JavaScript is disabled in your browser. Please enable JavaScript to view this website.
AB131223

Anti-TRIM32 抗体 [EP6355]

Anti-TRIM32 antibody [EP6355]

Be the first to review this product! Submit a review

|

(3 Publications)

Rabbit Monoclonal TRIM32 antibody. Suitable for WB and reacts with Human samples. Cited in 3 publications.

別名を表示する

HT2A, TRIM32, E3 ubiquitin-protein ligase TRIM32, 72 kDa Tat-interacting protein, RING-type E3 ubiquitin transferase TRIM32, Tripartite motif-containing protein 32, Zinc finger protein HT2A

3 Images
Western blot - Anti-TRIM32 antibody [EP6355] (AB131223)
  • WB

Supplier Data

Western blot - Anti-TRIM32 antibody [EP6355] (AB131223)

The bands above 75kDa are ubiquitination bands which was described in the literature (PMID : 30884854, 16243356, 21628460). Blocking buffer and concentration : 5% NFDM/TBST.

All lanes:

Western blot - Anti-TRIM32 antibody [EP6355] (ab131223) at 1/2000 dilution

All lanes:

Human skeletal muscle lysate at 15 µg

Secondary

All lanes:

Goat Anti-Rabbit IgG (HRP) with minimal cross-reactivity with human IgG at 1/2000 dilution

Observed band size: 73 kDa

false

Exposure time: 60s

Western blot - Anti-TRIM32 antibody [EP6355] (AB131223)
  • WB

Supplier Data

Western blot - Anti-TRIM32 antibody [EP6355] (AB131223)

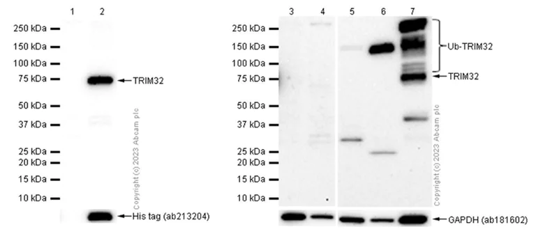
Although some papers support the expression of TRIM32 in SK-BR-3, T-47D, MCF7, MDA-MB-435S, MD-MB-468 (PMID : 29721043), ab131223 can’t detect monomer TRIM32 band of interest in these cell lines. The bands above 75kDa are ubiquitination bands which was described in the literature (PMID : 30884854, 16243356, 21628460). Blocking buffer and concentration : 5% NFDM/TBST. Exposure time : Lane 1 & Lane 2 : 3 seconds; Lane 3- Lane7 : 180 seconds.

All lanes:

Western blot - Anti-TRIM32 antibody [EP6355] (ab131223) at 1/200 dilution

Lane 1:

293T (Human embryonic kidney epithelial cell) transfected with an empty vector (vector control), containing a myc-His-tag®, whole cell lysate at 20 µg

Lane 2:

293T transfected with TRIM32 expression vector containing a myc-His-tag®, whole cell lysate at 20 µg

Lane 3:

SK-BR-3 (Human breast adenocarcinoma epithelial cell) whole cell lysate at 20 µg

Lane 4:

T-47D (Human ductal breast epithelial tumor epithelial cell) whole cell lysate at 20 µg

Lane 5:

MCF7 (Human breast adenocarcinoma epithelial cell) whole cell lysate at 20 µg

Lane 6:

NCI-H460 (Human Large Cell Lung Cancer epithelial cell) whole cell lysate at 20 µg

Lane 7:

Human skeletal muscle lysate at 20 µg

false

OI-RD Scanning - Anti-TRIM32 antibody [EP6355] (AB131223)
  • OI-RD Scanning

Unknown

OI-RD Scanning - Anti-TRIM32 antibody [EP6355] (AB131223)

We have systematically measured KD (the equilibrium dissociation constant between the antibody and its antigen), of more than 840 recombinant antibodies to assess not only their individual KD values but also to see the average affinity of antibody. Based on the comparison with published literature values for mouse monoclonal antibodies, Recombinant antibodies appear to be on average 1-2 order of magnitude higher affinity.

Key facts

宿主種

Rabbit

クローン性

Monoclonal

クローン番号

EP6355

アイソタイプ

IgG

キャリアフリー

No

交差種

Human

アプリケーション

WB

applications

免疫原

The exact immunogen used to generate this antibody is proprietary information.

Reactivity data

{ "title": "Reactivity Data", "filters": { "stats": ["", "Species", "Dilution Info", "Notes"], "tabs": { "all-applications": {"fullname" : "All Applications", "shortname": "All Applications"}, "IP" : {"fullname" : "Immunoprecipitation", "shortname":"IP"}, "WB" : {"fullname" : "Western blot", "shortname":"WB"}, "IHCP" : {"fullname" : "Immunohistochemistry (Formalin/PFA-fixed paraffin-embedded sections)", "shortname":"IHC-P"} }, "product-promise": { "all": "all", "testedAndGuaranteed": "tested", "guaranteed": "expected", "predicted": "predicted", "notRecommended": "not-recommended" } }, "values": { "Human": { "IP-species-checked": "notRecommended", "IP-species-dilution-info": "", "IP-species-notes": "<p></p>", "WB-species-checked": "testedAndGuaranteed", "WB-species-dilution-info": "1/1000 - 1/10000", "WB-species-notes": "<p></p>", "IHCP-species-checked": "notRecommended", "IHCP-species-dilution-info": "", "IHCP-species-notes": "<p></p>" }, "Mouse": { "IP-species-checked": "notRecommended", "IP-species-dilution-info": "", "IP-species-notes": "", "WB-species-checked": "predicted", "WB-species-dilution-info": "", "WB-species-notes": "", "IHCP-species-checked": "notRecommended", "IHCP-species-dilution-info": "", "IHCP-species-notes": "" } } }

製品の詳細

Patented technology
Our RabMAb® technology is a patented hybridoma-based technology for making rabbit monoclonal antibodies. For details on our patents, please refer to RabMAb® patents.

Species reactivity
Rat: We have preliminary internal testing data to indicate this antibody may not react with this species.
Please contact us for more information.

出荷温度及び保存条件

製品の状態
Liquid
精製方法
Affinity purification Protein A
バッファー組成
pH: 7.2 - 7.4 Preservative: 0.01% Sodium azide Constituents: PBS, 50% Tissue culture supernatant, 40% Glycerol (glycerin, glycerine), 0.05% BSA
出荷温度
Blue Ice
短期保存期間
1-2 weeks
短期保存温度
+4°C
長期保存温度
-20°C
分注に関する情報
Upon delivery aliquot
保管に関する情報
Stable for 12 months at -20°C

補足情報

This supplementary information is collated from multiple sources and compiled automatically.

TRIM32 also known as Tripartite Motif Containing 32 is a protein that functions as an E3 ubiquitin ligase. It plays a role in attaching ubiquitin molecules to proteins tagging them for degradation by the proteasome. TRIM32 consists of a RING domain a B-box and a coiled-coil region which are characteristic of the TRIM family. The molecular mass of TRIM32 is approximately 71 kDa. It is expressed in various tissues with notable expression in skeletal muscle and the heart implying an important role in muscle physiology.
Biological function summary

TRIM32 participates in regulating muscle cell differentiation and proliferation. It interacts with several proteins including dysbindin and myospryn suggesting its involvement in a multi-protein complex. TRIM32 has a regulatory role in muscle maintenance where it influences the stability and function of muscle proteins. Moreover it is also involved in neurogenesis affecting neuronal differentiation and survival emphasizing its role beyond muscle tissues.

Pathways

TRIM32 plays a significant role in the PI3K/Akt signaling pathway and the TGF-beta signaling pathway. In the PI3K/Akt pathway TRIM32 modulates cell growth and survival interacting with proteins such as Akt and mTOR. In the context of TGF-beta signaling TRIM32 can influence cellular processes like proliferation and differentiation possibly by interacting with SMAD proteins. These interactions indicate its importance in cellular growth and differentiation pathways.

TRIM32 is linked with limb-girdle muscular dystrophy type 2H and certain forms of sarcopenia. Mutations in TRIM32 cause dysfunction in muscle protein turnover leading to muscle deterioration and weakness. In limb-girdle muscular dystrophy TRIM32 mutations disrupt its interaction with dysbindin impairing muscle structure. Furthermore TRIM32 might be involved in neurodegenerative diseases with connections to proteins like alpha-synuclein hinting at a potential role in Parkinson's disease.

製品プロトコール

For this product, it's our understanding that no specific protocols are required. You can visit:

ターゲットの情報

E3 ubiquitin ligase that plays a role in various biological processes including neural stem cell differentiation, innate immunity, inflammatory resonse and autophagy (PubMed : 19349376, PubMed : 31123703). Plays a role in virus-triggered induction of IFN-beta and TNF-alpha by mediating the ubiquitination of STING1. Mechanistically, targets STING1 for 'Lys-63'-linked ubiquitination which promotes the interaction of STING1 with TBK1 (PubMed : 22745133). Regulates bacterial clearance and promotes autophagy in Mycobacterium tuberculosis-infected macrophages (PubMed : 37543647). Negatively regulates TLR3/4-mediated innate immune and inflammatory response by triggering the autophagic degradation of TICAM1 in an E3 activity-independent manner (PubMed : 28898289). Plays an essential role in oxidative stress induced cell death by inducing loss of transmembrane potential and enhancing mitochondrial reactive oxygen species (ROS) production during oxidative stress conditions (PubMed : 32918979). Ubiquitinates XIAP and targets it for proteasomal degradation (PubMed : 21628460). Ubiquitinates DTNBP1 (dysbindin) and promotes its degradation (PubMed : 19349376). May ubiquitinate BBS2 (PubMed : 22500027). Ubiquitinates PIAS4/PIASY and promotes its degradation in keratinocytes treated with UVB and TNF-alpha (By similarity). Also acts as a regulator of autophagy by mediating formation of unanchored 'Lys-63'-linked polyubiquitin chains that activate ULK1 : interaction with AMBRA1 is required for ULK1 activation (PubMed : 31123703). Positively regulates dendritic branching by promoting ubiquitination and subsequent degradation of the epigenetic factor CDYL (PubMed : 34888944). Under metabolic stress and phosphorylation by CHK2, mediates 'Lys-63'-linked ubiquitination of ATG7 at 'Lys-45' to initiate autophagy (PubMed : 37943659).. (Microbial infection) May play a significant role in mediating the biological activity of the HIV-1 Tat protein in vivo (PubMed : 7778269). Binds specifically to the activation domain of HIV-1 Tat and can also interact with the HIV-2 and EIAV Tat proteins in vivo (PubMed : 7778269).
See full target information TRIM32

文献 (3)

Recent publications for all applications. Explore the full list and refine your search

Nature communications 11:6316 PubMed33298911

2020

TRIB3 promotes MYC-associated lymphoma development through suppression of UBE3B-mediated MYC degradation.

Applications

Unspecified application

Species

Unspecified reactive species

Ke Li,Feng Wang,Zhao-Na Yang,Ting-Ting Zhang,Yu-Fen Yuan,Chen-Xi Zhao,Zaiwuli Yeerjiang,Bing Cui,Fang Hua,Xiao-Xi Lv,Xiao-Wei Zhang,Jiao-Jiao Yu,Shan-Shan Liu,Jin-Mei Yu,Shuang Shang,Yang Xiao,Zhuo-Wei Hu

eLife 7: PubMed30281021

2018

Changes in mRNA abundance drive shuttling of RNA binding proteins, linking cytoplasmic RNA degradation to transcription.

Applications

Unspecified application

Species

Unspecified reactive species

Sarah Gilbertson,Joel D Federspiel,Ella Hartenian,Ileana M Cristea,Britt Glaunsinger

PLoS pathogens 12:e1005584 PubMed27082114

2016

HTLV-1 Tax Functions as a Ubiquitin E3 Ligase for Direct IKK Activation via Synthesis of Mixed-Linkage Polyubiquitin Chains.

Applications

Unspecified application

Species

Unspecified reactive species

Chong Wang,Wenying Long,Chao Peng,Lin Hu,Qiong Zhang,Ailing Wu,Xiaoqing Zhang,Xiaotao Duan,Catherine C L Wong,Yuetsu Tanaka,Zongping Xia
View all publications

Abcam product promise

当社は、高品質な試薬を通じてお客様の研究を力強くサポートすることをお約束いたします。ご使用いただく各段階で、常にお客様をサポートできる体制を整えております。万が一、製品が期待通りに機能しない場合は、「Abcam Product Promise」による当社保証制度に基づき、安心してご利用いただけます。
保証に関する詳細については利用規約をご確認ください。

Please note: All products are 'FOR RESEARCH USE ONLY. NOT FOR USE IN DIAGNOSTIC OR THERAPEUTIC PROCEDURES'.

For licensing inquiries, please contact partnerships@abcam.com