JavaScript is disabled in your browser. Please enable JavaScript to view this website.
AB109240

Anti-VCP 抗体 [EPR3307(2)]

Anti-VCP antibody [EPR3307(2)]

4

(1 Review)

|

(28 Publications)

Anti-VCP antibody [EPR3307(2)] (ab109240) is a rabbit monoclonal antibody detecting VCP in Western Blot, Flow Cytometry (Intra), Flow Cytometry, IP, IHC-P, ICC/IF. Suitable for Human, Mouse, Rat.

- Biophysical QC for unrivalled batch-batch consistency
- Over 20 publications

別名を表示する

HEL-220, HEL-S-70, VCP, Transitional endoplasmic reticulum ATPase, TER ATPase, 15S Mg(2+)-ATPase p97 subunit, Valosin-containing protein

10 Images
Western blot - Anti-VCP antibody [EPR3307(2)] (AB109240)
  • WB

Lab

Western blot - Anti-VCP antibody [EPR3307(2)] (AB109240)

ab109240 was shown to react with VCP in wild-type U2OS cells in Western blot with loss of signal observed in a VCP siRNA knockdown cell line. Cell lysates from wild-type U2OS transfected with either scrambled siRNA or VCP siRNA were subjected to SDS-PAGE. Membranes were blocked in 5% milk in TBST for 1 hr before incubation with ab109240 overnight at 4 °C at a 1/50000 dilution. Blots were incubated with secondary antibodies at 0.2 µg/mL before imaging.

This data was provided by YCharOS Inc., an open science company with the mission of characterizing commercially available antibody reagents for all human proteins. Abcam and YCharOS are working together to help address the reproducibility crisis by enabling the life science community to better evaluate commercially available antibodies.

All lanes:

Western blot - Anti-VCP antibody [EPR3307(2)] (ab109240) at 1/50000 dilution

Lane 1:

Wild-type U2OS transfected with scrambled siRNA control lysate at 10 µg

Lane 2:

U2OS transfected with siRNA specifically targeting VCP cell lysate at 10 µg

false

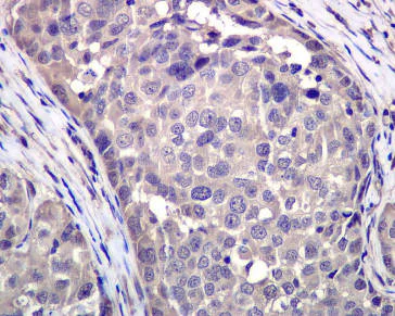
Immunohistochemistry (Formalin/PFA-fixed paraffin-embedded sections) - Anti-VCP antibody [EPR3307(2)] (AB109240)
  • IHC-P

Unknown

Immunohistochemistry (Formalin/PFA-fixed paraffin-embedded sections) - Anti-VCP antibody [EPR3307(2)] (AB109240)

Immunohistochemical analysis of paraffin-embedded human breast carcinoma tissue using unpurified ab109240 at 1/100 dilution.

Perform heat mediated antigen retrieval via the pressure cooker method before commencing with IHC staining protocol.

Flow Cytometry (Intracellular) - Anti-VCP antibody [EPR3307(2)] (AB109240)
  • Flow Cyt (Intra)

Unknown

Flow Cytometry (Intracellular) - Anti-VCP antibody [EPR3307(2)] (AB109240)

Overlay histogram showing HL60 cells stained with unpurified ab109240 (red line). The cells were fixed with 4% paraformaldehyde (10 min) and then permeabilized with 0.1% PBS-Tween for 20 min. The cells were then incubated in 1x PBS / 10% normal goat serum / 0.3M glycine to block non-specific protein-protein interactions followed by the antibody (ab109240, 1/100) for 30 min at 22°C. The secondary antibody used was DyLight® 488 goat anti-rabbit IgG (H+L) (ab96899) at 1/500 dilution for 30 min at 22°C. Isotype control antibody (black line) was rabbit IgG (monoclonal) (1μg/1x106 cells) used under the same conditions. Acquisition of >5,000 events was performed. This antibody gave a positive signal in HL60 cells fixed with 80% methanol (5 min)/permeabilized with 0.1% PBS-Tween for 20 min used under the same conditions.

Immunocytochemistry/ Immunofluorescence - Anti-VCP antibody [EPR3307(2)] (AB109240)
  • ICC/IF

Unknown

Immunocytochemistry/ Immunofluorescence - Anti-VCP antibody [EPR3307(2)] (AB109240)

Immunofluorescent staining of HeLa cells using unpurified ab109240 at 1/100 dilution.

Immunohistochemistry (Formalin/PFA-fixed paraffin-embedded sections) - Anti-VCP antibody [EPR3307(2)] (AB109240)
  • IHC-P

Lab

Immunohistochemistry (Formalin/PFA-fixed paraffin-embedded sections) - Anti-VCP antibody [EPR3307(2)] (AB109240)

Immunohistochemistry (Formalin/PFA-fixed paraffin-embedded sections) analysis of Human breast carcinoma tissue sections labeling VCP with purified ab109240 at 1 : 250 dilution (1.4 μg/ml). Heat mediated antigen retrieval was performed using EDTA Buffer, pH9.0. Tissue was counterstained with Hematoxylin. ImmunoHistoProbe one step HRP Polymer (ready to use) secondary antibody was used at 1 : 0 dilution. PBS instead of the primary antibody was used as the negative control.

Flow Cytometry (Intracellular) - Anti-VCP antibody [EPR3307(2)] (AB109240)
  • Flow Cyt (Intra)

Lab

Flow Cytometry (Intracellular) - Anti-VCP antibody [EPR3307(2)] (AB109240)

Intracellular Flow Cytometry analysis of HL-60 (Human acute promyelocytic leukemia promyeloblast) cells labeling VCP with purified ab109240 at 1/300 dilution (1 ug/ml) (red). Cells were fixed with 4% Paraformaldehyde. A Goat anti rabbit IgG (Alexa Fluorr® 488) secondary antibody was used at 1/2000 dilution. Isotype control - 90% methanol. Unlabeled control - Rabbit monoclonal IgG (Black).Cell without incubation with primary antibody and secondary antibody (Blue).

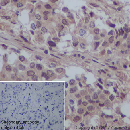
Immunohistochemistry (Formalin/PFA-fixed paraffin-embedded sections) - Anti-VCP antibody [EPR3307(2)] (AB109240)
  • IHC-P

Lab

Immunohistochemistry (Formalin/PFA-fixed paraffin-embedded sections) - Anti-VCP antibody [EPR3307(2)] (AB109240)

Immunocytochemistry/ Immunofluorescence analysis of MCF-7 (Human breast adenocarcinoma epithelial cell) cells labeling VCP with Purified ab109240 at 1 : 500 dilution (0.7μg/ml). Cells were fixed in 4% Paraformaldehyde and permeabilized with 0.1% tritonX-100. Cells were counterstained with ab195889 Anti-alpha Tubulin antibody [DM1A] - Microtubule Marker (Alexa Fluor® 594) 1 : 200 (2.5 μg/ml). ab150077 Goat anti rabbit IgG(Alexa Fluor® 488) was used as the secondary antibody at 1 : 1000 dilution. DAPI nuclear counterstain. PBS instead of the primary antibody was used as the secondary antibody only control.

Perform heat mediated antigen retrieval via the pressure cooker method before commencing with IHC staining protocol.

Immunoprecipitation - Anti-VCP antibody [EPR3307(2)] (AB109240)
  • IP

Lab

Immunoprecipitation - Anti-VCP antibody [EPR3307(2)] (AB109240)

ab109240 (purified) at 1 : 20 dilution (2ug) immunoprecipitating VCP in HeLa (Human cervix adenocarcinoma epithelial cell) whole cell lysate.

Lane 1 (input) : HeLa (Human cervix adenocarcinoma epithelial cell) whole cell lysate 10ug

Lane 2 (+) : ab109240 & HeLa (Human cervix adenocarcinoma epithelial cell) whole cell lysate

Lane 3 (-) : Rabbit monoclonal IgG (ab172730) instead of ab109240 in HeLa (Human cervix adenocarcinoma epithelial cell) whole cell lysate

For western blotting, VeriBlot for IP Detection Reagent (HRP) (ab131366) was used for detection at 1 : 1000 dilution.

Blocking and diluting buffer : 5% NFDM/TBST.

All lanes:

Immunoprecipitation - Anti-VCP antibody [EPR3307(2)] (ab109240)

Predicted band size: 89 kDa

Observed band size: 89 kDa

false

Western blot - Anti-VCP antibody [EPR3307(2)] (AB109240)
  • WB

Lab

Western blot - Anti-VCP antibody [EPR3307(2)] (AB109240)

Blocking and diluting buffer : 5% NFDM/TBST

All lanes:

Western blot - Anti-VCP antibody [EPR3307(2)] (ab109240) at 1/10000 dilution

Lane 1:

HeLa (Human cervix adenocarcinoma epithelial cell) whole cell lysates at 20 µg

Lane 2:

A549 (Human lung carcinoma epithelial cell) whole cell lysates at 20 µg

Lane 3:

C6 (Rat glial tumor glial cell) whole cell lysates) at 20 µg

Lane 4:

NIH/3T3 (Mouse embryonic fibroblast) whole cell lysates at 20 µg

Lane 5:

RAW264.7 (Mouse Abelson murine leukemia virus-induced tumor macrophage) whole cell lysates at 20 µg

Lane 6:

SH-SY5Y (Human neuroblastoma epithelial cell) whole cell lysates at 20 µg

Secondary

All lanes:

Western blot - Goat Anti-Rabbit IgG H&L (HRP) (<a href='/products/secondary-antibodies/goat-rabbit-igg-h-l-hrp-ab97051'>ab97051</a>) at 1/20000 dilution

Predicted band size: 112 kDa,130 kDa,151 kDa,217 kDa,43 kDa,469 kDa,47 kDa,60 kDa,65 kDa,89 kDa,92 kDa

Observed band size: 89 kDa

false

Western blot - Anti-VCP antibody [EPR3307(2)] (AB109240)
  • WB

Unknown

Western blot - Anti-VCP antibody [EPR3307(2)] (AB109240)

All lanes:

Western blot - Anti-VCP antibody [EPR3307(2)] (ab109240) at 1/10000 dilution

Lane 1:

MCF7 cell lysate at 10 µg/mL

Lane 2:

HeLa cell lysate at 10 µg/mL

Lane 3:

A549 cell lysate at 10 µg/mL

Lane 4:

SH-SY5Y cell lysate at 10 µg/mL

Predicted band size: 89 kDa

false

関連する標識済み抗体及び組成の異なる製品 (3)

  • HRP

    HRP Anti-VCP antibody [EPR3307(2)]

  • 519 Alexa Fluor® 488

    Alexa Fluor® 488 Anti-VCP antibody [EPR3307(2)]

  • Carrier free

    Anti-VCP antibody [EPR3307(2)] - BSA and Azide free

Key facts

宿主種

Rabbit

クローン性

Monoclonal

クローン番号

EPR3307(2)

アイソタイプ

IgG

キャリアフリー

No

交差種

Mouse, Rat, Human

アプリケーション

WB, IP, ICC/IF, IHC-P, Flow Cyt (Intra)

applications

免疫原

The exact immunogen used to generate this antibody is proprietary information.

Reactivity data

{ "title": "Reactivity Data", "filters": { "stats": ["", "Species", "Dilution Info", "Notes"], "tabs": { "all-applications": {"fullname" : "All Applications", "shortname": "All Applications"}, "IHCP" : {"fullname" : "Immunohistochemistry (Formalin/PFA-fixed paraffin-embedded sections)", "shortname":"IHC-P"}, "IP" : {"fullname" : "Immunoprecipitation", "shortname":"IP"}, "WB" : {"fullname" : "Western blot", "shortname":"WB"}, "ICCIF" : {"fullname" : "Immunocytochemistry/ Immunofluorescence", "shortname":"ICC/IF"}, "FlowCytIntra" : {"fullname" : "Flow Cytometry (Intracellular)", "shortname":"Flow Cyt (Intra)"} }, "product-promise": { "all": "all", "testedAndGuaranteed": "tested", "guaranteed": "expected", "predicted": "predicted", "notRecommended": "not-recommended" } }, "values": { "Human": { "IHCP-species-checked": "testedAndGuaranteed", "IHCP-species-dilution-info": "1/100 - 1/250", "IHCP-species-notes": "<p></p> Perform heat-mediated antigen retrieval via the pressure cooker method before commencing with IHC staining protocol.", "IP-species-checked": "testedAndGuaranteed", "IP-species-dilution-info": "1/10 - 1/100", "IP-species-notes": "<p></p>", "WB-species-checked": "testedAndGuaranteed", "WB-species-dilution-info": "1/10000 - 1/50000", "WB-species-notes": "<p><strong>For unpurifed use at 1/10000-1/50000.</strong></p>", "ICCIF-species-checked": "testedAndGuaranteed", "ICCIF-species-dilution-info": "1/500", "ICCIF-species-notes": "<p><strong>For unpurified use at 1/100 - 1/250.</strong></p>", "FlowCytIntra-species-checked": "testedAndGuaranteed", "FlowCytIntra-species-dilution-info": "1/300", "FlowCytIntra-species-notes": "<p>For unpurified use at 1/10 - 1/100. <a href='/products/primary-antibodies/rabbit-igg-monoclonal-epr25a-isotype-control-ab172730'>ab172730</a> - Rabbit monoclonal IgG, is suitable for use as an isotype control with this antibody.</p>" }, "Mouse": { "IHCP-species-checked": "guaranteed", "IHCP-species-dilution-info": "", "IHCP-species-notes": "", "IP-species-checked": "guaranteed", "IP-species-dilution-info": "", "IP-species-notes": "", "WB-species-checked": "testedAndGuaranteed", "WB-species-dilution-info": "1/10000", "WB-species-notes": "<p><strong>For unpurifed use at 1/10000-1/50000.</strong></p>", "ICCIF-species-checked": "guaranteed", "ICCIF-species-dilution-info": "", "ICCIF-species-notes": "", "FlowCytIntra-species-checked": "guaranteed", "FlowCytIntra-species-dilution-info": "", "FlowCytIntra-species-notes": "" }, "Rat": { "IHCP-species-checked": "guaranteed", "IHCP-species-dilution-info": "", "IHCP-species-notes": "", "IP-species-checked": "guaranteed", "IP-species-dilution-info": "", "IP-species-notes": "", "WB-species-checked": "testedAndGuaranteed", "WB-species-dilution-info": "1/10000", "WB-species-notes": "<p><strong>For unpurifed use at 1/10000-1/50000.</strong></p>", "ICCIF-species-checked": "guaranteed", "ICCIF-species-dilution-info": "", "ICCIF-species-notes": "", "FlowCytIntra-species-checked": "guaranteed", "FlowCytIntra-species-dilution-info": "", "FlowCytIntra-species-notes": "" } } }

製品の詳細

出荷温度及び保存条件

製品の状態
Liquid
精製方法
Affinity purification Protein A
バッファー組成
pH: 7.2 - 7.4 Preservative: 0.01% Sodium azide Constituents: 59% PBS, 40% Glycerol (glycerin, glycerine), 0.05% BSA
出荷温度
Blue Ice
短期保存期間
1-2 weeks
短期保存温度
+4°C
長期保存温度
-20°C
分注に関する情報
Upon delivery aliquot
保管に関する情報
Avoid freeze / thaw cycle|Stable for 12 months at -20°C

補足情報

This supplementary information is collated from multiple sources and compiled automatically.

The VCP protein also known as p97 or valosin-containing protein is a significant ATPase. It is involved mechanically in a range of cellular activities. VCP has a mass of approximately 97 kDa and is ubiquitously expressed in many tissues. It plays a role in protein homeostasis particularly in the degradation process of misfolded proteins via the ubiquitin-proteasome system. This protein comprises the D1 and D2 ATPase domains that are important for its unfolding activities.
Biological function summary

The VCP protein operates as a vital part of cellular machinery and functions in various complexes. It assists in protein quality control by participating in processes such as ER-associated degradation (ERAD) where it retrotranslocates misfolded proteins from the endoplasmic reticulum for degradation. VCP also contributes to the regulation of endocytosis autophagy and cell cycle control. These functions are important in maintaining cellular integrity.

Pathways

VCP integrates into cellular processes by engaging in essential pathways like the ubiquitin-proteasome system and autophagy. It associates with proteins such as UFD1 and NPL4 in these pathways illustrating its multifaceted role in cellular regulation. VCP's action is closely tied with the p97 protein complexes where it influences protein degradation and recycling thereby controlling protein turnover.

There are findings linking VCP to conditions such as inclusion body myopathy and Paget's disease of bone. Its malfunction due to mutations can trigger these diseases affecting muscle and bone tissues respectively. VCP's connection to other proteins like Parkin and Optineurin in these disorders highlights the protein's relevance in neurodegenerative and skeletal disease pathways emphasizing its pivotal role in maintaining cellular health.

製品プロトコール

For this product, it's our understanding that no specific protocols are required. You can visit:

ターゲットの情報

Necessary for the fragmentation of Golgi stacks during mitosis and for their reassembly after mitosis. Involved in the formation of the transitional endoplasmic reticulum (tER). The transfer of membranes from the endoplasmic reticulum to the Golgi apparatus occurs via 50-70 nm transition vesicles which derive from part-rough, part-smooth transitional elements of the endoplasmic reticulum (tER). Vesicle budding from the tER is an ATP-dependent process. The ternary complex containing UFD1, VCP and NPLOC4 binds ubiquitinated proteins and is necessary for the export of misfolded proteins from the ER to the cytoplasm, where they are degraded by the proteasome. The NPLOC4-UFD1-VCP complex regulates spindle disassembly at the end of mitosis and is necessary for the formation of a closed nuclear envelope. Regulates E3 ubiquitin-protein ligase activity of RNF19A. Component of the VCP/p97-AMFR/gp78 complex that participates in the final step of the sterol-mediated ubiquitination and endoplasmic reticulum-associated degradation (ERAD) of HMGCR. Mediates the endoplasmic reticulum-associated degradation of CHRNA3 in cortical neurons as part of the STUB1-VCP-UBXN2A complex (PubMed : 26265139). Involved in endoplasmic reticulum stress-induced pre-emptive quality control, a mechanism that selectively attenuates the translocation of newly synthesized proteins into the endoplasmic reticulum and reroutes them to the cytosol for proteasomal degradation (PubMed : 26565908). Involved in clearance process by mediating G3BP1 extraction from stress granules (PubMed : 29804830, PubMed : 34739333). Also involved in DNA damage response : recruited to double-strand breaks (DSBs) sites in a RNF8- and RNF168-dependent manner and promotes the recruitment of TP53BP1 at DNA damage sites (PubMed : 22020440, PubMed : 22120668). Recruited to stalled replication forks by SPRTN : may act by mediating extraction of DNA polymerase eta (POLH) to prevent excessive translesion DNA synthesis and limit the incidence of mutations induced by DNA damage (PubMed : 23042605, PubMed : 23042607). Together with SPRTN metalloprotease, involved in the repair of covalent DNA-protein cross-links (DPCs) during DNA synthesis (PubMed : 32152270). Involved in interstrand cross-link repair in response to replication stress by mediating unloading of the ubiquitinated CMG helicase complex (By similarity). Mediates extraction of PARP1 trapped to chromatin : recognizes and binds ubiquitinated PARP1 and promotes its removal (PubMed : 35013556). Required for cytoplasmic retrotranslocation of stressed/damaged mitochondrial outer-membrane proteins and their subsequent proteasomal degradation (PubMed : 16186510, PubMed : 21118995). Essential for the maturation of ubiquitin-containing autophagosomes and the clearance of ubiquitinated protein by autophagy (PubMed : 20104022, PubMed : 27753622). Acts as a negative regulator of type I interferon production by interacting with RIGI : interaction takes place when RIGI is ubiquitinated via 'Lys-63'-linked ubiquitin on its CARD domains, leading to recruit RNF125 and promote ubiquitination and degradation of RIGI (PubMed : 26471729). May play a role in the ubiquitin-dependent sorting of membrane proteins to lysosomes where they undergo degradation (PubMed : 21822278). May more particularly play a role in caveolins sorting in cells (PubMed : 21822278, PubMed : 23335559). By controlling the steady-state expression of the IGF1R receptor, indirectly regulates the insulin-like growth factor receptor signaling pathway (PubMed : 26692333).
See full target information VCP

文献 (28)

Recent publications for all applications. Explore the full list and refine your search

Nature communications 14:7782 PubMed38012130

2023

Time-resolved proteomic profiling reveals compositional and functional transitions across the stress granule life cycle.

Applications

Unspecified application

Species

Unspecified reactive species

Shuyao Hu,Yufeng Zhang,Qianqian Yi,Cuiwei Yang,Yanfen Liu,Yun Bai

Nature structural & molecular biology 30:1806-1815 PubMed37957306

2023

Integrated chemical and genetic screens unveil FSP1 mechanisms of ferroptosis regulation.

Applications

Unspecified application

Species

Unspecified reactive species

Toshitaka Nakamura,Eikan Mishima,Naoya Yamada,André Santos Dias Mourão,Dietrich Trümbach,Sebastian Doll,Jonas Wanninger,Elena Lytton,Peter Sennhenn,Thamara Nishida Xavier da Silva,José Pedro Friedmann Angeli,Michael Sattler,Bettina Proneth,Marcus Conrad

Schizophrenia (Heidelberg, Germany) 8:96 PubMed36376358

2022

Altered purinergic receptor expression in the frontal cortex in schizophrenia.

Applications

Unspecified application

Species

Unspecified reactive species

Rawan Alnafisah,Anna Lundh,Sophie M Asah,Julie Hoeflinger,Alyssa Wolfinger,Abdul-Rizaq Hamoud,Robert E McCullumsmith,Sinead M O'Donovan

Cancers 14: PubMed36230594

2022

Cancer Cells Evade Stress-Induced Apoptosis by Promoting HSP70-Dependent Clearance of Stress Granules.

Applications

Unspecified application

Species

Unspecified reactive species

Aifang Wang,Xianmixinuer Abulaiti,Han Zhang,Hang Su,Guangzhi Liu,Shaorong Gao,Lingsong Li

iScience 25:104952 PubMed36065190

2022

GINS1 promotes the proliferation and migration of glioma cells through USP15-mediated deubiquitination of TOP2A.

Applications

Unspecified application

Species

Unspecified reactive species

Hui Yang,Xiaocen Liu,Xiaolong Zhu,Mengying Zhang,Yingying Wang,Mingzhe Ma,Kun Lv

Autophagy 19:805-821 PubMed35920704

2022

TOLLIP-mediated autophagic degradation pathway links the VCP-TMEM63A-DERL1 signaling axis to triple-negative breast cancer progression.

Applications

Unspecified application

Species

Unspecified reactive species

Tai-Mei Zhang,Li Liao,Shao-Ying Yang,Min-Ying Huang,Yin-Ling Zhang,Ling Deng,Shu-Yuan Hu,Fan Yang,Fang-Lin Zhang,Zhi-Min Shao,Da-Qiang Li

Nature communications 13:4146 PubMed35842429

2022

Compounds activating VCP D1 ATPase enhance both autophagic and proteasomal neurotoxic protein clearance.

Applications

Unspecified application

Species

Unspecified reactive species

Lidia Wrobel,Sandra M Hill,Alvin Djajadikerta,Marian Fernandez-Estevez,Cansu Karabiyik,Avraham Ashkenazi,Victoria J Barratt,Eleanna Stamatakou,Anders Gunnarsson,Timothy Rasmusson,Eric W Miele,Nigel Beaton,Roland Bruderer,Yuehan Feng,Lukas Reiter,M Paola Castaldi,Rebecca Jarvis,Keith Tan,Roland W Bürli,David C Rubinsztein

Cell & bioscience 12:48 PubMed35477478

2022

Pharmacological activation of ATF6 remodels the proteostasis network to rescue pathogenic GABA receptors.

Applications

Unspecified application

Species

Unspecified reactive species

Meng Wang,Edmund Cotter,Ya-Juan Wang,Xu Fu,Angela L Whittsette,Joseph W Lynch,R Luke Wiseman,Jeffery W Kelly,Angelo Keramidas,Ting-Wei Mu

International journal of molecular sciences 23: PubMed35563018

2022

p97/UBXD1 Generate Ubiquitylated Proteins That Are Sequestered into Nuclear Envelope Herniations in Torsin-Deficient Cells.

Applications

Unspecified application

Species

Unspecified reactive species

Sarah M Prophet,Brigitte S Naughton,Christian Schlieker

Acta neuropathologica communications 10:22 PubMed35164882

2022

Proximity proteomics of C9orf72 dipeptide repeat proteins identifies molecular chaperones as modifiers of poly-GA aggregation.

Applications

Unspecified application

Species

Unspecified reactive species

Feilin Liu,Dmytro Morderer,Melissa C Wren,Sara A Vettleson-Trutza,Yanzhe Wang,Benjamin E Rabichow,Michelle R Salemi,Brett S Phinney,Björn Oskarsson,Dennis W Dickson,Wilfried Rossoll
View all publications

Abcam product promise

当社は、高品質な試薬を通じてお客様の研究を力強くサポートすることをお約束いたします。ご使用いただく各段階で、常にお客様をサポートできる体制を整えております。万が一、製品が期待通りに機能しない場合は、「Abcam Product Promise」による当社保証制度に基づき、安心してご利用いただけます。
保証に関する詳細については利用規約をご確認ください。

関連製品

Select an associated product type
Alternative Product
Primary Antibodies

AB155146

Anti-VCP antibody

primary-antibodies

vcp-antibody-ab155146

0

(0 reviews)

Alternative Product
Primary Antibodies

AB111740

Anti-VCP antibody

primary-antibodies

vcp-antibody-ab111740

5

(2 reviews)

Alternative Product
Primary Antibodies

AB109198

Anti-VCP antibody [EPR3308]

primary-antibodies

vcp-antibody-epr3308-ab109198

0

(0 reviews)

Please note: All products are 'FOR RESEARCH USE ONLY. NOT FOR USE IN DIAGNOSTIC OR THERAPEUTIC PROCEDURES'.

For licensing inquiries, please contact partnerships@abcam.com