JavaScript is disabled in your browser. Please enable JavaScript to view this website.
AB167411

Anti-TXNRD1 抗体 [EPR10205]

Anti-TXNRD1 antibody [EPR10205]

Be the first to review this product! Submit a review

|

(2 Publications)

Rabbit Recombinant Monoclonal TXNRD1 antibody. Suitable for IHC-P, WB, ICC/IF, Flow Cyt (Intra) and reacts with Human samples. Cited in 2 publications.

別名を表示する

GRIM12, KDRF, TXNRD1, TR, Gene associated with retinoic and interferon-induced mortality 12 protein, KM-102-derived reductase-like factor, Peroxidase TXNRD1, Thioredoxin reductase TR1, GRIM-12, Gene associated with retinoic and IFN-induced mortality 12 protein

7 Images
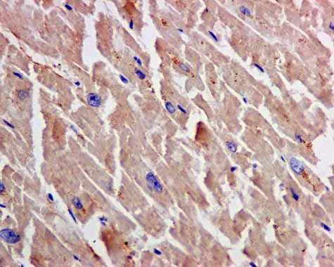
Immunohistochemistry (Formalin/PFA-fixed paraffin-embedded sections) - Anti-TXNRD1 antibody [EPR10205] (AB167411)
  • IHC-P

Unknown

Immunohistochemistry (Formalin/PFA-fixed paraffin-embedded sections) - Anti-TXNRD1 antibody [EPR10205] (AB167411)

ab167411 showing +ve staining in Human heart.

Perform heat mediated antigen retrieval with citrate buffer pH 6 before commencing with IHC staining protocol.

Immunohistochemistry (Formalin/PFA-fixed paraffin-embedded sections) - Anti-TXNRD1 antibody [EPR10205] (AB167411)
  • IHC-P

Unknown

Immunohistochemistry (Formalin/PFA-fixed paraffin-embedded sections) - Anti-TXNRD1 antibody [EPR10205] (AB167411)

ab167411 showing +ve staining in Human normal kidney.

Perform heat mediated antigen retrieval with citrate buffer pH 6 before commencing with IHC staining protocol.

Immunohistochemistry (Formalin/PFA-fixed paraffin-embedded sections) - Anti-TXNRD1 antibody [EPR10205] (AB167411)
  • IHC-P

Unknown

Immunohistochemistry (Formalin/PFA-fixed paraffin-embedded sections) - Anti-TXNRD1 antibody [EPR10205] (AB167411)

Immunohistochemical analysis of paraffin-embedded Human pancreas tissue labeling TXNRD1 with ab167411 at 1/100 dilution.

Perform heat mediated antigen retrieval with citrate buffer pH 6 before commencing with IHC staining protocol.

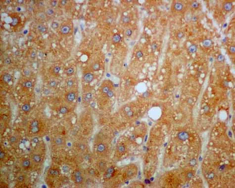
Immunohistochemistry (Formalin/PFA-fixed paraffin-embedded sections) - Anti-TXNRD1 antibody [EPR10205] (AB167411)
  • IHC-P

Unknown

Immunohistochemistry (Formalin/PFA-fixed paraffin-embedded sections) - Anti-TXNRD1 antibody [EPR10205] (AB167411)

ab167411 showing +ve staining in Human normal liver.

Perform heat mediated antigen retrieval with citrate buffer pH 6 before commencing with IHC staining protocol.

Flow Cytometry (Intracellular) - Anti-TXNRD1 antibody [EPR10205] (AB167411)
  • Flow Cyt (Intra)

Unknown

Flow Cytometry (Intracellular) - Anti-TXNRD1 antibody [EPR10205] (AB167411)

Intracellular flow cytometric analysis of permeabilized SH-SY5Y cells labeling TXNRD1 with ab167411 at 1/100 dilution (red) or with a rabbit IgG (negative) (green).

Immunocytochemistry/ Immunofluorescence - Anti-TXNRD1 antibody [EPR10205] (AB167411)
  • ICC/IF

Unknown

Immunocytochemistry/ Immunofluorescence - Anti-TXNRD1 antibody [EPR10205] (AB167411)

Immunofluorescent staining of HepG2 cells labeling TXNRD1 with ab167411 at 1/250 dilution. DAPI nuclear staining (blue).

Western blot - Anti-TXNRD1 antibody [EPR10205] (AB167411)
  • WB

Unknown

Western blot - Anti-TXNRD1 antibody [EPR10205] (AB167411)

All lanes:

Western blot - Anti-TXNRD1 antibody [EPR10205] (ab167411) at 1/1000 dilution

Lane 1:

HepG2 cell lysate at 10 µg

Lane 2:

SH-SY5Y cell lysate at 10 µg

Lane 3:

HeLa cell lysate at 10 µg

Secondary

All lanes:

Goat anti-Rabbit HRP conjugated antibody at 1/2000 dilution

Predicted band size: 71 kDa

false

関連する標識済み抗体及び組成の異なる製品 (1)

  • Carrier free

    Anti-TXNRD1 antibody [EPR10205] - BSA and Azide free

Key facts

宿主種

Rabbit

クローン性

Monoclonal

クローン番号

EPR10205

アイソタイプ

IgG

キャリアフリー

No

交差種

Human

アプリケーション

ICC/IF, Flow Cyt (Intra), WB, IHC-P

applications

免疫原

The exact immunogen used to generate this antibody is proprietary information.

Reactivity data

{ "title": "Reactivity Data", "filters": { "stats": ["", "Species", "Dilution Info", "Notes"], "tabs": { "all-applications": {"fullname" : "All Applications", "shortname": "All Applications"}, "IHCP" : {"fullname" : "Immunohistochemistry (Formalin/PFA-fixed paraffin-embedded sections)", "shortname":"IHC-P"}, "IP" : {"fullname" : "Immunoprecipitation", "shortname":"IP"}, "WB" : {"fullname" : "Western blot", "shortname":"WB"}, "ICCIF" : {"fullname" : "Immunocytochemistry/ Immunofluorescence", "shortname":"ICC/IF"}, "FlowCytIntra" : {"fullname" : "Flow Cytometry (Intracellular)", "shortname":"Flow Cyt (Intra)"} }, "product-promise": { "all": "all", "testedAndGuaranteed": "tested", "guaranteed": "expected", "predicted": "predicted", "notRecommended": "not-recommended" } }, "values": { "Human": { "IHCP-species-checked": "testedAndGuaranteed", "IHCP-species-dilution-info": "1/100 - 1/250", "IHCP-species-notes": "<p></p>", "IP-species-checked": "notRecommended", "IP-species-dilution-info": "", "IP-species-notes": "<p></p>", "WB-species-checked": "testedAndGuaranteed", "WB-species-dilution-info": "1/1000 - 1/5000", "WB-species-notes": "<p></p>", "ICCIF-species-checked": "testedAndGuaranteed", "ICCIF-species-dilution-info": "1/250 - 1/500", "ICCIF-species-notes": "<p></p>", "FlowCytIntra-species-checked": "testedAndGuaranteed", "FlowCytIntra-species-dilution-info": "1/100 - 1/500", "FlowCytIntra-species-notes": "<p><a href='/products/primary-antibodies/rabbit-igg-monoclonal-epr25a-isotype-control-ab172730'>ab172730</a> - Rabbit monoclonal IgG, is suitable for use as an isotype control with this antibody.</p>" }, "Rat": { "IHCP-species-checked": "predicted", "IHCP-species-dilution-info": "", "IHCP-species-notes": "", "IP-species-checked": "notRecommended", "IP-species-dilution-info": "", "IP-species-notes": "", "WB-species-checked": "predicted", "WB-species-dilution-info": "", "WB-species-notes": "", "ICCIF-species-checked": "predicted", "ICCIF-species-dilution-info": "", "ICCIF-species-notes": "", "FlowCytIntra-species-checked": "predicted", "FlowCytIntra-species-dilution-info": "", "FlowCytIntra-species-notes": "" } } }

製品の詳細

Species reactivity
Mouse: We have preliminary internal testing data to indicate this antibody may not react with this species.
Please contact us for more information.

Patented technology
Our RabMAb® technology is a patented hybridoma-based technology for making rabbit monoclonal antibodies. For details on our patents, please refer to RabMAb® patents.

What are the advantages of a recombinant monoclonal antibody?
This product is a recombinant monoclonal antibody, which offers several advantages including:

  • - High batch-to-batch consistency and reproducibility
  • - Improved sensitivity and specificity
  • - Long-term security of supply
  • - Animal-free batch production

For more information, read more on recombinant antibodies.

出荷温度及び保存条件

製品の状態
Liquid
精製度
Tissue culture supernatant
バッファー組成
pH: 7.2 - 7.4 Preservative: 0.01% Sodium azide Constituents: PBS, 50% Tissue culture supernatant, 40% Glycerol (glycerin, glycerine), 0.05% BSA
出荷温度
Blue Ice
短期保存期間
1-2 weeks
短期保存温度
+4°C
長期保存温度
-20°C
分注に関する情報
Upon delivery aliquot

補足情報

This supplementary information is collated from multiple sources and compiled automatically.

Thioredoxin reductase 1 (TXNRD1) also known as TRXR1 is a selenoprotein that plays an important role in maintaining cellular redox balance by catalyzing the reduction of thioredoxin (TRX). It possesses a molecular mass of approximately 55 kDa. TXNRD1 can be found in many tissues displaying a stronger presence in the liver kidney and pancreas indicating its significance in these organs. The enzyme contains a selenocysteine residue at its active site which is essential for its enzymatic activity.
Biological function summary

TXNRD1 functions as an integral part of the thioredoxin system which includes thioredoxin and NADPH. It maintains the redox homeostasis in cells by regenerating oxidized thioredoxin. This action allows thioredoxin to in turn reduce disulfide bonds in various substrate proteins. Furthermore TXNRD1 participates in regulating cellular processes such as DNA synthesis and repair signal transduction and antioxidant defense. It does not work alone but collaborates with various redox-active components to achieve its roles.

Pathways

TXNRD1 participates in the antioxidant defense and redox signaling pathways. Within the antioxidant defense pathway TXNRD1 along with thioredoxin provides resistance to oxidative stress. In the redox signaling pathway the protein interacts with NF-κB signaling processes impacting cell inflammation and apoptosis. These pathways are vital for cellular health and are connected through thioredoxin emphasizing the interconnected nature of TXNRD1-related processes.

TXNRD1 has associations with cancer and neurodegenerative diseases. Elevated levels of TXNRD1 have been observed in various cancers including lung and hepatocellular carcinoma suggesting a role in tumor growth and survival through redox regulation. Additionally TXNRD1 is linked to neurodegenerative diseases such as Alzheimer's where oxidative stress plays a contributory role. In these conditions TXNRD1 interacts closely with other redox proteins like glutathione reductase highlighting its potential as a therapeutic target.

製品プロトコール

For this product, it's our understanding that no specific protocols are required. You can visit:

ターゲットの情報

Reduces disulfideprotein thioredoxin (Trx) to its dithiol-containing form (PubMed : 8577704). Homodimeric flavoprotein involved in the regulation of cellular redox reactions, growth and differentiation. Contains a selenocysteine residue at the C-terminal active site that is essential for catalysis (Probable). Also has reductase activity on hydrogen peroxide (H2O2) (PubMed : 10849437).. Isoform 1. Induces actin and tubulin polymerization, leading to formation of cell membrane protrusions.. Isoform 4. Enhances the transcriptional activity of estrogen receptors ESR1 and ESR2.. Isoform 5. Enhances the transcriptional activity of the estrogen receptor ESR2 only (PubMed : 15199063). Mediates cell death induced by a combination of interferon-beta and retinoic acid (PubMed : 9774665).
See full target information TXNRD1

文献 (2)

Recent publications for all applications. Explore the full list and refine your search

Alzheimer's research & therapy 17:170 PubMed40702546

2025

New insights into the 17β-hydroxysteroid dehydrogenase type 10 and amyloid-β 42 derived cytotoxicity relevant to Alzheimer's disease.

Applications

Unspecified application

Species

Unspecified reactive species

Aneta Houfková,Monika Schmidt,Ondřej Benek,Ivo Fabrik,Rudolf Andrýs,Lucie Zemanová,Ondřej Soukup,Kamil Musílek

International journal of molecular sciences 25: PubMed38928353

2024

Subcellular Localization of Thioredoxin/Thioredoxin Reductase System-A Missing Link in Endoplasmic Reticulum Redox Balance.

Applications

Unspecified application

Species

Unspecified reactive species

Krisztina Veszelyi,Ibolya Czegle,Viola Varga,Csilla Emese Németh,Balázs Besztercei,Éva Margittai
View all publications

Abcam product promise

当社は、高品質な試薬を通じてお客様の研究を力強くサポートすることをお約束いたします。ご使用いただく各段階で、常にお客様をサポートできる体制を整えております。万が一、製品が期待通りに機能しない場合は、「Abcam Product Promise」による当社保証制度に基づき、安心してご利用いただけます。
保証に関する詳細については利用規約をご確認ください。

Please note: All products are 'FOR RESEARCH USE ONLY. NOT FOR USE IN DIAGNOSTIC OR THERAPEUTIC PROCEDURES'.

For licensing inquiries, please contact partnerships@abcam.com