JavaScript is disabled in your browser. Please enable JavaScript to view this website.
AB47268

Anti-VASP (phospho S157) 抗体

Anti-VASP (phospho S157) antibody

4

(2 Reviews)

|

(5 Publications)

Rabbit Polyclonal VASP phospho S157 antibody. Suitable for ELISA, WB, IHC-P, ICC/IF and reacts with Mouse, Human samples. Cited in 5 publications. Immunogen corresponding to Synthetic Peptide within Human Vasodilator-stimulated phosphoprotein phospho S157 aa 100-200.

別名を表示する

Vasodilator-stimulated phosphoprotein, VASP

2 Images
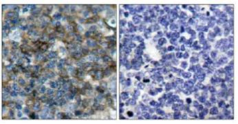
Immunohistochemistry (Formalin/PFA-fixed paraffin-embedded sections) - Anti-VASP (phospho S157) antibody (AB47268)
  • IHC-P

Unknown

Immunohistochemistry (Formalin/PFA-fixed paraffin-embedded sections) - Anti-VASP (phospho S157) antibody (AB47268)

ab47268, at 1/50 dilution, staining VASP in Human tonsil tissue by Immunohistochemistry, Paraffin-embedded tissue. Left panel : no peptide; right panel : with immunizing phosphopeptide.

Western blot - Anti-VASP (phospho S157) antibody (AB47268)
  • WB

Unknown

Western blot - Anti-VASP (phospho S157) antibody (AB47268)

All lanes:

Western blot - Anti-VASP (phospho S157) antibody (ab47268)

Lane 1:

NIH/3T3 cell extract treated with forskolin (40µM, 30 min)

Lane 2:

NIH/3T3 cell extract

Predicted band size: 39 kDa

false

Key facts

宿主種

Rabbit

クローン性

Polyclonal

アイソタイプ

IgG

キャリアフリー

No

交差種

Mouse, Human

アプリケーション

IHC-P, ICC/IF, ELISA, WB

applications

免疫原

Synthetic Peptide within Human Vasodilator-stimulated phosphoprotein phospho S157 aa 100-200. The exact immunogen used to generate this antibody is proprietary information.

P50552

Reactivity data

{ "title": "Reactivity Data", "filters": { "stats": ["", "Species", "Dilution Info", "Notes"], "tabs": { "all-applications": {"fullname" : "All Applications", "shortname": "All Applications"}, "ELISA" : {"fullname" : "ELISA", "shortname":"ELISA"}, "WB" : {"fullname" : "Western blot", "shortname":"WB"}, "IHCP" : {"fullname" : "Immunohistochemistry (Formalin/PFA-fixed paraffin-embedded sections)", "shortname":"IHC-P"}, "ICCIF" : {"fullname" : "Immunocytochemistry/ Immunofluorescence", "shortname":"ICC/IF"} }, "product-promise": { "all": "all", "testedAndGuaranteed": "tested", "guaranteed": "expected", "predicted": "predicted", "notRecommended": "not-recommended" } }, "values": { "Human": { "ELISA-species-checked": "guaranteed", "ELISA-species-dilution-info": "", "ELISA-species-notes": "<p></p>", "WB-species-checked": "guaranteed", "WB-species-dilution-info": "", "WB-species-notes": "", "IHCP-species-checked": "testedAndGuaranteed", "IHCP-species-dilution-info": "", "IHCP-species-notes": "<p></p>", "ICCIF-species-checked": "guaranteed", "ICCIF-species-dilution-info": "", "ICCIF-species-notes": "<p></p>" }, "Mouse": { "ELISA-species-checked": "guaranteed", "ELISA-species-dilution-info": "", "ELISA-species-notes": "<p></p>", "WB-species-checked": "testedAndGuaranteed", "WB-species-dilution-info": "1/500 - 1/1000", "WB-species-notes": "<p></p>", "IHCP-species-checked": "guaranteed", "IHCP-species-dilution-info": "", "IHCP-species-notes": "", "ICCIF-species-checked": "guaranteed", "ICCIF-species-dilution-info": "", "ICCIF-species-notes": "<p></p>" }, "Rat": { "ELISA-species-checked": "predicted", "ELISA-species-dilution-info": "", "ELISA-species-notes": "", "WB-species-checked": "predicted", "WB-species-dilution-info": "", "WB-species-notes": "", "IHCP-species-checked": "predicted", "IHCP-species-dilution-info": "", "IHCP-species-notes": "", "ICCIF-species-checked": "predicted", "ICCIF-species-dilution-info": "", "ICCIF-species-notes": "" } } }

出荷温度及び保存条件

製品の状態
Liquid
精製方法
Affinity purification Immunogen
精製に関する特記事項
This antibody was affinity purified from rabbit antiserum by affinity chromatography using epitope specific phosphopeptide. The antibody against non-phosphopeptide was removed by chromatography using non-phosphopeptide corresponding to the phosphorlyation site.
バッファー組成
pH: 7.4 Preservative: 0.02% Sodium azide Constituents: PBS, 50% Glycerol (glycerin, glycerine), 0.87% Sodium chloride
出荷温度
Blue Ice
短期保存温度
+4°C
長期保存温度
-20°C
保管に関する情報
Stable for 12 months at -20°C

補足情報

This supplementary information is collated from multiple sources and compiled automatically.

VASP also known as Vasodilator-Stimulated Phosphoprotein is a 46-50 kDa protein involved in actin filament assembly and elongation. It plays an important role in cellular motility and the maintenance of cell shape. VASP is expressed in many cell types but is notably present in platelets and endothelial cells. It is an important player in signal transduction pathways that lead to cytoskeletal reorganization influencing cell movement and adhesion dynamics.
Biological function summary

VASP is an important component in cell movement regulation. It acts within a larger complex of actin-binding proteins that control the assembly of actin filaments. This protein influences cell adhesion migration and signal transduction processes. Through these actions VASP influences cellular responses to environmental cues making it essential for cellular dynamics and integrity during development and wound healing.

Pathways

VASP connects to significant signaling pathways such as the PI3K/Akt pathway and the cAMP pathway. It often interacts with proteins like c-Abl tyrosine kinase and Mena contributing to actin dynamics regulation. These pathways are critical for transducing signals from extracellular environments to intracellular responses allowing for coordinated cellular functions in processes such as cell migration and growth.

VASP plays a role in cardiovascular disease and cancer-related metastasis due to its function in cell motility and adhesion. Abnormal VASP activity is associated with impaired endothelial cell function and contributes to atherosclerosis development. Additionally it interacts with proteins like Mena and fascin in cancer cells aiding in metastatic progression by enhancing motility and invasive capabilities.

製品プロトコール

For this product, it's our understanding that no specific protocols are required. You can visit:

ターゲットの情報

Ena/VASP proteins are actin-associated proteins involved in a range of processes dependent on cytoskeleton remodeling and cell polarity such as axon guidance, lamellipodial and filopodial dynamics, platelet activation and cell migration. VASP promotes actin filament elongation. It protects the barbed end of growing actin filaments against capping and increases the rate of actin polymerization in the presence of capping protein. VASP stimulates actin filament elongation by promoting the transfer of profilin-bound actin monomers onto the barbed end of growing actin filaments. Plays a role in actin-based mobility of Listeria monocytogenes in host cells. Regulates actin dynamics in platelets and plays an important role in regulating platelet aggregation.
See full target information Vasodilator-stimulated phosphoprotein phospho S157

文献 (5)

Recent publications for all applications. Explore the full list and refine your search

The Journal of clinical investigation 135: PubMed40762838

2025

The protein deacetylase SIRT2 exerts metabolic control over adaptive β cell proliferation.

Applications

Unspecified application

Species

Unspecified reactive species

Matthew Wortham,Bastian Ramms,Chun Zeng,Jacqueline R Benthuysen,Somesh Sai,Dennis P Pollow,Fenfen Liu,Michael Schlichting,Austin R Harrington,Bradley Liu,Thazha P Prakash,Elaine C Pirie,Han Zhu,Siyouneh Baghdasarian,Sean T Lee,Victor A Ruthig,Kristen L Wells,Johan Auwerx,Orian S Shirihai,Maike Sander

Developmental cell 58:522-534.e7 PubMed36924770

2023

Identifying constitutive and context-specific molecular-tension-sensitive protein recruitment within focal adhesions.

Applications

Unspecified application

Species

Unspecified reactive species

Arnold Tao,Andrew S LaCroix,T Curtis Shoyer,Vidya Venkatraman,Karen L Xu,Bradley Feiger,Brenton D Hoffman

Molecular medicine reports 22:2364-2372 PubMed32705202

2020

Asiaticoside produces an antidepressant‑like effect in a chronic unpredictable mild stress model of depression in mice, involving reversion of inflammation and the PKA/pCREB/BDNF signaling pathway.

Applications

Unspecified application

Species

Unspecified reactive species

Luoqing Wang,Ting Guo,Yuanfang Guo,Yujie Xu

The Journal of biological chemistry 295:9433-9444 PubMed32409581

2020

AKT Ser/Thr kinase increases V-ATPase-dependent lysosomal acidification in response to amino acid starvation in mammalian cells.

Applications

Unspecified application

Species

Unspecified reactive species

Michael P Collins,Laura A Stransky,Michael Forgac

Nature genetics 47:647-53 PubMed25961942

2015

PDE3A mutations cause autosomal dominant hypertension with brachydactyly.

Applications

Unspecified application

Species

Unspecified reactive species

Philipp G Maass,Atakan Aydin,Friedrich C Luft,Carolin Schächterle,Anja Weise,Sigmar Stricker,Carsten Lindschau,Martin Vaegler,Fatimunnisa Qadri,Hakan R Toka,Herbert Schulz,Peter M Krawitz,Dmitri Parkhomchuk,Jochen Hecht,Irene Hollfinger,Yvette Wefeld-Neuenfeld,Eireen Bartels-Klein,Astrid Mühl,Martin Kann,Herbert Schuster,David Chitayat,Martin G Bialer,Thomas F Wienker,Jürg Ott,Katharina Rittscher,Thomas Liehr,Jens Jordan,Ghislaine Plessis,Jens Tank,Knut Mai,Ramin Naraghi,Russell Hodge,Maxwell Hopp,Lars O Hattenbach,Andreas Busjahn,Anita Rauch,Fabrice Vandeput,Maolian Gong,Franz Rüschendorf,Norbert Hübner,Hermann Haller,Stefan Mundlos,Nihat Bilginturan,Matthew A Movsesian,Enno Klussmann,Okan Toka,Sylvia Bähring
View all publications

Abcam product promise

当社は、高品質な試薬を通じてお客様の研究を力強くサポートすることをお約束いたします。ご使用いただく各段階で、常にお客様をサポートできる体制を整えております。万が一、製品が期待通りに機能しない場合は、「Abcam Product Promise」による当社保証制度に基づき、安心してご利用いただけます。
保証に関する詳細については利用規約をご確認ください。

Please note: All products are 'FOR RESEARCH USE ONLY. NOT FOR USE IN DIAGNOSTIC OR THERAPEUTIC PROCEDURES'.

For licensing inquiries, please contact partnerships@abcam.com