JavaScript is disabled in your browser. Please enable JavaScript to view this website.
AB2349

Anti-VEGF Receptor 2 抗体

Anti-VEGF Receptor 2 antibody

4

(17 Reviews)

|

(158 Publications)

Anti-VEGF Receptor 2 antibody (ab2349) is a rabbit polyclonal antibody detecting VEGF Receptor 2 in Flow Cytometry, IP, IHC-P, IHC-Fr, ICC/IF. Suitable for Cow, Dog, Human, Mouse, Rat.

- Over 140 publications
- Trusted since 2002

別名を表示する

CD309, FLK1, VEGFR2, KDR, Vascular endothelial growth factor receptor 2, VEGFR-2, Fetal liver kinase 1, Kinase insert domain receptor, Protein-tyrosine kinase receptor flk-1, FLK-1

4 Images
Immunohistochemistry (Formalin/PFA-fixed paraffin-embedded sections) - Anti-VEGF Receptor 2 antibody (AB2349)
  • IHC-P

PubMed

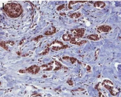
Immunohistochemistry (Formalin/PFA-fixed paraffin-embedded sections) - Anti-VEGF Receptor 2 antibody (AB2349)

Immunohistochemistry (Formalin/PFA-fixed paraffin-embedded sections) analysis of human normal breast tissue labeling VEGF Receptor 2 with ab2349 at 1/200 dilution. Sections were lightly counterstained with hematoxylin.

Image from Arias-Pulido, Hugo et al., BMC Cancer 12 (2012): 298. PMC. Web. 25 Jan. 2017. doi: 10.1186/1471-2407-12-298. Fig 1I. Reproduced under the Creative Commons license http://creativecommons.org/licenses/by/2.0/.

Immunohistochemistry (Formalin/PFA-fixed paraffin-embedded sections) - Anti-VEGF Receptor 2 antibody (AB2349)
  • IHC-P

Supplier Data

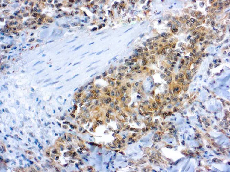
Immunohistochemistry (Formalin/PFA-fixed paraffin-embedded sections) - Anti-VEGF Receptor 2 antibody (AB2349)

Formalin fixed, paraffin-embedded human angiosarcoma tissue stained for VEGF Receptor 2 using ab2349 at 1/50 dilution in immunohistochemical analysis.

Immunohistochemistry (Formalin/PFA-fixed paraffin-embedded sections) - Anti-VEGF Receptor 2 antibody (AB2349)
  • IHC-P

PubMed

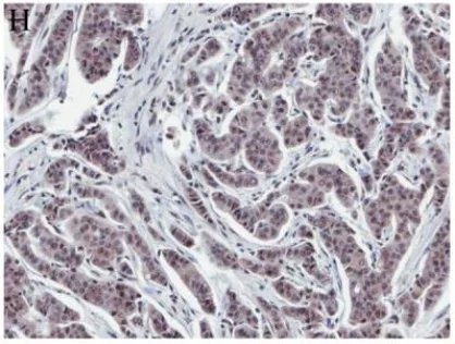
Immunohistochemistry (Formalin/PFA-fixed paraffin-embedded sections) - Anti-VEGF Receptor 2 antibody (AB2349)

Immunohistochemistry (Formalin/PFA-fixed paraffin-embedded sections) analysis of human normal breast tissue labeling VEGF Receptor 2 with ab2349 at 1/200 dilution. Sections were lightly counterstained with hematoxylin.

Image from Arias-Pulido, Hugo et al., BMC Cancer 12 (2012): 298. PMC. Web. 25 Jan. 2017. doi: 10.1186/1471-2407-12-298. Fig 1H. Reproduced under the Creative Commons license http://creativecommons.org/licenses/by/2.0

Immunohistochemistry (Formalin/PFA-fixed paraffin-embedded sections) - Anti-VEGF Receptor 2 antibody (AB2349)
  • IHC-P

AbReview19275****

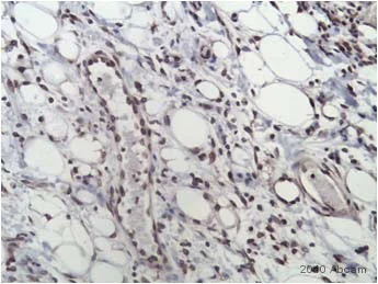
Immunohistochemistry (Formalin/PFA-fixed paraffin-embedded sections) - Anti-VEGF Receptor 2 antibody (AB2349)

ab2349 staining the VEGF Receptor 2 in Mouse skin tissue sections by Immunohistochemistry (IHC-P - formaldehyde-fixed, paraffin-embedded sections). Tissue was fixed with formaldehyde and blocked with 10% serum for 1 hour at room temperature; antigen retrieval was by heat mediation in citrate buffer (pH 6). Samples were incubated with primary antibody (1/100 in PBS + 2% blocking serum) for 16 hours at 4°C. A biotin-conjugated Goat anti-rabbit IgG polyclonal (1/250) was used as the secondary antibody.

This image is courtesy of an Abreview submitted by Manoj Kumar Valluru

Key facts

宿主種

Rabbit

クローン性

Polyclonal

アイソタイプ

IgG

キャリアフリー

No

交差種

Human, Dog, Mouse, Cow, Rat

アプリケーション

IHC-Fr, IP, IHC-P, Flow Cyt, ICC/IF

applications

免疫原

Synthetic Peptide within Mouse Kdr. The exact immunogen used to generate this antibody is proprietary information.

P35918

Reactivity data

{ "title": "Reactivity Data", "filters": { "stats": ["", "Species", "Dilution Info", "Notes"], "tabs": { "all-applications": {"fullname" : "All Applications", "shortname": "All Applications"}, "IHCP" : {"fullname" : "Immunohistochemistry (Formalin/PFA-fixed paraffin-embedded sections)", "shortname":"IHC-P"}, "IP" : {"fullname" : "Immunoprecipitation", "shortname":"IP"}, "FlowCyt" : {"fullname" : "Flow Cytometry", "shortname":"Flow Cyt"}, "ICCIF" : {"fullname" : "Immunocytochemistry/ Immunofluorescence", "shortname":"ICC/IF"}, "IHCFr" : {"fullname" : "Immunohistochemistry (Frozen sections)", "shortname":"IHC-Fr"} }, "product-promise": { "all": "all", "testedAndGuaranteed": "tested", "guaranteed": "expected", "predicted": "predicted", "notRecommended": "not-recommended" } }, "values": { "Human": { "IHCP-species-checked": "testedAndGuaranteed", "IHCP-species-dilution-info": "1/50 - 1/100", "IHCP-species-notes": "<p></p> Perform heat-mediated antigen retrieval with citrate buffer pH 6 before commencing with IHC staining protocol.", "IP-species-checked": "guaranteed", "IP-species-dilution-info": "", "IP-species-notes": "<p></p>", "FlowCyt-species-checked": "guaranteed", "FlowCyt-species-dilution-info": "", "FlowCyt-species-notes": "<p><a href='/products/primary-antibodies/rabbit-igg-polyclonal-isotype-control-chip-grade-ab171870'>ab171870</a> - Rabbit polyclonal IgG, is suitable for use as an isotype control with this antibody.</p>", "ICCIF-species-checked": "guaranteed", "ICCIF-species-dilution-info": "", "ICCIF-species-notes": "<p>See Abreview.</p>", "IHCFr-species-checked": "guaranteed", "IHCFr-species-dilution-info": "", "IHCFr-species-notes": "<p></p>" }, "Mouse": { "IHCP-species-checked": "predicted", "IHCP-species-dilution-info": "", "IHCP-species-notes": "", "IP-species-checked": "guaranteed", "IP-species-dilution-info": "", "IP-species-notes": "<p></p>", "FlowCyt-species-checked": "guaranteed", "FlowCyt-species-dilution-info": "", "FlowCyt-species-notes": "<p><a href='/products/primary-antibodies/rabbit-igg-polyclonal-isotype-control-chip-grade-ab171870'>ab171870</a> - Rabbit polyclonal IgG, is suitable for use as an isotype control with this antibody.</p>", "ICCIF-species-checked": "guaranteed", "ICCIF-species-dilution-info": "", "ICCIF-species-notes": "<p>See Abreview.</p>", "IHCFr-species-checked": "guaranteed", "IHCFr-species-dilution-info": "", "IHCFr-species-notes": "<p></p>" }, "Rat": { "IHCP-species-checked": "predicted", "IHCP-species-dilution-info": "", "IHCP-species-notes": "", "IP-species-checked": "guaranteed", "IP-species-dilution-info": "", "IP-species-notes": "<p></p>", "FlowCyt-species-checked": "guaranteed", "FlowCyt-species-dilution-info": "", "FlowCyt-species-notes": "<p><a href='/products/primary-antibodies/rabbit-igg-polyclonal-isotype-control-chip-grade-ab171870'>ab171870</a> - Rabbit polyclonal IgG, is suitable for use as an isotype control with this antibody.</p>", "ICCIF-species-checked": "guaranteed", "ICCIF-species-dilution-info": "", "ICCIF-species-notes": "<p>See Abreview.</p>", "IHCFr-species-checked": "guaranteed", "IHCFr-species-dilution-info": "", "IHCFr-species-notes": "<p></p>" }, "Cow": { "IHCP-species-checked": "predicted", "IHCP-species-dilution-info": "", "IHCP-species-notes": "", "IP-species-checked": "guaranteed", "IP-species-dilution-info": "", "IP-species-notes": "<p></p>", "FlowCyt-species-checked": "guaranteed", "FlowCyt-species-dilution-info": "", "FlowCyt-species-notes": "<p><a href='/products/primary-antibodies/rabbit-igg-polyclonal-isotype-control-chip-grade-ab171870'>ab171870</a> - Rabbit polyclonal IgG, is suitable for use as an isotype control with this antibody.</p>", "ICCIF-species-checked": "guaranteed", "ICCIF-species-dilution-info": "", "ICCIF-species-notes": "<p>See Abreview.</p>", "IHCFr-species-checked": "guaranteed", "IHCFr-species-dilution-info": "", "IHCFr-species-notes": "<p></p>" }, "Dog": { "IHCP-species-checked": "predicted", "IHCP-species-dilution-info": "", "IHCP-species-notes": "", "IP-species-checked": "guaranteed", "IP-species-dilution-info": "", "IP-species-notes": "<p></p>", "FlowCyt-species-checked": "guaranteed", "FlowCyt-species-dilution-info": "", "FlowCyt-species-notes": "<p><a href='/products/primary-antibodies/rabbit-igg-polyclonal-isotype-control-chip-grade-ab171870'>ab171870</a> - Rabbit polyclonal IgG, is suitable for use as an isotype control with this antibody.</p>", "ICCIF-species-checked": "guaranteed", "ICCIF-species-dilution-info": "", "ICCIF-species-notes": "<p>See Abreview.</p>", "IHCFr-species-checked": "guaranteed", "IHCFr-species-dilution-info": "", "IHCFr-species-notes": "<p></p>" } } }

製品の詳細

What is this antibody validated in?
Anti-VEGF Receptor 2 antibody (ab2349) is a rabbit polyclonal antibody and is validated for use in Flow Cytometry (Flow Cyt), Immunoprecipitation (IP), Immunohistochemistry (IHC-P), Immunohistochemistry (IHC-Fr), Immunocytochemistry/immunofluorescence (ICC/IF) in Cow, Dog, Human, Mouse, Rat samples.

Trusted by the scientific community
Anti-VEGF Receptor 2 (ab2349) was first used in a scientific publication in 2002 and has been cited over 140 times in peer-reviewed journals.

Reviewed by scientists
Anti-VEGF Receptor 2 (ab2349) has over 15 independent reviews from customers.

出荷温度及び保存条件

製品の状態
Liquid
精製方法
Affinity purification Protein A
バッファー組成
pH: 7.3 - 7.5 Preservative: 0.05% Sodium azide Constituents: 1% BSA
出荷温度
Blue Ice
短期保存期間
1-2 weeks
短期保存温度
+4°C
長期保存温度
-20°C
保管に関する情報
Avoid freeze / thaw cycle

補足情報

This supplementary information is collated from multiple sources and compiled automatically.

VEGF Receptor 2 also known as KDR or Flk-1 is a receptor tyrosine kinase important for mediating the effects of vascular endothelial growth factor (VEGF). This protein has a mass of approximately 150 kDa. It mostly expresses in vascular endothelial cells playing a primary role in the formation of blood vessels. The receptor can also be found in various non-endothelial tissues though in smaller amounts indicating its broad functional roles outside of the vascular system.
Biological function summary

VEGF Receptor 2 is important for angiogenesis and vascular permeability. It is part of the VEGF receptor family which also includes VEGF Receptors 1 and 3 forming a complex interaction network. Upon binding with VEGF it phosphorylates key proteins to initiate signals that regulate endothelial cell migration proliferation and survival. The receptor's function is critical for normal developmental processes and wound healing as well.

Pathways

VEGF Receptor 2 is especially important within the angiogenesis and vascular permeability pathways. It plays a central role in the VEGF signaling pathway alongside proteins like VEGF A which is the primary ligand for the receptor. The signaling through this receptor modulates various downstream proteins through phosphorylation linking it to pathways that control cellular responses essential for blood vessel formation and maintenance.

VEGF Receptor 2 is significantly linked with cancer and age-related macular degeneration. In the context of cancer the overexpression or dysregulation of VEGF and its receptors including VEGF Receptor 2 often leads to enhanced tumor angiogenesis promoting tumor growth and metastasis. Additionally the receptor interacts with other proteins in pathological states such as CD309 in endothelial cell-based assays which are used for research like flow cytometry and ELISA to monitor VEGF Receptor 2 activity and its impact on diseases.

製品プロトコール

For this product, it's our understanding that no specific protocols are required. You can visit:

ターゲットの情報

Tyrosine-protein kinase that acts as a cell-surface receptor for VEGFA, VEGFC and VEGFD. Plays an essential role in the regulation of angiogenesis, vascular development, vascular permeability, and embryonic hematopoiesis. Promotes proliferation, survival, migration and differentiation of endothelial cells. Promotes reorganization of the actin cytoskeleton. Isoforms lacking a transmembrane domain, such as isoform 2 and isoform 3, may function as decoy receptors for VEGFA, VEGFC and/or VEGFD. Isoform 2 plays an important role as negative regulator of VEGFA- and VEGFC-mediated lymphangiogenesis by limiting the amount of free VEGFA and/or VEGFC and preventing their binding to FLT4. Modulates FLT1 and FLT4 signaling by forming heterodimers. Binding of vascular growth factors to isoform 1 leads to the activation of several signaling cascades. Activation of PLCG1 leads to the production of the cellular signaling molecules diacylglycerol and inositol 1,4,5-trisphosphate and the activation of protein kinase C. Mediates activation of MAPK1/ERK2, MAPK3/ERK1 and the MAP kinase signaling pathway, as well as of the AKT1 signaling pathway. Mediates phosphorylation of PIK3R1, the regulatory subunit of phosphatidylinositol 3-kinase, reorganization of the actin cytoskeleton and activation of PTK2/FAK1. Required for VEGFA-mediated induction of NOS2 and NOS3, leading to the production of the signaling molecule nitric oxide (NO) by endothelial cells. Phosphorylates PLCG1. Promotes phosphorylation of FYN, NCK1, NOS3, PIK3R1, PTK2/FAK1 and SRC.
See full target information KDR

文献 (158)

Recent publications for all applications. Explore the full list and refine your search

Journal of cellular and molecular medicine 29:e70682 PubMed40638555

2025

XML Attenuates Ox-LDL-Induced Endothelial Progenitor Cell Senescence via Gria2 and cAMP Pathways.

Applications

Unspecified application

Species

Unspecified reactive species

Jinjian Wu,Guotao Lu,Zhou Luo,Meng Cai,Qiankun He,Jie Su,Jianfeng Liu,Rong Wang,Chunyan Kuang

iScience 28:112473 PubMed40469100

2025

PDCL3 promotes the vasculogenic mimicry of glioma-associated mesenchymal stem cells through VEGFR-2 in glioma environment.

Applications

Unspecified application

Species

Unspecified reactive species

Yihao Wang,Zhen Liu,Dongye Yi,Sujie Gu,Zesheng Peng,Haofei Wang,Peng Lv,Wei Xiang,Xiaobing Jiang,Peng Fu

Bone reports 24:101824 PubMed39896107

2025

Ischemic stroke reduces bone perfusion and alters osteovascular structure.

Applications

Unspecified application

Species

Unspecified reactive species

Nicholas J Hanne,Andrew J Steward,Carla Geeroms,Elizabeth D Easter,Hannah T Gensch,Greet Kerckhofs,Tatjana N Parac-Vogt,Huaxin Sheng,Jacqueline H Cole

Materials today. Bio 28:101222 PubMed39296357

2024

A biomimetic targeted nanosystem delivering synergistic inhibitors for glioblastoma immune microenvironment reprogramming and treatment.

Applications

Unspecified application

Species

Unspecified reactive species

Yulei Mu,Zhen Zhang,Huiqun Zhou,Min Jin,Liang Ma,Bangheng Liu,Cheng Ma,Xu Hu,Yi Zhang,Dong-An Wang

Angiogenesis 27:719-738 PubMed38965173

2024

Site-specific genetic and functional signatures of aortic endothelial cells at aneurysm predilection sites in healthy and AngII ApoE mice.

Applications

Unspecified application

Species

Unspecified reactive species

Alexander Brückner,Adrian Brandtner,Sarah Rieck,Michaela Matthey,Caroline Geisen,Benedikt Fels,Marta Stei,Kristina Kusche-Vihrog,Bernd K Fleischmann,Daniela Wenzel

Veterinary sciences 11: PubMed38668414

2024

Influence of Maternal Nutrition and One-Carbon Metabolites Supplementation during Early Pregnancy on Bovine Fetal Small Intestine Vascularity and Cell Proliferation.

Applications

Unspecified application

Species

Unspecified reactive species

Mojtaba Daneshi,Pawel P Borowicz,Yssi L Entzie,Jessica G Syring,Layla E King,Kazi Sarjana Safain,Muhammad Anas,Lawrence P Reynolds,Alison K Ward,Carl R Dahlen,Matthew S Crouse,Joel S Caton

Advanced science (Weinheim, Baden-Wurttemberg, Germany) 11:e2308701 PubMed38460168

2024

Framework Nucleic Acids-Based VEGF Signaling Activating System for Angiogenesis: A Dual Stimulation Strategy.

Applications

Unspecified application

Species

Unspecified reactive species

Yichen Ge,Qingxuan Wang,Yangxue Yao,Qin Xin,Jiafei Sun,Wen Chen,Yunfeng Lin,Xiaoxiao Cai

Molecular medicine (Cambridge, Mass.) 29:155 PubMed37940881

2023

Exosomal circCOL1A1 promotes angiogenesis via recruiting EIF4A3 protein and activating Smad2/3 pathway in colorectal cancer.

Applications

Unspecified application

Species

Unspecified reactive species

Gui Hu,Changwei Lin,Kai Gao,Miao Chen,Fei Long,Buning Tian

Nanoscale 15:17173-17183 PubMed37853851

2023

Effects of graphene oxide and reduced graphene oxide nanomaterials on porcine endothelial progenitor cells.

Applications

Unspecified application

Species

Unspecified reactive species

Alberto Polo-Montalvo,Mónica Cicuéndez,Laura Casarrubios,Nathalie Barroca,Daniela da Silva,María José Feito,Rosalía Diez-Orejas,María Concepción Serrano,Paula A A P Marques,María Teresa Portolés

Nature communications 14:4893 PubMed37580352

2023

Camrelizumab combined with apatinib in patients with first-line platinum-resistant or PD-1 inhibitor resistant recurrent/metastatic nasopharyngeal carcinoma: a single-arm, phase 2 trial.

Applications

Unspecified application

Species

Unspecified reactive species

Li Yuan,Guo-Dong Jia,Xiao-Fei Lv,Si-Yi Xie,Shan-Shan Guo,Da-Feng Lin,Li-Ting Liu,Dong-Hua Luo,Yi-Fu Li,Shen-Wen Deng,Ling Guo,Mu-Sheng Zeng,Xiu-Yu Cai,Sai-Lan Liu,Xue-Song Sun,Xiao-Yun Li,Su-Chen Li,Qiu-Yan Chen,Lin-Quan Tang,Hai-Qiang Mai
View all publications

Abcam product promise

当社は、高品質な試薬を通じてお客様の研究を力強くサポートすることをお約束いたします。ご使用いただく各段階で、常にお客様をサポートできる体制を整えております。万が一、製品が期待通りに機能しない場合は、「Abcam Product Promise」による当社保証制度に基づき、安心してご利用いただけます。
保証に関する詳細については利用規約をご確認ください。

Please note: All products are 'FOR RESEARCH USE ONLY. NOT FOR USE IN DIAGNOSTIC OR THERAPEUTIC PROCEDURES'.

For licensing inquiries, please contact partnerships@abcam.com