JavaScript is disabled in your browser. Please enable JavaScript to view this website.
AB186735

Anti-TOMM20 抗体 [EPR15581-54] - Mitochondrial Marker

Anti-TOMM20 antibody [EPR15581-54] - Mitochondrial Marker

5

(13 Reviews)

|

(326 Publications)

Anti-TOMM20 antibody [EPR15581-54] - Mitochondrial Marker (ab186735) is a rabbit monoclonal antibody detecting TOMM20 in Western Blot, Flow Cytometry (Intra), Flow Cytometry, IHC-P, IHC-Fr, ICC/IF. Suitable for Human, Mouse, Rat.

- Biophysical QC for unrivalled batch-batch consistency
- Over 160 publications

別名を表示する

KIAA0016, TOMM20, Mitochondrial import receptor subunit TOM20 homolog, Mitochondrial 20 kDa outer membrane protein, Outer mitochondrial membrane receptor Tom20

24 Images
Western blot - Anti-TOMM20 antibody [EPR15581-54] - Mitochondrial Marker (AB186735)
  • WB

Supplier Data

Western blot - Anti-TOMM20 antibody [EPR15581-54] - Mitochondrial Marker (AB186735)

All lanes:

Western blot - Anti-TOMM20 antibody [EPR15581-54] - Mitochondrial Marker (ab186735) at 1/2000 dilution

Lane 1:

PC-12 (rat adrenal gland pheochromocytoma cell line) cell lysate at 10 µg

Lane 2:

NIH/3T3 (mouse embyro fibroblast cell line) cell lysate at 10 µg

Secondary

All lanes:

Goat Anti-Rabbit IgG, (H+L), Peroxidase conjugate at 1/1000 dilution

Predicted band size: 16 kDa

Observed band size: 16 kDa

false

Immunocytochemistry/ Immunofluorescence - Anti-TOMM20 antibody [EPR15581-54] - Mitochondrial Marker (AB186735)
  • ICC/IF

Lab

Immunocytochemistry/ Immunofluorescence - Anti-TOMM20 antibody [EPR15581-54] - Mitochondrial Marker (AB186735)

ab14734 staining VDAC1 in HEK293 (positive) and HEK293-VDAC1 KO (negative) cells. The cells were fixed with 100% methanol (5 min), permeabilized with 0.1% PBS-Tween for 5 minutes and then blocked with 1% BSA/10% normal goat serum/0.3M glycine in 0.1%PBS-Tween for 1h. The cells were then incubated for 2 hours at room temperature with ab14734 at 1µg/ml (shown in green) and ab186735, anti-TOMM20 antibody [EPR15581-54] - Mitochondrial Marker (shown in magenta) and ab323238, anti-Vimentin antibody [EPR3776] - Cytoskeleton Marker – Chicken IgY Chimeric (shown in yellow) . Cells were then incubated with ab150117, Goat Anti-Mouse IgG H&L (Alexa Fluor® 488) preadsorbed at 1/1000 dilution; ab150084, Goat Anti-Rabbit IgG H&L (Alexa Fluor® 594) preadsorbed at 1/1000 dilution; and ab150175, Goat Anti-Chicken IgY H&L (Alexa Fluor® 647) preadsorbed, at 1/1000 dilution. Nuclear DNA was labelled with DAPI (shown in blue). Image was acquired with a high-content analyser (Operetta CLS, Perkin Elmer) and a maximum intensity projection of confocal sections is shown.

Immunocytochemistry/ Immunofluorescence - Anti-TOMM20 antibody [EPR15581-54] - Mitochondrial Marker (AB186735)
  • ICC/IF

AbReview61880****

Immunocytochemistry/ Immunofluorescence - Anti-TOMM20 antibody [EPR15581-54] - Mitochondrial Marker (AB186735)

Paraformaldehyde-fixed, 0.2% Triton X-100 permeabilized human non-small cell lung carcinoma cells labeleing TOMM20 using ab186735 at 1/400 dilution for 3 hours at room temperature. A Goat anti-Rabbit IgG (H&L) AlexaFluor® was used as secondary antibody at 1/1000 dilution.

Flow Cytometry (Intracellular) - Anti-TOMM20 antibody [EPR15581-54] - Mitochondrial Marker (AB186735)
  • Flow Cyt (Intra)

Supplier Data

Flow Cytometry (Intracellular) - Anti-TOMM20 antibody [EPR15581-54] - Mitochondrial Marker (AB186735)

Intracellular Flow Cytometry analysis of TOMM20 expression in paraformaldehyde-fixed HeLa (human epithelial cell line from cervix adenocarcinoma) cells cells using ab186735 at 1/90 dilution (red) and a rabbit IgG as negative control (green).

Immunocytochemistry/ Immunofluorescence - Anti-TOMM20 antibody [EPR15581-54] - Mitochondrial Marker (AB186735)
  • ICC/IF

Lab

Immunocytochemistry/ Immunofluorescence - Anti-TOMM20 antibody [EPR15581-54] - Mitochondrial Marker (AB186735)

ab186735 staining TOMM20 in HeLa (human epithelial cell line from cervix adenocarcinoma) cells by ICC/IF (Immunocytochemistry/immunofluorescence). Cells were fixed with 4% Paraformaldehyde and permeabilized with 0.1% Triton X-100. Samples were incubated with primary antibody at a dilution of 1/500. A goat anti rabbit IgG (Alexa Fluor® 488) (ab150077) was used as the secondary antibody at a dilution of 1/1000. DAPI was used as a nuclear counterstain.

Control : PBS only

Immunocytochemistry/ Immunofluorescence - Anti-TOMM20 antibody [EPR15581-54] - Mitochondrial Marker (AB186735)
  • ICC/IF

Supplier Data

Immunocytochemistry/ Immunofluorescence - Anti-TOMM20 antibody [EPR15581-54] - Mitochondrial Marker (AB186735)

Immunofluorescence analysis of paraformaldehyde-fixed HeLa (human epithelial cell line from cervix adenocarcinoma) cells, labeling TOMM20 (green) with ab186735 at 1/250 dilution. Alexa Fluor®488-conjugated goat anti-rabbit IgG was used as a secondary antibody at 1/200 dilution. Nuclei were counterstained with DAPI (blue).

Immunohistochemistry (Formalin/PFA-fixed paraffin-embedded sections) - Anti-TOMM20 antibody [EPR15581-54] - Mitochondrial Marker (AB186735)
  • IHC-P

Supplier Data

Immunohistochemistry (Formalin/PFA-fixed paraffin-embedded sections) - Anti-TOMM20 antibody [EPR15581-54] - Mitochondrial Marker (AB186735)

Immunohistochemical analysis of paraffin-embedded Human ovarian carcinoma tissue labeling TOMM20 with ab186735 at 1/100 dilution followed by prediluted HRP Polymer for Rabbit IgG. Counter stained with Hematoxylin.

Perform heat mediated antigen retrieval with EDTA buffer pH 9 before commencing with IHC staining protocol.

Immunohistochemistry (Formalin/PFA-fixed paraffin-embedded sections) - Anti-TOMM20 antibody [EPR15581-54] - Mitochondrial Marker (AB186735)
  • IHC-P

Supplier Data

Immunohistochemistry (Formalin/PFA-fixed paraffin-embedded sections) - Anti-TOMM20 antibody [EPR15581-54] - Mitochondrial Marker (AB186735)

Immunohistochemical analysis of paraffin-embedded mouse cardiac muscle tissue labeling TOMM20 with ab186735 at 1/100 dilution followed by prediluted HRP Polymer for Rabbit IgG. Counter stained with Hematoxylin.

Perform heat mediated antigen retrieval with EDTA buffer pH 9 before commencing with IHC staining protocol.

Immunohistochemistry (Frozen sections) - Anti-TOMM20 antibody [EPR15581-54] - Mitochondrial Marker (AB186735)
  • IHC-Fr

Unknown

Immunohistochemistry (Frozen sections) - Anti-TOMM20 antibody [EPR15581-54] - Mitochondrial Marker (AB186735)

Immunohistochemistry (Frozen sections) analysis of mouse cardiac muscle tissue sections labeling TOMM20 with Purified ab186735 at 1/50 (1.9 µg/ml).Heat mediated antigen retrieval using sodium citrate buffer (10mM citrate pH 6.0 + 0.05% Tween-20). Goat anti rabbit IgG (Alexa Fluor® 488, ab150077) was used as the secondary antibody. Negative control : PBS instead of the primary antibody. DAPI was used as a counterstain.

Immunohistochemistry (Frozen sections) - Anti-TOMM20 antibody [EPR15581-54] - Mitochondrial Marker (AB186735)
  • IHC-Fr

Unknown

Immunohistochemistry (Frozen sections) - Anti-TOMM20 antibody [EPR15581-54] - Mitochondrial Marker (AB186735)

Immunohistochemistry (Frozen sections) analysis of mouse small intestine tissue sections labeling TOMM20 with Purified ab186735 at 1/50 (1.9 µg/ml).Heat mediated antigen retrieval using sodium citrate buffer (10mM citrate pH 6.0 + 0.05% Tween-20). Goat anti rabbit IgG (Alexa Fluor® 488, ab150077) was used as the secondary antibody. Negative control : PBS instead of the primary antibody. DAPI was used as a counterstain.

Immunohistochemistry (Frozen sections) - Anti-TOMM20 antibody [EPR15581-54] - Mitochondrial Marker (AB186735)
  • IHC-Fr

Unknown

Immunohistochemistry (Frozen sections) - Anti-TOMM20 antibody [EPR15581-54] - Mitochondrial Marker (AB186735)

Immunohistochemistry (Frozen sections) analysis of rat small intestine tissue sections labeling TOMM20 with Purified ab186735 at 1/50 (1.9 µg/ml).Heat mediated antigen retrieval using sodium citrate buffer (10mM citrate pH 6.0 + 0.05% Tween-20). Goat anti rabbit IgG (Alexa Fluor® 488, ab150077) was used as the secondary antibody. Negative control : PBS instead of the primary antibody. DAPI was used as a counterstain.

Western blot - Anti-TOMM20 antibody [EPR15581-54] - Mitochondrial Marker (AB186735)
  • WB

Supplier Data

Western blot - Anti-TOMM20 antibody [EPR15581-54] - Mitochondrial Marker (AB186735)

Blocking and diluting buffer and concentration : 5% NFDM/TBST.

The identity of the higher MW bands above 75 kDa are unknow.

In Western blot, Anti-GAPDH antibody [EPR16891] - Loading Control (ab181602) staining at 1/200000 dilution.

All lanes:

Western blot - Anti-MPC1 antibody [EPR29172-82] (<a href='/products/primary-antibodies/mpc1-antibody-epr29172-82-ab324682'>ab324682</a>) at 1/1000 dilution

Lane 1:

293T mitochondrial fraction at 20 µg

Lane 2:

293T non-mitochondrial fraction at 20 µg

Secondary

All lanes:

Western blot - Goat Anti-Rabbit IgG H&L (HRP) (<a href='/products/secondary-antibodies/goat-rabbit-igg-h-l-hrp-ab97051'>ab97051</a>) at 1/20000 dilution

Observed band size: 12 kDa,16 kDa,36 kDa

false

Exposure time: 26s

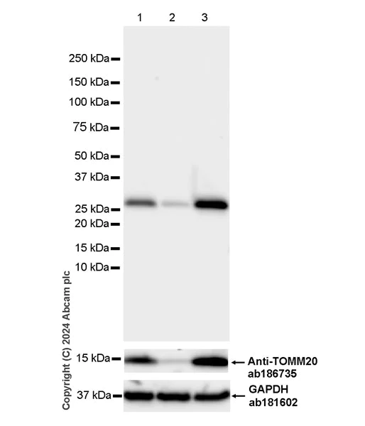
Western blot - Anti-TOMM20 antibody [EPR15581-54] - Mitochondrial Marker (AB186735)
  • WB

Supplier Data

Western blot - Anti-TOMM20 antibody [EPR15581-54] - Mitochondrial Marker (AB186735)

Blocking and diluting buffer and concentration : 5% NFDM/TBST.

The identity of the higher MW band at around 37 kDa is unknown.

In Western blot, Anti-GAPDH antibody [EPR16891] - Loading Control (ab181602) staining at 1/200000 dilution.

All lanes:

Western blot - Anti-IFI27 antibody [EPR27275-176] (<a href='/products/primary-antibodies/ifi27-antibody-epr27275-176-ab323852'>ab323852</a>) at 1/1000 dilution

Lane 1:

Untreated MCF7 (human breast adenocarcinoma epithelial cell) mitochondrial fraction at 60 µg

Lane 2:

Untreated MCF7 non-mitochondrial fraction at 60 µg

Lane 3:

Untreated MCF7 whole cell lysate at 60 µg

Lane 4:

MCF7 treated with 100U/ml IFN alpha 1 for 24 hours, mitochondrial fraction at 60 µg

Lane 5:

MCF7 treated with 100U/ml IFN alpha 1 for 24 hours, non-mitochondrial fraction at 60 µg

Lane 6:

MCF7 treated with 100U/ml IFN alpha 1 for 24 hours whole cell lysate at 60 µg

Secondary

All lanes:

Western blot - Goat Anti-Rabbit IgG H&L (HRP) (<a href='/products/secondary-antibodies/goat-rabbit-igg-h-l-hrp-ab97051'>ab97051</a>) at 1/100000 dilution

Observed band size: 12 kDa,36 kDa,15 kDa

false

Exposure time: 180s

Western blot - Anti-TOMM20 antibody [EPR15581-54] - Mitochondrial Marker (AB186735)
  • WB

Supplier Data

Western blot - Anti-TOMM20 antibody [EPR15581-54] - Mitochondrial Marker (AB186735)

Blocking and diluting buffer and concentration : 5% NFDM/TBST.

In Western blot, Anti-GAPDH antibody [EPR16891] - Loading Control (ab181602) staining at 1/200000 dilution.

In Western blot, Anti-TOMM20 (ab186735) staining at 1/1000 dilution.

All lanes:

Western blot - Anti-NDUFV1 antibody [EPR29179-78] (<a href='/products/primary-antibodies/ndufv1-antibody-epr29179-78-ab321893'>ab321893</a>) at 1/1000 dilution

Lane 1:

HeLa (human cervical adenocarcinoma epithelial cell) cytoplasmic fraction at 20 µg

Lane 2:

HeLa mitochondrial fraction at 20 µg

Secondary

All lanes:

Western blot - Goat Anti-Rabbit IgG H&L (HRP) (<a href='/products/secondary-antibodies/goat-rabbit-igg-h-l-hrp-ab97051'>ab97051</a>) at 1/100000 dilution

Observed band size: 36 kDa,16 kDa,51 kDa

false

Exposure time: 26s

Western blot - Anti-TOMM20 antibody [EPR15581-54] - Mitochondrial Marker (AB186735)
  • WB

Supplier Data

Western blot - Anti-TOMM20 antibody [EPR15581-54] - Mitochondrial Marker (AB186735)

Blocking and diluting buffer and concentration : 5% NFDM/TBST.

The expression profile/ molecular weight observed is consistent with what has been described in the literature (PMID : 33560415; PMID : 37527038).

Samples are non-boiled as boiling may cause protein aggregation.

The identity of the lower MW band at approximately 40 kDa in lane 1 and lane 3 is unknown.

In Western blot, Anti-GAPDH antibody [EPR16891] - Loading Control (ab181602) staining at 1/200000 dilution.

All lanes:

Western blot - Anti-SLC15A4/PHT1 antibody [EPR26040-123] (<a href='/products/primary-antibodies/slc15a4-pht1-antibody-epr26040-123-ab324433'>ab324433</a>) at 1/1000 dilution

Lane 1:

293T (human embryonic kidney epithelial cell) whole lysate at 40 µg

Lane 2:

293T mitochondrial fraction at 40 µg

Lane 3:

293T non-mitochondrial fraction at 40 µg

Secondary

All lanes:

Western blot - Goat Anti-Rabbit IgG H&L (HRP) (<a href='/products/secondary-antibodies/goat-rabbit-igg-h-l-hrp-ab97051'>ab97051</a>) at 1/20000 dilution

Observed band size: 50-100 kDa,36 kDa,16 kDa

false

Exposure time: 136s

Western blot - Anti-TOMM20 antibody [EPR15581-54] - Mitochondrial Marker (AB186735)
  • WB

Supplier Data

Western blot - Anti-TOMM20 antibody [EPR15581-54] - Mitochondrial Marker (AB186735)

Blocking and diluting buffer and concentration : 5% NFDM/TBST.

In Western blot, Anti-GAPDH antibody [EPR16891] - Loading Control (ab181602) staining at 1/200000 dilution.

All lanes:

Western blot - Anti-Adenine Nucleotide Translocator 2/ANT 2 antibody [EPR29813-534] (<a href='/products/primary-antibodies/adenine-nucleotide-translocator-2-ant-2-antibody-epr29813-534-ab325120'>ab325120</a>) at 1/1000 dilution

Lane 1:

HeLa (human cervical adenocarcinoma epithelial cell) whole lysate at 20 µg

Lane 2:

HeLa non-mitochondrial fraction at 20 µg

Lane 3:

HeLa mitochondrial fraction at 20 µg

Secondary

All lanes:

Western blot at 1/100000 dilution

Observed band size: 32 kDa,36 kDa,16 kDa

false

Exposure time: 125s

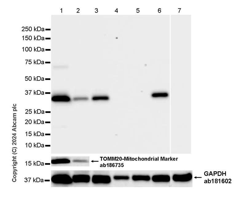
Western blot - Anti-TOMM20 antibody [EPR15581-54] - Mitochondrial Marker (AB186735)
  • WB

Lab

Western blot - Anti-TOMM20 antibody [EPR15581-54] - Mitochondrial Marker (AB186735)

Blocking and diluting buffer and concentration : 5% NFDM/TBST.

In Western blot, Anti-GAPDH antibody [EPR16891] - Loading Control (ab181602) (1 : 200000) (36KDa); Anti-TOMM20 antibody [EPR15581-54] - Mitochondrial Marker (ab186735)(1 : 1000)((~16KDa)).

All lanes:

Western blot - Anti-AGMAT antibody [EPR30229-20] (<a href='/products/primary-antibodies/agmat-antibody-epr30229-20-ab325541'>ab325541</a>) at 1/1000 dilution

Lane 1:

HepG2 (human hepatocellular carcinoma epithelial cell) non-mitochondrial fraction at 20 µg

Lane 2:

HepG2 mitochondria fraction at 20 µg

Secondary

All lanes:

Western blot - Goat Anti-Rabbit IgG H&L (HRP) (<a href='/products/secondary-antibodies/goat-rabbit-igg-h-l-hrp-ab97051'>ab97051</a>) at 1/20000 dilution

Observed band size: 30 kDa,36 kDa,16 kDa

false

Exposure time: 136s

Western blot - Anti-TOMM20 antibody [EPR15581-54] - Mitochondrial Marker (AB186735)
  • WB

Supplier Data

Western blot - Anti-TOMM20 antibody [EPR15581-54] - Mitochondrial Marker (AB186735)

In Western blot, Anti-GAPDH antibody [EPR16891] - Loading Control (ab181602) staining at 1/200000 dilution.

In Western blot, Anti-TOMM20 antibody [EPR15581-54] - Mitochondrial Marker (ab186735) staining at 1/1000 dilution.

Blocking and diluting buffer and concentration : 5% NFDM/TBST.

All lanes:

Western blot - Anti-Slc25a1 antibody [EPR29193-92] (<a href='/products/primary-antibodies/slc25a1-antibody-epr29193-92-ab318201'>ab318201</a>) at 1/1000 dilution

Lane 1:

HeLa (human cervical adenocarcinoma epithelial cell) whole lysate at 20 µg

Lane 2:

HeLa non-mitochondrial fraction at 20 µg

Lane 3:

HeLa mitochondrial fraction at 20 µg

Secondary

All lanes:

Western blot - Goat Anti-Rabbit IgG H&L (HRP) (<a href='/products/secondary-antibodies/goat-rabbit-igg-h-l-hrp-ab97051'>ab97051</a>) at 1/100000 dilution

Observed band size: 34 kDa,36 kDa,15 kDa

false

Exposure time: 15s

Western blot - Anti-TOMM20 antibody [EPR15581-54] - Mitochondrial Marker (AB186735)
  • WB

Supplier Data

Western blot - Anti-TOMM20 antibody [EPR15581-54] - Mitochondrial Marker (AB186735)

Low expression : lung, intestine (PMID : 20861021).

The expression profile/ molecular weight observed is consistent with what has been described in the literature (PMID : 20861021).

In Western blot, Anti-GAPDH antibody [EPR16891] - Loading Control (ab181602) staining at 1/200000 dilution.

In Western blot, Anti-TOMM20 antibody [EPR15581-54] - Mitochondrial Marker (ab186735) staining at 1/2000 dilution.

All lanes:

Western blot - Anti-MARC1 antibody [EPR28272-93] (<a href='/products/primary-antibodies/marc1-antibody-epr28272-93-ab317262'>ab317262</a>) at 1/1000 dilution

Lane 1:

Human liver mitochondria fraction at 20 µg

Lane 2:

Human liver non-mitochondrial fraction at 20 µg

Lane 3:

Human liver tissue lysate at 20 µg

Lane 4:

Human lung tissue lysate at 20 µg

Lane 5:

Human small intestine tissue lysate at 20 µg

Secondary

All lanes:

Western blot - Goat Anti-Rabbit IgG H&L (HRP) (<a href='/products/secondary-antibodies/goat-rabbit-igg-h-l-hrp-ab97051'>ab97051</a>) at 1/100000 dilution

Observed band size: 36 kDa,16 kDa

false

Exposure time: 3s

Western blot - Anti-TOMM20 antibody [EPR15581-54] - Mitochondrial Marker (AB186735)
  • WB

Supplier Data

Western blot - Anti-TOMM20 antibody [EPR15581-54] - Mitochondrial Marker (AB186735)

In Western blot, Anti-GAPDH antibody [EPR16891] - Loading Control (ab181602) staining at 1/200000 dilution.

In Western blot, Anti-TOMM20 antibody [EPR15581-54] - Mitochondrial Marker (ab186735) staining at 1/2000 dilution.

All lanes:

Western blot - Anti-ATAD3A antibody [EPR27484-26] (<a href='/products/primary-antibodies/atad3a-antibody-epr27484-26-ab317252'>ab317252</a>) at 1/1000 dilution

Lane 1:

HeLa (human cervix adenocarcinoma epithelial cell) non-mitochondrial fraction at 20 µg

Lane 2:

HeLa mitochondria fraction at 20 µg

Secondary

All lanes:

Western blot - Goat Anti-Rabbit IgG H&L (HRP) (<a href='/products/secondary-antibodies/goat-rabbit-igg-h-l-hrp-ab97051'>ab97051</a>) at 1/100000 dilution

Observed band size: 66 kDa,36 kDa,16 kDa

false

Exposure time: 180s

Western blot - Anti-TOMM20 antibody [EPR15581-54] - Mitochondrial Marker (AB186735)
  • WB

Supplier Data

Western blot - Anti-TOMM20 antibody [EPR15581-54] - Mitochondrial Marker (AB186735)

Blocking and diluting buffer and concentration : 5% NFDM/TBST.

The samples are unboiled.

In Western blot, Anti-TOMM20 antibody [EPR15581-54] - Mitochondrial Marker (ab186735) staining at 1/1000 dilution.

In Western blot, Anti-GAPDH antibody [EPR16891] - Loading Control (ab181602) staining at 1/200000 dilution.

All lanes:

Western blot - Anti-MT-ND4 antibody [EPR28273-38] (<a href='/products/primary-antibodies/mt-nd4-antibody-epr28273-38-ab324743'>ab324743</a>) at 1/1000 dilution

Lane 1:

HepG2 (human hepatocellular carcinoma epithelial cell) whole cell lysate at 20 µg

Lane 2:

HepG2 non-mitochondrial fraction at 20 µg

Lane 3:

HepG2 mitochondrial fraction at 20 µg

Secondary

All lanes:

Western blot - Goat Anti-Rabbit IgG H&L (HRP) (<a href='/products/secondary-antibodies/goat-rabbit-igg-h-l-hrp-ab97051'>ab97051</a>) at 1/20000 dilution

Observed band size: 35 kDa,36 kDa,16 kDa

false

Exposure time: 70s

Western blot - Anti-TOMM20 antibody [EPR15581-54] - Mitochondrial Marker (AB186735)
  • WB

Supplier Data

Western blot - Anti-TOMM20 antibody [EPR15581-54] - Mitochondrial Marker (AB186735)

All lanes:

Western blot - Anti-TOMM20 antibody [EPR15581-54] - Mitochondrial Marker (ab186735) at 1/10000 dilution

Lane 1:

HepG2 (human liver hepatocellular carcinoma cell line) cell lysate at 20 µg

Lane 2:

HeLa (human epithelial cell line from cervix adenocarcinoma) cell lysate at 20 µg

Lane 3:

SH-SY5Y (human neuroblastoma cell line from bone marrow) cell lysate at 20 µg

Secondary

All lanes:

Goat Anti-Rabbit IgG, (H+L), Peroxidase conjugate at 1/1000 dilution

Predicted band size: 16 kDa

Observed band size: 16 kDa

false

Western blot - Anti-TOMM20 antibody [EPR15581-54] - Mitochondrial Marker (AB186735)
  • WB

Supplier Data

Western blot - Anti-TOMM20 antibody [EPR15581-54] - Mitochondrial Marker (AB186735)

Blocking and diluting buffer and concentration : 5% NFDM/TBST.

In Western blot, Anti-GAPDH antibody [EPR16891] - Loading Control (ab181602) staining at 1/200000 dilution.

All lanes:

Western blot - Anti-TIMM23/TIM23 antibody [EPR29827-44] (<a href='/products/primary-antibodies/timm23-tim23-antibody-epr29827-44-ab324870'>ab324870</a>) at 1/1000 dilution

Lane 1:

HeLa (human cervical adenocarcinoma epithelial cell) whole lysate at 20 µg

Lane 2:

HeLa non-mitochondrial fraction at 20 µg

Lane 3:

HeLa mitochondrial fraction at 20 µg

Secondary

All lanes:

Goat Anti-Rabbit IgG (HRP) with minimal cross-reactivity with human IgG at 1/2000 dilution

Observed band size: 19 kDa,36 kDa,15 kDa

false

Exposure time: 180s

Western blot - Anti-TOMM20 antibody [EPR15581-54] - Mitochondrial Marker (AB186735)
  • WB

Supplier Data

Western blot - Anti-TOMM20 antibody [EPR15581-54] - Mitochondrial Marker (AB186735)

Low expression : lung, heart (PMID : 20861021).

The expression profile/ molecular weight observed is consistent with what has been described in the literature (PMID : 20861021).

In Western blot, Anti-GAPDH antibody [EPR16891] - Loading Control (ab181602) staining at 1/200000 dilution.

In Western blot, Anti-TOMM20 antibody [EPR15581-54] - Mitochondrial Marker (ab186735) staining at 1/2000 dilution.

All lanes:

Western blot - Anti-MARC1 antibody [EPR28272-93] (<a href='/products/primary-antibodies/marc1-antibody-epr28272-93-ab317262'>ab317262</a>) at 1/1000 dilution

Lane 1:

Mouse liver mitochondria fraction at 20 µg

Lane 2:

Mouse liver non-mitochondrial fraction at 20 µg

Lane 3:

Mouse liver tissue lysate at 20 µg

Lane 4:

Mouse lung tissue lysate at 20 µg

Lane 5:

Mouse heart tissue lysate at 20 µg

Lane 6:

Rat liver tissue lysate at 20 µg

Lane 7:

Rat heart tissue lysate at 20 µg

Secondary

All lanes:

Western blot - Goat Anti-Rabbit IgG H&L (HRP) (<a href='/products/secondary-antibodies/goat-rabbit-igg-h-l-hrp-ab97051'>ab97051</a>) at 1/100000 dilution

Observed band size: 36 kDa,16 kDa

false

Exposure time: 15s

関連する標識済み抗体及び組成の異なる製品 (10)

  • Carrier free

    Anti-TOMM20 antibody [EPR15581-54] - BSA and Azide free

  • 660 APC

    APC Anti-TOMM20 antibody [EPR15581-54] - Mitochondrial Marker

  • HRP

    HRP Anti-TOMM20 antibody [EPR15581-54] - Mitochondrial Marker

  • 578 PE

    PE Anti-TOMM20 antibody [EPR15581-54] - Mitochondrial Marker

  • 665 Alexa Fluor® 647

    Alexa Fluor® 647 Anti-TOMM20 antibody [EPR15581-54] - Mitochondrial Marker

  • 565 Alexa Fluor® 555

    Alexa Fluor® 555 Anti-TOMM20 antibody [EPR15581-54] - Mitochondrial Marker

  • 603 Alexa Fluor® 568

    Alexa Fluor® 568 Anti-TOMM20 antibody [EPR15581-54] - Mitochondrial Marker

  • 421 Alexa Fluor® 405

    Alexa Fluor® 405 Anti-TOMM20 antibody [EPR15581-54] - Mitochondrial Marker

  • 617 Alexa Fluor® 594

    Alexa Fluor® 594 Anti-TOMM20 antibody [EPR15581-54] - Mitochondrial Marker

  • 519 Alexa Fluor® 488

    Alexa Fluor® 488 Anti-TOMM20 antibody [EPR15581-54] - Mitochondrial Marker

Key facts

宿主種

Rabbit

クローン性

Monoclonal

クローン番号

EPR15581-54

アイソタイプ

IgG

キャリアフリー

No

交差種

Mouse, Rat, Human

アプリケーション

Flow Cyt (Intra), ICC/IF, IHC-Fr, IHC-P, WB

applications

免疫原

The exact immunogen used to generate this antibody is proprietary information.

Reactivity data

{ "title": "Reactivity Data", "filters": { "stats": ["", "Species", "Dilution Info", "Notes"], "tabs": { "all-applications": {"fullname" : "All Applications", "shortname": "All Applications"}, "WB" : {"fullname" : "Western blot", "shortname":"WB"}, "ICCIF" : {"fullname" : "Immunocytochemistry/ Immunofluorescence", "shortname":"ICC/IF"}, "IHCFr" : {"fullname" : "Immunohistochemistry (Frozen sections)", "shortname":"IHC-Fr"}, "FlowCytIntra" : {"fullname" : "Flow Cytometry (Intracellular)", "shortname":"Flow Cyt (Intra)"}, "IHCP" : {"fullname" : "Immunohistochemistry (Formalin/PFA-fixed paraffin-embedded sections)", "shortname":"IHC-P"} }, "product-promise": { "all": "all", "testedAndGuaranteed": "tested", "guaranteed": "expected", "predicted": "predicted", "notRecommended": "not-recommended" } }, "values": { "Human": { "WB-species-checked": "testedAndGuaranteed", "WB-species-dilution-info": "1/1000 - 1/10000", "WB-species-notes": "<p></p>", "ICCIF-species-checked": "testedAndGuaranteed", "ICCIF-species-dilution-info": "1/250", "ICCIF-species-notes": "<p></p>", "IHCFr-species-checked": "guaranteed", "IHCFr-species-dilution-info": "", "IHCFr-species-notes": "", "FlowCytIntra-species-checked": "testedAndGuaranteed", "FlowCytIntra-species-dilution-info": "1/90", "FlowCytIntra-species-notes": "<p><a href='/products/primary-antibodies/rabbit-igg-monoclonal-epr25a-isotype-control-ab172730'>ab172730</a> - Rabbit monoclonal IgG, is suitable for use as an isotype control with this antibody.</p>", "IHCP-species-checked": "testedAndGuaranteed", "IHCP-species-dilution-info": "1/50 - 1/100", "IHCP-species-notes": "<p></p> Perform heat-mediated antigen retrieval with Tris/EDTA buffer pH 9.0 before commencing with IHC staining protocol." }, "Mouse": { "WB-species-checked": "guaranteed", "WB-species-dilution-info": "", "WB-species-notes": "", "ICCIF-species-checked": "guaranteed", "ICCIF-species-dilution-info": "", "ICCIF-species-notes": "", "IHCFr-species-checked": "testedAndGuaranteed", "IHCFr-species-dilution-info": "1/50", "IHCFr-species-notes": "<p>Heat mediated antigen retrieval using sodium citrate buffer (10mM citrate pH 6.0 + 0.05% Tween-20)</p>", "FlowCytIntra-species-checked": "guaranteed", "FlowCytIntra-species-dilution-info": "", "FlowCytIntra-species-notes": "", "IHCP-species-checked": "testedAndGuaranteed", "IHCP-species-dilution-info": "1/50 - 1/100", "IHCP-species-notes": "<p></p> Perform heat-mediated antigen retrieval with Tris/EDTA buffer pH 9.0 before commencing with IHC staining protocol." }, "Rat": { "WB-species-checked": "testedAndGuaranteed", "WB-species-dilution-info": "1/1000 - 1/10000", "WB-species-notes": "<p></p>", "ICCIF-species-checked": "guaranteed", "ICCIF-species-dilution-info": "", "ICCIF-species-notes": "", "IHCFr-species-checked": "testedAndGuaranteed", "IHCFr-species-dilution-info": "1/50", "IHCFr-species-notes": "<p>Heat mediated antigen retrieval using sodium citrate buffer (10mM citrate pH 6.0 + 0.05% Tween-20)</p>", "FlowCytIntra-species-checked": "guaranteed", "FlowCytIntra-species-dilution-info": "", "FlowCytIntra-species-notes": "", "IHCP-species-checked": "guaranteed", "IHCP-species-dilution-info": "", "IHCP-species-notes": "" } } }

製品の詳細

Anti-TOMM20 antibody [EPR15581-54] - Mitochondrial Marker (ab186735) was developed by Abcam using patented rabbit monoclonal antibody technology and is validated for use in Flow Cyt (Intra), ICC/IF, IHC-Fr, IHC-P and WB.

Anti-TOMM20 antibody [EPR15581-54] - Mitochondrial Marker (ab186735) was first used in a scientific publication in 2017 and has been cited over 161 times in peer reviewed journals. It's performance in Western Blot in human and mouse samples is trusted by the scientific community.

Abcam's high quality manufacturing and validation processes ensure Anti-TOMM20 antibody [EPR15581-54] - Mitochondrial Marker (ab186735) has high sensitivity and specificity alongside high lot-to-lot consistency and reproducibility.

Anti-TOMM20 antibody [EPR15581-54] - Mitochondrial Marker (ab186735) has 8 independent reviews from customers.

Anti-TOMM20 antibody [EPR15581-54] - Mitochondrial Marker (ab186735) specifically detects TOMM20 (UniProt ID: Q15388; Molecular weight: 17kDa) and is sold in 100 µL and 1 mL selling sizes.

Conjugation-ready, carrier free format available for antibody clone EPR15581-54 - ab232589.

Antibody clone EPR15581-54 is also available pre-conjugated to a variety of labels for your convenience - Alexa Fluor® 647, HRP, Alexa Fluor® 405, Alexa Fluor® 594, Alexa Fluor® 568, Alexa Fluor® 555, APC, PE, Alexa Fluor® 488 (ab209606, ab209951, ab210047, ab210665, ab210841, ab221292, ab225341, ab225342, ab320072).

TOMM20 is a key protein in neuro research, particularly for its role in mitochondrial function and health. It is part of the translocase of the outer mitochondrial membrane complex, essential for importing proteins into mitochondria. Researchers use TOMM20 to study mitochondrial dynamics, biogenesis and mitophagy, making it vital for understanding cellular energy metabolism and neurodegenerative diseases. Its expression helps in assessing mitochondrial integrity and function in various neurological conditions.

Patented technology
Our RabMAb® technology is a patented hybridoma-based technology for making rabbit monoclonal antibodies. For details on our patents, please refer to RabMAb® patents.

What are the advantages of a recombinant monoclonal antibody?
This product is a recombinant monoclonal antibody, which offers several advantages including:

  • - High batch-to-batch consistency and reproducibility
  • - Improved sensitivity and specificity
  • - Long-term security of supply
  • - Animal-free batch production

For more information, read more on recombinant antibodies.

出荷温度及び保存条件

製品の状態
Liquid
精製方法
Affinity purification Protein A
バッファー組成
pH: 7.2 - 7.4 Preservative: 0.01% Sodium azide Constituents: PBS, 40% Glycerol (glycerin, glycerine), 0.05% BSA
出荷温度
Blue Ice
短期保存期間
1-2 weeks
短期保存温度
+4°C
長期保存温度
-20°C
分注に関する情報
Upon delivery aliquot
保管に関する情報
Avoid freeze / thaw cycle

製品プロトコール

For this product, it's our understanding that no specific protocols are required. You can visit:

ターゲットの情報

Central component of the receptor complex responsible for the recognition and translocation of cytosolically synthesized mitochondrial preproteins. Together with TOM22 functions as the transit peptide receptor at the surface of the mitochondrion outer membrane and facilitates the movement of preproteins into the TOM40 translocation pore (By similarity). Required for the translocation across the mitochondrial outer membrane of cytochrome P450 monooxygenases.
See full target information TOMM20

文献 (326)

Recent publications for all applications. Explore the full list and refine your search

Molecular medicine reports 32: PubMed40999974

2025

Atractylodin inhibits ferroptosis in sepsis‑induced acute gastrointestinal injury via SIRT3/PRDX3.

Applications

Unspecified application

Species

Unspecified reactive species

Yun-Xia Hu,Ming-Qi Chen,Jian-Lin Wang,Tao Wu,Hai-Dong Zhang,Tong-Tong Li,Hui Gao,Yu Bai

Frontiers in cellular neuroscience 19:1603657 PubMed40958776

2025

APOE genotype-dependent differences in human astrocytic energy metabolism.

Applications

Unspecified application

Species

Unspecified reactive species

Vanessa Budny,Chantal Bodenmann,Kathrin J Zürcher,Maik Krüger,Sherida M de Leeuw,Rebecca Z Weber,Ruslan Rust,Luca Ravotto,Iván Ruminot,L Felipe Barros,Bruno Weber,Christian Tackenberg

Nature metabolism 7:1851-1870 PubMed40957995

2025

BDH2-driven lysosome-to-mitochondria iron transfer shapes ferroptosis vulnerability of the melanoma cell states.

Applications

Unspecified application

Species

Unspecified reactive species

Francesca Rizzollo,Abril Escamilla-Ayala,Nicola Fattorelli,Natalia Barbara Lysiak,Sanket More,Pablo Hernández Varas,Lucia Barazzuol,Chris Van den Haute,Joris Van Asselberghs,David Nittner,Jonathan Coene,Vivek Venkataramani,Bernhard Michalke,Christine Gaillet,Tatiana Cañeque,Irwin Davidson,Steven H L Verhelst,Peter Vangheluwe,Tito Calì,Jean-Christophe Marine,Raphaël Rodriguez,Julie Bonnereau,Patrizia Agostinis

Frontiers in pharmacology 16:1600435 PubMed40918528

2025

Gypenoside XLIX inhibiting PI3K/AKT/FOXO1 signaling pathway mediated neuronal mitochondrial autophagy to improve patients with ischemic stroke.

Applications

Unspecified application

Species

Unspecified reactive species

Yonglei Liu,Hongdie Mao,Zhengguang Sha,Jishuai Zhao,Hui Cai,Rong Xi,Zhenzhu Zhao,Xiaoling Yin,Lin Yang,Changyun Liu

Molecular therapy. Nucleic acids 36:102678 PubMed40896586

2025

Alterations in mitochondrial base editors enhance targeted editing efficiency for mouse model generation.

Applications

Unspecified application

Species

Unspecified reactive species

Seongho Hong,Sol Pin Kim,Sanghun Kim,Soo Kyung Kang,Sungmo Jung,Yeji Oh,Seung Hee Choi,Su Bin Lee,Hou Cha,Jieun Kim,Jiyoung Bae,Jiyoon Park,Kyoungmi Kim,Chang Geun Choi,Soo-Ji Park,Do Hyun Kim,Lark Kyun Kim,Je Kyung Seong,Hyunji Lee

Nature communications 16:7954 PubMed40858606

2025

Helicobacter hepaticus promotes hepatic steatosis through CdtB-induced mitochondrial stress and lipid metabolism reprogramming.

Applications

Unspecified application

Species

Unspecified reactive species

Shanhao Jin,Liqi Zhu,Ruoyu Bao,Linghan Yang,Tinglong Zhuang,Liyou Lian,Tao Wang,Jun Yin,Shilei Zhang,Lei Zhou,Minghua Zheng,Quan Zhang

International journal of molecular sciences 26: PubMed40806260

2025

A Late-Onset and Mild Phenotype of Mitochondrial Complex I Deficiency Due to a Novel Reported Variant Within the Gene.

Applications

Unspecified application

Species

Unspecified reactive species

Anna Gaelle Giguet-Valard,Samira Ait-El-Mkadem Saadi,Sophie Duclos,Didier Lacombe,Rémi Bellance,Nadège Bellance

Pathology oncology research : POR 31:1612172 PubMed40771659

2025

MtDNA copy number enrichment is associated with poor prognosis and eosinophilic morphology in clear cell renal cell carcinoma.

Applications

Unspecified application

Species

Unspecified reactive species

Sarah Bellal,Cyrielle Rolley,Jeremy Richard,Nolwenn Bounaix,Vincent Le Corre,Marie-Christine Copin,Odile Blanchet,Pierre Bigot,Vincent Procaccio,Céline Bris

Journal of extracellular vesicles 14:e70140 PubMed40767334

2025

ATP Synthase Abundance in Neuronal Extracellular Vesicles Reflects Changes in the Mitochondria of Parent Neurons.

Applications

Unspecified application

Species

Unspecified reactive species

Pamela J Yao,Carlos Nogueras-Ortiz,Krishna Ananthu Pucha,Dimitrios Kapogiannis

Cell death discovery 11:351 PubMed40730642

2025

Mitochondrial dysfunction-mediated metabolic remodeling of TCA cycle promotes Parkinson's disease through inhibition of H3K4me3 demethylation.

Applications

Unspecified application

Species

Unspecified reactive species

Xiaoyuan Zhang,Fali Zhang,Yue Zeng,Aiying Li,Jiamao Yan,Pei Li,Kexin Qin,Teng Zhang,Jiaojiao Huang,Minghui Zhao,Massimo De Felici,Yang Zhou,Wei Shen
View all publications

Abcam product promise

当社は、高品質な試薬を通じてお客様の研究を力強くサポートすることをお約束いたします。ご使用いただく各段階で、常にお客様をサポートできる体制を整えております。万が一、製品が期待通りに機能しない場合は、「Abcam Product Promise」による当社保証制度に基づき、安心してご利用いただけます。
保証に関する詳細については利用規約をご確認ください。

Please note: All products are 'FOR RESEARCH USE ONLY. NOT FOR USE IN DIAGNOSTIC OR THERAPEUTIC PROCEDURES'.

For licensing inquiries, please contact partnerships@abcam.com