JavaScript is disabled in your browser. Please enable JavaScript to view this website.
AB185965

Anti-UFSP2 抗体 [EPR13424]

Anti-UFSP2 antibody [EPR13424]

Be the first to review this product! Submit a review

|

(5 Publications)

Rabbit Recombinant Monoclonal UFSP2 antibody. Suitable for IP, WB, ICC/IF, IHC-P and reacts with Human samples. Cited in 5 publications.

別名を表示する

C4orf20, UFSP2, Ufm1-specific protease 2, UfSP2

6 Images
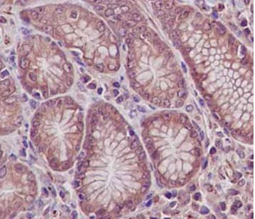
Immunohistochemistry (Formalin/PFA-fixed paraffin-embedded sections) - Anti-UFSP2 antibody [EPR13424] (AB185965)
  • IHC-P

Supplier Data

Immunohistochemistry (Formalin/PFA-fixed paraffin-embedded sections) - Anti-UFSP2 antibody [EPR13424] (AB185965)

Immunohistochemical analysis of paraffin-embedded Human stomach tissue labeling UFSP2 with ab185965 at 1/100 dilution followed by pre-diluted HRP-conjugated secondary antibody and counter-stained with Hematoxylin.

Perform heat mediated antigen retrieval with EDTA buffer pH 9 before commencing with IHC staining protocol.

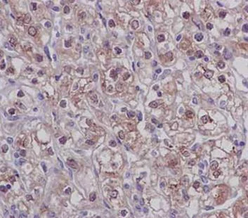
Immunohistochemistry (Formalin/PFA-fixed paraffin-embedded sections) - Anti-UFSP2 antibody [EPR13424] (AB185965)
  • IHC-P

Supplier Data

Immunohistochemistry (Formalin/PFA-fixed paraffin-embedded sections) - Anti-UFSP2 antibody [EPR13424] (AB185965)

Immunohistochemical analysis of paraffin-embedded Human kidney clear cell carcinoma tissue labeling UFSP2 with ab185965 at 1/100 dilution followed by pre-diluted HRP-conjugated secondary antibody and counter-stained with Hematoxylin.

Perform heat mediated antigen retrieval with EDTA buffer pH 9 before commencing with IHC staining protocol.

Western blot - Anti-UFSP2 antibody [EPR13424] (AB185965)
  • WB

Supplier Data

Western blot - Anti-UFSP2 antibody [EPR13424] (AB185965)

All lanes:

Western blot - Anti-UFSP2 antibody [EPR13424] (ab185965) at 1/10000 dilution

Lane 1:

Human fetal kidney lysate at 20 µg

Lane 2:

Human fetal heart lysate at 20 µg

Lane 3:

Human pancreas lysate at 20 µg

Lane 4:

HeLa cell lysate at 20 µg

Secondary

All lanes:

Anti-Rabbit IgG (HRP), specific to the non-reduced form of IgG at 1/1000 dilution

Predicted band size: 53 kDa

false

Immunocytochemistry/ Immunofluorescence - Anti-UFSP2 antibody [EPR13424] (AB185965)
  • ICC/IF

Supplier Data

Immunocytochemistry/ Immunofluorescence - Anti-UFSP2 antibody [EPR13424] (AB185965)

Immunofluorescent analysis of HeLa cells (-20℃ acetone-fixed) labeling UFSP2 with ab185965 at 1/100 dilution follwed by Goat anti rabbit IgG (AlexaFluor® 555) secondary at 1/200 dilution and counter-stained with DAPI (blue).

Immunoprecipitation - Anti-UFSP2 antibody [EPR13424] (AB185965)
  • IP

Supplier Data

Immunoprecipitation - Anti-UFSP2 antibody [EPR13424] (AB185965)

Western blot analysis of immunoprecipitation pellet from Human fetal kidney lysate immunoprecipitated using ab185965 at 1/50 dilution (lane 1) or PBS control (lane 2).
Secondary : Anti-Rabbit IgG (HRP), specific to the non-reduced form of IgG at 1/1500 dilution.

All lanes:

Immunoprecipitation - Anti-UFSP2 antibody [EPR13424] (ab185965)

Predicted band size: 53 kDa

false

Western blot - Anti-UFSP2 antibody [EPR13424] (AB185965)
  • WB

Lab

Western blot - Anti-UFSP2 antibody [EPR13424] (AB185965)

Lanes 1-3 : Merged signal (red and green). Green - ab185965 observed at 53 kDa. Red - loading control ab8245 observed at 36 kDa.

ab185965 Anti-UFSP2 antibody [EPR13424] was shown to specifically react with UFSP2 in wild-type HEK293T cells. Loss of signal was observed when knockout cell line ab266368 (knockout cell lysate ab257782) was used. Wild-type and UFSP2 knockout samples were subjected to SDS-PAGE. ab185965 and Anti-GAPDH antibody [6C5] - Loading Control (ab8245) were incubated at room temperature for 2.5 hours at 1 in 1000 dilution and 1 in 20000 dilution respectively. Blots were developed with Goat anti-Rabbit IgG H&L (IRDye® 800CW) preadsorbed (ab216773) and Goat anti-Mouse IgG H&L (IRDye® 680RD) preadsorbed (ab216776) secondary antibodies at 1 in 20000 dilution for 1 hour at room temperature before imaging.

All lanes:

Western blot - Anti-UFSP2 antibody [EPR13424] (ab185965) at 1/1000 dilution

Lane 1:

Wild-type HEK293T cell lysate at 20 µg

Lane 2:

UFSP2 knockout HEK293T cell lysate at 20 µg

Lane 2:

Western blot - Human UFSP2 knockout HEK-293T cell line (<a href='/products/cell-lines/human-ufsp2-knockout-hek-293t-cell-line-ab266368'>ab266368</a>)

Lane 3:

HeLa cell lysate at 20 µg

Secondary

All lanes:

Western blot - Goat anti-Rabbit IgG H&L (IRDye® 800CW) preadsorbed (<a href='/products/secondary-antibodies/goat-rabbit-igg-h-l-irdye-800cw-preadsorbed-ab216773'>ab216773</a>) at 1/10000 dilution

Predicted band size: 53 kDa

Observed band size: 53 kDa

false

Key facts

宿主種

Rabbit

クローン性

Monoclonal

クローン番号

EPR13424

アイソタイプ

IgG

キャリアフリー

No

交差種

Human

アプリケーション

ICC/IF, IP, IHC-P, WB

applications

免疫原

The exact immunogen used to generate this antibody is proprietary information.

Reactivity data

{ "title": "Reactivity Data", "filters": { "stats": ["", "Species", "Dilution Info", "Notes"], "tabs": { "all-applications": {"fullname" : "All Applications", "shortname": "All Applications"}, "IP" : {"fullname" : "Immunoprecipitation", "shortname":"IP"}, "WB" : {"fullname" : "Western blot", "shortname":"WB"}, "ICCIF" : {"fullname" : "Immunocytochemistry/ Immunofluorescence", "shortname":"ICC/IF"}, "IHCP" : {"fullname" : "Immunohistochemistry (Formalin/PFA-fixed paraffin-embedded sections)", "shortname":"IHC-P"} }, "product-promise": { "all": "all", "testedAndGuaranteed": "tested", "guaranteed": "expected", "predicted": "predicted", "notRecommended": "not-recommended" } }, "values": { "Human": { "IP-species-checked": "testedAndGuaranteed", "IP-species-dilution-info": "1/40 - 1/60", "IP-species-notes": "<p></p> Perform heat-mediated antigen retrieval with Tris/EDTA buffer pH 9.0 before commencing with IHC staining protocol.", "WB-species-checked": "testedAndGuaranteed", "WB-species-dilution-info": "1/1000 - 1/10000", "WB-species-notes": "<p></p>", "ICCIF-species-checked": "testedAndGuaranteed", "ICCIF-species-dilution-info": "1/100", "ICCIF-species-notes": "<p></p>", "IHCP-species-checked": "testedAndGuaranteed", "IHCP-species-dilution-info": "1/50 - 1/100", "IHCP-species-notes": "<p></p> Perform heat-mediated antigen retrieval with Tris/EDTA buffer pH 9.0 before commencing with IHC staining protocol." }, "Mouse": { "IP-species-checked": "predicted", "IP-species-dilution-info": "", "IP-species-notes": "", "WB-species-checked": "predicted", "WB-species-dilution-info": "", "WB-species-notes": "", "ICCIF-species-checked": "predicted", "ICCIF-species-dilution-info": "", "ICCIF-species-notes": "", "IHCP-species-checked": "predicted", "IHCP-species-dilution-info": "", "IHCP-species-notes": "" }, "Rat": { "IP-species-checked": "predicted", "IP-species-dilution-info": "", "IP-species-notes": "", "WB-species-checked": "predicted", "WB-species-dilution-info": "", "WB-species-notes": "", "ICCIF-species-checked": "predicted", "ICCIF-species-dilution-info": "", "ICCIF-species-notes": "", "IHCP-species-checked": "predicted", "IHCP-species-dilution-info": "", "IHCP-species-notes": "" } } }

製品の詳細

Patented technology
Our RabMAb® technology is a patented hybridoma-based technology for making rabbit monoclonal antibodies. For details on our patents, please refer to RabMAb® patents.

What are the advantages of a recombinant monoclonal antibody?
This product is a recombinant monoclonal antibody, which offers several advantages including:

  • - High batch-to-batch consistency and reproducibility
  • - Improved sensitivity and specificity
  • - Long-term security of supply
  • - Animal-free batch production

For more information, read more on recombinant antibodies.

出荷温度及び保存条件

製品の状態
Liquid
精製方法
Affinity purification Protein A
バッファー組成
pH: 7.2 - 7.4 Preservative: 0.01% Sodium azide Constituents: 59% PBS, 40% Glycerol (glycerin, glycerine), 0.05% BSA
出荷温度
Blue Ice
短期保存期間
1-2 weeks
短期保存温度
+4°C
長期保存温度
-20°C
分注に関する情報
Upon delivery aliquot
保管に関する情報
Avoid freeze / thaw cycle

補足情報

This supplementary information is collated from multiple sources and compiled automatically.

UFSP2 also known as Ubiquitin-Fold Modifier 1-Specific Peptidase 2 is a protein with a molecular mass of approximately 53 kDa. This protein functions as a cysteine protease involved in the processing and maturation of ubiquitin-fold modifier 1 (UFM1). UFSP2 cleaves precursor UFM1 to expose the glycine residue necessary for its conjugation to target proteins. Expression of UFSP2 occurs in various tissues but is particularly high in the testis brain and skeletal muscle indicating its roles in diverse biological functions.
Biological function summary

UFSP2 plays a significant role in the UFMylation pathway which is a post-translational modification process involving UFM1. This enzyme does not operate alone; it acts as part of a functional complex where its peptidase activity is essential for recycling UFM1 molecules after they detach from substrate proteins. The activation and deactivation of UFM1-modified proteins regulate several cellular processes such as protein translation cellular stress responses and maintenance of endoplasmic reticulum homeostasis.

Pathways

The UFSP2 protein contributes to the wider ubiquitin-like modification systems particularly impacting the protein quality control system and the endoplasmic reticulum-associated degradation (ERAD) pathway. It maintains protein folding and ensures degradation of misfolded proteins. UFSP2 interacts with other proteins such as UFL1 which acts as a specific E3 ligase for UFM1 establishing a cycle for efficient modification and de-modification in these pathways.

Alterations in UFSP2 function link to pathologies including autosomal-dominant osteosclerosis with the novel symptom of cranial sclerosis (ADOCS). Mutations in the UFSP2 gene can lead to defective bone formation due to dysregulation of protein homeostasis pathways. Furthermore anomalies in UFSP2 have associations with neurodegenerative diseases where it interacts with proteins involved in cellular stress responses. This highlights its importance in both skeletal and nervous system-related disorders.

製品プロトコール

For this product, it's our understanding that no specific protocols are required. You can visit:

ターゲットの情報

Thiol-dependent isopeptidase that specifically cleaves UFM1, a ubiquitin-like modifier protein, from conjugated proteins, such as CD274/PD-L1, CYB5R3, DDRGK1, MRE11, RPL26/uL24, TRIP4 and RPL26/uL24 (PubMed : 25219498, PubMed : 27351204, PubMed : 27926783, PubMed : 30783677, PubMed : 31595041, PubMed : 32160526, PubMed : 33473208, PubMed : 35394863, PubMed : 35926457, PubMed : 36543799, PubMed : 36893266, PubMed : 37795761, PubMed : 38383785). While it is also able to mediate the processing of UFM1 precursors, a prerequisite for conjugation reactions, UFSP2 mainly acts as a protein deUFMylase that mediates deconjugation of UFM1 from target proteins (PubMed : 27926783). Mediates deUFMylation of RPL26/uL24, a critical step to release the UFM1 ribosome E3 ligase (UREL) complex during the recycling of 60S ribosome subunits from the endoplasmic reticulum (PubMed : 38383785). Catalyzes deUFMylation of TRIP4, regulating intracellular nuclear receptors transactivation and thereby regulate cell proliferation and differentiation (PubMed : 25219498).
See full target information UFSP2

文献 (5)

Recent publications for all applications. Explore the full list and refine your search

Science advances 9:eadh3635 PubMed37595036

2023

Mechanistic insights into the roles of the UFM1 E3 ligase complex in ufmylation and ribosome-associated protein quality control.

Applications

Unspecified application

Species

Unspecified reactive species

Ryosuke Ishimura,Sota Ito,Gaoxin Mao,Satoko Komatsu-Hirota,Toshifumi Inada,Nobuo N Noda,Masaaki Komatsu

Cell death & disease 14:350 PubMed37280198

2023

The ufmylation modification of ribosomal protein L10 in the development of pancreatic adenocarcinoma.

Applications

Unspecified application

Species

Unspecified reactive species

Kun Wang,Siyu Chen,Yue Wu,Yang Wang,Yousheng Lu,Yanzi Sun,Yijun Chen

Nature communications 13:7857 PubMed36543799

2022

The UFM1 system regulates ER-phagy through the ufmylation of CYB5R3.

Applications

Unspecified application

Species

Unspecified reactive species

Ryosuke Ishimura,Afnan H El-Gowily,Daisuke Noshiro,Satoko Komatsu-Hirota,Yasuko Ono,Mayumi Shindo,Tomohisa Hatta,Manabu Abe,Takefumi Uemura,Hyeon-Cheol Lee-Okada,Tarek M Mohamed,Takehiko Yokomizo,Takashi Ueno,Kenji Sakimura,Tohru Natsume,Hiroyuki Sorimachi,Toshifumi Inada,Satoshi Waguri,Nobuo N Noda,Masaaki Komatsu

Development (Cambridge, England) 146: PubMed30635284

2019

CDK5RAP3, a UFL1 substrate adaptor, is crucial for liver development.

Applications

Unspecified application

Species

Unspecified reactive species

Rui Yang,Huanmin Wang,Boxi Kang,Bin Chen,Yaoyao Shi,Shuchun Yang,Lihong Sun,Yufang Liu,Weidi Xiao,Tao Zhang,Juntao Yang,Ye Zhang,Mingzhao Zhu,Ping Xu,Yongsheng Chang,Yuyan Jia,Yue Huang

FEBS letters 591:196-204 PubMed27926783

2016

A novel approach to assess the ubiquitin-fold modifier 1-system in cells.

Applications

Unspecified application

Species

Unspecified reactive species

Ryosuke Ishimura,Miki Obata,Shun Kageyama,Jens Daniel,Keiji Tanaka,Masaaki Komatsu
View all publications

Abcam product promise

当社は、高品質な試薬を通じてお客様の研究を力強くサポートすることをお約束いたします。ご使用いただく各段階で、常にお客様をサポートできる体制を整えております。万が一、製品が期待通りに機能しない場合は、「Abcam Product Promise」による当社保証制度に基づき、安心してご利用いただけます。
保証に関する詳細については利用規約をご確認ください。

Please note: All products are 'FOR RESEARCH USE ONLY. NOT FOR USE IN DIAGNOSTIC OR THERAPEUTIC PROCEDURES'.

For licensing inquiries, please contact partnerships@abcam.com