JavaScript is disabled in your browser. Please enable JavaScript to view this website.
AB109219

Anti-USP10 抗体 [EPR4261]

Anti-USP10 antibody [EPR4261]

5

(1 Review)

|

(17 Publications)

Rabbit Recombinant Monoclonal USP10 antibody. Suitable for IHC-P, IP, WB, ICC/IF and reacts with Human samples. Cited in 17 publications.

別名を表示する

KIAA0190, USP10, Ubiquitin carboxyl-terminal hydrolase 10, Deubiquitinating enzyme 10, Ubiquitin thioesterase 10, Ubiquitin-specific-processing protease 10

5 Images
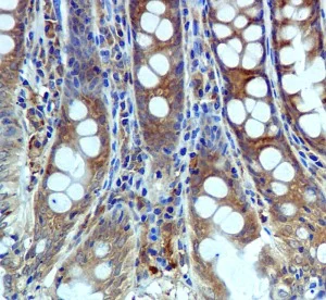
Immunohistochemistry (Formalin/PFA-fixed paraffin-embedded sections) - Anti-USP10 antibody [EPR4261] (AB109219)
  • IHC-P

Unknown

Immunohistochemistry (Formalin/PFA-fixed paraffin-embedded sections) - Anti-USP10 antibody [EPR4261] (AB109219)

ab109219, at a 1/250 dilution, staining USP10 in paraffin embedded Human colon tissue by Immunohistochemistry.

Perform heat mediated antigen retrieval with citrate buffer pH 6 before commencing with IHC staining protocol.

Immunocytochemistry/ Immunofluorescence - Anti-USP10 antibody [EPR4261] (AB109219)
  • ICC/IF

Unknown

Immunocytochemistry/ Immunofluorescence - Anti-USP10 antibody [EPR4261] (AB109219)

ICC/IF image of ab109219 stained MCF-7 cells. The cells were 100% methanol fixed (5 min) and then incubated in 1%BSA / 10% normal goat serum / 0.3M glycine in 0.1% PBS-Tween for 1h to permeabilise the cells and block non-specific protein-protein interactions. The cells were then incubated with the antibody ab109219 at 1/50 dilution overnight at +4°C. The secondary antibody (pseudo-colored green) was Alexa Fluor® 488 goat anti- rabbit (ab150081) IgG (H+L) preadsorbed, used at a 1/1000 dilution for 1h. Alexa Fluor® 594 WGA was used to label plasma membranes (pseudo-colored red) at a 1/200 dilution for 1h at room temperature. DAPI was used to stain the cell nuclei (pseudo-colored blue) at a concentration of 1.43μM for 1hour at room temperature.

Immunoprecipitation - Anti-USP10 antibody [EPR4261] (AB109219)
  • IP

Lab

Immunoprecipitation - Anti-USP10 antibody [EPR4261] (AB109219)

USP10 was immunoprecipitated from 0.35 mg HeLa (Human cervix adenocarcinoma epithelial cell) whole cell lysate 10 μg with 109219 at 1/30 dilution (2μg) . VeriBlot for IP Detection Reagent (HRP) (ab131366) was used at 1/5000 dilution.

Lane 1 : HeLa (Human cervix adenocarcinoma epithelial cell) whole cell lysate 10 μg

Lane 2 : ab109219 IP in HeLa whole cell lysate

Lane 3 : Rabbit monoclonal IgG (ab172730) instead of ab109219 in HeLa whole cell lysate

Blocking and dilution buffer and concentration : 5% NFDM/TBST.

Fresh lysate should be used to minimize protein degradation.

All lanes:

Immunoprecipitation - Anti-USP10 antibody [EPR4261] (ab109219)

Predicted band size: 87 kDa

Observed band size: 110 kDa

false

Western blot - Anti-USP10 antibody [EPR4261] (AB109219)
  • WB

Lab

Western blot - Anti-USP10 antibody [EPR4261] (AB109219)

Lane 1 : Wild-type HAP1 cell lysate (20 μg)
Lane 2 : USP10 knockout HAP1 cell lysate (20 μg)
Lane 3 : A549 cell lysate (20 μg)
Lane 4 : A375 cell lysate (20 μg)
Lanes 1 to 4 : Merged signal (red and green). Green - ab109219 observed at 115 kDa. Red - loading control, ab8245, observed at 37 kDa.
ab109219 was shown to recognize USP10 when USP10 knockout samples were used, along with additional cross-reactive bands. Wild-type and USP10 knockout samples were subjected to SDS-PAGE. ab109219 and ab8245 (loading control to GAPDH) were both diluted at 1/1000 and 1/10000 respectively and incubated overnight at 4°C. Blots were developed with Goat anti-Rabbit IgG H&L (IRDye® 800CW) preadsorbed (ab216773) and Goat anti-Mouse IgG H&L (IRDye® 680RD) preadsorbed (ab216776) secondary antibodies at 1/10000 dilution for 1 h at room temperature before imaging.

All lanes:

Western blot - Anti-USP10 antibody [EPR4261] (ab109219)

Predicted band size: 87 kDa

false

Western blot - Anti-USP10 antibody [EPR4261] (AB109219)
  • WB

Unknown

Western blot - Anti-USP10 antibody [EPR4261] (AB109219)

All lanes:

Western blot - Anti-USP10 antibody [EPR4261] (ab109219) at 1/1000 dilution

Lane 1:

Hela cell lysate at 10 µg

Lane 2:

293T cell lysate at 10 µg

Lane 3:

A375 cell lysate at 10 µg

Lane 4:

A549 cell lysate at 10 µg

Secondary

All lanes:

HRP labelled goat anti-rabbit at 1/2000 dilution

Predicted band size: 87 kDa

Observed band size: 110 kDa

false

関連する標識済み抗体及び組成の異なる製品 (8)

Key facts

宿主種

Rabbit

クローン性

Monoclonal

クローン番号

EPR4261

アイソタイプ

IgG

キャリアフリー

No

交差種

Human

アプリケーション

IP, IHC-P, ICC/IF, WB

applications

免疫原

The exact immunogen used to generate this antibody is proprietary information.

Reactivity data

{ "title": "Reactivity Data", "filters": { "stats": ["", "Species", "Dilution Info", "Notes"], "tabs": { "all-applications": {"fullname" : "All Applications", "shortname": "All Applications"}, "IHCP" : {"fullname" : "Immunohistochemistry (Formalin/PFA-fixed paraffin-embedded sections)", "shortname":"IHC-P"}, "IP" : {"fullname" : "Immunoprecipitation", "shortname":"IP"}, "FlowCyt" : {"fullname" : "Flow Cytometry", "shortname":"Flow Cyt"}, "WB" : {"fullname" : "Western blot", "shortname":"WB"}, "ICCIF" : {"fullname" : "Immunocytochemistry/ Immunofluorescence", "shortname":"ICC/IF"} }, "product-promise": { "all": "all", "testedAndGuaranteed": "tested", "guaranteed": "expected", "predicted": "predicted", "notRecommended": "not-recommended" } }, "values": { "Human": { "IHCP-species-checked": "testedAndGuaranteed", "IHCP-species-dilution-info": "1/250 - 1/500", "IHCP-species-notes": "<p>Antigen retrieval is recommended.</p> Perform heat-mediated antigen retrieval with citrate buffer pH 6 before commencing with IHC staining protocol.", "IP-species-checked": "testedAndGuaranteed", "IP-species-dilution-info": "1/10 - 1/100", "IP-species-notes": "<p></p>", "FlowCyt-species-checked": "notRecommended", "FlowCyt-species-dilution-info": "", "FlowCyt-species-notes": "<p></p>", "WB-species-checked": "testedAndGuaranteed", "WB-species-dilution-info": "1/1000 - 1/10000", "WB-species-notes": "<p></p>", "ICCIF-species-checked": "testedAndGuaranteed", "ICCIF-species-dilution-info": "1/250 - 1/500", "ICCIF-species-notes": "<p></p>" } } }

製品の詳細

Species reactivity
Mouse, Rat: We have preliminary internal testing data to indicate this antibody may not react with these species.
Please contact us for more information.

Patented technology
Our RabMAb® technology is a patented hybridoma-based technology for making rabbit monoclonal antibodies. For details on our patents, please refer to RabMAb® patents.

What are the advantages of a recombinant monoclonal antibody?
This product is a recombinant monoclonal antibody, which offers several advantages including:

  • - High batch-to-batch consistency and reproducibility
  • - Improved sensitivity and specificity
  • - Long-term security of supply
  • - Animal-free batch production

For more information, read more on recombinant antibodies.

出荷温度及び保存条件

製品の状態
Liquid
精製方法
Affinity purification Protein A
バッファー組成
pH: 7.2 - 7.4 Preservative: 0.01% Sodium azide Constituents: PBS, 40% Glycerol (glycerin, glycerine), 0.05% BSA
出荷温度
Blue Ice
短期保存温度
+4°C
長期保存温度
-20°C
保管に関する情報
Stable for 12 months at -20°C

補足情報

This supplementary information is collated from multiple sources and compiled automatically.

USP10 also known as ubiquitin-specific peptidase 10 is a deubiquitinating enzyme with a mass of approximately 94 kDa. It primarily functions to cleave ubiquitin from protein substrates controlling protein degradation localization and activity. USP10 is widely expressed in various tissues with significant expression in the cytoplasm. This enzyme helps maintain protein homeostasis and regulates various cellular processes such as cell cycle progression and apoptosis.
Biological function summary

Ubiquitin-specific peptidase 10 serves an important role in stabilizing and regulating proteins. USP10 interacts with and stabilizes several substrates including p53 an important tumor suppressor. It often operates in concert with other proteins as part of several protein complexes enabling cellular responses to stress. The enzyme's ability to control the stability of multiple proteins allows it to influence cell survival and DNA repair mechanisms significantly.

Pathways

USP10 plays a significant role in pivotal pathways such as the p53 signaling pathway and the NF-kB signaling pathway. It interacts closely with proteins like MDM2 a major regulator of p53 directly affecting p53's stability and activity. In the NF-kB pathway USP10 regulates the deubiquitination of receptor-interacting serine/threonine-protein kinase 1 (RIPK1) playing a part in controlling immune responses and inflammation.

The activity of USP10 impacts cancer progression and neurodegenerative conditions like Alzheimer's disease. In cancer alterations in USP10 levels can lead to abnormal p53 regulation which can facilitate tumorigenesis. Regarding Alzheimer's disease USP10 may influence the aggregation and accumulation of proteins such as tau linked to neurodegenerative pathology by regulating their degradation pathway.

製品プロトコール

For this product, it's our understanding that no specific protocols are required. You can visit:

ターゲットの情報

Hydrolase that can remove conjugated ubiquitin from target proteins such as p53/TP53, RPS2/us5, RPS3/us3, RPS10/eS10, BECN1, SNX3 and CFTR (PubMed : 11439350, PubMed : 18632802, PubMed : 31981475). Acts as an essential regulator of p53/TP53 stability : in unstressed cells, specifically deubiquitinates p53/TP53 in the cytoplasm, leading to counteract MDM2 action and stabilize p53/TP53 (PubMed : 20096447). Following DNA damage, translocates to the nucleus and deubiquitinates p53/TP53, leading to regulate the p53/TP53-dependent DNA damage response (PubMed : 20096447). Component of a regulatory loop that controls autophagy and p53/TP53 levels : mediates deubiquitination of BECN1, a key regulator of autophagy, leading to stabilize the PIK3C3/VPS34-containing complexes (PubMed : 21962518). In turn, PIK3C3/VPS34-containing complexes regulate USP10 stability, suggesting the existence of a regulatory system by which PIK3C3/VPS34-containing complexes regulate p53/TP53 protein levels via USP10 and USP13 (PubMed : 21962518). Does not deubiquitinate MDM2 (PubMed : 20096447). Plays a key role in 40S ribosome subunit recycling when a ribosome has stalled during translation : acts both by inhibiting formation of stress granules, which store stalled translation pre-initiation complexes, and mediating deubiquitination of 40S ribosome subunits (PubMed : 27022092, PubMed : 31981475, PubMed : 34348161, PubMed : 34469731). Acts as a negative regulator of stress granules formation by lowering G3BP1 and G3BP2 valence, thereby preventing G3BP1 and G3BP2 ability to undergo liquid-liquid phase separation (LLPS) and assembly of stress granules (PubMed : 11439350, PubMed : 27022092, PubMed : 32302570). Promotes 40S ribosome subunit recycling following ribosome dissociation in response to ribosome stalling by mediating deubiquitination of 40S ribosomal proteins RPS2/us5, RPS3/us3 and RPS10/eS10, thereby preventing their degradation by the proteasome (PubMed : 31981475, PubMed : 34348161, PubMed : 34469731). Part of a ribosome quality control that takes place when ribosomes have stalled during translation initiation (iRQC) : USP10 acts by removing monoubiquitination of RPS2/us5 and RPS3/us3, promoting 40S ribosomal subunit recycling (PubMed : 34469731). Deubiquitinates CFTR in early endosomes, enhancing its endocytic recycling (PubMed : 19398555). Involved in a TANK-dependent negative feedback response to attenuate NF-kappa-B activation via deubiquitinating IKBKG or TRAF6 in response to interleukin-1-beta (IL1B) stimulation or upon DNA damage (PubMed : 25861989). Deubiquitinates TBX21 leading to its stabilization (PubMed : 24845384). Plays a negative role in the RLR signaling pathway upon RNA virus infection by blocking the RIGI-mediated MAVS activation. Mechanistically, removes the unanchored 'Lys-63'-linked polyubiquitin chains of MAVS to inhibit its aggregation, essential for its activation (PubMed : 37582970).
See full target information USP10

文献 (17)

Recent publications for all applications. Explore the full list and refine your search

Cell death & disease 16:270 PubMed40204721

2025

USP10 stabilizes BAZ1A to drive tumor stemness via an epigenetic mechanism in head and neck squamous cell carcinoma.

Applications

Unspecified application

Species

Unspecified reactive species

Yanni Shi,Jiawei Ding,Xiao Ling,Danfeng Xu,Yan Shen,Xingjun Qin

Scientific reports 15:7553 PubMed40038378

2025

USP37-stabilized SALL4 promotes the keloid formation by PI3K/AKT pathway.

Applications

Unspecified application

Species

Unspecified reactive species

Shuo Fang,Zishuo Wang,Jianguo Xu,Miao Xu,Jiesong Zhou,Yuntong Zhang,Chunyu Xue

Journal of translational medicine 23:220 PubMed39985078

2025

SPICE1 promotes osteosarcoma growth by enhancing the deubiquitination of FASN mediated by USP10.

Applications

Unspecified application

Species

Unspecified reactive species

Weilai Tong,Xinsheng Xie,Zhiguo Shu,Jiangbo Nie,Xianhe Yang,Feng Yang,Zhili Liu,Jiaming Liu

Cell & bioscience 14:111 PubMed39218913

2024

Deubiquitinase USP10 promotes osteosarcoma autophagy and progression through regulating GSK3β-ULK1 axis.

Applications

Unspecified application

Species

Unspecified reactive species

Zuxi Feng,Yanghuan Ou,Xueqiang Deng,Minghao Deng,Xiaohua Yan,Leifeng Chen,Fan Zhou,Liang Hao

BMC cancer 24:773 PubMed38937694

2024

System-wide identification of novel de-ubiquitination targets for USP10 in gastric cancer metastasis through multi-omics screening.

Applications

Unspecified application

Species

Unspecified reactive species

Zhi Zeng,Yina Li,Heng Zhou,Mingyang Li,Juan Ye,Dan Li,Yuxi Zhu,Yonggang Zhang,Xu Zhang,Yunchao Deng,Juan Li,Lijuan Gu,Jie Wu

Cell reports. Medicine 4:101286 PubMed37951217

2023

A combinatorial therapeutic approach to enhance FLT3-ITD AML treatment.

Applications

Unspecified application

Species

Unspecified reactive species

Jun Long,Xinjie Chen,Yan Shen,Yichen Lei,Lili Mu,Zhen Wang,Rufang Xiang,Wenhui Gao,Lining Wang,Ling Wang,Jieling Jiang,Wenjun Zhang,Huina Lu,Yan Dong,Yi Ding,Honghu Zhu,Dengli Hong,Yi Eve Sun,Jiong Hu,Aibin Liang

Cancer medicine 12:14452-14467 PubMed37184153

2023

Deubiquitinating enzyme USP10 promotes osteosarcoma metastasis and epithelial-mesenchymal transition by stabilizing YAP1.

Applications

Unspecified application

Species

Unspecified reactive species

Jianyong Deng,Xuan Yi,Zuxi Feng,Jie Peng,Dan Li,Chen Li,Binbin Deng,Shuaigang Liu,Souradeep Sahu,Liang Hao

Cell death & disease 14:207 PubMed36949071

2023

USP10 deubiquitinates RUNX1 and promotes proneural-to-mesenchymal transition in glioblastoma.

Applications

Unspecified application

Species

Unspecified reactive species

Wenjin Qiu,Zumu Xiao,Yushi Yang,Lishi Jiang,Shibin Song,Xiaolan Qi,Yimin Chen,Hua Yang,Jian Liu,Liangzhao Chu

Cell death and differentiation 30:527-543 PubMed36526897

2022

Targeting USP10 induces degradation of oncogenic ANLN in esophageal squamous cell carcinoma.

Applications

Unspecified application

Species

Unspecified reactive species

Yu-Fei Cao,Lei Xie,Bei-Bei Tong,Man-Yu Chu,Wen-Qi Shi,Xiang Li,Jian-Zhong He,Shao-Hong Wang,Zhi-Yong Wu,Dan-Xia Deng,Ya-Qi Zheng,Zhi-Mao Li,Xiu-E Xu,Lian-Di Liao,Yin-Wei Cheng,Li-Yan Li,Li-Yan Xu,En-Min Li

Journal of clinical and translational hepatology 11:45-57 PubMed36406315

2022

USP10 Alleviates Palmitic Acid-induced Steatosis through Autophagy in HepG2 Cells.

Applications

Unspecified application

Species

Unspecified reactive species

Sheng-Liang Xin,Xiao-Li Pan,Xiao-Yuan Xu,Yan-Yan Yu
View all publications

Abcam product promise

当社は、高品質な試薬を通じてお客様の研究を力強くサポートすることをお約束いたします。ご使用いただく各段階で、常にお客様をサポートできる体制を整えております。万が一、製品が期待通りに機能しない場合は、「Abcam Product Promise」による当社保証制度に基づき、安心してご利用いただけます。
保証に関する詳細については利用規約をご確認ください。

Please note: All products are 'FOR RESEARCH USE ONLY. NOT FOR USE IN DIAGNOSTIC OR THERAPEUTIC PROCEDURES'.

For licensing inquiries, please contact partnerships@abcam.com