JavaScript is disabled in your browser. Please enable JavaScript to view this website.
AB228013

Anti-TSG101 抗体

Anti-TSG101 antibody

Be the first to review this product! Submit a review

|

(11 Publications)

Rabbit Polyclonal TSG101 antibody. Suitable for ELISA, IP, WB, IHC-P and reacts with Recombinant fragment, Human, Mouse, Rat samples. Cited in 11 publications. Immunogen corresponding to Recombinant Fragment Protein within Human Tumor susceptibility gene 101 protein.

別名を表示する

Tumor susceptibility gene 101 protein, ESCRT-I complex subunit TSG101, TSG101

9 Images
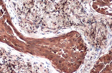
Immunohistochemistry (Formalin/PFA-fixed paraffin-embedded sections) - Anti-TSG101 antibody (AB228013)
  • IHC-P

Supplier Data

Immunohistochemistry (Formalin/PFA-fixed paraffin-embedded sections) - Anti-TSG101 antibody (AB228013)

Immunohistochemical analysis of paraffin-embedded human lung cancer tissue stained for TSG101 protein at cytoplasm with ab228013 at a 1/500 dilution.

Antigen Retrieval : Citrate buffer, pH 6.0, 15 min.

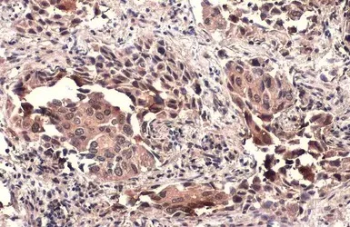
Immunohistochemistry (Formalin/PFA-fixed paraffin-embedded sections) - Anti-TSG101 antibody (AB228013)
  • IHC-P

Supplier Data

Immunohistochemistry (Formalin/PFA-fixed paraffin-embedded sections) - Anti-TSG101 antibody (AB228013)

Immunohistochemical analysis of paraffin-embedded human lung cancer tissue stained for TSG101 protein at cytoplasm with ab228013 at a 1/500 dilution.

Antigen Retrieval : Citrate buffer, pH 6.0, 15 min.

Immunoprecipitation - Anti-TSG101 antibody (AB228013)
  • IP

Supplier Data

Immunoprecipitation - Anti-TSG101 antibody (AB228013)

TSG101 was immunoprecipitated from A549 (human lung carcinoma cell line from) whole cell extract with 5 μg of ab228013. Western blot was performed from the immunoprecipitate using ab228013. Anti-Rabbit IgG was used as a secondary reagent.

Lane 1 : Control IgG instaed of ab228013 in A549 whole cell extract.

Lane 2 : ab228013 IP in A549 whole cell extract.

All lanes:

Immunoprecipitation - Anti-TSG101 antibody (ab228013)

Predicted band size: 44 kDa

false

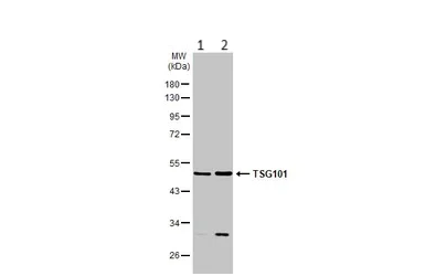
Western blot - Anti-TSG101 antibody (AB228013)
  • WB

Supplier Data

Western blot - Anti-TSG101 antibody (AB228013)

Samples were separated by 10% SDS-PAGE.

All lanes:

Western blot - Anti-TSG101 antibody (ab228013) at 1/1000 dilution

Lane 1:

K562 whole cell extracts at 30 µg

Lane 2:

THP-1 whole cell extracts at 30 µg

Lane 3:

HL-60 whole cell extracts at 30 µg

Secondary

All lanes:

HRP-conjugated anti-rabbit IgG

Observed band size: 50 kDa

false

Western blot - Anti-TSG101 antibody (AB228013)
  • WB

Supplier Data

Western blot - Anti-TSG101 antibody (AB228013)

Samples were separated by 10% SDS-PAGE.

All lanes:

Western blot - Anti-TSG101 antibody (ab228013) at 1/500 dilution

Lane 1:

U87-MG whole cell extracts at 30 µg

Lane 2:

SK-N-SH whole cell extracts at 30 µg

Lane 3:

IMR32 whole cell extracts at 30 µg

Lane 4:

SK-N-AS whole cell extracts at 30 µg

Secondary

All lanes:

HRP-conjugated anti-rabbit IgG

Observed band size: 50 kDa

false

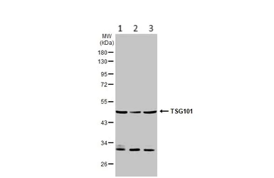
Western blot - Anti-TSG101 antibody (AB228013)
  • WB

Supplier Data

Western blot - Anti-TSG101 antibody (AB228013)

Samples were separated by 10% SDS-PAGE.

All lanes:

Western blot - Anti-TSG101 antibody (ab228013) at 1/1000 dilution

Lane 1:

A431 whole cell extracts at 30 µg

Lane 2:

HeLa whole cell extracts at 30 µg

Lane 3:

HepG2 whole cell extracts at 30 µg

Secondary

All lanes:

HRP-conjugated anti-rabbit IgG

Observed band size: 50 kDa

false

Western blot - Anti-TSG101 antibody (AB228013)
  • WB

Supplier Data

Western blot - Anti-TSG101 antibody (AB228013)

Samples were separated by 10% SDS-PAGE.

All lanes:

Western blot - Anti-TSG101 antibody (ab228013) at 1/1000 dilution

Lane 1:

Neuro2A whole cell extracts at 30 µg

Lane 2:

NIH-3T3 whole cell extracts at 30 µg

Lane 3:

Raw264.7 whole cell extracts at 30 µg

Lane 4:

C2C12 whole cell extracts at 30 µg

Secondary

All lanes:

HRP-conjugated anti-rabbit IgG

Observed band size: 50 kDa

false

Western blot - Anti-TSG101 antibody (AB228013)
  • WB

Supplier Data

Western blot - Anti-TSG101 antibody (AB228013)

Samples were separated by 10% SDS-PAGE.

All lanes:

Western blot - Anti-TSG101 antibody (ab228013) at 1/1000 dilution

Lane 1:

Neuro2A whole cell extracts at 30 µg

Lane 2:

Rat2 whole cell extracts at 30 µg

Secondary

All lanes:

HRP-conjugated anti-rabbit IgG

Observed band size: 50 kDa

false

ELISA - Anti-TSG101 antibody (AB228013)
  • ELISA

Supplier Data

ELISA - Anti-TSG101 antibody (AB228013)

ELISA detection of TSG101 using ab228013 for capture at a concentration of 5 µg/mL and ab83 for detection at a concentration of 1.5 µg/mL.

Key facts

宿主種

Rabbit

クローン性

Polyclonal

アイソタイプ

IgG

キャリアフリー

No

交差種

Mouse, Human, Rat

アプリケーション

IHC-P, WB, ELISA, IP

applications

免疫原

Recombinant Fragment Protein within Human Tumor susceptibility gene 101 protein. The exact immunogen used to generate this antibody is proprietary information.

Q99816

Reactivity data

{ "title": "Reactivity Data", "filters": { "stats": ["", "Species", "Dilution Info", "Notes"], "tabs": { "all-applications": {"fullname" : "All Applications", "shortname": "All Applications"}, "ELISA" : {"fullname" : "ELISA", "shortname":"ELISA"}, "IP" : {"fullname" : "Immunoprecipitation", "shortname":"IP"}, "WB" : {"fullname" : "Western blot", "shortname":"WB"}, "IHCP" : {"fullname" : "Immunohistochemistry (Formalin/PFA-fixed paraffin-embedded sections)", "shortname":"IHC-P"} }, "product-promise": { "all": "all", "testedAndGuaranteed": "tested", "guaranteed": "expected", "predicted": "predicted", "notRecommended": "not-recommended" } }, "values": { "Human": { "ELISA-species-checked": "guaranteed", "ELISA-species-dilution-info": "", "ELISA-species-notes": "", "IP-species-checked": "testedAndGuaranteed", "IP-species-dilution-info": "1/100 - 1/500", "IP-species-notes": "<p></p>", "WB-species-checked": "testedAndGuaranteed", "WB-species-dilution-info": "1/500 - 1/3000", "WB-species-notes": "<p></p>", "IHCP-species-checked": "testedAndGuaranteed", "IHCP-species-dilution-info": "1/100 - 1/1000", "IHCP-species-notes": "<p></p>" }, "Mouse": { "ELISA-species-checked": "guaranteed", "ELISA-species-dilution-info": "", "ELISA-species-notes": "", "IP-species-checked": "guaranteed", "IP-species-dilution-info": "", "IP-species-notes": "", "WB-species-checked": "testedAndGuaranteed", "WB-species-dilution-info": "1/500 - 1/3000", "WB-species-notes": "<p></p>", "IHCP-species-checked": "guaranteed", "IHCP-species-dilution-info": "", "IHCP-species-notes": "" }, "Rat": { "ELISA-species-checked": "guaranteed", "ELISA-species-dilution-info": "", "ELISA-species-notes": "", "IP-species-checked": "guaranteed", "IP-species-dilution-info": "", "IP-species-notes": "", "WB-species-checked": "testedAndGuaranteed", "WB-species-dilution-info": "1/500 - 1/3000", "WB-species-notes": "<p></p>", "IHCP-species-checked": "guaranteed", "IHCP-species-dilution-info": "", "IHCP-species-notes": "" }, "Recombinant fragment": { "ELISA-species-checked": "testedAndGuaranteed", "ELISA-species-dilution-info": "1/1000 - 1/10000", "ELISA-species-notes": "<p></p>", "IP-species-checked": "notRecommended", "IP-species-dilution-info": "", "IP-species-notes": "", "WB-species-checked": "notRecommended", "WB-species-dilution-info": "", "WB-species-notes": "", "IHCP-species-checked": "notRecommended", "IHCP-species-dilution-info": "", "IHCP-species-notes": "" } } }

出荷温度及び保存条件

製品の状態
Liquid
精製方法
Affinity purification Immunogen
バッファー組成
pH: 7 Preservative: 0.025% Proclin 300 Constituents: PBS, 20% Glycerol (glycerin, glycerine)
出荷温度
Blue Ice
短期保存期間
1-2 weeks
短期保存温度
+4°C
長期保存温度
-20°C
分注に関する情報
Upon delivery aliquot
保管に関する情報
Avoid freeze / thaw cycle

補足情報

This supplementary information is collated from multiple sources and compiled automatically.

TSG101 also known as Tumor Susceptibility Gene 101 is a protein involved in intracellular trafficking specifically notable within the process of endosomal sorting. It is a component of the ESCRT-I (Endosomal Sorting Complex Required for Transport-I) complex. TSG101 is approximately 46 kDa and is expressed ubiquitously across various tissues. The mechanistic function of TSG101 involves the recognition and ubiquitination of cargo proteins an important step in the formation of multivesicular bodies.
Biological function summary

TSG101 plays a critical role in the sorting and trafficking of proteins destined for lysosomal degradation or recycling back to the plasma membrane. It is an essential part of the ESCRT machinery which also includes other components like VPS37 and VPS28. TSG101 interacts with specific domains and motifs on target proteins facilitating the recognition and recruitment of these proteins into vesicles. Its involvement in membrane budding and scission makes it important for maintaining cellular homeostasis and protein quality control.

Pathways

TSG101 is integrally involved in the ESCRT pathway and is associated with processes like viral budding and cytokinesis. Within these pathways it collaborates with proteins such as ALIX and the ESCRT-II component VPS25 to mediate vesicle formation and facilitate the trafficking of ubiquitinated cargo. The ESCRT pathway is vital in cellular responses such as membrane repair and is important for the life cycle of certain enveloped viruses which utilize host cell machinery for budding.

Defects or alterations in TSG101 expression have correlations with tumor progression and neurodegenerative diseases. Disruptions in the function of TSG101 can affect cellular processes potentially contributing to conditions like cancer and Alzheimer's disease. For example the aberrant activity of TSG101 may interact with proteins like Hrs and ubiquitin ligases Mdm2 in the context of oncogenic signaling pathways which can drive tumor growth and metastasis. Understanding these interactions is key to uncovering potential therapeutic targets within these diseases.

製品プロトコール

For this product, it's our understanding that no specific protocols are required. You can visit:

ターゲットの情報

Component of the ESCRT-I complex, a regulator of vesicular trafficking process. Binds to ubiquitinated cargo proteins and is required for the sorting of endocytic ubiquitinated cargos into multivesicular bodies (MVBs). Mediates the association between the ESCRT-0 and ESCRT-I complex. Required for completion of cytokinesis; the function requires CEP55. May be involved in cell growth and differentiation. Acts as a negative growth regulator. Involved in the budding of many viruses through an interaction with viral proteins that contain a late-budding motif P-[ST]-A-P. This interaction is essential for viral particle budding of numerous retroviruses. Required for the exosomal release of SDCBP, CD63 and syndecan (PubMed : 22660413). It may also play a role in the extracellular release of microvesicles that differ from the exosomes (PubMed : 22315426).
See full target information Tumor susceptibility gene 101 protein

文献 (11)

Recent publications for all applications. Explore the full list and refine your search

Frontiers in pharmacology 15:1516111 PubMed39744137

2025

PM2.5-induced oxidative stress upregulates PLA2R expression in the lung and is involved in the pathogenesis of membranous nephropathy through extracellular vesicles.

Applications

Unspecified application

Species

Unspecified reactive species

Wang Zhang,Jiating Chen,Ye Yuan,Jiao Luo,Zhanmei Zhou,Guobao Wang

Aging 16:11877-11892 PubMed39172111

2024

Acyl-CoA thioesterase 13 () attenuates the progression of autosomal dominant polycystic kidney disease via triggering mitochondrial-related cell apoptosis.

Applications

Unspecified application

Species

Unspecified reactive species

Bin Wang,Qi Yang,Lihe Che,Luyao Sun,Na Du

Archives of medical science : AMS 20:476-484 PubMed38757025

2024

Levels of small extracellular vesicles in patients treated with hyperbaric oxygenation.

Applications

Unspecified application

Species

Unspecified reactive species

Jacek Siewiera,Michał Smoleński,Natalia Jermakow,Jacek Kot,Torsten E Reichert,Piotr Miśkiewicz,Łukasz Zaręba,Anna Cyran,Mirosław J Szczepański,Nils Ludwig

American journal of reproductive immunology (New York, N.Y. : 1989) 91:e13803 PubMed38282606

2024

Effects of Ureaplasma parvum infection in the exosome biogenesis-related proteins in ectocervical epithelial cells.

Applications

Unspecified application

Species

Unspecified reactive species

Ourlad Alzeus G Tantengco,Ramkumar Menon

Cellular and molecular biology (Noisy-le-Grand, France) 69:186-192 PubMed38279450

2024

Bone marrow mesenchymal stem cells-derived exosomal miR-185-5p plays a protective role in high-glucose stimulated human retinal microvascular endothelial cells in vitro by regulating CXCL8.

Applications

Unspecified application

Species

Unspecified reactive species

Lin Zhou,Weixia Wang

Extracellular vesicle 2: PubMed40151378

2023

CD63-Snorkel tagging for isolation of exosomes.

Applications

Unspecified application

Species

Unspecified reactive species

Chaoshan Han,Junjie Yang,Tingting Yin,Junqing An,Aijun Qiao,Yangpo Cao,Yuliang Feng,Haocheng Lu,Ying Wang,Liang Yang,Gangjian Qin

The journal of pathology. Clinical research 9:378-390 PubMed37294149

2023

Exosome-derived ANXA9 functions as an oncogene in breast cancer.

Applications

Unspecified application

Species

Unspecified reactive species

Cuiping Lu,Ying Zhan,Yunshan Jiang,Jianrong Liao,Zidan Qiu

International journal of molecular sciences 24: PubMed36901936

2023

miR-210 Expression Is Strongly Hypoxia-Induced in Anaplastic Thyroid Cancer Cell Lines and Is Associated with Extracellular Vesicles and Argonaute-2.

Applications

Unspecified application

Species

Unspecified reactive species

Bonita H Powell,Andrey Turchinovich,Yongchun Wang,Olesia Gololobova,Dominik Buschmann,Martha A Zeiger,Christopher B Umbricht,Kenneth W Witwer

Environmental toxicology 37:1697-1710 PubMed35305058

2022

circ_0008797 attenuates non-small cell lung cancer proliferation, metastasis, and aerobic glycolysis by sponging miR-301a-3p/SOCS2.

Applications

Unspecified application

Species

Unspecified reactive species

Kahaerjiang Abuduwaili,Xiaodan Zhu,Yanli Shen,Suqiong Lu,Chunling Liu

Science advances 7: PubMed33523942

2021

Exosomal delivery of NF-κB inhibitor delays LPS-induced preterm birth and modulates fetal immune cell profile in mouse models.

Applications

Unspecified application

Species

Unspecified reactive species

Samantha Sheller-Miller,Enkhtuya Radnaa,Jae-Kwang Yoo,Eunsoo Kim,Kyungsun Choi,Youngeun Kim,Yu Na Kim,Lauren Richardson,Chulhee Choi,Ramkumar Menon
View all publications

Abcam product promise

当社は、高品質な試薬を通じてお客様の研究を力強くサポートすることをお約束いたします。ご使用いただく各段階で、常にお客様をサポートできる体制を整えております。万が一、製品が期待通りに機能しない場合は、「Abcam Product Promise」による当社保証制度に基づき、安心してご利用いただけます。
保証に関する詳細については利用規約をご確認ください。

Please note: All products are 'FOR RESEARCH USE ONLY. NOT FOR USE IN DIAGNOSTIC OR THERAPEUTIC PROCEDURES'.

For licensing inquiries, please contact partnerships@abcam.com