JavaScript is disabled in your browser. Please enable JavaScript to view this website.
AB220822

Anti-TOMM20 抗体 [EPR15581-39] - BSA and Azide free

Anti-TOMM20 antibody [EPR15581-39] - BSA and Azide free

Be the first to review this product! Submit a review

|

(4 Publications)

Rabbit Recombinant Monoclonal TOMM20 antibody. Carrier free. Suitable for WB, ICC/IF, Flow Cyt (Intra), IHC-P and reacts with Mouse, Rat, Human samples. Cited in 4 publications.

別名を表示する

KIAA0016, TOMM20, Mitochondrial import receptor subunit TOM20 homolog, Mitochondrial 20 kDa outer membrane protein, Outer mitochondrial membrane receptor Tom20

5 Images
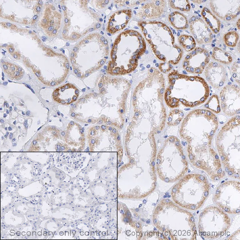
Immunohistochemistry (Formalin/PFA-fixed paraffin-embedded sections) - Anti-TOMM20 antibody [EPR15581-39] - BSA and Azide free (AB220822)
  • IHC-P

Lab

Immunohistochemistry (Formalin/PFA-fixed paraffin-embedded sections) - Anti-TOMM20 antibody [EPR15581-39] - BSA and Azide free (AB220822)

This data was developed using ab186734 the same antibody clone in a different buffer formulation.

Immunohistochemical analysis of formalin fixed paraffin embedded human kidney labelling TOMM20 with ab186734 at a concentration of 0.01 μg/ml. The immunostaining was performed on a Ventana DISCOVERY ULTRA (Roche Tissue Diagnostics) instrument with a OptiView DAB IHC Detection Kit. The heat-mediated antigen retrieval was conducted with DISCOVERY cell conditioning solution (CC1) at 100 °C, pH 8.5 for 32 mins. ab186734 Anti-TOMM20 antibody [EPR15581-39] - Mitochondrial Marker was incubated for 16 mins, at 37 °C. Sections were counterstained with Hematoxylin II. Image inset shows absence of staining in secondary antibody only control.

Customers are encouraged to optimise antigen retrieval conditions, antibody concentration, incubation times and temperature for best results in their own IHC assay workflow (automated and manual).

Immunohistochemistry (Formalin/PFA-fixed paraffin-embedded sections) - Anti-TOMM20 antibody [EPR15581-39] - BSA and Azide free (AB220822)
  • IHC-P

Supplier Data

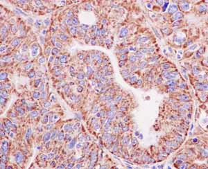
Immunohistochemistry (Formalin/PFA-fixed paraffin-embedded sections) - Anti-TOMM20 antibody [EPR15581-39] - BSA and Azide free (AB220822)

Immunohistochemical analysis of paraffin-embedded Human endometrial adenocarcinoma tissue, labeling TOMM20 with ab186734 at 1/100 dilution. Detected using HRP Polymer for Rabbit IgG and counter-stained using hematoxylin.

This data was developed using the same antibody clone in a different buffer formulation containing PBS, BSA, glycerol, and sodium azide (ab186734).

Perform heat mediated antigen retrieval with EDTA buffer pH 9 before commencing with IHC staining protocol.

Flow Cytometry (Intracellular) - Anti-TOMM20 antibody [EPR15581-39] - BSA and Azide free (AB220822)
  • Flow Cyt (Intra)

Supplier Data

Flow Cytometry (Intracellular) - Anti-TOMM20 antibody [EPR15581-39] - BSA and Azide free (AB220822)

Intracellular Flow Cytometry analysis of TOMM20 expression in NCI-H2228 cells using ab186734 at 1/40 dilution (red) and a rabbit IgG as negative control (green).

This data was developed using the same antibody clone in a different buffer formulation containing PBS, BSA, glycerol, and sodium azide (ab186734).

Immunocytochemistry/ Immunofluorescence - Anti-TOMM20 antibody [EPR15581-39] - BSA and Azide free (AB220822)
  • ICC/IF

Supplier Data

Immunocytochemistry/ Immunofluorescence - Anti-TOMM20 antibody [EPR15581-39] - BSA and Azide free (AB220822)

Immunofluorescence analysis of paraformaldehyde-fixed HeLa cells, labeling TOMM20 (green) with ab186734 at 1/250 dilution. Alexa Fluor®488-conjugated goat anti-rabbit IgG was used as a secondary antibody at 1/200 dilution. Nuclei were counterstained with DAPI (blue).

This data was developed using the same antibody clone in a different buffer formulation containing PBS, BSA, glycerol, and sodium azide (ab186734).

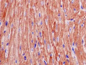
Immunohistochemistry (Formalin/PFA-fixed paraffin-embedded sections) - Anti-TOMM20 antibody [EPR15581-39] - BSA and Azide free (AB220822)
  • IHC-P

Supplier Data

Immunohistochemistry (Formalin/PFA-fixed paraffin-embedded sections) - Anti-TOMM20 antibody [EPR15581-39] - BSA and Azide free (AB220822)

Immunohistochemical analysis of paraffin-embedded mouse cardiac muscle tissue tissue, labeling TOMM20 with ab186734 at 1/100 dilution. Detected using HRP Polymer for Rabbit IgG and counter-stained using hematoxylin.

This data was developed using the same antibody clone in a different buffer formulation containing PBS, BSA, glycerol, and sodium azide (ab186734).

Perform heat mediated antigen retrieval with EDTA buffer pH 9 before commencing with IHC staining protocol.

関連する標識済み抗体及び組成の異なる製品 (6)

  • Unconjugated

    Anti-TOMM20 antibody [EPR15581-39] - Mitochondrial Marker

  • 565 Alexa Fluor® 555

    Alexa Fluor® 555 Anti-TOMM20 antibody [EPR15581-39] - Mitochondrial Marker

  • HRP

    HRP Anti-TOMM20 antibody [EPR15581-39] - Mitochondrial Marker

  • 665 Alexa Fluor® 647

    Alexa Fluor® 647 Anti-TOMM20 antibody [EPR15581-39] - Mitochondrial Marker

  • 519 Alexa Fluor® 488

    Alexa Fluor® 488 Anti-TOMM20 antibody [EPR15581-39] - Mitochondrial Marker

  • 519 Alexa Fluor® 488

    Alexa Fluor® 488 Anti-TOMM20 antibody [EPR15581-39] - Rat IgG2a (Chimeric)

Key facts

宿主種

Rabbit

クローン性

Monoclonal

クローン番号

EPR15581-39

アイソタイプ

IgG

キャリアフリー

Yes

交差種

Mouse, Rat, Human

アプリケーション

IHC-P, ICC/IF, Flow Cyt (Intra), WB

applications

免疫原

The exact immunogen used to generate this antibody is proprietary information.

Reactivity data

{ "title": "Reactivity Data", "filters": { "stats": ["", "Species", "Dilution Info", "Notes"], "tabs": { "all-applications": {"fullname" : "All Applications", "shortname": "All Applications"}, "WB" : {"fullname" : "Western blot", "shortname":"WB"}, "ICCIF" : {"fullname" : "Immunocytochemistry/ Immunofluorescence", "shortname":"ICC/IF"}, "FlowCytIntra" : {"fullname" : "Flow Cytometry (Intracellular)", "shortname":"Flow Cyt (Intra)"}, "IHCP" : {"fullname" : "Immunohistochemistry (Formalin/PFA-fixed paraffin-embedded sections)", "shortname":"IHC-P"} }, "product-promise": { "all": "all", "testedAndGuaranteed": "tested", "guaranteed": "expected", "predicted": "predicted", "notRecommended": "not-recommended" } }, "values": { "Human": { "WB-species-checked": "guaranteed", "WB-species-dilution-info": "", "WB-species-notes": "<p></p>", "ICCIF-species-checked": "testedAndGuaranteed", "ICCIF-species-dilution-info": "", "ICCIF-species-notes": "<p></p>", "FlowCytIntra-species-checked": "testedAndGuaranteed", "FlowCytIntra-species-dilution-info": "", "FlowCytIntra-species-notes": "<p><a href='/products/primary-antibodies/rabbit-igg-monoclonal-epr25a-isotype-control-low-endotoxin-azide-free-ab199376'>ab199376</a> - Rabbit monoclonal IgG, is suitable for use as an isotype control with this antibody.</p>", "IHCP-species-checked": "testedAndGuaranteed", "IHCP-species-dilution-info": "", "IHCP-species-notes": "<p></p>" }, "Mouse": { "WB-species-checked": "guaranteed", "WB-species-dilution-info": "", "WB-species-notes": "<p></p>", "ICCIF-species-checked": "predicted", "ICCIF-species-dilution-info": "", "ICCIF-species-notes": "", "FlowCytIntra-species-checked": "predicted", "FlowCytIntra-species-dilution-info": "", "FlowCytIntra-species-notes": "", "IHCP-species-checked": "predicted", "IHCP-species-dilution-info": "", "IHCP-species-notes": "" }, "Rat": { "WB-species-checked": "guaranteed", "WB-species-dilution-info": "", "WB-species-notes": "<p></p>", "ICCIF-species-checked": "predicted", "ICCIF-species-dilution-info": "", "ICCIF-species-notes": "", "FlowCytIntra-species-checked": "predicted", "FlowCytIntra-species-dilution-info": "", "FlowCytIntra-species-notes": "", "IHCP-species-checked": "predicted", "IHCP-species-dilution-info": "", "IHCP-species-notes": "" } } }

製品の詳細

ab220822 is the carrier-free version of ab186734.

Patented technology
Our RabMAb® technology is a patented hybridoma-based technology for making rabbit monoclonal antibodies. For details on our patents, please refer to RabMAb® patents.

Conjugation ready
Our carrier-free antibodies are typically supplied in a PBS-only formulation, purified and free of BSA, sodium azide and glycerol. This conjugation-ready format is designed for use with fluorochromes, metal isotopes, oligonucleotides, and enzymes, which makes them ideal for antibody labelling, functional and cell-based assays, flow-based assays (e.g. mass cytometry) and Multiplex Imaging applications.

Use our conjugation kits for antibody conjugates that are ready-to-use in as little as 20 minutes with 1 minute hands-on-time and 100% antibody recovery: available for fluorescent dyes, HRP, biotin and gold.

Compatibility
This product is compatible with the Maxpar® Antibody Labeling Kit from Fluidigm, without the need for antibody preparation. Maxpar® is a trademark of Fluidigm Canada Inc.

出荷温度及び保存条件

製品の状態
Liquid
精製方法
Affinity purification Protein A
バッファー組成
pH: 7.2 - 7.4 Constituents: PBS
出荷温度
Blue Ice
短期保存温度
+4°C
長期保存温度
+4°C
保管に関する情報
Do Not Freeze

製品プロトコール

For this product, it's our understanding that no specific protocols are required. You can visit:

ターゲットの情報

Central component of the receptor complex responsible for the recognition and translocation of cytosolically synthesized mitochondrial preproteins. Together with TOM22 functions as the transit peptide receptor at the surface of the mitochondrion outer membrane and facilitates the movement of preproteins into the TOM40 translocation pore (By similarity). Required for the translocation across the mitochondrial outer membrane of cytochrome P450 monooxygenases.
See full target information TOMM20

文献 (4)

Recent publications for all applications. Explore the full list and refine your search

BMC biology 22:162 PubMed39075589

2024

Single-mitochondrion sequencing uncovers distinct mutational patterns and heteroplasmy landscape in mouse astrocytes and neurons.

Applications

Unspecified application

Species

Unspecified reactive species

Parnika S Kadam,Zijian Yang,Youtao Lu,Hua Zhu,Yasemin Atiyas,Nishal Shah,Stephen Fisher,Erik Nordgren,Junhyong Kim,David Issadore,James Eberwine

Cell death discovery 7:187 PubMed34290230

2021

Deubiquitinating enzyme USP30 negatively regulates mitophagy and accelerates myocardial cell senescence through antagonism of Parkin.

Applications

Unspecified application

Species

Unspecified reactive species

Wei Pan,Yaowen Wang,Xinyu Bai,Yuehui Yin,Limeng Dai,Hong Zhou,Qin Wu,Yan Wang

The Journal of neuroscience : the official journal of the Society for Neuroscience 41:3731-3746 PubMed33563726

2021

REST Protects Dopaminergic Neurons from Mitochondrial and α-Synuclein Oligomer Pathology in an Alpha Synuclein Overexpressing BAC-Transgenic Mouse Model.

Applications

Unspecified application

Species

Unspecified reactive species

Brent J Ryan,Nora Bengoa-Vergniory,Matthew Williamson,Ecem Kirkiz,Rosalind Roberts,Gabriele Corda,Maximilian Sloan,Saba Saqlain,Marta Cherubini,Josse Poppinga,Helle Bogtofte,Milena Cioroch,Svenja Hester,Richard Wade-Martins

Nature medicine 22:146-53 PubMed26779811

2016

Neutrophil extracellular traps enriched in oxidized mitochondrial DNA are interferogenic and contribute to lupus-like disease.

Applications

IF

Species

Unspecified reactive species

Christian Lood,Luz P Blanco,Monica M Purmalek,Carmelo Carmona-Rivera,Suk S De Ravin,Carolyne K Smith,Harry L Malech,Jeffrey A Ledbetter,Keith B Elkon,Mariana J Kaplan
View all publications

Abcam product promise

当社は、高品質な試薬を通じてお客様の研究を力強くサポートすることをお約束いたします。ご使用いただく各段階で、常にお客様をサポートできる体制を整えております。万が一、製品が期待通りに機能しない場合は、「Abcam Product Promise」による当社保証制度に基づき、安心してご利用いただけます。
保証に関する詳細については利用規約をご確認ください。

Please note: All products are 'FOR RESEARCH USE ONLY. NOT FOR USE IN DIAGNOSTIC OR THERAPEUTIC PROCEDURES'.

For licensing inquiries, please contact partnerships@abcam.com