JavaScript is disabled in your browser. Please enable JavaScript to view this website.
AB184239

Anti-TORC2 抗体 [EPR20219]

Anti-TORC2 antibody [EPR20219]

Be the first to review this product! Submit a review

|

(2 Publications)

Rabbit Recombinant Monoclonal TORC2 antibody. Suitable for WB and reacts with Mouse, Rat, Human samples. Cited in 2 publications.

別名を表示する

TORC2, CRTC2, CREB-regulated transcription coactivator 2, Transducer of regulated cAMP response element-binding protein 2, TORC-2, Transducer of CREB protein 2

3 Images
Western blot - Anti-TORC2 antibody [EPR20219] (AB184239)
  • WB

Supplier Data

Western blot - Anti-TORC2 antibody [EPR20219] (AB184239)

Exposure times : Lanes 1, 2 : 3 minutes; Lane 3 : 15 seconds.

Blocking/Dilution buffer : 5% NFDM/TBST.

All lanes:

Western blot - Anti-TORC2 antibody [EPR20219] (ab184239) at 1/1000 dilution

Lane 1:

Human fetal heart tissue lysate at 20 µg

Lane 2:

Human fetal kidney tissue lysate at 20 µg

Lane 3:

Human fetal brain tissue lysate at 20 µg

Secondary

All lanes:

Western blot - VeriBlot for IP Detection Reagent (HRP) (<a href='/products/reagents/veriblot-for-ip-detection-reagent-hrp-ab131366'>ab131366</a>) at 1/10000 dilution

Predicted band size: 73 kDa

Observed band size: 78 kDa

true

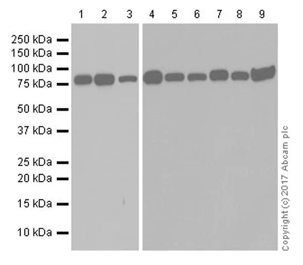
Western blot - Anti-TORC2 antibody [EPR20219] (AB184239)
  • WB

Supplier Data

Western blot - Anti-TORC2 antibody [EPR20219] (AB184239)

Exposure times : Lanes 1-3 : 10 seconds; Lanes 4-9 : 3 minutes.

Blocking/Dilution buffer : 5% NFDM/TBST.

All lanes:

Western blot - Anti-TORC2 antibody [EPR20219] (ab184239) at 1/1000 dilution

Lane 1:

A20 (mouse reticulum sarcoma cell line) whole cell lysate at 20 µg

Lane 2:

CTLL-2 (mouse T lymphocyte cell line) whole cell lysate at 20 µg

Lane 3:

YAC-1 (mouse Moloney murine leukemia virus induced lymphoma lymphoblast cell line) whole cell lysate at 20 µg

Lane 4:

Neuro-2a (mouse neuroblastoma cell line) whole cell lysate at 20 µg

Lane 5:

C6 (rat glial tumor cell line) whole cell lysate at 20 µg

Lane 6:

L6 (rat skeletal muscle cell line) whole cell lysate at 20 µg

Lane 7:

A-673 (human muscle Ewing's Sarcoma cell line) whole cell lysate at 20 µg

Lane 8:

Jurkat (human T cell leukemia cell line from peripheral blood) whole cell lysate at 20 µg

Lane 9:

Raji (human Burkitt's lymphoma cell line) whole cell lysate at 20 µg

Secondary

All lanes:

Western blot - Goat Anti-Rabbit IgG H&L (HRP) (<a href='/products/secondary-antibodies/goat-rabbit-igg-h-l-hrp-ab97051'>ab97051</a>) at 1/100000 dilution

Predicted band size: 73 kDa

Observed band size: 78 kDa

true

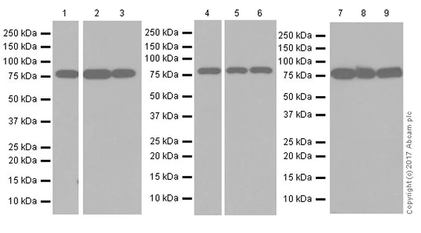
Western blot - Anti-TORC2 antibody [EPR20219] (AB184239)
  • WB

Supplier Data

Western blot - Anti-TORC2 antibody [EPR20219] (AB184239)

Exposure times : Lanes 1-6 : 3 minutes; Lanes 7-9 : 15 seconds.

Blocking/Dilution buffer : 5% NFDM/TBST.

All lanes:

Western blot - Anti-TORC2 antibody [EPR20219] (ab184239) at 1/1000 dilution

Lane 1:

Mouse brain lysate at 10 µg

Lane 2:

Mouse kidney lysate at 10 µg

Lane 3:

Mouse spleen lysate at 10 µg

Lane 4:

Rat brain lysate at 10 µg

Lane 5:

Rat kidney lysate at 10 µg

Lane 6:

Rat spleen lysate at 10 µg

Lane 7:

RAW 264.7 (mouse macrophage cell line transformed with Abelson murine leukemia virus) whole cell lysate at 20 µg

Lane 8:

PC-12 (rat adrenal gland pheochromocytoma cell line) whole cell lysate at 20 µg

Lane 9:

NIH/3T3 (mouse embryo fibroblast cell line) whole cell lysate at 20 µg

Secondary

All lanes:

Western blot - Goat Anti-Rabbit IgG H&L (HRP) (<a href='/products/secondary-antibodies/goat-rabbit-igg-h-l-hrp-ab97051'>ab97051</a>) at 1/100000 dilution

Predicted band size: 73 kDa

Observed band size: 78 kDa

true

関連する標識済み抗体及び組成の異なる製品 (1)

  • Carrier free

    Anti-TORC2 antibody [EPR20219] - BSA and Azide free

Key facts

宿主種

Rabbit

クローン性

Monoclonal

クローン番号

EPR20219

アイソタイプ

IgG

キャリアフリー

No

交差種

Mouse, Rat, Human

アプリケーション

WB

applications

免疫原

The exact immunogen used to generate this antibody is proprietary information.

Reactivity data

{ "title": "Reactivity Data", "filters": { "stats": ["", "Species", "Dilution Info", "Notes"], "tabs": { "all-applications": {"fullname" : "All Applications", "shortname": "All Applications"}, "WB" : {"fullname" : "Western blot", "shortname":"WB"} }, "product-promise": { "all": "all", "testedAndGuaranteed": "tested", "guaranteed": "expected", "predicted": "predicted", "notRecommended": "not-recommended" } }, "values": { "Human": { "WB-species-checked": "testedAndGuaranteed", "WB-species-dilution-info": "1/1000", "WB-species-notes": "<p></p>" }, "Mouse": { "WB-species-checked": "testedAndGuaranteed", "WB-species-dilution-info": "1/1000", "WB-species-notes": "<p></p>" }, "Rat": { "WB-species-checked": "testedAndGuaranteed", "WB-species-dilution-info": "1/1000", "WB-species-notes": "<p></p>" } } }

製品の詳細

Patented technology
Our RabMAb® technology is a patented hybridoma-based technology for making rabbit monoclonal antibodies. For details on our patents, please refer to RabMAb® patents.

What are the advantages of a recombinant monoclonal antibody?
This product is a recombinant monoclonal antibody, which offers several advantages including:

  • - High batch-to-batch consistency and reproducibility
  • - Improved sensitivity and specificity
  • - Long-term security of supply
  • - Animal-free batch production

For more information, read more on recombinant antibodies.

出荷温度及び保存条件

製品の状態
Liquid
精製方法
Affinity purification Protein A
バッファー組成
pH: 7.2 Preservative: 0.01% Sodium azide Constituents: PBS, 40% Glycerol (glycerin, glycerine), 0.05% BSA
出荷温度
Blue Ice
短期保存期間
1-2 weeks
短期保存温度
+4°C
長期保存温度
-20°C
分注に関する情報
Upon delivery aliquot
保管に関する情報
Avoid freeze / thaw cycle

補足情報

This supplementary information is collated from multiple sources and compiled automatically.

TORC2 also known as Target of Rapamycin Complex 2 is a multi-protein complex involved in regulating cell growth and survival. It consists of several subunits including mTOR RICTOR and mLST8 and has a molecular mass of 1-1.5 MDa. TORC2 acts as a serine/threonine kinase primarily phosphorylating Akt (Protein Kinase B) and other AGC family kinases. This complex is expressed in various tissues including liver muscle and brain where it influences multiple cellular functions.
Biological function summary

The actions of TORC2 play important roles in the regulation of lipid metabolism cytoskeletal organization and stress response. This complex contributes to cell survival and proliferation by phosphorylating specific substrates that control these processes. TORC2 specifically phosphorylates the hydrophobic motif on actor proteins like Akt which is necessary for their full activation. This activity establishes TORC2 as an important regulator within numerous cellular systems that contribute to maintaining cellular integrity and homeostasis.

Pathways

The activities of TORC2 are integral to the PI3K/Akt signaling and insulin signaling pathways. Within these pathways TORC2's phosphorylation of Akt impacts glucose metabolism protein synthesis and cell survival. It operates in parallel with TORC1 (Target of Rapamycin Complex 1) yet TORC2 responds to distinct extracellular cues highlighting its unique role. Key proteins associated with TORC2 in these pathways include PI3K upstream and Akt downstream which are essential for transmitting signals that affect cell growth and metabolic regulation.

Disruptions in TORC2 function have been associated with cancer and diabetes. The aberrant activation of TORC2 leads to unchecked cell growth and survival contributing to tumor progression in various cancer types. Additionally alterations in TORC2 activity can affect insulin signaling linking it to insulin resistance and type 2 diabetes. Proteins such as mTOR and Akt are central to these diseases with TORC2 playing a pivotal regulatory role in their pathways.

製品プロトコール

For this product, it's our understanding that no specific protocols are required. You can visit:

ターゲットの情報

Transcriptional coactivator for CREB1 which activates transcription through both consensus and variant cAMP response element (CRE) sites. Acts as a coactivator, in the SIK/TORC signaling pathway, being active when dephosphorylated and acts independently of CREB1 'Ser-133' phosphorylation. Enhances the interaction of CREB1 with TAF4. Regulates gluconeogenesis as a component of the LKB1/AMPK/TORC2 signaling pathway. Regulates the expression of specific genes such as the steroidogenic gene, StAR. Potent coactivator of PPARGC1A and inducer of mitochondrial biogenesis in muscle cells. Also coactivator for TAX activation of the human T-cell leukemia virus type 1 (HTLV-1) long terminal repeats (LTR).
See full target information CRTC2

文献 (2)

Recent publications for all applications. Explore the full list and refine your search

Molecular neurobiology 62:11099-11111 PubMed40261603

2025

Plasma-Derived Small Extracellular Vesicles miR- 182 - 5p Is a Potential Biomarker for Diagnosing Major Depressive Disorder.

Applications

Unspecified application

Species

Unspecified reactive species

Lin-Lin Zhu,Lian-Di Li,Xuan-Yu Lin,Jian Hu,Chun Wang,Yi-Jun Wang,Qi-Gang Zhou,Jing Zhang

Metabolism: clinical and experimental 152:155772 PubMed38176644

2024

GDF15 activates AMPK and inhibits gluconeogenesis and fibrosis in the liver by attenuating the TGF-β1/SMAD3 pathway.

Applications

Unspecified application

Species

Unspecified reactive species

Javier Jurado-Aguilar,Emma Barroso,Maribel Bernard,Meijian Zhang,Mona Peyman,Patricia Rada,Ángela M Valverde,Walter Wahli,Xavier Palomer,Manuel Vázquez-Carrera
View all publications

Abcam product promise

当社は、高品質な試薬を通じてお客様の研究を力強くサポートすることをお約束いたします。ご使用いただく各段階で、常にお客様をサポートできる体制を整えております。万が一、製品が期待通りに機能しない場合は、「Abcam Product Promise」による当社保証制度に基づき、安心してご利用いただけます。
保証に関する詳細については利用規約をご確認ください。

Please note: All products are 'FOR RESEARCH USE ONLY. NOT FOR USE IN DIAGNOSTIC OR THERAPEUTIC PROCEDURES'.

For licensing inquiries, please contact partnerships@abcam.com