JavaScript is disabled in your browser. Please enable JavaScript to view this website.
AB306596

Anti-TRPC5 抗体 [N67-15] - BSA and Azide Free

Anti-TRPC5 antibody [N67-15] - BSA and Azide Free

Be the first to review this product! Submit a review

|

(0 Publication)

Mouse Recombinant Monoclonal TRPC5 antibody. Carrier free. Suitable for IHC-P and reacts with Human, Mouse, Rat samples.

別名を表示する

TRP5, TRPC5, Short transient receptor potential channel 5, TrpC5, Transient receptor protein 5, TRP-5, hTRP-5, hTRP5

4 Images
Immunohistochemistry (Formalin/PFA-fixed paraffin-embedded sections) - Anti-TRPC5 antibody [N67-15] - BSA and Azide Free (AB306596)
  • IHC-P

Supplier Data

Immunohistochemistry (Formalin/PFA-fixed paraffin-embedded sections) - Anti-TRPC5 antibody [N67-15] - BSA and Azide Free (AB306596)

This data was developed using ab306595, the same antibody clone in a different buffer formulation. Immunohistochemical analysis of paraffin-embedded human cerebrum tissue labeling TRPC5 with ab306595 at 1/500 dilution (1.714 µg/ml) followed by ready to use LeicaDS9800 (Bond® Polymer Refine Detection). Positive staining on human cerebrum. The section was incubated with ab306595 for 30 mins at room temperature, followed by anti-mouse IgG2b antibody (ab190482) for 8 mins during the LeicaDS9800 kit staining procedure. The immunostaining was performed on a Leica Biosystems BOND® RX instrument. Counterstained with Hematoxylin. Secondary antibody only control : Secondary antibody is ready to use LeicaDS9800 (Bond® Polymer Refine Detection). Heat mediated antigen retrieval was performed with Citrate buffer (pH 6.0, Epitope Retrieval Solution 1) for 20 mins.

Immunohistochemistry (Formalin/PFA-fixed paraffin-embedded sections) - Anti-TRPC5 antibody [N67-15] - BSA and Azide Free (AB306596)
  • IHC-P

Supplier Data

Immunohistochemistry (Formalin/PFA-fixed paraffin-embedded sections) - Anti-TRPC5 antibody [N67-15] - BSA and Azide Free (AB306596)

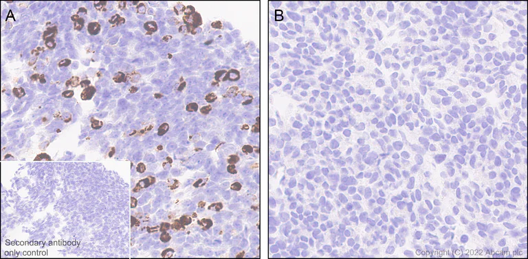
This data was developed using ab306595, the same antibody clone in a different buffer formulation. Immunohistochemical analysis of paraffin-embedded (A) HEK-293T cells transfected with a TRPC5 expression vector containing a his tag and (B) HEK-293T cells transfected with empty vector containing a his tag stained for TRPC5 using ab306595 at a 1/5000 dilution. No staining on (B) HEK-293T cells transfected with empty vector containing a his tag. The section was incubated with ab306595 for 30 mins at room temperature, followed by anti-mouse IgG2b antibody (ab190482) for 8 mins during the LeicaDS9800 kit staining procedure. The immunostaining was performed on a Leica Biosystems BOND® RX instrument. Counterstained with Hematoxylin. Secondary antibody only control : Secondary antibody is ready to use LeicaDS9800 (Bond® Polymer Refine Detection) was used. Heat mediated antigen retrieval was performed with Tris-EDTA buffer (pH 9.0, Epitope Retrieval Solution2) for 20 mins.

Immunohistochemistry (Formalin/PFA-fixed paraffin-embedded sections) - Anti-TRPC5 antibody [N67-15] - BSA and Azide Free (AB306596)
  • IHC-P

Supplier Data

Immunohistochemistry (Formalin/PFA-fixed paraffin-embedded sections) - Anti-TRPC5 antibody [N67-15] - BSA and Azide Free (AB306596)

This data was developed using ab306595, the same antibody clone in a different buffer formulation. Immunohistochemical analysis of paraffin-embedded rat hippocampus tissue labeling TRPC5 with ab306595 at 1/5000 dilution (1.714 µg/ml) followed by ready to use LeicaDS9800 (Bond® Polymer Refine Detection). Positive staining on rat hippocampus. The section was incubated with ab306595 for 30 mins at room temperature, followed by anti-mouse IgG2b antibody (ab190482) for 8 mins during the LeicaDS9800 kit staining procedure. The immunostaining was performed on a Leica Biosystems BOND® RX instrument. Counterstained with Hematoxylin. Secondary antibody only control : Secondary antibody is ready to use LeicaDS9800 (Bond® Polymer Refine Detection). Heat mediated antigen retrieval was performed with Citrate buffer (pH 6.0, Epitope Retrieval Solution 1) for 20 mins. Heat mediated antigen retrieval was performed with Tris-EDTA buffer (pH 9.0, Epitope Retrieval Solution2) for 20 mins

Immunohistochemistry (Formalin/PFA-fixed paraffin-embedded sections) - Anti-TRPC5 antibody [N67-15] - BSA and Azide Free (AB306596)
  • IHC-P

Supplier Data

Immunohistochemistry (Formalin/PFA-fixed paraffin-embedded sections) - Anti-TRPC5 antibody [N67-15] - BSA and Azide Free (AB306596)

This data was developed using ab306595, the same antibody clone in a different buffer formulation. Immunohistochemical analysis of paraffin-embedded mouse hippocampus tissue labeling TRPC5 with ab306595 at 1/5000 dilution (1.714 µg/ml) followed by ready to use LeicaDS9800 (Bond® Polymer Refine Detection). Positive staining on mouse hippocampus. The section was incubated with ab306595 for 30 mins at room temperature, followed by anti-mouse IgG2b antibody (ab190482) for 8 mins during the LeicaDS9800 kit staining procedure. The immunostaining was performed on a Leica Biosystems BOND® RX instrument. Counterstained with Hematoxylin. Secondary antibody only control : Secondary antibody is ready to use LeicaDS9800 (Bond® Polymer Refine Detection). Heat mediated antigen retrieval was performed with Citrate buffer (pH 6.0, Epitope Retrieval Solution 1) for 20 mins. Heat mediated antigen retrieval was performed with Tris-EDTA buffer (pH 9.0, Epitope Retrieval Solution2) for 20 mins

関連する標識済み抗体及び組成の異なる製品 (1)

Key facts

宿主種

Mouse

クローン性

Monoclonal

クローン番号

N67-15

アイソタイプ

IgG2b

キャリアフリー

Yes

交差種

Human, Mouse, Rat

アプリケーション

IHC-P

applications

免疫原

The exact immunogen used to generate this antibody is proprietary information.

Reactivity data

{ "title": "Reactivity Data", "filters": { "stats": ["", "Species", "Dilution Info", "Notes"], "tabs": { "all-applications": {"fullname" : "All Applications", "shortname": "All Applications"}, "WB" : {"fullname" : "Western blot", "shortname":"WB"}, "IHCP" : {"fullname" : "Immunohistochemistry (Formalin/PFA-fixed paraffin-embedded sections)", "shortname":"IHC-P"}, "IP" : {"fullname" : "Immunoprecipitation", "shortname":"IP"} }, "product-promise": { "all": "all", "testedAndGuaranteed": "tested", "guaranteed": "expected", "predicted": "predicted", "notRecommended": "not-recommended" } }, "values": { "Human": { "WB-species-checked": "notRecommended", "WB-species-dilution-info": "", "WB-species-notes": "<p></p>", "IHCP-species-checked": "testedAndGuaranteed", "IHCP-species-dilution-info": "", "IHCP-species-notes": "<p></p> Perform heat-mediated antigen retrieval with citrate buffer pH 6 before commencing with IHC staining protocol.", "IP-species-checked": "notRecommended", "IP-species-dilution-info": "", "IP-species-notes": "" }, "Mouse": { "WB-species-checked": "notRecommended", "WB-species-dilution-info": "", "WB-species-notes": "<p></p>", "IHCP-species-checked": "testedAndGuaranteed", "IHCP-species-dilution-info": "", "IHCP-species-notes": "<p></p> Perform heat-mediated antigen retrieval with citrate buffer pH 6 before commencing with IHC staining protocol.", "IP-species-checked": "notRecommended", "IP-species-dilution-info": "", "IP-species-notes": "<p></p>" }, "Rat": { "WB-species-checked": "notRecommended", "WB-species-dilution-info": "", "WB-species-notes": "<p></p>", "IHCP-species-checked": "testedAndGuaranteed", "IHCP-species-dilution-info": "", "IHCP-species-notes": "<p></p> Perform heat-mediated antigen retrieval with citrate buffer pH 6 before commencing with IHC staining protocol.", "IP-species-checked": "notRecommended", "IP-species-dilution-info": "", "IP-species-notes": "" } } }

製品の詳細

ab306596 ia a carrier free version of ab306595.

What are the advantages of a recombinant monoclonal antibody?
This product is a recombinant monoclonal antibody, which offers several advantages including:

  • - High batch-to-batch consistency and reproducibility
  • - Improved sensitivity and specificity
  • - Long-term security of supply
  • - Animal-free batch production

For more information, read more on recombinant antibodies.

Want a custom formulation?
This antibody clone is manufactured by Abcam. If you require a custom buffer formulation or conjugation for your experiments, please contact orders@abcam.com

Conjugation ready
Our carrier-free antibodies are typically supplied in a PBS-only formulation, purified and free of BSA, sodium azide and glycerol. This conjugation-ready format is designed for use with fluorochromes, metal isotopes, oligonucleotides, and enzymes, which makes them ideal for antibody labelling, functional and cell-based assays, flow-based assays (e.g. mass cytometry) and Multiplex Imaging applications.

Use our conjugation kits for antibody conjugates that are ready-to-use in as little as 20 minutes with 1 minute hands-on-time and 100% antibody recovery: available for fluorescent dyes, HRP, biotin and gold.

Compatibility
This product is compatible with the Maxpar® Antibody Labeling Kit from Fluidigm, without the need for antibody preparation. Maxpar® is a trademark of Fluidigm Canada Inc.

出荷温度及び保存条件

製品の状態
Liquid
精製方法
Affinity purification Protein A
バッファー組成
pH: 7.2 - 7.4 Constituents: PBS
出荷温度
Blue Ice
短期保存温度
+4°C
長期保存温度
+4°C
保管に関する情報
Do Not Freeze

補足情報

This supplementary information is collated from multiple sources and compiled automatically.

TRPC5 also known as Transient Receptor Potential Canonical 5 functions as a calcium-permeable cation channel. This protein possesses a molecular mass of approximately 105 kDa. TRPC5 is expressed widely with high presence in neural and cardiac tissues. Researchers often investigate its role due to its integral function in calcium ion transport and involvement in neurological activities.
Biological function summary

TRPC5 plays a significant role in the cellular response to stimulating signals. It forms a part of the larger TRPC protein family complex facilitating the entry of calcium ions which are critical for various cellular processes. Activation of TRPC5 influences functions such as synaptic plasticity and neuroprotection. These roles demonstrate the importance of TRPC5 in cellular signaling and homeostasis within the body's systems.

Pathways

TRPC5 integrates into signaling networks like the phosphoinositide pathway. It interacts with proteins such as PKC and DAG which regulate its activity in response to extracellular signals. This interaction bridges TRPC5 to intracellular messaging pathways that mediate cellular growth differentiation and development.

TRPC5 is associated with conditions such as anxiety and cardiovascular diseases. In anxiety abnormal TRPC5 activity alters neuronal transmission processes. Connections between TRPC5 and proteins such as BDNF demonstrate its influence on mood regulation. In cardiovascular diseases altered TRPC5 expression affects blood pressure regulation and vascular function emphasizing its role in maintaining cardiovascular health.

製品プロトコール

For this product, it's our understanding that no specific protocols are required. You can visit:

ターゲットの情報

Forms a receptor-activated non-selective calcium permeant cation channel (PubMed : 16284075, PubMed : 38959890). Probably is operated by a phosphatidylinositol second messenger system activated by receptor tyrosine kinases or G-protein coupled receptors. Has also been shown to be calcium-selective (By similarity). May also be activated by intracellular calcium store depletion. Mediates calcium-dependent phosphatidylserine externalization and apoptosis in neurons via its association with PLSCR1 (By similarity). Acts on distinct neuronal populations in the hypothalamus to regulate innate behaviors including feeding, anxiety (flight/fight/fear), socialization, and maternal care (By similarity).
See full target information TRPC5

Abcam product promise

当社は、高品質な試薬を通じてお客様の研究を力強くサポートすることをお約束いたします。ご使用いただく各段階で、常にお客様をサポートできる体制を整えております。万が一、製品が期待通りに機能しない場合は、「Abcam Product Promise」による当社保証制度に基づき、安心してご利用いただけます。
保証に関する詳細については利用規約をご確認ください。

Please note: All products are 'FOR RESEARCH USE ONLY. NOT FOR USE IN DIAGNOSTIC OR THERAPEUTIC PROCEDURES'.

For licensing inquiries, please contact partnerships@abcam.com