JavaScript is disabled in your browser. Please enable JavaScript to view this website.
AB206656

Anti-VKORC1 抗体 [EPR20245]

Anti-VKORC1 antibody [EPR20245]

Be the first to review this product! Submit a review

|

(5 Publications)

Rabbit Recombinant Monoclonal VKORC1 antibody. Suitable for IP, WB, ICC/IF, Flow Cyt (Intra), IHC-P and reacts with Human, Mouse samples. Cited in 5 publications.

別名を表示する

VKOR, MSTP134, MSTP576, UNQ308/PRO351, VKORC1, Vitamin K epoxide reductase complex subunit 1

8 Images
Immunocytochemistry/ Immunofluorescence - Anti-VKORC1 antibody [EPR20245] (AB206656)
  • ICC/IF

Supplier Data

Immunocytochemistry/ Immunofluorescence - Anti-VKORC1 antibody [EPR20245] (AB206656)

Immunofluorescent analysis of 4% paraformaldehyde-fixed 0.1% Triton X-100 permeabilized A549 (Human lung carcinoma cell line) cells labeling VKORC1 with ab206656 at 1/100 dilution followed by Goat anti-rabbit IgG (Alexa Fluor® 488) (ab150077) secondary antibody at 1/1000 dilution (green). Confocal image showing cytoplasmic staining on A549 cell line.

The nuclear counter stain is DAPI (blue). Tubulin is detected with ab195889 (Anti-alpha Tubulin antibody [DM1A] - Microtubule Marker (Alexa Fluor® 594)) at 1/200 dilution (red).

Secondary antibody only control : Used PBS instead of primary antibody secondary antibody is Goat anti-rabbit IgG (Alexa Fluor® 488) (ab150077) at 1/1000 dilution.

Flow Cytometry (Intracellular) - Anti-VKORC1 antibody [EPR20245] (AB206656)
  • Flow Cyt (Intra)

Unknown

Flow Cytometry (Intracellular) - Anti-VKORC1 antibody [EPR20245] (AB206656)

Intracellular flow cytometric analysis of 4% paraformaldehyde-fixed HepG2 (Human liver hepatocellular carcinoma cell line) cells labeling VKORC1 with ab206656 at 1/60 dilution (red) compared with a rabbit monoclonal IgG isotype control (ab172730; black) and an unlabeled control (cells without incubation with primary antibody and secondary antibody; blue). Goat anti rabbit IgG (Alexa Fluorr® 488) at 1/2000 dilution was used as the secondary antibody.

Immunocytochemistry/ Immunofluorescence - Anti-VKORC1 antibody [EPR20245] (AB206656)
  • ICC/IF

Supplier Data

Immunocytochemistry/ Immunofluorescence - Anti-VKORC1 antibody [EPR20245] (AB206656)

Immunofluorescent analysis of 4% paraformaldehyde-fixed 0.1% Triton X-100 permeabilized HepG2 (Human liver hepatocellular carcinoma cell line) cells labeling VKORC1 with ab206656 at 1/100 dilution followed by Goat anti-rabbit IgG (Alexa Fluor® 488) (ab150077) secondary antibody at 1/1000 dilution (green). Confocal image showing cytoplasmic staining on HepG2 cell line.

The nuclear counter stain is DAPI (blue). Tubulin is detected with ab195889 (Anti-alpha Tubulin antibody [DM1A] - Microtubule Marker (Alexa Fluor® 594)) at 1/200 dilution (red).

Secondary antibody only control : Used PBS instead of primary antibody secondary antibody is Goat anti-rabbit IgG (Alexa Fluor® 488) (ab150077) at 1/1000 dilution.

Immunoprecipitation - Anti-VKORC1 antibody [EPR20245] (AB206656)
  • IP

Supplier Data

Immunoprecipitation - Anti-VKORC1 antibody [EPR20245] (AB206656)

VKORC1 was immunoprecipitated from 0.35 mg of HepG2 (Human liver hepatocellular carcinoma cell line) whole cell lysate with ab206656 at 1/30 dilution. Western blot was performed from the immunoprecipitate using ab206656 at 1/1000 dilution. VeriBlot for IP Detection Reagent (HRP) (ab131366), was used for detection at 1/10000 dilution.

Lane 1 : HepG2 whole cell lysate, 10 μg (Input).

Lane 2 : ab206656 IP in HepG2 whole cell lysate.

Lane 3 : Rabbit monoclonal IgG (ab172730) instead of ab206656 in HepG2 whole cell lysate.

Blocking and dilution buffer and concentration : 5% NFDM/TBST.

Exposure time : 30 seconds.

All lanes:

Immunoprecipitation - Anti-VKORC1 antibody [EPR20245] (ab206656)

Predicted band size: 18 kDa

Observed band size: 15 kDa

false

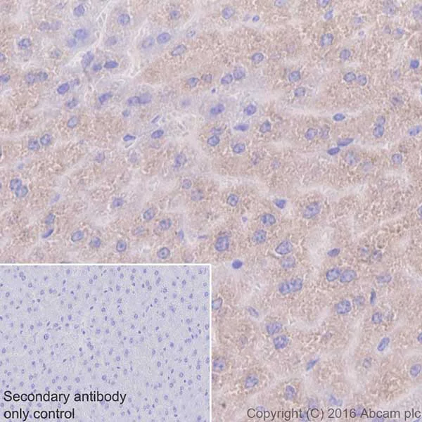
Immunohistochemistry (Formalin/PFA-fixed paraffin-embedded sections) - Anti-VKORC1 antibody [EPR20245] (AB206656)
  • IHC-P

Supplier Data

Immunohistochemistry (Formalin/PFA-fixed paraffin-embedded sections) - Anti-VKORC1 antibody [EPR20245] (AB206656)

Immunohistochemical analysis of paraffin-embedded mouse liver tissue labeling VKORC1 with ab206656 at 1/100 dilution followed by Goat Anti-Rabbit IgG H&L (HRP) (ab97051) at 1/500 dilution. Cytoplasmic staining on hepatocytes of mouse liver is observed [PMID : 25747820] [PMID : 14765194]. Counter stained with Hematoxylin.

Secondary antibody only control : Used PBS instead of primary antibody secondary antibody is Goat Anti-Rabbit IgG H&L (HRP) (ab97051) at 1/500 dilution.

Perform heat mediated antigen retrieval with Tris/EDTA buffer pH 9.0 before commencing with IHC staining protocol.

Western blot - Anti-VKORC1 antibody [EPR20245] (AB206656)
  • WB

Supplier Data

Western blot - Anti-VKORC1 antibody [EPR20245] (AB206656)

Blocking/Dilution buffer : 5% NFDM/TBST.

All lanes:

Western blot - Anti-VKORC1 antibody [EPR20245] (ab206656) at 1/1000 dilution

Lane 1:

HepG2 (Human liver hepatocellular carcinoma cell line) whole cell lysate at 20 µg

Lane 2:

A549 (Human lung carcinoma cell line) whole cell lysate at 20 µg

Lane 3:

Mouse liver lysate at 20 µg

Secondary

All lanes:

Western blot - Goat Anti-Rabbit IgG H&L (HRP) (<a href='/products/secondary-antibodies/goat-rabbit-igg-h-l-hrp-ab97051'>ab97051</a>) at 1/100000 dilution

Predicted band size: 18 kDa

Observed band size: 15 kDa

false

Exposure time: 8s

Western blot - Anti-VKORC1 antibody [EPR20245] (AB206656)
  • WB

Unknown

Western blot - Anti-VKORC1 antibody [EPR20245] (AB206656)

Blocking/Dilution buffer : 5% NFDM/TBST.

The expression profile/ molecular weight observed is consistent with what has been described in the literature (PMID : 25753038).

All lanes:

Western blot - Anti-VKORC1 antibody [EPR20245] (ab206656) at 1/1000 dilution

Lane 1:

Human fetal kidney lysate at 10 µg

Lane 2:

Human fetal liver lysate at 10 µg

Secondary

All lanes:

Goat Anti-Rabbit IgG Peroxidase Conjugate, specific to the non-reduced form of IgG at 1/10000 dilution

Predicted band size: 18 kDa

Observed band size: 15 kDa

false

Exposure time: 3min

Western blot - Anti-VKORC1 antibody [EPR20245] (AB206656)
  • WB

Supplier Data

Western blot - Anti-VKORC1 antibody [EPR20245] (AB206656)

Blocking/Dilution buffer : 5% NFDM/TBST.

All lanes:

Western blot - Anti-VKORC1 antibody [EPR20245] (ab206656) at 1/1000 dilution

Lane 1:

Mouse lung lysate at 10 µg

Lane 2:

Mouse pancreas lysate at 10 µg

Secondary

All lanes:

Western blot - Goat Anti-Rabbit IgG H&L (HRP) (<a href='/products/secondary-antibodies/goat-rabbit-igg-h-l-hrp-ab97051'>ab97051</a>) at 1/100000 dilution

Predicted band size: 18 kDa

Observed band size: 15 kDa

false

Exposure time: 3min

Key facts

宿主種

Rabbit

クローン性

Monoclonal

クローン番号

EPR20245

アイソタイプ

IgG

キャリアフリー

No

交差種

Mouse, Human

アプリケーション

ICC/IF, IHC-P, WB, Flow Cyt (Intra), IP

applications

免疫原

The exact immunogen used to generate this antibody is proprietary information.

特異性

This antibody is unsuitable for IHC in human.

Reactivity data

{ "title": "Reactivity Data", "filters": { "stats": ["", "Species", "Dilution Info", "Notes"], "tabs": { "all-applications": {"fullname" : "All Applications", "shortname": "All Applications"}, "IP" : {"fullname" : "Immunoprecipitation", "shortname":"IP"}, "WB" : {"fullname" : "Western blot", "shortname":"WB"}, "ICCIF" : {"fullname" : "Immunocytochemistry/ Immunofluorescence", "shortname":"ICC/IF"}, "FlowCytIntra" : {"fullname" : "Flow Cytometry (Intracellular)", "shortname":"Flow Cyt (Intra)"}, "IHCP" : {"fullname" : "Immunohistochemistry (Formalin/PFA-fixed paraffin-embedded sections)", "shortname":"IHC-P"} }, "product-promise": { "all": "all", "testedAndGuaranteed": "tested", "guaranteed": "expected", "predicted": "predicted", "notRecommended": "not-recommended" } }, "values": { "Human": { "IP-species-checked": "testedAndGuaranteed", "IP-species-dilution-info": "1/30", "IP-species-notes": "<p></p>", "WB-species-checked": "testedAndGuaranteed", "WB-species-dilution-info": "1/1000", "WB-species-notes": "<p></p>", "ICCIF-species-checked": "testedAndGuaranteed", "ICCIF-species-dilution-info": "1/100", "ICCIF-species-notes": "<p></p>", "FlowCytIntra-species-checked": "testedAndGuaranteed", "FlowCytIntra-species-dilution-info": "1/60", "FlowCytIntra-species-notes": "<p></p>", "IHCP-species-checked": "guaranteed", "IHCP-species-dilution-info": "", "IHCP-species-notes": "" }, "Mouse": { "IP-species-checked": "guaranteed", "IP-species-dilution-info": "", "IP-species-notes": "", "WB-species-checked": "testedAndGuaranteed", "WB-species-dilution-info": "1/1000", "WB-species-notes": "<p></p>", "ICCIF-species-checked": "guaranteed", "ICCIF-species-dilution-info": "", "ICCIF-species-notes": "", "FlowCytIntra-species-checked": "guaranteed", "FlowCytIntra-species-dilution-info": "", "FlowCytIntra-species-notes": "", "IHCP-species-checked": "testedAndGuaranteed", "IHCP-species-dilution-info": "1/100", "IHCP-species-notes": "<p>This antibody is unsuitable for IHC in human</p>" } } }

製品の詳細

Patented technology
Our RabMAb® technology is a patented hybridoma-based technology for making rabbit monoclonal antibodies. For details on our patents, please refer to RabMAb® patents.

What are the advantages of a recombinant monoclonal antibody?
This product is a recombinant monoclonal antibody, which offers several advantages including:

  • - High batch-to-batch consistency and reproducibility
  • - Improved sensitivity and specificity
  • - Long-term security of supply
  • - Animal-free batch production

For more information, read more on recombinant antibodies.

出荷温度及び保存条件

製品の状態
Liquid
精製方法
Affinity purification Protein A
バッファー組成
pH: 7.2 - 7.4 Preservative: 0.01% Sodium azide Constituents: PBS, 40% Glycerol (glycerin, glycerine), 0.05% BSA
出荷温度
Blue Ice
短期保存期間
1-2 weeks
短期保存温度
+4°C
長期保存温度
-20°C
分注に関する情報
Upon delivery aliquot
保管に関する情報
Avoid freeze / thaw cycle

補足情報

This supplementary information is collated from multiple sources and compiled automatically.

Vitamin K epoxide reductase complex subunit 1 (VKORC1) also known as VKOR is an enzyme that plays an important role in the vitamin K cycle. This enzyme has a molecular mass of approximately 18 kDa. VKORC1 helps in reducing vitamin K 23-epoxide to its active hydroquinone form which is necessary for the gamma-carboxylation of vitamin K-dependent proteins. These proteins are mainly responsible for blood coagulation. VKORC1 expression is high in the liver where much of the synthesis of clotting factors occurs.
Biological function summary

VKORC1 is integral to the vitamin K cycle an essential process for activating vitamin K-dependent clotting factors. It operates within a complex with its protein partner VKORC1-like 1 (VKORC1L1). This partnership is important for maintaining effective blood coagulation. The active form of vitamin K produced by VKORC1 ensures the activity of several blood clotting factors especially factors II VII IX and X. Without proper function of VKORC1 these factors would remain inactive.

Pathways

The vitamin K cycle is where VKORC1 makes a significant impact and this cycle is vital for blood coagulation processes. Specifically VKORC1 reduces vitamin K epoxide working closely with gamma-glutamyl carboxylase (GGCX) another enzyme that modifies the glutamic acid residues on clotting factors. This modification is important for their proper functioning within the coagulation cascade. The interplay between VKORC1 and GGCX directly connects to the synthesis of active blood coagulation proteins.

VKORC1 mutations are notably linked to warfarin resistance and susceptibility to bleeding disorders. Warfarin is an anticoagulant that targets VKORC1 to prevent clot formation and variations in this protein can lead to altered drug response. Furthermore any dysfunction in VKORC1 may result in vitamin K epoxide reductase deficiency affecting coagulation and leading to increased bleeding risk. Mutations could also affect partner proteins like coagulation factors II and VII leading to disorders related to abnormal blood clotting processes.

製品プロトコール

For this product, it's our understanding that no specific protocols are required. You can visit:

ターゲットの情報

Involved in vitamin K metabolism. Catalytic subunit of the vitamin K epoxide reductase (VKOR) complex which reduces inactive vitamin K 2,3-epoxide to active vitamin K. Vitamin K is required for the gamma-carboxylation of various proteins, including clotting factors, and is required for normal blood coagulation, but also for normal bone development.
See full target information VKORC1

文献 (5)

Recent publications for all applications. Explore the full list and refine your search

Biochemistry and biophysics reports 41:101925 PubMed40134939

2025

Vitamin D stimulates Il-15 synthesis in rodent muscle.

Applications

Unspecified application

Species

Unspecified reactive species

Franz Ewendt,Fabienne Drewitz,Michael Althammer,Cosima Eichler,Corinna Brandsch,Stefanie Brey,Thomas H Winkler,Mirja R Wilkens,René St-Arnaud,Marina Kreutz,Gabriele I Stangl

Journal of ginseng research 48:494-503 PubMed39263307

2024

Mechanism of Panax notoginseng saponins modulation of miR-214-3p/NR1I3 affecting the pharmacodynamics and pharmacokinetics of warfarin.

Applications

Unspecified application

Species

Unspecified reactive species

Yuting Yang,Zhenyu Zhai,Huiming Yao,Ling He,Jun Shao,Zirong Xia,Juxiang Li

Nature 608:778-783 PubMed35922516

2022

A non-canonical vitamin K cycle is a potent ferroptosis suppressor.

Applications

Unspecified application

Species

Unspecified reactive species

Eikan Mishima,Junya Ito,Zijun Wu,Toshitaka Nakamura,Adam Wahida,Sebastian Doll,Wulf Tonnus,Palina Nepachalovich,Elke Eggenhofer,Maceler Aldrovandi,Bernhard Henkelmann,Ken-Ichi Yamada,Jonas Wanninger,Omkar Zilka,Emiko Sato,Regina Feederle,Daniela Hass,Adriano Maida,André Santos Dias Mourão,Andreas Linkermann,Edward K Geissler,Kiyotaka Nakagawa,Takaaki Abe,Maria Fedorova,Bettina Proneth,Derek A Pratt,Marcus Conrad

Pesticide biochemistry and physiology 173:104774 PubMed33771253

2021

The VKORC1 ER-luminal loop mutation (Leu76Pro) leads to a significant resistance to warfarin in black rats (Rattus rattus).

Applications

Unspecified application

Species

Unspecified reactive species

Kazuki Takeda,Yoshinori Ikenaka,Denis Fourches,Kazuyuki D Tanaka,Shouta M M Nakayama,Dhoha Triki,Xinhao Li,Manabu Igarashi,Tsutomu Tanikawa,Mayumi Ishizuka

Molecular medicine reports 19:5361-5367 PubMed31059093

2019

Genetic variant in the promoter region of microRNA‑137 reduces the warfarin maintenance dose in patients with atrial fibrillation.

Applications

Unspecified application

Species

Unspecified reactive species

Zhen Tian,Yushuang Yang,Zhaohui Feng,Donghui Wu,Wei Yang,Dongna Liu
View all publications

Abcam product promise

当社は、高品質な試薬を通じてお客様の研究を力強くサポートすることをお約束いたします。ご使用いただく各段階で、常にお客様をサポートできる体制を整えております。万が一、製品が期待通りに機能しない場合は、「Abcam Product Promise」による当社保証制度に基づき、安心してご利用いただけます。
保証に関する詳細については利用規約をご確認ください。

Please note: All products are 'FOR RESEARCH USE ONLY. NOT FOR USE IN DIAGNOSTIC OR THERAPEUTIC PROCEDURES'.

For licensing inquiries, please contact partnerships@abcam.com