JavaScript is disabled in your browser. Please enable JavaScript to view this website.
AB52934

Anti-Topoisomerase II alpha 抗体 [EP1102Y]

Anti-Topoisomerase II alpha antibody [EP1102Y]

4

(1 Review)

|

(78 Publications)

Anti-Topoisomerase II alpha antibody [EP1102Y] (ab52934) is a rabbit monoclonal antibody detecting Topoisomerase II alpha in Western Blot, IHC-P. Suitable for Human, Mouse, Rat.

- Biophysical QC for unrivalled batch-batch consistency
- Over 60 publications
- Trusted since 2007

別名を表示する

TOP2, TOP2A, DNA topoisomerase 2-alpha

9 Images
Immunohistochemistry (Formalin/PFA-fixed paraffin-embedded sections) - Anti-Topoisomerase II alpha antibody [EP1102Y] (AB52934)
  • IHC-P

Unknown

Immunohistochemistry (Formalin/PFA-fixed paraffin-embedded sections) - Anti-Topoisomerase II alpha antibody [EP1102Y] (AB52934)

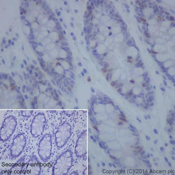
Immunohistochemistry (Formalin/PFA-fixed paraffin-embedded sections) analysis of human colon tissue labelling Topoisomerase II alpha with ab52934 at a dilution of 1/8000. Heat mediated antigen retrieval was performed using Tris/EDTA buffer pH 9. ab97051, a HRP-conjugated goat anti-rabbit IgG (H+L) was used as the secondary antibody (1/500). Negative control using PBS instead of primary antibody. Counterstained with hematoxylin.

Immunohistochemistry (Formalin/PFA-fixed paraffin-embedded sections) - Anti-Topoisomerase II alpha antibody [EP1102Y] (AB52934)
  • IHC-P

Unknown

Immunohistochemistry (Formalin/PFA-fixed paraffin-embedded sections) - Anti-Topoisomerase II alpha antibody [EP1102Y] (AB52934)

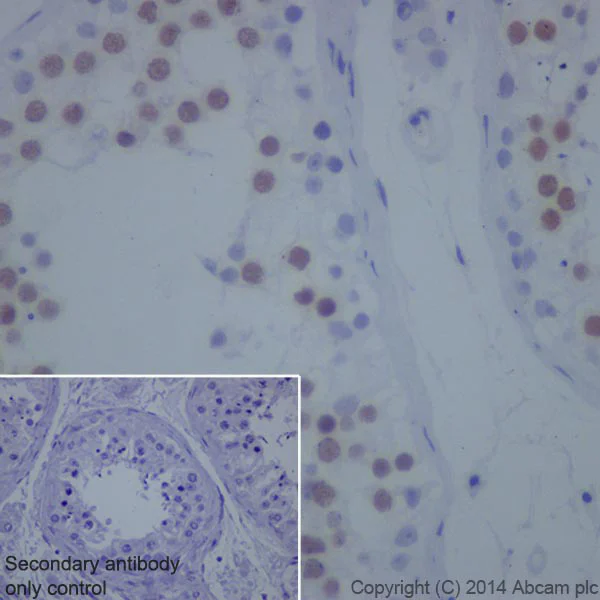
Immunohistochemistry (Formalin/PFA-fixed paraffin-embedded sections) analysis of human testis tissue labelling Topoisomerase II alpha with ab52934 at a dilution of 1/8000. Heat mediated antigen retrieval was performed using Tris/EDTA buffer pH 9. ab97051, a HRP-conjugated goat anti-rabbit IgG (H+L) was used as the secondary antibody (1/500). Negative control using PBS instead of primary antibody. Counterstained with hematoxylin.

Immunohistochemistry (Formalin/PFA-fixed paraffin-embedded sections) - Anti-Topoisomerase II alpha antibody [EP1102Y] (AB52934)
  • IHC-P

Unknown

Immunohistochemistry (Formalin/PFA-fixed paraffin-embedded sections) - Anti-Topoisomerase II alpha antibody [EP1102Y] (AB52934)

Immunohistochemistry (Formalin/PFA-fixed paraffin-embedded sections) analysis of mouse testis tissue labelling Topoisomerase II alpha with ab52934 at a dilution of 1/8000. Heat mediated antigen retrieval was performed using Tris/EDTA buffer pH 9. ab97051, a HRP-conjugated goat anti-rabbit IgG (H+L) was used as the secondary antibody (1/500). Negative control using PBS instead of primary antibody. Counterstained with hematoxylin.

Immunohistochemistry (Formalin/PFA-fixed paraffin-embedded sections) - Anti-Topoisomerase II alpha antibody [EP1102Y] (AB52934)
  • IHC-P

Unknown

Immunohistochemistry (Formalin/PFA-fixed paraffin-embedded sections) - Anti-Topoisomerase II alpha antibody [EP1102Y] (AB52934)

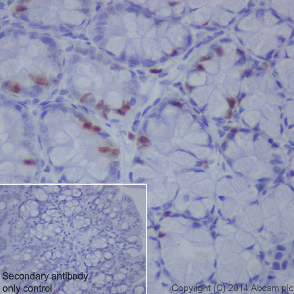
Immunohistochemistry (Formalin/PFA-fixed paraffin-embedded sections) analysis of mouse colon tissue labelling Topoisomerase II alpha with ab52934 at a dilution of 1/8000. Heat mediated antigen retrieval was performed using Tris/EDTA buffer pH 9. ab97051, a HRP-conjugated goat anti-rabbit IgG (H+L) was used as the secondary antibody (1/500). Negative control using PBS instead of primary antibody. Counterstained with hematoxylin.

Immunohistochemistry (Formalin/PFA-fixed paraffin-embedded sections) - Anti-Topoisomerase II alpha antibody [EP1102Y] (AB52934)
  • IHC-P

Unknown

Immunohistochemistry (Formalin/PFA-fixed paraffin-embedded sections) - Anti-Topoisomerase II alpha antibody [EP1102Y] (AB52934)

Immunohistochemistry (Formalin/PFA-fixed paraffin-embedded sections) analysis of rat testis tissue labelling Topoisomerase II alpha with ab52934 at a dilution of 1/8000. Heat mediated antigen retrieval was performed using Tris/EDTA buffer pH 9. ab97051, a HRP-conjugated goat anti-rabbit IgG (H+L) was used as the secondary antibody (1/500). Negative control using PBS instead of primary antibody. Counterstained with hematoxylin.

Immunohistochemistry (Formalin/PFA-fixed paraffin-embedded sections) - Anti-Topoisomerase II alpha antibody [EP1102Y] (AB52934)
  • IHC-P

Unknown

Immunohistochemistry (Formalin/PFA-fixed paraffin-embedded sections) - Anti-Topoisomerase II alpha antibody [EP1102Y] (AB52934)

Immunohistochemistry (Formalin/PFA-fixed paraffin-embedded sections) analysis of rat colon tissue labelling Topoisomerase II alpha with ab52934 at a dilution of 1/8000. Heat mediated antigen retrieval was performed using Tris/EDTA buffer pH 9. ab97051, a HRP-conjugated goat anti-rabbit IgG (H+L) was used as the secondary antibody (1/500). Negative control using PBS instead of primary antibody. Counterstained with hematoxylin.

Western blot - Anti-Topoisomerase II alpha antibody [EP1102Y] (AB52934)
  • WB

Lab

Western blot - Anti-Topoisomerase II alpha antibody [EP1102Y] (AB52934)

Blocking and diluting buffer and concentration : 5% NFDM/TBST.

All lysate were prepared using 1%SDS Hot lysis method.

We recommend to use 1%SDS Hot lysis prepare method to get desired Western Blot results.

All lanes:

Western blot - Anti-Topoisomerase II alpha antibody [EP1102Y] (ab52934) at 1/1000 dilution

Lane 1:

HeLa (Human cervix adenocarcinoma epithelial cell) whole cell lysate prepared in RIPA lysis method at 20 µg

Lane 2:

HeLa (Human cervix adenocarcinoma epithelial cell) whole cell lysate prepared in 1%SDS Hot lysis method 20μg at 20 µg

Secondary

All lanes:

Western blot - Goat Anti-Rabbit IgG H&L (HRP) (<a href='/products/secondary-antibodies/goat-rabbit-igg-h-l-hrp-ab97051'>ab97051</a>) at 1/20000 dilution

Predicted band size: 174 kDa

false

Exposure time: 7s

Western blot - Anti-Topoisomerase II alpha antibody [EP1102Y] (AB52934)
  • WB

Lab

Western blot - Anti-Topoisomerase II alpha antibody [EP1102Y] (AB52934)

Exposure time :

Lanes 1-3 : 1 second.
Lanes 4-7 : 3 minutes.
Lane 8 : 7 seconds.

Blocking and dilution buffer : 5% NFDM/TBST.

All lanes:

Western blot - Anti-Topoisomerase II alpha antibody [EP1102Y] (ab52934) at 1/1000 dilution

Lane 1:

HeLa (human cervix adenocarcinoma) whole cell lysate at 20 µg

Lane 2:

Jurkat (human acute T cell leukemia) whole cell lysate at 20 µg

Lane 3:

Neuro-2a (mouse neuroblastoma) whole cell lysate at 20 µg

Lane 4:

Human breast cancer lysate at 20 µg

Lane 5:

Mouse thymus lysate at 20 µg

Lane 6:

PC-12 (rat adrenal gland pheochromocytoma) whole cell lysate at 20 µg

Lane 7:

Rat thymus lysate at 20 µg

Lane 8:

Rat testis lysate at 20 µg

Secondary

All lanes:

Western blot - Goat Anti-Rabbit IgG H&L (HRP) (<a href='/products/secondary-antibodies/goat-rabbit-igg-h-l-hrp-ab97051'>ab97051</a>) at 1/50000 dilution

Predicted band size: 174 kDa

Observed band size: 174 kDa

false

OI-RD Scanning - Anti-Topoisomerase II alpha antibody [EP1102Y] (AB52934)
  • OI-RD Scanning

Unknown

OI-RD Scanning - Anti-Topoisomerase II alpha antibody [EP1102Y] (AB52934)

We have systematically measured KD (the equilibrium dissociation constant between the antibody and its antigen), of more than 840 recombinant antibodies to assess not only their individual KD values but also to see the average affinity of antibody. Based on the comparison with published literature values for mouse monoclonal antibodies, Recombinant antibodies appear to be on average 1-2 order of magnitude higher affinity.

関連する標識済み抗体及び組成の異なる製品 (1)

  • Carrier free

    Anti-Topoisomerase II alpha antibody [EP1102Y] - BSA and Azide free

Key facts

宿主種

Rabbit

クローン性

Monoclonal

クローン番号

EP1102Y

アイソタイプ

IgG

キャリアフリー

No

交差種

Mouse, Rat, Human

アプリケーション

WB, IHC-P

applications

免疫原

The exact immunogen used to generate this antibody is proprietary information.

特異性

Please be aware that the antibody provided positive results in cell lysate samples but negative results in some tissue lysate samples.

Reactivity data

{ "title": "Reactivity Data", "filters": { "stats": ["", "Species", "Dilution Info", "Notes"], "tabs": { "all-applications": {"fullname" : "All Applications", "shortname": "All Applications"}, "ICCIF" : {"fullname" : "Immunocytochemistry/ Immunofluorescence", "shortname":"ICC/IF"}, "FlowCyt" : {"fullname" : "Flow Cytometry", "shortname":"Flow Cyt"}, "WB" : {"fullname" : "Western blot", "shortname":"WB"}, "IHCP" : {"fullname" : "Immunohistochemistry (Formalin/PFA-fixed paraffin-embedded sections)", "shortname":"IHC-P"} }, "product-promise": { "all": "all", "testedAndGuaranteed": "tested", "guaranteed": "expected", "predicted": "predicted", "notRecommended": "not-recommended" } }, "values": { "Human": { "ICCIF-species-checked": "notRecommended", "ICCIF-species-dilution-info": "", "ICCIF-species-notes": "<p></p>", "FlowCyt-species-checked": "notRecommended", "FlowCyt-species-dilution-info": "", "FlowCyt-species-notes": "<p></p>", "WB-species-checked": "testedAndGuaranteed", "WB-species-dilution-info": "1/10000", "WB-species-notes": "<p></p>", "IHCP-species-checked": "testedAndGuaranteed", "IHCP-species-dilution-info": "", "IHCP-species-notes": "<p></p> Perform heat-mediated antigen retrieval with Tris/EDTA buffer pH 9.0 before commencing with IHC staining protocol." }, "Mouse": { "ICCIF-species-checked": "notRecommended", "ICCIF-species-dilution-info": "", "ICCIF-species-notes": "<p></p>", "FlowCyt-species-checked": "notRecommended", "FlowCyt-species-dilution-info": "", "FlowCyt-species-notes": "<p></p>", "WB-species-checked": "testedAndGuaranteed", "WB-species-dilution-info": "1/10000", "WB-species-notes": "<p></p>", "IHCP-species-checked": "testedAndGuaranteed", "IHCP-species-dilution-info": "", "IHCP-species-notes": "<p></p> Perform heat-mediated antigen retrieval with Tris/EDTA buffer pH 9.0 before commencing with IHC staining protocol." }, "Rat": { "ICCIF-species-checked": "notRecommended", "ICCIF-species-dilution-info": "", "ICCIF-species-notes": "<p></p>", "FlowCyt-species-checked": "notRecommended", "FlowCyt-species-dilution-info": "", "FlowCyt-species-notes": "<p></p>", "WB-species-checked": "testedAndGuaranteed", "WB-species-dilution-info": "1/10000", "WB-species-notes": "<p></p>", "IHCP-species-checked": "testedAndGuaranteed", "IHCP-species-dilution-info": "", "IHCP-species-notes": "<p></p> Perform heat-mediated antigen retrieval with Tris/EDTA buffer pH 9.0 before commencing with IHC staining protocol." } } }

製品の詳細

What is this antibody validated in?
Anti-Topoisomerase II alpha antibody [EP1102Y] (ab52934) is a rabbit recombinant monoclonal antibody and is validated for use in Western Blot (WB), Immunohistochemistry (IHC-P) in Human, Mouse, Rat samples.

What is the molecular weight of Topoisomerase II alpha?
Anti-Topoisomerase II alpha [EP1102Y] (ab52934) specifically detects a band for Topoisomerase II alpha (UniProt: P11388) at a molecular weight of 174kDa.

Trusted by the scientific community
Anti-Topoisomerase II alpha [EP1102Y] (ab52934) was first used in a scientific publication in 2007 and has been cited over 60 times in peer-reviewed journals.

Trial sizes available!
Test your antibody or perform pre-screening before committing to a larger quantity. Sold in 10µl. Discover our selection of trial-size antibodies.

Other related products
We have a range of other formats of antibody clone [EP1102Y] also available for your convenience: ab52934, Carrier free - ab181828

Patented technology
Our RabMAb® technology is a patented hybridoma-based technology for making rabbit monoclonal antibodies. For details on our patents, please refer to RabMAb® patents.

What are the advantages of a recombinant monoclonal antibody?
This product is a recombinant monoclonal antibody, which offers several advantages including:

  • - High batch-to-batch consistency and reproducibility
  • - Improved sensitivity and specificity
  • - Long-term security of supply
  • - Animal-free batch production

For more information, read more on recombinant antibodies.

Shipping conditions update: ambient shipping

This product will be delivered at ambient temperature instead of chilled – this is by design. Extensive stability testing confirmed that our products are suitable for shipment under ambient conditions and maintain expected quality.

Why the change?

It’s part of our commitment to more sustainable packaging solutions, with ambient deliveries using eco-friendly materials such as recyclable cardboard instead of polystyrene.

What you need to know

  • Ambient shipments come with a flyer explaining the below.
  • No ice will be included in ambient shipments, but mixed orders (ambient and cold-chain items) will still arrive with ice packs to protect temperature-sensitive products.
  • Warranty coverage remains fully valid, aligned with our validated shipping method.
  • Please store the product as per the datasheet instructions upon receipt.

Find out more - https://www.abcam.com/en-us/support/shipping-storage-support/ambient-shipping

出荷温度及び保存条件

製品の状態
Liquid
精製方法
Affinity purification Protein A
バッファー組成
pH: 7.2 - 7.4 Preservative: 0.01% Sodium azide Constituents: PBS, 40% Glycerol (glycerin, glycerine), 0.05% BSA
出荷温度
Conditional Ambient
短期保存期間
1-2 weeks
短期保存温度
+4°C
長期保存温度
-20°C
分注に関する情報
Upon delivery aliquot
保管に関する情報
Stable for 12 months at -20°C

補足情報

This supplementary information is collated from multiple sources and compiled automatically.

Topoisomerase II alpha also known as TOP2A is an enzyme that plays a critical role in DNA replication and cell division. It is a homodimeric protein with a mass of around 170 kDa and primarily localizes in the nucleus. TOP2A catalyzes the transient breaking and rejoining of double-stranded DNA necessary for resolving DNA tangles and supercoils during the replication process. TOP2A is highly expressed in proliferating cells due to its role in cell cycle progression making it a significant target in cancer research.
Biological function summary

TOP2A is essential for chromosome condensation segregation and relief of DNA torsional stress during mitosis. It does not function in isolation but interacts with other proteins as part of the larger DNA topoisomerase complex. This complex maintains DNA integrity during cellular processes such as transcription and replication. TOP2A's activity ensures that cells can duplicate their genetic material accurately facilitating proper cell division and maintaining genomic stability.

Pathways

TOP2A plays a significant role in the DNA replication and cell cycle regulation pathways. It interacts closely with proteins like CDC2 (cyclin-dependent kinase 1) and is regulated by cyclins which control the timing of cell cycle progression. Additionally TOP2A is involved in the DNA damage response pathway where it collaborates with proteins such as ATM (ataxia-telangiectasia mutated) emphasizing its importance in maintaining DNA structure during replication stress.

Overexpression of TOP2A is frequently associated with various cancers including breast and prostate cancer. The enzyme's increased activity promotes uncontrolled cell proliferation a hallmark of cancer development. Antitopoisomerase drugs which target this pathway are used in cancer treatments to inhibit TOP2A activity. Additionally mutations or dysregulation of TOP2A-related pathways may also contribute to chemoresistance. Understanding TOP2A interactions and regulation provides insight into its role in cancer and opens avenues for targeted therapeutic interventions.

製品プロトコール

For this product, it's our understanding that no specific protocols are required. You can visit:

ターゲットの情報

Key decatenating enzyme that alters DNA topology by binding to two double-stranded DNA molecules, generating a double-stranded break in one of the strands, passing the intact strand through the broken strand, and religating the broken strand (PubMed : 17567603, PubMed : 18790802, PubMed : 22013166, PubMed : 22323612). May play a role in regulating the period length of BMAL1 transcriptional oscillation (By similarity).
See full target information TOP2A

文献 (78)

Recent publications for all applications. Explore the full list and refine your search

Epigenetics & chromatin 18:58 PubMed40855509

2025

The isoflavone genistein selectively stimulates major satellite repeat transcription in mouse heterochromatin.

Applications

Unspecified application

Species

Unspecified reactive species

Thomas Fuhrmann,Nicholas Shukeir,Reagan W Ching,Galina Erikson,Yuan Dou,Zoe Sawitzki,Megumi Onishi-Seebacher,Carmen Galan,Thomas Jenuwein

Frontiers in cell and developmental biology 12:1394531 PubMed39228401

2024

Tyrosyl-DNA phosphodiesterase 2 (Tdp2) repairs DNA-protein crosslinks and protects against double strand breaks .

Applications

Unspecified application

Species

Unspecified reactive species

Ivan Anticevic,Cecile Otten,Marta Popovic

The EMBO journal 43:4492-4521 PubMed39192032

2024

A cell state-specific metabolic vulnerability to GPX4-dependent ferroptosis in glioblastoma.

Applications

Unspecified application

Species

Unspecified reactive species

Matei A Banu,Athanassios Dovas,Michael G Argenziano,Wenting Zhao,Colin P Sperring,Henar Cuervo Grajal,Zhouzerui Liu,Dominique Mo Higgins,Misha Amini,Brianna Pereira,Ling F Ye,Aayushi Mahajan,Nelson Humala,Julia L Furnari,Pavan S Upadhyayula,Fereshteh Zandkarimi,Trang Tt Nguyen,Damian Teasley,Peter B Wu,Li Hai,Charles Karan,Tyrone Dowdy,Aida Razavilar,Markus D Siegelin,Jan Kitajewski,Mioara Larion,Jeffrey N Bruce,Brent R Stockwell,Peter A Sims,Peter Canoll

Dental research and oral health 7:58-65 PubMed38957610

2024

Effects of Topoisomerase II alpha Inhibition on Oral Cancer Cell Metabolism and Cancer Stem Cell Function.

Applications

Unspecified application

Species

Unspecified reactive species

Thanigaivelan Kanagasabai,Mariam Hawaz,Kayla Ellis,Orlyne Fah,Helana Mikhaeil,Philip Nguyen,Nathalie Tombo,Anil Shanker,Chethan Sampath,Zaid H Khoury,James Cade,Alexys Ferguson,Pandu Gangula

Immunology 172:469-485 PubMed38544333

2024

The dysfunction of CD8 T cells triggered by endometriotic stromal cells promotes the immune survival of endometriosis.

Applications

Unspecified application

Species

Unspecified reactive species

Zhi-Xiong Huang,Dian-Chao Lin,Hua-Ying Zhang,Meng-Jie Yang,Jia-Hao Chen,Xin-Yu Ding,Song-Juan Dai,Yi-Huang Hong,Gui-Shuang Liang,Qi-Yuan Li,Qiong-Hua Chen

Cell division 19:6 PubMed38374109

2024

Anti-cancer effects of Coix seed extract through KCTD9-mediated ubiquitination of TOP2A in lung adenocarcinoma.

Applications

Unspecified application

Species

Unspecified reactive species

Jiuyang Jiang,Xue Li,Chun Zhang,Jiafu Wang,Jin Li

Cancer medicine 13:e6875 PubMed38205938

2024

HPV16 E6 promoting cervical cancer progression through down-regulation of miR-320a to increase TOP2A expression.

Applications

Unspecified application

Species

Unspecified reactive species

Jianing Zhang,Xiaohui Yu,Yi Guo,Daqing Wang

Science advances 9:eadi6681 PubMed38055811

2023

RAD54L2-mediated DNA damage avoidance pathway specifically preserves genome integrity in response to topoisomerase 2 poisons.

Applications

Unspecified application

Species

Unspecified reactive species

Huimin Zhang,Yun Xiong,Yilun Sun,Jeong-Min Park,Dan Su,Xu Feng,Sarah Keast,Mengfan Tang,Min Huang,Chao Wang,Mrinal Srivastava,Chang Yang,Dandan Zhu,Zhen Chen,Siting Li,Ling Yin,Yves Pommier,Junjie Chen

Aging 15:13010-13040 PubMed37980167

2023

Identification of topoisomerase 2A as a novel bone metastasis-related gene in liver hepatocellular carcinoma.

Applications

Unspecified application

Species

Unspecified reactive species

Jinyan Feng,Xianfu Wei,Yongheng Liu,Yanting Zhang,Guanghao Li,Yao Xu,Peng Zhou,Jin Zhang,Xiuxin Han,Chao Zhang,Yan Zhang,Guowen Wang

Developmental cell 58:2666-2683.e9 PubMed37875116

2023

The anaphase-promoting complex controls a ubiquitination-phosphoprotein axis in chromatin during neurodevelopment.

Applications

Unspecified application

Species

Unspecified reactive species

Leya Ledvin,Brandon M Gassaway,Jonathan Tawil,Olivia Urso,Donald Pizzo,Kaeli A Welsh,Derek L Bolhuis,Daniel Fisher,Azad Bonni,Steven P Gygi,Nicholas G Brown,Cole J Ferguson
View all publications

Abcam product promise

当社は、高品質な試薬を通じてお客様の研究を力強くサポートすることをお約束いたします。ご使用いただく各段階で、常にお客様をサポートできる体制を整えております。万が一、製品が期待通りに機能しない場合は、「Abcam Product Promise」による当社保証制度に基づき、安心してご利用いただけます。
保証に関する詳細については利用規約をご確認ください。

Please note: All products are 'FOR RESEARCH USE ONLY. NOT FOR USE IN DIAGNOSTIC OR THERAPEUTIC PROCEDURES'.

For licensing inquiries, please contact partnerships@abcam.com