JavaScript is disabled in your browser. Please enable JavaScript to view this website.
AB182583

Anti-UBF1 (phospho S484) 抗体 [EPR2725(2)]

Anti-UBF1 (phospho S484) antibody [EPR2725(2)]

3

(1 Review)

|

(6 Publications)

Rabbit Recombinant Monoclonal UBF1 phospho S484 antibody. Suitable for WB, IHC-P and reacts with Human samples. Cited in 6 publications.

別名を表示する

UBF, UBF1, UBTF, Nucleolar transcription factor 1, Autoantigen NOR-90, Upstream-binding factor 1, UBF-1

3 Images
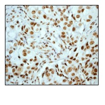
Immunohistochemistry (Formalin/PFA-fixed paraffin-embedded sections) - Anti-UBF1 (phospho S484) antibody [EPR2725(2)] (AB182583)
  • IHC-P

Supplier Data

Immunohistochemistry (Formalin/PFA-fixed paraffin-embedded sections) - Anti-UBF1 (phospho S484) antibody [EPR2725(2)] (AB182583)

Immunohistochemical analysis of paraffin-embedded Human colon tissue labeling UBF1 with ab182583 at 1/100 dilution followed by prediluted HRP Polymer for Rabbit IgG. Counter stained with Hematoxylin.

Perform heat mediated antigen retrieval with EDTA buffer pH 9 before commencing with IHC staining protocol.

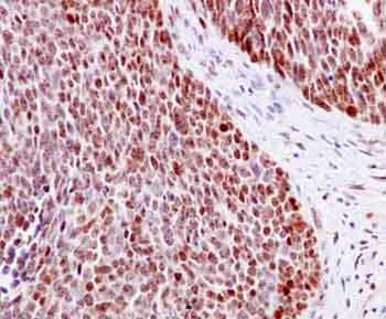
Immunohistochemistry (Formalin/PFA-fixed paraffin-embedded sections) - Anti-UBF1 (phospho S484) antibody [EPR2725(2)] (AB182583)
  • IHC-P

Supplier Data

Immunohistochemistry (Formalin/PFA-fixed paraffin-embedded sections) - Anti-UBF1 (phospho S484) antibody [EPR2725(2)] (AB182583)

Immunohistochemical analysis of paraffin-embedded Human squamous cell carcinoma of cervix tissue labeling UBF1 at 1/100 dilution followed by prediluted HRP Polymer for Rabbit IgG. Counter stained with Hematoxylin.

Perform heat mediated antigen retrieval with EDTA buffer pH 9 before commencing with IHC staining protocol.

Western blot - Anti-UBF1 (phospho S484) antibody [EPR2725(2)] (AB182583)
  • WB

Supplier Data

Western blot - Anti-UBF1 (phospho S484) antibody [EPR2725(2)] (AB182583)

All lanes:

Western blot - Anti-UBF1 (phospho S484) antibody [EPR2725(2)] (ab182583) at 1/10000 dilution

Lane 1:

Nocodazole treated HeLa cell lysate at 10 µg

Lane 2:

HeLa cell lysate at 10 µg

Secondary

All lanes:

Goat Anti-Rabbit IgG, (H+L), Peroxidase conjugate at 1/1000 dilution

Predicted band size: 89 kDa

false

関連する標識済み抗体及び組成の異なる製品 (1)

  • Carrier free

    Anti-UBF1 (phospho S484) antibody [EPR2725(2)] - BSA and Azide free

Key facts

宿主種

Rabbit

クローン性

Monoclonal

クローン番号

EPR2725(2)

アイソタイプ

IgG

キャリアフリー

No

交差種

Human

アプリケーション

IHC-P, WB

applications

免疫原

The exact immunogen used to generate this antibody is proprietary information.

Reactivity data

{ "title": "Reactivity Data", "filters": { "stats": ["", "Species", "Dilution Info", "Notes"], "tabs": { "all-applications": {"fullname" : "All Applications", "shortname": "All Applications"}, "WB" : {"fullname" : "Western blot", "shortname":"WB"}, "IHCP" : {"fullname" : "Immunohistochemistry (Formalin/PFA-fixed paraffin-embedded sections)", "shortname":"IHC-P"} }, "product-promise": { "all": "all", "testedAndGuaranteed": "tested", "guaranteed": "expected", "predicted": "predicted", "notRecommended": "not-recommended" } }, "values": { "Human": { "WB-species-checked": "testedAndGuaranteed", "WB-species-dilution-info": "1/1000 - 1/10000", "WB-species-notes": "<p></p>", "IHCP-species-checked": "testedAndGuaranteed", "IHCP-species-dilution-info": "1/100", "IHCP-species-notes": "<p></p>" }, "Mouse": { "WB-species-checked": "predicted", "WB-species-dilution-info": "", "WB-species-notes": "", "IHCP-species-checked": "predicted", "IHCP-species-dilution-info": "", "IHCP-species-notes": "" }, "Rat": { "WB-species-checked": "predicted", "WB-species-dilution-info": "", "WB-species-notes": "", "IHCP-species-checked": "predicted", "IHCP-species-dilution-info": "", "IHCP-species-notes": "" } } }

製品の詳細

Patented technology
Our RabMAb® technology is a patented hybridoma-based technology for making rabbit monoclonal antibodies. For details on our patents, please refer to RabMAb® patents.

What are the advantages of a recombinant monoclonal antibody?
This product is a recombinant monoclonal antibody, which offers several advantages including:

  • - High batch-to-batch consistency and reproducibility
  • - Improved sensitivity and specificity
  • - Long-term security of supply
  • - Animal-free batch production

For more information, read more on recombinant antibodies.

出荷温度及び保存条件

製品の状態
Liquid
精製方法
Affinity purification Protein A
バッファー組成
pH: 7.2 Preservative: 0.01% Sodium azide Constituents: PBS, 40% Glycerol (glycerin, glycerine), 0.05% BSA
出荷温度
Blue Ice
短期保存期間
1-2 weeks
短期保存温度
+4°C
長期保存温度
-20°C
分注に関する情報
Upon delivery aliquot
保管に関する情報
Avoid freeze / thaw cycle

補足情報

This supplementary information is collated from multiple sources and compiled automatically.

UBF1 also known as Upstream Binding Factor 1 is a transcription factor with a mass of approximately 97 kDa. It plays a mechanical role in facilitating the transcription of ribosomal RNA (rRNA) by binding to the core promoter element of rRNA genes. This action stimulates the recruitment of RNA polymerase I to the rDNA promoter site. UBF1 expresses in the nucleolus of eukaryotic cells where it functions as part of a nucleolar complex. Its presence is important for the structural organization and function of the nucleolus.
Biological function summary

UBF1 is essential for the regulation of ribosomal biogenesis. It binds to the rDNA enhancer and the rDNA promoter as part of the transcription initiation complex helping to modulate the synthesis of rRNA. UBF1 works synergistically with other nucleolar proteins such as SL1 and TIF-IA. This complex behavior influences cellular growth and proliferation. The interaction of UBF1 acting either alone or in combination with factors like SL1 controls the transcription rate of rRNA impacting the overall protein synthesis capacity of the cell.

Pathways

UBF1 plays a significant role in the cellular growth and ribosome biogenesis pathways due to its fundamental participation in rRNA transcription. It interacts closely with components of the RNA polymerase I transcription machinery. UBF1 also links to the mTOR signaling pathway which is pivotal for cell growth regulation. Interactions with other proteins such as RRN3 help mediate the link between transcriptional regulation by UBF1 and these broader signaling pathways.

UBF1 links to various pathological conditions especially cancer and growth disorders. Aberrations in UBF1 expression or function can lead to unchecked cellular proliferation and tumorigenesis as seen in certain types of cancer. Its connection to the rRNA synthesis pathway implicates it in growth disorders associated with defective ribosome production. Altered interactions between UBF1 and other proteins like p53 play a role in these disease states either by disrupting normal cell cycle control or by enabling the continued presence of harmful mutations.

製品プロトコール

For this product, it's our understanding that no specific protocols are required. You can visit:

ターゲットの情報

Recognizes the ribosomal RNA gene promoter and activates transcription mediated by RNA polymerase I (Pol I) through cooperative interactions with the transcription factor SL1/TIF-IB complex. It binds specifically to the upstream control element and can activate Pol I promoter escape.
See full target information UBTF phospho S484

文献 (6)

Recent publications for all applications. Explore the full list and refine your search

British journal of pharmacology : PubMed33486761

2021

Therapeutic efficacy of the novel selective RNA polymerase I inhibitor CX-5461 on pulmonary arterial hypertension and associated vascular remodeling.

Applications

Unspecified application

Species

Unspecified reactive species

Xia Xu,Hua Feng,Chaochao Dai,Weida Lu,Jun Zhang,Xiaosun Guo,Qihui Yin,Jianli Wang,Xiaopei Cui,Fan Jiang

GeroScience 43:65-83 PubMed32588343

2020

Muscle from aged rats is resistant to mechanotherapy during atrophy and reloading.

Applications

Unspecified application

Species

Unspecified reactive species

Marcus M Lawrence,Douglas W Van Pelt,Amy L Confides,Zachary R Hettinger,Emily R Hunt,Justin J Reid,Jaime L Laurin,Frederick F Peelor,Timothy A Butterfield,Benjamin F Miller,Esther E Dupont-Versteegden

Acta physiologica (Oxford, England) 229:e13460 PubMed32125770

2020

Massage as a mechanotherapy promotes skeletal muscle protein and ribosomal turnover but does not mitigate muscle atrophy during disuse in adult rats.

Applications

Unspecified application

Species

Unspecified reactive species

Marcus M Lawrence,Douglas W Van Pelt,Amy L Confides,Emily R Hunt,Zachary R Hettinger,Jaime L Laurin,Justin J Reid,Frederick F Peelor,Timothy A Butterfield,Esther E Dupont-Versteegden,Benjamin F Miller

Journal of applied physiology (Bethesda, Md. : 1985) 126:1673-1680 PubMed30998122

2019

Consecutive bouts of electrical stimulation-induced contractions alter ribosome biogenesis in rat skeletal muscle.

Applications

Unspecified application

Species

Unspecified reactive species

Takaya Kotani,Junya Takegaki,Ryo Takagi,Koichi Nakazato,Naokata Ishii

FASEB journal : official publication of the Federa 31:5196-5207 PubMed28774889

2017

A dynamic ribosomal biogenesis response is not required for IGF-1-mediated hypertrophy of human primary myotubes.

Applications

Unspecified application

Species

Unspecified reactive species

Hannah Crossland,James A Timmons,Philip J Atherton

Arteriosclerosis, thrombosis, and vascular biology 37:476-484 PubMed28062495

2017

Therapeutic Targeting of RNA Polymerase I With the Small-Molecule CX-5461 for Prevention of Arterial Injury-Induced Neointimal Hyperplasia.

Applications

Unspecified application

Species

Unspecified reactive species

Qing Ye,Shu Pang,Wenjing Zhang,Xiaotong Guo,Jianli Wang,Yongtao Zhang,Yang Liu,Xiao Wu,Fan Jiang
View all publications

Abcam product promise

当社は、高品質な試薬を通じてお客様の研究を力強くサポートすることをお約束いたします。ご使用いただく各段階で、常にお客様をサポートできる体制を整えております。万が一、製品が期待通りに機能しない場合は、「Abcam Product Promise」による当社保証制度に基づき、安心してご利用いただけます。
保証に関する詳細については利用規約をご確認ください。

Please note: All products are 'FOR RESEARCH USE ONLY. NOT FOR USE IN DIAGNOSTIC OR THERAPEUTIC PROCEDURES'.

For licensing inquiries, please contact partnerships@abcam.com