JavaScript is disabled in your browser. Please enable JavaScript to view this website.
AB250322

Anti-VAPA 抗体 [EPR13589(B)] - BSA and Azide free

Anti-VAPA antibody [EPR13589(B)] - BSA and Azide free

Be the first to review this product! Submit a review

|

(1 Publication)

Rabbit Recombinant Monoclonal VAPA antibody. Carrier free. Suitable for IHC-P, WB and reacts with Human samples. Cited in 1 publication.

別名を表示する

VAP33, VAPA, Vesicle-associated membrane protein-associated protein A, VAMP-A, VAMP-associated protein A, VAP-A, 33 kDa VAMP-associated protein, VAP-33

3 Images
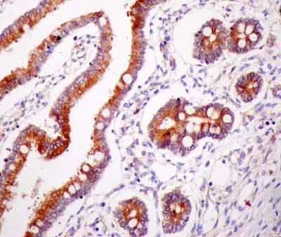
Immunohistochemistry (Formalin/PFA-fixed paraffin-embedded sections) - Anti-VAPA antibody [EPR13589(B)] - BSA and Azide free (AB250322)
  • IHC-P

Supplier Data

Immunohistochemistry (Formalin/PFA-fixed paraffin-embedded sections) - Anti-VAPA antibody [EPR13589(B)] - BSA and Azide free (AB250322)

This data was developed using ab181067, the same antibody clone in a different buffer formulation.

Immunohistochemical analysis of Human fetal colon tissue, staining VAPA with ab181067 at 1/100 dilution. Detected using HRP Polymer for Rabbit IgG and counter-stained using hematoxylin.

Perform heat mediated antigen retrieval with citrate buffer pH 6 before commencing with IHC staining protocol.

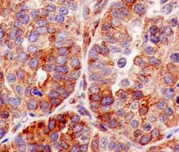
Immunohistochemistry (Formalin/PFA-fixed paraffin-embedded sections) - Anti-VAPA antibody [EPR13589(B)] - BSA and Azide free (AB250322)
  • IHC-P

Supplier Data

Immunohistochemistry (Formalin/PFA-fixed paraffin-embedded sections) - Anti-VAPA antibody [EPR13589(B)] - BSA and Azide free (AB250322)

This data was developed using ab181067, the same antibody clone in a different buffer formulation.

Immunohistochemical analysis of Human ovarian carcinoma, staining VAPA with ab181067 at 1/100 dilution. Detected using HRP Polymer for Rabbit IgG and counter-stained using hematoxylin.

Perform heat mediated antigen retrieval with citrate buffer pH 6 before commencing with IHC staining protocol.

Western blot - Anti-VAPA antibody [EPR13589(B)] - BSA and Azide free (AB250322)
  • WB

Supplier Data

Western blot - Anti-VAPA antibody [EPR13589(B)] - BSA and Azide free (AB250322)

This data was developed using ab181067, the same antibody clone in a different buffer formulation.

All lanes:

Western blot - Anti-VAPA antibody [EPR13589(B)] - N-terminal (<a href='/products/primary-antibodies/vapa-antibody-epr13589b-n-terminal-ab181067'>ab181067</a>) at 1/20000 dilution

Lane 1:

HeLa cell lysate at 20 µg

Lane 2:

K562 cell lysate at 20 µg

Lane 3:

HEK293 cell lysate at 20 µg

Lane 4:

HepG2 cell lysate at 20 µg

Secondary

All lanes:

Goat Anti-Rabbit IgG, (H+L), Peroxidase conjugated at 1/1000 dilution

Predicted band size: 28 kDa

Observed band size: 28 kDa

false

関連する標識済み抗体及び組成の異なる製品 (1)

  • Unconjugated

    Anti-VAPA antibody [EPR13589(B)] - N-terminal

Key facts

宿主種

Rabbit

クローン性

Monoclonal

クローン番号

EPR13589(B)

アイソタイプ

IgG

キャリアフリー

Yes

交差種

Human

アプリケーション

IHC-P, WB

applications

免疫原

The exact immunogen used to generate this antibody is proprietary information.

Reactivity data

{ "title": "Reactivity Data", "filters": { "stats": ["", "Species", "Dilution Info", "Notes"], "tabs": { "all-applications": {"fullname" : "All Applications", "shortname": "All Applications"}, "IHCP" : {"fullname" : "Immunohistochemistry (Formalin/PFA-fixed paraffin-embedded sections)", "shortname":"IHC-P"}, "WB" : {"fullname" : "Western blot", "shortname":"WB"} }, "product-promise": { "all": "all", "testedAndGuaranteed": "tested", "guaranteed": "expected", "predicted": "predicted", "notRecommended": "not-recommended" } }, "values": { "Human": { "IHCP-species-checked": "testedAndGuaranteed", "IHCP-species-dilution-info": "", "IHCP-species-notes": "<p></p>", "WB-species-checked": "testedAndGuaranteed", "WB-species-dilution-info": "", "WB-species-notes": "<p></p>" }, "Mouse": { "IHCP-species-checked": "predicted", "IHCP-species-dilution-info": "", "IHCP-species-notes": "", "WB-species-checked": "predicted", "WB-species-dilution-info": "", "WB-species-notes": "" }, "Rat": { "IHCP-species-checked": "predicted", "IHCP-species-dilution-info": "", "IHCP-species-notes": "", "WB-species-checked": "predicted", "WB-species-dilution-info": "", "WB-species-notes": "" }, "Cow": { "IHCP-species-checked": "predicted", "IHCP-species-dilution-info": "", "IHCP-species-notes": "", "WB-species-checked": "predicted", "WB-species-dilution-info": "", "WB-species-notes": "" }, "Orangutan": { "IHCP-species-checked": "predicted", "IHCP-species-dilution-info": "", "IHCP-species-notes": "", "WB-species-checked": "predicted", "WB-species-dilution-info": "", "WB-species-notes": "" } } }

製品の詳細

ab250322 is the carrier-free version of ab181067.

Patented technology
Our RabMAb® technology is a patented hybridoma-based technology for making rabbit monoclonal antibodies. For details on our patents, please refer to RabMAb® patents.

What are the advantages of a recombinant monoclonal antibody?
This product is a recombinant monoclonal antibody, which offers several advantages including:

  • - High batch-to-batch consistency and reproducibility
  • - Improved sensitivity and specificity
  • - Long-term security of supply
  • - Animal-free batch production

For more information, read more on recombinant antibodies.

Conjugation ready
Our carrier-free antibodies are typically supplied in a PBS-only formulation, purified and free of BSA, sodium azide and glycerol. This conjugation-ready format is designed for use with fluorochromes, metal isotopes, oligonucleotides, and enzymes, which makes them ideal for antibody labelling, functional and cell-based assays, flow-based assays (e.g. mass cytometry) and Multiplex Imaging applications.

Use our conjugation kits for antibody conjugates that are ready-to-use in as little as 20 minutes with 1 minute hands-on-time and 100% antibody recovery: available for fluorescent dyes, HRP, biotin and gold.

Compatibility
This product is compatible with the Maxpar® Antibody Labeling Kit from Fluidigm, without the need for antibody preparation. Maxpar® is a trademark of Fluidigm Canada Inc.

出荷温度及び保存条件

製品の状態
Liquid
精製方法
Affinity purification
バッファー組成
pH: 7.2 - 7.4 Constituents: PBS
出荷温度
Blue Ice
短期保存温度
+4°C
長期保存温度
+4°C
保管に関する情報
Do Not Freeze

補足情報

This supplementary information is collated from multiple sources and compiled automatically.

Vesicle-associated membrane protein-associated protein A (VAPA) also known as VAP-A is an integral membrane protein involved in intracellular membrane trafficking. It has a molecular weight of approximately 33 kDa and is expressed in multiple tissues including the brain liver and muscles. Mechanically VAPA functions in the process of vesicle docking and fusion at membranes which is essential for the trafficking of proteins and lipids within cells. This protein is also a part of the endoplasmic reticulum (ER) and contributes to the formation of membrane contact sites between the ER and other organelles.
Biological function summary

In the cellular environment VAPA plays an important role in maintaining homeostasis by regulating lipid transport and metabolism. It forms a complex with several other proteins such as OSBP (oxysterol-binding protein) and CERT (ceramide transport protein) which facilitates the exchange of lipids between the ER and the Golgi apparatus. This interaction underlines VAPA’s role in lipid droplet dynamics and the synthesis of phosphatidylinositols which are critical for cell signaling and membrane integrity.

Pathways

The involvement of VAPA is significant in lipid metabolism and membrane trafficking pathways. It interacts with proteins like VAMP (vesicle-associated membrane proteins) and SNARE (soluble N-ethylmaleimide-sensitive factor attachment protein receptor) complexes which are important for exocytosis and endocytosis processes. VAPA's interaction in these pathways supports the movement of materials across cellular membranes and its regulation of lipid exchange impacts the signaling pathways influencing cell growth and differentiation.

Abnormal VAPA function relates to neurodegenerative diseases such as amyotrophic lateral sclerosis (ALS) and some forms of motor neuron disease. In such conditions VAPA’s interaction with proteins like TDP-43 (TAR DNA-binding protein 43) becomes disrupted leading to protein aggregation and neuronal toxicity. Additionally disruptions in VAPA-associated lipid transport are linked to metabolic disorders like type 2 diabetes highlighting its critical role in proper cellular communication and metabolic balance.

製品プロトコール

For this product, it's our understanding that no specific protocols are required. You can visit:

ターゲットの情報

Endoplasmic reticulum (ER)-anchored protein that mediates the formation of contact sites between the ER and endosomes via interaction with FFAT motif-containing proteins such as STARD3 or WDR44 (PubMed : 32344433, PubMed : 33124732). STARD3-VAPA interaction enables cholesterol transfer from the ER to endosomes (PubMed : 33124732). Via interaction with WDR44 participates in neosynthesized protein export (PubMed : 32344433). In addition, recruited to the plasma membrane through OSBPL3 binding (PubMed : 25447204). The OSBPL3-VAPA complex stimulates RRAS signaling which in turn attenuates integrin beta-1 (ITGB1) activation at the cell surface (PubMed : 25447204). With OSBPL3, may regulate ER morphology (PubMed : 16143324). May play a role in vesicle trafficking (PubMed : 11511104, PubMed : 19289470).
See full target information VAPA

文献 (1)

Recent publications for all applications. Explore the full list and refine your search

Evidence-based complementary and alternative medicine : eCAM 2022:7757833 PubMed36091585

2022

Esculentoside A Alleviates Intestinal Dysmotility in Ulcerative Colitis by Regulating HS/CSE and NO/nNOS Systems.

Applications

Unspecified application

Species

Unspecified reactive species

Ying Liu,Wenhua Wei,Shiwei Liang,Haicheng Fang,Jie Cao
View all publications

Abcam product promise

当社は、高品質な試薬を通じてお客様の研究を力強くサポートすることをお約束いたします。ご使用いただく各段階で、常にお客様をサポートできる体制を整えております。万が一、製品が期待通りに機能しない場合は、「Abcam Product Promise」による当社保証制度に基づき、安心してご利用いただけます。
保証に関する詳細については利用規約をご確認ください。

Please note: All products are 'FOR RESEARCH USE ONLY. NOT FOR USE IN DIAGNOSTIC OR THERAPEUTIC PROCEDURES'.

For licensing inquiries, please contact partnerships@abcam.com