JavaScript is disabled in your browser. Please enable JavaScript to view this website.
AB227867

Anti-TRPS1 抗体

Anti-TRPS1 antibody

Be the first to review this product! Submit a review

|

(2 Publications)

Rabbit Polyclonal TRPS1 antibody. Suitable for WB, IHC-P and reacts with Human samples. Cited in 2 publications. Immunogen corresponding to Recombinant Fragment Protein within Human Zinc finger transcription factor Trps1.

別名を表示する

Zinc finger transcription factor Trps1, Tricho-rhino-phalangeal syndrome type I protein, Zinc finger protein GC79, TRPS1

2 Images
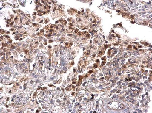
Immunohistochemistry (Formalin/PFA-fixed paraffin-embedded sections) - Anti-TRPS1 antibody (AB227867)
  • IHC-P

Supplier Data

Immunohistochemistry (Formalin/PFA-fixed paraffin-embedded sections) - Anti-TRPS1 antibody (AB227867)

Paraffin-embedded human lung carcinoma tissue stained for TRPS1 using ab227867 at 1/2500 dilution in immunohistochemical analysis.

Western blot - Anti-TRPS1 antibody (AB227867)
  • WB

Supplier Data

Western blot - Anti-TRPS1 antibody (AB227867)

5% SDS-PAGE gel.

All lanes:

Western blot - Anti-TRPS1 antibody (ab227867) at 1/500 dilution

Lane 1:

MCF7 (human breast adenocarcinoma cell line) whole cell extract at 30 µg

Lane 2:

MCF7 (human breast adenocarcinoma cell line) nuclear extract at 30 µg

Predicted band size: 142 kDa

false

Key facts

宿主種

Rabbit

クローン性

Polyclonal

アイソタイプ

IgG

キャリアフリー

No

交差種

Human

アプリケーション

WB, IHC-P

applications

免疫原

Recombinant Fragment Protein within Human Zinc finger transcription factor Trps1. The exact immunogen used to generate this antibody is proprietary information.

Q9UHF7

Reactivity data

{ "title": "Reactivity Data", "filters": { "stats": ["", "Species", "Dilution Info", "Notes"], "tabs": { "all-applications": {"fullname" : "All Applications", "shortname": "All Applications"}, "WB" : {"fullname" : "Western blot", "shortname":"WB"}, "IHCP" : {"fullname" : "Immunohistochemistry (Formalin/PFA-fixed paraffin-embedded sections)", "shortname":"IHC-P"} }, "product-promise": { "all": "all", "testedAndGuaranteed": "tested", "guaranteed": "expected", "predicted": "predicted", "notRecommended": "not-recommended" } }, "values": { "Human": { "WB-species-checked": "testedAndGuaranteed", "WB-species-dilution-info": "1/500 - 1/3000", "WB-species-notes": "<p></p>", "IHCP-species-checked": "testedAndGuaranteed", "IHCP-species-dilution-info": "1/100 - 1/2500", "IHCP-species-notes": "<p></p>" }, "Mouse": { "WB-species-checked": "predicted", "WB-species-dilution-info": "", "WB-species-notes": "", "IHCP-species-checked": "predicted", "IHCP-species-dilution-info": "", "IHCP-species-notes": "" }, "Rat": { "WB-species-checked": "predicted", "WB-species-dilution-info": "", "WB-species-notes": "", "IHCP-species-checked": "predicted", "IHCP-species-dilution-info": "", "IHCP-species-notes": "" }, "Cow": { "WB-species-checked": "predicted", "WB-species-dilution-info": "", "WB-species-notes": "", "IHCP-species-checked": "predicted", "IHCP-species-dilution-info": "", "IHCP-species-notes": "" } } }

出荷温度及び保存条件

製品の状態
Liquid
精製方法
Affinity purification Immunogen
バッファー組成
pH: 7 Preservative: 0.025% Proclin 300 Constituents: PBS, 20% Glycerol (glycerin, glycerine)
出荷温度
Blue Ice
短期保存期間
1-2 weeks
短期保存温度
+4°C
長期保存温度
-20°C
分注に関する情報
Upon delivery aliquot
保管に関する情報
Avoid freeze / thaw cycle

補足情報

This supplementary information is collated from multiple sources and compiled automatically.

TRPS1 also known as Trichorhinophalangeal syndrome type I protein is a transcriptional regulator with a molecular weight of approximately 141 kDa. It is expressed in a variety of tissues including bone cartilage and hair follicles. Mechanically TRPS1 functions by binding to specific DNA sequences and regulating the transcription of target genes. This gene encodes a protein that contains GATA-type zinc finger domains which facilitate its role in DNA binding and transcription regulation.
Biological function summary

The TRPS1 protein plays a significant role in the development of bone and cartilage as well as the differentiation of hair follicles. It acts independently and does not commonly form a stable complex with other proteins. By influencing the expression of genes involved in these developmental processes TRPS1 contributes to various aspects of skeletal and hair follicle formation. The regulation by TRPS1 is important for the proper growth and maintenance of these tissues.

Pathways

The protein TRPS1 is notably involved in bone morphogenesis and development pathways. It interacts with signaling proteins like BMPs (Bone Morphogenetic Proteins) within the bone development pathway to regulate bone and cartilage growth. TRPS1 also communicates with signaling pathways that include proteins such as RUNX2 which are critical for bone formation and regulate the transcriptional activity that drives these processes.

Dysregulation or mutation of the TRPS1 gene is closely linked to Trichorhinophalangeal Syndrome a condition characterized by distinctive craniofacial and skeletal abnormalities. This association involves altered gene expression impacting bone and cartilage tied to TRPS1's regulation of signaling networks with proteins like BMPR1A. The TRPS1 gene is also linked to certain forms of cancer where its altered function may contribute to tumorigenesis through pathways shared with cancer-related proteins such as SMAD4 influencing cell proliferation and apoptosis.

製品プロトコール

For this product, it's our understanding that no specific protocols are required. You can visit:

ターゲットの情報

Transcriptional repressor. Binds specifically to GATA sequences and represses expression of GATA-regulated genes at selected sites and stages in vertebrate development. Regulates chondrocyte proliferation and differentiation. Executes multiple functions in proliferating chondrocytes, expanding the region of distal chondrocytes, activating proliferation in columnar cells and supporting the differentiation of columnar into hypertrophic chondrocytes.
See full target information Zinc finger transcription factor Trps1

文献 (2)

Recent publications for all applications. Explore the full list and refine your search

General physiology and biophysics 44:275-287 PubMed40567071

2025

Impact of tauroursodeoxycholic acid and 4-phenylbutyric acid on mitochondrial functions and morphology of SH-SY5Y cells.

Applications

Unspecified application

Species

Unspecified reactive species

Monika Liskova,Andrea Evinova,Jaroslava Guzikova,Lubos Hudak,Michal Pokusa,Lucia Kotulova,Peter Racay

Advances in rheumatology (London, England) 61:31 PubMed34108052

2021

Long non-coding RNA KCNQ1OT1 promotes cell viability and migration as well as inhibiting degradation of CHON-001 cells by regulating miR-126-5p/TRPS1 axis.

Applications

Unspecified application

Species

Unspecified reactive species

Binfeng Wang,Xiangwei Liu
View all publications

Abcam product promise

当社は、高品質な試薬を通じてお客様の研究を力強くサポートすることをお約束いたします。ご使用いただく各段階で、常にお客様をサポートできる体制を整えております。万が一、製品が期待通りに機能しない場合は、「Abcam Product Promise」による当社保証制度に基づき、安心してご利用いただけます。
保証に関する詳細については利用規約をご確認ください。

Please note: All products are 'FOR RESEARCH USE ONLY. NOT FOR USE IN DIAGNOSTIC OR THERAPEUTIC PROCEDURES'.

For licensing inquiries, please contact partnerships@abcam.com