JavaScript is disabled in your browser. Please enable JavaScript to view this website.
AB109503

Anti-Transferrin 抗体 [EPR2932(2)] - Serum Loading Control

Anti-Transferrin antibody [EPR2932(2)] - Serum Loading Control

5

(2 Reviews)

|

(8 Publications)

Rabbit Recombinant Monoclonal Transferrin antibody. Suitable for IHC-P, WB, Flow Cyt (Intra) and reacts with Human samples. Cited in 8 publications.

別名を表示する

PRO1400, TF, Serotransferrin, Transferrin, Beta-1 metal-binding globulin, Siderophilin

5 Images
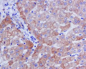
Immunohistochemistry (Formalin/PFA-fixed paraffin-embedded sections) - Anti-Transferrin antibody [EPR2932(2)] - Serum Loading Control (AB109503)
  • IHC-P

Unknown

Immunohistochemistry (Formalin/PFA-fixed paraffin-embedded sections) - Anti-Transferrin antibody [EPR2932(2)] - Serum Loading Control (AB109503)

Immunohistochemistry (Formalin/PFA-fixed paraffin-embedded sections) analysis of human liver tissue sections labeling Transferrin with Purified ab109503 at 1 : 300 dilution (2.19 µg/ml). Perform heat mediated antigen retrieval using ab93684 (Tris/EDTA buffer, pH 9.0). Purified)ImmunoHistoProbe one step HRP Polymer (ready to use) was used for detection. Negative control : PBS instead of the primary antibody. Hematoxylin was used as a counterstain.

Western blot - Anti-Transferrin antibody [EPR2932(2)] - Serum Loading Control (AB109503)
  • WB

Unknown

Western blot - Anti-Transferrin antibody [EPR2932(2)] - Serum Loading Control (AB109503)

All lanes:

Western blot - Anti-Transferrin antibody [EPR2932(2)] - Serum Loading Control (ab109503) at 1/1000 dilution

Lane 1:

fetal liver lysate at 10 µg

Lane 2:

prostate cancer lysate at 10 µg

Secondary

All lanes:

Standard HRP labelled goat anti-rabbit at 1/2000 dilution

Predicted band size: 77 kDa

false

Immunohistochemistry (Formalin/PFA-fixed paraffin-embedded sections) - Anti-Transferrin antibody [EPR2932(2)] - Serum Loading Control (AB109503)
  • IHC-P

Unknown

Immunohistochemistry (Formalin/PFA-fixed paraffin-embedded sections) - Anti-Transferrin antibody [EPR2932(2)] - Serum Loading Control (AB109503)

Immunohistochemical analysis of Transferrin expression in formalin-fixed, paraffin-embedded Human liver tissue, using unpurified ab109503 at 1/250 dilution.

Perform heat mediated antigen retrieval via the pressure cooker method before commencing with IHC staining protocol.

Flow Cytometry (Intracellular) - Anti-Transferrin antibody [EPR2932(2)] - Serum Loading Control (AB109503)
  • Flow Cyt (Intra)

Lab

Flow Cytometry (Intracellular) - Anti-Transferrin antibody [EPR2932(2)] - Serum Loading Control (AB109503)

Intracellular flow cytometric analysis of 4% paraformaldehyde fixed 90% methanol permeabilized HepG2 (Human hepatocellular carcinoma epithelial cell) cells labelling Transferrin with ab109503 at 1/50 dilution (1μg) (Red) compared with a Rabbit monoclonal IgG (ab172730) (Black) isotype control and an unlabelled control (cells without incubation with primary antibody and secondary antibody) (Blue). A Goat anti rabbit IgG (Alexa Fluor® 488, ab150077) at 1/2000 dilution was used as the secondary antibody.

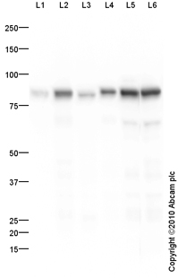
Western blot - Anti-Transferrin antibody [EPR2932(2)] - Serum Loading Control (AB109503)
  • WB

Lab

Western blot - Anti-Transferrin antibody [EPR2932(2)] - Serum Loading Control (AB109503)

All lanes:

Western blot - Anti-Transferrin antibody [EPR2932(2)] - Serum Loading Control (ab109503) at 1/10000 dilution

All lanes:

Human plasma lysates at 15 µg

Secondary

All lanes:

Goat Anti-Rabbit IgG (HRP) with minimal cross-reactivity with human IgG at 1/2000 dilution

Predicted band size: 77 kDa

Observed band size: 77 kDa

false

関連する標識済み抗体及び組成の異なる製品 (2)

  • HRP

    HRP Anti-Transferrin antibody [EPR2932(2)] - Serum Loading Control

  • Carrier free

    Anti-Transferrin antibody [EPR2932(2)] - BSA and Azide free

Key facts

宿主種

Rabbit

クローン性

Monoclonal

クローン番号

EPR2932(2)

アイソタイプ

IgG

キャリアフリー

No

交差種

Human

アプリケーション

IHC-P, WB, Flow Cyt (Intra)

applications

免疫原

The exact immunogen used to generate this antibody is proprietary information.

Reactivity data

{ "title": "Reactivity Data", "filters": { "stats": ["", "Species", "Dilution Info", "Notes"], "tabs": { "all-applications": {"fullname" : "All Applications", "shortname": "All Applications"}, "ICC" : {"fullname" : "Immunocytochemistry", "shortname":"ICC"}, "IHCP" : {"fullname" : "Immunohistochemistry (Formalin/PFA-fixed paraffin-embedded sections)", "shortname":"IHC-P"}, "IP" : {"fullname" : "Immunoprecipitation", "shortname":"IP"}, "WB" : {"fullname" : "Western blot", "shortname":"WB"}, "FlowCytIntra" : {"fullname" : "Flow Cytometry (Intracellular)", "shortname":"Flow Cyt (Intra)"} }, "product-promise": { "all": "all", "testedAndGuaranteed": "tested", "guaranteed": "expected", "predicted": "predicted", "notRecommended": "not-recommended" } }, "values": { "Human": { "ICC-species-checked": "notRecommended", "ICC-species-dilution-info": "", "ICC-species-notes": "<p></p>", "IHCP-species-checked": "testedAndGuaranteed", "IHCP-species-dilution-info": "1/250 - 1/500", "IHCP-species-notes": "<p>Heat up to 98 degrees C, below boiling, and then let cool for 10-20 min.</p> Perform heat-mediated antigen retrieval via the pressure cooker method before commencing with IHC staining protocol.", "IP-species-checked": "notRecommended", "IP-species-dilution-info": "1/10 - 1/100", "IP-species-notes": "<p></p>", "WB-species-checked": "testedAndGuaranteed", "WB-species-dilution-info": "1/1000 - 1/10000", "WB-species-notes": "<p></p>", "FlowCytIntra-species-checked": "testedAndGuaranteed", "FlowCytIntra-species-dilution-info": "1/50", "FlowCytIntra-species-notes": "<p></p>" } } }

下記製品にもご興味をお持ちいただけるかもしれません:

AB187391

Human Transferrin ELISA Kit

0

0 Reviews

製品ページを見る
こちらの製品も推奨する理由

この製品は、同様の実験や関連する研究で広く使用されていることから推奨させていただいております。

お客様の実験に適するかご確認いただくため、必ず製品データシートをご確認いただくことをお勧めいたします。ご不明点等ございましたら、テクニカルサポートチームまでお問い合わせください。

製品の詳細

Species reactivity
Mouse, Rat: We have preliminary internal testing data to indicate this antibody may not react with these species.
Please contact us for more information.

Patented technology
Our RabMAb® technology is a patented hybridoma-based technology for making rabbit monoclonal antibodies. For details on our patents, please refer to RabMAb® patents.

What are the advantages of a recombinant monoclonal antibody?
This product is a recombinant monoclonal antibody, which offers several advantages including:

  • - High batch-to-batch consistency and reproducibility
  • - Improved sensitivity and specificity
  • - Long-term security of supply
  • - Animal-free batch production

For more information, read more on recombinant antibodies.

出荷温度及び保存条件

製品の状態
Liquid
精製方法
Affinity purification Protein A
バッファー組成
pH: 7.2 - 7.4 Preservative: 0.01% Sodium azide Constituents: 59% PBS, 40% Glycerol (glycerin, glycerine), 0.05% BSA
出荷温度
Blue Ice
短期保存期間
1-2 weeks
短期保存温度
+4°C
長期保存温度
-20°C
分注に関する情報
Upon delivery aliquot
保管に関する情報
Avoid freeze / thaw cycle

補足情報

This supplementary information is collated from multiple sources and compiled automatically.

Transferrin also known as serotransferrin or siderophilin is a glycoprotein with a mass of approximately 80 kDa. It is primarily synthesized in the liver and subsequently secreted into the bloodstream. Transferrin has an important role in iron transport and maintains iron homeostasis by binding and delivering iron to various tissues throughout the body. It can bind two ferric ions (Fe3+) in association with an anion usually bicarbonate. In biological fluids transferrin exists in serum plasma and other extracellular fluids.
Biological function summary

Transferrin facilitates the transportation of iron ions. It delivers iron to cells by binding to transferrin receptors on cell surfaces forming a complex that gets internalized via receptor-mediated endocytosis. Inside the endosomes acidic conditions cause iron to release from transferrin enabling its utilization in cellular processes like DNA synthesis and electron transport. Transferrin itself acts independently and does not form part of a larger protein complex. Variants of transferrin include mouse transferrin bovine transferrin and biotinylated transferrin each with similar function across different species.

Pathways

Transferrin operates centrally in iron metabolism and homeostasis pathways. It functions in coordination with the transferrin receptor 1 (TfR1) which facilitates cellular uptake of the transferrin-iron complex. Additionally transferrin plays a role in the hepcidin regulatory pathway. Hepcidin modulates iron homeostasis by decreasing iron absorption in the intestine and controlling iron release from macrophages and hepatocytes. Transferrin's ability to bind iron connects it to other iron-containing proteins such as ferritin which stores excess iron in cells.

Several iron-related conditions can impact transferrin function including anemia and hemochromatosis. Anemia often occurs when there is insufficient iron delivery leading to inadequate hemoglobin synthesis and reduced oxygen transport. Aberrant transferrin receptor activity affects iron uptake in such conditions. Hemochromatosis characterized by iron overload can occur due to mutations in genes like HFE leading to changes in hepcidin regulation and increased intestinal iron absorption. Transferrin levels and saturation are clinical indicators used to assess iron status in such diseases.

製品プロトコール

For this product, it's our understanding that no specific protocols are required. You can visit:

ターゲットの情報

Transferrins are iron binding transport proteins which can bind two Fe(3+) ions in association with the binding of an anion, usually bicarbonate. It is responsible for the transport of iron from sites of absorption and heme degradation to those of storage and utilization. Serum transferrin may also have a further role in stimulating cell proliferation.. (Microbial infection) Serves as an iron source for Neisseria species, which capture the protein and extract its iron for their own use.. (Microbial infection) Serves as an iron source for parasite T.brucei (strain 427), which capture TF via its own transferrin receptor ESAG6 : ESAG7 and extract its iron for its own use.
See full target information TF

文献 (8)

Recent publications for all applications. Explore the full list and refine your search

Oxidative medicine and cellular longevity 2023:9808100 PubMed36654781

2023

TRIM6 Reduces Ferroptosis and Chemosensitivity by Targeting SLC1A5 in Lung Cancer.

Applications

Unspecified application

Species

Unspecified reactive species

Ying Zhang,Ping Dong,Nian Liu,Jun-Yuan Yang,Hui-Min Wang,Qing Geng

International journal of molecular sciences 23: PubMed35743034

2022

Large Benefit from Simple Things: High-Dose Vitamin A Improves -Related Retinal Dystrophy.

Applications

Unspecified application

Species

Unspecified reactive species

Vasily M Smirnov,Baptiste Wilmet,Marco Nassisi,Christel Condroyer,Aline Antonio,Camille Andrieu,Céline Devisme,Serge Sancho,José-Alain Sahel,Christina Zeitz,Isabelle Audo

Molecular medicine reports 24: PubMed34165161

2021

Downregulation of VDR in benign paroxysmal positional vertigo patients inhibits otolith‑associated protein expression levels.

Applications

Unspecified application

Species

Unspecified reactive species

Shu Zhang,Juanli Xing,Yulin Gong,Ping Li,Boqian Wang,Ling Xu

Clinical and translational medicine 11:e390 PubMed33931967

2021

Deubiquitinase USP35 modulates ferroptosis in lung cancer via targeting ferroportin.

Applications

Unspecified application

Species

Unspecified reactive species

Zheng Tang,Wanli Jiang,Ming Mao,Jinping Zhao,Jiakuan Chen,Nitao Cheng

Theranostics 11:5650-5674 PubMed33897873

2021

Endogenous glutamate determines ferroptosis sensitivity via ADCY10-dependent YAP suppression in lung adenocarcinoma.

Applications

Unspecified application

Species

Unspecified reactive species

Xiao Zhang,Keke Yu,Lifang Ma,Zijun Qian,Xiaoting Tian,Yayou Miao,Yongjie Niu,Xin Xu,Susu Guo,Yueyue Yang,Zhixian Wang,Xiangfei Xue,Chuanjia Gu,Wentao Fang,Jiayuan Sun,Yongchun Yu,Jiayi Wang

International journal of nanomedicine 15:6183-6200 PubMed32922001

2020

Evidence Supporting the Safety of Pegylated Diethylaminoethyl-Chitosan Polymer as a Nanovector for Gene Therapy Applications.

Applications

Unspecified application

Species

Unspecified reactive species

Elsa Patricia Rondon,Houda Abir Benabdoun,Francis Vallières,Maicon Segalla Petrônio,Marcio José Tiera,Mohamed Benderdour,Julio Cesar Fernandes

Clinical proteomics 17:20 PubMed32518534

2020

Proteomic analysis of human synovial fluid reveals potential diagnostic biomarkers for ankylosing spondylitis.

Applications

Unspecified application

Species

Unspecified reactive species

Ji-Hyun Lee,Jae Hun Jung,Jeesoo Kim,Won-Ki Baek,Jinseol Rhee,Tae-Hwan Kim,Sang-Hyon Kim,Kwang Pyo Kim,Chang-Nam Son,Jong-Seo Kim

Obesity (Silver Spring, Md.) 25:1400-1409 PubMed28656645

2017

Regulation of Nuclear Receptor Interacting Protein 1 (NRIP1) Gene Expression in Response to Weight Loss and Exercise in Humans.

Applications

Unspecified application

Species

Unspecified reactive species

Yang De Marinis,Jiangming Sun,Pradeep Bompada,Judit Domènech Omella,Cheng Luan,Arda Halu,Erik Renström,Amitabh Sharma,Martin Ridderstråle
View all publications

Abcam product promise

当社は、高品質な試薬を通じてお客様の研究を力強くサポートすることをお約束いたします。ご使用いただく各段階で、常にお客様をサポートできる体制を整えております。万が一、製品が期待通りに機能しない場合は、「Abcam Product Promise」による当社保証制度に基づき、安心してご利用いただけます。
保証に関する詳細については利用規約をご確認ください。

関連製品

Select an associated product type
Alternative Product
Primary Antibodies

AB137744

Anti-Transferrin antibody - Serum Loading Control

primary-antibodies

transferrin-antibody-serum-loading-control-ab137744

4

(1 reviews)

Alternative Product
Primary Antibodies

AB268117

Anti-Transferrin antibody [TF/3001]

primary-antibodies

transferrin-antibody-tf-3001-ab268117

0

(0 reviews)

Alternative Product
Primary Antibodies

AB245677

Anti-Transferrin antibody [TW4.20]

primary-antibodies

transferrin-antibody-tw420-ab245677

0

(0 reviews)

Alternative Product
Primary Antibodies

AB34673

Biotin Anti-Transferrin antibody - Serum Loading Control

primary-antibodies

biotin-transferrin-antibody-serum-loading-control-ab34673

0

(0 reviews)

Alternative Product
Primary Antibodies

AB82411

Anti-Transferrin antibody - Serum Loading Control

primary-antibodies

transferrin-antibody-serum-loading-control-ab82411

5

(8 reviews)

Alternative Product
Primary Antibodies

AB218020

Anti-Transferrin antibody [1F10]

primary-antibodies

transferrin-antibody-1f10-ab218020

0

(0 reviews)

Alternative Product
Primary Antibodies

AB19178

HRP Anti-Transferrin antibody - Serum Loading Control

primary-antibodies

hrp-transferrin-antibody-serum-loading-control-ab19178

4

(1 reviews)

Alternative Product
Primary Antibodies

AB88165

Anti-Transferrin antibody - Serum Loading Control

primary-antibodies

transferrin-antibody-serum-loading-control-ab88165

0

(0 reviews)

Alternative Product
Primary Antibodies

AB231970

Anti-Transferrin antibody - Serum Loading Control

primary-antibodies

transferrin-antibody-serum-loading-control-ab231970

0

(0 reviews)

Alternative Product
Primary Antibodies

AB769

Anti-Transferrin antibody [HTF-14] - Serum Loading Control

primary-antibodies

transferrin-antibody-htf-14-serum-loading-control-ab769

1

(1 reviews)

Alternative Product
Primary Antibodies

AB66952

Anti-Transferrin antibody - Serum Loading Control

primary-antibodies

transferrin-antibody-serum-loading-control-ab66952

0

(0 reviews)

Alternative Product
Primary Antibodies

AB19177

Anti-Transferrin antibody - Serum Loading Control

primary-antibodies

transferrin-antibody-serum-loading-control-ab19177

0

(0 reviews)

Please note: All products are 'FOR RESEARCH USE ONLY. NOT FOR USE IN DIAGNOSTIC OR THERAPEUTIC PROCEDURES'.

For licensing inquiries, please contact partnerships@abcam.com