JavaScript is disabled in your browser. Please enable JavaScript to view this website.
AB316747

Anti-TopBP1 (phospho S1138) 抗体 [EPR27056-2] - BSA and Azide free

Anti-TopBP1 (phospho S1138) antibody [EPR27056-2] - BSA and Azide free

Be the first to review this product! Submit a review

|

(0 Publication)

Rabbit Recombinant Monoclonal TopBP1 phospho S1138 antibody. Carrier free. Suitable for WB, Dot and reacts with Transfected cell lysate - Human, Human, Synthetic peptide - Human samples.

別名を表示する

KIAA0259, TOPBP1, DNA topoisomerase 2-binding protein 1, DNA topoisomerase II-beta-binding protein 1, DNA topoisomerase II-binding protein 1, TopBP1

3 Images
Western blot - Anti-TopBP1 (phospho S1138) antibody [EPR27056-2] - BSA and Azide free (AB316747)
  • WB

Supplier Data

Western blot - Anti-TopBP1 (phospho S1138) antibody [EPR27056-2] - BSA and Azide free (AB316747)

This data was developed using ab316746, the same antibody clone in a different buffer formulation.

The expression of TOPBP1 S1138 is upregulated in response to hydroxyurea treatment (PMID : 17446169).

Lysates were freshly made and used for Western blotting immediately to minimize protein degradation.

In Western blot, Anti-Histone H3 antibody [EPR16987] - Nuclear Marker and ChIP Grade (ab176842) staining at 1/100000 dilution.

In Western blot, Anti-TOPBP1 antibody staining at 1/1000 dilution.

All lanes:

Western blot - Anti-TopBP1 (phospho S1138) antibody [EPR27056-2] (<a href='/products/primary-antibodies/topbp1-phospho-s1138-antibody-epr27056-2-ab316746'>ab316746</a>) at 1/1000 dilution

Lane 1:

Untreated U-2 OS (human bone osteosarcoma epithelial cell) whole cell lysate (untreated membrane) at 30 µg

Lane 2:

U-2 OS treated with 2mM hydroxyurea for 24h whole cell lysate (untreated membrane) at 30 µg

Lane 3:

U-2 OS treated with 2mM hydroxyurea for 24h whole cell lysate (alkaline phosphatase treated membrane) at 30 µg

Secondary

All lanes:

Western blot - Goat Anti-Rabbit IgG H&L (HRP) (<a href='/products/secondary-antibodies/goat-rabbit-igg-h-l-hrp-ab97051'>ab97051</a>) at 1/20000 dilution

Observed band size: 170 kDa,15 kDa

false

Exposure time: 92s

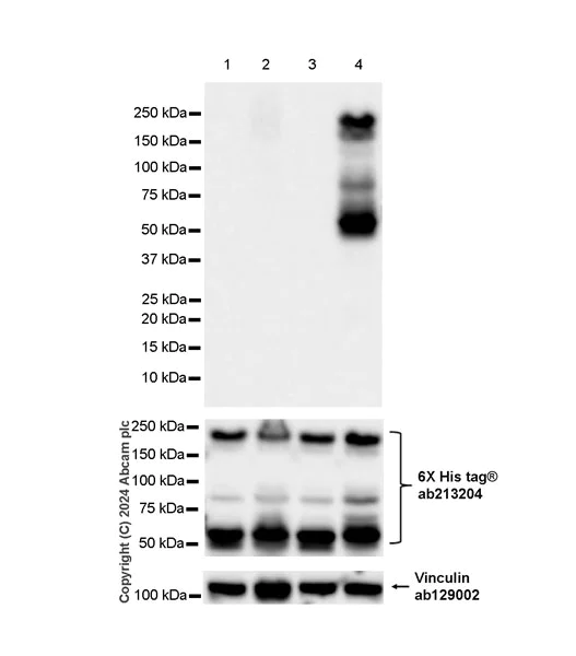
Western blot - Anti-TopBP1 (phospho S1138) antibody [EPR27056-2] - BSA and Azide free (AB316747)
  • WB

Supplier Data

Western blot - Anti-TopBP1 (phospho S1138) antibody [EPR27056-2] - BSA and Azide free (AB316747)

This data was developed using ab316746, the same antibody clone in a different buffer formulation.

Lysates were freshly made and used for Western blotting immediately to minimize protein degradation.

In Western blot, Anti-Vinculin antibody [EPR8185] (ab129002) staining at 1/10000 dilution.

In Western blot, Anti-6X His tag antibody [EPR20547]-CHIP Grade (ab213204) staining at 1/5000 dilution.

All lanes:

Western blot - Anti-TopBP1 (phospho S1138) antibody [EPR27056-2] (<a href='/products/primary-antibodies/topbp1-phospho-s1138-antibody-epr27056-2-ab316746'>ab316746</a>) at 1/1000 dilution

Lane 1:

Untreated 293T cells transfected with a human TOPBP1 (S1138A) expression vector containing a His-tag, whole cell lysate at 20 µg

Lane 2:

293T cells transfected with a human TOPBP1 (S1138A) expression vector containing a His-tag, treated with 100nM Calyculin A for 30 min whole cell lysate at 20 µg

Lane 3:

Untreated 293T cells transfected with a human wild-type TOPBP1 expression vector containing a His-tag, whole cell lysate at 20 µg

Lane 4:

293T cells transfected with a human wild-type TOPBP1 expression vector containing a His-tag, treated with 100nM Calyculin A for 30 min whole cell lysate at 20 µg

Secondary

All lanes:

Western blot - Goat Anti-Rabbit IgG H&L (HRP) (<a href='/products/secondary-antibodies/goat-rabbit-igg-h-l-hrp-ab97051'>ab97051</a>) at 1/100000 dilution

Observed band size: 55 kDa,75 kDa,170 kDa,124 kDa,50 kDa

false

Exposure time: 10s

Dot Blot - Anti-TopBP1 (phospho S1138) antibody [EPR27056-2] - BSA and Azide free (AB316747)
  • Dot

Supplier Data

Dot Blot - Anti-TopBP1 (phospho S1138) antibody [EPR27056-2] - BSA and Azide free (AB316747)

This data was developed using ab316746, the same antibody clone in a different buffer formulation.

Dot blot analysis of TopBP1 (phospho S1138) using ab316746 at 1 : 1000 (0.53 ug/ml) followed by a Goat Anti-Rabbit IgG, (H+L), Peroxidase conjugated (ab97051) at 1 : 100,000 dilution.

Blocking and diluting buffer and concentration : 5% NFDM/TBST.

All lanes:

Dot Blot - Anti-TopBP1 (phospho S1138) antibody [EPR27056-2] (<a href='/products/primary-antibodies/topbp1-phospho-s1138-antibody-epr27056-2-ab316746'>ab316746</a>) at 1/1000 dilution

Lane 1:

TopBP1 (Phospho S1138) peptide a

Lane 2:

TopBP1 (Phospho S1138) peptide b

Lane 3:

TopBP1 non-phospho peptide

Secondary

All lanes:

Dot Blot - Goat Anti-Rabbit IgG H&L (HRP) (<a href='/products/secondary-antibodies/goat-rabbit-igg-h-l-hrp-ab97051'>ab97051</a>) at 1/100000 dilution

false

Exposure time: 180s

関連する標識済み抗体及び組成の異なる製品 (1)

  • Unconjugated

    Anti-TopBP1 (phospho S1138) antibody [EPR27056-2]

Key facts

宿主種

Rabbit

クローン性

Monoclonal

クローン番号

EPR27056-2

アイソタイプ

IgG

キャリアフリー

Yes

交差種

Human

アプリケーション

Dot, WB

applications

免疫原

The exact immunogen used to generate this antibody is proprietary information.

Reactivity data

{ "title": "Reactivity Data", "filters": { "stats": ["", "Species", "Dilution Info", "Notes"], "tabs": { "all-applications": {"fullname" : "All Applications", "shortname": "All Applications"}, "WB" : {"fullname" : "Western blot", "shortname":"WB"}, "Dot" : {"fullname" : "Dot Blot", "shortname":"Dot"}, "IHCP" : {"fullname" : "Immunohistochemistry (Formalin/PFA-fixed paraffin-embedded sections)", "shortname":"IHC-P"}, "ICCIF" : {"fullname" : "Immunocytochemistry/ Immunofluorescence", "shortname":"ICC/IF"}, "IP" : {"fullname" : "Immunoprecipitation", "shortname":"IP"}, "FlowCytIntra" : {"fullname" : "Flow Cytometry (Intracellular)", "shortname":"Flow Cyt (Intra)"} }, "product-promise": { "all": "all", "testedAndGuaranteed": "tested", "guaranteed": "expected", "predicted": "predicted", "notRecommended": "not-recommended" } }, "values": { "Human": { "WB-species-checked": "testedAndGuaranteed", "WB-species-dilution-info": "", "WB-species-notes": "<p></p>", "Dot-species-checked": "guaranteed", "Dot-species-dilution-info": "", "Dot-species-notes": "", "IHCP-species-checked": "notRecommended", "IHCP-species-dilution-info": "", "IHCP-species-notes": "<p></p>", "ICCIF-species-checked": "notRecommended", "ICCIF-species-dilution-info": "", "ICCIF-species-notes": "<p></p>", "IP-species-checked": "notRecommended", "IP-species-dilution-info": "", "IP-species-notes": "<p></p>", "FlowCytIntra-species-checked": "notRecommended", "FlowCytIntra-species-dilution-info": "", "FlowCytIntra-species-notes": "<p></p>" }, "Mouse": { "WB-species-checked": "notRecommended", "WB-species-dilution-info": "", "WB-species-notes": "<p></p>", "Dot-species-checked": "notRecommended", "Dot-species-dilution-info": "", "Dot-species-notes": "", "IHCP-species-checked": "notRecommended", "IHCP-species-dilution-info": "", "IHCP-species-notes": "<p></p>", "ICCIF-species-checked": "notRecommended", "ICCIF-species-dilution-info": "", "ICCIF-species-notes": "", "IP-species-checked": "notRecommended", "IP-species-dilution-info": "", "IP-species-notes": "", "FlowCytIntra-species-checked": "notRecommended", "FlowCytIntra-species-dilution-info": "", "FlowCytIntra-species-notes": "" }, "Rat": { "WB-species-checked": "notRecommended", "WB-species-dilution-info": "", "WB-species-notes": "<p></p>", "Dot-species-checked": "notRecommended", "Dot-species-dilution-info": "", "Dot-species-notes": "", "IHCP-species-checked": "notRecommended", "IHCP-species-dilution-info": "", "IHCP-species-notes": "<p></p>", "ICCIF-species-checked": "notRecommended", "ICCIF-species-dilution-info": "", "ICCIF-species-notes": "", "IP-species-checked": "notRecommended", "IP-species-dilution-info": "", "IP-species-notes": "", "FlowCytIntra-species-checked": "notRecommended", "FlowCytIntra-species-dilution-info": "", "FlowCytIntra-species-notes": "" }, "Synthetic peptide - Human": { "WB-species-checked": "notRecommended", "WB-species-dilution-info": "", "WB-species-notes": "", "Dot-species-checked": "testedAndGuaranteed", "Dot-species-dilution-info": "", "Dot-species-notes": "<p></p>", "IHCP-species-checked": "notRecommended", "IHCP-species-dilution-info": "", "IHCP-species-notes": "", "ICCIF-species-checked": "notRecommended", "ICCIF-species-dilution-info": "", "ICCIF-species-notes": "", "IP-species-checked": "notRecommended", "IP-species-dilution-info": "", "IP-species-notes": "", "FlowCytIntra-species-checked": "notRecommended", "FlowCytIntra-species-dilution-info": "", "FlowCytIntra-species-notes": "" }, "Transfected cell lysate - Human": { "WB-species-checked": "testedAndGuaranteed", "WB-species-dilution-info": "", "WB-species-notes": "<p></p>", "Dot-species-checked": "notRecommended", "Dot-species-dilution-info": "", "Dot-species-notes": "", "IHCP-species-checked": "notRecommended", "IHCP-species-dilution-info": "", "IHCP-species-notes": "", "ICCIF-species-checked": "notRecommended", "ICCIF-species-dilution-info": "", "ICCIF-species-notes": "", "IP-species-checked": "notRecommended", "IP-species-dilution-info": "", "IP-species-notes": "", "FlowCytIntra-species-checked": "notRecommended", "FlowCytIntra-species-dilution-info": "", "FlowCytIntra-species-notes": "" } } }

製品の詳細

ab316747 is the carrirer-free version of ab316746.

Patented technology
Our RabMAb® technology is a patented hybridoma-based technology for making rabbit monoclonal antibodies. For details on our patents, please refer to RabMAb® patents.

What are the advantages of a recombinant monoclonal antibody?
This product is a recombinant monoclonal antibody, which offers several advantages including:

  • - High batch-to-batch consistency and reproducibility
  • - Improved sensitivity and specificity
  • - Long-term security of supply
  • - Animal-free batch production

For more information, read more on recombinant antibodies.

Conjugation ready
Our carrier-free antibodies are typically supplied in a PBS-only formulation, purified and free of BSA, sodium azide and glycerol. This conjugation-ready format is designed for use with fluorochromes, metal isotopes, oligonucleotides, and enzymes, which makes them ideal for antibody labelling, functional and cell-based assays, flow-based assays (e.g. mass cytometry) and Multiplex Imaging applications.

Use our conjugation kits for antibody conjugates that are ready-to-use in as little as 20 minutes with 1 minute hands-on-time and 100% antibody recovery: available for fluorescent dyes, HRP, biotin and gold.

Compatibility
This product is compatible with the Maxpar® Antibody Labeling Kit from Fluidigm, without the need for antibody preparation. Maxpar® is a trademark of Fluidigm Canada Inc.

出荷温度及び保存条件

製品の状態
Liquid
精製方法
Affinity purification Protein A
バッファー組成
pH: 7.2 - 7.4 Constituents: PBS
出荷温度
Blue Ice
短期保存温度
+4°C
長期保存温度
+4°C

補足情報

This supplementary information is collated from multiple sources and compiled automatically.

TopBP1 also known as Topoisomerase II Binding Protein 1 is an important regulator in DNA replication and repair processes. This protein has an approximate mass of 180 kDa. It is expressed in various tissues with significant levels in rapidly dividing cells. TopBP1 functions mechanically by interacting with components of the DNA damage response machinery. It binds to double-strand breaks and activates ATR (Ataxia Telangiectasia and Rad3-related protein) signaling which is essential for maintaining genome stability under stress conditions.
Biological function summary

The activities of TopBP1 involve coordination of replication checkpoints and safeguarding the integrity of the replication fork. TopBP1 operates as part of a larger protein complex that senses DNA damage and initiates repair processes. It facilitates the recruitment of other repair proteins to sites of damage ensuring that replication proceeds only when the DNA is adequately repaired. It functions closely with proteins like RAD9 RAD1 and HUS1 which sense DNA damage and engage repair pathways.

Pathways

TopBP1 plays an important role in the DNA damage response and cell cycle regulation pathways. The protein is primarily involved in the ATR-Chk1 pathway and plays a significant role in the replication stress response. Within these pathways TopBP1 associates with proteins like ATR and Chk1 to coordinate cell cycle arrest and DNA repair linking replication and repair functions to maintain cell stability. It also interacts with the MRN complex (MRE11 RAD50 and NBS1) which is critical for responding to double-strand breaks.

The malfunction of TopBP1 has implications for cancer development and progression. Deficiencies or mutations in TopBP1 may result in impaired DNA repair leading to genome instability a condition frequently observed in cancerous cells. TopBP1 interacts with other tumor suppressors such as p53 to regulate cell cycle checkpoints and prevent the accumulation of mutations. Aberrations in TopBP1 function can also contribute to the pathology of developmental disorders as its interactions with proteins involved in genome maintenance are important for normal cellular function.

製品プロトコール

For this product, it's our understanding that no specific protocols are required. You can visit:

ターゲットの情報

Scaffold protein that acts as a key protein-protein adapter in DNA replication and DNA repair (PubMed : 10498869, PubMed : 11395493, PubMed : 11714696, PubMed : 17575048, PubMed : 20545769, PubMed : 21777809, PubMed : 26811421, PubMed : 30898438, PubMed : 31135337, PubMed : 33592542, PubMed : 35597237, PubMed : 37674080). Composed of multiple BRCT domains, which specifically recognize and bind phosphorylated proteins, bringing proteins together into functional combinations (PubMed : 17575048, PubMed : 20545769, PubMed : 21777809, PubMed : 26811421, PubMed : 30898438, PubMed : 31135337, PubMed : 35597237, PubMed : 37674080). Required for DNA replication initiation but not for the formation of pre-replicative complexes or the elongation stages (By similarity). Necessary for the loading of replication factors onto chromatin, including GMNC, CDC45, DNA polymerases and components of the GINS complex (By similarity). Plays a central role in DNA repair by bridging proteins and promoting recruitment of proteins to DNA damage sites (PubMed : 30898438, PubMed : 35597237, PubMed : 37674080). Involved in double-strand break (DSB) repair via homologous recombination in S-phase by promoting the exchange between the DNA replication factor A (RPA) complex and RAD51 (PubMed : 26811421, PubMed : 35597237). Mechanistically, TOPBP1 is recruited to DNA damage sites in S-phase via interaction with phosphorylated HTATSF1, and promotes the loading of RAD51, thereby facilitating RAD51 nucleofilaments formation and RPA displacement, followed by homologous recombination (PubMed : 35597237). Involved in microhomology-mediated end-joining (MMEJ) DNA repair by promoting recruitment of polymerase theta (POLQ) to DNA damage sites during mitosis (PubMed : 37674080). MMEJ is an alternative non-homologous end-joining (NHEJ) machinery that takes place during mitosis to repair DSBs in DNA that originate in S-phase (PubMed : 37674080). Recognizes and binds POLQ phosphorylated by PLK1, enabling its recruitment to DSBs for subsequent repair (PubMed : 37674080). Involved in G1 DNA damage checkpoint by acting as a molecular adapter that couples TP53BP1 and the 9-1-1 complex (PubMed : 31135337). In response to DNA damage, triggers the recruitment of checkpoint signaling proteins on chromatin, which activate the CHEK1 signaling pathway and block S-phase progression (PubMed : 16530042, PubMed : 21777809). Acts as an activator of the kinase activity of ATR (PubMed : 16530042, PubMed : 21777809). Also required for chromosomal stability when DSBs occur during mitosis by forming filamentous assemblies that bridge MDC1 and tether broken chromosomes during mitosis (PubMed : 30898438). Together with CIP2A, plays an essential role in the response to genome instability generated by the presence of acentric chromosome fragments derived from shattered chromosomes within micronuclei (PubMed : 35121901, PubMed : 35842428, PubMed : 37165191, PubMed : 37316668). Micronuclei, which are frequently found in cancer cells, consist of chromatin surrounded by their own nuclear membrane : following breakdown of the micronuclear envelope, a process associated with chromothripsis, the CIP2A-TOPBP1 complex tethers chromosome fragments during mitosis to ensure clustered segregation of the fragments to a single daughter cell nucleus, facilitating re-ligation with limited chromosome scattering and loss (PubMed : 37165191, PubMed : 37316668). Recruits the SWI/SNF chromatin remodeling complex to E2F1-responsive promoters, thereby down-regulating E2F1 activity and inhibiting E2F1-dependent apoptosis during G1/S transition and after DNA damage (PubMed : 12697828, PubMed : 15075294).
See full target information TOPBP1 phospho S1138

Abcam product promise

当社は、高品質な試薬を通じてお客様の研究を力強くサポートすることをお約束いたします。ご使用いただく各段階で、常にお客様をサポートできる体制を整えております。万が一、製品が期待通りに機能しない場合は、「Abcam Product Promise」による当社保証制度に基づき、安心してご利用いただけます。
保証に関する詳細については利用規約をご確認ください。

Please note: All products are 'FOR RESEARCH USE ONLY. NOT FOR USE IN DIAGNOSTIC OR THERAPEUTIC PROCEDURES'.

For licensing inquiries, please contact partnerships@abcam.com