JavaScript is disabled in your browser. Please enable JavaScript to view this website.
AB10099

Anti-VPS35 抗体

Anti-VPS35 antibody

4

(3 Reviews)

|

(87 Publications)

Anti-VPS35 antibody (ab10099) is a goat polyclonal antibody detecting VPS35 in Western Blot, IHC-P, ICC/IF. Suitable for Human, Mouse.

- KO validated for confirmed specificity
- Over 60 publications
- Trusted since 2004

別名を表示する

MEM3, TCCCTA00141, VPS35, Vacuolar protein sorting-associated protein 35, hVPS35, Maternal-embryonic 3, Vesicle protein sorting 35

8 Images
Western blot - Anti-VPS35 antibody (AB10099)
  • WB

Lab

Western blot - Anti-VPS35 antibody (AB10099)

Lane 1 : Wild-type HAP1 cell lysate (20 μg)
Lane 2 : VPS35 knockout HAP1 cell lysate (20 μg)
Lane 3 : NIH3T3 cell lysate (20 μg)
Lane 4 : A549 cell lysate (20 μg)
Lanes 1 - 4 : Merged signal (red and green). Green - ab10099 observed at 85 kDa. Red - loading control, ab181602, observed at 37 kDa.

ab10099 was shown to specifically react with VPS35 when VPS35 knockout samples were used. Wild-type and VPS35 knockout samples were subjected to SDS-PAGE. ab10099 and ab181602 (loading control to GAPDH) were diluted to 1 μg/ml and 1/1000 respectively and incubated overnight at 4°C. Blots were developed with IRDye® 800CW Donkey anti-Goat IgG (H + L) and Donkey Anti-Rabbit IgG H&L (IRDye® 680RD) preadsorbed (ab216779) secondary antibodies at 1/10 000 dilution for 1 h at room temperature before imaging.

All lanes:

Western blot - Anti-VPS35 antibody (ab10099)

Predicted band size: 92 kDa

false

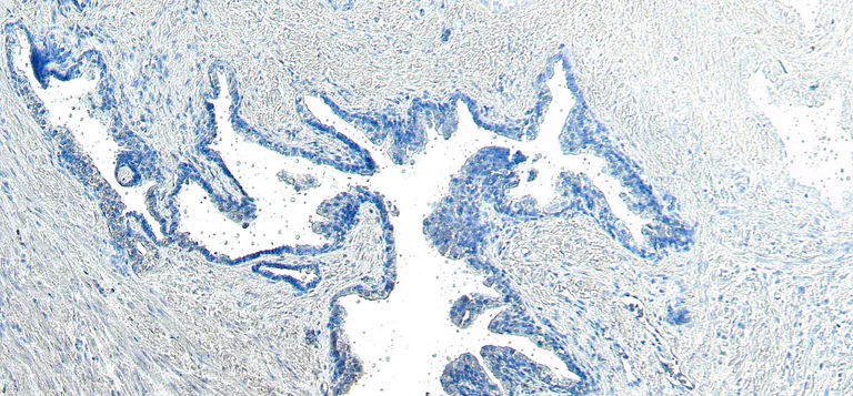
Immunohistochemistry (Formalin/PFA-fixed paraffin-embedded sections) - Anti-VPS35 antibody (AB10099)
  • IHC-P

Supplier Data

Immunohistochemistry (Formalin/PFA-fixed paraffin-embedded sections) - Anti-VPS35 antibody (AB10099)

Negative Control showing staining of paraffin embedded Human Prostate, with no primary antibody.

Immunocytochemistry/ Immunofluorescence - Anti-VPS35 antibody (AB10099)
  • ICC/IF

Supplier Data

Immunocytochemistry/ Immunofluorescence - Anti-VPS35 antibody (AB10099)

Immunofluorescence analysis of paraformaldehyde fixed HEK293 cells, permeabilized with 0.15% Triton. Primary incubation 1hr (10 ug/ml) followed by Alexa Fluor 488 secondary antibody (2 ug/ml), showing cytoplasmic/vesicle staining. The nuclear stain is DAPI (blue).

Negative control : Unimmunized goat IgG (10 ug/ml) followed by Alexa Fluor 488 secondary antibody (2 ug/ml).

Immunohistochemistry (Formalin/PFA-fixed paraffin-embedded sections) - Anti-VPS35 antibody (AB10099)
  • IHC-P

Supplier Data

Immunohistochemistry (Formalin/PFA-fixed paraffin-embedded sections) - Anti-VPS35 antibody (AB10099)

Immunohistochemical analysis of paraffin embedded human prostate tissue labeling VPS35 with ab10099 at 8 ug/ml.

Immunocytochemistry/ Immunofluorescence - Anti-VPS35 antibody (AB10099)
  • ICC/IF

Supplier Data

Immunocytochemistry/ Immunofluorescence - Anti-VPS35 antibody (AB10099)

Immunofluorescence analysis of paraformaldehyde fixed U2OS cells, permeabilized with 0.15% Triton. Primary incubation 1hr (10ug/ml) followed by Alexa Fluor 488 secondary antibody (2ug/ml), showing cytoplasmic/vesicle staining. The nuclear stain is DAPI (blue). Negative control : Unimmunized goat IgG (10ug/ml) followed by Alexa Fluor 488 secondary antibody (2ug/ml).

Immunocytochemistry/ Immunofluorescence - Anti-VPS35 antibody (AB10099)
  • ICC/IF

AbReview33660****

Immunocytochemistry/ Immunofluorescence - Anti-VPS35 antibody (AB10099)

Immunofluorescence analysis of HeLa cells, staining VPS35 with ab10099.

Cells were fixed with paraformaldehyde, permeabilized with 0.1% Triton X-100 and blocked with 10% serum for 1 hour at 22°C. Samples were incubated with primary antibody (1/150 in 10% Serum in PBS) for 16 hours at 4°C. An AlexaFluor®488-conjugated donkey anti-goat polyclonal IgG (1/300) was used as the secondary antibody.

This image is courtesy of an anonymous Abreview

Western blot - Anti-VPS35 antibody (AB10099)
  • WB

Supplier Data

Western blot - Anti-VPS35 antibody (AB10099)

Detected by chemiluminescence.

All lanes:

Western blot - Anti-VPS35 antibody (ab10099) at 0.03 µg/mL

Lane 1:

HepG2 (Human liver hepatocellular carcinoma cell line) whole cell lysate (35µg protein in RIPA buffer).

Lane 2:

HEK-293 (Human epithelial cell line from embryonic kidney) whole cell lysate(35µg protein in RIPA buffer).

Predicted band size: 92 kDa

false

Western blot - Anti-VPS35 antibody (AB10099)
  • WB

Supplier Data

Western blot - Anti-VPS35 antibody (AB10099)

All lanes:

Western blot - Anti-VPS35 antibody (ab10099) at 1 µg/mL

Lane 1:

Human Cerebellum at 35 µg

Lane 2:

Mouse brain at 35 µg

Predicted band size: 92 kDa

false

Key facts

宿主種

Goat

クローン性

Polyclonal

アイソタイプ

IgG

キャリアフリー

No

交差種

Mouse, Human

アプリケーション

IHC-P, WB, ICC/IF

applications

免疫原

Synthetic Peptide within Human VPS35 aa 750 to C-terminus. The exact immunogen used to generate this antibody is proprietary information.

Q96QK1

Reactivity data

{ "title": "Reactivity Data", "filters": { "stats": ["", "Species", "Dilution Info", "Notes"], "tabs": { "all-applications": {"fullname" : "All Applications", "shortname": "All Applications"}, "IHCP" : {"fullname" : "Immunohistochemistry (Formalin/PFA-fixed paraffin-embedded sections)", "shortname":"IHC-P"}, "WB" : {"fullname" : "Western blot", "shortname":"WB"}, "ICCIF" : {"fullname" : "Immunocytochemistry/ Immunofluorescence", "shortname":"ICC/IF"} }, "product-promise": { "all": "all", "testedAndGuaranteed": "tested", "guaranteed": "expected", "predicted": "predicted", "notRecommended": "not-recommended" } }, "values": { "Human": { "IHCP-species-checked": "testedAndGuaranteed", "IHCP-species-dilution-info": "5-8 µg/mL", "IHCP-species-notes": "<p></p> Perform heat-mediated antigen retrieval with citrate buffer pH 6 before commencing with IHC staining protocol.", "WB-species-checked": "testedAndGuaranteed", "WB-species-dilution-info": "0.03-3 µg/mL", "WB-species-notes": "<p>1 hour primary incubation is recommended for this product.</p>", "ICCIF-species-checked": "testedAndGuaranteed", "ICCIF-species-dilution-info": "10 µg/mL", "ICCIF-species-notes": "<p></p>" }, "Mouse": { "IHCP-species-checked": "guaranteed", "IHCP-species-dilution-info": "", "IHCP-species-notes": "", "WB-species-checked": "testedAndGuaranteed", "WB-species-dilution-info": "0.03-3 µg/mL", "WB-species-notes": "<p>1 hour primary incubation is recommended for this product.</p>", "ICCIF-species-checked": "guaranteed", "ICCIF-species-dilution-info": "", "ICCIF-species-notes": "" }, "Rat": { "IHCP-species-checked": "predicted", "IHCP-species-dilution-info": "", "IHCP-species-notes": "", "WB-species-checked": "predicted", "WB-species-dilution-info": "", "WB-species-notes": "", "ICCIF-species-checked": "predicted", "ICCIF-species-dilution-info": "", "ICCIF-species-notes": "" }, "Cow": { "IHCP-species-checked": "predicted", "IHCP-species-dilution-info": "", "IHCP-species-notes": "", "WB-species-checked": "predicted", "WB-species-dilution-info": "", "WB-species-notes": "", "ICCIF-species-checked": "predicted", "ICCIF-species-dilution-info": "", "ICCIF-species-notes": "" } } }

製品の詳細

What is this antibody validated in?
Anti-VPS35 antibody (ab10099) is a goat polyclonal antibody and is validated for use in Western Blot (WB), Immunohistochemistry (IHC-P), Immunocytochemistry/immunofluorescence (ICC/IF) in Human, Mouse samples.

What is the molecular weight of VPS35?
Anti-VPS35 (ab10099) specifically detects a band for VPS35 (UniProt: Q96QK1) at a molecular weight of 91kDa.

Trusted by the scientific community
Anti-VPS35 (ab10099) was first used in a scientific publication in 2004 and has been cited over 60 times in peer-reviewed journals.

Specificity confirmed
The specificity of Anti-VPS35 antibody (ab10099) has been confirmed by Western blot testing in VPS35 Knockout HAP1 cells.

出荷温度及び保存条件

製品の状態
Liquid
精製方法
Affinity purification Immunogen
精製に関する特記事項
Purified from goat serum by ammonium sulphate precipitation followed by antigen affinity chromatography using the immunizing peptide.
バッファー組成
pH: 7.3 Preservative: 0.02% Sodium azide Constituents: 99% Tris buffered saline, 0.5% BSA
出荷温度
Blue Ice
短期保存温度
+4°C
長期保存温度
-20°C
分注に関する情報
Upon delivery aliquot
保管に関する情報
Avoid freeze / thaw cycle

製品プロトコール

For this product, it's our understanding that no specific protocols are required. You can visit:

ターゲットの情報

Acts as a component of the retromer cargo-selective complex (CSC). The CSC is believed to be the core functional component of retromer or respective retromer complex variants acting to prevent missorting of selected transmembrane cargo proteins into the lysosomal degradation pathway. The recruitment of the CSC to the endosomal membrane involves RAB7A and SNX3. The CSC seems to associate with the cytoplasmic domain of cargo proteins predominantly via VPS35; however, these interactions seem to be of low affinity and retromer SNX proteins may also contribute to cargo selectivity thus questioning the classical function of the CSC. The SNX-BAR retromer mediates retrograde transport of cargo proteins from endosomes to the trans-Golgi network (TGN) and is involved in endosome-to-plasma membrane transport for cargo protein recycling. The SNX3-retromer mediates the retrograde endosome-to-TGN transport of WLS distinct from the SNX-BAR retromer pathway (PubMed : 30213940). The SNX27-retromer is believed to be involved in endosome-to-plasma membrane trafficking and recycling of a broad spectrum of cargo proteins. The CSC seems to act as recruitment hub for other proteins, such as the WASH complex and TBC1D5 (Probable). Required for retrograde transport of lysosomal enzyme receptor IGF2R and SLC11A2. Required to regulate transcytosis of the polymeric immunoglobulin receptor (pIgR-pIgA) (PubMed : 15078903, PubMed : 15247922, PubMed : 20164305). Required for endosomal localization of WASHC2C (PubMed : 22070227, PubMed : 28892079). Mediates the association of the CSC with the WASH complex via WASHC2 (PubMed : 22070227, PubMed : 24819384, PubMed : 24980502). Required for the endosomal localization of TBC1D5 (PubMed : 20923837).. (Microbial infection) The heterotrimeric retromer cargo-selective complex (CSC) mediates the exit of human papillomavirus from the early endosome and the delivery to the Golgi apparatus.
See full target information VPS35

文献 (87)

Recent publications for all applications. Explore the full list and refine your search

Proceedings of the National Academy of Sciences of the United States of America 122:e2501111122 PubMed40587794

2025

Identification of a VPS29 isoform with restricted association to Retriever and Retromer accessory proteins through autoinhibition.

Applications

Unspecified application

Species

Unspecified reactive species

James L Daly,Kai-En Chen,Rebeka Butkovič,Qian Guo,Michael D Healy,Eva Pennink,Georgia Gamble-Strutt,Zara Higham,Edmund R R Moody,Philip A Lewis,Kate J Heesom,Tom A Williams,Kirsty J McMillan,Brett M Collins,Peter J Cullen

Nature cell biology 27:1021-1034 PubMed40419795

2025

Dynamic regulation of integrin β1 phosphorylation supports invasion of breast cancer cells.

Applications

Unspecified application

Species

Unspecified reactive species

James R W Conway,Omkar Joshi,Jasmin Kaivola,Gautier Follain,Michalis Gounis,David Kühl,Johanna Ivaska

Nature communications 15:10412 PubMed39613768

2024

Altered expression of Presenilin2 impacts endolysosomal homeostasis and synapse function in Alzheimer's disease-relevant brain circuits.

Applications

Unspecified application

Species

Unspecified reactive species

Anika Perdok,Zoë P Van Acker,Céline Vrancx,Ragna Sannerud,Inge Vorsters,Assunta Verrengia,Zsuzsanna Callaerts-Végh,Eline Creemers,Sara Gutiérrez Fernández,Britt D'hauw,Lutgarde Serneels,Keimpe Wierda,Lucía Chávez-Gutiérrez,Wim Annaert

The Journal of cell biology 223: PubMed39325073

2024

Arf1-dependent LRBA recruitment to Rab4 endosomes is required for endolysosome homeostasis.

Applications

Unspecified application

Species

Unspecified reactive species

Viktória Szentgyörgyi,Leon Maximilian Lueck,Daan Overwijn,Danilo Ritz,Nadja Zoeller,Alexander Schmidt,Maria Hondele,Anne Spang,Shahrzad Bakhtiar

The EMBO journal 43:4298-4323 PubMed39160272

2024

CHC22 clathrin recruitment to the early secretory pathway requires two-site interaction with SNX5 and p115.

Applications

Unspecified application

Species

Unspecified reactive species

Joshua Greig,George T Bates,Daowen I Yin,Kit Briant,Boris Simonetti,Peter J Cullen,Frances M Brodsky

Autophagy 21:21-36 PubMed38953305

2024

Comprehensive knockout analysis of the RAB family small GTPases reveals an overlapping role of RAB2 and RAB14 in autophagosome maturation.

Applications

Unspecified application

Species

Unspecified reactive species

Kentaro Haga,Mitsunori Fukuda

Traffic (Copenhagen, Denmark) 25:e12937 PubMed38777335

2024

Apolipoprotein E2 Expression Alters Endosomal Pathways in a Mouse Model With Increased Brain Exosome Levels During Aging.

Applications

Unspecified application

Species

Unspecified reactive species

Katherine Y Peng,Braison Liemisa,Jonathan Pasato,Pasquale D'Acunzo,Monika Pawlik,Adriana Heguy,Sai C Penikalapati,Amanda Labuza,Harshitha Pidikiti,Melissa J Alldred,Stephen D Ginsberg,Efrat Levy,Paul M Mathews

Developmental cell 59:1571-1592.e9 PubMed38626765

2024

Accumulation of APP C-terminal fragments causes endolysosomal dysfunction through the dysregulation of late endosome to lysosome-ER contact sites.

Applications

Unspecified application

Species

Unspecified reactive species

Marine Bretou,Ragna Sannerud,Abril Escamilla-Ayala,Tom Leroy,Céline Vrancx,Zoë P Van Acker,Anika Perdok,Wendy Vermeire,Inge Vorsters,Sophie Van Keymolen,Michelle Maxson,Benjamin Pavie,Keimpe Wierda,Eeva-Liisa Eskelinen,Wim Annaert

Nature chemical biology 20:1133-1143 PubMed38528119

2024

Profiling the proximal proteome of the activated μ-opioid receptor.

Applications

Unspecified application

Species

Unspecified reactive species

Benjamin J Polacco,Braden T Lobingier,Emily E Blythe,Nohely Abreu,Prachi Khare,Matthew K Howard,Alberto J Gonzalez-Hernandez,Jiewei Xu,Qiongyu Li,Brandon Novy,Zun Zar Chi Naing,Brian K Shoichet,Willow Coyote-Maestas,Joshua Levitz,Nevan J Krogan,Mark Von Zastrow,Ruth Hüttenhain

Nature communications 15:2594 PubMed38519490

2024

The aldehyde dehydrogenase 2 rs671 variant enhances amyloid β pathology.

Applications

Unspecified application

Species

Unspecified reactive species

Xia Wang,Jiayu Wang,Yashuang Chen,Xiaojing Qian,Shiqi Luo,Xue Wang,Chao Ma,Wei Ge
View all publications

Abcam product promise

当社は、高品質な試薬を通じてお客様の研究を力強くサポートすることをお約束いたします。ご使用いただく各段階で、常にお客様をサポートできる体制を整えております。万が一、製品が期待通りに機能しない場合は、「Abcam Product Promise」による当社保証制度に基づき、安心してご利用いただけます。
保証に関する詳細については利用規約をご確認ください。

Please note: All products are 'FOR RESEARCH USE ONLY. NOT FOR USE IN DIAGNOSTIC OR THERAPEUTIC PROCEDURES'.

For licensing inquiries, please contact partnerships@abcam.com