JavaScript is disabled in your browser. Please enable JavaScript to view this website.
AB251903

Anti-USP32 抗体

Anti-USP32 antibody

Be the first to review this product! Submit a review

|

(3 Publications)

Rabbit Polyclonal USP32 antibody. Suitable for IHC-P, WB, ICC/IF and reacts with Human samples. Cited in 3 publications. Immunogen corresponding to Recombinant Fragment Protein within Human USP32 aa 400-600.

別名を表示する

USP10, USP32, Ubiquitin carboxyl-terminal hydrolase 32, Deubiquitinating enzyme 32, Renal carcinoma antigen NY-REN-60, Ubiquitin thioesterase 32, Ubiquitin-specific-processing protease 32

6 Images
Immunohistochemistry (Formalin/PFA-fixed paraffin-embedded sections) - Anti-USP32 antibody (AB251903)
  • IHC-P

Supplier Data

Immunohistochemistry (Formalin/PFA-fixed paraffin-embedded sections) - Anti-USP32 antibody (AB251903)

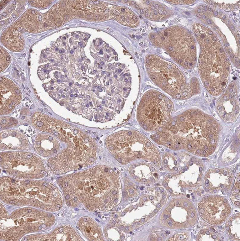
Formalin-fixed, paraffin-embedded human kidney tissue stained for USP32 with ab251903 at a 1/200 dilution in immunohistochemical analysis.

Immunohistochemistry (Formalin/PFA-fixed paraffin-embedded sections) - Anti-USP32 antibody (AB251903)
  • IHC-P

Supplier Data

Immunohistochemistry (Formalin/PFA-fixed paraffin-embedded sections) - Anti-USP32 antibody (AB251903)

Formalin-fixed, paraffin-embedded human skeletal muscle tissue stained for USP32 with ab251903 at a 1/200 dilution in immunohistochemical analysis.

Immunocytochemistry/ Immunofluorescence - Anti-USP32 antibody (AB251903)
  • ICC/IF

Unknown

Immunocytochemistry/ Immunofluorescence - Anti-USP32 antibody (AB251903)

PFA-fixed, Triton X-100 permeabilized MCF7 (human breast adenocarcinoma cell line) cells stained for USP32 (green) using ab251903 at 4 µg/ml in ICC/IF.

Immunohistochemistry (Formalin/PFA-fixed paraffin-embedded sections) - Anti-USP32 antibody (AB251903)
  • IHC-P

Supplier Data

Immunohistochemistry (Formalin/PFA-fixed paraffin-embedded sections) - Anti-USP32 antibody (AB251903)

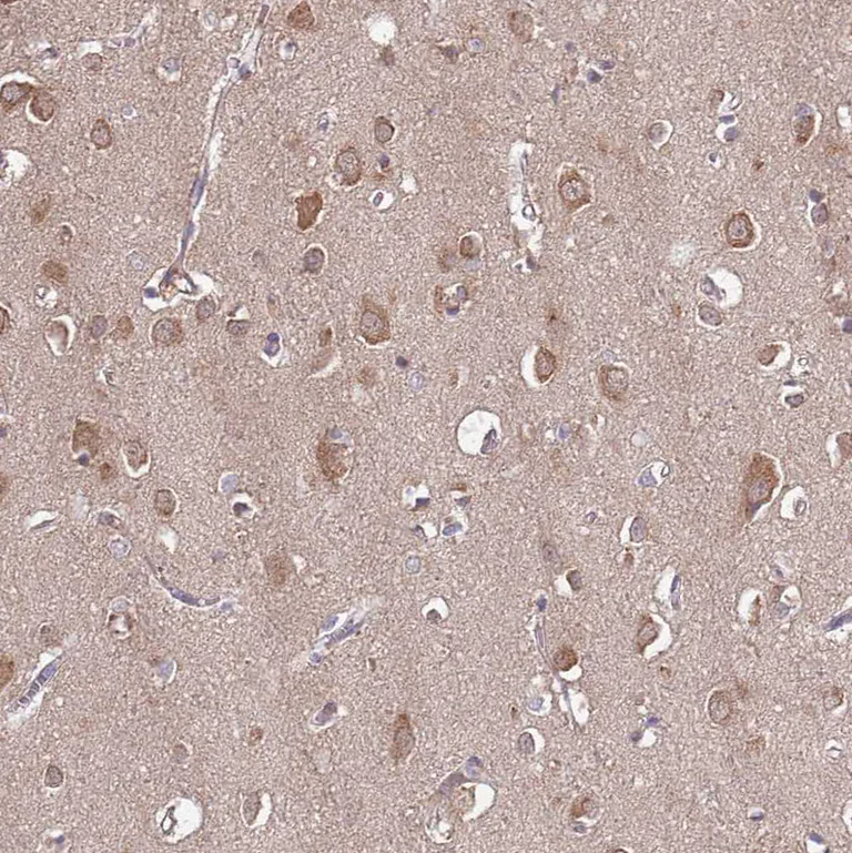
Formalin-fixed, paraffin-embedded human cerebral cortex tissue stained for USP32 with ab251903 at a 1/200 dilution in immunohistochemical analysis.

Immunohistochemistry (Formalin/PFA-fixed paraffin-embedded sections) - Anti-USP32 antibody (AB251903)
  • IHC-P

Supplier Data

Immunohistochemistry (Formalin/PFA-fixed paraffin-embedded sections) - Anti-USP32 antibody (AB251903)

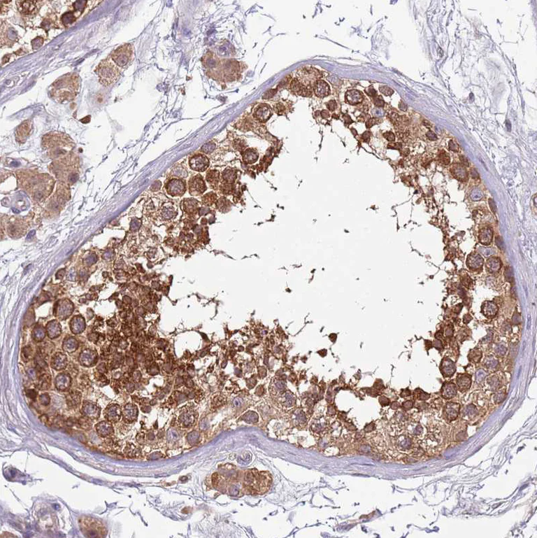
Formalin-fixed, paraffin-embedded human testis tissue stained for USP32 with ab251903 at a 1/200 dilution in immunohistochemical analysis.

Western blot - Anti-USP32 antibody (AB251903)
  • WB

Supplier Data

Western blot - Anti-USP32 antibody (AB251903)

All lanes:

Western blot - Anti-USP32 antibody (ab251903) at 0.4 µg/mL

All lanes:

Human breast adenocarcinoma cell line (MCF-7)

Predicted band size: 182 kDa

false

Key facts

宿主種

Rabbit

クローン性

Polyclonal

アイソタイプ

IgG

キャリアフリー

No

交差種

Human

アプリケーション

ICC/IF, IHC-P, WB

applications

免疫原

Recombinant Fragment Protein within Human USP32 aa 400-600. The exact immunogen used to generate this antibody is proprietary information.

Q8NFA0

Reactivity data

{ "title": "Reactivity Data", "filters": { "stats": ["", "Species", "Dilution Info", "Notes"], "tabs": { "all-applications": {"fullname" : "All Applications", "shortname": "All Applications"}, "IHCP" : {"fullname" : "Immunohistochemistry (Formalin/PFA-fixed paraffin-embedded sections)", "shortname":"IHC-P"}, "WB" : {"fullname" : "Western blot", "shortname":"WB"}, "ICCIF" : {"fullname" : "Immunocytochemistry/ Immunofluorescence", "shortname":"ICC/IF"} }, "product-promise": { "all": "all", "testedAndGuaranteed": "tested", "guaranteed": "expected", "predicted": "predicted", "notRecommended": "not-recommended" } }, "values": { "Human": { "IHCP-species-checked": "testedAndGuaranteed", "IHCP-species-dilution-info": "1/50 - 1/200", "IHCP-species-notes": "<p></p> Perform heat-mediated antigen retrieval with citrate buffer pH 6 before commencing with IHC staining protocol.", "WB-species-checked": "testedAndGuaranteed", "WB-species-dilution-info": "", "WB-species-notes": "<p></p>", "ICCIF-species-checked": "testedAndGuaranteed", "ICCIF-species-dilution-info": "0.25-2 µg/mL", "ICCIF-species-notes": "<p>Fixation/Permeabilization: PFA/Triton X-100.</p>" } } }

出荷温度及び保存条件

製品の状態
Liquid
精製方法
Affinity purification Immunogen
バッファー組成
pH: 7.2 Preservative: 0.02% Sodium azide Constituents: PBS, 40% Glycerol (glycerin, glycerine)
出荷温度
Blue Ice
短期保存期間
1-2 weeks
短期保存温度
+4°C
長期保存温度
-20°C
分注に関する情報
Upon delivery aliquot
保管に関する情報
Avoid freeze / thaw cycle

補足情報

This supplementary information is collated from multiple sources and compiled automatically.

USP32 also known as Ubiquitin Specific Peptidase 32 is a deubiquitinating enzyme with a molecular mass of approximately 160 kDa. Its primary function involves removing ubiquitin moieties from target proteins regulating their stability and degradation. USP32 is expressed in various tissues including brain breast and colon. This expression pattern suggests that it has diverse roles in multiple physiological contexts.
Biological function summary

Removing ubiquitin by USP32 affects protein degradation and intracellular signaling. It does not operate as part of a complex functioning independently to maintain protein homeostasis. This activity impacts several cellular processes such as cell cycle regulation and signaling pathways where careful timing and control of protein degradation are essential.

Pathways

USP32 directly influences the ubiquitin-proteasome system which maintains protein quality and regulates turnover of key signaling proteins. It participates in pathways involving WNT signaling interacting with proteins such as β-catenin to modulate processes like cell proliferation and differentiation. Through these pathways USP32 supports cellular functions that are essential for homeostasis.

Dysregulation in USP32 function can link to cancer and neurodegenerative diseases. In cancer USP32's association with the WNT signaling pathway connects it to abnormal cell growth particularly in breast cancer often interacting with proteins like APC. In neurodegenerative disorders its role in protein homeostasis implies connections to Alzheimer’s disease where it may affect the processing of amyloid precursor protein linking it to proteins involved in plaque formation and neuronal loss.

製品プロトコール

For this product, it's our understanding that no specific protocols are required. You can visit:

ターゲットの情報

Deubiquitinase that can remove conjugated ubiquitin from target proteins, such as RAB7A and LAMTOR1 (PubMed : 36476874). Acts as a positive regulator of the mTORC1 signaling by mediating deubiquitination of LAMTOR1, thereby promoting the association between LAMTOR1 and the lysosomal V-ATPase complex and subsequent activation of the mTORC1 complex (PubMed : 36476874).
See full target information USP32

文献 (3)

Recent publications for all applications. Explore the full list and refine your search

Cell journal 25:222-228 PubMed37210642

2023

Understanding The Regulatory Role of USP32 and SHMT2 in The Progression of Gastric Cancer.

Applications

Unspecified application

Species

Unspecified reactive species

Jun Li,Yafei Bo,Bo Ding,Lei Wang

Scientific reports 12:6445 PubMed35440702

2022

Identification of ubiquitin-specific protease 32 as an oncogene in glioblastoma and the underlying mechanisms.

Applications

Unspecified application

Species

Unspecified reactive species

Sifang Chen,Xi Chen,Zhangyu Li,Jianyao Mao,Weichao Jiang,Zhi Zhu,Yukui Li,Zhengye Jiang,Wenpeng Zhao,Guowei Tan,Zhanxiang Wang

Cell transplantation 31:9636897221079336 PubMed35416722

2022

β-Asarone Protects PC12 Cells Against Hypoxia-Induced Injury Via Negatively Regulating RPPH1/MiR-542-3p/DEDD2 Axis.

Applications

Unspecified application

Species

Unspecified reactive species

Fan Yang,Hongyu Duan,Nannan Ye,Yu Zeng,Pengxiang Yang,Bo Shao,Chunyu Wang,Gaojun Lin
View all publications

Abcam product promise

当社は、高品質な試薬を通じてお客様の研究を力強くサポートすることをお約束いたします。ご使用いただく各段階で、常にお客様をサポートできる体制を整えております。万が一、製品が期待通りに機能しない場合は、「Abcam Product Promise」による当社保証制度に基づき、安心してご利用いただけます。
保証に関する詳細については利用規約をご確認ください。

Please note: All products are 'FOR RESEARCH USE ONLY. NOT FOR USE IN DIAGNOSTIC OR THERAPEUTIC PROCEDURES'.

For licensing inquiries, please contact partnerships@abcam.com