JavaScript is disabled in your browser. Please enable JavaScript to view this website.
AB12148

Anti-YB1 抗体

Anti-YB1 antibody

5

(18 Reviews)

|

(104 Publications)

Anti-YB1 antibody (ab12148) is a rabbit polyclonal antibody detecting YB1 in Western Blot, ICC/IF. Suitable for Human.

- Over 80 publications
- Trusted since 2005

別名を表示する

NSEP1, YB1, YBX1, Y-box-binding protein 1, YB-1, CCAAT-binding transcription factor I subunit A, DNA-binding protein B, Enhancer factor I subunit A, Nuclease-sensitive element-binding protein 1, Y-box transcription factor, CBF-A, DBPB, EFI-A

8 Images
Western blot - Anti-YB1 antibody (AB12148)
  • WB

Ap

Western blot - Anti-YB1 antibody (AB12148)

This blot was produced using a 4-12% Bis-tris gel under the MOPS buffer system. The gel was run at 200V for 50 minutes before being transferred onto a Nitrocellulose membrane at 30V for 70 minutes. The membrane was then blocked for an hour using 3% Milk before being incubated with ab12148 overnight at 4°C. Antibody binding was detected using an anti-rabbit antibody conjugated to HRP, and visualised using ECL development solution ab133406.

All lanes:

Western blot - Anti-YB1 antibody (ab12148) at 1 µg/mL

Lane 1:

HeLa (Human epithelial carcinoma cell line) Whole Cell Lysate at 10 µg

Lane 2:

MCF7 (Human breast adenocarcinoma cell line) Whole Cell Lysate at 10 µg

Lane 3:

Jurkat (Human) Whole Cell Lysate at 10 µg

Lane 4:

Western blot - T-47D whole cell lysate (<a href='/products/cell-lysates/t-47d-whole-cell-lysate-ab14899'>ab14899</a>) at 10 µg

Lane 5:

MDA-MB-231 (Human breast adenocarcinoma cell line) Whole Cell Lysate at 10 µg

Secondary

All lanes:

Goat polyclonal to Rabbit IgG - H&L - Pre-Adsorbed (HRP) at 1/50000 dilution

Predicted band size: 36 kDa

Observed band size: 100 kDa,50 kDa

true

Exposure time: 4min

Immunocytochemistry/ Immunofluorescence - Anti-YB1 antibody (AB12148)
  • ICC/IF

Unknown

Immunocytochemistry/ Immunofluorescence - Anti-YB1 antibody (AB12148)

ICC/IF image of ab12148 stained human HeLa cells. The cells were PFA fixed (3.7% PFA, 5 min) and incubated with the antibody (ab12148, 1μg/ml) for 1h at room temperature. The secondary antibody (green) was Alexa Fluor® 488 goat anti-rabbit IgG (H+L) used at a 1/1000 dilution for 1h. Image-iT™ FX Signal Enhancer was used as the primary blocking agent, 5% BSA (in TBS-T) was used for all other blocking steps. DAPI was used to stain the cell nuclei (blue). Alexa Fluor® 594 WGA was used to label plasma membranes (red).

Immunocytochemistry/ Immunofluorescence - Anti-YB1 antibody (AB12148)
  • ICC/IF

Unknown

Immunocytochemistry/ Immunofluorescence - Anti-YB1 antibody (AB12148)

ICC/IF image of ab12148 stained HeLa cells. The cells were 4% PFA fixed (10 min) and then incubated in 1%BSA / 10% normal goat serum / 0.3M glycine in 0.1% PBS-Tween for 1h to permeabilise the cells and block non-specific protein-protein interactions. The cells were then incubated with the antibody (ab12148, 1μg/ml) overnight at +4°C. The secondary antibody (green) was DyLight® 488 goat anti-rabbit IgG - H&L, pre-adsorbed (ab96899) used at a 1/250 dilution for 1h. Alexa Fluor® 594 WGA was used to label plasma membranes (red) at a 1/200 dilution for 1h. DAPI was used to stain the cell nuclei (blue) at a concentration of 1.43μM.

Immunocytochemistry/ Immunofluorescence - Anti-YB1 antibody (AB12148)
  • ICC/IF

Unknown

Immunocytochemistry/ Immunofluorescence - Anti-YB1 antibody (AB12148)

ICC/IF image of ab12148 stained human HeLa cells. The cells were PFA fixed (3.7% PFA, 5 min) and incubated with the antibody (ab12148, 1μg/ml) for 1h at room temperature. The secondary antibody (green) was Alexa Fluor® 488 goat anti-rabbit IgG (H+L) used at a 1/1000 dilution for 1h. Image-iT™ FX Signal Enhancer was used as the primary blocking agent, 5% BSA (in TBS-T) was used for all other blocking steps. DAPI was used to stain the cell nuclei (blue). Alexa Fluor® 594 WGA was used to label plasma membranes (red).

Immunohistochemistry (Formalin/PFA-fixed paraffin-embedded sections) - Anti-YB1 antibody (AB12148)
  • IHC-P

Supplier Data

Immunohistochemistry (Formalin/PFA-fixed paraffin-embedded sections) - Anti-YB1 antibody (AB12148)

Immunohistochemical analysis of paraffin-embedded Human breast tissue labeling YB1 with ab320005 at 1/5000 (0.098 ug/ml) dilution, followed by a ready to use LeicaDS9800 (Bond™ Polymer Refine Detection).

Positive staining on human breast in (A) ab320005 and (B) ab12148. The image on (A) ab320005 is applied with Anti-YBX1 antibody at 1/5000 dilution. The image on (B) ab12148 is applied with Anti-YBX1 antibody at 1/200 dilution. The section was incubated with ab320005 for 30 mins at room temperature. The immunostaining was performed on a Leica Biosystems BOND® RX instrument
Incubate slides with 3% Hydrogen Peroxide for 10 mins at room temperature after secondary antibody incubation to reduce the background

Counterstained with Hematoxylin.

Secondary antibody only control : Secondary antibody is a ready to use LeicaDS9800 (Bond™ Polymer Refine Detection).

Heat mediated antigen retrieval was performed with Tris-EDTA buffer (pH 9.0, Epitope Retrieval Solution2) for 20 mins

Western blot - Anti-YB1 antibody (AB12148)
  • WB

Unknown

Western blot - Anti-YB1 antibody (AB12148)

Lanes 1 to 10 : ab12148 - Rabbit polyclonal to YB1 (1.4μg/ml)

Lanes 1 to 10 : 20μg of cell lysate per lane
Lanes 6 to 10 : blocking peptide used at 1μg/ml

Lane 1 : HeLa Nuclear Extract
Lane 2 : HeLa Whole Cell Lysate
Lane 3 : MCF-7 Cell Lysate
Lane 4 : Jurkat Whole Cell Lysate
Lane 5 : HEK293 Whole Cell Lysate
Lane 6 : HeLa Nuclear Extract + YB1 blocking peptide (ab12411)
Lane 7 : HeLa Whole Cell Lysate + YB1 blocking peptide (ab12411)
Lane 8 : MCF-7 Cell Lysate + YB1 blocking peptide (ab12411)
Lane 9 : Jurkat Whole Cell Lysate + YB1 blocking peptide (ab12411)
Lane 10 : HEK293 Whole Cell Lysate + YB1 blocking peptide (ab12411)

Expected MW : 36 kDa

A band of approx 36 kDa was partially blocked in several cell lines using a YB1 blo

All lanes:

Western blot - Anti-YB1 antibody (ab12148) at 1.4 µg/mL

Lanes 1 and 6:

HeLa Nuclear lysate at 20 µg

Lanes 2 and 7:

HeLa Whole cell lysate at 20 µg

Lanes 3 and 8:

MCF-7 cell lysate at 20 µg

Lanes 4 and 9:

Jurkat whole cell lysate at 20 µg

Lane 5:

HEK293 Whole cell lysate at 20 µg

Lane 10:

HEK293 whole cell lysate at 20 µg

Predicted band size: 36 kDa

Observed band size: 36 kDa,50 kDa

false

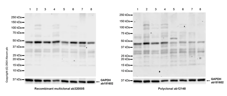
Western blot - Anti-YB1 antibody (AB12148)
  • WB

Supplier Data

Western blot - Anti-YB1 antibody (AB12148)

Blocking and diluting buffer and concentration : 5% NFDM/TBST.

The molecular weight observed is consistent with what has been described in the literature (PMID : 27168020, PMID : 24107631).

This blot of polyclonal ab12148 was developed using a high-sensitivity ECL substrate, allowing for the detection of proteins in the mid-femtogram range.

The identity of the higher MW band at approximately 15 kDa and between 50 kDa and 150 kDa (Lane 2, 4, 6) are unknown.

In Western blot, Anti-GAPDH antibody [EPR16891] - Loading Control (ab181602) staining at 1/200000 dilution.

All lanes:

Western blot - Anti-YB1 antibody [RM1188] (<a href='/products/primary-antibodies/yb1-antibody-rm1188-ab320005'>ab320005</a>) at 1/5000 dilution

Lane 1:

HeLa (human cervical adenocarcinoma epithelial cell) whole cell lysate at 10 µg

Lane 2:

SW480 (human colorectal adenocarcinoma epithelial cell) whole cell lysate at 10 µg

Lane 3:

MCF7 (human breast adenocarcinoma epithelial cell) whole cell lysate at 10 µg

Lane 4:

293T (human embryonic kidney epithelial cell) whole cell lysate at 10 µg

Lane 5:

RAW 264.7 (mouse Abelson murine leukemia virus-induced tumor macrophage) whole cell lysate at 10 µg

Lane 6:

NIH/3T3 (mouse embryonic fibroblast) whole cell lysate at 10 µg

Lane 7:

C6 (rat glial tumor glial cell) whole cell lysate at 10 µg

Lane 8:

PC-12 (rat adrenal gland pheochromocytoma cell) whole cell lysate at 10 µg

Secondary

All lanes:

Western blot - Goat Anti-Rabbit IgG H&L (HRP) (<a href='/products/secondary-antibodies/goat-rabbit-igg-h-l-hrp-ab97051'>ab97051</a>) at 1/100000 dilution

Observed band size: 50 kDa,36 kDa

false

Western blot - Anti-YB1 antibody (AB12148)
  • WB

Project

Western blot - Anti-YB1 antibody (AB12148)

YB1 has a predicted band size of 36kDa based on its primary sequence (SwissProt). According to Evdolimova (1995) YB1 migrates by SDS-PAGE at 50kDa, which may be due to post-translational modification

All lanes:

Western blot - Anti-YB1 antibody (ab12148) at 1 µg/mL

All lanes:

HEK293 Whole Cell Lysate Transiently Overexpressing YB1 at 10 µg

Secondary

All lanes:

Goat polyclonal to Rabbit IgG - H&L - Pre-Adsorbed (HRP) at 1/3000 dilution

Predicted band size: 36 kDa

Observed band size: 50 kDa

false

Key facts

宿主種

Rabbit

クローン性

Polyclonal

アイソタイプ

IgG

キャリアフリー

No

交差種

Human

アプリケーション

WB, ICC/IF

applications

免疫原

The exact immunogen used to generate this antibody is proprietary information.

特異性

From April 2025, QC testing of replenishment batches of this polyclonal changed. All tested and expected application and reactive species combinations are still covered by our Abcam product promise. However, we no longer test all applications. For more information on a specific batch, please contact our Scientific Support who will be happy to help.

Reactivity data

{ "title": "Reactivity Data", "filters": { "stats": ["", "Species", "Dilution Info", "Notes"], "tabs": { "all-applications": {"fullname" : "All Applications", "shortname": "All Applications"}, "WB" : {"fullname" : "Western blot", "shortname":"WB"}, "ICCIF" : {"fullname" : "Immunocytochemistry/ Immunofluorescence", "shortname":"ICC/IF"} }, "product-promise": { "all": "all", "testedAndGuaranteed": "tested", "guaranteed": "expected", "predicted": "predicted", "notRecommended": "not-recommended" } }, "values": { "Human": { "WB-species-checked": "testedAndGuaranteed", "WB-species-dilution-info": "1-1.4 µg/mL", "WB-species-notes": "<p>The 50 kDa band detected is consistent with the literature describing migration of YB1.</p>", "ICCIF-species-checked": "guaranteed", "ICCIF-species-dilution-info": "1 µg/mL", "ICCIF-species-notes": "<p></p>" }, "Mouse": { "WB-species-checked": "predicted", "WB-species-dilution-info": "", "WB-species-notes": "", "ICCIF-species-checked": "predicted", "ICCIF-species-dilution-info": "", "ICCIF-species-notes": "" }, "Rat": { "WB-species-checked": "predicted", "WB-species-dilution-info": "", "WB-species-notes": "", "ICCIF-species-checked": "predicted", "ICCIF-species-dilution-info": "", "ICCIF-species-notes": "" }, "Xenopus laevis": { "WB-species-checked": "predicted", "WB-species-dilution-info": "", "WB-species-notes": "", "ICCIF-species-checked": "predicted", "ICCIF-species-dilution-info": "", "ICCIF-species-notes": "" } } }

製品の詳細

What is this antibody validated in?
Anti-YB1 antibody (ab12148) is a rabbit polyclonal antibody and is validated for use in Western Blot (WB), Immunocytochemistry/immunofluorescence (ICC/IF) in Human samples.

What is the molecular weight of YB1?
Anti-YB1 (ab12148) specifically detects a band for YB1 (UniProt: P67809) at a molecular weight of 36kDa.

Trusted by the scientific community
Anti-YB1 (ab12148) was first used in a scientific publication in 2005 and has been cited over 80 times in peer-reviewed journals.

Reviewed by scientists
Anti-YB1 (ab12148) has over 15 independent reviews from customers.

出荷温度及び保存条件

製品の状態
Liquid
精製方法
Affinity purification Immunogen
バッファー組成
pH: 7.4 Preservative: 0.02% Sodium azide Constituents: PBS, 1% BSA
出荷温度
Blue Ice
短期保存期間
1-2 weeks
短期保存温度
+4°C
長期保存温度
-20°C
分注に関する情報
Upon delivery aliquot
保管に関する情報
Avoid freeze / thaw cycle

補足情報

This supplementary information is collated from multiple sources and compiled automatically.

Y-box Binding Protein 1 (YB1) also known as YBX1 is a multifunctional protein with a mass of approximately 36 kDa. It belongs to the cold shock protein family that contains a highly conserved cold shock domain. YB1 is broadly expressed across many tissues predominantly found in the cytoplasm and nucleus where it functions as a transcription factor and RNA-binding protein. Through its transcriptional regulatory activity YB1 can bind to Y-box sequences in the promoter regions of genes and modulate their expression.
Biological function summary

YB1 plays vital roles in regulating cell proliferation stress response and differentiation. It does not operate alone; it interacts with various complexes notably ribonucleoprotein complexes. YB1 regulates gene expression at both transcriptional and translational levels impacting cell cycle progression and apoptosis pathways. Its ability to bind RNA and DNA makes it integral in controlling the expression of genes related to stress responses and developmental processes.

Pathways

YB1 is essential in many signaling pathways that govern cell growth and survival including the PI3K/AKT pathway and MAPK pathway. In these pathways it interacts with proteins like AKT1 and MAPK3 influencing cellular responses to external and internal stimuli. These interactions reveal the adaptability of YB1 in various cellular contexts allowing it to mediate pathway-specific responses to environmental cues thereby promoting the maintenance of cellular homeostasis and adaptation.

The dysregulation of YB1 has been linked to cancer and neurodegenerative diseases. Overexpression or altered localization of YB1 often in connection with other proteins such as p53 contributes to tumorigenesis by enhancing cell proliferation and inhibiting programmed cell death. In neurodegenerative diseases impaired YB1 function can negatively affect neuronal survival potentially mediated through its interactions with proteins like tau which are implicated in conditions such as Alzheimer's disease. Understanding of these associations highlights the potential of YB1 as a therapeutic target in disease management.

製品プロトコール

For this product, it's our understanding that no specific protocols are required. You can visit:

ターゲットの情報

DNA- and RNA-binding protein involved in various processes, such as translational repression, RNA stabilization, mRNA splicing, DNA repair and transcription regulation (PubMed : 10817758, PubMed : 11698476, PubMed : 14718551, PubMed : 18809583, PubMed : 31358969, PubMed : 8188694). Predominantly acts as a RNA-binding protein : binds preferentially to the 5'-[CU]CUGCG-3' RNA motif and specifically recognizes mRNA transcripts modified by C5-methylcytosine (m5C) (PubMed : 19561594, PubMed : 31358969). Promotes mRNA stabilization : acts by binding to m5C-containing mRNAs and recruiting the mRNA stability maintainer ELAVL1, thereby preventing mRNA decay (PubMed : 10817758, PubMed : 11698476, PubMed : 31358969). Component of the CRD-mediated complex that promotes MYC mRNA stability (PubMed : 19029303). Contributes to the regulation of translation by modulating the interaction between the mRNA and eukaryotic initiation factors (By similarity). Plays a key role in RNA composition of extracellular exosomes by defining the sorting of small non-coding RNAs, such as tRNAs, Y RNAs, Vault RNAs and miRNAs (PubMed : 27559612, PubMed : 29073095). Probably sorts RNAs in exosomes by recognizing and binding C5-methylcytosine (m5C)-containing RNAs (PubMed : 28341602, PubMed : 29073095). Acts as a key effector of epidermal progenitors by preventing epidermal progenitor senescence : acts by regulating the translation of a senescence-associated subset of cytokine mRNAs, possibly by binding to m5C-containing mRNAs (PubMed : 29712925). Also involved in pre-mRNA alternative splicing regulation : binds to splice sites in pre-mRNA and regulates splice site selection (PubMed : 12604611). Binds to TSC22D1 transcripts, thereby inhibiting their translation and negatively regulating TGF-beta-mediated transcription of COL1A2 (By similarity). Also able to bind DNA : regulates transcription of the multidrug resistance gene MDR1 is enhanced in presence of the APEX1 acetylated form at 'Lys-6' and 'Lys-7' (PubMed : 18809583). Binds to promoters that contain a Y-box (5'-CTGATTGGCCAA-3'), such as MDR1 and HLA class II genes (PubMed : 18809583, PubMed : 8188694). Promotes separation of DNA strands that contain mismatches or are modified by cisplatin (PubMed : 14718551). Has endonucleolytic activity and can introduce nicks or breaks into double-stranded DNA, suggesting a role in DNA repair (PubMed : 14718551). The secreted form acts as an extracellular mitogen and stimulates cell migration and proliferation (PubMed : 19483673).
See full target information YBX1

文献 (104)

Recent publications for all applications. Explore the full list and refine your search

Cell death discovery 11:432 PubMed41053069

2025

Modulation of stress granules by lobeline increases cell death in hypoxia and impacts the ability of glioblastoma cells to secrete extracellular vesicles.

Applications

Unspecified application

Species

Unspecified reactive species

Kathleen M Attwood,Lauren P Westhaver,Aaron Robichaud,Jae Ho Han,Sydney Croul,Gabriel Wajnberg,Jeremy W Roy,Adrienne C Weeks

British journal of cancer 133:1391-1400 PubMed40908296

2025

Inhibition of YB-1 phosphorylation enhances cisplatin activity and disrupts cell division in pleural mesothelioma.

Applications

Unspecified application

Species

Unspecified reactive species

Karin Schelch,Nadine Maach,Muhammad Hashim,Benjamin Zitta,Dominik Kirchhofer,Gerald Timelthaler,Anna Solta,Dominik Emminger,Verena Kopatz,Mir A Hoda,Walter Berger,Clemens Aigner,Balazs Dome,Glen Reid,Michael Grusch

PLoS biology 23:e3003194 PubMed40471969

2025

A hormone-dependent tRNA half promotes cell cycle progression via destabilization of p21 mRNA.

Applications

Unspecified application

Species

Unspecified reactive species

Takuya Kawamura,Megumi Shigematsu,Yohei Kirino

Journal of translational medicine 23:506 PubMed40319271

2025

The biomarker potential of circPOLD1 and its binding protein YBX1 in cervical carcinogenesis.

Applications

Unspecified application

Species

Unspecified reactive species

Lu Zhao,Xin Chen,Yanan Zhang,Yixuan Cen,Tingjia Zhu,Lingfang Wang,Lili Xia,Yang Li,Xiaodong Cheng,Xing Xie,Weiguo Lu,Junfen Xu

Nucleic acids research 53: PubMed40219968

2025

Nuclear AGO2 supports influenza A virus replication through type-I interferon regulation.

Applications

Unspecified application

Species

Unspecified reactive species

Hsiang-Chi Huang,Michelle Fong,Iwona Nowak,Evgeniia Shcherbinina,Vivian Lobo,Danica F Besavilla,Hang T Huynh,Karin Schön,Jakub O Westholm,Carola Fernandez,Angana A H Patel,Clotilde Wiel,Volkan I Sayin,Dimitrios G Anastasakis,Davide Angeletti,Aishe A Sarshad

Oncogene 44:601-617 PubMed39633064

2024

Breast cancer stem cell-derived exosomal lnc-PDGFD induces fibroblast-niche formation and promotes lung metastasis.

Applications

Unspecified application

Species

Unspecified reactive species

Tingting Tang,Tao Yang,Huijie Xue,Xiao Liu,Jie Yu,Chen Liang,Dameng Li,Chenxi Xiang,Junnian Zheng,Liang Wei,Bo Ma

Nucleic acids research 52:12021-12038 PubMed39217468

2024

ADAR3 modulates neuronal differentiation and regulates mRNA stability and translation.

Applications

Unspecified application

Species

Unspecified reactive species

Victor Karlström,Eduardo A Sagredo,Jordi Planells,Charlotte Welinder,Jennifer Jungfleisch,Andrea Barrera-Conde,Linus Engfors,Chammiran Daniel,Fátima Gebauer,Neus Visa,Marie Öhman

Cell biology and toxicology 40:29 PubMed38700571

2024

Exosomal YB-1 facilitates ovarian restoration by MALAT1/miR-211-5p/FOXO axis.

Applications

Unspecified application

Species

Unspecified reactive species

Mengxue Zhang,Jie Xing,Shijie Zhao,Minjun Lu,Yueqin Liu,Li Lin,Wujiang Gao,Lu Chen,Wenxin Li,Junyu Shang,Jiamin Zhou,Xinming Yin,Xiaolan Zhu

Clinical and translational medicine 14:e1621 PubMed38468490

2024

NSUN2 promotes colorectal cancer progression by enhancing SKIL mRNA stabilization.

Applications

Unspecified application

Species

Unspecified reactive species

Shaomin Zou,Yizhi Huang,Ziqing Yang,Jieping Zhang,Manqi Meng,Yijing Zhang,Junyan Feng,Rui Sun,Weiyao Li,Wencong Wang,Jesús García-Foncillas López,Lekun Fang

International journal of molecular sciences 25: PubMed38203580

2024

YB-1 Is a Novel Target for the Inhibition of α-Adrenergic-Induced Hypertrophy.

Applications

Unspecified application

Species

Unspecified reactive species

Jacqueline Heger,Stefan Partsch,Claudia Harjung,Zoltán V Varga,Tamás Baranyai,Johannes Weiß,Lea Kremer,Fabian Locquet,Przemyslaw Leszek,Bence Ágg,Bettina Benczik,Péter Ferdinandy,Rainer Schulz,Gerhild Euler
View all publications

Abcam product promise

当社は、高品質な試薬を通じてお客様の研究を力強くサポートすることをお約束いたします。ご使用いただく各段階で、常にお客様をサポートできる体制を整えております。万が一、製品が期待通りに機能しない場合は、「Abcam Product Promise」による当社保証制度に基づき、安心してご利用いただけます。
保証に関する詳細については利用規約をご確認ください。

Please note: All products are 'FOR RESEARCH USE ONLY. NOT FOR USE IN DIAGNOSTIC OR THERAPEUTIC PROCEDURES'.

For licensing inquiries, please contact partnerships@abcam.com