JavaScript is disabled in your browser. Please enable JavaScript to view this website.
AB320823

Anti-Trophoblast specific protein alpha 抗体 [EPR28905-557]

Anti-Trophoblast specific protein alpha antibody [EPR28905-557]

  • Advanced Validation
  • BOND RX™ Validated
  • 20ul selling size
  • Recombinant
  • RabMAb
  • 詳細を見る

Be the first to review this product! Submit a review

|

(1 Publication)

Rabbit Recombinant Monoclonal Trophoblast specific protein alpha antibody. Suitable for Dot, IHC-P, mIHC and reacts with Recombinant fragment - Mouse, Mouse samples. Cited in 1 publication.

別名を表示する

Tpbp, Tpbpa, Trophoblast-specific protein alpha

5 Images
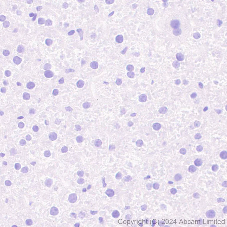
Immunohistochemistry (Formalin/PFA-fixed paraffin-embedded sections) - Anti-Trophoblast specific protein alpha antibody [EPR28905-557] (AB320823)
  • IHC-P

Supplier Data

Immunohistochemistry (Formalin/PFA-fixed paraffin-embedded sections) - Anti-Trophoblast specific protein alpha antibody [EPR28905-557] (AB320823)

Immunohistochemical analysis of paraffin-embedded Mouse spleen tissue labeling Trophoblast specific protein alpha with ab320823 at 1/1000 (0.516 ug/ml) dilution, followed by a ready to use LeicaDS9800 (Bond™ Polymer Refine Detection).

Negative control : No staining in mouse spleen.
The section was incubated with ab320823 for 30 mins at room temperature.
The immunostaining was performed on a Leica Biosystems BOND® RX instrument

Counterstained with Hematoxylin.

Secondary antibody only control : Secondary antibody is a ready to use LeicaDS9800 (Bond™ Polymer Refine Detection).

Heat mediated antigen retrieval was performed with Tris-EDTA buffer (pH 9.0, Epitope Retrieval Solution2) for 20 mins

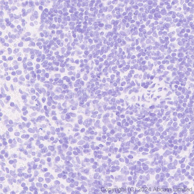
Immunohistochemistry (Formalin/PFA-fixed paraffin-embedded sections) - Anti-Trophoblast specific protein alpha antibody [EPR28905-557] (AB320823)
  • IHC-P

Supplier Data

Immunohistochemistry (Formalin/PFA-fixed paraffin-embedded sections) - Anti-Trophoblast specific protein alpha antibody [EPR28905-557] (AB320823)

Immunohistochemical analysis of paraffin-embedded Mouse liver tissue labeling Trophoblast specific protein alpha with ab320823 at 1/1000 (0.516 ug/ml) dilution, followed by a ready to use LeicaDS9800 (Bond™ Polymer Refine Detection).

Negative control : No staining in mouse liver (PMID : 16251741).
The section was incubated with ab320823 for 30 mins at room temperature.
The immunostaining was performed on a Leica Biosystems BOND® RX instrument

Counterstained with Hematoxylin.

Secondary antibody only control : Secondary antibody is a ready to use LeicaDS9800 (Bond™ Polymer Refine Detection).

Heat mediated antigen retrieval was performed with Tris-EDTA buffer (pH 9.0, Epitope Retrieval Solution2) for 20 mins

Multiplex immunohistochemistry - Anti-Trophoblast specific protein alpha antibody [EPR28905-557] (AB320823)
  • mIHC

Lab

Multiplex immunohistochemistry - Anti-Trophoblast specific protein alpha antibody [EPR28905-557] (AB320823)

Multiplex immunohistochemistry analysis of formalin/PFA-fixed paraffin-embedded mouse placenta tissue staining LOX 1 with ab317689 at a 1/2000 dilution, ab324045 anti-AP2 gamma used at 1/500 dilution and ab320823 anti-Trophoblast specific protein alpha used at a 1/1000 dilution.

Panel A : merged staining of anti-LOX 1 (green; Opal™520), anti-AP2 gamma (magenta; Opal™690) and anti-Trophoblast specific protein alpha (gray; Opal™570) on mouse placenta.

Panel B : anti-LOX 1 staining trophoblast in mouse placenta.

Panel C : ant-AP2 gamma staining trophoblast stem cell in mouse placenta.

Panel D : ant-Trophoblast specific protein alpha staining junctional zone in mouse placenta.

Nuclear DNA was labeled with DAPI (shown in blue).

The section was incubated in three rounds of staining : in the order of ab317689, ab324045 and ab320823 for 30 mins at room temperature. Each round was followed by a separate fluorescent tyramide signal amplification system.

The immunostaining was performed on a Leica Biosystems BOND® RX instrument with an Opal™ 4-color kit. Image acquisition was performed with Leica SP8 confocal microscope.

Heat mediated antigen retrieval was performed with Tris-EDTA buffer (pH 9.0, Epitope Retrieval Solution2) for 20 mins.

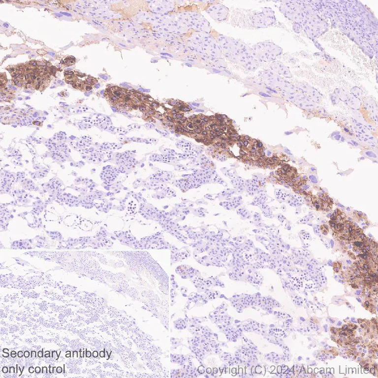
Immunohistochemistry (Formalin/PFA-fixed paraffin-embedded sections) - Anti-Trophoblast specific protein alpha antibody [EPR28905-557] (AB320823)
  • IHC-P

Supplier Data

Immunohistochemistry (Formalin/PFA-fixed paraffin-embedded sections) - Anti-Trophoblast specific protein alpha antibody [EPR28905-557] (AB320823)

Immunohistochemical analysis of paraffin-embedded Mouse placenta tissue labeling Trophoblast specific protein alpha with ab320823 at 1/1000 (0.516 ug/ml) dilution, followed by a ready to use LeicaDS9800 (Bond™ Polymer Refine Detection).

Positive staining in junctional zone of mouse placenta (PMID : 33884443).
The section was incubated with ab320823 for 30 mins at room temperature.
The immunostaining was performed on a Leica Biosystems BOND® RX instrument

Counterstained with Hematoxylin.

Secondary antibody only control : Secondary antibody is a ready to use LeicaDS9800 (Bond™ Polymer Refine Detection).

Heat mediated antigen retrieval was performed with Tris-EDTA buffer (pH 9.0, Epitope Retrieval Solution2) for 20 mins

Dot Blot - Anti-Trophoblast specific protein alpha antibody [EPR28905-557] (AB320823)
  • Dot

Supplier Data

Dot Blot - Anti-Trophoblast specific protein alpha antibody [EPR28905-557] (AB320823)

Dot blot analysis of Trophoblast specific protein alpha using ab320823 at 1 : 1000 (0.516 ug/ml) followed by a Goat Anti-Rabbit IgG, (H+L), Peroxidase conjugated (ab97051) at 1 : 100,000 dilution.

Blocking and diluting buffer and concentration : 5% NFDM/TBST.

All lanes:

Dot Blot - Anti-Trophoblast specific protein alpha antibody [EPR28905-557] (ab320823) at 1/1000 dilution

All lanes:

His-tagged mouse Trophoblast specific protein alpha recombinant protein

Secondary

All lanes:

Dot Blot - Goat Anti-Rabbit IgG H&L (HRP) (<a href='/products/secondary-antibodies/goat-rabbit-igg-h-l-hrp-ab97051'>ab97051</a>) at 1/100000 dilution

false

Exposure time: 180s

Key facts

宿主種

Rabbit

クローン性

Monoclonal

クローン番号

EPR28905-557

アイソタイプ

IgG

キャリアフリー

No

交差種

Mouse

アプリケーション

IHC-P, Dot, mIHC

applications

免疫原

The exact immunogen used to generate this antibody is proprietary information.

Reactivity data

{ "title": "Reactivity Data", "filters": { "stats": ["", "Species", "Dilution Info", "Notes"], "tabs": { "all-applications": {"fullname" : "All Applications", "shortname": "All Applications"}, "Dot" : {"fullname" : "Dot Blot", "shortname":"Dot"}, "IHCP" : {"fullname" : "Immunohistochemistry (Formalin/PFA-fixed paraffin-embedded sections)", "shortname":"IHC-P"}, "mIHC" : {"fullname" : "Multiplex immunohistochemistry", "shortname":"mIHC"} }, "product-promise": { "all": "all", "testedAndGuaranteed": "tested", "guaranteed": "expected", "predicted": "predicted", "notRecommended": "not-recommended" } }, "values": { "Mouse": { "Dot-species-checked": "guaranteed", "Dot-species-dilution-info": "", "Dot-species-notes": "", "IHCP-species-checked": "testedAndGuaranteed", "IHCP-species-dilution-info": "1/1000", "IHCP-species-notes": "<p></p> Perform heat-mediated antigen retrieval with Tris/EDTA buffer pH 9.0 before commencing with IHC staining protocol.", "mIHC-species-checked": "testedAndGuaranteed", "mIHC-species-dilution-info": "1/1000", "mIHC-species-notes": "<p></p> Perform heat-mediated antigen retrieval with Tris/EDTA buffer pH 9.0 before commencing with IHC staining protocol." }, "Recombinant fragment - Mouse": { "Dot-species-checked": "testedAndGuaranteed", "Dot-species-dilution-info": "1/1000", "Dot-species-notes": "<p></p>", "IHCP-species-checked": "notRecommended", "IHCP-species-dilution-info": "", "IHCP-species-notes": "", "mIHC-species-checked": "notRecommended", "mIHC-species-dilution-info": "", "mIHC-species-notes": "" } } }

製品の詳細

Patented technology
Our RabMAb® technology is a patented hybridoma-based technology for making rabbit monoclonal antibodies. For details on our patents, please refer to RabMAb® patents.

What are the advantages of a recombinant monoclonal antibody?
This product is a recombinant monoclonal antibody, which offers several advantages including:

  • - High batch-to-batch consistency and reproducibility
  • - Improved sensitivity and specificity
  • - Long-term security of supply
  • - Animal-free batch production

For more information, read more on recombinant antibodies.

出荷温度及び保存条件

製品の状態
Liquid
精製方法
Affinity purification Protein A
バッファー組成
pH: 7.2 - 7.4 Preservative: 0.01% Sodium azide Constituents: PBS, 40% Glycerol (glycerin, glycerine), 0.05% BSA
出荷温度
Blue Ice
短期保存期間
1-2 weeks
短期保存温度
+4°C
長期保存温度
-20°C
分注に関する情報
Upon delivery aliquot
保管に関する情報
Avoid freeze / thaw cycle

補足情報

This supplementary information is collated from multiple sources and compiled automatically.

Trophoblast specific protein alpha also known as trophoblast glycoprotein is a protein involved in various physiological processes during pregnancy. It has a molecular mass of approximately 34 kDa. This protein is mainly expressed in the placenta particularly within the trophoblast cells which form the outer layer of the blastocyst and eventually contribute to placenta development. Its expression is also noted in certain testicular cells. It interacts with lipid bilayers and plays an important role in cell-cell adhesion while maintaining trophoblast survival and function.
Biological function summary

Trophoblast associated protein ensures the successful interaction between the maternal and fetal interface. This protein is integral to the formation and maintenance of the maternal-fetal interface due to its adhesive properties. It forms part of a complex structure with other proteins involved in cellular adhesion processes which facilitate nutrient and gas exchange. The continued presence of trophoblast specific protein alpha is necessary for the structured and functional development of the fetal-maternal interface.

Pathways

Trophoblast glycoprotein participates in pathways essential for embryonic development and cellular adhesion. One major pathway is the Wnt signaling pathway where it interacts with cadherins to promote cell adhesion and tissue formation. Another pathway involves the MAPK/ERK pathway which influences trophoblast differentiation and survival with related proteins like N-cadherin playing a supporting role in the structural organization of the placenta.

Trophoblast specific protein alpha correlates with pregnancy-related conditions such as preeclampsia and intrauterine growth restriction. Aberrant expression or function of this protein can disrupt normal placental development and function leading to these disorders. It shows a connection with the integrin family of proteins particularly integrin alpha 5 beta 1 which when dysfunctional has been associated with improper placentation and pregnancy complications. Understanding its role could help in the development of diagnostic tools or therapies for these conditions.

製品プロトコール

For this product, it's our understanding that no specific protocols are required. You can visit:

ターゲットの情報

It may be a growth factor/hormone, perhaps involved in interaction between the maternal and fetal systems in maintenance of pregnancy.
See full target information Tpbpa

文献 (1)

Recent publications for all applications. Explore the full list and refine your search

Advanced science (Weinheim, Baden-Wurttemberg, Germany) 12:e2408852 PubMed39630006

2024

Capture of Totipotency in Mouse Embryonic Stem Cells in the Absence of Pdzk1.

Applications

Unspecified application

Species

Unspecified reactive species

Wenhao Zhang,Yiding Zhao,Zhe Yang,Jing Yan,Haisong Wang,Shaochen Nie,Qingshen Jia,Dan Ding,Chao Tong,Xiao-Ou Zhang,Qian Gao,Ling Shuai
View all publications

Abcam product promise

当社は、高品質な試薬を通じてお客様の研究を力強くサポートすることをお約束いたします。ご使用いただく各段階で、常にお客様をサポートできる体制を整えております。万が一、製品が期待通りに機能しない場合は、「Abcam Product Promise」による当社保証制度に基づき、安心してご利用いただけます。
保証に関する詳細については利用規約をご確認ください。

Please note: All products are 'FOR RESEARCH USE ONLY. NOT FOR USE IN DIAGNOSTIC OR THERAPEUTIC PROCEDURES'.

For licensing inquiries, please contact partnerships@abcam.com