JavaScript is disabled in your browser. Please enable JavaScript to view this website.
AB134047

Anti-VCAM1 抗体 [EPR5047]

Anti-VCAM1 antibody [EPR5047]

5

(17 Reviews)

|

(430 Publications)

Anti-VCAM1 antibody [EPR5047] (ab134047) is a rabbit monoclonal antibody detecting VCAM1 in Western Blot, Flow Cytometry (Intra), Flow Cytometry, IP, IHC-P, ICC/IF, ELISA. Suitable for Human, Mouse, Rat.

- Clone EPR5047 is the most cited clone to VCAM1
- KO validated for confirmed specificity
- Biophysical QC for unrivalled batch-batch consistency
- Over 300 publications

別名を表示する

CD106, Vascular cell adhesion protein 1, V-CAM 1, VCAM-1, INCAM-100, VCAM1

18 Images
Western blot - Anti-VCAM1 antibody [EPR5047] (AB134047)
  • WB

Lab

Western blot - Anti-VCAM1 antibody [EPR5047] (AB134047)

Blocking buffer : 5% NFDM/TBST

Dilution buffer : 5% NFDM/TBST

All lanes:

Western blot - Anti-VCAM1 antibody [EPR5047] (ab134047) at 1/10000 dilution

Lane 1:

Mouse kidney at 20 µg

Lane 2:

Rat spleen at 20 µg

Secondary

All lanes:

HRP goat anti-rabbit (H+L) at 1/1000 dilution

Predicted band size: 81 kDa

Observed band size: 100 kDa

false

Immunocytochemistry/ Immunofluorescence - Anti-VCAM1 antibody [EPR5047] (AB134047)
  • ICC/IF

Lab

Immunocytochemistry/ Immunofluorescence - Anti-VCAM1 antibody [EPR5047] (AB134047)

Immunofluorescent staining of K562 cells (fixed in 4% PFA permeabilized with 0.1% Triton X 100) using purified ab134047 at a dilution of 1/250. An Alexa Fluor® 488 goat anti-rabbit antibody was used as the secondary at a dilution of 1/500 and the cells were counter stained with DAPI. The negative control is shown in the bottom right hand panel - for the negative control Alex Fluor® 594 goat anti-mouse was used at a dilution of 1/500.

Flow Cytometry (Intracellular) - Anti-VCAM1 antibody [EPR5047] (AB134047)
  • Flow Cyt (Intra)

Unknown

Flow Cytometry (Intracellular) - Anti-VCAM1 antibody [EPR5047] (AB134047)

Intracellular Flow Cytometry analysis of K562 (human chronic myelogenous leukemia) cells labeling VCAM1 with purified ab134047 at 1/40 dilution (10ug/mL) (red). Cells were fixed with 4% paraformaldehyde and permeabilised with 90% methanol. A Goat anti rabbit IgG (Alexa Fluor®488) at 1/2000 dilution was used as the secondary antibody. Rabbit monoclonal IgG (Black) was used as the isotype control, cells without incubation with primary antibody and secondary antibody (Blue) was used as the unlabeled control.

Immunohistochemistry (Formalin/PFA-fixed paraffin-embedded sections) - Anti-VCAM1 antibody [EPR5047] (AB134047)
  • IHC-P

Unknown

Immunohistochemistry (Formalin/PFA-fixed paraffin-embedded sections) - Anti-VCAM1 antibody [EPR5047] (AB134047)

IHC image of VCAM1 staining in Human spleen formalin fixed paraffin embedded tissue section performed on a Leica Bond system using the standard protocol F. The section was pre-treated using heat mediated antigen retrieval with sodium citrate buffer (pH6 epitope retrieval solution 1) for 20 mins. The section was then incubated with unpurified ab134047 1/200 dilution for 15 mins at room temperature and detected using an HRP conjugated compact polymer system. DAB was used as the chromogen. The section was then counterstained with haematoxylin and mounted with DPX.

For other IHC staining systems (automated and non-automated) customers should optimize variable parameters such as antigen retrieval conditions primary antibody concentration and antibody incubation times.

Immunohistochemistry (Formalin/PFA-fixed paraffin-embedded sections) - Anti-VCAM1 antibody [EPR5047] (AB134047)
  • IHC-P

Lab

Immunohistochemistry (Formalin/PFA-fixed paraffin-embedded sections) - Anti-VCAM1 antibody [EPR5047] (AB134047)

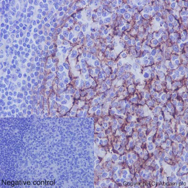
Immunohistochemical staining of paraffin embedded human tonsil with purified ab134047 at a dilution of 1/500. A pre-diluted HRP polymer for rabbit/mouse IgG was used as the secondary antibody and the sample was counter-stained with hematoxylin. Antigen retrieval was perfomed using Tris-EDTA buffer pH 9.0. PBS was used instead of the primary antibody as the negative control and is shown in the inset.

Immunohistochemistry (Formalin/PFA-fixed paraffin-embedded sections) - Anti-VCAM1 antibody [EPR5047] (AB134047)
  • IHC-P

Lab

Immunohistochemistry (Formalin/PFA-fixed paraffin-embedded sections) - Anti-VCAM1 antibody [EPR5047] (AB134047)

Immunohistochemical analysis of formalin-fixed paraffin-embedded human tonsil labelling VCAM1 with ab271899 at a concentration of 0.5µg/ml. The immunostaining was performed on a Ventana DISCOVERY ULTRA (Roche Tissue Diagnostics) instrument with an OptiView DAB IHC Detection Kit. Heat mediated antigen retrieval was conducted for 32min with ULTRA cell conditioning solution (CC1 pH8.5). ab271899 anti VCAM1 antibody was incubated at 37°C for 16min. Sections were counterstained is with Hematoxylin II. Image inset shows absence of staining in secondary antibody only control.

This data was developed using the same antibody clone in a different buffer formulation (ab271899).

Immunocytochemistry/ Immunofluorescence - Anti-VCAM1 antibody [EPR5047] (AB134047)
  • ICC/IF

Lab

Immunocytochemistry/ Immunofluorescence - Anti-VCAM1 antibody [EPR5047] (AB134047)

ab134047 staining VCAM1 in HUVEC cells treated with TNF-α (ab55237) at 10 ng/ml for 16 hours. The cells were fixed with 4% paraformaldehyde (10 min) then permeabilized with 0.1% Triton X-100 for 5 minutes and then blocked with 1% BSA/10% normal goat serum/0.3M glycine in 0.1% PBS-Tween for 1h. The cells were then incubated with ab134047 at 2μg/ml concentration and ab7291 (Mouse monoclonal to alpha Tubulin) at 1/1000 dilution overnight at 4°C followed by a further incubation at room temperature for 1h with a goat secondary antibody to rabbit IgG (Alexa Fluor® 488) (ab150081) at 2 μg/ml (shown in green) and a goat secondary antibody to mouse IgG (Alexa Fluor® 647) (ab150119) at 2 μg/ml (shown in red). Nuclear DNA was labelled in blue with DAPI.
Image was taken with a confocal microscope (Leica-Microsystems TCS SP8).

Immunoprecipitation - Anti-VCAM1 antibody [EPR5047] (AB134047)
  • IP

Supplier Data

Immunoprecipitation - Anti-VCAM1 antibody [EPR5047] (AB134047)

VCAM1 was immunoprecipitated from Human fetal liver lysate with ab134047 at 1/110 dilution.

Western blot was performed from the immunoprecipitate using ab134047 at 1/1000 dilution.

VeriBlot for IP secondary antibody (Peroxidase conjugated),was used as secondary antibody at 1/1000 dilution.

Lane 1 : Human fetal liver lysate.

Blocking and dilution buffer : 5% NFDM/TBST.

Exposure time : 1 second.

All lanes:

Immunoprecipitation - Anti-VCAM1 antibody [EPR5047] (ab134047)

Predicted band size: 81 kDa

false

Immunohistochemistry (Formalin/PFA-fixed paraffin-embedded sections) - Anti-VCAM1 antibody [EPR5047] (AB134047)
  • IHC-P

Unknown

Immunohistochemistry (Formalin/PFA-fixed paraffin-embedded sections) - Anti-VCAM1 antibody [EPR5047] (AB134047)

IHC image of VCAM1 staining in Mouse spleen formalin fixed paraffin embedded tissue section performed on a Leica Bond™ system using the standard protocol B. The section was pre-treated using heat mediated antigen retrieval with sodium citrate buffer (pH6 epitope retrieval solution 1) for 20 mins. The section was then incubated with unpurified ab134047 1/200 dilution for 15 mins at room temperature. A goat anti-rabbit biotinylated secondary antibody was used to detect the primary and visualized using an HRP conjugated ABC system. DAB was used as the chromogen. The section was then counterstained with haematoxylin and mounted with DPX.

For other IHC staining systems (automated and non-automated) customers should optimize variable parameters such as antigen retrieval conditions primary antibody concentration and antibody incubation times.

Western blot - Anti-VCAM1 antibody [EPR5047] (AB134047)
  • WB

Lab

Western blot - Anti-VCAM1 antibody [EPR5047] (AB134047)

Rabbit monoclonal [EPR16891] to GAPDH (ab181602) used as loading control.

Blocking/Diluting buffer : 5% NFDM/TBST.

Stimulation may be required to allow detection of the target protein due to low levels of endogenous expression in some samples.

All lanes:

Western blot - Anti-VCAM1 antibody [EPR5047] (ab134047) at 1/1000 dilution

Lane 1:

HUVEC (Human umbilical vein endothelial cell) whole cell lysate at 20 µg

Lane 2:

HUVEC (Human umbilical vein endothelial cell) treated with 10 ng/ml TNF-α for 16 h, whole cell lysate at 20 µg

Lane 3:

bEnd.3 (Mouse brain endothelioma) whole cell lysate at 20 µg

Lane 4:

bEnd.3 (Mouse brain endothelioma) treated with 10 μg/ml LPS for 24 h, whole cell lysate at 20 µg

Secondary

All lanes:

Western blot - Goat Anti-Rabbit IgG H&L (HRP) (<a href='/products/secondary-antibodies/goat-rabbit-igg-h-l-hrp-ab97051'>ab97051</a>) at 1/20000 dilution

Predicted band size: 81 kDa

Observed band size: 100 kDa,36 kDa

false

Exposure time: 2s

Western blot - Anti-VCAM1 antibody [EPR5047] (AB134047)
  • WB

Lab

Western blot - Anti-VCAM1 antibody [EPR5047] (AB134047)

Blocking buffer : 5% NFDM/TBST.

Dilution buffer : 5% NFDM/TBST.

All lanes:

Western blot - Anti-VCAM1 antibody [EPR5047] (ab134047) at 1/10000 dilution

All lanes:

Human fetal liver tissue lysate at 20 µg

Secondary

All lanes:

HRP goat anti-rabbit (H+L) at 1/1000 dilution

Predicted band size: 81 kDa

Observed band size: 100 kDa

false

Western blot - Anti-VCAM1 antibody [EPR5047] (AB134047)
  • WB

Lab

Western blot - Anti-VCAM1 antibody [EPR5047] (AB134047)

Lanes 1 - 6 : Merged signal (red and green). Green - ab134047 observed at 105 kDa. Red - loading control ab7291 (Mouse anti-Alpha Tubulin [DM1A]) observed at 55 kDa.

ab134047 was shown to react with VCAM1 in treated wild-type A549 cells in Western blot with loss of signal observed in treated VCAM1 knockout cell line ab273758 (knockout cell lysate ab275504). Wild-type A549 and VCAM1 knockout cell lysates were subjected to SDS-PAGE. Membranes were blocked in 3 % milk in TBS-T (0.1 % Tween®) before incubation with ab134047 and ab7291 (Mouse anti-Alpha Tubulin [DM1A]) overnight at 4 °C at a 1 in 2000 dilution and a 1 in 20000 dilution respectively. Blots were incubated with HRP conjugated Goat anti-Rabbit (H+L) and Goat anti-Mouse IgG H&L (IRDye® 680RD) preabsorbed (ab216776) secondary antibodies at 1 in 20000 dilution for 1 h at room temperature before imaging.

All lanes:

Western blot - Anti-VCAM1 antibody [EPR5047] (ab134047) at 1/2000 dilution

Lane 1:

Wild-type A549 cell lysate at 30 µg

Lane 2:

Wild-type A549 TNF-a treated (10 ng/mL, 16h) cell lysate at 30 µg

Lane 2:

Western blot - Human VCAM1 knockout A549 cell line (<a href='/products/cell-lines/human-vcam1-knockout-a549-cell-line-ab273758'>ab273758</a>)

Lane 3:

VCAM1 knockout A549 cell lysate at 30 µg

Lane 4:

VCAM1 knockout A549 TNF-a treated (10 ng/mL, 16h) cell lysate at 30 µg

Lane 5:

HUVEC cell lysate at 30 µg

Lane 6:

HUVEC TNF-a treated (16 ng/mL, 16h) cell lysate at 30 µg

Predicted band size: 81 kDa

Observed band size: 105 kDa

false

Western blot - Anti-VCAM1 antibody [EPR5047] (AB134047)
  • WB

Unknown

Western blot - Anti-VCAM1 antibody [EPR5047] (AB134047)

Blocking buffer : 5% NFDM/TBST.

Dilution buffer : 5% NFDM/TBST.

All lanes:

Western blot - Anti-VCAM1 antibody [EPR5047] (ab134047) at 1/10000 dilution

All lanes:

HuT-78 cell lysate at 10 µg

Secondary

All lanes:

HRP goat anti-rabbit (H+L) at 1/1000 dilution

Predicted band size: 81 kDa

Observed band size: 100 kDa

false

Western blot - Anti-VCAM1 antibody [EPR5047] (AB134047)
  • WB

Lab

Western blot - Anti-VCAM1 antibody [EPR5047] (AB134047)

Rabbit monoclonal [EPR16891] to GAPDH (ab181602) used as loading control.

Blocking/Diluting buffer : 5% NFDM/TBST.

All lanes:

Western blot - Anti-VCAM1 antibody [EPR5047] (ab134047) at 1/1000 dilution

Lane 1:

Hut-78 (Human Sezary syndrome cutaneous T lymphocyte) whole cell lysate at 20 µg

Lane 2:

SK-OV-3 (Human ovarian cancer epithelial cell) whole cell lysate at 20 µg

Lane 3:

RAW 264.7 (Mouse Abelson murine leukemia virus-induced tumor macrophage) whole cell lysate at 20 µg

Lane 4:

J774A.1 (Mouse reticulum cell sarcoma monocyte macrophage) whole cell lysate at 20 µg

Lane 5:

LADMAC (Mouse bone marrow monocyte macrophage) whole cell lysate at 20 µg

Secondary

All lanes:

Western blot - Goat Anti-Rabbit IgG H&L (HRP) (<a href='/products/secondary-antibodies/goat-rabbit-igg-h-l-hrp-ab97051'>ab97051</a>) at 1/20000 dilution

Predicted band size: 81 kDa

Observed band size: 100 kDa,36 kDa

false

Exposure time: 7s

Western blot - Anti-VCAM1 antibody [EPR5047] (AB134047)
  • WB

Lab

Western blot - Anti-VCAM1 antibody [EPR5047] (AB134047)

Blocking buffer : 5% NFDM/TBST.

Dilution buffer : 5% NFDM/TBST.

All lanes:

Western blot - Anti-VCAM1 antibody [EPR5047] (ab134047) at 1/2000 dilution

All lanes:

Rat kidney tissue lysate at 20 µg

Secondary

All lanes:

HRP goat anti-rabbit (H+L) at 1/1000 dilution

Predicted band size: 81 kDa

Observed band size: 100 kDa

false

Western blot - Anti-VCAM1 antibody [EPR5047] (AB134047)
  • WB

Lab

Western blot - Anti-VCAM1 antibody [EPR5047] (AB134047)

Blocking buffer : 5% NFDM/TBST.

Dilution buffer : 5% NFDM/TBST.

All lanes:

Western blot - Anti-VCAM1 antibody [EPR5047] (ab134047) at 1/10000 dilution

All lanes:

NIH/3T3 cell lysate at 10 µg

Secondary

All lanes:

HRP goat anti-rabbit (H+L) at 1/1000 dilution

Predicted band size: 81 kDa

Observed band size: 100 kDa

false

Indirect ELISA - Anti-VCAM1 antibody [EPR5047] (AB134047)
  • I-ELISA

Unknown

Indirect ELISA - Anti-VCAM1 antibody [EPR5047] (AB134047)

ELISA using ab134047 at varying antibody concentrations and antigen concentration at 250 ng/mL. An Alkaline Phosphatase-conjugated AffiniPure Goat Anti-Rabbit IgG (H+L) (1/2500) was used as the secondary antibody.

Western blot - Anti-VCAM1 antibody [EPR5047] (AB134047)
  • WB

Unknown

Western blot - Anti-VCAM1 antibody [EPR5047] (AB134047)

All lanes:

Western blot - Anti-VCAM1 antibody [EPR5047] (ab134047) at 1/1000 dilution

Lane 1:

Human fetal liver tissue lysate at 10 µg

Lane 2:

HuT 78 cell lysate at 10 µg

Lane 3:

NIH/3T3 cell lysate at 10 µg

Lane 4:

Mouse brain tissue lysate at 10 µg

Lane 5:

Mouse kidney tissue lysate at 10 µg

Lane 6:

Mouse spleen tissue lysate at 10 µg

Lane 7:

Rat brain tissue lysate at 10 µg

Lane 8:

Rat kidney tissue lysate at 10 µg

Lane 9:

Rat spleen tissue lysate at 10 µg

Secondary

All lanes:

Western blot - Goat Anti-Rabbit IgG H&L (HRP) (<a href='/products/secondary-antibodies/goat-rabbit-igg-h-l-hrp-ab6721'>ab6721</a>) at 1/2000 dilution

Predicted band size: 81 kDa

false

関連する標識済み抗体及び組成の異なる製品 (7)

  • 519 FITC

    FITC Anti-VCAM1 antibody [EPR5047]

  • HRP

    HRP Anti-VCAM1 antibody [EPR5047]

  • 578 PE

    PE Anti-VCAM1 antibody [EPR5047]

  • 660 APC

    APC Anti-VCAM1 antibody [EPR5047]

  • 665 Alexa Fluor® 647

    Alexa Fluor® 647 Anti-VCAM1 antibody [EPR5047]

  • Carrier free

    Anti-VCAM1 antibody [EPR5047] - BSA and Azide free

  • Carrier free

    Anti-VCAM1 antibody [EPR5047] - Low endotoxin, Azide free

Key facts

宿主種

Rabbit

クローン性

Monoclonal

クローン番号

EPR5047

アイソタイプ

IgG

キャリアフリー

No

交差種

Mouse, Rat, Human

アプリケーション

WB, I-ELISA, IP, IHC-P, Flow Cyt (Intra), ICC/IF

applications

免疫原

The exact immunogen used to generate this antibody is proprietary information.

Reactivity data

{ "title": "Reactivity Data", "filters": { "stats": ["", "Species", "Dilution Info", "Notes"], "tabs": { "all-applications": {"fullname" : "All Applications", "shortname": "All Applications"}, "IHCP" : {"fullname" : "Immunohistochemistry (Formalin/PFA-fixed paraffin-embedded sections)", "shortname":"IHC-P"}, "IP" : {"fullname" : "Immunoprecipitation", "shortname":"IP"}, "IELISA" : {"fullname" : "Indirect ELISA", "shortname":"I-ELISA"}, "WB" : {"fullname" : "Western blot", "shortname":"WB"}, "ICCIF" : {"fullname" : "Immunocytochemistry/ Immunofluorescence", "shortname":"ICC/IF"}, "FlowCytIntra" : {"fullname" : "Flow Cytometry (Intracellular)", "shortname":"Flow Cyt (Intra)"} }, "product-promise": { "all": "all", "testedAndGuaranteed": "tested", "guaranteed": "expected", "predicted": "predicted", "notRecommended": "not-recommended" } }, "values": { "Human": { "IHCP-species-checked": "testedAndGuaranteed", "IHCP-species-dilution-info": "1/500 - 1/1000", "IHCP-species-notes": "<p></p> Perform heat-mediated antigen retrieval before commencing with IHC staining protocol.", "IP-species-checked": "testedAndGuaranteed", "IP-species-dilution-info": "1/40", "IP-species-notes": "<p></p>", "IELISA-species-checked": "guaranteed", "IELISA-species-dilution-info": "", "IELISA-species-notes": "", "WB-species-checked": "testedAndGuaranteed", "WB-species-dilution-info": "1/2000 - 1/10000", "WB-species-notes": "<p>Stimulation may be required to allow detection of the target protein due to low levels of endogenous expression in some samples. Please see images below for recommended treatment conditions and positive controls.</p>", "ICCIF-species-checked": "testedAndGuaranteed", "ICCIF-species-dilution-info": "1/250", "ICCIF-species-notes": "<p></p>", "FlowCytIntra-species-checked": "testedAndGuaranteed", "FlowCytIntra-species-dilution-info": "1/40", "FlowCytIntra-species-notes": "<p></p>" }, "Mouse": { "IHCP-species-checked": "testedAndGuaranteed", "IHCP-species-dilution-info": "1/500 - 1/1000", "IHCP-species-notes": "<p></p> Perform heat-mediated antigen retrieval before commencing with IHC staining protocol.", "IP-species-checked": "guaranteed", "IP-species-dilution-info": "", "IP-species-notes": "", "IELISA-species-checked": "guaranteed", "IELISA-species-dilution-info": "", "IELISA-species-notes": "", "WB-species-checked": "testedAndGuaranteed", "WB-species-dilution-info": "1/2000 - 1/10000", "WB-species-notes": "<p>Stimulation may be required to allow detection of the target protein due to low levels of endogenous expression in some samples. Please see images below for recommended treatment conditions and positive controls.</p>", "ICCIF-species-checked": "guaranteed", "ICCIF-species-dilution-info": "", "ICCIF-species-notes": "", "FlowCytIntra-species-checked": "guaranteed", "FlowCytIntra-species-dilution-info": "", "FlowCytIntra-species-notes": "" }, "Rat": { "IHCP-species-checked": "guaranteed", "IHCP-species-dilution-info": "", "IHCP-species-notes": "", "IP-species-checked": "guaranteed", "IP-species-dilution-info": "", "IP-species-notes": "", "IELISA-species-checked": "guaranteed", "IELISA-species-dilution-info": "", "IELISA-species-notes": "", "WB-species-checked": "testedAndGuaranteed", "WB-species-dilution-info": "1/2000 - 1/10000", "WB-species-notes": "<p>Stimulation may be required to allow detection of the target protein due to low levels of endogenous expression in some samples. Please see images below for recommended treatment conditions and positive controls.</p>", "ICCIF-species-checked": "guaranteed", "ICCIF-species-dilution-info": "", "ICCIF-species-notes": "", "FlowCytIntra-species-checked": "guaranteed", "FlowCytIntra-species-dilution-info": "", "FlowCytIntra-species-notes": "" }, "Synthetic peptide": { "IHCP-species-checked": "notRecommended", "IHCP-species-dilution-info": "", "IHCP-species-notes": "", "IP-species-checked": "notRecommended", "IP-species-dilution-info": "", "IP-species-notes": "", "IELISA-species-checked": "testedAndGuaranteed", "IELISA-species-dilution-info": "", "IELISA-species-notes": "<p></p>", "WB-species-checked": "notRecommended", "WB-species-dilution-info": "", "WB-species-notes": "", "ICCIF-species-checked": "notRecommended", "ICCIF-species-dilution-info": "", "ICCIF-species-notes": "", "FlowCytIntra-species-checked": "notRecommended", "FlowCytIntra-species-dilution-info": "", "FlowCytIntra-species-notes": "" } } }

製品の詳細

Anti-VCAM1 antibody [EPR5047] (ab134047) was developed by Abcam using patented rabbit monoclonal antibody technology and is validated for use in Flow Cyt (Intra), I-ELISA, ICC/IF, IHC-P, IP and WB.

Anti-VCAM1 antibody [EPR5047] (ab134047) was first used in a scientific publication in 2013 and has been cited over 309 times in peer reviewed journals. It's performance in Western Blot and IHC in mouse and human samples is trusted by the scientific community.

Abcam's high quality manufacturing and validation processes ensure Anti-VCAM1 antibody [EPR5047] (ab134047) has high sensitivity and specificity alongside high lot-to-lot consistency and reproducibility.

The specificity of Anti-VCAM1 antibody [EPR5047] (ab134047) has been confirmed by Western Blot testing in VCAM1 knockout A549 cells (ab273758).

Anti-VCAM1 antibody [EPR5047] (ab134047) has 16 independent reviews from customers.

Anti-VCAM1 antibody [EPR5047] (ab134047) specifically detects VCAM1 (UniProt ID: P29533; Molecular weight: 79kDa) and is sold in 100 µL and 1 mL selling sizes.

Conjugation-ready, carrier free format available for antibody clone EPR5047 - ab215380.

Antibody clone EPR5047 is also available pre-conjugated to a variety of labels for your convenience - Alexa Fluor® 647, HRP, PE, FITC, APC (ab194319, ab195540, ab223981, ab223982, ab223983).

- Specificity confirmed with SYP knockout cell line validation

Patented technology
Our RabMAb® technology is a patented hybridoma-based technology for making rabbit monoclonal antibodies. For details on our patents, please refer to RabMAb® patents.

What are the advantages of a recombinant monoclonal antibody?
This product is a recombinant monoclonal antibody, which offers several advantages including:

  • - High batch-to-batch consistency and reproducibility
  • - Improved sensitivity and specificity
  • - Long-term security of supply
  • - Animal-free batch production

For more information, read more on recombinant antibodies.

出荷温度及び保存条件

製品の状態
Liquid
精製方法
Affinity purification Protein A
バッファー組成
pH: 7.2 - 7.4 Preservative: 0.01% Sodium azide Constituents: PBS, 40% Glycerol (glycerin, glycerine), 0.05% BSA
出荷温度
Blue Ice
短期保存期間
1-2 weeks
短期保存温度
+4°C
長期保存温度
-20°C
分注に関する情報
Upon delivery aliquot
保管に関する情報
Stable for 12 months at -20°C

補足情報

This supplementary information is collated from multiple sources and compiled automatically.

VCAM1 also known as vascular cell adhesion molecule 1 plays an important role in mediating adhesion and signal transduction. VCAM1 has an approximate molecular mass of 110 kDa. It is expressed on the surface of endothelial cells and can be upregulated by cytokines released during inflammation. The protein serves as a ligand for the integrin VLA-4 also known as α4β1 and contributes to the adhesion of leukocytes to endothelial cells.
Biological function summary

Adhesion molecules like VCAM1 participate in immune response by recruiting leukocytes to sites of inflammation. VCAM1 helps guide immune cells to directed locations where they perform defense activities. Although VCAM1 is not part of any known large protein complex its interaction with integrins facilitates the migration of immune cells across the endothelium and into tissue.

Pathways

VCAM1 contributes significantly to the leukocyte extravasation process in inflammatory pathways. It plays a role in both the cytokine-cytokine receptor interaction pathway and the NF-κB signaling pathway which are essential for immune response and cell signaling. Through these pathways it interacts with proteins like ICAM1 and various chemokines helping to coordinate the immune cell movement through vascular tissue barriers.

Abnormal regulation of VCAM1 links to various cardiovascular diseases such as atherosclerosis and inflammatory diseases like rheumatoid arthritis. The protein levels may increase in these conditions promoting excessive immune cell recruitment and tissue damage. VCAM1 also interfaces with other proteins like ICAM1 in these pathological states which together contribute to the progression and severity of these diseases.

製品プロトコール

For this product, it's our understanding that no specific protocols are required. You can visit:

ターゲットの情報

Cell adhesion glycoprotein predominantly expressed on the surface of endothelial cells that plays an important role in immune surveillance and inflammation (PubMed : 31310649). Acts as a major regulator of leukocyte adhesion to the endothelium through interaction with different types of integrins (PubMed : 10209034). During inflammatory responses, binds ligands on the surface of activated endothelial cells to initiate the activation of calcium channels and the plasma membrane-associated small GTPase RAC1 leading to leukocyte transendothelial migration (PubMed : 22970700). Serves also as a quality-control checkpoint for entry into bone marrow by providing a 'don't-eat-me' stamping in the context of major histocompatibility complex (MHC) class-I presentation (PubMed : 35210567).
See full target information VCAM1

文献 (430)

Recent publications for all applications. Explore the full list and refine your search

Journal of cell communication and signaling 19:e70048 PubMed41040887

2025

Targeting the PI3K/Akt/NF-κB axis: Cluster of differentiation 5-like-mediated immunometabolic regulation of macrophage polarization in abdominal aortic aneurysm.

Applications

Unspecified application

Species

Unspecified reactive species

Hemoren Yi,Nan Liu,Zhengyang Wu,Lei Li,Tingting Li,Qixiang Liu,Man Duan,Taihu Wan

Stem cell research & therapy 16:507 PubMed41013769

2025

E2 pretreatment alleviates aggregation of intravenously injected mesenchymal stem cells in TBI by regulating BRG1 to affect adhesion.

Applications

Unspecified application

Species

Unspecified reactive species

Wangan Li,Xiangyu Wang,Zhiming Feng,Shiting Hua,Xiaoxiong Zou,Zelin Lai,Yingqian Cai,Yuxi Zou,Yanping Tang,Cai Lin,Guobiao Luo,Xiaolin Cai,Xiaodan Jiang

Drug design, development and therapy 19:7603-7621 PubMed40918953

2025

Anti-Inflammatory Modified Fuzi Decoction Antagonizes Synovial TNF-α/TRAF2/NF-κB Signaling to Remedy Osteoarthritis.

Applications

Unspecified application

Species

Unspecified reactive species

Yue Wang,Jiadan Ren,Huixin Chen,Xiaotian Chen,Bo Yan,Wenting Xu,Xiujuan Xiao,Qiang Yuan,Letian Shan,Li Zhou

Acta neuropathologica communications 13:171 PubMed40796891

2025

Cerebrovascular p16 expression induces cerebral small vessel disease-related phenotypes.

Applications

Unspecified application

Species

Unspecified reactive species

Keiji Kawatani,Tomonori Aikawa,Zeynab Tabrizi,Yining Pan,Yingxue Ren,Ni Wang,Aishe Kurti,Toshihiko Nambara,Clark C Ikezu,Francis Shue,Michael Bamkole,Yasuteru Inoue,Tammee M Parsons,Guojun Bu,Qianqian Song,Oliver Bracko,Takahisa Kanekiyo

Frontiers in pharmacology 16:1631076 PubMed40771928

2025

Ginsenoside Rb1 mitigates atherosclerosis in part through modulating FTO-mediated mA RNA modification in NETs-induced endothelial activation.

Applications

Unspecified application

Species

Unspecified reactive species

Zhenni Yang,Minqi Xiong,Xinmiao Tang,Peiwei Wang,Jingang Cui,Yu Chen,Teng Zhang

Arteriosclerosis, thrombosis, and vascular biology 45:1574-1592 PubMed40703064

2025

Chronic Pod-Mod E-Cigarette Aerosol Exposure Induces Aortic Dysfunction in Hypercholesterolemic Mice: Role of Oxidative Stress and Inflammation.

Applications

Unspecified application

Species

Unspecified reactive species

Yasmeen M Farra,Simone Sabnis,Jacqueline Matz,Hannah I B Wilker,Victoria A Williams,Oliver Trejo,Hannah Kim,Cristobal F Rivera,John Vlahos,Bhama Ramkhelawon,Jessica M Oakes,Chiara Bellini

Nature communications 16:6232 PubMed40623996

2025

Orphan receptor GPR153 facilitates vascular damage responses by modulating cAMP levels, YAP/TAZ signaling, and NF-κB activation.

Applications

Unspecified application

Species

Unspecified reactive species

Jingchen Shao,Jeonghyeon Kwon,Tianpeng Wang,Stefan Günther,Lukas S Tombor,Timothy Warwick,Zaib Shaheryar,Ralf P Brandes,Stefanie Dimmeler,Jan Wenzel,Stefan Offermanns,Markus Schwaninger,Nina Wettschureck

World journal of diabetes 16:105173 PubMed40548267

2025

Mechanism of the epidermal growth factor receptor in promoting endothelial cell dysfunction in gestational diabetes mellitus.

Applications

Unspecified application

Species

Unspecified reactive species

Dan Tang,Cheng-Fen Wang,Jue Wang,Xiao-Tao Jing,Jing Ma

International journal of biological sciences 21:3444-3460 PubMed40520025

2025

Endothelial SIRT3 deficiency predisposes brown adipose tissue to whitening in diet-induced obesity.

Applications

Unspecified application

Species

Unspecified reactive species

Qing Zhou,Zongshi Lu,Bowen Wang,Yuyan Wang,Li Li,Mei You,Lijuan Wang,Tingbing Cao,Dan Tong,Jie Xiang,Yu Zhao,Qiang Li,Aidi Mou,Wentao Shu,Hongbo He,Zhigang Zhao,Daoyan Liu,Zhiming Zhu,Peng Gao,Zhencheng Yan

CNS neuroscience & therapeutics 31:e70456 PubMed40421577

2025

Endothelial Changes at Different Stages After Ischemic Stroke Contribute to the Regulation of Immune Cell Infiltration.

Applications

Unspecified application

Species

Unspecified reactive species

Xuejiao Dai,Xiaotao Zhang,Jiarui Chen,Qia Zhang,Huaming Li,An Ping,Yuchen Liu,Jingyi Zhou,Jianmin Zhang,Ligen Shi,Jianan Lu
View all publications

Abcam product promise

当社は、高品質な試薬を通じてお客様の研究を力強くサポートすることをお約束いたします。ご使用いただく各段階で、常にお客様をサポートできる体制を整えております。万が一、製品が期待通りに機能しない場合は、「Abcam Product Promise」による当社保証制度に基づき、安心してご利用いただけます。
保証に関する詳細については利用規約をご確認ください。

Please note: All products are 'FOR RESEARCH USE ONLY. NOT FOR USE IN DIAGNOSTIC OR THERAPEUTIC PROCEDURES'.

For licensing inquiries, please contact partnerships@abcam.com