preadsorbed antibody at 1/1000 2 ug/ml dilution (Green).

Confocal image showing mainly cytoplasmic staining in C6 cell line (shown in green). The counterstain was observed in magenta. Nuclear DNA was labeled with DAPI (shown in blue). Image was taken with a confocal microscope (Leica-Microsystems, TCS SP8).

ab195889 Anti-alpha Tubulin mouse monoclonal antibody - Microtubule Marker (Alexa Fluor® 594) was used to counterstain tubulin at 1/200 2.5ug/ml dilution (Magenta). The Nuclear counterstain was DAPI (Blue).

Secondary antibody only control : Secondary antibody is ab150081 Goat Anti-Rabbit IgG H&L (Alexa Fluor® 488) preadsorbed at 1/1000 2 ug/ml dilution.

Immunohistochemistry (Formalin/PFA-fixed paraffin-embedded sections) - Anti-YB1 antibody [RM1188] (AB320005)
  • IHC-P

Supplier Data

Immunohistochemistry (Formalin/PFA-fixed paraffin-embedded sections) - Anti-YB1 antibody [RM1188] (AB320005)

Immunohistochemical analysis of paraffin-embedded Rat skeletal muscle tissue labeling YB1 with ab320005 at 1/10000 (0.049 ug/ml) dilution, followed by a ready to use LeicaDS9800 (Bond™ Polymer Refine Detection).

Low expression tissue : weak staining on rat skeletal muscle. The section was incubated with ab320005 for 30 mins at room temperature. The immunostaining was performed on a Leica Biosystems BOND® RX instrument
Incubate slides with 3% Hydrogen Peroxide for 10 mins at room temperature after secondary antibody incubation to reduce the background

Counterstained with Hematoxylin.

Secondary antibody only control : Secondary antibody is a ready to use LeicaDS9800 (Bond™ Polymer Refine Detection).

Heat mediated antigen retrieval was performed with Tris-EDTA buffer (pH 9.0, Epitope Retrieval Solution2) for 20 mins

Immunohistochemistry (Formalin/PFA-fixed paraffin-embedded sections) - Anti-YB1 antibody [RM1188] (AB320005)
  • IHC-P

Supplier Data

Immunohistochemistry (Formalin/PFA-fixed paraffin-embedded sections) - Anti-YB1 antibody [RM1188] (AB320005)

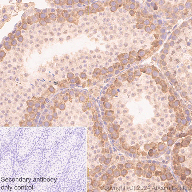
Immunohistochemical analysis of paraffin-embedded Rat testis tissue labeling YB1 with ab320005 at 1/10000 (0.049 ug/ml) dilution, followed by a ready to use LeicaDS9800 (Bond™ Polymer Refine Detection).

Positive staining on rat testis. The section was incubated with ab320005 for 30 mins at room temperature. The immunostaining was performed on a Leica Biosystems BOND® RX instrument
Incubate slides with 3% Hydrogen Peroxide for 10 mins at room temperature after secondary antibody incubation to reduce the background

Counterstained with Hematoxylin.

Secondary antibody only control : Secondary antibody is a ready to use LeicaDS9800 (Bond™ Polymer Refine Detection).

Heat mediated antigen retrieval was performed with Tris-EDTA buffer (pH 9.0, Epitope Retrieval Solution2) for 20 mins

Immunohistochemistry (Formalin/PFA-fixed paraffin-embedded sections) - Anti-YB1 antibody [RM1188] (AB320005)
  • IHC-P

Supplier Data

Immunohistochemistry (Formalin/PFA-fixed paraffin-embedded sections) - Anti-YB1 antibody [RM1188] (AB320005)

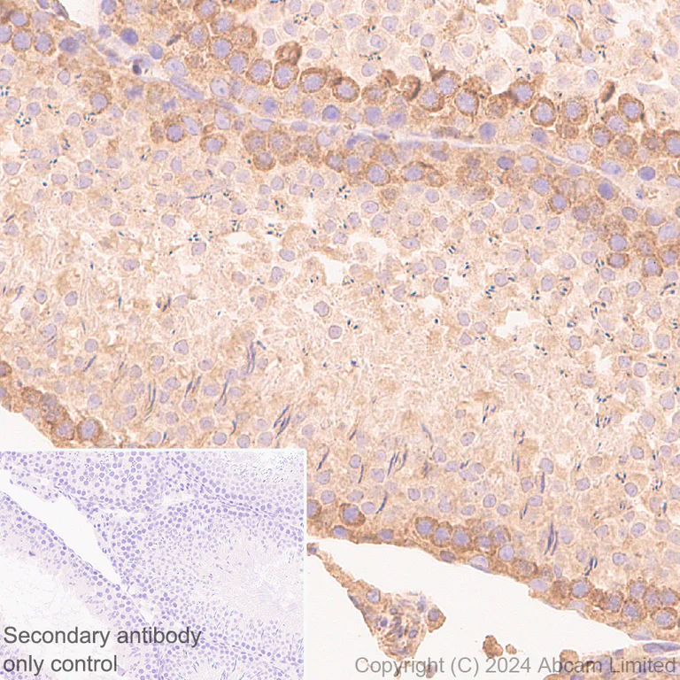
Immunohistochemical analysis of paraffin-embedded Mouse testis tissue labeling YB1 with ab320005 at 1/10000 (0.049 ug/ml) dilution, followed by a ready to use LeicaDS9800 (Bond™ Polymer Refine Detection).

Positive staining on mouse testis. The section was incubated with ab320005 for 30 mins at room temperature. The immunostaining was performed on a Leica Biosystems BOND® RX instrument
Incubate slides with 3% Hydrogen Peroxide for 10 mins at room temperature after secondary antibody incubation to reduce the background

Counterstained with Hematoxylin.

Secondary antibody only control : Secondary antibody is a ready to use LeicaDS9800 (Bond™ Polymer Refine Detection).

Heat mediated antigen retrieval was performed with Tris-EDTA buffer (pH 9.0, Epitope Retrieval Solution2) for 20 mins

Immunohistochemistry (Formalin/PFA-fixed paraffin-embedded sections) - Anti-YB1 antibody [RM1188] (AB320005)
  • IHC-P

Supplier Data

Immunohistochemistry (Formalin/PFA-fixed paraffin-embedded sections) - Anti-YB1 antibody [RM1188] (AB320005)

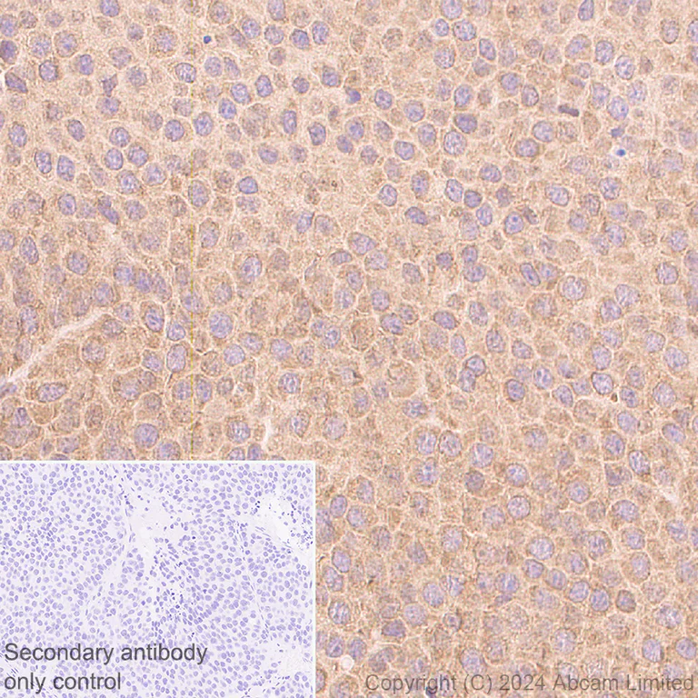
Immunohistochemical analysis of paraffin-embedded Mouse breast carcinoma tissue labeling YB1 with ab320005 at 1/10000 (0.049 ug/ml) dilution, followed by a ready to use LeicaDS9800 (Bond™ Polymer Refine Detection).

Positive staining on mouse breast carcinoma. The section was incubated with ab320005 for 30 mins at room temperature. The immunostaining was performed on a Leica Biosystems BOND® RX instrument
Incubate slides with 3% Hydrogen Peroxide for 10 mins at room temperature after secondary antibody incubation to reduce the background

Counterstained with Hematoxylin.

Secondary antibody only control : Secondary antibody is a ready to use LeicaDS9800 (Bond™ Polymer Refine Detection).

Heat mediated antigen retrieval was performed with Tris-EDTA buffer (pH 9.0, Epitope Retrieval Solution2) for 20 mins

Immunocytochemistry/ Immunofluorescence - Anti-YB1 antibody [RM1188] (AB320005)
  • ICC/IF

Supplier Data

Immunocytochemistry/ Immunofluorescence - Anti-YB1 antibody [RM1188] (AB320005)

Immunofluorescent analysis of 4% Paraformaldehyde-fixed, 0.1% TritonX-100 permeabilized NIH/3T3 (mouse embryonic fibroblast) cells labelling YB1 with ab320005 at 1/500 (0.978 ug/ml) dilution, followed by ab150081 Goat Anti-Rabbit IgG H&L (Alexa Fluor® 488) preadsorbed antibody at 1/1000 2 ug/ml dilution (Green).

Confocal image showing mainly cytoplasmic staining in NIH/3T3 cell line (shown in green). The counterstain was observed in magenta. Nuclear DNA was labeled with DAPI (shown in blue). Image was taken with a confocal microscope (Leica-Microsystems, TCS SP8).

ab195889 Anti-alpha Tubulin mouse monoclonal antibody - Microtubule Marker (Alexa Fluor® 594) was used to counterstain tubulin at 1/200 2.5ug/ml dilution (Magenta). The Nuclear counterstain was DAPI (Blue).

Secondary antibody only control : Secondary antibody is ab150081 Goat Anti-Rabbit IgG H&L (Alexa Fluor® 488) preadsorbed at 1/1000 2 ug/ml dilution.

Immunohistochemistry (Formalin/PFA-fixed paraffin-embedded sections) - Anti-YB1 antibody [RM1188] (AB320005)
  • IHC-P

Supplier Data

Immunohistochemistry (Formalin/PFA-fixed paraffin-embedded sections) - Anti-YB1 antibody [RM1188] (AB320005)

Immunohistochemical analysis of paraffin-embedded Mouse skeletal muscle tissue labeling YB1 with ab320005 at 1/10000 (0.049 ug/ml) dilution, followed by a ready to use LeicaDS9800 (Bond™ Polymer Refine Detection).

Low expression tissue : weak staining on mouse skeletal muscle. The section was incubated with ab320005 for 30 mins at room temperature. The immunostaining was performed on a Leica Biosystems BOND® RX instrument
Incubate slides with 3% Hydrogen Peroxide for 10 mins at room temperature after secondary antibody incubation to reduce the background

Counterstained with Hematoxylin.

Secondary antibody only control : Secondary antibody is a ready to use LeicaDS9800 (Bond™ Polymer Refine Detection).

Heat mediated antigen retrieval was performed with Tris-EDTA buffer (pH 9.0, Epitope Retrieval Solution2) for 20 mins

Immunoprecipitation - Anti-YB1 antibody [RM1188] (AB320005)
  • IP

Supplier Data

Immunoprecipitation - Anti-YB1 antibody [RM1188] (AB320005)

YB1 was immunoprecipitated from 0.35 mg NIH/3T3 (mouse embryonic fibroblast) whole cell lysate with ab320005 at 1/30 dilution (2ug in 0.35mg lysates). Western blot was performed on the immunoprecipitate using ab320005 at 1/1000 dilution. VeriBlot for IP secondary antibody(HRP)(ab131366) was used at 1/5000 dilution.

Lane 1 : NIH/3T3 (mouse embryonic fibroblast) whole cell lysate
Lane 2 : ab320005 IP in NIH/3T3 (mouse embryonic fibroblast) whole cell lysate
Lane 3 : Rabbit monoclonal IgG (ab172730) instead of ab320005 in NIH/3T3 whole cell lysate

Blocking and dilution buffer and concentration : 5% NFDM/TBST

All lanes:

Immunoprecipitation - Anti-YB1 antibody [RM1188] (ab320005) at 1/30 dilution

All lanes:

NIH/3T3 (mouse embryonic fibroblast) whole cell lysate

Secondary

All lanes:

Immunoprecipitation - VeriBlot for IP Detection Reagent (HRP) (<a href='/products/reagents/veriblot-for-ip-detection-reagent-hrp-ab131366'>ab131366</a>) at 1/5000 dilution

false

Exposure time: 3s

Immunoprecipitation - Anti-YB1 antibody [RM1188] (AB320005)
  • IP

Supplier Data

Immunoprecipitation - Anti-YB1 antibody [RM1188] (AB320005)

YB1 was immunoprecipitated from 0.35 mg C6 (rat glial tumor glial cell) whole cell lysate with ab320005 at 1/30 dilution (2ug in 0.35mg lysates). Western blot was performed on the immunoprecipitate using ab320005 at 1/1000 dilution. VeriBlot for IP secondary antibody(HRP)(ab131366) was used at 1/5000 dilution.

Lane 1 : C6 (rat glial tumor glial cell) whole cell lysate
Lane 2 : ab320005 IP in C6 (rat glial tumor glial cell) whole cell lysate
Lane 3 : Rabbit monoclonal IgG (ab172730) instead of ab320005 in C6 whole cell lysate

Blocking and dilution buffer and concentration : 5% NFDM/TBST

All lanes:

Immunoprecipitation - Anti-YB1 antibody [RM1188] (ab320005) at 1/30 dilution

All lanes:

C6 (rat glial tumor glial cell) whole cell lysate

Secondary

All lanes:

Immunoprecipitation - VeriBlot for IP Detection Reagent (HRP) (<a href='/products/reagents/veriblot-for-ip-detection-reagent-hrp-ab131366'>ab131366</a>) at 1/5000 dilution

false

Exposure time: 3s

Western blot - Anti-YB1 antibody [RM1188] (AB320005)
  • WB

Supplier Data

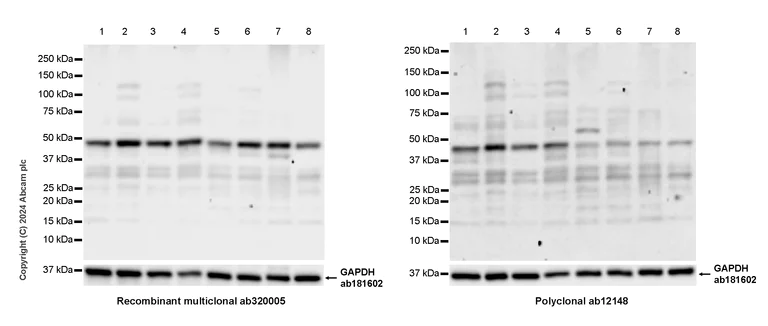
Western blot - Anti-YB1 antibody [RM1188] (AB320005)

Blocking and diluting buffer and concentration : 5% NFDM/TBST.

The molecular weight observed is consistent with what has been described in the literature (PMID : 27168020, PMID : 24107631).

This blot of polyclonal ab12148 was developed using a high-sensitivity ECL substrate, allowing for the detection of proteins in the mid-femtogram range.

The identity of the higher MW band at approximately 15 kDa and between 50 kDa and 150 kDa (Lane 2, 4, 6) are unknown.

In Western blot, Anti-GAPDH antibody [EPR16891] - Loading Control (ab181602) staining at 1/200000 dilution.

Exposure times : Recombinant multiclonal ab320005 : 26 seconds; Polyclonal ab12148 : 147 seconds.

All lanes:

Western blot - Anti-YB1 antibody [RM1188] (ab320005) at 1/5000 dilution

Lane 1:

HeLa (human cervical adenocarcinoma epithelial cell) whole cell lysate at 10 µg

Lane 2:

SW480 (human colorectal adenocarcinoma epithelial cell) whole cell lysate at 10 µg

Lane 3:

MCF7 (human breast adenocarcinoma epithelial cell) whole cell lysate at 10 µg

Lane 4:

293T (human embryonic kidney epithelial cell) whole cell lysate at 10 µg

Lane 5:

RAW 264.7 (mouse Abelson murine leukemia virus-induced tumor macrophage) whole cell lysate at 10 µg

Lane 6:

NIH/3T3 (mouse embryonic fibroblast) whole cell lysate at 10 µg

Lane 7:

C6 (rat glial tumor glial cell) whole cell lysate at 10 µg

Lane 8:

PC-12 (rat adrenal gland pheochromocytoma cell) whole cell lysate at 10 µg

Secondary

All lanes:

Western blot - Goat Anti-Rabbit IgG H&L (HRP) (<a href='/products/secondary-antibodies/goat-rabbit-igg-h-l-hrp-ab97051'>ab97051</a>) at 1/100000 dilution

Observed band size: 50 kDa,36 kDa

false

Western blot - Anti-YB1 antibody [RM1188] (AB320005)
  • WB

Supplier Data

Western blot - Anti-YB1 antibody [RM1188] (AB320005)

Blocking and diluting buffer and concentration : 5% NFDM/TBST.

The molecular weight observed is consistent with what has been described in the literature (PMID : 27168020, PMID : 15615704).

The identity of the higher MW band at approximately 15 kDa and the higher MW band at approximately 250 kDa are unknown.

In Western blot, Anti-GAPDH antibody [EPR16891] - Loading Control (ab181602) staining at 1/200000 dilution.

All lanes:

Western blot - Anti-YB1 antibody [RM1188] (ab320005) at 1/5000 dilution

Lane 1:

HeLa (human cervical adenocarcinoma epithelial cell) transfected with scrambled siRNA control whole cell lysate at 2 µg

Lane 2:

HeLa transfected with siRNA specifically targeting YB1 whole cell lysate at 2 µg

Secondary

All lanes:

Western blot - Goat Anti-Rabbit IgG H&L (HRP) (<a href='/products/secondary-antibodies/goat-rabbit-igg-h-l-hrp-ab97051'>ab97051</a>) at 1/100000 dilution

Observed band size: 50 kDa,36 kDa

false

Exposure time: 70s

Western blot - Anti-YB1 antibody [RM1188] (AB320005)
  • WB

Supplier Data

Western blot - Anti-YB1 antibody [RM1188] (AB320005)

Blocking and diluting buffer and concentration : 5% NFDM/TBST.

Low expression tissue : skeletal muscle

The molecular weight observed is consistent with what has been described in the literature (PMID : 27168020, PMID : 24107631).

In Western blot, Anti-GAPDH antibody [EPR16891] - Loading Control (ab181602) staining at 1/200000 dilution.

All lanes:

Western blot - Anti-YB1 antibody [RM1188] (ab320005) at 1/5000 dilution

Lane 1:

Mouse liver tissue lysate at 10 µg

Lane 2:

Mouse skeletal muscle tissue lysate at 10 µg

Lane 3:

Rat liver tissue lysate at 10 µg

Lane 4:

Rat skeletal muscle tissue lysate at 10 µg

Secondary

All lanes:

Western blot - Goat Anti-Rabbit IgG H&L (HRP) (<a href='/products/secondary-antibodies/goat-rabbit-igg-h-l-hrp-ab97051'>ab97051</a>) at 1/100000 dilution

Observed band size: 50 kDa,36 kDa

false

Exposure time: 81s

Key facts

宿主種

Rabbit

クローン性

Multiclonal

クローン番号

RM1188

アイソタイプ

IgG

キャリアフリー

No

交差種

Human, Mouse, Rat

アプリケーション

WB, ICC/IF, Flow Cyt, IP, IHC-P, Flow Cyt (Intra)

applications

免疫原

The exact immunogen used to generate this antibody is proprietary information.

Reactivity data

{ "title": "Reactivity Data", "filters": { "stats": ["", "Species", "Dilution Info", "Notes"], "tabs": { "all-applications": {"fullname" : "All Applications", "shortname": "All Applications"}, "ICCIF" : {"fullname" : "Immunocytochemistry/ Immunofluorescence", "shortname":"ICC/IF"}, "WB" : {"fullname" : "Western blot", "shortname":"WB"}, "FlowCyt" : {"fullname" : "Flow Cytometry", "shortname":"Flow Cyt"}, "IP" : {"fullname" : "Immunoprecipitation", "shortname":"IP"}, "FlowCytIntra" : {"fullname" : "Flow Cytometry (Intracellular)", "shortname":"Flow Cyt (Intra)"}, "IHCP" : {"fullname" : "Immunohistochemistry (Formalin/PFA-fixed paraffin-embedded sections)", "shortname":"IHC-P"} }, "product-promise": { "all": "all", "testedAndGuaranteed": "tested", "guaranteed": "expected", "predicted": "predicted", "notRecommended": "not-recommended" } }, "values": { "Human": { "ICCIF-species-checked": "testedAndGuaranteed", "ICCIF-species-dilution-info": "1/500", "ICCIF-species-notes": "<p></p>", "WB-species-checked": "testedAndGuaranteed", "WB-species-dilution-info": "1/5000", "WB-species-notes": "<p></p>", "FlowCyt-species-checked": "testedAndGuaranteed", "FlowCyt-species-dilution-info": "1/500", "FlowCyt-species-notes": "<p></p>", "IP-species-checked": "testedAndGuaranteed", "IP-species-dilution-info": "1/30", "IP-species-notes": "<p></p>", "FlowCytIntra-species-checked": "testedAndGuaranteed", "FlowCytIntra-species-dilution-info": "1/500", "FlowCytIntra-species-notes": "<p></p>", "IHCP-species-checked": "testedAndGuaranteed", "IHCP-species-dilution-info": "1/5000", "IHCP-species-notes": "<p></p> Perform heat-mediated antigen retrieval with Tris/EDTA buffer pH 9.0 before commencing with IHC staining protocol." }, "Mouse": { "ICCIF-species-checked": "testedAndGuaranteed", "ICCIF-species-dilution-info": "1/500", "ICCIF-species-notes": "<p></p>", "WB-species-checked": "testedAndGuaranteed", "WB-species-dilution-info": "1/5000", "WB-species-notes": "<p></p>", "FlowCyt-species-checked": "testedAndGuaranteed", "FlowCyt-species-dilution-info": "1/500", "FlowCyt-species-notes": "<p></p>", "IP-species-checked": "testedAndGuaranteed", "IP-species-dilution-info": "1/30", "IP-species-notes": "<p></p>", "FlowCytIntra-species-checked": "testedAndGuaranteed", "FlowCytIntra-species-dilution-info": "1/500", "FlowCytIntra-species-notes": "<p></p>", "IHCP-species-checked": "testedAndGuaranteed", "IHCP-species-dilution-info": "1/5000", "IHCP-species-notes": "<p></p> Perform heat-mediated antigen retrieval with Tris/EDTA buffer pH 9.0 before commencing with IHC staining protocol." }, "Rat": { "ICCIF-species-checked": "testedAndGuaranteed", "ICCIF-species-dilution-info": "1/500", "ICCIF-species-notes": "<p></p>", "WB-species-checked": "testedAndGuaranteed", "WB-species-dilution-info": "1/5000", "WB-species-notes": "<p></p>", "FlowCyt-species-checked": "testedAndGuaranteed", "FlowCyt-species-dilution-info": "1/500", "FlowCyt-species-notes": "<p></p>", "IP-species-checked": "testedAndGuaranteed", "IP-species-dilution-info": "1/30", "IP-species-notes": "<p></p>", "FlowCytIntra-species-checked": "testedAndGuaranteed", "FlowCytIntra-species-dilution-info": "1/500", "FlowCytIntra-species-notes": "<p></p>", "IHCP-species-checked": "testedAndGuaranteed", "IHCP-species-dilution-info": "1/5000", "IHCP-species-notes": "<p></p> Perform heat-mediated antigen retrieval with Tris/EDTA buffer pH 9.0 before commencing with IHC staining protocol." } } }

製品の詳細

What are recombinant multiclonals?
Recombinant multiclonals are a mixture of recombinant antibodies co-expressed from a library of heavy and light chains. They offer several advantages including:

  • - The sensitivity of polyclonal antibodies by recognising multiple epitopes
  • - High batch-to-batch consistency and reproducibility
  • - Improved sensitivity and specificity
  • - Long-term security of supply
  • - Animal-free batch production

View our range of recombinant multiclonal antibodies.

Patented technology
Our RabMAb® technology is a patented hybridoma-based technology for making rabbit monoclonal antibodies. For details on our patents, please refer to RabMAb® patents.

出荷温度及び保存条件

製品の状態
Liquid
精製方法
Affinity purification Protein A
バッファー組成
pH: 7.2 - 7.4 Preservative: 0.01% Sodium azide Constituents: PBS, 40% Glycerol (glycerin, glycerine), 0.05% BSA
出荷温度
Blue Ice
短期保存期間
1-2 weeks
短期保存温度
+4°C
長期保存温度
-20°C
分注に関する情報
Upon delivery aliquot
保管に関する情報
Avoid freeze / thaw cycle

製品プロトコール

For this product, it's our understanding that no specific protocols are required. You can visit:

ターゲットの情報

DNA- and RNA-binding protein involved in various processes, such as translational repression, RNA stabilization, mRNA splicing, DNA repair and transcription regulation (PubMed : 10817758, PubMed : 11698476, PubMed : 14718551, PubMed : 18809583, PubMed : 31358969, PubMed : 8188694). Predominantly acts as a RNA-binding protein : binds preferentially to the 5'-[CU]CUGCG-3' RNA motif and specifically recognizes mRNA transcripts modified by C5-methylcytosine (m5C) (PubMed : 19561594, PubMed : 31358969). Promotes mRNA stabilization : acts by binding to m5C-containing mRNAs and recruiting the mRNA stability maintainer ELAVL1, thereby preventing mRNA decay (PubMed : 10817758, PubMed : 11698476, PubMed : 31358969). Component of the CRD-mediated complex that promotes MYC mRNA stability (PubMed : 19029303). Contributes to the regulation of translation by modulating the interaction between the mRNA and eukaryotic initiation factors (By similarity). Plays a key role in RNA composition of extracellular exosomes by defining the sorting of small non-coding RNAs, such as tRNAs, Y RNAs, Vault RNAs and miRNAs (PubMed : 27559612, PubMed : 29073095). Probably sorts RNAs in exosomes by recognizing and binding C5-methylcytosine (m5C)-containing RNAs (PubMed : 28341602, PubMed : 29073095). Acts as a key effector of epidermal progenitors by preventing epidermal progenitor senescence : acts by regulating the translation of a senescence-associated subset of cytokine mRNAs, possibly by binding to m5C-containing mRNAs (PubMed : 29712925). Also involved in pre-mRNA alternative splicing regulation : binds to splice sites in pre-mRNA and regulates splice site selection (PubMed : 12604611). Binds to TSC22D1 transcripts, thereby inhibiting their translation and negatively regulating TGF-beta-mediated transcription of COL1A2 (By similarity). Also able to bind DNA : regulates transcription of the multidrug resistance gene MDR1 is enhanced in presence of the APEX1 acetylated form at 'Lys-6' and 'Lys-7' (PubMed : 18809583). Binds to promoters that contain a Y-box (5'-CTGATTGGCCAA-3'), such as MDR1 and HLA class II genes (PubMed : 18809583, PubMed : 8188694). Promotes separation of DNA strands that contain mismatches or are modified by cisplatin (PubMed : 14718551). Has endonucleolytic activity and can introduce nicks or breaks into double-stranded DNA, suggesting a role in DNA repair (PubMed : 14718551). The secreted form acts as an extracellular mitogen and stimulates cell migration and proliferation (PubMed : 19483673).
See full target information YBX1

追加のターゲット

,

Abcam product promise

当社は、高品質な試薬を通じてお客様の研究を力強くサポートすることをお約束いたします。ご使用いただく各段階で、常にお客様をサポートできる体制を整えております。万が一、製品が期待通りに機能しない場合は、「Abcam Product Promise」による当社保証制度に基づき、安心してご利用いただけます。
保証に関する詳細については利用規約をご確認ください。

Please note: All products are 'FOR RESEARCH USE ONLY. NOT FOR USE IN DIAGNOSTIC OR THERAPEUTIC PROCEDURES'.

For licensing inquiries, please contact partnerships@abcam.com