JavaScript is disabled in your browser. Please enable JavaScript to view this website.
AB13579

Anti-TRF2 抗体 [4A794]

Anti-TRF2 antibody [4A794]

5

(1 Review)

|

(48 Publications)

Mouse Monoclonal TRF2 antibody. Suitable for WB, IHC-P, Flow Cyt (Intra) and reacts with Human samples. Cited in 48 publications. Immunogen corresponding to Full Length Protein corresponding to Human TERF2.

別名を表示する

TRBF2, TRF2, TERF2, Telomeric repeat-binding factor 2, TTAGGG repeat-binding factor 2, Telomeric DNA-binding protein

7 Images
Flow Cytometry (Intracellular) - Anti-TRF2 antibody [4A794] (AB13579)
  • Flow Cyt (Intra)

Supplier Data

Flow Cytometry (Intracellular) - Anti-TRF2 antibody [4A794] (AB13579)

Flow Cytometry (Intracellular) analysis of Jurkat cells labeling RF2 with ab13579 (red). The shaded histogram represents cells alone and blue represents isotype control.

Western blot - Anti-TRF2 antibody [4A794] (AB13579)
  • WB

Supplier Data

Western blot - Anti-TRF2 antibody [4A794] (AB13579)

All lanes:

Western blot - Anti-TRF2 antibody [4A794] (ab13579) at 2 µg/mL

All lanes:

Jurkat cell lysate

Secondary

All lanes:

Goat anti-mouse Ig HRP

Predicted band size: 56 kDa

false

Western blot - Anti-TRF2 antibody [4A794] (AB13579)
  • WB

Supplier Data

Western blot - Anti-TRF2 antibody [4A794] (AB13579)

All lanes:

Western blot - Anti-TRF2 antibody [4A794] (ab13579)

All lanes:

HeLa cell lysate

Predicted band size: 56 kDa

false

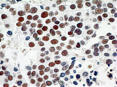
Immunohistochemistry (Formalin/PFA-fixed paraffin-embedded sections) - Anti-TRF2 antibody [4A794] (AB13579)
  • IHC-P

Supplier Data

Immunohistochemistry (Formalin/PFA-fixed paraffin-embedded sections) - Anti-TRF2 antibody [4A794] (AB13579)

ab13579 staining TRF2 in human bladder carcinoma cells using Immunohistochemistry (Formalin/PFA-fixed paraffin-embedded sections). Antigeen retrieval carried out by heat treatment in Citrate buffer pH6.0. Primary antibody diluted to 4μg/ml.

Flow Cytometry (Intracellular) - Anti-TRF2 antibody [4A794] (AB13579)
  • Flow Cyt (Intra)

Unknown

Flow Cytometry (Intracellular) - Anti-TRF2 antibody [4A794] (AB13579)

Overlay histogram showing HeLA cells stained with ab13579 (red line). The cells were fixed with 100% methanol (5 min) and then permeabilized with 0.1% PBS-Tween for 20 min. The cells were then incubated in 1x PBS / 10% normal goat serum / 0.3M glycine to block non-specific protein-protein interactions followed by the antibody (ab13579, 1μg/1x106 cells) for 30 min at 22°C. The secondary antibody used was DyLight® 488 goat anti-mouse IgG (H+L) (ab96879) at 1/500 dilution for 30 min at 22°C. Isotype control antibody (black line) was Mouse IgG1 [ICIGG1] (ab91353, 2μg/1x106 cells) used under the same conditions. Acquisition of >5,000 events was performed.

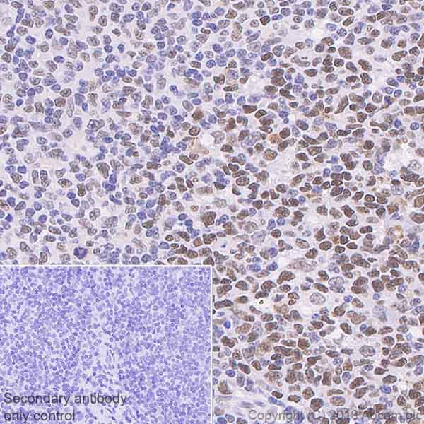
Immunohistochemistry (Formalin/PFA-fixed paraffin-embedded sections) - Anti-TRF2 antibody [4A794] (AB13579)
  • IHC-P

Unknown

Immunohistochemistry (Formalin/PFA-fixed paraffin-embedded sections) - Anti-TRF2 antibody [4A794] (AB13579)

ab13579 (1µg/ml) staining TRF2 in human spleen, using an automated system (DAKO Autostainer Plus). Using this protocol there is strong nuclear staining in the germinal follicle.
Sections were rehydrated and antigen retrieved with the Dako 3 in 1 AR buffer EDTA pH 9.0 in a DAKO PT link. Slides were peroxidase blocked in 3% H2O2 in methanol for 10 mins. They were then blocked with Dako Protein block for 10 minutes (containing casein 0.25% in PBS) then incubated with primary antibody for 20 min and detected with Dako envision flex amplification kit for 30 minutes. Colorimetric detection was completed with Diaminobenzidine for 5 minutes. Slides were counterstained with Haematoxylin and coverslipped under DePeX. Please note that, for manual staining, optimization of primary antibody concentration and incubation time is recommended. Signal amplification may be required.

Western blot - Anti-TRF2 antibody [4A794] (AB13579)
  • WB

Unknown

Western blot - Anti-TRF2 antibody [4A794] (AB13579)

Immunoprecipitation / Western Blot analysis of TRF2 in HL60 cells. 1. IP with ab13579. 2. IP with control mouse IgG. TRF2 is detected as an ~ 66 kD protein.

Immunoprecipitation / Western Blot analysis of TRF2 in HL60 cells. 1. IP with ab13579. 2. IP with control mouse IgG. TRF2 is detected as an ~ 66 kD protein.

All lanes:

Western blot - Anti-TRF2 antibody [4A794] (ab13579)

Predicted band size: 56 kDa

false

Key facts

宿主種

Mouse

クローン性

Monoclonal

クローン番号

4A794

アイソタイプ

IgG1

軽鎖のタイプ

kappa

キャリアフリー

No

交差種

Human

アプリケーション

WB, IHC-P, Flow Cyt (Intra)

applications

免疫原

Full Length Protein corresponding to Human TERF2. The exact immunogen used to generate this antibody is proprietary information.

Q15554

Reactivity data

{ "title": "Reactivity Data", "filters": { "stats": ["", "Species", "Dilution Info", "Notes"], "tabs": { "all-applications": {"fullname" : "All Applications", "shortname": "All Applications"}, "WB" : {"fullname" : "Western blot", "shortname":"WB"}, "IHCP" : {"fullname" : "Immunohistochemistry (Formalin/PFA-fixed paraffin-embedded sections)", "shortname":"IHC-P"}, "FlowCytIntra" : {"fullname" : "Flow Cytometry (Intracellular)", "shortname":"Flow Cyt (Intra)"} }, "product-promise": { "all": "all", "testedAndGuaranteed": "tested", "guaranteed": "expected", "predicted": "predicted", "notRecommended": "not-recommended" } }, "values": { "Human": { "WB-species-checked": "testedAndGuaranteed", "WB-species-dilution-info": "4 µg/mL", "WB-species-notes": "<p></p>", "IHCP-species-checked": "testedAndGuaranteed", "IHCP-species-dilution-info": "1 µg/mL", "IHCP-species-notes": "<p></p>", "FlowCytIntra-species-checked": "testedAndGuaranteed", "FlowCytIntra-species-dilution-info": "1 µg/cells for 6 µg/cells", "FlowCytIntra-species-notes": "<p><a href='/products/primary-antibodies/mouse-igg1-kappa-monoclonal-15-6e10a7-isotype-control-ab170190'>ab170190</a> - Mouse monoclonal IgG1, is suitable for use as an isotype control with this antibody.</p>" } } }

出荷温度及び保存条件

製品の状態
Liquid
精製方法
Affinity purification Protein G
バッファー組成
pH: 7.4 Preservative: 0.05% Sodium azide Constituents: PBS, 0.05% BSA
出荷温度
Blue Ice
短期保存期間
1-2 weeks
短期保存温度
+4°C
長期保存温度
-20°C
分注に関する情報
Upon delivery aliquot
保管に関する情報
Avoid freeze / thaw cycle

補足情報

This supplementary information is collated from multiple sources and compiled automatically.

TRF2 also known as Telomeric Repeat-binding Factor 2 is a protein important for telomere protection and maintenance. TRF2 weighs approximately 55 kDa and is widely expressed in human tissues especially in those with high turnover rates. This protein binds specifically to double-stranded telomeric DNA and forms a protective cap at the end of chromosomes helping to regulate telomere length and integrity. By securing the telomere's structure TRF2 prevents chromosomes from being recognized as damaged DNA.
Biological function summary

TRF2 plays a central role in telomere function by assembling into the shelterin complex. This complex which includes other proteins like TRF1 TIN2 POT1 TPP1 and RAP1 is essential for controlling telomere length and stability. TRF2 is responsible for inhibiting DNA damage response pathways at telomeres ensuring that the natural chromosomal ends are not mistaken for double-strand breaks. This suppression of unwanted DNA damage response is important for normal cell division and avoiding cellular senescence.

Pathways

Researchers have placed TRF2 within the DNA repair and telomere maintenance pathways. TRF2 interacts with several other proteins such as Ku70/80 and RAD51 that are instrumental in the DNA repair process. Furthermore TRF2 influences the Alternative Lengthening of Telomeres (ALT) pathway which is a telomere lengthening process found in some cancer cells. These connections highlight TRF2's role in maintaining genomic stability through its capacity to regulate telomere-associated proteins and pathways.

TRF2 has been linked to cancer and aging. Elevated levels of TRF2 have been detected in various cancers including breast and prostate cancer suggesting a role in tumorigenesis where it contributes to the stability of cancer cell telomeres. Additionally defects in TRF2 or its interaction with partner proteins like POT1 can lead to dysfunctional telomeres which contribute to the aging process and age-related diseases by affecting cell proliferation and survival. These links demonstrate the importance of TRF2 in normal cellular function and its potential as a therapeutic target in disease intervention.

製品プロトコール

For this product, it's our understanding that no specific protocols are required. You can visit:

ターゲットの情報

Binds the telomeric double-stranded 5'-TTAGGG-3' repeat and plays a central role in telomere maintenance and protection against end-to-end fusion of chromosomes (PubMed : 15608617, PubMed : 16166375, PubMed : 20655466, PubMed : 28216226, PubMed : 9326950, PubMed : 9326951, PubMed : 9476899). In addition to its telomeric DNA-binding role, required to recruit a number of factors and enzymes required for telomere protection, including the shelterin complex, TERF2IP/RAP1 and DCLRE1B/Apollo (PubMed : 16166375, PubMed : 20655466). Component of the shelterin complex (telosome) that is involved in the regulation of telomere length and protection (PubMed : 16166375). Shelterin associates with arrays of double-stranded 5'-TTAGGG-3' repeats added by telomerase and protects chromosome ends; without its protective activity, telomeres are no longer hidden from the DNA damage surveillance and chromosome ends are inappropriately processed by DNA repair pathways (PubMed : 16166375). Together with DCLRE1B/Apollo, plays a key role in telomeric loop (T loop) formation by generating 3' single-stranded overhang at the leading end telomeres : T loops have been proposed to protect chromosome ends from degradation and repair (PubMed : 20655466). Required both to recruit DCLRE1B/Apollo to telomeres and activate the exonuclease activity of DCLRE1B/Apollo (PubMed : 20655466, PubMed : 28216226). Preferentially binds to positive supercoiled DNA (PubMed : 15608617, PubMed : 20655466). Together with DCLRE1B/Apollo, required to control the amount of DNA topoisomerase (TOP1, TOP2A and TOP2B) needed for telomere replication during fork passage and prevent aberrant telomere topology (PubMed : 20655466). Recruits TERF2IP/RAP1 to telomeres, thereby participating in to repressing homology-directed repair (HDR), which can affect telomere length (By similarity).
See full target information TERF2

文献 (48)

Recent publications for all applications. Explore the full list and refine your search

Human molecular genetics 33:818-834 PubMed38641551

2024

Clinical mutations in the TERT and TERC genes coding for telomerase components induced oxidative stress, DNA damage at telomeres and cell apoptosis besides decreased telomerase activity.

Applications

Unspecified application

Species

Unspecified reactive species

Beatriz Fernández-Varas,Cristina Manguan-García,Javier Rodriguez-Centeno,Lucía Mendoza-Lupiáñez,Joaquin Calatayud,Rosario Perona,Mercedes Martín-Martínez,Marta Gutierrez-Rodriguez,Carlos Benítez-Buelga,Leandro Sastre

Journal of experimental & clinical cancer research : CR 42:71 PubMed36967378

2023

TERRA G-quadruplex stabilization as a new therapeutic strategy for multiple myeloma.

Applications

Unspecified application

Species

Unspecified reactive species

Francesca Scionti,Giada Juli,Roberta Rocca,Nicoletta Polerà,Matteo Nadai,Katia Grillone,Daniele Caracciolo,Caterina Riillo,Emanuela Altomare,Serena Ascrizzi,Basilio Caparello,Maria Cerra,Mariamena Arbitrio,Sara N Richter,Anna Artese,Stefano Alcaro,Pierosandro Tagliaferri,Pierfrancesco Tassone,Maria Teresa Di Martino

Nature cell biology 24:1461-1474 PubMed36109671

2022

An intercellular transfer of telomeres rescues T cells from senescence and promotes long-term immunological memory.

Applications

Unspecified application

Species

Unspecified reactive species

Alessio Lanna,Bruno Vaz,Clara D'Ambra,Salvatore Valvo,Claudia Vuotto,Valerio Chiurchiù,Oliver Devine,Massimo Sanchez,Giovanna Borsellino,Arne N Akbar,Marco De Bardi,Derek W Gilroy,Michael L Dustin,Brendan Blumer,Michael Karin

Molecular carcinogenesis 61:85-98 PubMed34710250

2021

PARP5B is required for nonhomologous end joining during tumorigenesis in vivo.

Applications

Unspecified application

Species

Unspecified reactive species

Jianchun Wu,David L Crowe

Epigenetics & chromatin 14:46 PubMed34627342

2021

Telomere-specific chromatin capture using a pyrrole-imidazole polyamide probe for the identification of proteins and non-coding RNAs.

Applications

Unspecified application

Species

Unspecified reactive species

Satoru Ide,Asuka Sasaki,Yusuke Kawamoto,Toshikazu Bando,Hiroshi Sugiyama,Kazuhiro Maeshima

Frontiers in cell and developmental biology 9:749116 PubMed34604243

2021

TRF1 Depletion Reveals Mutual Regulation Between Telomeres, Kinetochores, and Inner Centromeres in Mouse Oocytes.

Applications

Unspecified application

Species

Unspecified reactive species

Hyuk-Joon Jeon,Jeong Su Oh

Scientific reports 11:13195 PubMed34162976

2021

Progerin impairs 3D genome organization and induces fragile telomeres by limiting the dNTP pools.

Applications

Unspecified application

Species

Unspecified reactive species

Anna Kychygina,Marina Dall'Osto,Joshua A M Allen,Jean-Charles Cadoret,Vincent Piras,Hilda A Pickett,Laure Crabbe

Nature communications 12:3827 PubMed34158486

2021

RPA shields inherited DNA lesions for post-mitotic DNA synthesis.

Applications

Unspecified application

Species

Unspecified reactive species

Aleksandra Lezaja,Andreas Panagopoulos,Yanlin Wen,Edison Carvalho,Ralph Imhof,Matthias Altmeyer

Cell reports 35:109154 PubMed34010660

2021

Human telomerase is directly regulated by non-telomeric TRF2-G-quadruplex interaction.

Applications

Unspecified application

Species

Unspecified reactive species

Shalu Sharma,Ananda Kishore Mukherjee,Shuvra Shekhar Roy,Sulochana Bagri,Silje Lier,Meenakshi Verma,Antara Sengupta,Manish Kumar,Gaute Nesse,Deo Prakash Pandey,Shantanu Chowdhury

Frontiers in cell and developmental biology 9:621134 PubMed34095104

2021

PARP1 Regulates the Biogenesis and Activity of Telomerase Complex Through Modification of H/ACA-Proteins.

Applications

Unspecified application

Species

Unspecified reactive species

Nikita V Savelyev,Nikita M Shepelev,Olga I Lavrik,Maria P Rubtsova,Olga A Dontsova
View all publications

Abcam product promise

当社は、高品質な試薬を通じてお客様の研究を力強くサポートすることをお約束いたします。ご使用いただく各段階で、常にお客様をサポートできる体制を整えております。万が一、製品が期待通りに機能しない場合は、「Abcam Product Promise」による当社保証制度に基づき、安心してご利用いただけます。
保証に関する詳細については利用規約をご確認ください。

Please note: All products are 'FOR RESEARCH USE ONLY. NOT FOR USE IN DIAGNOSTIC OR THERAPEUTIC PROCEDURES'.

For licensing inquiries, please contact partnerships@abcam.com