JavaScript is disabled in your browser. Please enable JavaScript to view this website.
AB3974

Anti-Vimentin 抗体 [VI-RE/1]

Anti-Vimentin antibody [VI-RE/1]

3

(3 Reviews)

|

(9 Publications)

Mouse Monoclonal Vimentin antibody. Suitable for ICC/IF, WB, IHC-P, Flow Cyt (Intra) and reacts with Human samples. Cited in 9 publications. Immunogen corresponding to Recombinant Full Length Protein corresponding to Human VIM.

別名を表示する

Vimentin, VIM

6 Images
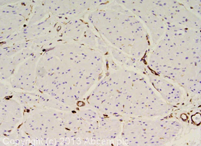
Immunohistochemistry (Formalin/PFA-fixed paraffin-embedded sections) - Anti-Vimentin antibody [VI-RE/1] (AB3974)
  • IHC-P

Unknown

Immunohistochemistry (Formalin/PFA-fixed paraffin-embedded sections) - Anti-Vimentin antibody [VI-RE/1] (AB3974)

IHC image of Vimentin staining in human bladder formalin fixed paraffin embedded tissue section, performed on a Leica Bond system using the standard protocol F. The section was pre-treated using heat mediated antigen retrieval with sodium citrate buffer (pH6, epitope retrieval solution 1) for 20 mins. The section was then incubated with ab3974, 5μg/ml, for 15 mins at room temperature and detected using an HRP conjugated compact polymer system. DAB was used as the chromogen. The section was then counterstained with haematoxylin and mounted with DPX.

For other IHC staining systems (automated and non-automated) customers should optimize variable parameters such as antigen retrieval conditions, primary antibody concentration and antibody incubation times.

Flow Cytometry (Intracellular) - Anti-Vimentin antibody [VI-RE/1] (AB3974)
  • Flow Cyt (Intra)

Supplier Data

Flow Cytometry (Intracellular) - Anti-Vimentin antibody [VI-RE/1] (AB3974)

Flow cytometry (Intracellular) analysis ESS-1 (human endometrial stromal sarcoma cell line) cells labeling Vimentin with ab3974 (GAM-FITC).

Negative control : human lymphocytes.

Immunohistochemistry (Formalin/PFA-fixed paraffin-embedded sections) - Anti-Vimentin antibody [VI-RE/1] (AB3974)
  • IHC-P

Supplier Data

Immunohistochemistry (Formalin/PFA-fixed paraffin-embedded sections) - Anti-Vimentin antibody [VI-RE/1] (AB3974)

Immunohistochemistry staining (paraffin sections) of Vimentin in human liver using mouse monoclonal antibody [VI-RE/1] (ab3974, diluted 1/400), detected with GAM IgG-Alexa Fluor®488 (diluted 1/200; green), cell nuclei stained with PI (1 μg/ml; orange).

Immunocytochemistry - Anti-Vimentin antibody [VI-RE/1] (AB3974)
  • ICC

Unknown

Immunocytochemistry - Anti-Vimentin antibody [VI-RE/1] (AB3974)

ICC image of ab3974 stained HeLa cells. The cells were 100% methanol fixed (5 min) and then incubated in 1%BSA / 10% normal goat serum / 0.3M glycine in 0.1% PBS-Tween for 1h to permeabilise the cells and block non-specific protein-protein interactions. The cells were then incubated with the antibody (ab3974, 5μg/ml) overnight at +4°C. The secondary antibody (green) was ab96879, DyLight® 488 goat anti-mouse IgG (H+L) used at a 1/250 dilution for 1h. Alexa Fluor® 594 WGA was used to label plasma membranes (red) at a 1/200 dilution for 1h. DAPI was used to stain the cell nuclei (blue) at a concentration of 1.43μM.

Flow Cytometry (Intracellular) - Anti-Vimentin antibody [VI-RE/1] (AB3974)
  • Flow Cyt (Intra)

Unknown

Flow Cytometry (Intracellular) - Anti-Vimentin antibody [VI-RE/1] (AB3974)

Flow Cytometry (Intracellular) analysis of HeLa cells labeling Vimentin with ab3974 (red line). The cells were fixed with 80% methanol (5 min) and then permeabilized with 0.1% PBS-Tween for 20 min. The cells were then incubated in 1x PBS / 10% normal goat serum / 0.3M glycine to block non-specific protein-protein interactions followed by the antibody (ab3974, 1μg/1x106 cells) for 30 min at 22°C. The secondary antibody used was DyLight® 488 goat anti-mouse IgG (H+L) (ab96879) at 1/500 dilution for 30 min at 22°C. Isotype control antibody (black line) was mouse IgG1 [ICIGG1] (ab91353, 2μg/1x106 cells) used under the same conditions. Acquisition of >5,000 events was performed.

Western blot - Anti-Vimentin antibody [VI-RE/1] (AB3974)
  • WB

Unknown

Western blot - Anti-Vimentin antibody [VI-RE/1] (AB3974)

All lanes:

Western blot - Anti-Vimentin antibody [VI-RE/1] (ab3974) at 5 µg/mL

All lanes:

HeLa (Human epithelial carcinoma cell line) Whole Cell Lysate at 10 µg

Secondary

All lanes:

Goat polyclonal to Mouse IgG - H&L - Pre-Adsorbed (HRP) at 1/3000 dilution

Predicted band size: 53 kDa

Observed band size: 57 kDa

false

Key facts

宿主種

Mouse

クローン性

Monoclonal

クローン番号

VI-RE/1

アイソタイプ

IgG1

キャリアフリー

No

交差種

Human

アプリケーション

Flow Cyt (Intra), IHC-P, ICC/IF, WB

applications

免疫原

Recombinant Full Length Protein corresponding to Human VIM.

P08670

特異性

The antibody VI-RE/1 reacts with human vimentin, a 57 kDa intermediate filament protein expressed on a wide variety of mesenchymal and mesodermal cell types.

Reactivity data

{ "title": "Reactivity Data", "filters": { "stats": ["", "Species", "Dilution Info", "Notes"], "tabs": { "all-applications": {"fullname" : "All Applications", "shortname": "All Applications"}, "ICCIF" : {"fullname" : "Immunocytochemistry/ Immunofluorescence", "shortname":"ICC/IF"}, "WB" : {"fullname" : "Western blot", "shortname":"WB"}, "IHCP" : {"fullname" : "Immunohistochemistry (Formalin/PFA-fixed paraffin-embedded sections)", "shortname":"IHC-P"}, "FlowCytIntra" : {"fullname" : "Flow Cytometry (Intracellular)", "shortname":"Flow Cyt (Intra)"} }, "product-promise": { "all": "all", "testedAndGuaranteed": "tested", "guaranteed": "expected", "predicted": "predicted", "notRecommended": "not-recommended" } }, "values": { "Human": { "ICCIF-species-checked": "testedAndGuaranteed", "ICCIF-species-dilution-info": "5-10 µg/mL", "ICCIF-species-notes": "<p></p>", "WB-species-checked": "testedAndGuaranteed", "WB-species-dilution-info": "1-2 µg/mL", "WB-species-notes": "<p>Positive control: LEP-19 cell lysate Negative control: 3T3 mouse cell line Sample preparation: Resuspend approx. 50 mil. cells in 1 ml cold Lysis buffer (1% laurylmaltoside in 20 mM Tris/Cl, 100 mM NaCl pH 8.2, 50 mM NaF including Protease inhibitor Cocktail). Incubate 60 min on ice. Centrifuge to remove cell debris. Mix lysate with reducing Laemmli SDS-PAGE sample buffer. Boil for 3 min in water bath.</p>", "IHCP-species-checked": "testedAndGuaranteed", "IHCP-species-dilution-info": "1/400", "IHCP-species-notes": "<p></p>", "FlowCytIntra-species-checked": "testedAndGuaranteed", "FlowCytIntra-species-dilution-info": "1-4 µg/mL", "FlowCytIntra-species-notes": "<p><a href='/products/primary-antibodies/mouse-igg1-kappa-monoclonal-15-6e10a7-isotype-control-ab170190'>ab170190</a> - Mouse monoclonal IgG1, is suitable for use as an isotype control with this antibody.</p>" }, "Mouse": { "ICCIF-species-checked": "notRecommended", "ICCIF-species-dilution-info": "5-10 µg/mL", "ICCIF-species-notes": "<p></p>", "WB-species-checked": "notRecommended", "WB-species-dilution-info": "1-2 µg/mL", "WB-species-notes": "<p>Positive control: LEP-19 cell lysate Negative control: 3T3 mouse cell line Sample preparation: Resuspend approx. 50 mil. cells in 1 ml cold Lysis buffer (1% laurylmaltoside in 20 mM Tris/Cl, 100 mM NaCl pH 8.2, 50 mM NaF including Protease inhibitor Cocktail). Incubate 60 min on ice. Centrifuge to remove cell debris. Mix lysate with reducing Laemmli SDS-PAGE sample buffer. Boil for 3 min in water bath.</p>", "IHCP-species-checked": "notRecommended", "IHCP-species-dilution-info": "", "IHCP-species-notes": "", "FlowCytIntra-species-checked": "notRecommended", "FlowCytIntra-species-dilution-info": "", "FlowCytIntra-species-notes": "" }, "Rat": { "ICCIF-species-checked": "notRecommended", "ICCIF-species-dilution-info": "", "ICCIF-species-notes": "", "WB-species-checked": "notRecommended", "WB-species-dilution-info": "", "WB-species-notes": "", "IHCP-species-checked": "predicted", "IHCP-species-dilution-info": "", "IHCP-species-notes": "", "FlowCytIntra-species-checked": "predicted", "FlowCytIntra-species-dilution-info": "", "FlowCytIntra-species-notes": "" }, "Pig": { "ICCIF-species-checked": "notRecommended", "ICCIF-species-dilution-info": "5-10 µg/mL", "ICCIF-species-notes": "<p></p>", "WB-species-checked": "notRecommended", "WB-species-dilution-info": "1-2 µg/mL", "WB-species-notes": "<p>Positive control: LEP-19 cell lysate Negative control: 3T3 mouse cell line Sample preparation: Resuspend approx. 50 mil. cells in 1 ml cold Lysis buffer (1% laurylmaltoside in 20 mM Tris/Cl, 100 mM NaCl pH 8.2, 50 mM NaF including Protease inhibitor Cocktail). Incubate 60 min on ice. Centrifuge to remove cell debris. Mix lysate with reducing Laemmli SDS-PAGE sample buffer. Boil for 3 min in water bath.</p>", "IHCP-species-checked": "notRecommended", "IHCP-species-dilution-info": "", "IHCP-species-notes": "", "FlowCytIntra-species-checked": "notRecommended", "FlowCytIntra-species-dilution-info": "", "FlowCytIntra-species-notes": "" } } }

出荷温度及び保存条件

製品の状態
Liquid
精製方法
Affinity purification Protein A
精製に関する特記事項
Purified from hybridoma culture supernatant. Purity >95% by SDS-PAGE.
バッファー組成
pH: 7.4 Preservative: 0.097% Sodium azide Constituents: PBS
出荷温度
Blue Ice
短期保存期間
1-2 weeks
短期保存温度
+4°C
長期保存温度
-20°C
分注に関する情報
Upon delivery aliquot
保管に関する情報
Avoid freeze / thaw cycle

製品プロトコール

For this product, it's our understanding that no specific protocols are required. You can visit:

ターゲットの情報

Vimentins are class-III intermediate filaments found in various non-epithelial cells, especially mesenchymal cells. Vimentin is attached to the nucleus, endoplasmic reticulum, and mitochondria, either laterally or terminally. Plays a role in cell directional movement, orientation, cell sheet organization and Golgi complex polarization at the cell migration front (By similarity). Protects SCRIB from proteasomal degradation and facilitates its localization to intermediate filaments in a cell contact-mediated manner (By similarity). May promote axon outgrowth and motor fiber repair via DSP-mediated recruitment to outgrowth tips (By similarity).. Involved with LARP6 in the stabilization of type I collagen mRNAs for CO1A1 and CO1A2.
See full target information VIM

文献 (9)

Recent publications for all applications. Explore the full list and refine your search

Cells 13: PubMed39682758

2024

Characterization of Epithelial-Mesenchymal and Neuroendocrine Differentiation States in Pancreatic and Small Cell Ovarian Tumor Cells and Their Modulation by TGF-β1 and BMP-7.

Applications

Unspecified application

Species

Unspecified reactive species

Hendrik Ungefroren,Juliane von der Ohe,Rüdiger Braun,Yola Gätje,Olha Lapshyna,Jörg Schrader,Hendrik Lehnert,Jens-Uwe Marquardt,Björn Konukiewitz,Ralf Hass

Biomedicines 12: PubMed38255305

2024

RAC1b Collaborates with TAp73α-SMAD4 Signaling to Induce Biglycan Expression and Inhibit Basal and TGF-β-Driven Cell Motility in Human Pancreatic Cancer.

Applications

Unspecified application

Species

Unspecified reactive species

Hendrik Ungefroren,Julissa Reimann,Björn Konukiewitz,Rüdiger Braun,Ulrich F Wellner,Hendrik Lehnert,Jens-Uwe Marquardt

Cells 12: PubMed36831254

2023

Establishment and Molecular Characterization of Two Patient-Derived Pancreatic Ductal Adenocarcinoma Cell Lines as Preclinical Models for Treatment Response.

Applications

Unspecified application

Species

Unspecified reactive species

Rüdiger Braun,Olha Lapshyna,Jessica Watzelt,Maren Drenckhan,Axel Künstner,Benedikt Färber,Ahmed Ahmed Mohammed Hael,Louisa Bolm,Kim Christin Honselmann,Björn Konukiewitz,Darko Castven,Malte Spielmann,Sivahari Prasad Gorantla,Hauke Busch,Jens-Uwe Marquardt,Tobias Keck,Ulrich Friedrich Wellner,Hendrik Ungefroren

Cancers 14: PubMed35681693

2022

LncRNA JPX Promotes Esophageal Squamous Cell Carcinoma Progression by Targeting miR-516b-5p/VEGFA Axis.

Applications

Unspecified application

Species

Unspecified reactive species

Yi He,Rong Hua,Yang Yang,Bin Li,Xufeng Guo,Zhigang Li

Journal of molecular endocrinology : PubMed32698141

2020

Long non-coding RNA H19 contributes to wound healing of diabetic foot ulcer.

Applications

Unspecified application

Species

Unspecified reactive species

Bo Li,Yue Zhou,Jing Chen,Tingting Wang,Zhijuan Li,Yili Fu,Changlong Bi,Aixia Zhai

Molecular therapy. Nucleic acids 19:814-826 PubMed31958697

2020

The MSC-Derived Exosomal lncRNA H19 Promotes Wound Healing in Diabetic Foot Ulcers by Upregulating PTEN via MicroRNA-152-3p.

Applications

Unspecified application

Species

Unspecified reactive species

Bo Li,Song Luan,Jing Chen,Yue Zhou,Tingting Wang,Zhijuan Li,Yili Fu,Aixia Zhai,Changlong Bi

Molecular biology reports 46:6325-6338 PubMed31538301

2019

Apelin abrogates the stimulatory effects of 17β-estradiol and insulin-like growth factor-1 on proliferation of epithelial and granulosa ovarian cancer cell lines via crosstalk between APLNR and ERα/IGF1R.

Applications

Unspecified application

Species

Unspecified reactive species

Marta Hoffmann,Justyna Gogola,Anna Ptak

Experimental and molecular pathology 108:32-41 PubMed30844369

2019

Down-regulation of microRNA-31-5p inhibits proliferation and invasion of osteosarcoma cells through Wnt/β-catenin signaling pathway by enhancing AXIN1.

Applications

Unspecified application

Species

Unspecified reactive species

Xue Chen,Lili Zhong,Xijing Li,Wenping Liu,Yinlong Zhao,Junfeng Li

PloS one 9:e86516 PubMed24466130

2014

CD90+ mesothelial-like cells in peritoneal fluid promote peritoneal metastasis by forming a tumor permissive microenvironment.

Applications

Flow Cyt

Species

Human

Joji Kitayama,Shigenobu Emoto,Hironori Yamaguchi,Hironori Ishigami,Toshiaki Watanabe
View all publications

Abcam product promise

当社は、高品質な試薬を通じてお客様の研究を力強くサポートすることをお約束いたします。ご使用いただく各段階で、常にお客様をサポートできる体制を整えております。万が一、製品が期待通りに機能しない場合は、「Abcam Product Promise」による当社保証制度に基づき、安心してご利用いただけます。
保証に関する詳細については利用規約をご確認ください。

Please note: All products are 'FOR RESEARCH USE ONLY. NOT FOR USE IN DIAGNOSTIC OR THERAPEUTIC PROCEDURES'.

For licensing inquiries, please contact partnerships@abcam.com