JavaScript is disabled in your browser. Please enable JavaScript to view this website.
AB8978

Anti-Vimentin 抗体 [RV202] - Cytoskeleton Marker

Anti-Vimentin antibody [RV202] - Cytoskeleton Marker

5

(44 Reviews)

|

(735 Publications)

Anti-Vimentin antibody [RV202] - Cytoskeleton Marker (ab8978) is a mouse monoclonal antibody detecting Vimentin in Western Blot, Flow Cytometry (Intra), IHC-P, IHC-Fr, ICC/IF. Suitable for Human, Mouse, Pig, Rat, Zebrafish.

- KO validated for confirmed specificity
- Over 570 publications
- Trusted since 2002

別名を表示する

Vimentin, VIM

20 Images
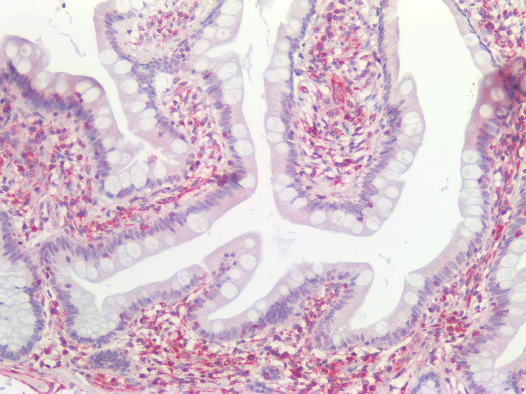
Immunohistochemistry (Formalin/PFA-fixed paraffin-embedded sections) - Anti-Vimentin antibody [RV202] - Cytoskeleton Marker (AB8978)
  • IHC-P

Supplier Data

Immunohistochemistry (Formalin/PFA-fixed paraffin-embedded sections) - Anti-Vimentin antibody [RV202] - Cytoskeleton Marker (AB8978)

Immunohistochemistry analysis of formalin fixed, paraffin embedded section of human small intestine labeling Vimentin with ab8978; showing positive staining in connective tissue cells and no reactivity in epithelial cells.

Immunocytochemistry/ Immunofluorescence - Anti-Vimentin antibody [RV202] - Cytoskeleton Marker (AB8978)
  • ICC/IF

Lab

Immunocytochemistry/ Immunofluorescence - Anti-Vimentin antibody [RV202] - Cytoskeleton Marker (AB8978)

ab8978 staining Vimentin in wild-type HAP1 cells (top panel) and VIM knockout HAP1 cells (bottom panel). The cells were fixed with 100% methanol (5min), permeabilized with 0.1% Triton X-100 for 5 minutes and then blocked with 1% BSA/10% normal goat serum/0.3M glycine in 0.1% PBS-Tween for 1h. The cells were then incubated with ab8978 at 1μg/ml and ab202272 (Rabbit monoclonal [EP1332Y] to alpha Tubulin (Alexa Fluor® 594)) at 1/250 dilution overnight at +4°C, followed by a further incubation at room temperature for 1h with ab150117 (Goat secondary antibody to Mouse IgG (Alexa Fluor® 488)) at 2 μg/ml (shown in green). Nuclear DNA was labelled in blue with DAPI.

Image was taken with a confocal microscope (Leica-Microsystems, TCS SP8).

Immunocytochemistry/ Immunofluorescence - Anti-Vimentin antibody [RV202] - Cytoskeleton Marker (AB8978)
  • ICC/IF

PubMed

Immunocytochemistry/ Immunofluorescence - Anti-Vimentin antibody [RV202] - Cytoskeleton Marker (AB8978)

Silencing of Lamin A/C in unmethylated neuroblastoma cells induces changes in different cytoskeletal components

Immunofluorescence staining showing changes in SK-N-SH-lamin-A/C-shRNA compared with SK-N-SH-scramble-shRNA in (A) β-actin filaments, (B) F-actin filaments. (C) Vimentin filaments, and (D) α-tubulin. Lamin A/C is shown in green; β-actin, F-actin, vimentin, and α-tubulin are shown in red.DNA is stained in blue (DAPI). Scale bar, 10μM.

Vimentin is detected using ab8978 at 1/100 dilution. Neuroblastoma cells were fixed with 4% paraformaldehyde and permeabilized using 0.5% Triton X-100.

(From Figure 5C of Rauschert et al)

Rauschert, I. et al PLoS One. 2017 Apr 19;12(4):e0175953. doi: 10.1371/journal.pone.0175953. eCollection 2017 Reproduced under the Creative Commons license http://creativecommons.org/licenses/by/4.0/

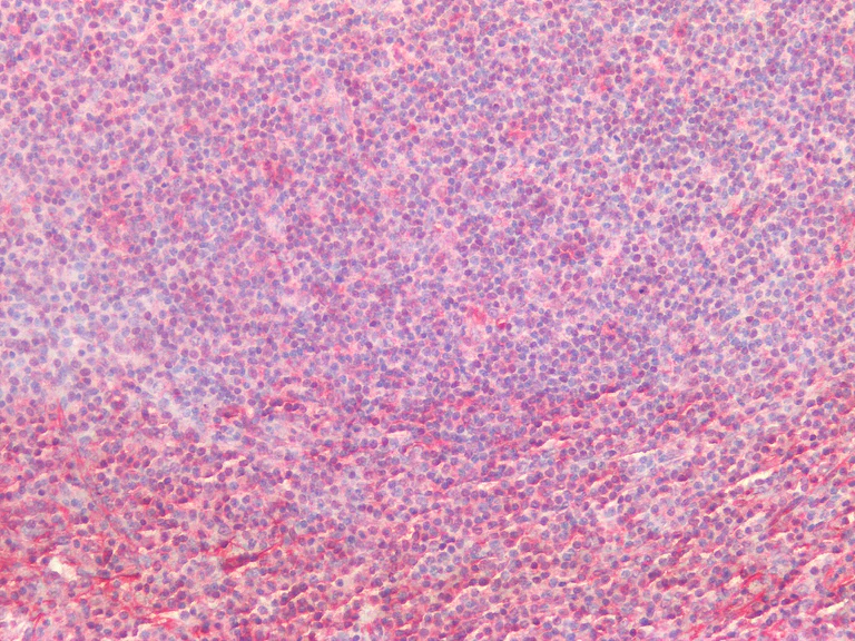
Immunohistochemistry (Formalin/PFA-fixed paraffin-embedded sections) - Anti-Vimentin antibody [RV202] - Cytoskeleton Marker (AB8978)
  • IHC-P

Supplier Data

Immunohistochemistry (Formalin/PFA-fixed paraffin-embedded sections) - Anti-Vimentin antibody [RV202] - Cytoskeleton Marker (AB8978)

Immunohistochemistry analysis of formalin fixed, paraffin embedded section of human spleen labeling Vimentin with ab8978, showing positive staining in connective tissue cells and lymphoid cells.

Immunohistochemistry (Frozen sections) - Anti-Vimentin antibody [RV202] - Cytoskeleton Marker (AB8978)
  • IHC-Fr

AbReview14833****

Immunohistochemistry (Frozen sections) - Anti-Vimentin antibody [RV202] - Cytoskeleton Marker (AB8978)

ab8978 staining Vimentin in human lung tissue section by Immunohistochemistry (Frozen sections). Tissue samples were fixed with formaldehyde and blocking with 5% commercially available blocking agent was performed at 370C for 15 minutes. The sample was incubated with primary antibody (1/250) at 370C for 1 hour. A HRP-conjugated Goat polyclonal to mouse IgG was used as secondary antibody at 1/1000 dilution.

This image is courtesy of an anonymous abreview.

Immunocytochemistry/ Immunofluorescence - Anti-Vimentin antibody [RV202] - Cytoskeleton Marker (AB8978)
  • ICC/IF

AbReview15980****

Immunocytochemistry/ Immunofluorescence - Anti-Vimentin antibody [RV202] - Cytoskeleton Marker (AB8978)

ab8978 staining vimentin in human pancreatic adenocarcinoma cells by immunocytochemistry/ immunofluorescence. Cells were PFA fixed and permeabilized in 0.2% Triton X prior to blocking in 3% BSA for 30 minutes at 24°C. The primary antibody was diluted 1/200 and incubated with the sample for 16 hours at 21°C. Alexa fluor® 488 mouse polyclonal to mouse Ig, diluted 1/300 was used as the secondary antibody.

This image is courtesy of an Abreview submitted by Jennifer Dembinski

Immunohistochemistry (Formalin/PFA-fixed paraffin-embedded sections) - Anti-Vimentin antibody [RV202] - Cytoskeleton Marker (AB8978)
  • IHC-P

Supplier Data

Immunohistochemistry (Formalin/PFA-fixed paraffin-embedded sections) - Anti-Vimentin antibody [RV202] - Cytoskeleton Marker (AB8978)

Paraffin-embedded human colon tissue stained for Vimentin using ab8978 at 1/100 dilution in immunohistochemical analysis.

Flow Cytometry (Intracellular) - Anti-Vimentin antibody [RV202] - Cytoskeleton Marker (AB8978)
  • Flow Cyt (Intra)

Lab

Flow Cytometry (Intracellular) - Anti-Vimentin antibody [RV202] - Cytoskeleton Marker (AB8978)

Overlay histogram showing HeLa cells stained with ab8978 (red line). The cells were fixed with methanol (5 min) and then permeabilized with 0.1% PBS-Triton for 20 min. The cells were then incubated in 1x PBS / 10% normal goat serum / 0.3M glycine to block non-specific protein-protein interactions followed by the antibody (ab8978, 1/100 dilution) for 30 min at 22°C. The secondary antibody used was DyLight® 488 goat anti-mouse IgG (H+L) (ab96879) at 1/500 dilution for 30 min at 22°C. Isotype control antibody (black line) was mouse IgG1 [ICIGG1] (ab91353, 2μg/1x106 cells) used under the same conditions. Acquisition of >5,000 events was performed. This anti-Vimentin antibody gave a positive signal in HeLa cells fixed with 4% paraformaldehyde (10 min)/permeabilized in 0.1% PBS-Triton used under the same conditions.

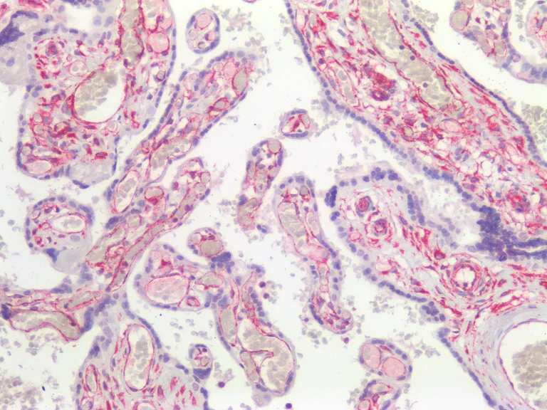
Immunohistochemistry (Formalin/PFA-fixed paraffin-embedded sections) - Anti-Vimentin antibody [RV202] - Cytoskeleton Marker (AB8978)
  • IHC-P

Supplier Data

Immunohistochemistry (Formalin/PFA-fixed paraffin-embedded sections) - Anti-Vimentin antibody [RV202] - Cytoskeleton Marker (AB8978)

Immunohistochemistry analysis of formalin fixed, paraffin embedded section of human placenta labeling Vimentin with ab8978, showing positive staining in connective tissue cells and no reactivity in epithelial cells.

Immunohistochemistry (Formalin/PFA-fixed paraffin-embedded sections) - Anti-Vimentin antibody [RV202] - Cytoskeleton Marker (AB8978)
  • IHC-P

AbReview52045****

Immunohistochemistry (Formalin/PFA-fixed paraffin-embedded sections) - Anti-Vimentin antibody [RV202] - Cytoskeleton Marker (AB8978)

ab8978 staining Vimentin in human fetal kidney tissue sections by Immunohistochemistry (IHC-P - paraformaldehyde-fixed, paraffin-embedded sections). Tissue was fixed with formaldehyde and blocked with CAS-Block for 1 hour at 25°C; antigen retrieval was by heat mediation using OmniPrep (pH 9). Samples were incubated with primary antibody (1/500) for 1 hour at 25°C. An Alexa Fluor® 555-conjugated Donkey polyclonal (1/200) was used as the secondary antibody.

This image is courtesy of an anonymous abreview.

Immunocytochemistry/ Immunofluorescence - Anti-Vimentin antibody [RV202] - Cytoskeleton Marker (AB8978)
  • ICC/IF

Collaborator

Immunocytochemistry/ Immunofluorescence - Anti-Vimentin antibody [RV202] - Cytoskeleton Marker (AB8978)

IHC-FoFr image of vimentin staining on rat injured cortical sections using ab8978 (1 : 500). The brain was perfusion fixed using 4% PFA and the sections were permeabilized using 0.1% TritonX in 0.1% PBS. The sections were then blocked using 10% donkey serum for 1 hour at 24°C. ab8978 was diluted 1 : 500 and incubated with sections for 24 hours using 4°C. The secondary antibody used was donkey polyclonal to rabbit IgG conjugated to Alexa Fluor 488.

This image is courtesy of Dr. Ruma Raha-Chowdhury, Cambridge University, United Kingdom.

Immunohistochemistry (Frozen sections) - Anti-Vimentin antibody [RV202] - Cytoskeleton Marker (AB8978)
  • IHC-Fr

AbReview24195****

Immunohistochemistry (Frozen sections) - Anti-Vimentin antibody [RV202] - Cytoskeleton Marker (AB8978)

IHC-Fr image of Ed18 rat stained with ab8978. Fresh frozen sections were incubated in 10% normal donkey serum in 0.1% PBS- and 0.3% triton X100 for 1h to permeabilise the tissues and block non-specific protein-protein interactions. The sectons were then incubated with the ab8978 (1μg/ml) and ferroportin overnight at +4°C. The secondary antibody (green) was Alexa Fluor® 488 donkey anti-rabbit IgG (H+L) used at a 1/1000 dilution for 1h. Alexa Fluor® 568 (red) donkey anti-mouse at a 1/1000 dilution for 1h. DAPI was used to stain the cell nuclei (blue) at a concentration of 1.43μM. Vimentin expressed in the gut muscles.

Image courtesy of an AbReview submitted by Dr Ruma Raha-Chowdhury

Immunohistochemistry (Frozen sections) - Anti-Vimentin antibody [RV202] - Cytoskeleton Marker (AB8978)
  • IHC-Fr

Supplier Data

Immunohistochemistry (Frozen sections) - Anti-Vimentin antibody [RV202] - Cytoskeleton Marker (AB8978)

Immunohistochemistry analysis of frozen section of pig colon labeling Vimentin with ab8978, showing positive staining in connective tissue cells and no reactivity in epithelial cells. Nuclear staining with DAPI.

Immunohistochemistry (Frozen sections) - Anti-Vimentin antibody [RV202] - Cytoskeleton Marker (AB8978)
  • IHC-Fr

Unknown

Immunohistochemistry (Frozen sections) - Anti-Vimentin antibody [RV202] - Cytoskeleton Marker (AB8978)

Immunofluorescence staining images of 9 day old zebrafish embryos. ab8978 reacts with in connective tissue cells and bloodvessels. Frozen sample treated with Acetone : Methanol 1 : 1, antibody diluted 1/100 and incubated for 45 minutes at room temperature.

Immunohistochemistry (Frozen sections) - Anti-Vimentin antibody [RV202] - Cytoskeleton Marker (AB8978)
  • IHC-Fr

Supplier Data

Immunohistochemistry (Frozen sections) - Anti-Vimentin antibody [RV202] - Cytoskeleton Marker (AB8978)

Immunohistochemistry analysis of frozen section of zebrafish embryo labeling Vimentin with ab8978.

Immunohistochemistry (Formalin/PFA-fixed paraffin-embedded sections) - Anti-Vimentin antibody [RV202] - Cytoskeleton Marker (AB8978)
  • IHC-P

AbReview52345****

Immunohistochemistry (Formalin/PFA-fixed paraffin-embedded sections) - Anti-Vimentin antibody [RV202] - Cytoskeleton Marker (AB8978)

ab8978 staining Vimentin in dog soft tissue sarcoma tissue sections by Immunohistochemistry (IHC-P - paraformaldehyde-fixed, paraffin-embedded sections). Tissue was fixed with formaldehyde and blocked with 15% serum for 1 hour at 20°C; antigen retrieval was by heat mediation in a Tris/EDTA pH9 buffer. Samples were incubated with primary antibody (1/100 in TBS) for 18 hours at 20°C. A Alexa Fluor® 647-conjugated Goat anti-mouse IgG polyclonal (1/400) was used as the secondary antibody.

This image is courtesy of an anonymous abreview.

Immunohistochemistry (Formalin/PFA-fixed paraffin-embedded sections) - Anti-Vimentin antibody [RV202] - Cytoskeleton Marker (AB8978)
  • IHC-P

AbReview63656****

Immunohistochemistry (Formalin/PFA-fixed paraffin-embedded sections) - Anti-Vimentin antibody [RV202] - Cytoskeleton Marker (AB8978)

Immunohistochemistry analysis (Formalin/PFA-fixed paraffin-embedded sections) of 10% normal buffered formalin-fixed pig lung tissue. Stained with ab8978 at 1/300 dilution. Secondary antibody used was CY3 conjugated donkey anti-mouse secondary antibody at 1/200 dilution. Blocking was done with 5% serum for 1 hour at 22°C. The sample was incubated with the primary antibody for 16 hours at 4°C. Antigen retrieval method was heat mediated, TE pH9.

This image is courtesy of an anonymous Abreview

Immunohistochemistry (Frozen sections) - Anti-Vimentin antibody [RV202] - Cytoskeleton Marker (AB8978)
  • IHC-Fr

Supplier Data

Immunohistochemistry (Frozen sections) - Anti-Vimentin antibody [RV202] - Cytoskeleton Marker (AB8978)

Immunohistochemistry analysis of frozen section of pig colon labeling Vimentin with ab8978, showing positive staining in connective tissue cells and no reactivity in epithelial cells.

Immunohistochemistry (Frozen sections) - Anti-Vimentin antibody [RV202] - Cytoskeleton Marker (AB8978)
  • IHC-Fr

Supplier Data

Immunohistochemistry (Frozen sections) - Anti-Vimentin antibody [RV202] - Cytoskeleton Marker (AB8978)

Immunohistochemistry analysis of frozen section of zebrafish embryo labeling Vimentin with ab8978.

Western blot - Anti-Vimentin antibody [RV202] - Cytoskeleton Marker (AB8978)
  • WB

Supplier Data

Western blot - Anti-Vimentin antibody [RV202] - Cytoskeleton Marker (AB8978)

All lanes:

Western blot - Anti-Vimentin antibody [RV202] - Cytoskeleton Marker (ab8978)

Lane 1:

NIH3T3 cell lysate

Lane 2:

Normal human dermal fibroblasts cell extracts.

Predicted band size: 53 kDa

Observed band size: 57 kDa

false

関連する標識済み抗体及び組成の異なる製品 (1)

  • 519 FITC

    FITC Anti-Vimentin antibody [RV202]

Key facts

宿主種

Mouse

クローン性

Monoclonal

クローン番号

RV202

アイソタイプ

IgG1

キャリアフリー

No

交差種

Mouse, Rat, Human, Pig, Zebrafish

アプリケーション

IHC-Fr, ICC/IF, IHC-P, Flow Cyt (Intra), WB

applications

免疫原

Native Full Length Protein corresponding to Cow VIM.

P48616

特異性

This antibody reacts exclusively with vimentin, which is expressed in mesenchymal cells and mesenchymal derived tumors e.g. lymphoma, sarcoma and melanoma.

Reactivity data

{ "title": "Reactivity Data", "filters": { "stats": ["", "Species", "Dilution Info", "Notes"], "tabs": { "all-applications": {"fullname" : "All Applications", "shortname": "All Applications"}, "FlowCytIntra" : {"fullname" : "Flow Cytometry (Intracellular)", "shortname":"Flow Cyt (Intra)"}, "WB" : {"fullname" : "Western blot", "shortname":"WB"}, "IHCP" : {"fullname" : "Immunohistochemistry (Formalin/PFA-fixed paraffin-embedded sections)", "shortname":"IHC-P"}, "ICCIF" : {"fullname" : "Immunocytochemistry/ Immunofluorescence", "shortname":"ICC/IF"}, "IHCFr" : {"fullname" : "Immunohistochemistry (Frozen sections)", "shortname":"IHC-Fr"} }, "product-promise": { "all": "all", "testedAndGuaranteed": "tested", "guaranteed": "expected", "predicted": "predicted", "notRecommended": "not-recommended" } }, "values": { "Human": { "FlowCytIntra-species-checked": "testedAndGuaranteed", "FlowCytIntra-species-dilution-info": "1/100 - 1/200", "FlowCytIntra-species-notes": "<p></p>", "WB-species-checked": "guaranteed", "WB-species-dilution-info": "", "WB-species-notes": "", "IHCP-species-checked": "testedAndGuaranteed", "IHCP-species-dilution-info": "1/100 - 1/1000", "IHCP-species-notes": "<p>We recommend <a href='/products/primary-antibodies/vimentin-antibody-epr3776-cytoskeleton-marker-ab92547'>ab92547</a> as an alternative for IHC-P with mouse samples.</p>", "ICCIF-species-checked": "testedAndGuaranteed", "ICCIF-species-dilution-info": "1 µg/mL", "ICCIF-species-notes": "<p></p>", "IHCFr-species-checked": "guaranteed", "IHCFr-species-dilution-info": "", "IHCFr-species-notes": "" }, "Mouse": { "FlowCytIntra-species-checked": "guaranteed", "FlowCytIntra-species-dilution-info": "", "FlowCytIntra-species-notes": "", "WB-species-checked": "testedAndGuaranteed", "WB-species-dilution-info": "", "WB-species-notes": "<p></p>", "IHCP-species-checked": "guaranteed", "IHCP-species-dilution-info": "", "IHCP-species-notes": "", "ICCIF-species-checked": "guaranteed", "ICCIF-species-dilution-info": "", "ICCIF-species-notes": "", "IHCFr-species-checked": "guaranteed", "IHCFr-species-dilution-info": "", "IHCFr-species-notes": "" }, "Rat": { "FlowCytIntra-species-checked": "guaranteed", "FlowCytIntra-species-dilution-info": "", "FlowCytIntra-species-notes": "", "WB-species-checked": "guaranteed", "WB-species-dilution-info": "", "WB-species-notes": "", "IHCP-species-checked": "guaranteed", "IHCP-species-dilution-info": "", "IHCP-species-notes": "", "ICCIF-species-checked": "testedAndGuaranteed", "ICCIF-species-dilution-info": "1 µg/mL", "ICCIF-species-notes": "<p></p>", "IHCFr-species-checked": "guaranteed", "IHCFr-species-dilution-info": "", "IHCFr-species-notes": "" }, "Pig": { "FlowCytIntra-species-checked": "guaranteed", "FlowCytIntra-species-dilution-info": "", "FlowCytIntra-species-notes": "", "WB-species-checked": "guaranteed", "WB-species-dilution-info": "", "WB-species-notes": "", "IHCP-species-checked": "guaranteed", "IHCP-species-dilution-info": "", "IHCP-species-notes": "", "ICCIF-species-checked": "guaranteed", "ICCIF-species-dilution-info": "", "ICCIF-species-notes": "", "IHCFr-species-checked": "testedAndGuaranteed", "IHCFr-species-dilution-info": "", "IHCFr-species-notes": "<p>Recommended range is 1/100 - 1/200 for Immunohistochemistry with avidin-biotinylated horseradish peroxidase complex (ABC) as detection. For PFA fixed tissue use at 1/1000.</p>" }, "Zebrafish": { "FlowCytIntra-species-checked": "guaranteed", "FlowCytIntra-species-dilution-info": "", "FlowCytIntra-species-notes": "", "WB-species-checked": "guaranteed", "WB-species-dilution-info": "", "WB-species-notes": "", "IHCP-species-checked": "guaranteed", "IHCP-species-dilution-info": "", "IHCP-species-notes": "", "ICCIF-species-checked": "guaranteed", "ICCIF-species-dilution-info": "", "ICCIF-species-notes": "", "IHCFr-species-checked": "testedAndGuaranteed", "IHCFr-species-dilution-info": "", "IHCFr-species-notes": "<p>Recommended range is 1/100 - 1/200 for Immunohistochemistry with avidin-biotinylated horseradish peroxidase complex (ABC) as detection. For PFA fixed tissue use at 1/1000.</p>" } } }

製品の詳細

Anti-Vimentin antibody [RV202] - Cytoskeleton Marker (ab8978) is a mouse monoclonal antibody and is validated for use in Flow Cyt (Intra), ICC/IF, IHC-Fr, IHC-P, WB in mouse samples.

Anti-Vimentin antibody [RV202] - Cytoskeleton Marker (ab8978) has been cited over 570 times in peer reviewed journals and is trusted by the scientific community.

Abcam's high quality validation processes ensure Anti-Vimentin antibody [RV202] - Cytoskeleton Marker (ab8978) has high sensitivity and specificity.

The specificity of Anti-Vimentin antibody [RV202] - Cytoskeleton Marker (ab8978) has been confirmed by testing in knockout samples.

Anti-Vimentin antibody [RV202] - Cytoskeleton Marker (ab8978) has 44 independent reviews from customers.

Anti-Vimentin antibody [RV202] - Cytoskeleton Marker (ab8978) specifically detects Vimentin (UniProt ID: P08670; Molecular weight: 54kDa) and is sold in 100 µg selling sizes.

Antibody clone RV202 is also available pre-conjugated to FITC for your convenience (ab128507).

Vimentin (57 kDa) is the intermediate filament protein (IFP) of mesenchymal cells. This IFP however often deviates from the tissue-specific and developmentally regulated pattern of expression. Besides its typical expression in most cultured cells, vimentin is also expressed together with several other IFPs during early stages of development. As differentiation proceeds, vimentin is exchanged for the tissue-specific intermediate filament type. Also in cancers, vimentin is often expressed in addition to the tissue-specific IFP.

RV202 is a mouse monoclonal IgG1 antibody derived by fusion of SP2/0-Ag14 mouse myeloma cells with spleen cells from a BALB/c mouse immunized with a cytoskeletal vimentin extract of calf lens.

出荷温度及び保存条件

製品の状態
Liquid
精製方法
Affinity purification Protein G
バッファー組成
Preservative: 0.09% Sodium azide Constituents: PBS
出荷温度
Blue Ice
短期保存期間
1-2 weeks
短期保存温度
+4°C
長期保存温度
-20°C
分注に関する情報
Upon delivery aliquot
保管に関する情報
Avoid freeze / thaw cycle

製品プロトコール

For this product, it's our understanding that no specific protocols are required. You can visit:

ターゲットの情報

Vimentins are class-III intermediate filaments found in various non-epithelial cells, especially mesenchymal cells. Vimentin is attached to the nucleus, endoplasmic reticulum, and mitochondria, either laterally or terminally. Plays a role in cell directional movement, orientation, cell sheet organization and Golgi complex polarization at the cell migration front (By similarity). Protects SCRIB from proteasomal degradation and facilitates its localization to intermediate filaments in a cell contact-mediated manner (By similarity). May promote axon outgrowth and motor fiber repair via DSP-mediated recruitment to outgrowth tips (By similarity).. Involved with LARP6 in the stabilization of type I collagen mRNAs for CO1A1 and CO1A2.
See full target information VIM

文献 (735)

Recent publications for all applications. Explore the full list and refine your search

Acta biochimica et biophysica Sinica : PubMed40908872

2025

The ACSS2-PPARD-BCAT1 axis synchronously regulates branched-chain amino acid metabolism and development in pancreatic cancer.

Applications

Unspecified application

Species

Unspecified reactive species

Haidi Chen,Zeng Ye,Lijun Liu,Wenyan Xu,Yihua Shi,Shunrong Ji,Xiaowu Xu,Xianjun Yu,Sen Hou,Yi Qin,Chenjie Zhou

Scientific reports 15:30167 PubMed40826167

2025

Atorvastatin exhibits anticancer effects by inhibiting YAP/TAZ activity in mesenchymal-like non-small cell lung cancer.

Applications

Unspecified application

Species

Unspecified reactive species

Takuro Ishikawa,Tomohito Okubo,Natsuki Matsushita,Jiro Tashiro,Katsuhiko Warita,Munekazu Naito

Journal of translational medicine 23:923 PubMed40826409

2025

Metabolic interplay between endometrial cancer and tumor-associated macrophages: lactate-induced M2 polarization enhances tumor progression.

Applications

Unspecified application

Species

Unspecified reactive species

Xiaodie Liu,Heming Sun,Jing Liang,Huan Yu,Ming Xue,Yuebo Li,Wenhui Li,Ying Xu,Bin Ling,Dingqing Feng

Cell division 20:20 PubMed40751214

2025

SMAD3 orchestrates RNF167 and STAMBPL1-mediated Sestrin2 ubiquitination to drive gastric cancer progression.

Applications

Unspecified application

Species

Unspecified reactive species

Ning Zhang,Na Zhao,Hainan Zhang,Le Yao,Hongtao Si

PloS one 20:e0322721 PubMed40694571

2025

Busulfan damages spermatogenic function by inducing orchitis.

Applications

Unspecified application

Species

Unspecified reactive species

Lingjun Zhao,Kaihui Wu,Shiyuan Xu,Songqi Liu,Kaimin Yuan,Dong Wang

Nature communications 16:6668 PubMed40683882

2025

Cardiomyocyte OTUD1 drives diabetic cardiomyopathy via directly deubiquitinating AMPKα2 and inducing mitochondrial dysfunction.

Applications

Unspecified application

Species

Unspecified reactive species

Xue Han,Ruyi Zheng,Jiajia Zhang,Yanan Liu,Ze Li,Guoxuan Liu,Jianing Zheng,Weiqi Li,Zijun Liang,Mengyang Wang,Jie Yu,Qiaojuan Shi,Huazhong Ying,Guang Liang

Journal of cellular and molecular medicine 29:e70733 PubMed40682481

2025

Myeloid MyD88 Mediates Macrophage Infiltration and Activation in Ang II-Induced Cardiac Hypertrophy.

Applications

Unspecified application

Species

Unspecified reactive species

Ke Lin,Na Yang,Chenghong Hu,Wu Luo,Ping Huang,Guang Liang,Yi Wang

Signal transduction and targeted therapy 10:223 PubMed40670349

2025

Comprehensive genomic and transcriptomic analyses reveal prognostic stratification for esophageal squamous cell carcinoma.

Applications

Unspecified application

Species

Unspecified reactive species

Jian Gao,Qiming Wang,Fangqiu Fu,Yue Zhao,Teng Yang,Xiangze Li,Yihua Sun,Hong Hu,Longfei Ma,Longsheng Miao,Xiaoyang Luo,Ting Ye,Yiliang Zhang,Yang Zhang,Ziling Huang,Hang Li,Longlong Shao,Midie Xu,Kuaile Zhao,Shiyue Zhang,Mou Zhang,Jun Wang,Chong Dai,Xiaoxiao Shang,Tingyi An,Yawei Zhang,Jiaqing Xiang,Zhiwei Cao,Bin Li,Haiquan Chen

Cell communication and signaling : CCS 23:331 PubMed40640803

2025

NASP implication in the androgen receptor associated with castration resistance in prostate cancer.

Applications

Unspecified application

Species

Unspecified reactive species

Yun Feng,Jin Sun,Xuan Kang,Yining Wang,Kai Liu,Wenfei Wang,Chen Wang,Yabin Li,Qian Zhao,Kaile Li,Fang-Lin Sun,Jianfeng Chang

MedComm 6:e70205 PubMed40636284

2025

Depletion of Fat Mass and Obesity-Associated Protein (FTO) Drives Heterochromatin Loss via Lysine Acetyltransferase 8 (KAT8)-Mediated Remodeling and Spacing Factor 1 (RSF1) Acetylation in Skin Aging.

Applications

Unspecified application

Species

Unspecified reactive species

Fan Wang,Lei Zhou,Yun Zhong,Yisheng Cai,Xin Meng,Mengting Chen,Rui Mao,Xin Xiao,Caitan Yi,Yi Guo,Hongfu Xie,Yiya Zhang,Ji Li
View all publications

Abcam product promise

当社は、高品質な試薬を通じてお客様の研究を力強くサポートすることをお約束いたします。ご使用いただく各段階で、常にお客様をサポートできる体制を整えております。万が一、製品が期待通りに機能しない場合は、「Abcam Product Promise」による当社保証制度に基づき、安心してご利用いただけます。
保証に関する詳細については利用規約をご確認ください。

Please note: All products are 'FOR RESEARCH USE ONLY. NOT FOR USE IN DIAGNOSTIC OR THERAPEUTIC PROCEDURES'.

For licensing inquiries, please contact partnerships@abcam.com