JavaScript is disabled in your browser. Please enable JavaScript to view this website.
AB307667

Anti-Uteroglobin 抗体 [EPR27144-86] - BSA and Azide free

Anti-Uteroglobin antibody [EPR27144-86] - BSA and Azide free

  • BOND RX™ Validated
  • Recombinant
  • Advanced Validation
  • RabMAb
  • 詳細を見る

Be the first to review this product! Submit a review

|

(0 Publication)

Rabbit Recombinant Monoclonal Uteroglobin antibody. Carrier free. Suitable for mIHC, Flow Cyt (Intra), ICC/IF, IHC-P and reacts with Human, Transfected cell line - Human samples.

別名を表示する

CC10, CCSP, UGB, SCGB1A1, Uteroglobin, Club cell phospholipid-binding protein, Club cells 10 kDa secretory protein, Secretoglobin family 1A member 1, Urinary protein 1, CCPBP, UP-1, UP1, Urine protein 1

7 Images
Immunohistochemistry (Formalin/PFA-fixed paraffin-embedded sections) - Anti-Uteroglobin antibody [EPR27144-86] - BSA and Azide free (AB307667)
  • IHC-P

Supplier Data

Immunohistochemistry (Formalin/PFA-fixed paraffin-embedded sections) - Anti-Uteroglobin antibody [EPR27144-86] - BSA and Azide free (AB307667)

This data was developed using ab307732, the same antibody clone in a different buffer formulation. Immunohistochemical analysis of paraffin-embedded Human testis tissue labeling LAGE-1 with ab307732 at 1/2000 (0.245 ug/ml) followed by a ready to use LeicaDS9800 (Bond™ Polymer Refine Detection). Positive staining on human testis (PMID : 10399963). The section was incubated with ab307732 for 30 mins at room temperature. The immunostaining was performed on a Leica Biosystems BOND® RX instrument. Counterstained with Hematoxylin. Secondary antibody only control : Secondary antibody is a ready to use LeicaDS9800 (Bond™ Polymer Refine Detection). Heat mediated antigen retrieval was performed with Tris-EDTA buffer (pH 9.0, Epitope Retrieval Solution2) for 20 mins

Immunohistochemistry (Formalin/PFA-fixed paraffin-embedded sections) - Anti-Uteroglobin antibody [EPR27144-86] - BSA and Azide free (AB307667)
  • IHC-P

Supplier Data

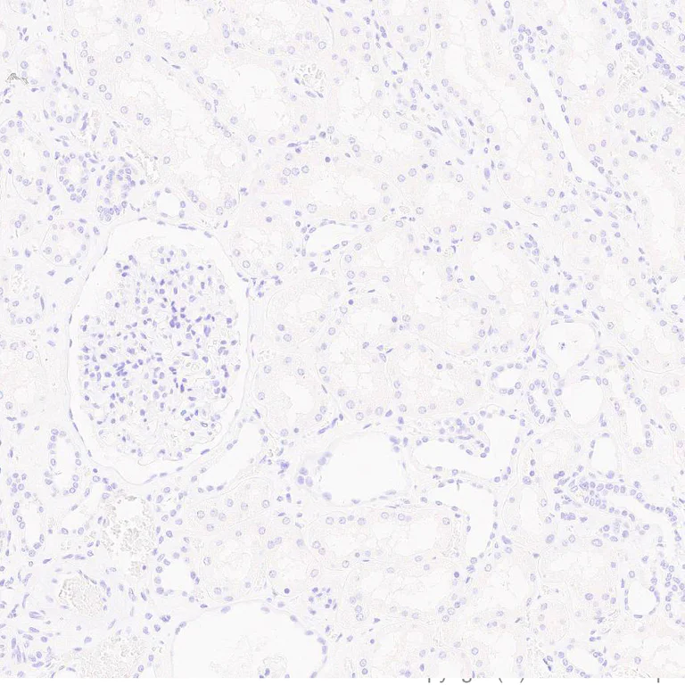
Immunohistochemistry (Formalin/PFA-fixed paraffin-embedded sections) - Anti-Uteroglobin antibody [EPR27144-86] - BSA and Azide free (AB307667)

This data was developed using ab307732, the same antibody clone in a different buffer formulation. Immunohistochemical analysis of paraffin-embedded Human kidney tissue labeling LAGE-1 with ab307732 at 1/2000 (0.245 ug/ml) followed by a ready to use LeicaDS9800 (Bond™ Polymer Refine Detection). Negative control : no staining on human kidney (PMID : 10399963). The section was incubated with ab307732 for 30 mins at room temperature. The immunostaining was performed on a Leica Biosystems BOND® RX instrument. Counterstained with Hematoxylin. Heat mediated antigen retrieval was performed with Tris-EDTA buffer (pH 9.0, Epitope Retrieval Solution2) for 20 mins.

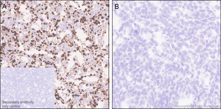
Immunohistochemistry (Formalin/PFA-fixed paraffin-embedded sections) - Anti-Uteroglobin antibody [EPR27144-86] - BSA and Azide free (AB307667)
  • IHC-P

Supplier Data

Immunohistochemistry (Formalin/PFA-fixed paraffin-embedded sections) - Anti-Uteroglobin antibody [EPR27144-86] - BSA and Azide free (AB307667)

This data was developed using ab307644, the same antibody clone in a different buffer formulation. Immunohistochemical analysis of paraffin-embedded cell pellets with ab307666 at 1/2000 (0.271 ug/ml) followed by a ready to use LeicaDS9800 (Bond™ Polymer Refine Detection). Positive staining on (A) HEK-293T (human embryonic kidney epithelial cell) transformed with a SCGB1A1 expression vector containing a his tag, no staining on (B) HEK-293T transfected with empty vector containing a his tag. The section was incubated with ab307666 for 30 mins at room temperature. The immunostaining was performed on a Leica Biosystems BOND® RX instrument. Counterstained with Hematoxylin. Secondary antibody only control : Secondary antibody is a ready to use LeicaDS9800 (Bond™ Polymer Refine Detection). Heat mediated antigen retrieval was performed with Tris-EDTA buffer (pH 9.0, Epitope Retrieval Solution2) for 20 mins.

Immunocytochemistry/ Immunofluorescence - Anti-Uteroglobin antibody [EPR27144-86] - BSA and Azide free (AB307667)
  • ICC/IF

Supplier Data

Immunocytochemistry/ Immunofluorescence - Anti-Uteroglobin antibody [EPR27144-86] - BSA and Azide free (AB307667)

This data was produced using ab307666, the same antibody clone but in a different formulation. Immunofluorescent analysis of 4% Paraformaldehyde-fixed, 0.1% Triton X-100 permeabilized HEK-293T (human embryonic kidney epithelial cell) cells transfected with a human Uteroglobin expression vector containing a myc-his tag cells labelling Uteroglobin with ab307666 at 1/1000 dilution (0.481 ug/ml), followed by ab150081 Goat Anti-Rabbit IgG H&L (Alexa Fluor® 488) preadsorbed antibody at 1/1000 dilution (2 ug/ml) (Green). Confocal image showing cytoplasmic and membranous staining in HEK-293T cells transfected with a human Uteroglobin expression vector containing a myc-his tag. Image was taken with a confocal microscope (Leica-Microsystems, TCS SP8). Myc-Tag Mouse mAb (Alexa Fluor® 647) was used to counterstain tubulin at 1/100 dilution (0.38 ug/ml) (Red). The nuclear counterstain was DAPI (Blue). Secondary antibody only control : Secondary antibody is ab150081 Goat Anti-Rabbit IgG H&L (Alexa Fluor® 488) preadsorbed at 1/1000 dilution (2 ug/ml).

Flow Cytometry (Intracellular) - Anti-Uteroglobin antibody [EPR27144-86] - BSA and Azide free (AB307667)
  • Flow Cyt (Intra)

Supplier Data

Flow Cytometry (Intracellular) - Anti-Uteroglobin antibody [EPR27144-86] - BSA and Azide free (AB307667)

This data was produced using ab307666, the same antibody but in a different formulation. Flow cytometric analysis of 4% paraformaldehyde fixed 90% methanol permeabilized HEK-293T (human embryonic kidney) cells transfected with a human Uteroglobin expression vector containing a myc-his tag or a control vector containing a myc-his tag cells labelling Uteroglobin with ab307666 at 1/500 dilution (0.1ug)/ Right compared with a Rabbit monoclonal IgG (ab172730) / Left isotype control. A Goat Anti-Rabbit IgG (Alexa Fluor® 488, ab150081) at 1/2000 dilution was used as the secondary antibody.

Multiplex immunohistochemistry - Anti-Uteroglobin antibody [EPR27144-86] - BSA and Azide free (AB307667)
  • mIHC

Lab

Multiplex immunohistochemistry - Anti-Uteroglobin antibody [EPR27144-86] - BSA and Azide free (AB307667)

This data was developed using ab307666, the same antibody clone in a different buffer formulation.

Multiplex immunohistochemistry analysis of formalin/PFA-fixed paraffin-embedded human lung tissue staining SFTPA1 + SFTPA2 with ab320648 at a 1/1000 dilution, ab213363 anti-CD68 used at 1/500 dilution and ab307666 anti-Uteroglobin used at a 1/2000 dilution.

Panel A : merged staining of anti-SFTPA1+SFTPA2 (magenta; Opal690), anti-CD68 (green; Opal520) and anti-Uteroglobin (gray; Opal570) on human lung.
Panel B : anti-SFTPA1+SFTPA2 staining alveolar type II cells in human lung.
Panel C : ant-CD68 staining macrophages in human lung.
Panel D : ant-Uteroglobin staining club cells in human lung.
Nuclear DNA was labeled with DAPI (shown in blue).

The section was incubated in three rounds of staining : in the order of ab320648, ab211363 and ab307666 for 30 mins at room temperature. Each round was followed by a separate fluorescent tyramide signal amplification system.

The immunostaining was performed on a Leica Biosystems BOND® RX instrument with an Opal 4-color kit. Image acquisition was performed with Leica SP8 confocal microscope.

Heat mediated antigen retrieval with Tris-EDTA buffer (pH 9.0, epitope retrieval solution2) for 20 mins..

Multiplex immunohistochemistry - Anti-Uteroglobin antibody [EPR27144-86] - BSA and Azide free (AB307667)
  • mIHC

Lab

Multiplex immunohistochemistry - Anti-Uteroglobin antibody [EPR27144-86] - BSA and Azide free (AB307667)

This data was developed using ab307666, the same antibody clone in a different buffer formulation.

Multiplex immunohistochemistry analysis of formalin/PFA-fixed paraffin-embedded Human lung tissue staining Prosurfactant Protein C with ab312850 at a 1 : 2000 (0.26 ug/ml) dilution; Uteroglobin with ab307666 at 1 : 2000 dilution and MARCO with ab314646 at 1 : 100 (5.1 ug/ml) dilution followed by a ready to use secondary antibody Opal Polymer HRP Ms + Rb.

Panel A : merged staining of anti-Prosurfactant Protein C (magenta; Opal™690), anti-Uteroglobin (green; Opal™520) and anti-MARCO (gray; Opal™570) on human lung.
Panel B : anti-Prosurfactant Protein C staining pneumocytes in human lung.
Panel C : anti-Uteroglobin staining club cells in human lung.
Panel D : anti-MARCO staining alveolar macrophages in human lung.
Nuclear DNA was labeled with DAPI (shown in blue).

The section was incubated in three rounds of staining : in the order of ab312850, ab307666 and ab314646 for 30 mins at room temperature. Each round was followed by a separate fluorescent tyramide signal amplification system.

The immunostaining was performed on a Leica Biosystems BOND® RX instrument with an Opal™ 4-color kit. Image acquisition was performed with Leica SP8 confocal microscope.

Heat mediated antigen retrieval with Tris-EDTA buffer (pH 9.0, epitope retrieval solution2) for 20 mins

関連する標識済み抗体及び組成の異なる製品 (4)

Key facts

宿主種

Rabbit

クローン性

Monoclonal

クローン番号

EPR27144-86

アイソタイプ

IgG

キャリアフリー

Yes

交差種

Human

アプリケーション

ICC/IF, IHC-P, mIHC, Flow Cyt (Intra)

applications

免疫原

The exact immunogen used to generate this antibody is proprietary information.

Reactivity data

{ "title": "Reactivity Data", "filters": { "stats": ["", "Species", "Dilution Info", "Notes"], "tabs": { "all-applications": {"fullname" : "All Applications", "shortname": "All Applications"}, "mIHC" : {"fullname" : "Multiplex immunohistochemistry", "shortname":"mIHC"}, "FlowCytIntra" : {"fullname" : "Flow Cytometry (Intracellular)", "shortname":"Flow Cyt (Intra)"}, "ICCIF" : {"fullname" : "Immunocytochemistry/ Immunofluorescence", "shortname":"ICC/IF"}, "IHCP" : {"fullname" : "Immunohistochemistry (Formalin/PFA-fixed paraffin-embedded sections)", "shortname":"IHC-P"}, "IP" : {"fullname" : "Immunoprecipitation", "shortname":"IP"}, "WB" : {"fullname" : "Western blot", "shortname":"WB"} }, "product-promise": { "all": "all", "testedAndGuaranteed": "tested", "guaranteed": "expected", "predicted": "predicted", "notRecommended": "not-recommended" } }, "values": { "Human": { "mIHC-species-checked": "testedAndGuaranteed", "mIHC-species-dilution-info": "", "mIHC-species-notes": "<p></p>", "FlowCytIntra-species-checked": "guaranteed", "FlowCytIntra-species-dilution-info": "", "FlowCytIntra-species-notes": "", "ICCIF-species-checked": "guaranteed", "ICCIF-species-dilution-info": "", "ICCIF-species-notes": "", "IHCP-species-checked": "guaranteed", "IHCP-species-dilution-info": "", "IHCP-species-notes": "", "IP-species-checked": "notRecommended", "IP-species-dilution-info": "", "IP-species-notes": "<p></p>", "WB-species-checked": "notRecommended", "WB-species-dilution-info": "", "WB-species-notes": "<p></p>" }, "Mouse": { "mIHC-species-checked": "notRecommended", "mIHC-species-dilution-info": "", "mIHC-species-notes": "", "FlowCytIntra-species-checked": "notRecommended", "FlowCytIntra-species-dilution-info": "", "FlowCytIntra-species-notes": "", "ICCIF-species-checked": "notRecommended", "ICCIF-species-dilution-info": "", "ICCIF-species-notes": "", "IHCP-species-checked": "notRecommended", "IHCP-species-dilution-info": "", "IHCP-species-notes": "<p></p>", "IP-species-checked": "notRecommended", "IP-species-dilution-info": "", "IP-species-notes": "<p></p>", "WB-species-checked": "notRecommended", "WB-species-dilution-info": "", "WB-species-notes": "<p></p>" }, "Rat": { "mIHC-species-checked": "notRecommended", "mIHC-species-dilution-info": "", "mIHC-species-notes": "", "FlowCytIntra-species-checked": "notRecommended", "FlowCytIntra-species-dilution-info": "", "FlowCytIntra-species-notes": "", "ICCIF-species-checked": "notRecommended", "ICCIF-species-dilution-info": "", "ICCIF-species-notes": "", "IHCP-species-checked": "notRecommended", "IHCP-species-dilution-info": "", "IHCP-species-notes": "<p></p>", "IP-species-checked": "notRecommended", "IP-species-dilution-info": "", "IP-species-notes": "", "WB-species-checked": "notRecommended", "WB-species-dilution-info": "", "WB-species-notes": "<p></p>" }, "Transfected cell line - Human": { "mIHC-species-checked": "notRecommended", "mIHC-species-dilution-info": "", "mIHC-species-notes": "", "FlowCytIntra-species-checked": "testedAndGuaranteed", "FlowCytIntra-species-dilution-info": "", "FlowCytIntra-species-notes": "<p></p>", "ICCIF-species-checked": "testedAndGuaranteed", "ICCIF-species-dilution-info": "", "ICCIF-species-notes": "<p></p>", "IHCP-species-checked": "testedAndGuaranteed", "IHCP-species-dilution-info": "", "IHCP-species-notes": "<p></p>", "IP-species-checked": "notRecommended", "IP-species-dilution-info": "", "IP-species-notes": "", "WB-species-checked": "notRecommended", "WB-species-dilution-info": "", "WB-species-notes": "" } } }

製品の詳細

Patented technology
Our RabMAb® technology is a patented hybridoma-based technology for making rabbit monoclonal antibodies. For details on our patents, please refer to RabMAb® patents.

What are the advantages of a recombinant monoclonal antibody?
This product is a recombinant monoclonal antibody, which offers several advantages including:

  • - High batch-to-batch consistency and reproducibility
  • - Improved sensitivity and specificity
  • - Long-term security of supply
  • - Animal-free batch production

For more information, read more on recombinant antibodies.

Conjugation ready
Our carrier-free antibodies are typically supplied in a PBS-only formulation, purified and free of BSA, sodium azide and glycerol. This conjugation-ready format is designed for use with fluorochromes, metal isotopes, oligonucleotides, and enzymes, which makes them ideal for antibody labelling, functional and cell-based assays, flow-based assays (e.g. mass cytometry) and Multiplex Imaging applications.

Use our conjugation kits for antibody conjugates that are ready-to-use in as little as 20 minutes with 1 minute hands-on-time and 100% antibody recovery: available for fluorescent dyes, HRP, biotin and gold.

Compatibility
This product is compatible with the Maxpar® Antibody Labeling Kit from Fluidigm, without the need for antibody preparation. Maxpar® is a trademark of Fluidigm Canada Inc.

出荷温度及び保存条件

製品の状態
Liquid
精製方法
Affinity purification Protein A
バッファー組成
pH: 7.2 - 7.4 Constituents: PBS
出荷温度
Blue Ice
短期保存温度
+4°C
長期保存温度
+4°C

補足情報

This supplementary information is collated from multiple sources and compiled automatically.

Uteroglobin also known as Clara cell secretory protein (CC16) is a small secreted protein with a molecular mass of approximately 16 kDa. Expressed chiefly in the respiratory epithelium of the lungs particularly by Clara cells it is also present in other tissues such as the kidney and uterus. Uteroglobin acts as an anti-inflammatory and immunomodulatory protein playing an important role in protecting epithelial cells from damage by various harmful agents.
Biological function summary

Uteroglobin serves as a multifunctional secretory agent contributing to the regulation of inflammation and tissue remodeling. It does not form part of a larger complex but acts independently. By binding and inhibiting pro-inflammatory mediators like phospholipase A2 Uteroglobin reduces the production of arachidonic acid derivatives which are involved in inflammatory processes. Additionally it acts as a chemoattractant for certain immune cells further modulating immune responses.

Pathways

Uteroglobin integrates into the immune response and inflammation pathways. It indirectly interacts with proteins such as cytokines and chemokines influencing pathways like the arachidonic acid metabolism pathway and the leukocyte extravasation signaling pathway. These interactions reduce inflammatory response and regulate immune cell movement demonstrating its anti-inflammatory function.

Low levels of Uteroglobin have been associated with respiratory conditions such as asthma and chronic obstructive pulmonary disease (COPD). By affecting inflammation pathways Uteroglobin interacts with inflammatory cytokines which exacerbate these conditions. Additionally its connection to proteins involved in these pathways makes it a potential biomarker for assessing lung injury and monitoring disease progression.

製品プロトコール

For this product, it's our understanding that no specific protocols are required. You can visit:

ターゲットの情報

Binds phosphatidylcholine, phosphatidylinositol, polychlorinated biphenyls (PCB) and weakly progesterone, potent inhibitor of phospholipase A2.
See full target information SCGB1A1

Abcam product promise

当社は、高品質な試薬を通じてお客様の研究を力強くサポートすることをお約束いたします。ご使用いただく各段階で、常にお客様をサポートできる体制を整えております。万が一、製品が期待通りに機能しない場合は、「Abcam Product Promise」による当社保証制度に基づき、安心してご利用いただけます。
保証に関する詳細については利用規約をご確認ください。

Please note: All products are 'FOR RESEARCH USE ONLY. NOT FOR USE IN DIAGNOSTIC OR THERAPEUTIC PROCEDURES'.

For licensing inquiries, please contact partnerships@abcam.com