JavaScript is disabled in your browser. Please enable JavaScript to view this website.
AB92547

Anti-Vimentin 抗体 [EPR3776] - Cytoskeleton Marker

Anti-Vimentin antibody [EPR3776] - Cytoskeleton Marker

  • BOND RX™ Validated
  • KO Validated
  • RabMAb
  • Recombinant
  • Lab Essentials
  • 20ul selling size
  • Advanced Validation
  • 詳細を見る

5

(92 Reviews)

|

(2422 Publications)

Anti-Vimentin antibody [EPR3776] - Cytoskeleton Marker (ab92547) is a rabbit monoclonal antibody detecting Vimentin in Western Blot, Flow Cytometry (Intra), Flow Cytometry, IHC-P, ICC/IF, mIHC. Suitable for African green monkey, Human, Mouse, Rat.

- KO validated for confirmed specificity
- Multiplex IHC validated on the Leica BOND® MAX using Opal reagents
- Biophysical QC for unrivalled batch-batch consistency
- Over 1730 publications

別名を表示する

Vimentin, VIM

37 Images
Multiplex immunohistochemistry - Anti-Vimentin antibody [EPR3776] - Cytoskeleton Marker (AB92547)
  • mIHC

Lab

Multiplex immunohistochemistry - Anti-Vimentin antibody [EPR3776] - Cytoskeleton Marker (AB92547)

This data was developed using ab193555, the same antibody clone in a different buffer formulation.

Multiplex immunohistochemistry (Formalin/PFA-fixed paraffin-embedded sections) analysis of human testis tissue.

Panel A : merged staining of anti-Vimentin (red; Opal™690), anti-CYP11A1 (cyan; Opal™520) and anti-DDX4 / MVH (green; Opal™570) on human testis.
Panel B : anti-CYP11A1 stained on Leydig cells.
Panel C : anti-DDX4 / MVH stained on all spermatogenic cell types.
Panel D : anti-Vimentin stained on Sertoli cells and fibroblasts.

The section was incubated in three rounds of staining : in the order of ab193555 (1 : 2000 dilution) and ab272494 (1 : 10000 dilution) for 30 mins, then ab270534 (1 : 2000 dlilution) for 10 mins at room temperature. Each round was followed by a separate fluorescent tyramide signal amplification system.

The immunostaining was performed on a Leica Biosystems BOND® RX instrument with an Opal™ 4-color kit. Image acquisition was performed with Leica SP8 confocal microscope.

DAPI was used as a nuclear counter stain. Opal Polymer HRP Ms + Rb was used as a secondary.

Antigen retrieval : Heat mediated antigen retrieval with Tris-EDTA buffer (pH 9.0, epitope retrieval solution2) for 20 mins.

Immunocytochemistry/ Immunofluorescence - Anti-Vimentin antibody [EPR3776] - Cytoskeleton Marker (AB92547)
  • ICC/IF

AbReview79518****

Immunocytochemistry/ Immunofluorescence - Anti-Vimentin antibody [EPR3776] - Cytoskeleton Marker (AB92547)

Immunocytochemistry analysis of paraformaldehyde-fixed 0.5 TritonX-100 +1% BSA permeabilized human limbal stem cells staining with ab92547 at 1/100 dilution. Secondary antibody was Alexa Fluor™ 456 Donkey anti-Rabbit IgG (H+L) Highly Cross-Adsorbed. The cells were incubated with the primary antibody with 1%BSA + 0.1%Triton PBS for 16 hours at 4°C. Blocking was done using 1% BSA for 30 minutes at 25°C.

This image is courtesy of an anonymous Abreview

Immunocytochemistry/ Immunofluorescence - Anti-Vimentin antibody [EPR3776] - Cytoskeleton Marker (AB92547)
  • ICC/IF

Unknown

Immunocytochemistry/ Immunofluorescence - Anti-Vimentin antibody [EPR3776] - Cytoskeleton Marker (AB92547)

Immunofluorescence staining of HeLa (human epithelial cell line from cervix adenocarcinoma) cells with purified ab92547 at a working dilution of 1/250 counter-stained with DAPI. The secondary antibody was Goat Anti-Rabbit IgG H&L (Alexa Fluor® 488) (ab150077) secondary antibody used at a dilution of 1/1000. ab7291 a mouse anti-tubulin antibody (1/1000) was used to stain tubulin along with Goat Anti-Mouse IgG H&L (Alexa Fluor® 594) preadsorbed (ab150120) 1/1000 shown in the top right hand panel. The cells were fixed in 4% PFA and permeabilized using 0.1% Triton X 100. The negative controls are shown in bottom middle and right hand panels - for negative control 1 purified ab92547 was used at a dilution of 1/500 followed by Goat Anti-Mouse IgG H&L (Alexa Fluor® 594) preadsorbed (ab150120) at a dilution of 1/500. For negative control 2 ab7291 (mouse anti-tubulin) was used at a dilution of 1/500 followed by Goat Anti-Rabbit IgG H&L (Alexa Fluor® 488) (ab150077) secondary antibody at a dilution of 1/400.

Immunocytochemistry/ Immunofluorescence - Anti-Vimentin antibody [EPR3776] - Cytoskeleton Marker (AB92547)
  • ICC/IF

Lab

Immunocytochemistry/ Immunofluorescence - Anti-Vimentin antibody [EPR3776] - Cytoskeleton Marker (AB92547)

ab92547 staining VIM in wild-type HeLa cells with negative expression in VIM knockout HeLa cells. The cells were fixed with 4% formaldehyde (10 min) permeabilised with 0.1% Triton x-100 for 5 minutes and then blocked with 1% BSA/10% normal goat serum/0.3M glycine in 0.1% PBS-Tween for 1h. The cells were then incubated overnight at +4°C with ab92547 at 2 μg/ml and ab7291 Mouse monoclonal [DM1A] to alpha Tubulin at 0.5 μg/ml. Cells were then incubated with ab150081 Goat polyclonal Secondary Antibody to Rabbit IgG - H&L (Alexa Fluor® 488) pre-adsorbed at 1/1000 dilution (shown in green) and ab150119 Goat polyclonal Secondary Antibody to Mouse IgG - H&L (Alexa Fluor® 647) pre-adsorbed at 1/1000 dilution (shown in red). Nuclear DNA was labelled with DAPI (shown in blue).Image was acquired with a confocal microscope (Leica-Microsystems TCS SP8) and a single confocal section is shown.This product also work with 100% methanol (5 min) fixation under the same testing conditions.

Flow Cytometry (Intracellular) - Anti-Vimentin antibody [EPR3776] - Cytoskeleton Marker (AB92547)
  • Flow Cyt (Intra)

Lab

Flow Cytometry (Intracellular) - Anti-Vimentin antibody [EPR3776] - Cytoskeleton Marker (AB92547)

Flow cytometry overlay histogram showing wild-type HAP1 (green line) and HAP1-Vimentin knockout cells stained with ab92547 (magenta line). The cells were fixed with 80% methanol (5 min) and then permeabilised with 0.1% PBS-Triton X-100 for 15 min. The cells were then incubated in 1x PBS containing 10% normal goat serum to block non-specific protein-protein interaction followed by the antibody (ab92547) (1x 106in 100μl at 0.04 μg/ml (1/55750)) for 30min at 22°C.

The secondary antibody Goat Anti-Rabbit IgG H&L (Alexa Fluor® 488) preadsorbed was incubated at 1/4000 for 30min at 22°C

Isotype control antibody Recombinant Rabbit IgG, monoclonal [EPR25A] - Isotype Control was used at the same concentration and conditions as the primary antibody (wild-type HAP1 - black line, HAP1-Vimentin knockout - grey line). Unlabelled sample was also used as a control (this line is not shown for the purpose of simplicity).

Acquisition of >5000 events were collected using a 50 mW Blue laser (488nm) and 525/40 bandpass filter.

This antibody gave a positive signal in HAP1 WT Fixed with 4% formaldehyde (10 min) / permeabilised with 0.1% PBS-Triton X-100 for 15 min under the same conditions.

Immunohistochemistry (Formalin/PFA-fixed paraffin-embedded sections) - Anti-Vimentin antibody [EPR3776] - Cytoskeleton Marker (AB92547)
  • IHC-P

PubMed

Immunohistochemistry (Formalin/PFA-fixed paraffin-embedded sections) - Anti-Vimentin antibody [EPR3776] - Cytoskeleton Marker (AB92547)

Immunostaining of formalin fixed paraffin embedded human microtissues after exposure to MTX, TAA and TGF-β1.

Formalin fixed paraffin embedded slides of HepaRG/THP-1 macrophages/hTERT-HSC microtissues were stained with Hematoxylin & Eosin (H&E) and vimentin after 14 days of treatment with MTX, TAA and TGF-β1. Microtissues were fixed in 4% PFA and embedded in 2% agarose prior to paraffinization. Microtissues showed increase in the vimentin positive cells after MTX, TAA and TGF-β1 exposure. Vimentin stainings show proliferation of stellate cells and THP-1 macrophages in the microtissues, suggesting the onset of inflammation process.

For full image see PMID 28665955.

Image from Prestigiacomo V et al. PLoS One. 2017;12(6):e0179995. Fig 7.; doi: 10.1371/journal.pone.0179995.

Immunocytochemistry/ Immunofluorescence - Anti-Vimentin antibody [EPR3776] - Cytoskeleton Marker (AB92547)
  • ICC/IF

AbReview

Immunocytochemistry/ Immunofluorescence - Anti-Vimentin antibody [EPR3776] - Cytoskeleton Marker (AB92547)

Unpurified ab92547 staining vimentin in human Schlemms Canal Endothelium cells by ICC/IF (Immunocytochemistry/immunofluorescence). Cells were fixed with formaldehyde, permeabilized with Triton X-100 0.2% and blocked with 10% serum for 30 minutes at 20°C. Samples were incubated with primary antibody (1/200 in DPBS) for 3 hours at 20°C. An undiluted Alexa Fluor®488-conjugated Goat anti-rabbit IgG polyclonal was used as the secondary antibody.

This image is courtesy of an Abreview submitted by Thomas Read.

Immunohistochemistry (Formalin/PFA-fixed paraffin-embedded sections) - Anti-Vimentin antibody [EPR3776] - Cytoskeleton Marker (AB92547)
  • IHC-P

Unknown

Immunohistochemistry (Formalin/PFA-fixed paraffin-embedded sections) - Anti-Vimentin antibody [EPR3776] - Cytoskeleton Marker (AB92547)

Immunohistochemical staining of paraffin embedded paraformaldehyde fixed rhesus monkey retina tissue with ab92547 (green) at a working dilution of 1/200. The sample was incubaded with the primary antibody fro 20 hours at 4°C in 2.5% serum. The secondary antibody used is a Goat anti-rabbit AlexaFluor 488 at 1/400. Heat mediated antigen retrieval was perfomed using citrate pH 6. Tissue was blocked with 5% serum for 1 hour 30 minutes at 25°C

Multiplex immunohistochemistry - Anti-Vimentin antibody [EPR3776] - Cytoskeleton Marker (AB92547)
  • mIHC

Collaborator

Multiplex immunohistochemistry - Anti-Vimentin antibody [EPR3776] - Cytoskeleton Marker (AB92547)

This data was developed using ab193555, the same antibody clone in a different buffer formulation.

Immunofluorescence analysis of human rectum adenocarcinoma labelled with ab193555. Image was acquired using Cell DIVE Multiplexed Imaging Solution (Leica Microsystems).

Formalin fixed paraffin embedded (FFPE) sections were incubated with ab193555 at 1/100 dilution, for 1h at room temperature. Nuclear DNA was labelled with DAPI (Red). Deparaffinization, antigen retrieval, biomarker labeling and imaging was performed following Cell DIVE recommended standard protocol. Cell DIVE automatically processed the image to perform autofluorescence removal, distortion correction, blank glass subtraction, flat-field correction, and stitching.

Immunohistochemistry (Formalin/PFA-fixed paraffin-embedded sections) - Anti-Vimentin antibody [EPR3776] - Cytoskeleton Marker (AB92547)
  • IHC-P

Unknown

Immunohistochemistry (Formalin/PFA-fixed paraffin-embedded sections) - Anti-Vimentin antibody [EPR3776] - Cytoskeleton Marker (AB92547)

Fluorescent immunohistochemical analysis of paraffin-embedded human normal colon tissue using unpurified ab92547. Green- Vimentin red-PI

Immunohistochemistry (Formalin/PFA-fixed paraffin-embedded sections) - Anti-Vimentin antibody [EPR3776] - Cytoskeleton Marker (AB92547)
  • IHC-P

Unknown

Immunohistochemistry (Formalin/PFA-fixed paraffin-embedded sections) - Anti-Vimentin antibody [EPR3776] - Cytoskeleton Marker (AB92547)

Fluorescent immunohistochemical analysis of paraffin-embedded human normal kidney tissue using unpurified ab92547. Green- Vimentin red-PI.

Immunohistochemistry (Formalin/PFA-fixed paraffin-embedded sections) - Anti-Vimentin antibody [EPR3776] - Cytoskeleton Marker (AB92547)
  • IHC-P

Unknown

Immunohistochemistry (Formalin/PFA-fixed paraffin-embedded sections) - Anti-Vimentin antibody [EPR3776] - Cytoskeleton Marker (AB92547)

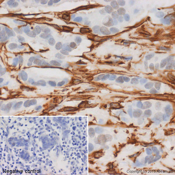
IHC image of unpurified ab92547 staining Vimentin in human breast adenocarcinoma formalin-fixed paraffin-embedded tissue sections*, performed on a Leica Bond. The section was pre-treated using heat mediated antigen retrieval with sodium citrate buffer (pH6, epitope retrieval solution 1) for 20 mins. The section was then incubated with ab92547, 1/200 dilution, for 15 mins at room temperature and detected using an HRP conjugated compact polymer system. DAB was used as the chromogen. The section was then counterstained with haematoxylin and mounted with DPX. No primary antibody was used in the negative control (shown on the inset).

For other IHC staining systems (automated and non-automated) customers should optimize variable parameters such as antigen retrieval conditions, primary antibody concentration and antibody incubation times.

*Tissue obtained from the Human Research Tissue Bank, supported by the NIHR Cambridge Biomedical Research Centre

Immunohistochemistry (Formalin/PFA-fixed paraffin-embedded sections) - Anti-Vimentin antibody [EPR3776] - Cytoskeleton Marker (AB92547)
  • IHC-P

Unknown

Immunohistochemistry (Formalin/PFA-fixed paraffin-embedded sections) - Anti-Vimentin antibody [EPR3776] - Cytoskeleton Marker (AB92547)

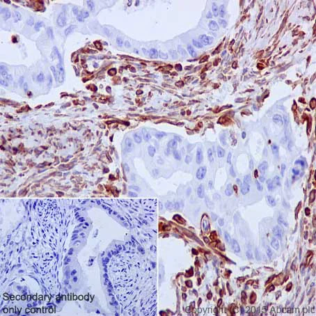
Immunohistochemical staining of paraffin embedded human cervical carcinoma with purified ab92547 at a working dilution of 1/250. The secondary antibody used is HRP goat anti-rabbit IgG H&L (ab97051) at 1/500. The sample is counter-stained with hematoxylin. Antigen retrieval was perfomed using Tris-EDTA buffer, pH 9.0. PBS was used instead of the primary antibody as the negative control, and is shown in the inset.

Immunocytochemistry/ Immunofluorescence - Anti-Vimentin antibody [EPR3776] - Cytoskeleton Marker (AB92547)
  • ICC/IF

Unknown

Immunocytochemistry/ Immunofluorescence - Anti-Vimentin antibody [EPR3776] - Cytoskeleton Marker (AB92547)

ab92547 staining Vimentin in HeLa (human epithelial cell line from cervix adenocarcinoma) cells. The cells were fixed with 100% methanol (5min) and then blocked in 1% BSA/10% normal goat serum/0.3M glycine in 0.1%PBS-Tween for 1h. The cells were then incubated with ab92547 at 5μg/ml and ab7291 at 1μg/ml overnight at +4°C followed by a further incubation at room temperature for 1h with Goat Anti-Rabbit IgG H&L (Alexa Fluor® 488) preadsorbed (ab150081) secondary antibody at 2 μg/ml (shown in green) and Goat Anti-Mouse IgG H&L (Alexa Fluor® 594) preadsorbed (ab150120) at 2 μg/ml (shown in pseudo color red). Nuclear DNA was labelled in blue with DAPI.

Negative controls : 1– Rabbit primary antibody and anti-mouse secondary antibody; 2 – Mouse primary antibody and anti-rabbit secondary antibody. Controls 1 and 2 indicate that there is no unspecific reaction between primary and secondary antibodies used.

Flow Cytometry (Intracellular) - Anti-Vimentin antibody [EPR3776] - Cytoskeleton Marker (AB92547)
  • Flow Cyt (Intra)

Unknown

Flow Cytometry (Intracellular) - Anti-Vimentin antibody [EPR3776] - Cytoskeleton Marker (AB92547)

Overlay histogram showing HeLa cells fixed in 2% PFA and stained with purified ab92547 at a dilution of 1 in 50 (red line). The secondary antibody used was FITC goat anti-rabbit at a dilution of 1 in 500. Rabbit monoclonal IgG was used as an isotype control (black line) and cells incubated in the absence of both primary and secondary antibody were used as a negative control (blue line).

Immunohistochemistry (Formalin/PFA-fixed paraffin-embedded sections) - Anti-Vimentin antibody [EPR3776] - Cytoskeleton Marker (AB92547)
  • IHC-P

Unknown

Immunohistochemistry (Formalin/PFA-fixed paraffin-embedded sections) - Anti-Vimentin antibody [EPR3776] - Cytoskeleton Marker (AB92547)

Immunohistochemical analysis of formalin/PFA-fixed paraffin-embedded human cervical carcinoma tissue sections labeling Vimentin with ab92547.

Immunocytochemistry/ Immunofluorescence - Anti-Vimentin antibody [EPR3776] - Cytoskeleton Marker (AB92547)
  • ICC/IF

Unknown

Immunocytochemistry/ Immunofluorescence - Anti-Vimentin antibody [EPR3776] - Cytoskeleton Marker (AB92547)

ab92547 staining Vimentin in wild-type HAP1 cells (top panel) and VIM knockout HAP1 cells (bottom panel). The cells were fixed with 100% methanol (5min), permeabilized with 0.1% Triton X-100 for 5 minutes and then blocked with 1% BSA/10% normal goat serum/0.3M glycine in 0.1% PBS-Tween for 1h. The cells were then incubated with ab92547 at 0.5μg/ml and ab195889 at 1/250 dilution (shown in pseudocolour red) overnight at +4°C, followed by a further incubation at room temperature for 1h with Goat Anti-Rabbit IgG H&L (Alexa Fluor® 488) preadsorbed (ab150081) secondary antibody at 2 μg/ml (shown in green). Nuclear DNA was labelled in blue with DAPI.

Image was taken with a confocal microscope (Leica-Microsystems, TCS SP8).

Flow Cytometry (Intracellular) - Anti-Vimentin antibody [EPR3776] - Cytoskeleton Marker (AB92547)
  • Flow Cyt (Intra)

Unknown

Flow Cytometry (Intracellular) - Anti-Vimentin antibody [EPR3776] - Cytoskeleton Marker (AB92547)

Overlay histogram showing HAP1 wildtype (green line) and HAP1-VIM knockout cells (red line) stained with ab92547. The cells were fixed with 80% methanol (5 min) and then permeabilized with 0.1% PBS-Triton X-100 for 15 min. The cells were then incubated in 1x PBS / 10% normal goat serum to block non-specific protein-protein interactions followed by the antibody (ab92547, 0.5μg/ml) for 30 min at 22°C. The secondary antibody used wasGoat Anti-Rabbit IgG H&L (Alexa Fluor® 488) preadsorbed (ab150081) secondary antibodyat 1/2000 dilution for 30 min at 22°C. A Rabbit IgG isotype control antibody (ab172730) was used at the same concentration and conditions as the primary antibody (HAP1 wildtype - black line, HAP1-VIM knockout - grey line). Unlabelled sample was also used as a control (this line is not shown for the purpose of simplicity). Acquisition of >5,000 events were collected using a 50 mW Blue laser (488nm) and 530/30 bandpass filter.

Immunocytochemistry/ Immunofluorescence - Anti-Vimentin antibody [EPR3776] - Cytoskeleton Marker (AB92547)
  • ICC/IF

Unknown

Immunocytochemistry/ Immunofluorescence - Anti-Vimentin antibody [EPR3776] - Cytoskeleton Marker (AB92547)

Unpurified ab92547 staining Vimentin in HeLa cells. The cells were fixed with 100% methanol (5 min) permeabilized in 0.1% Triton X-100 for 5 minutes and then blocked in 1% BSA/10% normal goat serum/0.3M glycine in 0.1% PBS-Tween for 1h. The cells were then incubated with ab92547 at a working concentration of 5μg/ml and ab195889 Mouse monoclonal [DM1A] to alpha Tubulin (Alexa Fluor® 594 shown in red) at 1/250 dilution overnight at +4°C followed by a further incubation at room temperature for 1h with Goat Anti-Rabbit IgG H&L (Alexa Fluor® 488) preadsorbed (ab150081) secondary antibody at 2 μg/ml (shown in green). Nuclear DNA was labelled in blue with DAPI.

Image was taken with a confocal microscope (Leica-Microsystems TCS SP8).

Immunohistochemistry (Formalin/PFA-fixed paraffin-embedded sections) - Anti-Vimentin antibody [EPR3776] - Cytoskeleton Marker (AB92547)
  • IHC-P

Lab

Immunohistochemistry (Formalin/PFA-fixed paraffin-embedded sections) - Anti-Vimentin antibody [EPR3776] - Cytoskeleton Marker (AB92547)

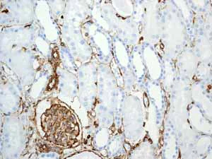
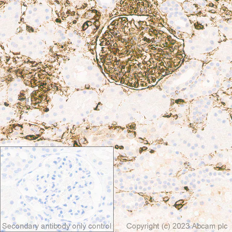
Immunohistochemical analysis of formalin fixed paraffin embedded human kidney labelling Vimentin with ab92547 at a concentration of 0.5 µg/ml. The immunostaining was performed on a Ventana DISCOVERY ULTRA (Roche Tissue Diagnostics) instrument with an OptiView DAB IHC Detection Kit. Heat mediated antigen retrieval was conducted for 32 mins at 100°C with ULTRA cell conditioning solution (CC1, pH 8.5). ab92547 anti-Vimentin antibody [EPR3776] was incubated at 37°C for 16 mins. Sections were counterstained with Hematoxylin II. Image inset shows absence of staining in secondary antibody only control.

Immunohistochemistry (Formalin/PFA-fixed paraffin-embedded sections) - Anti-Vimentin antibody [EPR3776] - Cytoskeleton Marker (AB92547)
  • IHC-P

Collaborator

Immunohistochemistry (Formalin/PFA-fixed paraffin-embedded sections) - Anti-Vimentin antibody [EPR3776] - Cytoskeleton Marker (AB92547)

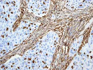
Anti-vimentin (ab92547) staining in human ovarian cancer tissue using immunohistochemistry (formaldehyde-fixed, paraffin-embedded sections). Heat-mediated antigen retrieval was carried out using citric acid. Samples were incubated with primary antibody (1/2000) for two hours at room temperature. A biotin-conjugated goat anti-rabbit IgG polyclonal was used as the secondary antibody. Image courtesy of Mr Carl Hobbs, Kings College London.

Immunohistochemistry (Formalin/PFA-fixed paraffin-embedded sections) - Anti-Vimentin antibody [EPR3776] - Cytoskeleton Marker (AB92547)
  • IHC-P

Unknown

Immunohistochemistry (Formalin/PFA-fixed paraffin-embedded sections) - Anti-Vimentin antibody [EPR3776] - Cytoskeleton Marker (AB92547)

Immunohistochemical analysis of formalin/PFA-fixed paraffin-embedded human kidney tissue sections labeling Vimentin with ab92547.

Immunohistochemistry (Formalin/PFA-fixed paraffin-embedded sections) - Anti-Vimentin antibody [EPR3776] - Cytoskeleton Marker (AB92547)
  • IHC-P

AbReview53787****

Immunohistochemistry (Formalin/PFA-fixed paraffin-embedded sections) - Anti-Vimentin antibody [EPR3776] - Cytoskeleton Marker (AB92547)

ab92547 staining Vimentin in rat skin tissue sections by Immunohistochemistry (IHC-P - paraformaldehyde-fixed, paraffin-embedded sections). Tissue was fixed with 10% buffered normal formalin and blocked with 5% serum for 60 minutes at 21°C; antigen retrieval was by heat mediation in a 10mM Sodium citrate buffer. Samples were incubated with primary antibody (1/200 in blocking buffer) for 12 hours at 4°C. A Cy3®-conjugated donkey anti-rabbit IgG polyclonal (1/200) was used as the secondary antibody.

This image is courtesy of an anonymous Abreview.

Immunohistochemistry (Formalin/PFA-fixed paraffin-embedded sections) - Anti-Vimentin antibody [EPR3776] - Cytoskeleton Marker (AB92547)
  • IHC-P

Collaborator

Immunohistochemistry (Formalin/PFA-fixed paraffin-embedded sections) - Anti-Vimentin antibody [EPR3776] - Cytoskeleton Marker (AB92547)

Anti-vimentin (ab92547) staining in E17 rat cheek sections using immunohistochemistry (formaldehyde-fixed, paraffin-embedded sections). Heat-mediated antigen retrieval was carried out using citric acid. Samples were incubated with primary antibody (1/2000) for two hours at room temperature. A biotin-conjugated goat anti-rabbit IgG polyclonal was used as the secondary antibody.

Image courtesy of Mr Carl Hobbs, Kings College London.

Immunohistochemistry (Formalin/PFA-fixed paraffin-embedded sections) - Anti-Vimentin antibody [EPR3776] - Cytoskeleton Marker (AB92547)
  • IHC-P

Unknown

Immunohistochemistry (Formalin/PFA-fixed paraffin-embedded sections) - Anti-Vimentin antibody [EPR3776] - Cytoskeleton Marker (AB92547)

Immunohistochemical staining of paraffin embedded mouse kidney with purified ab92547 at a working dilution of 1/250. The secondary antibody used is Goat Anti-Rabbit IgG H&L (HRP) (ab97051) secondary antibody at 1/500. The sample is counter-stained with hematoxylin. Antigen retrieval was perfomed using Tris-EDTA buffer, pH 9.0. PBS was used instead of the primary antibody as the negative control, and is shown in the inset.

Immunohistochemistry (Formalin/PFA-fixed paraffin-embedded sections) - Anti-Vimentin antibody [EPR3776] - Cytoskeleton Marker (AB92547)
  • IHC-P

PubMed

Immunohistochemistry (Formalin/PFA-fixed paraffin-embedded sections) - Anti-Vimentin antibody [EPR3776] - Cytoskeleton Marker (AB92547)

JhylacZ/lacZ mice exhibit delayed radial glial to ependymal cell differentiation. Immunohistochemical analysis of P10 lateral ventricle coronal sections from Jhy+/+ (A, E) and JhylacZ/lacZ (I, M) mice for expression of Vimentin (pink, ab92547), Glast (green) and Acα-Tub (orange) in dorsal (A-D, I-L) and ventral (E-H, M-P) brain regions. Lower right panels (D, L, H, P) represent a higher magnification view of the merged image. In Jhy+/+, medial wall dorsal and ventral cells express the differentiated ependymal markers Vimentin (A, B, E, F) and Acα-Tub (A, D, E, H), but are negative for the radial glial marker Glast (A, C, E, G). In JhylacZ/lacZ brains, some dorsal cells remain positive for the undifferentiated marker Glast (I, K), while also expressing the differentiated markers Vimentin and Acα-Tub (I, J, L). JhylacZ/lacZ ventral cells express only Vimentin and Acα-Tub (M-P). The dotted line indicates the medial wall ependymal cells in (C, G, K, O). (Q-R) Graphical representation of the percentage of Glast(-)Vimentin(+)Acα-Tub(+) (black bar) and Glast(+)Vimentin(+)Acα-Tub(+) (grey bar) cells in dorsal (Q) and ventral (R) ependymal cells. MW, medial wall; LW, lateral wall; LV, lateral ventricle; * denotes p≤0.05. Scale bars : 50μm (A-P).

Image from Muniz-Talavera H and Schmidt JV., PLoS One. 2017;12(12):e0184957. Fig 3.; doi: 10.1371/journal.pone.0184957. Reproduced under the Creative Commons license http://creativecommons.org/licenses/by/4.0/

Immunohistochemistry (Formalin/PFA-fixed paraffin-embedded sections) - Anti-Vimentin antibody [EPR3776] - Cytoskeleton Marker (AB92547)
  • IHC-P

Collaborator

Immunohistochemistry (Formalin/PFA-fixed paraffin-embedded sections) - Anti-Vimentin antibody [EPR3776] - Cytoskeleton Marker (AB92547)

Anti-vimentin (ab92547) staining in adult mouse brain (the dentate gyrus region of the hippocampus) using immunohistochemistry (formaldehyde-fixed paraffin-embedded sections). Heat-mediated antigen retrieval was carried out using citric acid. Samples were incubated with primary antibody (1/2000 dilution) for two hours at room temperature. A biotin-conjugated goat anti-rabbit IgG polyclonal was used as the secondary antibody.

Image courtesy of Mr Carl Hobbs Kings College London.

Western blot - Anti-Vimentin antibody [EPR3776] - Cytoskeleton Marker (AB92547)
  • WB

Collaborator

Western blot - Anti-Vimentin antibody [EPR3776] - Cytoskeleton Marker (AB92547)

Blocking buffer : 5% NFDM/TBST
Dilution buffer : 5% NFDM/TBST

All lanes:

Western blot - Anti-Vimentin antibody [EPR3776] - Cytoskeleton Marker (ab92547) at 1/5000 dilution

Lane 1:

HeLa (Human epithelial cell line from cervix adenocarcinoma) cell lysate at 20 µg

Lane 2:

HEK293 (Human epithelial cell line from embryonic kidney) cell lysate at 20 µg

Secondary

All lanes:

HRP goat anti-rabbit IgG (H+L) at 1/1000 dilution

Predicted band size: 53 kDa

Observed band size: 54 kDa

false

Western blot - Anti-Vimentin antibody [EPR3776] - Cytoskeleton Marker (AB92547)
  • WB

Lab

Western blot - Anti-Vimentin antibody [EPR3776] - Cytoskeleton Marker (AB92547)

Different batches of ab92547 were tested on HEK-293 (Human embryonic kidney epithelial cell) lysate at 0.02 µg/ml. 15 µg of lysate was loaded in each lane. Bands observed at 54 kDa.

All lanes:

Western blot - Anti-Vimentin antibody [EPR3776] - Cytoskeleton Marker (ab92547)

Predicted band size: 53 kDa

false

Western blot - Anti-Vimentin antibody [EPR3776] - Cytoskeleton Marker (AB92547)
  • WB

Lab

Western blot - Anti-Vimentin antibody [EPR3776] - Cytoskeleton Marker (AB92547)

False colour image of Western blot : Anti-Vimentin antibody [EPR3776] - Cytoskeleton Marker staining at 1/1000 dilution, shown in green; Mouse anti-CANX [CANX/1543] (ab238078) loading control staining at 1/20000 dilution, shown in red. In Western blot, ab92547 was shown to bind specifically to Vimentin. A band was observed at 55 kDa in wild-type A549 cell lysates with no signal observed at this size in VIM knockout cell line ab288984. To generate this image, wild-type and VIM knockout A549 cell lysates were analysed. First, samples were run on an SDS-PAGE gel then transferred onto a nitrocellulose membrane. Membranes were blocked in 3 % milk in TBS-0.1 % Tween® 20 (TBS-T) before incubation with primary antibodies overnight at 4 °C. Blots were washed four times in TBS-T, incubated with secondary antibodies for 1 h at room temperature, washed again four times then imaged. Secondary antibodies used were Goat anti-Rabbit IgG H&L 800CW and Goat anti-Mouse IgG H&L 680RD at 1/20000 dilution.

All lanes:

Western blot - Anti-Vimentin antibody [EPR3776] - Cytoskeleton Marker (ab92547) at 1/1000 dilution

Lane 1:

Wild-type A549 cell lysate at 20 µg

Lane 2:

VIM knockout A549 cell lysate at 20 µg

Lane 3:

Daudi cell lysate at 20 µg

Observed band size: 55 kDa

false

Western blot - Anti-Vimentin antibody [EPR3776] - Cytoskeleton Marker (AB92547)
  • WB

AbReview70142****

Western blot - Anti-Vimentin antibody [EPR3776] - Cytoskeleton Marker (AB92547)

All lanes:

Western blot - Anti-Vimentin antibody [EPR3776] - Cytoskeleton Marker (ab92547) at 1/1000 dilution

Lane 1:

KO HCT116 whole cell lysate at 30 µg

Lane 2:

WT HCT116 whole cell lysate at 30 µg

Secondary

All lanes:

IRDye® 800CW Goat anti-Rabbit IgG Secondary Antibody at 1/20000 dilution

false

Exposure time: 5min

This image is courtesy of an anonymous Abreview

Western blot - Anti-Vimentin antibody [EPR3776] - Cytoskeleton Marker (AB92547)
  • WB

Lab

Western blot - Anti-Vimentin antibody [EPR3776] - Cytoskeleton Marker (AB92547)

Blocking buffer : 5% NFDM/TBST
Dilution buffer : 5% NFDM/TBST

All lanes:

Western blot - Anti-Vimentin antibody [EPR3776] - Cytoskeleton Marker (ab92547) at 1/5000 dilution

Lane 1:

Mouse brain lysate

Lane 2:

Rat brain lysate

Secondary

All lanes:

HRP goat anti-rabbit IgG (H+L) at 1/1000 dilution

Predicted band size: 53 kDa

Observed band size: 54 kDa

false

Western blot - Anti-Vimentin antibody [EPR3776] - Cytoskeleton Marker (AB92547)
  • WB

AbReview72650****

Western blot - Anti-Vimentin antibody [EPR3776] - Cytoskeleton Marker (AB92547)

4-15% gradient, denaturing conditions

All lanes:

Western blot - Anti-Vimentin antibody [EPR3776] - Cytoskeleton Marker (ab92547) at 1/1000 dilution

All lanes:

Rat Hippocampal culture whole cell lysate, at 10 µg

Secondary

All lanes:

Alexa Fluor 680 Donkey anti-Rabbit IgG (H+L) at 1/5000 dilution

false

Exposure time: 7min

This image is courtesy of an anonymous Abreview

Immunohistochemistry (Formalin/PFA-fixed paraffin-embedded sections) - Anti-Vimentin antibody [EPR3776] - Cytoskeleton Marker (AB92547)
  • IHC-P

Supplier Data

Immunohistochemistry (Formalin/PFA-fixed paraffin-embedded sections) - Anti-Vimentin antibody [EPR3776] - Cytoskeleton Marker (AB92547)

Tissue Microarrays stained for Anti-Vimentin antibody [EPR3776] - Cytoskeleton Marker using ab92547 in immunohistochemical analysis. This table provides a detailed overview of positive (tick mark) and negaive (cross mark) staining per sample type tested. The section was incubated with ab92547 at 4°C overnight followed by a ready to use Goat Anti-Rabbit IgG H&L (HRP polymer) secondary antibody (ab214880). Heat mediated antigen retrieval was performed using ab93684 (Tris/EDTA buffer, pH 9.0)

Western blot - Anti-Vimentin antibody [EPR3776] - Cytoskeleton Marker (AB92547)
  • WB

Lab

Western blot - Anti-Vimentin antibody [EPR3776] - Cytoskeleton Marker (AB92547)

This blot was produced using a 4-12% Bis-tris gel under the MOPS buffer system. The gel was run at 200V for 50 minutes before being transferred onto a Nitrocellulose membrane at 30V for 70 minutes. The membrane was then blocked for an hour using LI-COR® blocking buffer before being incubated with ab92547 overnight at 4°C. Antibody binding was detected using the IRDye® 800CW Goat Anti-Rabbit secondary at a 1 : 10,000 dilution for 1hr at room temperature and then imaged using the Odyssey® CLx Imaging System.

All lanes:

Western blot - Anti-Vimentin antibody [EPR3776] - Cytoskeleton Marker (ab92547) at 1/1000 dilution

Lane 1:

HeLa (Human epithelial cell line from cervix adenocarcinoma) Whole Cell Lysate at 20 µg

Lane 2:

HEK293 (Human epithelial cell line from embryonic kidney) Whole Cell Lysate at 20 µg

Lane 3:

Jurkat (Human T cell lymphoblast-like cell line) Whole cell lysate at 20 µg

Lane 4:

A549 (Human lung carcinoma cell line) Whole cell lysate at 20 µg

Lane 5:

NIH 3T3 (Mouse embryonic fibroblast cell line) Whole Cell Lysate at 20 µg

Lane 6:

PC12 (Rat adrenal gland pheochromocytoma cell line) Whole Cell Lysate at 20 µg

Lane 7:

HUVEC (Human umbilical vein endothelial cell line) Whole cell lysate at 20 µg

Lane 8:

A431 (Human epidermoid carcinoma cell line) Whole cell lysate at 20 µg

Lane 9:

Daudi (Human Burkitt's lymphoma cell line) Whole cell lysate at 20 µg

Lane 10:

Caco 2 (Human colorectal adenocarcinoma cell line) Whole Cell Lysate at 20 µg

Secondary

All lanes:

IRDye® 800CW Goat Anti-Rabbit at 1/10000 dilution

Predicted band size: 53 kDa

Observed band size: 53 kDa

false

Western blot - Anti-Vimentin antibody [EPR3776] - Cytoskeleton Marker (AB92547)
  • WB

Lab

Western blot - Anti-Vimentin antibody [EPR3776] - Cytoskeleton Marker (AB92547)

Blocking buffer : 5% NFDM/TBST
Dilution buffer : 5% NFDM/TBST

All lanes:

Western blot - Anti-Vimentin antibody [EPR3776] - Cytoskeleton Marker (ab92547) at 1/20000 dilution

All lanes:

COS-1 (African green monkey kidney fibroblast-like cell line) cell lysate at 20 µg

Secondary

All lanes:

HRP goat anti-rabbit IgG (H+L) at 1/1000 dilution

Predicted band size: 53 kDa

Observed band size: 54 kDa

false

OI-RD Scanning - Anti-Vimentin antibody [EPR3776] - Cytoskeleton Marker (AB92547)
  • OI-RD Scanning

Unknown

OI-RD Scanning - Anti-Vimentin antibody [EPR3776] - Cytoskeleton Marker (AB92547)

We have systematically measured KD (the equilibrium dissociation constant between the antibody and its antigen), of more than 840 recombinant antibodies to assess not only their individual KD values but also to see the average affinity of antibody. Based on the comparison with published literature values for mouse monoclonal antibodies, Recombinant antibodies appear to be on average 1-2 order of magnitude higher affinity.

関連する標識済み抗体及び組成の異なる製品 (11)

  • 565 Alexa Fluor® 555

    Alexa Fluor® 555 Anti-Vimentin antibody [EPR3776] - Cytoskeleton Marker

  • 421 Alexa Fluor® 405

    Alexa Fluor® 405 Anti-Vimentin antibody [EPR3776] - Cytoskeleton Marker

  • 578 PE

    PE Anti-Vimentin antibody [EPR3776] - Cytoskeleton Marker

  • HRP

    HRP Anti-Vimentin antibody [EPR3776] - Cytoskeleton Marker

  • 617 Alexa Fluor® 594

    Alexa Fluor® 594 Anti-Vimentin antibody [EPR3776] - Cytoskeleton Marker

  • 519 Alexa Fluor® 488

    Alexa Fluor® 488 Anti-Vimentin antibody [EPR3776] - Cytoskeleton Marker

  • 665 Alexa Fluor® 647

    Alexa Fluor® 647 Anti-Vimentin antibody [EPR3776] - Cytoskeleton Marker

  • Carrier free

    Anti-Vimentin antibody [EPR3776] - BSA and Azide free

  • 603 Alexa Fluor® 568

    Alexa Fluor® 568 Anti-Vimentin antibody [EPR3776] - Cytoskeleton Marker

  • 660 APC

    APC Anti-Vimentin antibody [EPR3776] - Cytoskeleton Marker

  • 775 Alexa Fluor® 750

    Alexa Fluor® 750 Anti-Vimentin antibody [EPR3776] - Cytoskeleton Marker

Key facts

宿主種

Rabbit

クローン性

Monoclonal

クローン番号

EPR3776

アイソタイプ

IgG

キャリアフリー

No

交差種

Mouse, Rat, Human, African green monkey

アプリケーション

ICC/IF, mIHC, WB, IHC-P, Flow Cyt (Intra)

applications

免疫原

The exact immunogen used to generate this antibody is proprietary information.

Reactivity data

{ "title": "Reactivity Data", "filters": { "stats": ["", "Species", "Dilution Info", "Notes"], "tabs": { "all-applications": {"fullname" : "All Applications", "shortname": "All Applications"}, "mIHC" : {"fullname" : "Multiplex immunohistochemistry", "shortname":"mIHC"}, "IHCP" : {"fullname" : "Immunohistochemistry (Formalin/PFA-fixed paraffin-embedded sections)", "shortname":"IHC-P"}, "WB" : {"fullname" : "Western blot", "shortname":"WB"}, "ICCIF" : {"fullname" : "Immunocytochemistry/ Immunofluorescence", "shortname":"ICC/IF"}, "FlowCytIntra" : {"fullname" : "Flow Cytometry (Intracellular)", "shortname":"Flow Cyt (Intra)"} }, "product-promise": { "all": "all", "testedAndGuaranteed": "tested", "guaranteed": "expected", "predicted": "predicted", "notRecommended": "not-recommended" } }, "values": { "Human": { "mIHC-species-checked": "testedAndGuaranteed", "mIHC-species-dilution-info": "", "mIHC-species-notes": "<p></p>", "IHCP-species-checked": "testedAndGuaranteed", "IHCP-species-dilution-info": "1/200 - 1/500", "IHCP-species-notes": "<p></p> Perform heat-mediated antigen retrieval with citrate buffer pH 6 before commencing with IHC staining protocol.", "WB-species-checked": "testedAndGuaranteed", "WB-species-dilution-info": "1/1000 - 1/5000", "WB-species-notes": "<p></p>", "ICCIF-species-checked": "testedAndGuaranteed", "ICCIF-species-dilution-info": "2 µg/mL", "ICCIF-species-notes": "<p>This product gave a positive signal in HeLa (VIM knockout HeLa cells were used as a negative control) fixed with 4% formaldehyde (10 min) and 100% methanol (5 min).</p>", "FlowCytIntra-species-checked": "testedAndGuaranteed", "FlowCytIntra-species-dilution-info": "1/50 - 1/500", "FlowCytIntra-species-notes": "<p><a href='/products/primary-antibodies/rabbit-igg-monoclonal-epr25a-isotype-control-ab172730'>ab172730</a> - Rabbit monoclonal IgG, is suitable for use as an isotype control with this antibody.</p>" }, "Mouse": { "mIHC-species-checked": "guaranteed", "mIHC-species-dilution-info": "", "mIHC-species-notes": "", "IHCP-species-checked": "testedAndGuaranteed", "IHCP-species-dilution-info": "1/200 - 1/500", "IHCP-species-notes": "<p></p> Perform heat-mediated antigen retrieval with citrate buffer pH 6 before commencing with IHC staining protocol.", "WB-species-checked": "testedAndGuaranteed", "WB-species-dilution-info": "1/1000 - 1/5000", "WB-species-notes": "<p></p>", "ICCIF-species-checked": "guaranteed", "ICCIF-species-dilution-info": "", "ICCIF-species-notes": "", "FlowCytIntra-species-checked": "guaranteed", "FlowCytIntra-species-dilution-info": "", "FlowCytIntra-species-notes": "" }, "Rat": { "mIHC-species-checked": "guaranteed", "mIHC-species-dilution-info": "", "mIHC-species-notes": "", "IHCP-species-checked": "testedAndGuaranteed", "IHCP-species-dilution-info": "1/200 - 1/500", "IHCP-species-notes": "<p></p> Perform heat-mediated antigen retrieval with citrate buffer pH 6 before commencing with IHC staining protocol.", "WB-species-checked": "testedAndGuaranteed", "WB-species-dilution-info": "1/1000 - 1/5000", "WB-species-notes": "<p></p>", "ICCIF-species-checked": "guaranteed", "ICCIF-species-dilution-info": "", "ICCIF-species-notes": "", "FlowCytIntra-species-checked": "guaranteed", "FlowCytIntra-species-dilution-info": "", "FlowCytIntra-species-notes": "" }, "African green monkey": { "mIHC-species-checked": "guaranteed", "mIHC-species-dilution-info": "", "mIHC-species-notes": "", "IHCP-species-checked": "guaranteed", "IHCP-species-dilution-info": "", "IHCP-species-notes": "", "WB-species-checked": "testedAndGuaranteed", "WB-species-dilution-info": "1/1000 - 1/5000", "WB-species-notes": "<p></p>", "ICCIF-species-checked": "guaranteed", "ICCIF-species-dilution-info": "", "ICCIF-species-notes": "", "FlowCytIntra-species-checked": "guaranteed", "FlowCytIntra-species-dilution-info": "", "FlowCytIntra-species-notes": "" }, "Cat": { "mIHC-species-checked": "predicted", "mIHC-species-dilution-info": "", "mIHC-species-notes": "", "IHCP-species-checked": "predicted", "IHCP-species-dilution-info": "", "IHCP-species-notes": "", "WB-species-checked": "predicted", "WB-species-dilution-info": "", "WB-species-notes": "", "ICCIF-species-checked": "predicted", "ICCIF-species-dilution-info": "", "ICCIF-species-notes": "", "FlowCytIntra-species-checked": "predicted", "FlowCytIntra-species-dilution-info": "", "FlowCytIntra-species-notes": "" }, "Pig": { "mIHC-species-checked": "predicted", "mIHC-species-dilution-info": "", "mIHC-species-notes": "", "IHCP-species-checked": "predicted", "IHCP-species-dilution-info": "", "IHCP-species-notes": "", "WB-species-checked": "predicted", "WB-species-dilution-info": "", "WB-species-notes": "", "ICCIF-species-checked": "predicted", "ICCIF-species-dilution-info": "", "ICCIF-species-notes": "", "FlowCytIntra-species-checked": "predicted", "FlowCytIntra-species-dilution-info": "", "FlowCytIntra-species-notes": "" }, "Rhesus monkey": { "mIHC-species-checked": "predicted", "mIHC-species-dilution-info": "", "mIHC-species-notes": "", "IHCP-species-checked": "predicted", "IHCP-species-dilution-info": "", "IHCP-species-notes": "", "WB-species-checked": "predicted", "WB-species-dilution-info": "", "WB-species-notes": "", "ICCIF-species-checked": "predicted", "ICCIF-species-dilution-info": "", "ICCIF-species-notes": "", "FlowCytIntra-species-checked": "predicted", "FlowCytIntra-species-dilution-info": "", "FlowCytIntra-species-notes": "" } } }

製品の詳細

Anti-Vimentin antibody [EPR3776] - Cytoskeleton Marker (ab92547) was developed by Abcam using patented rabbit monoclonal antibody technology and is validated for use in Flow Cyt (Intra), ICC/IF, IHC-P, WB and mIHC.

Anti-Vimentin antibody [EPR3776] - Cytoskeleton Marker (ab92547) was first used in a scientific publication in 1976 and has been cited over 1733 times in peer reviewed journals. It's performance in IHC, Western Blot and immunofluorescence in human and mouse samples is trusted by the scientific community.

Abcam's high quality manufacturing and validation processes ensure Anti-Vimentin antibody [EPR3776] - Cytoskeleton Marker (ab92547) has high sensitivity and specificity alongside high lot-to-lot consistency and reproducibility.

The specificity of Anti-Vimentin antibody [EPR3776] - Cytoskeleton Marker (ab92547) has been confirmed by Western Blot testing in Vimentin knockout A549 cells (ab288984).

Anti-Vimentin antibody [EPR3776] - Cytoskeleton Marker (ab92547) has 91 independent reviews from customers.

Vimentin antibodies are often used as loading controls in Western Blot. Anti-Vimentin antibody [EPR3776] - Cytoskeleton Marker has been verified in Western Blot samples and detects a band at 54kDa Molecular weight.

Anti-Vimentin antibody [EPR3776] - Cytoskeleton Marker (ab92547) specifically detects Vimentin (UniProt ID: P08670; Molecular weight: 54kDa) and is sold in a convenient trial size to enable initial testing (20 µL) and larger sizes for subsequent scaling up experiments (100 µL and 1 mL).

Conjugation-ready, carrier free format available for antibody clone EPR3776 - ab193555.

Antibody clone EPR3776 is also available pre-conjugated to a variety of labels for your convenience - Alexa Fluor® 594, Alexa Fluor® 488, HRP, Alexa Fluor® 647, Alexa Fluor® 568, Alexa Fluor® 555, PE, Alexa Fluor® 405, APC, Alexa Fluor® 750 (ab154207, ab185030, ab194718, ab194719, ab202504, ab203428, ab209446, ab210152, ab314250, ab321763).

Vimentin is a protein that supports the structural integrity of cells and is often upregulated in cancer cells, contributing to their aggressive behaviour. It plays a role in cancer progression and metastasis, helping tumors evade the immune system.

Patented technology
Our RabMAb® technology is a patented hybridoma-based technology for making rabbit monoclonal antibodies. For details on our patents, please refer to RabMAb® patents.

What are the advantages of a recombinant monoclonal antibody?
This product is a recombinant monoclonal antibody, which offers several advantages including:

  • - High batch-to-batch consistency and reproducibility
  • - Improved sensitivity and specificity
  • - Long-term security of supply
  • - Animal-free batch production

For more information, read more on recombinant antibodies.

出荷温度及び保存条件

製品の状態
Liquid
精製方法
Affinity purification Protein A
バッファー組成
pH: 7.2 - 7.4 Preservative: 0.01% Sodium azide Constituents: PBS, 40% Glycerol (glycerin, glycerine), 0.05% BSA
出荷温度
Blue Ice
短期保存期間
1-2 weeks
短期保存温度
+4°C
長期保存温度
-20°C
分注に関する情報
Upon delivery aliquot
保管に関する情報
Avoid freeze / thaw cycle

補足情報

This supplementary information is collated from multiple sources and compiled automatically.

Vimentin also known by its scientific name VIM is a type of intermediate filament protein that forms part of the cytoskeleton. It has a molecular mass of approximately 57 kDa. Vimentin is expressed in various cell types including mesenchymal cells fibroblasts and endothelial cells. This protein maintains cell integrity and provides resistance against stress by organizing cellular architecture and anchoring organelles. Researchers often use antibodies such as anti-vimentin or anti-mouse vimentin to study its expression and functions in cell biology.
Biological function summary

The role of vimentin involves providing structural support and participating in processes like cell division and wound healing. Vimentin forms complexes with other cytoskeletal proteins significantly impacting cell shape and mobility. Its involvement in cellular stability becomes paramount during events requiring cellular reorganization such as embryogenesis and inflammation. These functions are frequently observed using labeled antibodies like Alexa Fluor 568 and Alexa Fluor 647 for fluorescent imaging.

Pathways

Vimentin plays a role in the epithelial-to-mesenchymal transition (EMT) and interacts within the TGF-beta signaling pathway. It works alongside proteins like N-cadherin and fibronectin in the EMT pathway contributing to increased cell motility and survival. This involvement positions vimentin as a control point reflecting changes in cell phenotypes under physiological and pathological conditions.

Vimentin has relevance in cancer metastasis and cardiovascular diseases. Its aberrant expression correlates with tumor progression and metastatic potential by affecting cell movement and invasion. Vimentin also associates with proteins like collagen and integrins in the context of cardiovascular pathologies influencing vascular stiffness and remodelling. By targeting vimentin researchers aim to understand intervention strategies that may mitigate these diseases.

製品プロトコール

For this product, it's our understanding that no specific protocols are required. You can visit:

ターゲットの情報

Vimentin, a class-III intermediate filament, is present in various non-epithelial cells, particularly mesenchymal cells, and connects either laterally or terminally to the nucleus, endoplasmic reticulum, and mitochondria. It is involved with LARP6 in stabilizing type I collagen mRNAs for CO1A1 and CO1A2. This supplementary information is collated from multiple sources and compiled automatically.
See full target information VIM

文献 (2422)

Recent publications for all applications. Explore the full list and refine your search

BMC cancer 25:1512 PubMed41053731

2025

NFKBIE as a prognostic biomarker and therapeutic target for GBM: role in Hedgehog signaling activation.

Applications

Unspecified application

Species

Unspecified reactive species

Feng Mo,Yang Li,Ce Dong,Lijun Yang,Xiaoli Ma,Baogen Pan,Zhenzeng Fan

Journal of orthopaedic surgery and research 20:862 PubMed41024237

2025

KDM6B promotes ferroptosis in rheumatoid arthritis fibroblast-like synoviocytes via the miR-128-3p/SLC7A11 axis through H3K27me3 modification.

Applications

Unspecified application

Species

Unspecified reactive species

Bin Wang,Song Gao,Zongwei Liu,Yan Cong,Chuansheng Wu

Stem cell research & therapy 16:526 PubMed41024282

2025

MSCs-derived HGF alleviates senescence after AKI by modulating mitoSTAT3-controlled copper flux and respiration.

Applications

Unspecified application

Species

Unspecified reactive species

Kaiting Zhuang,Wenjuan Wang,Cheng Xu,Siyang Wang,Yuhao Chen,Yingjie Zhang,Yanjun Liang,Xumin Zheng,Xiangmei Chen,Zhe Feng,Guangyan Cai

World journal of surgical oncology 23:350 PubMed41024019

2025

SUZ12 knockdown restrains the proliferation, migration, and invasion of oral tongue squamous cell carcinoma through inhibiting DNMT1-mediated ZNF582 promoter methylation.

Applications

Unspecified application

Species

Unspecified reactive species

Xiangwei Kong,Yicheng Cheng,Lin Zhang,Wei Yin,Chenchen Wang,Zhan'ao Wu

Scientific reports 15:33117 PubMed41006434

2025

Effects of Slit2 on hypertrophic scar formation: an in vitro study in fibroblasts.

Applications

Unspecified application

Species

Unspecified reactive species

Hui Song Cui,Yoon Soo Cho,So Young Joo,Ya Xin Zheng,Yu Mi Ro,Kibum Jeon,Cheong Hoon Seo

International journal of molecular sciences 26: PubMed41009369

2025

PAFAH1B3 Exists in Linear Chromosomal and Extrachromosomal Circular DNA and Promotes HCC Progression via EMT.

Applications

Unspecified application

Species

Unspecified reactive species

Dandan Li,Huishan Sun,Yingjie Wang,Yicong Yin,Ying Zhu,Xia Qian,Shanshan Wang,Longhao Zhang,Haitao Zhao,Ling Qiu

Medical sciences (Basel, Switzerland) 13: PubMed40981193

2025

Mast Cell Association with the Microenvironment of a Phosphaturic Mesenchymal Tumour Secreting Fibroblast Growth Factor 23.

Applications

Unspecified application

Species

Unspecified reactive species

Andrey Kostin,Alexei Lyundup,Alexander Alekhnovich,Aleksandra Prikhodko,Olga Patsap,Sofia Gronskaia,Zhanna Belaya,Olga Lesnyak,Galina Melnichenko,Natalia Mokrysheva,Igor Buchwalow,Markus Tiemann,Dmitrii Atiakshin

Science advances 11:eadw4609 PubMed40971433

2025

Nipah virus matrix protein uses cortical actin to stabilize the virus assembly sites and promote budding.

Applications

Unspecified application

Species

Unspecified reactive species

Jingjing Wang,Vicky Kliemke,Mengyu Zhang,Jinxin Liu,Giuliana Leonarda Matta,Qian Wang,Yuhang Luo,GuanQun Liu,Qian Liu

iScience 28:113401 PubMed40970196

2025

Mesenchymal stromal cell secretome-induced synaptogenesis is mediated by thrombospondin-1.

Applications

Unspecified application

Species

Unspecified reactive species

Diogo Tomé,Luís F Martins,Miguel Aroso,Henrique Santos,Rui O Costa,João L Afonso,Sofia C Serra,Paulo Aguiar,Carlos B Duarte,João Peça,Paulo S Pinheiro,António J Salgado,Ramiro D Almeida

Cancers 17: PubMed40941029

2025

A Novel Nuclear-Localized Micropeptide, MP60, Promotes Hepatocellular Carcinoma Progression via the Epithelial-Mesenchymal Transition.

Applications

Unspecified application

Species

Unspecified reactive species

Chencheng Li,Xiu Hong,Sarra Setrerrahmane,Xiaoyi Sun,Xue Zhang,Hanmei Xu
View all publications

Abcam product promise

当社は、高品質な試薬を通じてお客様の研究を力強くサポートすることをお約束いたします。ご使用いただく各段階で、常にお客様をサポートできる体制を整えております。万が一、製品が期待通りに機能しない場合は、「Abcam Product Promise」による当社保証制度に基づき、安心してご利用いただけます。
保証に関する詳細については利用規約をご確認ください。

Please note: All products are 'FOR RESEARCH USE ONLY. NOT FOR USE IN DIAGNOSTIC OR THERAPEUTIC PROCEDURES'.

For licensing inquiries, please contact partnerships@abcam.com