JavaScript is disabled in your browser. Please enable JavaScript to view this website.
AB314240

Anti-UCP1 抗体 [RM1066] - BSA and Azide free

Anti-UCP1 antibody [RM1066] - BSA and Azide free

Be the first to review this product! Submit a review

|

(0 Publication)

Rabbit Recombinant Multiclonal UCP1 antibody. Carrier free. Suitable for WB, IHC-P, IP and reacts with Mouse, Rat samples.

別名を表示する

Slc25a7, Ucp, Ucp1, Mitochondrial brown fat uncoupling protein 1, UCP 1, Solute carrier family 25 member 7, Thermogenin

7 Images
Immunohistochemistry (Formalin/PFA-fixed paraffin-embedded sections) - Anti-UCP1 antibody [RM1066] - BSA and Azide free (AB314240)
  • IHC-P

Supplier Data

Immunohistochemistry (Formalin/PFA-fixed paraffin-embedded sections) - Anti-UCP1 antibody [RM1066] - BSA and Azide free (AB314240)

This data was developed using ab314239, the same antibody clone in a different buffer formulation. Immunohistochemical analysis of paraffin-embedded Rat white adipose tissue labeling UCP1 with ab314239 at 1/5000 (0.101 ug/ml) followed by a ready to use LeicaDS9800 (Bond™ Polymer Refine Detection). Negative control : no staining on rat white adipose.The section was incubated with ab314239 for 30 mins at room temperature.The immunostaining was performed on a Leica Biosystems BOND® RX instrument Counterstained with Hematoxylin. Secondary antibody only control : Secondary antibody is a ready to use LeicaDS9800 (Bond™ Polymer Refine Detection). Heat mediated antigen retrieval was performed with Tris-EDTA buffer (pH 9.0, Epitope Retrieval Solution2) for 20 mins

Immunohistochemistry (Formalin/PFA-fixed paraffin-embedded sections) - Anti-UCP1 antibody [RM1066] - BSA and Azide free (AB314240)
  • IHC-P

Supplier Data

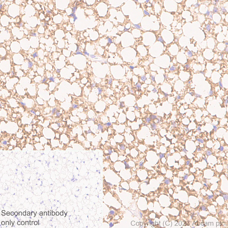
Immunohistochemistry (Formalin/PFA-fixed paraffin-embedded sections) - Anti-UCP1 antibody [RM1066] - BSA and Azide free (AB314240)

This data was developed using ab314239, the same antibody clone in a different buffer formulation. Immunohistochemical analysis of paraffin-embedded Mouse white adipose tissue labeling UCP1 with ab314239 at 1/5000 (0.101 ug/ml) followed by a ready to use LeicaDS9800 (Bond™ Polymer Refine Detection). Negative control : no staining on mouse white adipose.The section was incubated with ab314239 for 30 mins at room temperature.The immunostaining was performed on a Leica Biosystems BOND® RX instrument Counterstained with Hematoxylin. Secondary antibody only control : Secondary antibody is a ready to use LeicaDS9800 (Bond™ Polymer Refine Detection). Heat mediated antigen retrieval was performed with Tris-EDTA buffer (pH 9.0, Epitope Retrieval Solution2) for 20 mins

Immunohistochemistry (Formalin/PFA-fixed paraffin-embedded sections) - Anti-UCP1 antibody [RM1066] - BSA and Azide free (AB314240)
  • IHC-P

Supplier Data

Immunohistochemistry (Formalin/PFA-fixed paraffin-embedded sections) - Anti-UCP1 antibody [RM1066] - BSA and Azide free (AB314240)

This data was developed using ab314239, the same antibody clone in a different buffer formulation. Immunohistochemical analysis of paraffin-embedded Rat brown adipose tissue labeling UCP1 with ab314239 at 1/5000 (0.101 ug/ml) followed by a ready to use LeicaDS9800 (Bond™ Polymer Refine Detection). Positive staining on rat brown adipose.The section was incubated with ab314239 for 30 mins at room temperature.The immunostaining was performed on a Leica Biosystems BOND® RX instrument Counterstained with Hematoxylin. Secondary antibody only control : Secondary antibody is a ready to use LeicaDS9800 (Bond™ Polymer Refine Detection). Heat mediated antigen retrieval was performed with Tris-EDTA buffer (pH 9.0, Epitope Retrieval Solution2) for 20 mins

Immunohistochemistry (Formalin/PFA-fixed paraffin-embedded sections) - Anti-UCP1 antibody [RM1066] - BSA and Azide free (AB314240)
  • IHC-P

Supplier Data

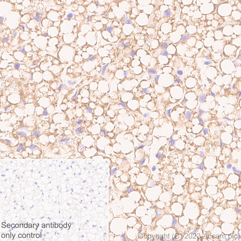
Immunohistochemistry (Formalin/PFA-fixed paraffin-embedded sections) - Anti-UCP1 antibody [RM1066] - BSA and Azide free (AB314240)

This data was developed using ab314239, the same antibody clone in a different buffer formulation. Immunohistochemical analysis of paraffin-embedded Mouse brown adipose tissue labeling UCP1 with ab314239 at 1/5000 (0.101 ug/ml) followed by a ready to use LeicaDS9800 (Bond™ Polymer Refine Detection). Positive staining on mouse brown adipose.The section was incubated with ab314239 for 30 mins at room temperature.The immunostaining was performed on a Leica Biosystems BOND® RX instrument Counterstained with Hematoxylin. Secondary antibody only control : Secondary antibody is a ready to use LeicaDS9800 (Bond™ Polymer Refine Detection). Heat mediated antigen retrieval was performed with Tris-EDTA buffer (pH 9.0, Epitope Retrieval Solution2) for 20 mins

Immunoprecipitation - Anti-UCP1 antibody [RM1066] - BSA and Azide free (AB314240)
  • IP

Supplier Data

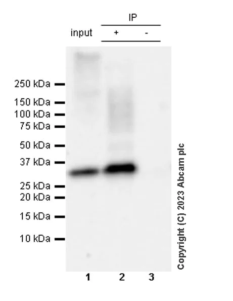
Immunoprecipitation - Anti-UCP1 antibody [RM1066] - BSA and Azide free (AB314240)

This data was developed using ab314239, the same antibody clone in a different buffer formulation. UCP1 was immunoprecipitated from 0.35 mg Mouse brown fat tissue lysate with ab314239 at 1/30 dilution (2ug in 0.35mg lysates). Western blot was performed on the immunoprecipitate using ab314239 at 1/1000 dilution. VeriBlot for IP secondary antibody(HRP)(ab131366) was used at 1/5000 dilution. Lane 1 : Mouse brown fat tissue lysate Lane 2 : ab314239 IP in Mouse brown fat tissue lysate Lane 3 : Rabbit monoclonal IgG (ab172730) instead of ab314239 in mouse brown fat tissue lysate Blocking and dilution buffer and concentration : 5% NFDM/TBST.

All lanes:

Immunoprecipitation - Anti-UCP1 antibody [RM1066] (<a href='/products/primary-antibodies/ucp1-antibody-rm1066-ab314239'>ab314239</a>) at 1/30 dilution

All lanes:

Mouse brown fat tissue lysate

Secondary

All lanes:

Immunoprecipitation - VeriBlot for IP Detection Reagent (HRP) (<a href='/products/reagents/veriblot-for-ip-detection-reagent-hrp-ab131366'>ab131366</a>) at 1/5000 dilution

false

Exposure time: 8s

Immunoprecipitation - Anti-UCP1 antibody [RM1066] - BSA and Azide free (AB314240)
  • IP

Supplier Data

Immunoprecipitation - Anti-UCP1 antibody [RM1066] - BSA and Azide free (AB314240)

This data was developed using ab314239, the same antibody clone in a different buffer formulation. UCP1 was immunoprecipitated from 0.35 mg Rat brown fat tissue lysate with ab314239 at 1/30 dilution (2ug in 0.35mg lysates). Western blot was performed on the immunoprecipitate using ab314239 at 1/1000 dilution. VeriBlot for IP secondary antibody(HRP)(ab131366) was used at 1/5000 dilution. Lane 1 : Rat brown fat tissue lysate Lane 2 : ab314239 IP in Rat brown fat tissue lysate Lane 3 : Rabbit monoclonal IgG (ab172730) instead of ab314239 in rat brown fat tissue lysate Blocking and dilution buffer and concentration : 5% NFDM/TBST.

All lanes:

Immunoprecipitation - Anti-UCP1 antibody [RM1066] (<a href='/products/primary-antibodies/ucp1-antibody-rm1066-ab314239'>ab314239</a>) at 1/30 dilution

All lanes:

Rat brown fat tissue lysate

Secondary

All lanes:

Immunoprecipitation - VeriBlot for IP Detection Reagent (HRP) (<a href='/products/reagents/veriblot-for-ip-detection-reagent-hrp-ab131366'>ab131366</a>) at 1/5000 dilution

false

Exposure time: 8s

Western blot - Anti-UCP1 antibody [RM1066] - BSA and Azide free (AB314240)
  • WB

Supplier Data

Western blot - Anti-UCP1 antibody [RM1066] - BSA and Azide free (AB314240)

This data was developed using ab314239, the same antibody clone in a different buffer formulation. Blocking and diluting buffer and concentration : 5% NFDM/TBST Negative control : White adipose tissue(PMID : 2999153). In Western blot, Anti-GAPDH antibody [EPR16891] - Loading Control (ab181602) staining at 1/200000 dilution.

All lanes:

Western blot - Anti-UCP1 antibody [RM1066] (<a href='/products/primary-antibodies/ucp1-antibody-rm1066-ab314239'>ab314239</a>) at 1/1000 dilution

Lane 1:

Mouse brown fat tissue lysate at 20 µg

Lane 2:

Mouse white fat tissue lysate at 20 µg

Lane 3:

Rat brown fat tissue lysate at 20 µg

Lane 4:

Rat white fat tissue lysate at 20 µg

Secondary

All lanes:

Western blot - Goat Anti-Rabbit IgG H&L (HRP) (<a href='/products/secondary-antibodies/goat-rabbit-igg-h-l-hrp-ab97051'>ab97051</a>) at 1/100000 dilution

Observed band size: 33 kDa

false

Exposure time: 6s

関連する標識済み抗体及び組成の異なる製品 (1)

Key facts

宿主種

Rabbit

クローン性

Multiclonal

クローン番号

RM1066

アイソタイプ

IgG

キャリアフリー

Yes

交差種

Mouse, Rat

アプリケーション

IP, WB, IHC-P

applications

免疫原

The exact immunogen used to generate this antibody is proprietary information.

Reactivity data

{ "title": "Reactivity Data", "filters": { "stats": ["", "Species", "Dilution Info", "Notes"], "tabs": { "all-applications": {"fullname" : "All Applications", "shortname": "All Applications"}, "WB" : {"fullname" : "Western blot", "shortname":"WB"}, "IHCP" : {"fullname" : "Immunohistochemistry (Formalin/PFA-fixed paraffin-embedded sections)", "shortname":"IHC-P"}, "IP" : {"fullname" : "Immunoprecipitation", "shortname":"IP"}, "ICCIF" : {"fullname" : "Immunocytochemistry/ Immunofluorescence", "shortname":"ICC/IF"}, "FlowCytIntra" : {"fullname" : "Flow Cytometry (Intracellular)", "shortname":"Flow Cyt (Intra)"} }, "product-promise": { "all": "all", "testedAndGuaranteed": "tested", "guaranteed": "expected", "predicted": "predicted", "notRecommended": "not-recommended" } }, "values": { "Human": { "WB-species-checked": "notRecommended", "WB-species-dilution-info": "", "WB-species-notes": "<p></p>", "IHCP-species-checked": "notRecommended", "IHCP-species-dilution-info": "", "IHCP-species-notes": "<p></p>", "IP-species-checked": "notRecommended", "IP-species-dilution-info": "", "IP-species-notes": "", "ICCIF-species-checked": "notRecommended", "ICCIF-species-dilution-info": "", "ICCIF-species-notes": "", "FlowCytIntra-species-checked": "notRecommended", "FlowCytIntra-species-dilution-info": "", "FlowCytIntra-species-notes": "" }, "Mouse": { "WB-species-checked": "testedAndGuaranteed", "WB-species-dilution-info": "", "WB-species-notes": "<p></p>", "IHCP-species-checked": "testedAndGuaranteed", "IHCP-species-dilution-info": "", "IHCP-species-notes": "<p></p>", "IP-species-checked": "testedAndGuaranteed", "IP-species-dilution-info": "", "IP-species-notes": "<p></p>", "ICCIF-species-checked": "notRecommended", "ICCIF-species-dilution-info": "", "ICCIF-species-notes": "<p></p>", "FlowCytIntra-species-checked": "notRecommended", "FlowCytIntra-species-dilution-info": "", "FlowCytIntra-species-notes": "<p></p>" }, "Rat": { "WB-species-checked": "testedAndGuaranteed", "WB-species-dilution-info": "", "WB-species-notes": "<p></p>", "IHCP-species-checked": "testedAndGuaranteed", "IHCP-species-dilution-info": "", "IHCP-species-notes": "<p></p>", "IP-species-checked": "testedAndGuaranteed", "IP-species-dilution-info": "", "IP-species-notes": "<p></p>", "ICCIF-species-checked": "notRecommended", "ICCIF-species-dilution-info": "", "ICCIF-species-notes": "", "FlowCytIntra-species-checked": "notRecommended", "FlowCytIntra-species-dilution-info": "", "FlowCytIntra-species-notes": "" } } }

製品の詳細

What are recombinant multiclonals?
Recombinant multiclonals are a mixture of recombinant antibodies co-expressed from a library of heavy and light chains. They offer several advantages including:

  • - The sensitivity of polyclonal antibodies by recognising multiple epitopes
  • - High batch-to-batch consistency and reproducibility
  • - Improved sensitivity and specificity
  • - Long-term security of supply
  • - Animal-free batch production

View our range of recombinant multiclonal antibodies.

Patented technology
Our RabMAb® technology is a patented hybridoma-based technology for making rabbit monoclonal antibodies. For details on our patents, please refer to RabMAb® patents.

Conjugation ready
Our carrier-free antibodies are typically supplied in a PBS-only formulation, purified and free of BSA, sodium azide and glycerol. This conjugation-ready format is designed for use with fluorochromes, metal isotopes, oligonucleotides, and enzymes, which makes them ideal for antibody labelling, functional and cell-based assays, flow-based assays (e.g. mass cytometry) and Multiplex Imaging applications.

Use our conjugation kits for antibody conjugates that are ready-to-use in as little as 20 minutes with 1 minute hands-on-time and 100% antibody recovery: available for fluorescent dyes, HRP, biotin and gold.

Compatibility
This product is compatible with the Maxpar® Antibody Labeling Kit from Fluidigm, without the need for antibody preparation. Maxpar® is a trademark of Fluidigm Canada Inc.

出荷温度及び保存条件

製品の状態
Liquid
精製方法
Affinity purification Protein A
バッファー組成
pH: 7.2 - 7.4 Constituents: PBS
出荷温度
Blue Ice
短期保存温度
+4°C
長期保存温度
+4°C

補足情報

This supplementary information is collated from multiple sources and compiled automatically.

Uncoupling Protein 1 (UCP1) also known as thermogenin is an important protein found in the mitochondria of brown adipose tissue (BAT). It has a molecular mass of approximately 33 kDa. UCP1 functions as a mitochondrial carrier specifically involved in the process of proton transport across the inner mitochondrial membrane. It leads to the dissipation of the proton gradient producing heat instead of ATP. This process is called non-shivering thermogenesis. UCP1 is mainly expressed in brown adipose tissue an area important for heat production in mammals.
Biological function summary

UCP1 plays an essential role in energy metabolism by activating thermogenesis in brown adipocytes. It does not form a larger multi-protein complex but acts as an independent protein facilitating a significant amount of heat production. By uncoupling oxidative phosphorylation UCP1 controls energy expenditure and is central to maintaining body temperature in cold environments. Its function regulates metabolic rate and prevents excess fat accumulation connecting with mechanisms involved in energy balance.

Pathways

UCP1 is an integral component of the metabolic pathway for thermogenesis. The PPAR signaling pathway regulates its expression emphasizing its role in energy homeostasis. Additionally UCP1 interacts with proteins like PGC-1α an important regulator of energy metabolism and mitochondrial biogenesis. This interaction highlights UCP1's involvement in mitochondrial activity and adaptation to changes in temperature or diet linking it to important metabolic functions.

UCP1 has been connected with obesity and metabolic syndrome. Its dysregulation can lead to impaired thermogenic responses and reduced metabolic rate contributing to metabolic disorders. UCP1 is related to leptin a protein that regulates appetite and energy balance which is impacted in cases of obesity. Understanding this relationship helps in exploring potential therapeutic targets for tackling obesity and related metabolic diseases by modulating UCP1 activity.

製品プロトコール

For this product, it's our understanding that no specific protocols are required. You can visit:

ターゲットの情報

Mitochondrial transporter that functions as a long-chain fatty acid/LCFA and proton symporter, simultaneously transporting one LCFA and one proton through the inner mitochondrial membrane. However, LCFAs remaining associated with the transporter via their hydrophobic tails, it results in an apparent transport of protons activated by LCFAs. Thereby, dissipates the mitochondrial proton gradient and converts the energy of substrate oxydation into heat instead of ATP (PubMed : 23063128). Responsible for thermogenic respiration, a specialized capacity of brown adipose tissue and beige fat that participates in non-shivering adaptive thermogenesis to temperature and diet variations and more generally to the regulation of energy balance (PubMed : 19187776, PubMed : 23063128, PubMed : 27027295, PubMed : 9139827). Regulates the production of reactive oxygen species/ROS by mitochondria (PubMed : 20416274, PubMed : 20466728).
See full target information Ucp1

Abcam product promise

当社は、高品質な試薬を通じてお客様の研究を力強くサポートすることをお約束いたします。ご使用いただく各段階で、常にお客様をサポートできる体制を整えております。万が一、製品が期待通りに機能しない場合は、「Abcam Product Promise」による当社保証制度に基づき、安心してご利用いただけます。
保証に関する詳細については利用規約をご確認ください。

Please note: All products are 'FOR RESEARCH USE ONLY. NOT FOR USE IN DIAGNOSTIC OR THERAPEUTIC PROCEDURES'.

For licensing inquiries, please contact partnerships@abcam.com