JavaScript is disabled in your browser. Please enable JavaScript to view this website.
AB317030

Anti-VEGF Receptor 3 抗体 [EPR28713-56]

Anti-VEGF Receptor 3 antibody [EPR28713-56]

  • BOND RX™ Validated
  • 20ul selling size
  • Recombinant
  • RabMAb
  • 詳細を見る

Be the first to review this product! Submit a review

|

(1 Publication)

Rabbit Recombinant Monoclonal VEGF Receptor 3 antibody. Suitable for IHC-P and reacts with Human, Mouse, Rat samples. Cited in 1 publication.

別名を表示する

VEGFR3, Vascular endothelial growth factor receptor 3, VEGFR-3, Fms-like tyrosine kinase 4, Tyrosine-protein kinase receptor FLT4, FLT-4

8 Images
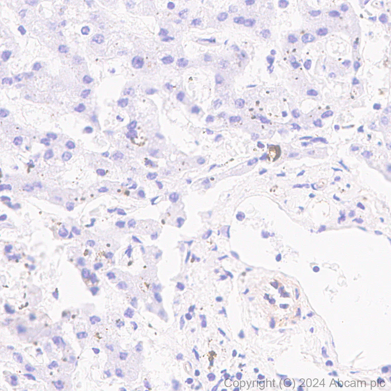
Immunohistochemistry (Formalin/PFA-fixed paraffin-embedded sections) - Anti-VEGF Receptor 3 antibody [EPR28713-56] (AB317030)
  • IHC-P

Supplier Data

Immunohistochemistry (Formalin/PFA-fixed paraffin-embedded sections) - Anti-VEGF Receptor 3 antibody [EPR28713-56] (AB317030)

Immunohistochemical analysis of paraffin-embedded Human liver tissue labeling VEGF Receptor 3 with ab317030 at 1/1000 (0.489 ug/ml) dilution, followed by a ready to use LeicaDS9800 (Bond™ Polymer Refine Detection).

Low expression tissue : Almost no staining on human liver.
The section was incubated with ab317030 for 30 mins at room temperature.
The immunostaining was performed on a Leica Biosystems BOND® RX instrument
Incubate slides with 3% Hydrogen Peroxide for 10 mins at room temperature after secondary antibody incubation to reduce the background.

Counterstained with Hematoxylin.

Secondary antibody only control : Secondary antibody is a ready to use LeicaDS9800 (Bond™ Polymer Refine Detection).

Heat mediated antigen retrieval was performed with Tris-EDTA buffer (pH 9.0, Epitope Retrieval Solution2) for 20 mins

Immunohistochemistry (Formalin/PFA-fixed paraffin-embedded sections) - Anti-VEGF Receptor 3 antibody [EPR28713-56] (AB317030)
  • IHC-P

Supplier Data

Immunohistochemistry (Formalin/PFA-fixed paraffin-embedded sections) - Anti-VEGF Receptor 3 antibody [EPR28713-56] (AB317030)

Immunohistochemical analysis of paraffin-embedded Human spleen tissue labeling VEGF Receptor 3 with ab317030 at 1/1000 (0.489 ug/ml) dilution, followed by a ready to use LeicaDS9800 (Bond™ Polymer Refine Detection).

Membranous staining on vascular structure of human spleen.
The section was incubated with ab317030 for 30 mins at room temperature.
The immunostaining was performed on a Leica Biosystems BOND® RX instrument
Incubate slides with 3% Hydrogen Peroxide for 10 mins at room temperature after secondary antibody incubation to reduce the background.

Counterstained with Hematoxylin.

Secondary antibody only control : Secondary antibody is a ready to use LeicaDS9800 (Bond™ Polymer Refine Detection).

Heat mediated antigen retrieval was performed with Tris-EDTA buffer (pH 9.0, Epitope Retrieval Solution2) for 20 mins

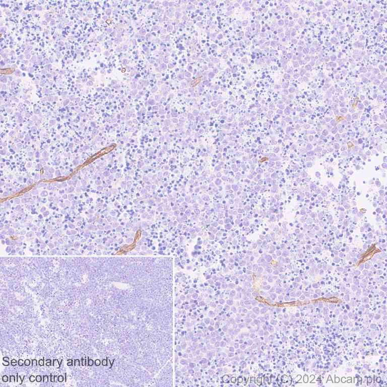
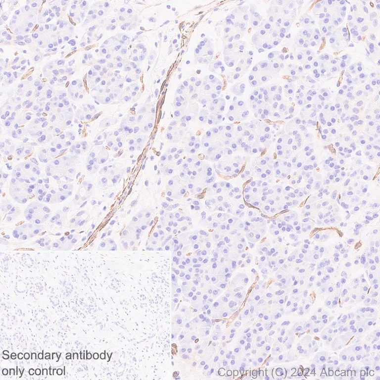
Immunohistochemistry (Formalin/PFA-fixed paraffin-embedded sections) - Anti-VEGF Receptor 3 antibody [EPR28713-56] (AB317030)
  • IHC-P

Supplier Data

Immunohistochemistry (Formalin/PFA-fixed paraffin-embedded sections) - Anti-VEGF Receptor 3 antibody [EPR28713-56] (AB317030)

Immunohistochemical analysis of paraffin-embedded Human adenocarcinoma of pancreas tissue labeling VEGF Receptor 3 with ab317030 at 1/1000 (0.489 ug/ml) dilution, followed by a ready to use LeicaDS9800 (Bond™ Polymer Refine Detection).

Membranous staining on vascular structure of human adenocarcinoma of pancreas .
The section was incubated with ab317030 for 30 mins at room temperature.
Incubate slides with 3% Hydrogen Peroxide for 10 mins at room temperature after secondary antibody incubation to reduce the background.
The immunostaining was performed on a Leica Biosystems BOND® RX instrument

Counterstained with Hematoxylin.

Secondary antibody only control : Secondary antibody is a ready to use LeicaDS9800 (Bond™ Polymer Refine Detection).

Heat mediated antigen retrieval was performed with Tris-EDTA buffer (pH 9.0, Epitope Retrieval Solution2) for 20 mins

Immunohistochemistry (Formalin/PFA-fixed paraffin-embedded sections) - Anti-VEGF Receptor 3 antibody [EPR28713-56] (AB317030)
  • IHC-P

Supplier Data

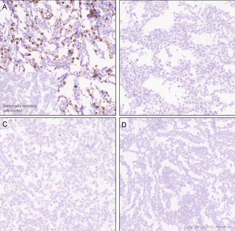
Immunohistochemistry (Formalin/PFA-fixed paraffin-embedded sections) - Anti-VEGF Receptor 3 antibody [EPR28713-56] (AB317030)

Immunohistochemical analysis of paraffin-embedded transfected HEK-293T cells labeling VEGF Receptor 3 with ab317030 for 30 mins at room temperature at 1/500 dilution followed by a ready to use LeicaDS9800 (Bond™ Polymer Refine Detection).

HEK-293T cells transfected with :
(A) VEGF Receptor 3 expression vector containing a his tag.
(B) VEGF Receptor 2 expression vector containing a his tag.
(C) VEGF Receptor 1 expression vector containing a his tag.
(D) empty vector containing a his tag.

This antibody does not cross-react with human VEGF Receptor 1 and VEGF Receptor 2.

Positive staining on HEK-293T transfected with a VEGFR3 expression vector (A). No staining on HEK-293T transfected with VEGFR2, VEGFR1, or empty expression vector (B, C, D).

Counterstained with Hematoxylin.

Secondary antibody only control : Secondary antibody is a ready to use LeicaDS9800 (Bond™ Polymer Refine Detection).

Heat mediated antigen retrieval was performed with Tris-EDTA buffer (pH 9.0, Epitope Retrieval Solution2) for 20 mins.

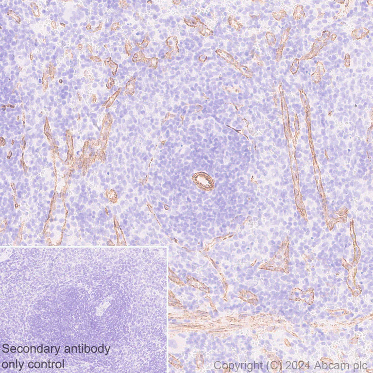
Immunohistochemistry (Formalin/PFA-fixed paraffin-embedded sections) - Anti-VEGF Receptor 3 antibody [EPR28713-56] (AB317030)
  • IHC-P

Supplier Data

Immunohistochemistry (Formalin/PFA-fixed paraffin-embedded sections) - Anti-VEGF Receptor 3 antibody [EPR28713-56] (AB317030)

Immunohistochemical analysis of paraffin-embedded Human tonsil tissue labeling VEGF Receptor 3 with ab317030 at 1/1000 (0.489 ug/ml) dilution, followed by a ready to use LeicaDS9800 (Bond™ Polymer Refine Detection).

Membranous staining on vascular structure of human tonsil (PMID : 12019293).
The section was incubated with ab317030 for 30 mins at room temperature.
The immunostaining was performed on a Leica Biosystems BOND® RX instrument
Incubate slides with 3% Hydrogen Peroxide for 10 mins at room temperature after secondary antibody incubation to reduce the background.

Counterstained with Hematoxylin.

Secondary antibody only control : Secondary antibody is a ready to use LeicaDS9800 (Bond™ Polymer Refine Detection).

Heat mediated antigen retrieval was performed with Tris-EDTA buffer (pH 9.0, Epitope Retrieval Solution2) for 20 mins

Immunohistochemistry (Formalin/PFA-fixed paraffin-embedded sections) - Anti-VEGF Receptor 3 antibody [EPR28713-56] (AB317030)
  • IHC-P

Supplier Data

Immunohistochemistry (Formalin/PFA-fixed paraffin-embedded sections) - Anti-VEGF Receptor 3 antibody [EPR28713-56] (AB317030)

Immunohistochemical analysis of paraffin-embedded Mouse spleen tissue labeling VEGF Receptor 3 with ab317030 at 1/1000 (0.489 ug/ml) dilution, followed by a ready to use LeicaDS9800 (Bond™ Polymer Refine Detection).

Membranous staining on vascular structure of mouse spleen.
The section was incubated with ab317030 for 30 mins at room temperature.
The immunostaining was performed on a Leica Biosystems BOND® RX instrument
Incubate slides with 3% Hydrogen Peroxide for 10 mins at room temperature after secondary antibody incubation to reduce the background.

Counterstained with Hematoxylin.

Secondary antibody only control : Secondary antibody is a ready to use LeicaDS9800 (Bond™ Polymer Refine Detection).

Heat mediated antigen retrieval was performed with Tris-EDTA buffer (pH 9.0, Epitope Retrieval Solution2) for 20 mins

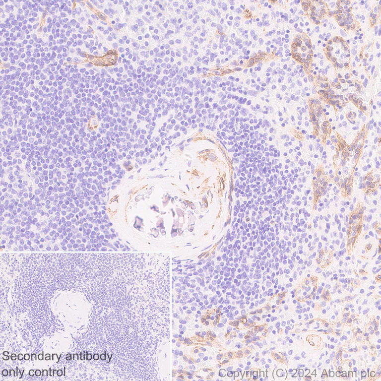
Immunohistochemistry (Formalin/PFA-fixed paraffin-embedded sections) - Anti-VEGF Receptor 3 antibody [EPR28713-56] (AB317030)
  • IHC-P

Supplier Data

Immunohistochemistry (Formalin/PFA-fixed paraffin-embedded sections) - Anti-VEGF Receptor 3 antibody [EPR28713-56] (AB317030)

Immunohistochemical analysis of paraffin-embedded Mouse Burkitt's lymphoma tissue labeling VEGF Receptor 3 with ab317030 at 1/1000 (0.489 ug/ml) dilution, followed by a ready to use LeicaDS9800 (Bond™ Polymer Refine Detection).

Membranous staining on vascular structure of mouse Burkitt's lymphoma.
The section was incubated with ab317030 for 30 mins at room temperature.
The immunostaining was performed on a Leica Biosystems BOND® RX instrument
Incubate slides with 3% Hydrogen Peroxide for 10 mins at room temperature after secondary antibody incubation to reduce the background.

Counterstained with Hematoxylin.

Secondary antibody only control : Secondary antibody is a ready to use LeicaDS9800 (Bond™ Polymer Refine Detection).

Heat mediated antigen retrieval was performed with Tris-EDTA buffer (pH 9.0, Epitope Retrieval Solution2) for 20 mins

Immunohistochemistry (Formalin/PFA-fixed paraffin-embedded sections) - Anti-VEGF Receptor 3 antibody [EPR28713-56] (AB317030)
  • IHC-P

Supplier Data

Immunohistochemistry (Formalin/PFA-fixed paraffin-embedded sections) - Anti-VEGF Receptor 3 antibody [EPR28713-56] (AB317030)

Immunohistochemical analysis of paraffin-embedded Rat spleen tissue labeling VEGF Receptor 3 with ab317030 at 1/1000 (0.489 ug/ml) dilution, followed by a ready to use LeicaDS9800 (Bond™ Polymer Refine Detection).

Membranous staining on vascular structure of rat spleen.
The section was incubated with ab317030 for 30 mins at room temperature.
The immunostaining was performed on a Leica Biosystems BOND® RX instrument
Incubate slides with 3% Hydrogen Peroxide for 10 mins at room temperature after secondary antibody incubation to reduce the background.

Counterstained with Hematoxylin.

Secondary antibody only control : Secondary antibody is a ready to use LeicaDS9800 (Bond™ Polymer Refine Detection).

Heat mediated antigen retrieval was performed with Tris-EDTA buffer (pH 9.0, Epitope Retrieval Solution2) for 20 mins

関連する標識済み抗体及び組成の異なる製品 (1)

  • Carrier free

    Anti-VEGF Receptor 3 antibody [EPR28713-56] - BSA and Azide free

Key facts

宿主種

Rabbit

クローン性

Monoclonal

クローン番号

EPR28713-56

アイソタイプ

IgG

キャリアフリー

No

交差種

Human, Mouse, Rat

アプリケーション

IHC-P

applications

免疫原

The exact immunogen used to generate this antibody is proprietary information.

特異性

This antibody does not cross-react with human VEGF Receptor 1 and VEGF Receptor 2.

Reactivity data

{ "title": "Reactivity Data", "filters": { "stats": ["", "Species", "Dilution Info", "Notes"], "tabs": { "all-applications": {"fullname" : "All Applications", "shortname": "All Applications"}, "IHCP" : {"fullname" : "Immunohistochemistry (Formalin/PFA-fixed paraffin-embedded sections)", "shortname":"IHC-P"}, "WB" : {"fullname" : "Western blot", "shortname":"WB"}, "ICCIF" : {"fullname" : "Immunocytochemistry/ Immunofluorescence", "shortname":"ICC/IF"}, "FlowCyt" : {"fullname" : "Flow Cytometry", "shortname":"Flow Cyt"}, "IP" : {"fullname" : "Immunoprecipitation", "shortname":"IP"} }, "product-promise": { "all": "all", "testedAndGuaranteed": "tested", "guaranteed": "expected", "predicted": "predicted", "notRecommended": "not-recommended" } }, "values": { "Human": { "IHCP-species-checked": "testedAndGuaranteed", "IHCP-species-dilution-info": "1/1000", "IHCP-species-notes": "<p></p> Perform heat-mediated antigen retrieval with Tris/EDTA buffer pH 9.0 before commencing with IHC staining protocol.", "WB-species-checked": "notRecommended", "WB-species-dilution-info": "", "WB-species-notes": "<p></p>", "ICCIF-species-checked": "notRecommended", "ICCIF-species-dilution-info": "", "ICCIF-species-notes": "<p></p>", "FlowCyt-species-checked": "notRecommended", "FlowCyt-species-dilution-info": "", "FlowCyt-species-notes": "<p></p>", "IP-species-checked": "notRecommended", "IP-species-dilution-info": "", "IP-species-notes": "<p></p>" }, "Mouse": { "IHCP-species-checked": "testedAndGuaranteed", "IHCP-species-dilution-info": "1/1000", "IHCP-species-notes": "<p></p> Perform heat-mediated antigen retrieval with Tris/EDTA buffer pH 9.0 before commencing with IHC staining protocol.", "WB-species-checked": "notRecommended", "WB-species-dilution-info": "", "WB-species-notes": "<p></p>", "ICCIF-species-checked": "notRecommended", "ICCIF-species-dilution-info": "", "ICCIF-species-notes": "<p></p>", "FlowCyt-species-checked": "notRecommended", "FlowCyt-species-dilution-info": "", "FlowCyt-species-notes": "", "IP-species-checked": "notRecommended", "IP-species-dilution-info": "", "IP-species-notes": "" }, "Rat": { "IHCP-species-checked": "testedAndGuaranteed", "IHCP-species-dilution-info": "1/1000", "IHCP-species-notes": "<p></p> Perform heat-mediated antigen retrieval with Tris/EDTA buffer pH 9.0 before commencing with IHC staining protocol.", "WB-species-checked": "notRecommended", "WB-species-dilution-info": "", "WB-species-notes": "<p></p>", "ICCIF-species-checked": "notRecommended", "ICCIF-species-dilution-info": "", "ICCIF-species-notes": "", "FlowCyt-species-checked": "notRecommended", "FlowCyt-species-dilution-info": "", "FlowCyt-species-notes": "", "IP-species-checked": "notRecommended", "IP-species-dilution-info": "", "IP-species-notes": "" } } }

製品の詳細

Patented technology
Our RabMAb® technology is a patented hybridoma-based technology for making rabbit monoclonal antibodies. For details on our patents, please refer to RabMAb® patents.

What are the advantages of a recombinant monoclonal antibody?
This product is a recombinant monoclonal antibody, which offers several advantages including:

  • - High batch-to-batch consistency and reproducibility
  • - Improved sensitivity and specificity
  • - Long-term security of supply
  • - Animal-free batch production

For more information, read more on recombinant antibodies.

出荷温度及び保存条件

製品の状態
Liquid
精製方法
Affinity purification Protein A
バッファー組成
pH: 7.2 - 7.4 Preservative: 0.01% Sodium azide Constituents: PBS, 40% Glycerol (glycerin, glycerine), 0.05% BSA
出荷温度
Blue Ice
短期保存期間
1-2 weeks
短期保存温度
+4°C
長期保存温度
-20°C
分注に関する情報
Upon delivery aliquot
保管に関する情報
Avoid freeze / thaw cycle

補足情報

This supplementary information is collated from multiple sources and compiled automatically.

VEGF Receptor 3 also known as FLT-4 is a protein essential for lymphatic development and is expressed mainly in lymphatic endothelial cells. This receptor has a molecular mass of approximately 195 kDa. VEGF Receptor 3 belongs to the tyrosine kinase family and binds with high affinity to its ligands VEGF-C and VEGF-D. These interactions lead to the activation of intracellular signaling cascades that promote cell proliferation migration and survival.
Biological function summary

The VEGF Receptor 3 acts as an important regulator of lymphangiogenesis which is the growth of new lymphatic vessels from pre-existing ones. It is not typically part of larger protein complexes but it works closely with its ligands to facilitate the processes associated with lymph vessel formation and function. Proper activity of VEGF Receptor 3 is necessary for maintaining normal lymphatic vessel remodeling and function during development and in some adult tissues.

Pathways

The receptor is involved in the VEGF signaling pathway which plays an important role in vascular and lymphatic development. This pathway intersects with others like the PI3K/AKT pathway a critical mediator of cell growth and survival. VEGF Receptor 3 interacts with related receptors such as VEGF Receptor 2 in these pathways to regulate complex and essential physiological processes.

VEGF Receptor 3 has been linked to lymphedema which is swelling due to lymphatic system dysfunction and certain cancers where excessive angiogenesis occurs. Mutations or dysregulations in the receptor's signaling can lead to these conditions. In cancer for instance VEGF Receptor 3 along with its associated protein VEGF-C can promote tumor lymphangiogenesis facilitating metastasis. Antagonists like anti-VEGF therapies target these receptors to inhibit tumor progression and manage these disorders.

製品プロトコール

For this product, it's our understanding that no specific protocols are required. You can visit:

ターゲットの情報

Tyrosine-protein kinase that acts as a cell-surface receptor for VEGFC and VEGFD, and plays an essential role in adult lymphangiogenesis and in the development of the vascular network and the cardiovascular system during embryonic development. Promotes proliferation, survival and migration of endothelial cells, and regulates angiogenic sprouting. Signaling by activated FLT4 leads to enhanced production of VEGFC, and to a lesser degree VEGFA, thereby creating a positive feedback loop that enhances FLT4 signaling. Modulates KDR signaling by forming heterodimers. The secreted isoform 3 may function as a decoy receptor for VEGFC and/or VEGFD and play an important role as a negative regulator of VEGFC-mediated lymphangiogenesis and angiogenesis. Binding of vascular growth factors to isoform 1 or isoform 2 leads to the activation of several signaling cascades; isoform 2 seems to be less efficient in signal transduction, because it has a truncated C-terminus and therefore lacks several phosphorylation sites. Mediates activation of the MAPK1/ERK2, MAPK3/ERK1 signaling pathway, of MAPK8 and the JUN signaling pathway, and of the AKT1 signaling pathway. Phosphorylates SHC1. Mediates phosphorylation of PIK3R1, the regulatory subunit of phosphatidylinositol 3-kinase. Promotes phosphorylation of MAPK8 at 'Thr-183' and 'Tyr-185', and of AKT1 at 'Ser-473'.
See full target information VEGF Receptor 3

文献 (1)

Recent publications for all applications. Explore the full list and refine your search

Frontiers in bioengineering and biotechnology 13:1636932 PubMed41040419

2025

Performance study of ZnO-TPU/CS bilayer composite electrospinning scaffold in skin wound healing.

Applications

Unspecified application

Species

Unspecified reactive species

Jinlong Wang,Guoxing Huang,Quan Qin,Nianhua Dan,Xinlou Li,Kai Sun,Yuan Yang,Meng Wang
View all publications

Abcam product promise

当社は、高品質な試薬を通じてお客様の研究を力強くサポートすることをお約束いたします。ご使用いただく各段階で、常にお客様をサポートできる体制を整えております。万が一、製品が期待通りに機能しない場合は、「Abcam Product Promise」による当社保証制度に基づき、安心してご利用いただけます。
保証に関する詳細については利用規約をご確認ください。

Please note: All products are 'FOR RESEARCH USE ONLY. NOT FOR USE IN DIAGNOSTIC OR THERAPEUTIC PROCEDURES'.

For licensing inquiries, please contact partnerships@abcam.com