JavaScript is disabled in your browser. Please enable JavaScript to view this website.
AB109403

Anti-Tuberin (phospho T1462) 抗体 [EPR1060(2)]

Anti-Tuberin (phospho T1462) antibody [EPR1060(2)]

Be the first to review this product! Submit a review

|

(1 Publication)

Rabbit Recombinant Monoclonal Tuberin phospho T1462 antibody. Suitable for IHC-P, WB and reacts with Human, Mouse samples. Cited in 1 publication.

別名を表示する

TSC4, TSC2, Tuberin, Tuberous sclerosis 2 protein

3 Images
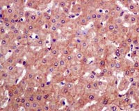
Immunohistochemistry (Formalin/PFA-fixed paraffin-embedded sections) - Anti-Tuberin (phospho T1462) antibody [EPR1060(2)] (AB109403)
  • IHC-P

Unknown

Immunohistochemistry (Formalin/PFA-fixed paraffin-embedded sections) - Anti-Tuberin (phospho T1462) antibody [EPR1060(2)] (AB109403)

Immunohistochemical analysis of paraffin-embedded Human liver tissue using ab109403 at 1/50

Perform heat mediated antigen retrieval with citrate buffer pH 6 before commencing with IHC staining protocol.

Western blot - Anti-Tuberin (phospho T1462) antibody [EPR1060(2)] (AB109403)
  • WB

Unknown

Western blot - Anti-Tuberin (phospho T1462) antibody [EPR1060(2)] (AB109403)

All lanes:

Western blot - Anti-Tuberin (phospho T1462) antibody [EPR1060(2)] (ab109403) at 1/1000 dilution

Lane 1:

NIH/3T3 cell lysate at 10 µg

Lane 2:

NIH/3T3 cell lysate treated with insulin. at 10 µg

Predicted band size: 201 kDa

Observed band size: 180 kDa

false

Western blot - Anti-Tuberin (phospho T1462) antibody [EPR1060(2)] (AB109403)
  • WB

Lab

Western blot - Anti-Tuberin (phospho T1462) antibody [EPR1060(2)] (AB109403)

Blocking/Diluting buffer and concentration 5% NFDM/TBST

All lanes:

Western blot - Anti-Tuberin (phospho T1462) antibody [EPR1060(2)] (ab109403) at 1/10000 dilution

Lane 1:

SH-SY5Y (Human neuroblastoma epithelial cell) whole cell lysate at 15 µg

Lane 2:

SH-SY5Y (Human neuroblastoma epithelial cell) treated with 1uM Okadaic Acid (OA) and 200nM Calyculin A (CA) for 60 min whole cell lysate at 15 µg

Lane 3:

SH-SY5Y (Human neuroblastoma epithelial cell) treated with 1uM Okadaic Acid (OA) and 200nM Calyculin A (CA) for 60 min whole cell lysate. Then the membrane was incubated with phosphatase. at 15 µg

Secondary

All lanes:

Western blot - Goat Anti-Rabbit IgG H&L (HRP) (<a href='/products/secondary-antibodies/goat-rabbit-igg-h-l-hrp-ab97051'>ab97051</a>) at 1/20000 dilution

Predicted band size: 201 kDa

Observed band size: 180 kDa

false

Exposure time: 20s

関連する標識済み抗体及び組成の異なる製品 (1)

  • Carrier free

    Anti-Tuberin (phospho T1462) antibody [EPR1060(2)] - BSA and Azide free

Key facts

宿主種

Rabbit

クローン性

Monoclonal

クローン番号

EPR1060(2)

アイソタイプ

IgG

キャリアフリー

No

交差種

Mouse, Human

アプリケーション

IHC-P, WB

applications

免疫原

The exact immunogen used to generate this antibody is proprietary information.

Reactivity data

{ "title": "Reactivity Data", "filters": { "stats": ["", "Species", "Dilution Info", "Notes"], "tabs": { "all-applications": {"fullname" : "All Applications", "shortname": "All Applications"}, "IHCP" : {"fullname" : "Immunohistochemistry (Formalin/PFA-fixed paraffin-embedded sections)", "shortname":"IHC-P"}, "IP" : {"fullname" : "Immunoprecipitation", "shortname":"IP"}, "FlowCyt" : {"fullname" : "Flow Cytometry", "shortname":"Flow Cyt"}, "WB" : {"fullname" : "Western blot", "shortname":"WB"}, "ICCIF" : {"fullname" : "Immunocytochemistry/ Immunofluorescence", "shortname":"ICC/IF"} }, "product-promise": { "all": "all", "testedAndGuaranteed": "tested", "guaranteed": "expected", "predicted": "predicted", "notRecommended": "not-recommended" } }, "values": { "Human": { "IHCP-species-checked": "testedAndGuaranteed", "IHCP-species-dilution-info": "1/50 - 1/100", "IHCP-species-notes": "<p></p> Perform heat-mediated antigen retrieval with citrate buffer pH 6 before commencing with IHC staining protocol.", "IP-species-checked": "notRecommended", "IP-species-dilution-info": "", "IP-species-notes": "<p></p>", "FlowCyt-species-checked": "notRecommended", "FlowCyt-species-dilution-info": "", "FlowCyt-species-notes": "<p></p>", "WB-species-checked": "testedAndGuaranteed", "WB-species-dilution-info": "1/1000 - 1/10000", "WB-species-notes": "<p></p>", "ICCIF-species-checked": "notRecommended", "ICCIF-species-dilution-info": "", "ICCIF-species-notes": "<p></p>" }, "Mouse": { "IHCP-species-checked": "guaranteed", "IHCP-species-dilution-info": "", "IHCP-species-notes": "", "IP-species-checked": "notRecommended", "IP-species-dilution-info": "", "IP-species-notes": "<p></p>", "FlowCyt-species-checked": "notRecommended", "FlowCyt-species-dilution-info": "", "FlowCyt-species-notes": "<p></p>", "WB-species-checked": "testedAndGuaranteed", "WB-species-dilution-info": "1/1000 - 1/10000", "WB-species-notes": "<p></p>", "ICCIF-species-checked": "notRecommended", "ICCIF-species-dilution-info": "", "ICCIF-species-notes": "<p></p>" } } }

製品の詳細

Patented technology
Our RabMAb® technology is a patented hybridoma-based technology for making rabbit monoclonal antibodies. For details on our patents, please refer to RabMAb® patents.

What are the advantages of a recombinant monoclonal antibody?
This product is a recombinant monoclonal antibody, which offers several advantages including:

  • - High batch-to-batch consistency and reproducibility
  • - Improved sensitivity and specificity
  • - Long-term security of supply
  • - Animal-free batch production

For more information, read more on recombinant antibodies.

Species reactivity
Rat: We have preliminary internal testing data to indicate this antibody may not react with this species.
Please contact us for more information.

出荷温度及び保存条件

製品の状態
Liquid
精製方法
Affinity purification Protein A
バッファー組成
pH: 7.2 - 7.4 Preservative: 0.05% Sodium azide Constituents: 50% Tissue culture supernatant, 40% Glycerol (glycerin, glycerine), 9.85% Tris glycine, 0.1% BSA
出荷温度
Blue Ice
短期保存温度
+4°C
長期保存温度
-20°C
保管に関する情報
Stable for 12 months at -20°C

補足情報

This supplementary information is collated from multiple sources and compiled automatically.

Tuberin also known as TSC2 is a tumor suppressor protein with a role in cell growth regulation. It has a molecular mass of approximately 200 kDa. This protein forms a critical component of the TSC1-TSC2 complex and is expressed widely in various tissues including the brain kidney heart and skin. Tuberin possesses GTPase-activating protein (GAP) activity targeting specifically the small GTPase protein Rheb which leads to inhibition of the mammalian target of rapamycin complex 1 (mTORC1).
Biological function summary

Tuberin helps control cell size and proliferation. It does this by modulating the mTOR signaling pathway. This modulation is essential for maintaining cellular homeostasis and energy balance particularly under conditions of nutrient scarcity. Tuberin as part of the TSC1-TSC2 complex also influences cell cycle progression and protein synthesis. Its functions are vital in preventing abnormal cell growth and division which is particularly important in organs where rapid cell turnover occurs.

Pathways

Tuberin plays a central role in the mTOR signaling pathway which affects cell growth autophagy and metabolism. It directly interacts with hamartin (TSC1) to form the TSC1-TSC2 complex which regulates Rheb activity. By inhibiting Rheb Tuberin helps control the mTORC1 pathway linking it to signals such as growth factors stress energy status and amino acid availability. This coordination is important for the proper balance between cell growth and catabolism.

Tuberin is mainly associated with Tuberous Sclerosis Complex (TSC) and certain forms of epilepsy. Mutations or loss of function in TSC2 can lead to benign tumor formations in multiple organs including the brain kidneys and skin. It is also implicated in the development of lymphangioleiomyomatosis (LAM) a rare lung disease. Tuberin's interaction with mTORC1 highlights its connection with these conditions as hyperactivation of the mTOR pathway contributes significantly to the pathogenesis.

製品プロトコール

For this product, it's our understanding that no specific protocols are required. You can visit:

ターゲットの情報

Catalytic component of the TSC-TBC complex, a multiprotein complex that acts as a negative regulator of the canonical mTORC1 complex, an evolutionarily conserved central nutrient sensor that stimulates anabolic reactions and macromolecule biosynthesis to promote cellular biomass generation and growth (PubMed : 12172553, PubMed : 12271141, PubMed : 12842888, PubMed : 12906785, PubMed : 15340059, PubMed : 22819219, PubMed : 24529379, PubMed : 28215400, PubMed : 33436626, PubMed : 35772404). Within the TSC-TBC complex, TSC2 acts as a GTPase-activating protein (GAP) for the small GTPase RHEB, a direct activator of the protein kinase activity of mTORC1 (PubMed : 12172553, PubMed : 12820960, PubMed : 12842888, PubMed : 12906785, PubMed : 15340059, PubMed : 22819219, PubMed : 24529379, PubMed : 33436626). In absence of nutrients, the TSC-TBC complex inhibits mTORC1, thereby preventing phosphorylation of ribosomal protein S6 kinase (RPS6KB1 and RPS6KB2) and EIF4EBP1 (4E-BP1) by the mTORC1 signaling (PubMed : 12172553, PubMed : 12271141, PubMed : 12842888, PubMed : 12906785, PubMed : 22819219, PubMed : 24529379, PubMed : 28215400, PubMed : 35772404). The TSC-TBC complex is inactivated in response to nutrients, relieving inhibition of mTORC1 (PubMed : 12172553, PubMed : 24529379). Involved in microtubule-mediated protein transport via its ability to regulate mTORC1 signaling (By similarity). Also stimulates the intrinsic GTPase activity of the Ras-related proteins RAP1A and RAB5 (By similarity).
See full target information TSC2 phospho T1462

文献 (1)

Recent publications for all applications. Explore the full list and refine your search

Autophagy 16:435-450 PubMed31203721

2019

Inactivation of MTOR promotes autophagy-mediated epithelial injury in particulate matter-induced airway inflammation.

Applications

Unspecified application

Species

Unspecified reactive species

Yin-Fang Wu,Zhou-Yang Li,Ling-Ling Dong,Wei-Jie Li,Yan-Ping Wu,Jing Wang,Hai-Pin Chen,Hui-Wen Liu,Miao Li,Ci-Liang Jin,Hua-Qiong Huang,Song-Min Ying,Wen Li,Hua-Hao Shen,Zhi-Hua Chen
View all publications

Abcam product promise

当社は、高品質な試薬を通じてお客様の研究を力強くサポートすることをお約束いたします。ご使用いただく各段階で、常にお客様をサポートできる体制を整えております。万が一、製品が期待通りに機能しない場合は、「Abcam Product Promise」による当社保証制度に基づき、安心してご利用いただけます。
保証に関する詳細については利用規約をご確認ください。

関連製品

Select an associated product type
Alternative Product
Primary Antibodies

AB133454

Anti-Tuberin (phospho S1254) antibody [EPR5682]

primary-antibodies

tuberin-phospho-s1254-antibody-epr5682-ab133454

0

(0 reviews)

Alternative Product
Primary Antibodies

AB32554

Anti-Tuberin antibody [Y320]

primary-antibodies

tuberin-antibody-y320-ab32554

5

(1 reviews)

Alternative Product
Primary Antibodies

AB256472

Anti-Tuberin antibody [EPR22886-235] - BSA and Azide free

primary-antibodies

tuberin-antibody-epr22886-235-bsa-and-azide-free-ab256472

0

(0 reviews)

Alternative Product
Primary Antibodies

AB133465

Anti-Tuberin (phospho S664) antibody [EPR8202]

primary-antibodies

tuberin-phospho-s664-antibody-epr8202-ab133465

0

(0 reviews)

Alternative Product
Primary Antibodies

AB255612

Anti-Tuberin antibody [EPR22886-235]

primary-antibodies

tuberin-antibody-epr22886-235-ab255612

0

(0 reviews)

Alternative Product
Primary Antibodies

AB52962

Anti-Tuberin (phospho S939) antibody [EP1062Y]

primary-antibodies

tuberin-phospho-s939-antibody-ep1062y-ab52962

0

(0 reviews)

Alternative Product
Primary Antibodies

AB178441

Anti-Tuberin antibody [Y320] - BSA and Azide free

primary-antibodies

tuberin-antibody-y320-bsa-and-azide-free-ab178441

0

(0 reviews)

Alternative Product
Primary Antibodies

AB52936

Anti-Tuberin antibody [EP1107Y]

primary-antibodies

tuberin-antibody-ep1107y-ab52936

0

(0 reviews)

Please note: All products are 'FOR RESEARCH USE ONLY. NOT FOR USE IN DIAGNOSTIC OR THERAPEUTIC PROCEDURES'.

For licensing inquiries, please contact partnerships@abcam.com