JavaScript is disabled in your browser. Please enable JavaScript to view this website.
AB17204

Anti-XAF1 抗体

Anti-XAF1 antibody

4

(5 Reviews)

|

(15 Publications)

Rabbit Polyclonal XAF1 antibody. Suitable for WB, IHC-P, ICC/IF and reacts with Human, Mouse, Rat samples. Cited in 15 publications. Immunogen corresponding to Synthetic Peptide within Human XAF1.

別名を表示する

BIRC4BP, XIAPAF1, XAF1, XIAP-associated factor 1, BIRC4-binding protein

2 Images
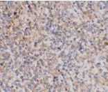
Immunohistochemistry (Formalin/PFA-fixed paraffin-embedded sections) - Anti-XAF1 antibody (AB17204)
  • IHC-P

Unknown

Immunohistochemistry (Formalin/PFA-fixed paraffin-embedded sections) - Anti-XAF1 antibody (AB17204)

ab17204 at 2μg/ml staining XAF1 in human spleen tissue by IHC

Western blot - Anti-XAF1 antibody (AB17204)
  • WB

Unknown

Western blot - Anti-XAF1 antibody (AB17204)

Western blot analysis of XAF1 in human spleen lysate with ab17204 at

Lane A : 0.5 ug/ml

Lane B : 1ug/ml

Lane C : 2ug/ml

Higher 50kDa band presence is lot dependent. This band is not blocked by the immunogen.

Lane 1:

Western blot - Anti-XAF1 antibody (ab17204) at 0.5 µg/mL

Lane 2:

Western blot - Anti-XAF1 antibody (ab17204) at 1 µg/mL

Lane 3:

Western blot - Anti-XAF1 antibody (ab17204) at 2 µg/mL

All lanes:

Human spleen lysate

Predicted band size: 35 kDa

Observed band size: 32 kDa

false

Key facts

宿主種

Rabbit

クローン性

Polyclonal

アイソタイプ

IgG

キャリアフリー

No

交差種

Human, Rat, Mouse

アプリケーション

IHC-P, WB, ICC/IF

applications

免疫原

Synthetic Peptide within Human XAF1. The exact immunogen used to generate this antibody is proprietary information.

Q6GPH4

Reactivity data

{ "title": "Reactivity Data", "filters": { "stats": ["", "Species", "Dilution Info", "Notes"], "tabs": { "all-applications": {"fullname" : "All Applications", "shortname": "All Applications"}, "WB" : {"fullname" : "Western blot", "shortname":"WB"}, "IHCP" : {"fullname" : "Immunohistochemistry (Formalin/PFA-fixed paraffin-embedded sections)", "shortname":"IHC-P"}, "ICCIF" : {"fullname" : "Immunocytochemistry/ Immunofluorescence", "shortname":"ICC/IF"} }, "product-promise": { "all": "all", "testedAndGuaranteed": "tested", "guaranteed": "expected", "predicted": "predicted", "notRecommended": "not-recommended" } }, "values": { "Human": { "WB-species-checked": "testedAndGuaranteed", "WB-species-dilution-info": "0.5-2 µg/mL", "WB-species-notes": "<p>A higher 50kDa band is present at times (lot dependent). This band is not blocked by the immunogen. We do not know the identity of this extra band.</p>", "IHCP-species-checked": "testedAndGuaranteed", "IHCP-species-dilution-info": "", "IHCP-species-notes": "<p></p>", "ICCIF-species-checked": "guaranteed", "ICCIF-species-dilution-info": "", "ICCIF-species-notes": "<p></p>" }, "Mouse": { "WB-species-checked": "predicted", "WB-species-dilution-info": "", "WB-species-notes": "", "IHCP-species-checked": "predicted", "IHCP-species-dilution-info": "", "IHCP-species-notes": "", "ICCIF-species-checked": "guaranteed", "ICCIF-species-dilution-info": "", "ICCIF-species-notes": "<p></p>" }, "Rat": { "WB-species-checked": "predicted", "WB-species-dilution-info": "", "WB-species-notes": "", "IHCP-species-checked": "predicted", "IHCP-species-dilution-info": "", "IHCP-species-notes": "", "ICCIF-species-checked": "guaranteed", "ICCIF-species-dilution-info": "", "ICCIF-species-notes": "<p></p>" } } }

出荷温度及び保存条件

製品の状態
Liquid
精製方法
Affinity purification Immunogen
バッファー組成
pH: 7.2 Preservative: 0.02% Sodium azide Constituents: PBS
出荷温度
Blue Ice
短期保存期間
1-2 weeks
短期保存温度
+4°C
長期保存温度
-20°C
保管に関する情報
Avoid freeze / thaw cycle

補足情報

This supplementary information is collated from multiple sources and compiled automatically.

The XAF1 protein also known as XIAP associated factor 1 plays a role in apoptosis regulation. It weighs approximately 34 kDa and exists in multiple isoforms. The protein is broadly expressed in various tissues including the liver pancreas and heart. XAF1 interacts directly with XIAP (X-linked inhibitor of apoptosis) counteracting its anti-apoptotic effects. XAF1's activity centers on promoting apoptosis by binding to XIAP and inhibiting its function.
Biological function summary

XAF1 functions in promoting cell death through apoptosis. It forms part of the apoptosome a large protein complex important for the intrinsic pathway of apoptosis. XAF1 exerts its influence by destabilizing XIAP's interaction with caspases releasing them to activate. These interactions trigger a cascade that leads to programmed cell death vital for maintaining cellular balance and response to stress.

Pathways

XAF1 plays significant role in the apoptosis and cell survival pathways. Within the intrinsic pathway XAF1 associates with Bax and caspase-3 directly impacting mitochondrial membrane permeability and caspase activation. These pathways ensure proper cell turnover and reaction to cellular damage often involving Bcl-2 family proteins and Smac/DIABLO protein for regulation as well.

XAF1's role in cancer and neurological disorders is noteworthy. In several cancer types such as colon and gastric cancers decreased XAF1 expression associates with increased cancer cell survival due to impaired apoptosis. Meanwhile abnormal regulation of XAF1 links to neurodegenerative diseases involving proteins like XIAP and caspase-9 where inhibited apoptosis can lead to accumulation of damaged cells contributing to disease progression.

製品プロトコール

For this product, it's our understanding that no specific protocols are required. You can visit:

ターゲットの情報

Seems to function as a negative regulator of members of the IAP (inhibitor of apoptosis protein) family. Inhibits anti-caspase activity of BIRC4. Induces cleavage and inactivation of BIRC4 independent of caspase activation. Mediates TNF-alpha-induced apoptosis and is involved in apoptosis in trophoblast cells. May inhibit BIRC4 indirectly by activating the mitochondrial apoptosis pathway. After translocation to mitochondria, promotes translocation of BAX to mitochondria and cytochrome c release from mitochondria. Seems to promote the redistribution of BIRC4 from the cytoplasm to the nucleus, probably independent of BIRC4 inactivation which seems to occur in the cytoplasm. The BIRC4-XAF1 complex mediates down-regulation of BIRC5/survivin; the process requires the E3 ligase activity of BIRC4. Seems to be involved in cellular sensitivity to the proapoptotic actions of TRAIL. May be a tumor suppressor by mediating apoptosis resistance of cancer cells.
See full target information XAF1

文献 (15)

Recent publications for all applications. Explore the full list and refine your search

Molecular biomedicine 5:58 PubMed39532800

2024

XAF1 antagonizes TRIM28 activity through the assembly of a ZNF313-mediated destruction complex to suppress tumor malignancy.

Applications

Unspecified application

Species

Unspecified reactive species

Seung-Hun Jang,Hwi-Wan Choi,Jieun Ahn,Sungchan Jang,Ji-Hye Yoon,Min-Goo Lee,Sung-Gil Chi

Journal of Cancer 13:2312-2321 PubMed35517406

2022

WZY-321 triggers glioma cell apoptosis via XAF1 up-regulation caused by MTM-mediated miR-873 down-regulation.

Applications

Unspecified application

Species

Unspecified reactive species

Guan Sun,Wei Yuan,Weiye Zhu,Jian Chen

BioMed research international 2022:4809415 PubMed35127942

2022

Upregulated Fibulin-1 Increased Endometrial Stromal Cell Viability and Migration by Repressing EFEMP1-Dependent Ferroptosis in Endometriosis.

Applications

Unspecified application

Species

Unspecified reactive species

Yiting Wan,Yanhua Song,Jing Chen,Jueying Kong,CanCan Gu,Jiami Huang,Ling Zuo

Molecular therapy. Nucleic acids 17:405-413 PubMed31310946

2019

Gene Amplification-Driven Long Noncoding RNA SNHG17 Regulates Cell Proliferation and Migration in Human Non-Small-Cell Lung Cancer.

Applications

Unspecified application

Species

Unspecified reactive species

Tianwei Xu,Shuai Yan,Lihua Jiang,Shanxun Yu,Tianyao Lei,Daolu Yang,Binbin Lu,Chenchen Wei,Erbao Zhang,Zhaoxia Wang

The Journal of experimental medicine 216:743-756 PubMed30842236

2019

SARM1 deficiency up-regulates XAF1, promotes neuronal apoptosis, and accelerates prion disease.

Applications

Unspecified application

Species

Unspecified reactive species

Caihong Zhu,Bei Li,Karl Frontzek,Yingjun Liu,Adriano Aguzzi

Cell death & disease 9:806 PubMed30042418

2018

XAF1 forms a positive feedback loop with IRF-1 to drive apoptotic stress response and suppress tumorigenesis.

Applications

Unspecified application

Species

Unspecified reactive species

Seong-In Jeong,Jung-Wook Kim,Kyung-Phil Ko,Byung-Kyu Ryu,Min-Goo Lee,Hyo-Jong Kim,Sung-Gil Chi

Toxicology and applied pharmacology 355:247-256 PubMed30017639

2018

Bisphenol A induced male germ cell apoptosis via IFNβ-XAF1-XIAP pathway in adult mice.

Applications

Unspecified application

Species

Unspecified reactive species

Xiao Jiang,Li Yin,Ning Zhang,Fei Han,Wen-Bin Liu,Xi Zhang,Hong-Qiang Chen,Jia Cao,Jin-Yi Liu

Toxicology letters 296:163-172 PubMed29908847

2018

A commercial Roundup® formulation induced male germ cell apoptosis by promoting the expression of XAF1 in adult mice.

Applications

Unspecified application

Species

Unspecified reactive species

Xiao Jiang,Ning Zhang,Li Yin,Wen-Long Zhang,Fei Han,Wen-Bin Liu,Hong-Qiang Chen,Jia Cao,Jin-Yi Liu

Molecular medicine reports 16:325-330 PubMed28534973

2017

Role of X‑linked inhibitor of apoptosis‑associated factor‑1 in vasculogenic mimicry in ovarian cancer.

Applications

Unspecified application

Species

Unspecified reactive species

Yunxia Wang,Peishu Liu,Xietong Wang,Hongluan Mao

The Journal of neuroscience : the official journal of the Society for Neuroscience 36:10560-10573 PubMed27733608

2016

Olig2-Targeted G-Protein-Coupled Receptor Gpr17 Regulates Oligodendrocyte Survival in Response to Lysolecithin-Induced Demyelination.

Applications

WB

Species

Rat

Zhimin Ou,Yuxia Sun,Li Lin,Nachun You,Xue Liu,Hongchao Li,Yanchen Ma,Lei Cao,Ying Han,Min Liu,Yaqi Deng,Luming Yao,Q Richard Lu,Ying Chen
View all publications

Abcam product promise

当社は、高品質な試薬を通じてお客様の研究を力強くサポートすることをお約束いたします。ご使用いただく各段階で、常にお客様をサポートできる体制を整えております。万が一、製品が期待通りに機能しない場合は、「Abcam Product Promise」による当社保証制度に基づき、安心してご利用いただけます。
保証に関する詳細については利用規約をご確認ください。

Please note: All products are 'FOR RESEARCH USE ONLY. NOT FOR USE IN DIAGNOSTIC OR THERAPEUTIC PROCEDURES'.

For licensing inquiries, please contact partnerships@abcam.com