JavaScript is disabled in your browser. Please enable JavaScript to view this website.
AB249983

Anti-UBA5 抗体 [EPR11729] - BSA and Azide free

Anti-UBA5 antibody [EPR11729] - BSA and Azide free

Be the first to review this product! Submit a review

|

(0 Publication)

Rabbit Recombinant Monoclonal UBA5 antibody. Carrier free. Suitable for IHC-P, ICC/IF, WB, Flow Cyt (Intra) and reacts with Human samples.

別名を表示する

UBE1DC1, UBA5, Ubiquitin-like modifier-activating enzyme 5, Ubiquitin-activating enzyme 5, ThiFP1, UFM1-activating enzyme, Ubiquitin-activating enzyme E1 domain-containing protein 1

5 Images
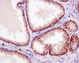
Immunohistochemistry (Formalin/PFA-fixed paraffin-embedded sections) - Anti-UBA5 antibody [EPR11729] - BSA and Azide free (AB249983)
  • IHC-P

Supplier Data

Immunohistochemistry (Formalin/PFA-fixed paraffin-embedded sections) - Anti-UBA5 antibody [EPR11729] - BSA and Azide free (AB249983)

This data was developed using ab177478, the same antibody clone in a different buffer formulation.

Immunohistochemical analysis of paraffin embedded Human prostate gastric carcinoma tissue labeling UBA5 with ab177478 at 1/50.

Perform heat mediated antigen retrieval before commencing with IHC staining protocol.

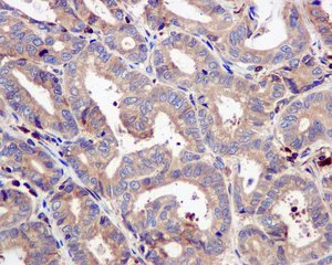
Immunohistochemistry (Formalin/PFA-fixed paraffin-embedded sections) - Anti-UBA5 antibody [EPR11729] - BSA and Azide free (AB249983)
  • IHC-P

Supplier Data

Immunohistochemistry (Formalin/PFA-fixed paraffin-embedded sections) - Anti-UBA5 antibody [EPR11729] - BSA and Azide free (AB249983)

This data was developed using ab177478, the same antibody clone in a different buffer formulation.

Immunohistochemical analysis of paraffin embedded Human prostate tissue labeling UBA5 with ab177478 at 1/50.

Perform heat mediated antigen retrieval before commencing with IHC staining protocol.

Immunocytochemistry/ Immunofluorescence - Anti-UBA5 antibody [EPR11729] - BSA and Azide free (AB249983)
  • ICC/IF

Supplier Data

Immunocytochemistry/ Immunofluorescence - Anti-UBA5 antibody [EPR11729] - BSA and Azide free (AB249983)

This data was developed using ab177478, the same antibody clone in a different buffer formulation.

Immunofluorescent analysis of Caco-2 cells labeling UBA5 with ab177478 at 1/50 (green) and DAPI staining (blue).

Flow Cytometry (Intracellular) - Anti-UBA5 antibody [EPR11729] - BSA and Azide free (AB249983)
  • Flow Cyt (Intra)

Supplier Data

Flow Cytometry (Intracellular) - Anti-UBA5 antibody [EPR11729] - BSA and Azide free (AB249983)

This data was developed using ab177478, the same antibody clone in a different buffer formulation.

Intracellular flow cytometrical analysis of permeabilized Jurkat cells labeling UBA5 with ab177478 at 1/10 (red) or a rabbit IgG (negative) (green).

Western blot - Anti-UBA5 antibody [EPR11729] - BSA and Azide free (AB249983)
  • WB

Supplier Data

Western blot - Anti-UBA5 antibody [EPR11729] - BSA and Azide free (AB249983)

This data was developed using ab177478, the same antibody clone in a different buffer formulation.

All lanes:

Western blot - Anti-UBA5 antibody [EPR11729] (<a href='/products/primary-antibodies/uba5-antibody-epr11729-ab177478'>ab177478</a>) at 1/1000 dilution

Lane 1:

Caco-2 cell lysate at 10 µg

Lane 2:

Jurkat cell lysate at 10 µg

Lane 3:

293T cell lysate at 10 µg

Secondary

All lanes:

HRP labelled goat anti-rabbit at 1/2000 dilution

Predicted band size: 45 kDa

false

関連する標識済み抗体及び組成の異なる製品 (10)

Key facts

宿主種

Rabbit

クローン性

Monoclonal

クローン番号

EPR11729

アイソタイプ

IgG

キャリアフリー

Yes

交差種

Human

アプリケーション

IHC-P, WB, ICC/IF, Flow Cyt (Intra)

applications

免疫原

The exact immunogen used to generate this antibody is proprietary information.

Reactivity data

{ "title": "Reactivity Data", "filters": { "stats": ["", "Species", "Dilution Info", "Notes"], "tabs": { "all-applications": {"fullname" : "All Applications", "shortname": "All Applications"}, "IHCP" : {"fullname" : "Immunohistochemistry (Formalin/PFA-fixed paraffin-embedded sections)", "shortname":"IHC-P"}, "ICCIF" : {"fullname" : "Immunocytochemistry/ Immunofluorescence", "shortname":"ICC/IF"}, "IP" : {"fullname" : "Immunoprecipitation", "shortname":"IP"}, "WB" : {"fullname" : "Western blot", "shortname":"WB"}, "FlowCytIntra" : {"fullname" : "Flow Cytometry (Intracellular)", "shortname":"Flow Cyt (Intra)"} }, "product-promise": { "all": "all", "testedAndGuaranteed": "tested", "guaranteed": "expected", "predicted": "predicted", "notRecommended": "not-recommended" } }, "values": { "Human": { "IHCP-species-checked": "testedAndGuaranteed", "IHCP-species-dilution-info": "", "IHCP-species-notes": "<p></p>", "ICCIF-species-checked": "testedAndGuaranteed", "ICCIF-species-dilution-info": "", "ICCIF-species-notes": "<p></p>", "IP-species-checked": "notRecommended", "IP-species-dilution-info": "", "IP-species-notes": "<p></p>", "WB-species-checked": "testedAndGuaranteed", "WB-species-dilution-info": "", "WB-species-notes": "<p></p>", "FlowCytIntra-species-checked": "testedAndGuaranteed", "FlowCytIntra-species-dilution-info": "", "FlowCytIntra-species-notes": "<p></p>" }, "Mouse": { "IHCP-species-checked": "notRecommended", "IHCP-species-dilution-info": "", "IHCP-species-notes": "<p></p>", "ICCIF-species-checked": "notRecommended", "ICCIF-species-dilution-info": "", "ICCIF-species-notes": "<p></p>", "IP-species-checked": "notRecommended", "IP-species-dilution-info": "", "IP-species-notes": "<p></p>", "WB-species-checked": "notRecommended", "WB-species-dilution-info": "", "WB-species-notes": "<p></p>", "FlowCytIntra-species-checked": "notRecommended", "FlowCytIntra-species-dilution-info": "", "FlowCytIntra-species-notes": "<p></p>" }, "Rat": { "IHCP-species-checked": "notRecommended", "IHCP-species-dilution-info": "", "IHCP-species-notes": "<p></p>", "ICCIF-species-checked": "notRecommended", "ICCIF-species-dilution-info": "", "ICCIF-species-notes": "<p></p>", "IP-species-checked": "notRecommended", "IP-species-dilution-info": "", "IP-species-notes": "<p></p>", "WB-species-checked": "notRecommended", "WB-species-dilution-info": "", "WB-species-notes": "<p></p>", "FlowCytIntra-species-checked": "notRecommended", "FlowCytIntra-species-dilution-info": "", "FlowCytIntra-species-notes": "<p></p>" } } }

製品の詳細

ab249983 is the carrier-free version of ab177478.

Patented technology
Our RabMAb® technology is a patented hybridoma-based technology for making rabbit monoclonal antibodies. For details on our patents, please refer to RabMAb® patents.

What are the advantages of a recombinant monoclonal antibody?
This product is a recombinant monoclonal antibody, which offers several advantages including:

  • - High batch-to-batch consistency and reproducibility
  • - Improved sensitivity and specificity
  • - Long-term security of supply
  • - Animal-free batch production

For more information, read more on recombinant antibodies.

Conjugation ready
Our carrier-free antibodies are typically supplied in a PBS-only formulation, purified and free of BSA, sodium azide and glycerol. This conjugation-ready format is designed for use with fluorochromes, metal isotopes, oligonucleotides, and enzymes, which makes them ideal for antibody labelling, functional and cell-based assays, flow-based assays (e.g. mass cytometry) and Multiplex Imaging applications.

Use our conjugation kits for antibody conjugates that are ready-to-use in as little as 20 minutes with 1 minute hands-on-time and 100% antibody recovery: available for fluorescent dyes, HRP, biotin and gold.

Compatibility
This product is compatible with the Maxpar® Antibody Labeling Kit from Fluidigm, without the need for antibody preparation. Maxpar® is a trademark of Fluidigm Canada Inc.

出荷温度及び保存条件

製品の状態
Liquid
精製方法
Affinity purification Protein A
バッファー組成
pH: 7.2 - 7.4 Constituents: PBS
出荷温度
Blue Ice
短期保存温度
+4°C
長期保存温度
+4°C
保管に関する情報
Do Not Freeze

補足情報

This supplementary information is collated from multiple sources and compiled automatically.

UBA5 also known as Ubiquitin-like modifier-activating enzyme 5 is an E1 enzyme that plays a mechanical role in activating ubiquitin-fold modifier 1 (UFM1) for protein modification. It has a molecular mass of about 44 kDa and performs its function in the nucleus and cytoplasm within human cells. The expression of UBA5 is not limited to specific tissues; instead it shows widespread expression across many tissues supporting an important role in various cellular processes.
Biological function summary

UBA5 is implicated in the UFM1 conjugation system. This process modifies specific proteins and affects protein stability interaction and degradation. UBA5 operates in complex with UFC1 an E2 enzyme enabling the transfer of UFM1 to target proteins. Its activity is essential for maintaining cellular homeostasis particularly in the endoplasmic reticulum stress response through protein modification and regulation tasks.

Pathways

The UBA5-UFM1 axis integrates into the cellular stress response pathway and the endoplasmic reticulum-associated degradation (ERAD) pathway. Through these pathways UBA5 collaborates with proteins like UFL1 further connecting these pathways by tagging proteins with UFM1 to mark them for degradation or functional modification. The coordination between UBA5 and UFL1 supports efficient protein quality control and maintains cellular equilibrium under stress conditions.

The dysfunction or altered expression of UBA5 associates with neurodevelopmental disorders and some cancers. Changes in UBA5 activity can lead to imbalances in protein homeostasis contributing to pathogenic mechanisms in neurodevelopmental disorders where other proteins like EIF4A1 also play a role. In cancer alterations in UBA5 expression may influence tumor progression as seen in cases where UBA5 levels affect pathways that involve p53 an important tumor suppressor protein.

製品プロトコール

For this product, it's our understanding that no specific protocols are required. You can visit:

ターゲットの情報

E1-like enzyme which specifically catalyzes the first step in ufmylation (PubMed : 15071506, PubMed : 18442052, PubMed : 20368332, PubMed : 25219498, PubMed : 26929408, PubMed : 27545674, PubMed : 27545681, PubMed : 27653677, PubMed : 30412706, PubMed : 30626644, PubMed : 34588452). Activates UFM1 by first adenylating its C-terminal glycine residue with ATP, and thereafter linking this residue to the side chain of a cysteine residue in E1, yielding a UFM1-E1 thioester and free AMP (PubMed : 20368332, PubMed : 26929408, PubMed : 27653677, PubMed : 30412706). Activates UFM1 via a trans-binding mechanism, in which UFM1 interacts with distinct sites in both subunits of the UBA5 homodimer (PubMed : 27653677). Trans-binding also promotes stabilization of the UBA5 homodimer, and enhances ATP-binding (PubMed : 29295865). Transfer of UFM1 from UBA5 to the E2-like enzyme UFC1 also takes place using a trans mechanism (PubMed : 27653677, PubMed : 34588452). Ufmylation plays a key role in various processes, such as ribosome recycling, response to DNA damage, interferon response or reticulophagy (also called ER-phagy) (PubMed : 30412706, PubMed : 32160526, PubMed : 35394863). Ufmylation is essential for erythroid differentiation of both megakaryocytes and erythrocytes (By similarity).
See full target information UBA5

Abcam product promise

当社は、高品質な試薬を通じてお客様の研究を力強くサポートすることをお約束いたします。ご使用いただく各段階で、常にお客様をサポートできる体制を整えております。万が一、製品が期待通りに機能しない場合は、「Abcam Product Promise」による当社保証制度に基づき、安心してご利用いただけます。
保証に関する詳細については利用規約をご確認ください。

Please note: All products are 'FOR RESEARCH USE ONLY. NOT FOR USE IN DIAGNOSTIC OR THERAPEUTIC PROCEDURES'.

For licensing inquiries, please contact partnerships@abcam.com