JavaScript is disabled in your browser. Please enable JavaScript to view this website.
AB313880

Anti-XAF1 抗体 [EPR26960-175] - BSA and Azide free

Anti-XAF1 antibody [EPR26960-175] - BSA and Azide free

Be the first to review this product! Submit a review

|

(0 Publication)

Rabbit Recombinant Monoclonal XAF1 antibody. Carrier free. Suitable for WB, IP and reacts with Human samples.

別名を表示する

BIRC4BP, XIAPAF1, XAF1, XIAP-associated factor 1, BIRC4-binding protein

2 Images
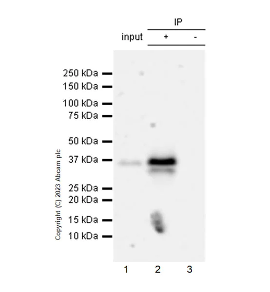
Immunoprecipitation - Anti-XAF1 antibody [EPR26960-175] - BSA and Azide free (AB313880)
  • IP

Supplier Data

Immunoprecipitation - Anti-XAF1 antibody [EPR26960-175] - BSA and Azide free (AB313880)

This data was developed using ab313879, the same antibody clone in a different buffer formulation. XAF1 was immunoprecipitated from 0.35 mg HeLa (human cervical adenocarcinoma epithelial cell) treated with 10 ng/ml human IFN alpha for 24 hours whole cell lysate with ab313879 at 1/30 dilution (2ug in 0.35mg lysates). Western blot was performed on the immunoprecipitate using ab313879 at 1/1000 dilution. VeriBlot for IP secondary antibody(HRP)(ab131366) was used at 1/5000 dilution. Lane 1 : HeLa (human cervical adenocarcinoma epithelial cell) treated with 10 ng/ml human IFN alpha for 24 hours whole cell lysate Lane 2 : ab313879 IP in HeLa (human cervical adenocarcinoma epithelial cell) treated with 10 ng/ml human IFN alpha for 24 hours whole cell lysate Lane 3 : Rabbit monoclonal IgG (ab172730) instead of ab313879 in HeLa treated with 10 ng/ml human IFN alpha for 24 hours whole cell lysate Blocking and dilution buffer and concentration : 5% NFDM/TBST. Exposure time : 76 seconds

All lanes:

Immunoprecipitation - Anti-XAF1 antibody [EPR26960-175] (<a href='/products/primary-antibodies/xaf1-antibody-epr26960-175-ab313879'>ab313879</a>) at 1/30 dilution

All lanes:

HeLa (human cervical adenocarcinoma epithelial cell) treated with 10 ng/ml human IFN alpha for 24 hours whole cell lysate

Secondary

All lanes:

Immunoprecipitation - VeriBlot for IP Detection Reagent (HRP) (<a href='/products/reagents/veriblot-for-ip-detection-reagent-hrp-ab131366'>ab131366</a>) at 1/5000 dilution

false

Exposure time: 76s

Western blot - Anti-XAF1 antibody [EPR26960-175] - BSA and Azide free (AB313880)
  • WB

Supplier Data

Western blot - Anti-XAF1 antibody [EPR26960-175] - BSA and Azide free (AB313880)

This data was developed using ab313879, the same antibody clone in a different buffer formulation.

Blocking and diluting buffer and concentration : 5% NFDM/TBST.

Negative control : K-562 (PMID : 11175744).

In Western blot, anti-GAPDH antibody (ab181602) loading control staining at 1/200000 dilution.

Exposure time : Lanes 1-2 : 59 seconds; Lanes 3-5 : 6 seconds.

All lanes:

Western blot - Anti-XAF1 antibody [EPR26960-175] (<a href='/products/primary-antibodies/xaf1-antibody-epr26960-175-ab313879'>ab313879</a>) at 1/1000 dilution

Lane 1:

Untreated HeLa (human cervical adenocarcinoma epithelial cell) whole cell lysate at 20 µg

Lane 2:

HeLa treated with /ml human IFN alpha for 24 hours whole cell lysate at 20 µg

Lane 3:

Untreated Jurkat (human t cell leukemia t lymphocyte from peripheral blood) whole cell lysate at 20 µg

Lane 4:

Jurkat treated with /ml human IFN alpha overnight whole cell lysate at 20 µg

Lane 5:

K-562 (human chronic myelogenous leukemia lymphoblast) whole cell lysate at 20 µg

Secondary

All lanes:

Western blot - Goat Anti-Rabbit IgG H&L (HRP) (<a href='/products/secondary-antibodies/goat-rabbit-igg-h-l-hrp-ab97051'>ab97051</a>) at 1/20000 dilution

Observed band size: 38 kDa,32 kDa

false

関連する標識済み抗体及び組成の異なる製品 (1)

Key facts

宿主種

Rabbit

クローン性

Monoclonal

クローン番号

EPR26960-175

アイソタイプ

IgG

キャリアフリー

Yes

交差種

Human

アプリケーション

IP, WB

applications

免疫原

The exact immunogen used to generate this antibody is proprietary information.

Reactivity data

{ "title": "Reactivity Data", "filters": { "stats": ["", "Species", "Dilution Info", "Notes"], "tabs": { "all-applications": {"fullname" : "All Applications", "shortname": "All Applications"}, "WB" : {"fullname" : "Western blot", "shortname":"WB"}, "IP" : {"fullname" : "Immunoprecipitation", "shortname":"IP"}, "IHCP" : {"fullname" : "Immunohistochemistry (Formalin/PFA-fixed paraffin-embedded sections)", "shortname":"IHC-P"}, "FlowCytIntra" : {"fullname" : "Flow Cytometry (Intracellular)", "shortname":"Flow Cyt (Intra)"}, "ICCIF" : {"fullname" : "Immunocytochemistry/ Immunofluorescence", "shortname":"ICC/IF"} }, "product-promise": { "all": "all", "testedAndGuaranteed": "tested", "guaranteed": "expected", "predicted": "predicted", "notRecommended": "not-recommended" } }, "values": { "Human": { "WB-species-checked": "testedAndGuaranteed", "WB-species-dilution-info": "", "WB-species-notes": "<p></p>", "IP-species-checked": "testedAndGuaranteed", "IP-species-dilution-info": "", "IP-species-notes": "<p></p>", "IHCP-species-checked": "notRecommended", "IHCP-species-dilution-info": "", "IHCP-species-notes": "<p></p>", "FlowCytIntra-species-checked": "notRecommended", "FlowCytIntra-species-dilution-info": "", "FlowCytIntra-species-notes": "<p></p>", "ICCIF-species-checked": "notRecommended", "ICCIF-species-dilution-info": "", "ICCIF-species-notes": "<p></p>" }, "Mouse": { "WB-species-checked": "notRecommended", "WB-species-dilution-info": "", "WB-species-notes": "<p></p>", "IP-species-checked": "notRecommended", "IP-species-dilution-info": "", "IP-species-notes": "", "IHCP-species-checked": "notRecommended", "IHCP-species-dilution-info": "", "IHCP-species-notes": "<p></p>", "FlowCytIntra-species-checked": "notRecommended", "FlowCytIntra-species-dilution-info": "", "FlowCytIntra-species-notes": "", "ICCIF-species-checked": "notRecommended", "ICCIF-species-dilution-info": "", "ICCIF-species-notes": "" }, "Rat": { "WB-species-checked": "notRecommended", "WB-species-dilution-info": "", "WB-species-notes": "<p></p>", "IP-species-checked": "notRecommended", "IP-species-dilution-info": "", "IP-species-notes": "", "IHCP-species-checked": "notRecommended", "IHCP-species-dilution-info": "", "IHCP-species-notes": "<p></p>", "FlowCytIntra-species-checked": "notRecommended", "FlowCytIntra-species-dilution-info": "", "FlowCytIntra-species-notes": "", "ICCIF-species-checked": "notRecommended", "ICCIF-species-dilution-info": "", "ICCIF-species-notes": "" } } }

製品の詳細

Patented technology
Our RabMAb® technology is a patented hybridoma-based technology for making rabbit monoclonal antibodies. For details on our patents, please refer to RabMAb® patents.

What are the advantages of a recombinant monoclonal antibody?
This product is a recombinant monoclonal antibody, which offers several advantages including:

  • - High batch-to-batch consistency and reproducibility
  • - Improved sensitivity and specificity
  • - Long-term security of supply
  • - Animal-free batch production

For more information, read more on recombinant antibodies.

Conjugation ready
Our carrier-free antibodies are typically supplied in a PBS-only formulation, purified and free of BSA, sodium azide and glycerol. This conjugation-ready format is designed for use with fluorochromes, metal isotopes, oligonucleotides, and enzymes, which makes them ideal for antibody labelling, functional and cell-based assays, flow-based assays (e.g. mass cytometry) and Multiplex Imaging applications.

Use our conjugation kits for antibody conjugates that are ready-to-use in as little as 20 minutes with 1 minute hands-on-time and 100% antibody recovery: available for fluorescent dyes, HRP, biotin and gold.

Compatibility
This product is compatible with the Maxpar® Antibody Labeling Kit from Fluidigm, without the need for antibody preparation. Maxpar® is a trademark of Fluidigm Canada Inc.

出荷温度及び保存条件

製品の状態
Liquid
精製方法
Affinity purification Protein A
バッファー組成
pH: 7.2 - 7.4 Constituents: PBS
出荷温度
Blue Ice
短期保存温度
+4°C
長期保存温度
+4°C

補足情報

This supplementary information is collated from multiple sources and compiled automatically.

The XAF1 protein also known as XIAP associated factor 1 plays a role in apoptosis regulation. It weighs approximately 34 kDa and exists in multiple isoforms. The protein is broadly expressed in various tissues including the liver pancreas and heart. XAF1 interacts directly with XIAP (X-linked inhibitor of apoptosis) counteracting its anti-apoptotic effects. XAF1's activity centers on promoting apoptosis by binding to XIAP and inhibiting its function.
Biological function summary

XAF1 functions in promoting cell death through apoptosis. It forms part of the apoptosome a large protein complex important for the intrinsic pathway of apoptosis. XAF1 exerts its influence by destabilizing XIAP's interaction with caspases releasing them to activate. These interactions trigger a cascade that leads to programmed cell death vital for maintaining cellular balance and response to stress.

Pathways

XAF1 plays significant role in the apoptosis and cell survival pathways. Within the intrinsic pathway XAF1 associates with Bax and caspase-3 directly impacting mitochondrial membrane permeability and caspase activation. These pathways ensure proper cell turnover and reaction to cellular damage often involving Bcl-2 family proteins and Smac/DIABLO protein for regulation as well.

XAF1's role in cancer and neurological disorders is noteworthy. In several cancer types such as colon and gastric cancers decreased XAF1 expression associates with increased cancer cell survival due to impaired apoptosis. Meanwhile abnormal regulation of XAF1 links to neurodegenerative diseases involving proteins like XIAP and caspase-9 where inhibited apoptosis can lead to accumulation of damaged cells contributing to disease progression.

製品プロトコール

For this product, it's our understanding that no specific protocols are required. You can visit:

ターゲットの情報

Seems to function as a negative regulator of members of the IAP (inhibitor of apoptosis protein) family. Inhibits anti-caspase activity of BIRC4. Induces cleavage and inactivation of BIRC4 independent of caspase activation. Mediates TNF-alpha-induced apoptosis and is involved in apoptosis in trophoblast cells. May inhibit BIRC4 indirectly by activating the mitochondrial apoptosis pathway. After translocation to mitochondria, promotes translocation of BAX to mitochondria and cytochrome c release from mitochondria. Seems to promote the redistribution of BIRC4 from the cytoplasm to the nucleus, probably independent of BIRC4 inactivation which seems to occur in the cytoplasm. The BIRC4-XAF1 complex mediates down-regulation of BIRC5/survivin; the process requires the E3 ligase activity of BIRC4. Seems to be involved in cellular sensitivity to the proapoptotic actions of TRAIL. May be a tumor suppressor by mediating apoptosis resistance of cancer cells.
See full target information XAF1

Abcam product promise

当社は、高品質な試薬を通じてお客様の研究を力強くサポートすることをお約束いたします。ご使用いただく各段階で、常にお客様をサポートできる体制を整えております。万が一、製品が期待通りに機能しない場合は、「Abcam Product Promise」による当社保証制度に基づき、安心してご利用いただけます。
保証に関する詳細については利用規約をご確認ください。

Please note: All products are 'FOR RESEARCH USE ONLY. NOT FOR USE IN DIAGNOSTIC OR THERAPEUTIC PROCEDURES'.

For licensing inquiries, please contact partnerships@abcam.com