JavaScript is disabled in your browser. Please enable JavaScript to view this website.
AB8069

Anti-Vimentin 抗体 [V9] - Cytoskeleton Marker

Anti-Vimentin antibody [V9] - Cytoskeleton Marker

  • BOND RX™ Validated
  • KO Validated
  • Recombinant
  • Lab Essentials
  • 詳細を見る

5

(28 Reviews)

|

(213 Publications)

Anti-Vimentin antibody [V9] - Cytoskeleton Marker (ab8069) is a mouse monoclonal antibody detecting Vimentin in Western Blot, Flow Cytometry (Intra), IHC-P, ICC/IF. Suitable for Human, Rat.

- KO validated for confirmed specificity
- Over 170 publications
- Trusted since 2002

別名を表示する

Vimentin, VIM

14 Images
Western blot - Anti-Vimentin antibody [V9] - Cytoskeleton Marker (AB8069)
  • WB

Lab

Western blot - Anti-Vimentin antibody [V9] - Cytoskeleton Marker (AB8069)

Lanes 1 - 4 : Merged signal (red and green). Green - ab8069 observed at 57 kDa. Red - loading control, ab181602, observed at 37 kDa.

ab8069 was shown to specifically react with Vimentin in wild-type HAP1 cells as signal was lost in VIM (Vimentin) knockout cells. Wild-type and VIM (Vimentin) knockout samples were subjected to SDS-PAGE. ab8069 and ab181602 (Rabbit anti-GAPDH loading control) were incubated overnight at 4°C at 1 μg/ml and 1/10000 dilution respectively. Blots were developed with Goat anti-Mouse IgG H&L (IRDye® 800CW) preabsorbed ab216772 and Goat anti-Rabbit IgG H&L (IRDye® 680RD) preabsorbed ab216777 secondary antibodies at 1/10000 dilution for 1 hour at room temperature before imaging.

All lanes:

Western blot - Anti-Vimentin antibody [V9] - Cytoskeleton Marker (ab8069) at 1 µg/mL

Lane 1:

Wild-type HAP1 whole cell lysate at 20 µg

Lane 2:

VIM (Vimentin) knockout HAP1 whole cell lysate at 20 µg

Lane 3:

HeLa whole cell lysate at 20 µg

Lane 4:

MOLT4 whole cell lysate at 20 µg

Predicted band size: 53 kDa

false

Flow Cytometry (Intracellular) - Anti-Vimentin antibody [V9] - Cytoskeleton Marker (AB8069)
  • Flow Cyt (Intra)

Supplier Data

Flow Cytometry (Intracellular) - Anti-Vimentin antibody [V9] - Cytoskeleton Marker (AB8069)

Overlay histogram showing MDA-MB-231 cells stained with ab8069 (red line). The cells were fixed with 4% formaldehyde (10 min) and then permeabilized with 0.1% PBS-Triton X-100 for 20 min. The cells were then incubated in 1x PBS / 10% normal goat serum / 0.3M glycine to block non-specific protein-protein interactions followed by the antibody (ab8069, 1μg/1x106 cells) for 30 min at 22°C. The secondary antibody used was Alexa Fluor® 488 goat anti-mouse IgG (H&L) (ab150113) at 1/2000 dilution for 30 min at 22°C. Isotype control antibody (black line) was mouse IgG1 [ICIGG1] (ab91353, 1μg/1x106 cells) used under the same conditions. Unlabelled sample (blue line) was also used as a control.

Acquisition of >5,000 events were collected using a 20mW Argon ion laser (488nm) and 525/30 bandpass filter.

This antibody gave a positive signal in MDA-MB-231 cells fixed with 80% methanol (5 min)/permeabilized with 0.1% PBS-Triton X-100 for 20 min used under the same conditions.

Flow Cytometry (Intracellular) - Anti-Vimentin antibody [V9] - Cytoskeleton Marker (AB8069)
  • Flow Cyt (Intra)

Lab

Flow Cytometry (Intracellular) - Anti-Vimentin antibody [V9] - Cytoskeleton Marker (AB8069)

Flow cytometry overlay histogram showing wild-type HAP1 (green line) and VIM knockout HAP1 cells stained with ab8069 (magenta line). The cells were fixed with 80% methanol (5 min) and then permeabilized with 0.1% PBS-Triton X-100 for 15 min. The cells were then incubated in 1x PBS containing 10% normal goat serum to block non-specific protein-protein interaction followed by the antibody (ab8069) (1x106 in 100 μl at 0.04 μg/ml) for 30 min at 22°C.

The secondary antibody Goat anti-mouse IgG H&L (Alexa Fluor® 488, pre-adsorbed) (ab150117) was used at 1/4000 for 30 min at 22°C.

Isotype control antibody was mouse IgG1κ (ab170190) used at the same concentration and conditions as the primary antibody (wild-type HAP1 - black line, VIM knockout HAP1 - grey line). Unlabelled sample was also used as a control (this line is not shown for the purpose of simplicity).

Acquisition of >5000 events were collected using a 50 mW Blue laser (488nm) and 525/40 bandpass filter.

Immunocytochemistry/ Immunofluorescence - Anti-Vimentin antibody [V9] - Cytoskeleton Marker (AB8069)
  • ICC/IF

Supplier Data

Immunocytochemistry/ Immunofluorescence - Anti-Vimentin antibody [V9] - Cytoskeleton Marker (AB8069)

ab8069 staining Vimentin (colored green) in wild-type HAP1 cells (top panel) and VIM knockout HAP1 cells (bottom panel). The cells were fixed with 100% methanol (5min), permeabilized with 0.1% Triton X-100 for 5 minutes and then blocked with 1% BSA/10% normal goat serum/0.3M glycine in 0.1% PBS-Tween for 1h. The cells were then incubated with ab8069 at 0.5μg/ml and ab202272 (Rabbit monoclonal [EP1332Y] to alpha Tubulin (Alexa Fluor® 594)) at 1/250 dilution overnight at +4°C, followed by a further incubation at room temperature for 1h with ab150117 (Goat secondary antibody to Mouse IgG (Alexa Fluor® 488)) at 2 μg/ml (colored green). Nuclear DNA was labelled in blue with DAPI.

Image was taken with a confocal microscope (Leica-Microsystems, TCS SP8).

Immunocytochemistry/ Immunofluorescence - Anti-Vimentin antibody [V9] - Cytoskeleton Marker (AB8069)
  • ICC/IF

Supplier Data

Immunocytochemistry/ Immunofluorescence - Anti-Vimentin antibody [V9] - Cytoskeleton Marker (AB8069)

ab8069 staining Vimentin in HeLa cells. The cells were fixed with 4% formaldehyde (10min), permeabilized with 0.1% Triton X-100 for 5 minutes and then blocked with 1% BSA/10% normal goat serum/0.3M glycine in 0.1% PBS-Tween for 1h. The cells were then incubated overnight at +4°C with ab8069 at 1/100 dilution (shown in green) and ab195889, Mouse monoclonal to alpha Tubulin (Alexa Fluor® 594), at 2μg/ml (shown in red). Nuclear DNA was labelled with DAPI (shown in blue).
Image was taken with a confocal microscope (Leica-Microsystems, TCS SP8).

Immunocytochemistry/ Immunofluorescence - Anti-Vimentin antibody [V9] - Cytoskeleton Marker (AB8069)
  • ICC/IF

PubMed

Immunocytochemistry/ Immunofluorescence - Anti-Vimentin antibody [V9] - Cytoskeleton Marker (AB8069)

ab8069 staining Vimentin in human epithelial ovarian serous adenocarcinoma cell line SKOV-3 by Immunocytochemistry/ Immunofluorescence.

Samples were fixed with 4% PFA in PBS pH 7.4 and then permeabilised using 0.2% saponin for 30 minutes. A blocking step was performed using 1% BSA/PBS for 1 hour. Samples were then incubated with ab8069 at a 1/200 dilution in 1% BSA/PBS for 1 hour. The secondary antibody was a goat anti-mouse Alexa 488 (green) diluted 1/1000, 1% BSA/PBS for 1 hour. Samples were then incubated with phalloidin (red for actin staining) in 1% BSA/PBS for 45 minutes and counterstained with DAPI (blue for nuclei staining) in PBS for 45 minutes.

Image from Loessner D et al, Biomaterials. 2010 Nov;31(32):8494-506. Epub 2010 Aug 14. doi:10.1016/j.biomaterials.2010.07.064

Immunohistochemistry (Formalin/PFA-fixed paraffin-embedded sections) - Anti-Vimentin antibody [V9] - Cytoskeleton Marker (AB8069)
  • IHC-P

AbReview31772****

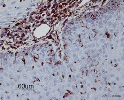
Immunohistochemistry (Formalin/PFA-fixed paraffin-embedded sections) - Anti-Vimentin antibody [V9] - Cytoskeleton Marker (AB8069)

ab8069 staining Vimentin in Human oral cavity tissue sections by Immunohistochemistry (Formalin/PFA-fixed paraffin-embedded sections).

Tissue was fixed with paraformaldehyde and blocked with ab64226 Protein Block for 5 minutes at 25°C; antigen retrieval was by heat mediation in pH 6 buffer . Samples were incubated with primary antibody (1/1000 in 10% NGS) for 16 hours at 4°C. An undiluted biotinylated goat anti-rabbit polyclonal IgG was used as the secondary antibody.

This image is courtesy of an anonymous Abreview

Immunohistochemistry (Formalin/PFA-fixed paraffin-embedded sections) - Anti-Vimentin antibody [V9] - Cytoskeleton Marker (AB8069)
  • IHC-P

Supplier Data

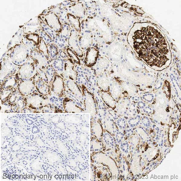
Immunohistochemistry (Formalin/PFA-fixed paraffin-embedded sections) - Anti-Vimentin antibody [V9] - Cytoskeleton Marker (AB8069)

IHC image of Vimentin staining in a section of formalin-fixed paraffin-embedded human normal kidney* performed on a Leica Biosystems BOND® RX instrument. The section was pre-treated using heat mediated antigen retrieval with sodium citrate buffer (pH6, epitope retrieval solution 1) for 20mins. The section was then incubated with ab8069, 0.5ug/ml, for 15 mins at room temperature and detected using an HRP conjugated compact polymer system. DAB was used as the chromogen. The section was then counterstained with haematoxylin and mounted with DPX. The inset secondary-only control image is taken from an identical assay without primary antibody. For other IHC staining systems (automated and non-automated) customers should optimize variable parameters such as antigen retrieval conditions, primary antibody concentration and antibody incubation times. *Tissue obtained from the Human Research Tissue Bank, supported by the NIHR Cambridge Biomedical Research Centre.

Lab

Immunohistochemistry (Formalin/PFA-fixed paraffin-embedded sections) - Anti-Vimentin antibody [V9] - Cytoskeleton Marker (AB8069)
  • IHC-P

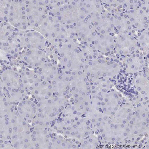
Supplier Data

Immunohistochemistry (Formalin/PFA-fixed paraffin-embedded sections) - Anti-Vimentin antibody [V9] - Cytoskeleton Marker (AB8069)

IHC image showing no staining when ab8069 was used on mouse kidney formalin fixed paraffin embedded tissue, using MOM detection kit, ab127055. The section was pre-treated using pressure cooker heat mediated antigen retrieval with sodium citrate buffer (pH6) for 30 mins. The section was incubated with ab8069 at 5 μg/ml for 15 mins at room temperature. DAB was used as the chromogen. The section was counterstained with haematoxylin and mounted with DPX.

For other IHC staining systems (automated and non-automated) customers should optimize variable parameters such as antigen retrieval conditions, primary antibody concentration and antibody incubation times.

Immunocytochemistry/ Immunofluorescence - Anti-Vimentin antibody [V9] - Cytoskeleton Marker (AB8069)
  • ICC/IF

AbReview43442****

Immunocytochemistry/ Immunofluorescence - Anti-Vimentin antibody [V9] - Cytoskeleton Marker (AB8069)

ab8069 staining Vimentin in rat glial cells by ICC/IF (Immunocytochemistry/immunofluorescence). Cells were fixed with formaldehyde and blocked with 1% BSA for 10 minutes at 25°C. Samples were incubated with primary antibody (1/200) for 10 hours at 4°C. An Alexa Fluor® 555-conjugated anti-mouse IgG polyclonal (1/300) was used as the secondary antibody.

This image is courtesy of an anonymous Abreview

Western blot - Anti-Vimentin antibody [V9] - Cytoskeleton Marker (AB8069)
  • WB

Project

Western blot - Anti-Vimentin antibody [V9] - Cytoskeleton Marker (AB8069)

All lanes:

Western blot - Anti-Vimentin antibody [V9] - Cytoskeleton Marker (ab8069) at 1 µg/mL

Lane 1:

HeLa (Human epithelial cell line from cervix adenocarcinoma) Whole Cell Lysate at 10 µg

Lane 2:

MOLT4 (Human lymphoblastic leukemia cell line) Whole Cell Lysate at 10 µg

Secondary

All lanes:

Western blot - Goat Anti-Mouse IgG H&L (HRP) preadsorbed (<a href='/products/secondary-antibodies/goat-mouse-igg-h-l-hrp-preadsorbed-ab97040'>ab97040</a>) at 1/5000 dilution

Predicted band size: 53 kDa

Observed band size: 57 kDa

true

Exposure time: 20min

Western blot - Anti-Vimentin antibody [V9] - Cytoskeleton Marker (AB8069)
  • WB

Lab

Western blot - Anti-Vimentin antibody [V9] - Cytoskeleton Marker (AB8069)

Lanes 1 - 4 : Merged signal (red and green). Green - ab8069 observed at 53 kDa. Red - loading control, ab181602 observed at 37 kDa.

ab8069 was shown to react with Vimentin in wild-type HeLa cells. Loss of signal was observed when knockout cell line ab255446 (knockout cell lysate ab263775) was used. Wild-type and Vimentin knockout samples were subjected to SDS-PAGE. ab8069 and Anti-GAPDH antibody [EPR16891] - Loading Control (ab181602) were incubated overnight at 4°C at 1 μg/ml and 1 in 20000 dilution respectively. Blots were developed with Goat anti-Mouse IgG H&L (IRDye® 800CW) preadsorbed (ab216772) and Goat Anti-Rabbit IgG H&L (IRDye® 680RD) preadsorbed (ab216777) secondary antibodies at 1 in 20000 dilution for 1 hour at room temperature before imaging.

All lanes:

Western blot - Anti-Vimentin antibody [V9] - Cytoskeleton Marker (ab8069) at 1 µg/mL

Lane 1:

U-2 OS (Human bone osteosarcoma epithelial cell line) cell lysate at 20 µg

Lane 2:

Human tonsil cell lysate at 20 µg

Lane 2:

Western blot - Human VIM (Vimentin) knockout HeLa cell line (<a href='/products/cell-lines/human-vim-vimentin-knockout-hela-cell-line-ab255446'>ab255446</a>)

Lane 3:

Wild-type HeLa cell lysate at 20 µg

Lane 4:

VIM knockout HeLa cell lysate at 20 µg

Secondary

All lanes:

Western blot - Goat anti-Mouse IgG H&L (IRDye® 800CW) preadsorbed (<a href='/products/secondary-antibodies/goat-mouse-igg-h-l-irdye-800cw-preadsorbed-ab216772'>ab216772</a>) at 1/20000 dilution

Predicted band size: 53 kDa

Observed band size: 50 kDa,53 kDa

false

Western blot - Anti-Vimentin antibody [V9] - Cytoskeleton Marker (AB8069)
  • WB

PubMed

Western blot - Anti-Vimentin antibody [V9] - Cytoskeleton Marker (AB8069)

All lanes:

Western blot - Anti-Vimentin antibody [V9] - Cytoskeleton Marker (ab8069)

Lane 1:

Whole cell lysate of A549 cells

Lane 2:

Whole cell lysate of A549 cells treated with TGF-beta

Lane 3:

Whole cell lysate of A549 cells overexpressing JARID2

Lane 4:

Whole cell lysate of A549 cells overexpressing JARID2 treated with TGF-beta

Predicted band size: 53 kDa

false

Image from Tange S et al., PLoS One. 2014;9(12):e115684. Fig 9(H).; doi: 10.1371/journal.pone.0115684. Reproduced under the Creative Commons license http://creativecommons.org/licenses/by/4.0/

Flow Cytometry (Intracellular) - Anti-Vimentin antibody [V9] - Cytoskeleton Marker (AB8069)
  • Flow Cyt (Intra)

Supplier Data

Flow Cytometry (Intracellular) - Anti-Vimentin antibody [V9] - Cytoskeleton Marker (AB8069)

Overlay histogram showing SV40LT-SMC cells stained with ab8069 (red line). The cells were fixed with 80% methanol (5 min) and then permeabilized with 0.1% PBS-Triton X-100 for 20 min. The cells were then incubated in 1x PBS / 10% normal goat serum / 0.3M glycine to block non-specific protein-protein interactions followed by the antibody (ab8069, 0.1μg/1x106 cells) for 30 min at 22°C. The secondary antibody used was Alexa Fluor® 488 goat anti-mouse IgG (H&L) (ab150113) at 1/2000 dilution for 30 min at 22°C. Isotype control antibody (black line) was mouse IgG1 [ICIGG1] (ab91353, 0.1μg/1x106 cells) used under the same conditions. Unlabelled sample (blue line) was also used as a control.

Acquisition of >5,000 events were collected using a 20mW Argon ion laser (488nm) and 525/30 bandpass filter.

関連する標識済み抗体及び組成の異なる製品 (4)

  • Carrier free

    Anti-Vimentin antibody [V9] - BSA and Azide free

  • HRP

    HRP Anti-Vimentin antibody [V9] - Cytoskeleton Marker

  • 519 Alexa Fluor® 488

    Alexa Fluor® 488 Anti-Vimentin antibody [V9] - Cytoskeleton Marker

  • 665 Alexa Fluor® 647

    Alexa Fluor® 647 Anti-Vimentin antibody [V9] - Cytoskeleton Marker

Key facts

宿主種

Mouse

クローン性

Monoclonal

クローン番号

V9

アイソタイプ

IgG1

キャリアフリー

No

交差種

Rat, Human

アプリケーション

ICC/IF, WB, IHC-P, Flow Cyt (Intra)

applications

免疫原

The exact immunogen used to generate this antibody is proprietary information.

Reactivity data

{ "title": "Reactivity Data", "filters": { "stats": ["", "Species", "Dilution Info", "Notes"], "tabs": { "all-applications": {"fullname" : "All Applications", "shortname": "All Applications"}, "IHCP" : {"fullname" : "Immunohistochemistry (Formalin/PFA-fixed paraffin-embedded sections)", "shortname":"IHC-P"}, "FlowCytIntra" : {"fullname" : "Flow Cytometry (Intracellular)", "shortname":"Flow Cyt (Intra)"}, "WB" : {"fullname" : "Western blot", "shortname":"WB"}, "ICCIF" : {"fullname" : "Immunocytochemistry/ Immunofluorescence", "shortname":"ICC/IF"} }, "product-promise": { "all": "all", "testedAndGuaranteed": "tested", "guaranteed": "expected", "predicted": "predicted", "notRecommended": "not-recommended" } }, "values": { "Human": { "IHCP-species-checked": "testedAndGuaranteed", "IHCP-species-dilution-info": "0.5-5 µg/mL", "IHCP-species-notes": "<p></p> Perform heat-mediated antigen retrieval before commencing with IHC staining protocol.", "FlowCytIntra-species-checked": "testedAndGuaranteed", "FlowCytIntra-species-dilution-info": "0.1-1 µg for 10^6 Cells", "FlowCytIntra-species-notes": "<p><a href='/products/primary-antibodies/mouse-igg1-kappa-monoclonal-15-6e10a7-isotype-control-ab170190'>ab170190</a> - Mouse monoclonal IgG1, is suitable for use as an isotype control with this antibody.</p>", "WB-species-checked": "testedAndGuaranteed", "WB-species-dilution-info": "1 µg/mL", "WB-species-notes": "<p></p>", "ICCIF-species-checked": "testedAndGuaranteed", "ICCIF-species-dilution-info": "0.5-5 µg/mL", "ICCIF-species-notes": "<p></p>" }, "Rat": { "IHCP-species-checked": "guaranteed", "IHCP-species-dilution-info": "", "IHCP-species-notes": "", "FlowCytIntra-species-checked": "testedAndGuaranteed", "FlowCytIntra-species-dilution-info": "0.1-1 µg for 10^6 Cells", "FlowCytIntra-species-notes": "<p><a href='/products/primary-antibodies/mouse-igg1-kappa-monoclonal-15-6e10a7-isotype-control-ab170190'>ab170190</a> - Mouse monoclonal IgG1, is suitable for use as an isotype control with this antibody.</p>", "WB-species-checked": "guaranteed", "WB-species-dilution-info": "", "WB-species-notes": "", "ICCIF-species-checked": "testedAndGuaranteed", "ICCIF-species-dilution-info": "0.5-5 µg/mL", "ICCIF-species-notes": "<p></p>" }, "Cat": { "IHCP-species-checked": "predicted", "IHCP-species-dilution-info": "", "IHCP-species-notes": "", "FlowCytIntra-species-checked": "predicted", "FlowCytIntra-species-dilution-info": "", "FlowCytIntra-species-notes": "", "WB-species-checked": "predicted", "WB-species-dilution-info": "", "WB-species-notes": "", "ICCIF-species-checked": "predicted", "ICCIF-species-dilution-info": "", "ICCIF-species-notes": "" }, "Chicken": { "IHCP-species-checked": "predicted", "IHCP-species-dilution-info": "", "IHCP-species-notes": "", "FlowCytIntra-species-checked": "predicted", "FlowCytIntra-species-dilution-info": "", "FlowCytIntra-species-notes": "", "WB-species-checked": "predicted", "WB-species-dilution-info": "", "WB-species-notes": "", "ICCIF-species-checked": "predicted", "ICCIF-species-dilution-info": "", "ICCIF-species-notes": "" }, "Cow": { "IHCP-species-checked": "predicted", "IHCP-species-dilution-info": "", "IHCP-species-notes": "", "FlowCytIntra-species-checked": "predicted", "FlowCytIntra-species-dilution-info": "", "FlowCytIntra-species-notes": "", "WB-species-checked": "predicted", "WB-species-dilution-info": "", "WB-species-notes": "", "ICCIF-species-checked": "predicted", "ICCIF-species-dilution-info": "", "ICCIF-species-notes": "" }, "Dog": { "IHCP-species-checked": "predicted", "IHCP-species-dilution-info": "", "IHCP-species-notes": "", "FlowCytIntra-species-checked": "predicted", "FlowCytIntra-species-dilution-info": "", "FlowCytIntra-species-notes": "", "WB-species-checked": "predicted", "WB-species-dilution-info": "", "WB-species-notes": "", "ICCIF-species-checked": "predicted", "ICCIF-species-dilution-info": "", "ICCIF-species-notes": "" }, "Horse": { "IHCP-species-checked": "predicted", "IHCP-species-dilution-info": "", "IHCP-species-notes": "", "FlowCytIntra-species-checked": "predicted", "FlowCytIntra-species-dilution-info": "", "FlowCytIntra-species-notes": "", "WB-species-checked": "predicted", "WB-species-dilution-info": "", "WB-species-notes": "", "ICCIF-species-checked": "predicted", "ICCIF-species-dilution-info": "", "ICCIF-species-notes": "" }, "Pig": { "IHCP-species-checked": "predicted", "IHCP-species-dilution-info": "", "IHCP-species-notes": "", "FlowCytIntra-species-checked": "predicted", "FlowCytIntra-species-dilution-info": "", "FlowCytIntra-species-notes": "", "WB-species-checked": "predicted", "WB-species-dilution-info": "", "WB-species-notes": "", "ICCIF-species-checked": "predicted", "ICCIF-species-dilution-info": "", "ICCIF-species-notes": "" } } }

製品の詳細

What is this antibody validated in?
Anti-Vimentin antibody [V9] - Cytoskeleton Marker (ab8069) is a mouse monoclonal antibody and is validated for use in Western Blot (WB), Flow Cytometry (Intra), Flow Cytometry (Flow Cyt), Immunohistochemistry (IHC-P), Immunocytochemistry/immunofluorescence (ICC/IF) in Human, Rat samples.

What is the molecular weight of Vimentin?
Anti-Vimentin [V9] - Cytoskeleton Marker (ab8069) specifically detects a band for Vimentin (UniProt: P02543) at a molecular weight of 54kDa.

Trusted by the scientific community
Anti-Vimentin [V9] - Cytoskeleton Marker (ab8069) was first used in a scientific publication in 2002 and has been cited over 170 times in peer-reviewed journals.

Reviewed by scientists
Anti-Vimentin [V9] - Cytoskeleton Marker (ab8069) has over 25 independent reviews from customers.

Specificity confirmed
The specificity of Anti-Vimentin antibody [V9] - Cytoskeleton Marker (ab8069) has been confirmed by Immunocytochemistry testing in VIM Knockout HAP1 cells.

Other related products
We have a range of other formats of antibody clone [V9] also available for your convenience: ab8069, Alexa Fluor® 488 - ab195877, Alexa Fluor® 647 - ab195878, HRP - ab196602, Carrier free - ab223871, ab283641, Carrier free - ab302471, ab316575, Carrier free - ab316907

Want a custom formulation?
This antibody clone is manufactured by Abcam. If you require a custom buffer formulation or conjugation for your experiments, please contact orders@abcam.com

出荷温度及び保存条件

製品の状態
Liquid
精製方法
Affinity purification
バッファー組成
pH: 7.4 Preservative: 0.02% Sodium azide Constituents: PBS, 6.97% L-Arginine
出荷温度
Blue Ice
短期保存温度
+4°C
長期保存温度
-20°C
分注に関する情報
Upon delivery aliquot
保管に関する情報
Avoid freeze / thaw cycle

製品プロトコール

For this product, it's our understanding that no specific protocols are required. You can visit:

ターゲットの情報

Vimentins are class-III intermediate filaments found in various non-epithelial cells, especially mesenchymal cells. Vimentin is attached to the nucleus, endoplasmic reticulum, and mitochondria, either laterally or terminally. Plays a role in cell directional movement, orientation, cell sheet organization and Golgi complex polarization at the cell migration front (By similarity). Protects SCRIB from proteasomal degradation and facilitates its localization to intermediate filaments in a cell contact-mediated manner (By similarity). May promote axon outgrowth and motor fiber repair via DSP-mediated recruitment to outgrowth tips (By similarity).. Involved with LARP6 in the stabilization of type I collagen mRNAs for CO1A1 and CO1A2.
See full target information VIM

文献 (213)

Recent publications for all applications. Explore the full list and refine your search

International journal of molecular sciences 26: PubMed40869109

2025

Exploring the Heterogeneity of Cancer-Associated Fibroblasts via Development of Patient-Derived Cell Culture of Breast Cancer.

Applications

Unspecified application

Species

Unspecified reactive species

Anna Ilyina,Anastasia Leonteva,Ekaterina Berezutskaya,Maria Abdurakhmanova,Mikhail Ermakov,Sergey Mishinov,Elena Kuligina,Sergey Vladimirov,Maria Bogachek,Vladimir Richter,Anna Nushtaeva

Pharmacogenomics and personalized medicine 18:115-141 PubMed40390771

2025

Quercetin Inhibits Gastric Cancer Progression via FAM198B/MAPK Pathway Modulation.

Applications

Unspecified application

Species

Unspecified reactive species

Hongyang Deng,Qi Xiao,Xiaodong Xu,Lingyi Zhang,Youcheng Zhang

Biomolecules 15: PubMed40305351

2025

Mechanism of Mitophagy to Protect Yak Kidney from Hypoxia-Induced Fibrosis Damage by Regulating Ferroptosis Pathway.

Applications

Unspecified application

Species

Unspecified reactive species

Xuefeng Bai,Hongqin Lu,Rui Ma,Sijiu Yu,Shanshan Yang,Junfeng He,Yan Cui

Open veterinary journal 14:3428-3439 PubMed39927349

2025

Establishment and characterization of multilayered fibroblast cell sheets from the canine oral mucosa, skin, and tail skin.

Applications

Unspecified application

Species

Unspecified reactive species

Melpa Susanti Purba,Dito Anggoro,Naohiro Yamamoto,Sota Yoshimine,Junichi Murakami,Toshiki Tanaka,Kimikazu Hamano,Harumichi Itoh,Kazuhito Itamoto,Yuki Nemoto,Munekazu Nakaichi,Hiroshi Sunahara,Kenji Tani

Cell communication and signaling : CCS 23:64 PubMed39910535

2025

Extracellular vimentin is a damage-associated molecular pattern protein serving as an agonist of TLR4 in human neutrophils.

Applications

Unspecified application

Species

Unspecified reactive species

Łukasz Suprewicz,Krzysztof Fiedoruk,Karol Skłodowski,Evan Hutt,Magdalena Zakrzewska,Alicja Walewska,Piotr Deptuła,Agata Lesiak,Sławomir Okła,Peter A Galie,Alison E Patteson,Paul A Janmey,Robert Bucki

Journal of cancer research and clinical oncology 151:55 PubMed39878804

2025

SHP2 promotes the epithelial-mesenchymal transition in triple negative breast cancer cells by regulating β-catenin.

Applications

Unspecified application

Species

Unspecified reactive species

Shihan Qian,Jingjing Zhu,Qing Han,Huang Cheng,Huaibin Zhou

Advanced science (Weinheim, Baden-Wurttemberg, Germany) 12:e2410052 PubMed39873289

2025

Micro-Scale Topography Triggers Dynamic 3D Nuclear Deformations.

Applications

Unspecified application

Species

Unspecified reactive species

Claire Leclech,Giulia Cardillo,Bettina Roellinger,Xingjian Zhang,Joni Frederick,Kamel Mamchaoui,Catherine Coirault,Abdul I Barakat

Frontiers in immunology 15:1470620 PubMed39430758

2024

Dynamic roles of neutrophil extracellular traps in cancer cell adhesion and activation of Notch 1-mediated epithelial-to-mesenchymal transition in EGFR-driven lung cancer cells.

Applications

Unspecified application

Species

Unspecified reactive species

Jelena Dimitrov,Maurizio Maddalena,Cristina Terlizzi,Giovanna G Altobelli,Sara Pellegrino,Tayyaba Mehmood,Viviana De Rosa,Francesca Iommelli,Silvana Del Vecchio

Nature communications 15:7873 PubMed39251601

2024

Merlin phosphorylation regulates meningioma Wnt signaling and magnetic resonance imaging features.

Applications

Unspecified application

Species

Unspecified reactive species

Charlotte D Eaton,Lauro Avalos,S John Liu,Zhenhong Chen,Naomi Zakimi,Tim Casey-Clyde,Paola Bisignano,Calixto-Hope G Lucas,Erica Stevenson,Abrar Choudhury,Harish N Vasudevan,Stephen T Magill,Jacob S Young,Nevan J Krogan,Javier E Villanueva-Meyer,Danielle L Swaney,David R Raleigh

PLoS pathogens 20:e1012483 PubMed39226326

2024

Phosphorylated vimentin-triggered fibronectin matrix disaggregation enhances the dissemination of Treponema pallidum subsp. pallidum across the microvascular endothelial barrier.

Applications

Unspecified application

Species

Unspecified reactive species

Xi Luo,Litian Zhang,Xiaoyuan Xie,Liyan Yuan,Yanqiang Shi,Yinbo Jiang,Wujian Ke,Bin Yang
View all publications

Abcam product promise

当社は、高品質な試薬を通じてお客様の研究を力強くサポートすることをお約束いたします。ご使用いただく各段階で、常にお客様をサポートできる体制を整えております。万が一、製品が期待通りに機能しない場合は、「Abcam Product Promise」による当社保証制度に基づき、安心してご利用いただけます。
保証に関する詳細については利用規約をご確認ください。

Please note: All products are 'FOR RESEARCH USE ONLY. NOT FOR USE IN DIAGNOSTIC OR THERAPEUTIC PROCEDURES'.

For licensing inquiries, please contact partnerships@abcam.com