JavaScript is disabled in your browser. Please enable JavaScript to view this website.
AB157220

Anti-VPS35 抗体 [EPR11501(B)]

Anti-VPS35 antibody [EPR11501(B)]

2

(1 Review)

|

(30 Publications)

Anti-VPS35 antibody [EPR11501(B)] (ab157220) is a rabbit monoclonal antibody detecting VPS35 in Western Blot, Flow Cytometry (Intra), Flow Cytometry, IHC-P, ICC/IF. Suitable for Human, Mouse.

- KO validated for confirmed specificity
- Biophysical QC for unrivalled batch-batch consistency
- Over 20 publications

別名を表示する

MEM3, TCCCTA00141, VPS35, Vacuolar protein sorting-associated protein 35, hVPS35, Maternal-embryonic 3, Vesicle protein sorting 35

11 Images
Immunocytochemistry/ Immunofluorescence - Anti-VPS35 antibody [EPR11501(B)] (AB157220)
  • ICC/IF

Lab

Immunocytochemistry/ Immunofluorescence - Anti-VPS35 antibody [EPR11501(B)] (AB157220)

ab157220 staining VPS35 in wild-type HAP1 cells (top panel) and VPS35 knockout HAP1 cells (bottom panel). The cells were fixed with 100% Methanol (5 min), permeabilized with 0.1% Triton X-100 for 5 minutes and then blocked with 1% BSA/10% normal goat serum/0.3M glycine in 0.1% PBS-Tween for 1h. The cells were then incubated with ab157220 at 0.2 µg/mL and ab7291 at 1 µg/mL overnight at +4°C, followed by a further incubation at room temperature for 1h with a goat secondary antibody to Rabbit IgG (Alexa Fluor® 488) (ab150081) (shown in pseudo colour green) and goat secondary antibody to Mouse IgG (Alexa Fluor® 594) (ab150120) (shown in pseudo colour red) both at 1/1000. Nuclear DNA was labelled with DAPI (shown in pseudo colour blue). Image was acquired with a high-content analyser (Operetta CLS, Perkin Elmer) and a maximum intensity projection of confocal sections is shown.

Immunohistochemistry (Formalin/PFA-fixed paraffin-embedded sections) - Anti-VPS35 antibody [EPR11501(B)] (AB157220)
  • IHC-P

Lab

Immunohistochemistry (Formalin/PFA-fixed paraffin-embedded sections) - Anti-VPS35 antibody [EPR11501(B)] (AB157220)

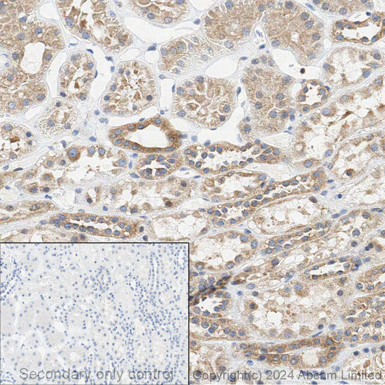
Immunohistochemical analysis of formalin fixed paraffin embedded human kidney labelling VPS35 with ab157220 at a concentration of 0.01µg/ml. The immunostaining was performed on a Ventana DISCOVERY ULTRA (Roche Tissue Diagnostics) instrument with a OptiView DAB IHC Detection Kit. Heat mediated antigen retrieval was performed with DISCOVERY cell conditioning solution (CC1) 100°C, pH8.5 for 32mins.

ab157220 Anti-VPS35 antibody [EPR11501(B)] was incubated for 16mins at 37°C. Sections were counterstained with Hematoxylin II. Image inset shows absence of staining in secondary antibody only control.

Customers are encouraged to optimise antigen retrieval conditions, antibody concentration, incubation times and temperature for best results in their own IHC assay workflow (automated and manual).

Western blot - Anti-VPS35 antibody [EPR11501(B)] (AB157220)
  • WB

Lab

Western blot - Anti-VPS35 antibody [EPR11501(B)] (AB157220)

ab157220 was shown to react with VPS35 in wild-type HAP1 cells in Western blot with loss of signal observed in a VPS35 knockout cell line. Wild-type HAP1 and VPS35 knockout cell lysates were subjected to SDS-PAGE. Membranes were blocked in 5% milk in TBST for 1 hr before incubation with ab157220 overnight at 4 °C at a 1/1000 dilution. Blots were incubated with secondary antibodies at 0.2 µg/mL before imaging.

These data were provided by YCharOS Inc., an open science company with the mission of characterizing commercially available antibody reagents for all human proteins. Abcam and YCharOS are working together to help address the reproducibility crisis by enabling the life science community to better evaluate commercially available antibodies.

All lanes:

Western blot - Anti-VPS35 antibody [EPR11501(B)] (ab157220) at 1/1000 dilution

Lane 1:

Wild-type HAP1 lysate at 20 µg

Lane 2:

VPS35 knock-out HAP1 lysate at 20 µg

false

Western blot - Anti-VPS35 antibody [EPR11501(B)] (AB157220)
  • WB

Lab

Western blot - Anti-VPS35 antibody [EPR11501(B)] (AB157220)

Blocking and diluting buffer and concentration : 5% NFDM/TBST.

All lanes:

Western blot - Anti-VPS35 antibody [EPR11501(B)] (ab157220) at 1/1000 dilution

Lane 1:

Rat brain tissue lysate at 20 µg

Lane 2:

Rat heart tissue lysate at 20 µg

Lane 3:

Rat kidney tissue lysate at 20 µg

Lane 4:

Rat spleen tissue lysate at 20 µg

Secondary

All lanes:

Western blot - Goat Anti-Rabbit IgG H&L (HRP) (<a href='/products/secondary-antibodies/goat-rabbit-igg-h-l-hrp-ab97051'>ab97051</a>) at 1/100000 dilution

Observed band size: 92 kDa

false

Exposure time: 26s

Western blot - Anti-VPS35 antibody [EPR11501(B)] (AB157220)
  • WB

Lab

Western blot - Anti-VPS35 antibody [EPR11501(B)] (AB157220)

Blocking and diluting buffer and concentration : 5% NFDM/TBST.

All lanes:

Western blot - Anti-VPS35 antibody [EPR11501(B)] (ab157220) at 1/1000 dilution

Lane 1:

C6 (rat glial tumor glial cell) whole cell lysate at 20 µg

Lane 2:

RAW 264.7 (mouse Abelson murine leukemia virus-induced tumor macrophage) whole cell lysate at 20 µg

Lane 3:

PC-12 (rat adrenal gland pheochromocytoma cell) whole cell lysate at 20 µg

Lane 4:

NIH/3T3 (mouse embryonic fibroblast) whole cell lysate at 20 µg

Secondary

All lanes:

Western blot - Goat Anti-Rabbit IgG H&L (HRP) (<a href='/products/secondary-antibodies/goat-rabbit-igg-h-l-hrp-ab97051'>ab97051</a>) at 1/100000 dilution

Observed band size: 92 kDa

false

Exposure time: 48s

Flow Cytometry (Intracellular) - Anti-VPS35 antibody [EPR11501(B)] (AB157220)
  • Flow Cyt (Intra)

Unknown

Flow Cytometry (Intracellular) - Anti-VPS35 antibody [EPR11501(B)] (AB157220)

Intracellular flow cytometric analysis of permeabilized MOLT4 cells labeling VPS35 with ab157220 at 1/10 dilution (red) or a rabbit IgG (negative) (green).

Immunocytochemistry/ Immunofluorescence - Anti-VPS35 antibody [EPR11501(B)] (AB157220)
  • ICC/IF

Lab

Immunocytochemistry/ Immunofluorescence - Anti-VPS35 antibody [EPR11501(B)] (AB157220)

ab157220 staining VPS35 in wild-type HAP1 cells (top panel) and VPS35 knockout HAP1 cells (bottom panel). The cells were fixed with 4% formaldehyde (10min), permeabilized with 0.1% Triton X-100 for 5 minutes and then blocked with 1% BSA/10% normal goat serum/0.3M glycine in 0.1% PBS-Tween for 1h. The cells were then incubated with ab157220 at 1/250 dilution and ab195889 at 1/250 dilution (shown in pseudo colour red) overnight at +4°C, followed by a further incubation at room temperature for 1h with a goat secondary antibody to Rabbit IgG (Alexa Fluor® 488) (ab150081) at 2 μg/ml (shown in green). Nuclear DNA was labelled in blue with DAPI.

Immunohistochemistry (Formalin/PFA-fixed paraffin-embedded sections) - Anti-VPS35 antibody [EPR11501(B)] (AB157220)
  • IHC-P

Unknown

Immunohistochemistry (Formalin/PFA-fixed paraffin-embedded sections) - Anti-VPS35 antibody [EPR11501(B)] (AB157220)

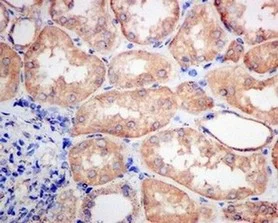
Immunohistochemical analysis of paraffin-embedded Human kidney tissue labeling VPS35 with ab157220 at 1/50 dilution.

Perform heat mediated antigen retrieval before commencing with IHC staining protocol.

Immunohistochemistry (Formalin/PFA-fixed paraffin-embedded sections) - Anti-VPS35 antibody [EPR11501(B)] (AB157220)
  • IHC-P

Unknown

Immunohistochemistry (Formalin/PFA-fixed paraffin-embedded sections) - Anti-VPS35 antibody [EPR11501(B)] (AB157220)

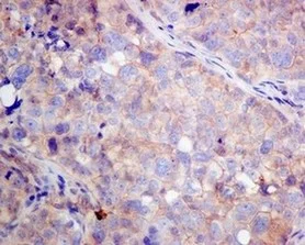
Immunohistochemical analysis of paraffin-embedded Human ovarian carcinoma tissue labeling VPS35 with ab157220 at 1/50 dilution.

Perform heat mediated antigen retrieval before commencing with IHC staining protocol.

Western blot - Anti-VPS35 antibody [EPR11501(B)] (AB157220)
  • WB

Lab

Western blot - Anti-VPS35 antibody [EPR11501(B)] (AB157220)

Lane 1 : Wild-type HAP1 cell lysate (20 μg)
Lane 2 : VPS35 knockout HAP1 cell lysate (20 μg)
Lane 3 : NIH/3T3 cell lysate (20 μg)
Lane 4 : A549 cell lysate (20 μg)
Lanes 1 - 4 : Merged signal (red and green). Green - ab157220 observed at 91 kDa. Red - loading control, ab8245, observed at 37 kDa.

ab157220 was shown to specifically react with VPS35 in wild-type HAP1 cells. No band was observed when VPS35 knockout samples were examined. Wild-type and VPS35 knockout samples were subjected to SDS-PAGE. ab157220 and ab8245 (loading control to GAPDH) were diluted 1/1000 and 1/2000 respectively and incubated overnight at 4°C. Blots were developed with Goat anti-Rabbit IgG H&L (IRDye® 800CW) preadsorbed (ab216773) and Goat anti-Mouse IgG H&L (IRDye® 680RD) preadsorbed (ab216776) secondary antibodies at 1/10,000 dilution for 1 hour at room temperature before imaging.

All lanes:

Western blot - Anti-VPS35 antibody [EPR11501(B)] (ab157220)

Predicted band size: 92 kDa

false

Western blot - Anti-VPS35 antibody [EPR11501(B)] (AB157220)
  • WB

Unknown

Western blot - Anti-VPS35 antibody [EPR11501(B)] (AB157220)

All lanes:

Western blot - Anti-VPS35 antibody [EPR11501(B)] (ab157220) at 1/10000 dilution

Lane 1:

HeLa cell lysate at 10 µg

Lane 2:

HepG2 cell lysate at 10 µg

Lane 3:

Raji cell lysate at 10 µg

Lane 4:

MOLT4 cell lysate at 10 µg

Secondary

All lanes:

Goat anti-rabbit HRP at 1/2000 dilution

Predicted band size: 92 kDa

false

関連する標識済み抗体及び組成の異なる製品 (8)

  • Carrier free

    Anti-VPS35 antibody [EPR11501(B)] - BSA and Azide free

  • 565 Alexa Fluor® 555

    Alexa Fluor® 555 Anti-VPS35 antibody [EPR11501(B)]

  • 617 Alexa Fluor® 594

    Alexa Fluor® 594 Anti-VPS35 antibody [EPR11501(B)]

  • 660 APC

    APC Anti-VPS35 antibody [EPR11501(B)]

  • 578 PE

    PE Anti-VPS35 antibody [EPR11501(B)]

  • 603 Alexa Fluor® 568

    Alexa Fluor® 568 Anti-VPS35 antibody [EPR11501(B)]

  • HRP

    HRP Anti-VPS35 antibody [EPR11501(B)]

  • 775 Alexa Fluor® 750

    Alexa Fluor® 750 Anti-VPS35 antibody [EPR11501(B)]

Key facts

宿主種

Rabbit

クローン性

Monoclonal

クローン番号

EPR11501(B)

アイソタイプ

IgG

キャリアフリー

No

交差種

Mouse, Human

アプリケーション

ICC/IF, IHC-P, Flow Cyt (Intra), WB

applications

免疫原

The exact immunogen used to generate this antibody is proprietary information.

Reactivity data

{ "title": "Reactivity Data", "filters": { "stats": ["", "Species", "Dilution Info", "Notes"], "tabs": { "all-applications": {"fullname" : "All Applications", "shortname": "All Applications"}, "IHCP" : {"fullname" : "Immunohistochemistry (Formalin/PFA-fixed paraffin-embedded sections)", "shortname":"IHC-P"}, "IP" : {"fullname" : "Immunoprecipitation", "shortname":"IP"}, "WB" : {"fullname" : "Western blot", "shortname":"WB"}, "ICCIF" : {"fullname" : "Immunocytochemistry/ Immunofluorescence", "shortname":"ICC/IF"}, "FlowCytIntra" : {"fullname" : "Flow Cytometry (Intracellular)", "shortname":"Flow Cyt (Intra)"} }, "product-promise": { "all": "all", "testedAndGuaranteed": "tested", "guaranteed": "expected", "predicted": "predicted", "notRecommended": "not-recommended" } }, "values": { "Human": { "IHCP-species-checked": "testedAndGuaranteed", "IHCP-species-dilution-info": "1/50 - 1/100", "IHCP-species-notes": "<p></p> Perform heat-mediated antigen retrieval before commencing with IHC staining protocol.", "IP-species-checked": "notRecommended", "IP-species-dilution-info": "", "IP-species-notes": "<p></p>", "WB-species-checked": "testedAndGuaranteed", "WB-species-dilution-info": "1/1000 - 1/50000", "WB-species-notes": "<p></p>", "ICCIF-species-checked": "testedAndGuaranteed", "ICCIF-species-dilution-info": "0.2 µg/mL", "ICCIF-species-notes": "<p></p>", "FlowCytIntra-species-checked": "testedAndGuaranteed", "FlowCytIntra-species-dilution-info": "1/10 - 1/100", "FlowCytIntra-species-notes": "<p><a href='/products/primary-antibodies/rabbit-igg-monoclonal-epr25a-isotype-control-ab172730'>ab172730</a> - Rabbit monoclonal IgG, is suitable for use as an isotype control with this antibody.</p>" }, "Mouse": { "IHCP-species-checked": "guaranteed", "IHCP-species-dilution-info": "", "IHCP-species-notes": "", "IP-species-checked": "notRecommended", "IP-species-dilution-info": "", "IP-species-notes": "<p></p>", "WB-species-checked": "testedAndGuaranteed", "WB-species-dilution-info": "1/1000 - 1/50000", "WB-species-notes": "<p></p>", "ICCIF-species-checked": "guaranteed", "ICCIF-species-dilution-info": "", "ICCIF-species-notes": "", "FlowCytIntra-species-checked": "guaranteed", "FlowCytIntra-species-dilution-info": "", "FlowCytIntra-species-notes": "" }, "Rat": { "IHCP-species-checked": "guaranteed", "IHCP-species-dilution-info": "", "IHCP-species-notes": "", "IP-species-checked": "notRecommended", "IP-species-dilution-info": "", "IP-species-notes": "", "WB-species-checked": "testedAndGuaranteed", "WB-species-dilution-info": "1/1000 - 1/50000", "WB-species-notes": "<p></p>", "ICCIF-species-checked": "notRecommended", "ICCIF-species-dilution-info": "", "ICCIF-species-notes": "<p></p>", "FlowCytIntra-species-checked": "notRecommended", "FlowCytIntra-species-dilution-info": "", "FlowCytIntra-species-notes": "<p></p>" } } }

製品の詳細

出荷温度及び保存条件

製品の状態
Liquid
精製方法
Affinity purification Protein A
バッファー組成
pH: 7.2 - 7.4 Preservative: 0.01% Sodium azide Constituents: 50% Tissue culture supernatant, 40% Glycerol (glycerin, glycerine), 9% PBS, 0.05% BSA
出荷温度
Blue Ice
短期保存温度
+4°C
長期保存温度
-20°C

製品プロトコール

For this product, it's our understanding that no specific protocols are required. You can visit:

ターゲットの情報

Acts as a component of the retromer cargo-selective complex (CSC). The CSC is believed to be the core functional component of retromer or respective retromer complex variants acting to prevent missorting of selected transmembrane cargo proteins into the lysosomal degradation pathway. The recruitment of the CSC to the endosomal membrane involves RAB7A and SNX3. The CSC seems to associate with the cytoplasmic domain of cargo proteins predominantly via VPS35; however, these interactions seem to be of low affinity and retromer SNX proteins may also contribute to cargo selectivity thus questioning the classical function of the CSC. The SNX-BAR retromer mediates retrograde transport of cargo proteins from endosomes to the trans-Golgi network (TGN) and is involved in endosome-to-plasma membrane transport for cargo protein recycling. The SNX3-retromer mediates the retrograde endosome-to-TGN transport of WLS distinct from the SNX-BAR retromer pathway (PubMed : 30213940). The SNX27-retromer is believed to be involved in endosome-to-plasma membrane trafficking and recycling of a broad spectrum of cargo proteins. The CSC seems to act as recruitment hub for other proteins, such as the WASH complex and TBC1D5 (Probable). Required for retrograde transport of lysosomal enzyme receptor IGF2R and SLC11A2. Required to regulate transcytosis of the polymeric immunoglobulin receptor (pIgR-pIgA) (PubMed : 15078903, PubMed : 15247922, PubMed : 20164305). Required for endosomal localization of WASHC2C (PubMed : 22070227, PubMed : 28892079). Mediates the association of the CSC with the WASH complex via WASHC2 (PubMed : 22070227, PubMed : 24819384, PubMed : 24980502). Required for the endosomal localization of TBC1D5 (PubMed : 20923837).. (Microbial infection) The heterotrimeric retromer cargo-selective complex (CSC) mediates the exit of human papillomavirus from the early endosome and the delivery to the Golgi apparatus.
See full target information VPS35

文献 (30)

Recent publications for all applications. Explore the full list and refine your search

F1000Research 12:452 PubMed38434631

2024

Identification of high-performing antibodies for Vacuolar protein sorting-associated protein 35 (hVPS35) for use in Western Blot, immunoprecipitation and immunofluorescence.

Applications

WB

Species

Human

Riham Ayoubi,Maryam Fotouhi,Kathleen Southern,Peter S McPherson,Carl Laflamme

PLoS pathogens 19:e1011648 PubMed37703297

2023

Noncanonical Rab9a action supports retromer-mediated endosomal exit of human papillomavirus during virus entry.

Applications

Unspecified application

Species

Unspecified reactive species

Jeongjoon Choi,Daniel DiMaio

Nature communications 14:3086 PubMed37248224

2023

Multi-omic approach characterises the neuroprotective role of retromer in regulating lysosomal health.

Applications

Unspecified application

Species

Unspecified reactive species

James L Daly,Chris M Danson,Philip A Lewis,Lu Zhao,Sara Riccardo,Lucio Di Filippo,Davide Cacchiarelli,Daehoon Lee,Stephen J Cross,Kate J Heesom,Wen-Cheng Xiong,Andrea Ballabio,James R Edgar,Peter J Cullen

Cell 186:2219-2237.e29 PubMed37172566

2023

Structure of the endosomal Commander complex linked to Ritscher-Schinzel syndrome.

Applications

Unspecified application

Species

Unspecified reactive species

Michael D Healy,Kerrie E McNally,Rebeka Butkovič,Molly Chilton,Kohji Kato,Joanna Sacharz,Calum McConville,Edmund R R Moody,Shrestha Shaw,Vicente J Planelles-Herrero,Sathish K N Yadav,Jennifer Ross,Ufuk Borucu,Catherine S Palmer,Kai-En Chen,Tristan I Croll,Ryan J Hall,Nikeisha J Caruana,Rajesh Ghai,Thi H D Nguyen,Kate J Heesom,Shinji Saitoh,Imre Berger,Christiane Schaffitzel,Tom A Williams,David A Stroud,Emmanuel Derivery,Brett M Collins,Peter J Cullen

Science advances 9:eadc9830 PubMed36662862

2023

HPV is a cargo for the COPI sorting complex during virus entry.

Applications

Unspecified application

Species

Unspecified reactive species

Mara C Harwood,Tai-Ting Woo,Yuka Takeo,Daniel DiMaio,Billy Tsai

The EMBO journal 42:e112287 PubMed36644906

2023

Retromer oligomerization drives SNX-BAR coat assembly and membrane constriction.

Applications

Unspecified application

Species

Unspecified reactive species

Navin Gopaldass,Maria Giovanna De Leo,Thibault Courtellemont,Vincent Mercier,Christin Bissig,Aurélien Roux,Andreas Mayer

Life science alliance 6: PubMed36446521

2022

Loss of NDR1/2 kinases impairs endomembrane trafficking and autophagy leading to neurodegeneration.

Applications

Unspecified application

Species

Unspecified reactive species

Flavia Roşianu,Simeon R Mihaylov,Noreen Eder,Antonie Martiniuc,Suzanne Claxton,Helen R Flynn,Shamsinar Jalal,Marie-Charlotte Domart,Lucy Collinson,Mark Skehel,Ambrosius P Snijders,Matthias Krause,Sharon A Tooze,Sila K Ultanir

The EMBO journal 41:e109646 PubMed35466426

2022

CROP: a retromer-PROPPIN complex mediating membrane fission in the endo-lysosomal system.

Applications

Unspecified application

Species

Unspecified reactive species

Thibault Courtellemont,Maria Giovanna De Leo,Navin Gopaldass,Andreas Mayer

BMC neuroscience 23:3 PubMed34983390

2022

Increased expression of pathological markers in Parkinson's disease dementia post-mortem brains compared to dementia with Lewy bodies.

Applications

Unspecified application

Species

Unspecified reactive species

Haitao Tu,Zhi Wei Zhang,Lifeng Qiu,Yuning Lin,Mei Jiang,Sook-Yoong Chia,Yanfei Wei,Adeline S L Ng,Richard Reynolds,Eng-King Tan,Li Zeng

Nature cell biology 23:1240-1254 PubMed34887515

2021

Supermeres are functional extracellular nanoparticles replete with disease biomarkers and therapeutic targets.

Applications

Unspecified application

Species

Unspecified reactive species

Qin Zhang,Dennis K Jeppesen,James N Higginbotham,Ramona Graves-Deal,Vincent Q Trinh,Marisol A Ramirez,Yoojin Sohn,Abigail C Neininger,Nilay Taneja,Eliot T McKinley,Hiroaki Niitsu,Zheng Cao,Rachel Evans,Sarah E Glass,Kevin C Ray,William H Fissell,Salisha Hill,Kristie Lindsey Rose,Won Jae Huh,Mary Kay Washington,Gregory Daniel Ayers,Dylan T Burnette,Shivani Sharma,Leonard H Rome,Jeffrey L Franklin,Youngmin A Lee,Qi Liu,Robert J Coffey
View all publications

Abcam product promise

当社は、高品質な試薬を通じてお客様の研究を力強くサポートすることをお約束いたします。ご使用いただく各段階で、常にお客様をサポートできる体制を整えております。万が一、製品が期待通りに機能しない場合は、「Abcam Product Promise」による当社保証制度に基づき、安心してご利用いただけます。
保証に関する詳細については利用規約をご確認ください。

関連製品

Select an associated product type
Alternative Product
Primary Antibodies

AB97545

Anti-VPS35 antibody

primary-antibodies

vps35-antibody-ab97545

5

(2 reviews)

Alternative Product
Primary Antibodies

AB10099

Anti-VPS35 antibody

primary-antibodies

vps35-antibody-ab10099

4

(3 reviews)

Alternative Product
Primary Antibodies

AB57632

Anti-VPS35 antibody [2D3]

primary-antibodies

vps35-antibody-2d3-ab57632

0

(0 reviews)

Alternative Product
Primary Antibodies

AB226180

Anti-VPS35 antibody - C-terminal

primary-antibodies

vps35-antibody-c-terminal-ab226180

0

(0 reviews)

Please note: All products are 'FOR RESEARCH USE ONLY. NOT FOR USE IN DIAGNOSTIC OR THERAPEUTIC PROCEDURES'.

For licensing inquiries, please contact partnerships@abcam.com