JavaScript is disabled in your browser. Please enable JavaScript to view this website.
AB2721

Anti-TRAP1 抗体 [TRAP1-6]

Anti-TRAP1 antibody [TRAP1-6]

Be the first to review this product! Submit a review

|

(15 Publications)

Mouse Monoclonal TRAP1 antibody. Suitable for IP, WB, IHC-P, ICC/IF and reacts with Human, Mouse samples. Cited in 15 publications. Immunogen corresponding to Recombinant Full Length Protein corresponding to Human TRAP1.

別名を表示する

HSP75, HSPC5, TRAP1, HSP 75, Heat shock protein family C member 5, TNFR-associated protein 1, Tumor necrosis factor type 1 receptor-associated protein, TRAP-1

7 Images
Western blot - Anti-TRAP1 antibody [TRAP1-6] (AB2721)
  • WB

Unknown

Western blot - Anti-TRAP1 antibody [TRAP1-6] (AB2721)

The band observed at 76 kDa could potentially be a cleaved form of TRAP1 due to the presence of a 59 amino acid transit peptide.

All lanes:

Western blot - Anti-TRAP1 antibody [TRAP1-6] (ab2721) at 1 µg/mL

Lane 1:

Human brain tissue lysate - total protein (ab29466) at 10 µg

Lane 2:

HEK293 (Human embryonic kidney cell line) Whole Cell Lysate at 10 µg

Lane 3:

HepG2 (Human hepatocellular liver carcinoma cell line) Whole Cell Lysate at 10 µg

Secondary

All lanes:

Goat polyclonal Secondary Antibody to Mouse IgG - H&L (HRP), pre-adsorbed at 1/5000 dilution

Predicted band size: 80 kDa

Observed band size: 40 kDa,76 kDa

true

Exposure time: 16min

Immunocytochemistry/ Immunofluorescence - Anti-TRAP1 antibody [TRAP1-6] (AB2721)
  • ICC/IF

Supplier Data

Immunocytochemistry/ Immunofluorescence - Anti-TRAP1 antibody [TRAP1-6] (AB2721)

ab2721 staining TRAP1 in NCI-H460 cells by Immunocytochemistry/Immunofluorescence. Cells were grown on chamber slides and fixed with formaldehyde. Cells were probed without (right) or primary antibody (left) at a dilution of 1 : 200 overnight at 4 C, washed with PBS and incubated with a DyLight-488 conjugated secondary antibody. Green - TRAP1, Red (phalloidin) - F-actin, Blue (DAPI) - nuclei. Images were taken at 60X magnification.

Immunocytochemistry/ Immunofluorescence - Anti-TRAP1 antibody [TRAP1-6] (AB2721)
  • ICC/IF

Unknown

Immunocytochemistry/ Immunofluorescence - Anti-TRAP1 antibody [TRAP1-6] (AB2721)

ICC/IF image of ab2721 stained HepG2 cells. The cells were 4% PFA fixed (10 min) and then incubated in 1%BSA / 10% normal goat serum / 0.3M glycine in 0.1% PBS-Tween for 1h to permeabilise the cells and block non-specific protein-protein interactions. The cells were then incubated with the antibody (ab2721, 5µg/ml) overnight at +4°C. The secondary antibody (green) was Alexa Fluor® 488 goat anti-mouse IgG (H+L) used at a 1/1000 dilution for 1h. Alexa Fluor® 594 WGA was used to label plasma membranes (red) at a 1/200 dilution for 1h. DAPI was used to stain the cell nuclei (blue) at a concentration of 1.43µM.

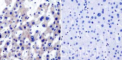
Immunohistochemistry (Formalin/PFA-fixed paraffin-embedded sections) - Anti-TRAP1 antibody [TRAP1-6] (AB2721)
  • IHC-P

Unknown

Immunohistochemistry (Formalin/PFA-fixed paraffin-embedded sections) - Anti-TRAP1 antibody [TRAP1-6] (AB2721)

Immunohistochemistry was performed on normal biopsies of deparaffinized Human liver tissue. To expose target proteins heat induced antigen retrieval was performed using 10mM sodium citrate (pH6.0) buffer and microwaved for 8-15 minutes. Following antigen retrieval tissues were blocked in 3% BSA-PBS for 30 minutes at room temperature and probed with a TRAP1 monoclonal antibody (ab2721) at a dilution of 1 : 20 or without primary antibody (negative control) overnight at 4°C in a humidified chamber. Tissues were washed with PBST and endogenous peroxidase activity was quenched with a peroxidase suppressor. Detection was performed using a biotin-conjugated secondary antibody and SA-HRP followed by colorimetric detection using DAB. Tissues were counterstained with hematoxylin and prepped for mounting.

Immunoprecipitation - Anti-TRAP1 antibody [TRAP1-6] (AB2721)
  • IP

Unknown

Immunoprecipitation - Anti-TRAP1 antibody [TRAP1-6] (AB2721)

Immunoprecipitation of TRAP1 using ab2721 visualized by Coomassie Blue staining.

All lanes:

Immunoprecipitation - Anti-TRAP1 antibody [TRAP1-6] (ab2721)

Predicted band size: 80 kDa

false

Immunoprecipitation - Anti-TRAP1 antibody [TRAP1-6] (AB2721)
  • IP

Unknown

Immunoprecipitation - Anti-TRAP1 antibody [TRAP1-6] (AB2721)

TRAP1 was immunoprecipitated using 0.5mg HepG2 whole cell extract, 5μg of Mouse monoclonal to TRAP1 (ab2721)and 50μl of protein G magnetic beads (lane 1). The antibody was incubated with the Protein G beads for 10min under agitation. No antibody was added to the control (lane 2). HepG2 whole cell extract diluted in RIPA buffer was added to each sample and incubated for 10min under agitation. Proteins were eluted by addition of 40μl SDS loading buffer and incubated for 10min at 70oC; 10μl of each sample was separated on a SDS PAGE gel, transferred to a nitrocellulose membrane, blocked with 5% BSA and probed with ab2721. Secondary : Goat polyclonal to mouse IgG light chain specific (HRP) at 1/5000 dilution.
Bands : 75kDa : TRAP1

All lanes:

Immunoprecipitation - Anti-TRAP1 antibody [TRAP1-6] (ab2721)

Predicted band size: 80 kDa

false

Western blot - Anti-TRAP1 antibody [TRAP1-6] (AB2721)
  • WB

Unknown

Western blot - Anti-TRAP1 antibody [TRAP1-6] (AB2721)

All lanes:

Western blot - Anti-TRAP1 antibody [TRAP1-6] (ab2721) at 1/2000 dilution

Lane 1:

HeLa whole cell lysate at 30 µg

Lane 2:

Hep G2 whole cell lysate at 30 µg

Lane 3:

HEK-293 whole cell lysate at 30 µg

Lane 4:

K-562 whole cell lysate at 30 µg

Secondary

All lanes:

Goat anti-Mouse IgG (H+L) Superclonal™ Recombinant Secondary Antibody, HRP at 1/40000 dilution

Predicted band size: 80 kDa

false

Key facts

宿主種

Mouse

クローン性

Monoclonal

クローン番号

TRAP1-6

アイソタイプ

IgG1

キャリアフリー

No

交差種

Mouse, Human

アプリケーション

IP, IHC-P, ICC/IF, WB

applications

免疫原

Recombinant Full Length Protein corresponding to Human TRAP1.

Q12931

特異性

Detects tumor necrosis factor receptor-associated protein (TRAP1) from human tissues.

Reactivity data

{ "title": "Reactivity Data", "filters": { "stats": ["", "Species", "Dilution Info", "Notes"], "tabs": { "all-applications": {"fullname" : "All Applications", "shortname": "All Applications"}, "IP" : {"fullname" : "Immunoprecipitation", "shortname":"IP"}, "WB" : {"fullname" : "Western blot", "shortname":"WB"}, "IHCP" : {"fullname" : "Immunohistochemistry (Formalin/PFA-fixed paraffin-embedded sections)", "shortname":"IHC-P"}, "ICCIF" : {"fullname" : "Immunocytochemistry/ Immunofluorescence", "shortname":"ICC/IF"} }, "product-promise": { "all": "all", "testedAndGuaranteed": "tested", "guaranteed": "expected", "predicted": "predicted", "notRecommended": "not-recommended" } }, "values": { "Human": { "IP-species-checked": "testedAndGuaranteed", "IP-species-dilution-info": "", "IP-species-notes": "<p></p>", "WB-species-checked": "testedAndGuaranteed", "WB-species-dilution-info": "1/2000", "WB-species-notes": "<p></p>", "IHCP-species-checked": "testedAndGuaranteed", "IHCP-species-dilution-info": "1/10 - 1/100", "IHCP-species-notes": "<p></p>", "ICCIF-species-checked": "testedAndGuaranteed", "ICCIF-species-dilution-info": "1/250", "ICCIF-species-notes": "<p></p>" }, "Mouse": { "IP-species-checked": "guaranteed", "IP-species-dilution-info": "", "IP-species-notes": "<p></p>", "WB-species-checked": "guaranteed", "WB-species-dilution-info": "1/2000", "WB-species-notes": "<p></p>", "IHCP-species-checked": "guaranteed", "IHCP-species-dilution-info": "1/10 - 1/100", "IHCP-species-notes": "<p></p>", "ICCIF-species-checked": "guaranteed", "ICCIF-species-dilution-info": "1/250", "ICCIF-species-notes": "<p></p>" } } }

出荷温度及び保存条件

製品の状態
Liquid
精製方法
Affinity purification
バッファー組成
Preservative: 0.05% Sodium azide Constituents: 99% PBS, 0.1% BSA
出荷温度
Blue Ice
短期保存期間
1-2 weeks
短期保存温度
+4°C
長期保存温度
-20°C
分注に関する情報
Upon delivery aliquot
保管に関する情報
Avoid freeze / thaw cycle

補足情報

This supplementary information is collated from multiple sources and compiled automatically.

TRAP1 also known as Tumor Necrosis Factor Receptor-Associated Protein 1 or Heat Shock Protein 75 (Hsp75) is a mitochondrial chaperone protein with a molecular weight of approximately 75 kDa. It functions to protect cells from stress-induced damage by ensuring proper protein folding and preventing aggregation within the mitochondria. TRAP1 is expressed across various tissues with higher levels observed in metabolically active organs such as the heart and liver. Its role extends to regulation of mitochondrial respiration and reactive oxygen species indicating its broad involvement in cellular homeostasis.
Biological function summary

This mitochondrial chaperone plays an important role in maintaining protein homeostasis within the cellular environment. It forms part of a complex with heat shock proteins coordinating cellular defense mechanisms against stress. TRAP1 interacts with other chaperones to stabilize proteins and assist in mitochondrial quality control. Its activities aid in reducing oxidative stress managing apoptosis and regulating mitochondrial dynamics. Through these functions TRAP1 supports cellular survival and metabolic adaptation under conditions of stress.

Pathways

TRAP1 is involved in the regulation of the mitochondrial apoptosis pathway and the oxidative stress response pathway. It interacts with proteins like cytochrome c and inhibitors of apoptosis proteins (IAPs) influencing the release of pro-apoptotic factors and modulation of survival signals. By modulating these pathways TRAP1 affects cellular energy production and stress responses impacting both cellular health and disease states.

TRAP1 shows a direct link to cancer and neurodegenerative diseases. Overexpression of TRAP1 has been associated with various cancers where it promotes cell survival and resistance to apoptosis. In cancer cells TRAP1 interacts with proteins like p53 and Hsp90 contributing to the oncogenic process. In neurodegenerative disorders dysfunction of TRAP1 is linked to increased oxidative stress and mitochondrial dysfunction often relating to proteins such as PINK1 and Parkin which are important in the pathology of Parkinson’s disease.

製品プロトコール

For this product, it's our understanding that no specific protocols are required. You can visit:

ターゲットの情報

Chaperone that expresses an ATPase activity. Involved in maintaining mitochondrial function and polarization, downstream of PINK1 and mitochondrial complex I. Is a negative regulator of mitochondrial respiration able to modulate the balance between oxidative phosphorylation and aerobic glycolysis. The impact of TRAP1 on mitochondrial respiration is probably mediated by modulation of mitochondrial SRC and inhibition of SDHA.
See full target information TRAP1

文献 (15)

Recent publications for all applications. Explore the full list and refine your search

Heliyon 9:e21412 PubMed37920489

2023

Mechanism of Nrf2/miR338-3p/TRAP-1 pathway involved in hyperactivation of synovial fibroblasts in patients with osteoarthritis.

Applications

Unspecified application

Species

Unspecified reactive species

Peng Jie,Ya Wu,Changzhi Song,Yi Cheng,Yunfei Liu,Kang Chen

Bioengineered 13:2285-2295 PubMed35034537

2022

Interferon-induced protein with tetratricopeptide repeats 1 (IFIT1) accelerates osteoclast formation by regulating signal transducer and activator of transcription 3 (STAT3) signalling.

Applications

Unspecified application

Species

Unspecified reactive species

Yuanliang Xue,Chuanliang Zhao,Tao Liu

Communications biology 2:258 PubMed31312727

2019

A nanoscale, multi-parametric flow cytometry-based platform to study mitochondrial heterogeneity and mitochondrial DNA dynamics.

Applications

Unspecified application

Species

Unspecified reactive species

Julie A MacDonald,Alisha M Bothun,Sofia N Annis,Hannah Sheehan,Somak Ray,Yuanwei Gao,Alexander R Ivanov,Konstantin Khrapko,Jonathan L Tilly,Dori C Woods

The Journal of biological chemistry 292:16697-16708 PubMed28848050

2017

Reactive oxygen species trigger Parkin/PINK1 pathway-dependent mitophagy by inducing mitochondrial recruitment of Parkin.

Applications

Unspecified application

Species

Unspecified reactive species

Bin Xiao,Jian-Yuan Goh,Lin Xiao,Hongxu Xian,Kah-Leong Lim,Yih-Cherng Liou

Molecular medicine reports 14:2473-82 PubMed27484039

2016

Wnt3a is critical for endothelial progenitor cell-mediated neural stem cell proliferation and differentiation.

Applications

WB

Species

Unspecified reactive species

Yibin Du,Shuo Zhang,Tao Yu,Gongwen Du,Hui Zhang,Zongsheng Yin

FASEB journal : official publication of the Federation of American Societies for Experimental Biology 30:1712-23 PubMed26722004

2016

Localization of MRP-1 to the outer mitochondrial membrane by the chaperone protein HSP90β.

Applications

Unspecified application

Species

Unspecified reactive species

Elizabeth Roundhill,Doug Turnbull,Susan Burchill

Journal of molecular neuroscience : MN 55:62-68 PubMed25189320

2014

Expression of TRAP1 predicts poor survival of malignant glioma patients.

Applications

Unspecified application

Species

Unspecified reactive species

Shuai Li,Qingjie Lv,Hanxue Sun,Yixue Xue,Ping Wang,Libo Liu,Zhiqing Li,Zhen Li,Xin Tian,Yun-Hui Liu

The EMBO journal 33:282-95 PubMed24446486

2014

Parkin and PINK1 function in a vesicular trafficking pathway regulating mitochondrial quality control.

Applications

Unspecified application

Species

Unspecified reactive species

Gian-Luca McLelland,Vincent Soubannier,Carol X Chen,Heidi M McBride,Edward A Fon

Kidney international 85:1310-7 PubMed24152966

2013

Whole-exome resequencing reveals recessive mutations in TRAP1 in individuals with CAKUT and VACTERL association.

Applications

Unspecified application

Species

Human

Pawaree Saisawat,Stefan Kohl,Alina C Hilger,Daw-Yang Hwang,Heon Yung Gee,Gabriel C Dworschak,Velibor Tasic,Tracie Pennimpede,Sivakumar Natarajan,Ethan Sperry,Danilo S Matassa,Nataša Stajić,Radovan Bogdanovic,Ivo de Blaauw,Carlo L M Marcelis,Charlotte H W Wijers,Enrika Bartels,Eberhard Schmiedeke,Dominik Schmidt,Stefanie Märzheuser,Sabine Grasshoff-Derr,Stefan Holland-Cunz,Michael Ludwig,Markus M Nöthen,Markus Draaken,Erwin Brosens,Hugo Heij,Dick Tibboel,Bernhard G Herrmann,Benjamin D Solomon,Annelies de Klein,Iris A L M van Rooij,Franca Esposito,Heiko M Reutter,Friedhelm Hildebrandt

The Journal of cell biology 200:163-72 PubMed23319602

2013

PINK1 drives Parkin self-association and HECT-like E3 activity upstream of mitochondrial binding.

Applications

ICC/IF

Species

Human

Michael Lazarou,Derek P Narendra,Seok Min Jin,Ephrem Tekle,Soojay Banerjee,Richard J Youle
View all publications

Abcam product promise

当社は、高品質な試薬を通じてお客様の研究を力強くサポートすることをお約束いたします。ご使用いただく各段階で、常にお客様をサポートできる体制を整えております。万が一、製品が期待通りに機能しない場合は、「Abcam Product Promise」による当社保証制度に基づき、安心してご利用いただけます。
保証に関する詳細については利用規約をご確認ください。

関連製品

Select an associated product type
Alternative Product
Primary Antibodies

AB151239

Anti-TRAP1 antibody

primary-antibodies

trap1-antibody-ab151239

0

(0 reviews)

Alternative Product
Primary Antibodies

AB223379

Anti-TRAP1 antibody

primary-antibodies

trap1-antibody-ab223379

0

(0 reviews)

Alternative Product
Primary Antibodies

AB109323

Anti-TRAP1 antibody [EPR5381]

primary-antibodies

trap1-antibody-epr5381-ab109323

0

(0 reviews)

Please note: All products are 'FOR RESEARCH USE ONLY. NOT FOR USE IN DIAGNOSTIC OR THERAPEUTIC PROCEDURES'.

For licensing inquiries, please contact partnerships@abcam.com