JavaScript is disabled in your browser. Please enable JavaScript to view this website.
AB289977

Anti-TOM70 抗体 [EPR26576-162]

Anti-TOM70 antibody [EPR26576-162]

  • BOND RX™ Validated
  • 20ul selling size
  • RabMAb
  • Recombinant
  • KO Validated
  • 詳細を見る

5

(1 Review)

|

(5 Publications)

Rabbit Recombinant Monoclonal TOM70 antibody. Suitable for ICC/IF, IP, WB, Flow Cyt (Intra), IHC-P and reacts with Mouse, Rat, Human samples. Cited in 5 publications.

別名を表示する

KIAA0719, TOM70, TOMM70A, TOMM70, Mitochondrial import receptor subunit TOM70, Mitochondrial precursor proteins import receptor, Translocase of outer membrane 70 kDa subunit, Translocase of outer mitochondrial membrane protein 70

16 Images
Immunohistochemistry (Formalin/PFA-fixed paraffin-embedded sections) - Anti-TOM70 antibody [EPR26576-162] (AB289977)
  • IHC-P

Lab

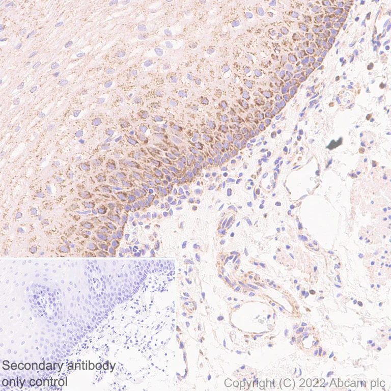
Immunohistochemistry (Formalin/PFA-fixed paraffin-embedded sections) - Anti-TOM70 antibody [EPR26576-162] (AB289977)

Immunohistochemical analysis of paraffin-embedded Human colon tissue labelling TOM70 with ab289977 at 1/2000 dilution followed by a ready to use Rabbit specific IHC polymer detection kit HRP/DAB (ab209101). Positive staining on human colon. The section was incubated with ab289977 for 10 mins at room temperature. The immunostaining was performed on a Leica Biosystems BOND® RX instrument. Counterstained with Hematoxylin.

Secondary antibody only control : Secondary antibody is Rabbit specific IHC polymer detection kit HRP/DAB (ab209101).

Heat mediated antigen retrieval with Tris-EDTA buffer (pH 9.0, epitope retrieval solution2) for 10 mins

Immunohistochemistry (Formalin/PFA-fixed paraffin-embedded sections) - Anti-TOM70 antibody [EPR26576-162] (AB289977)
  • IHC-P

Lab

Immunohistochemistry (Formalin/PFA-fixed paraffin-embedded sections) - Anti-TOM70 antibody [EPR26576-162] (AB289977)

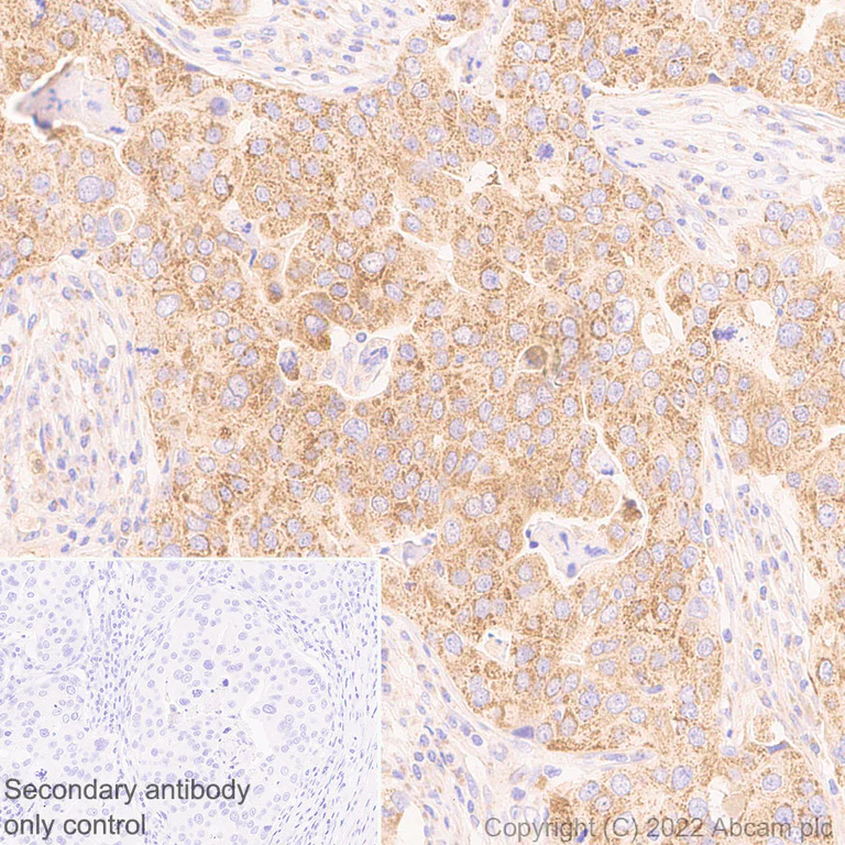
Immunohistochemical analysis of paraffin-embedded Human breast cancer tissue labelling TOM70 with ab289977 at 1/2000 dilution followed by Rabbit specific IHC polymer detection kit HRP/DAB (ab209101). Positive staining on human breast cancer. The section was incubated with ab289977 for 10 mins at room temperature. The immunostaining was performed on a Leica Biosystems BOND® RX instrument. Counterstained with Hematoxylin.

Secondary antibody only control : Secondary antibody is Rabbit specific IHC polymer detection kit HRP/DAB (ab209101).

Heat mediated antigen retrieval with Tris-EDTA buffer (pH 9.0, epitope retrieval solution2) for 10 mins

Immunohistochemistry (Formalin/PFA-fixed paraffin-embedded sections) - Anti-TOM70 antibody [EPR26576-162] (AB289977)
  • IHC-P

Lab

Immunohistochemistry (Formalin/PFA-fixed paraffin-embedded sections) - Anti-TOM70 antibody [EPR26576-162] (AB289977)

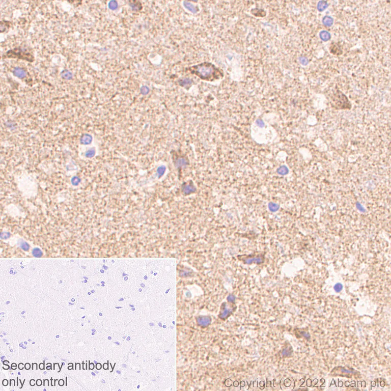
Immunohistochemical analysis of paraffin-embedded Human cerebrum tissue labelling TOM70 with ab289977 at 1/2000 dilution followed by Rabbit specific IHC polymer detection kit HRP/DAB (ab209101). Positive staining on human cerebrum. The section was incubated with ab289977 for 10 mins at room temperature. The immunostaining was performed on a Leica Biosystems BOND® RX instrument. Counterstained with Hematoxylin.

Secondary antibody only control : Secondary antibody is Rabbit specific IHC polymer detection kit HRP/DAB (ab209101).

Heat mediated antigen retrieval with Tris-EDTA buffer (pH 9.0, epitope retrieval solution2) for 10 mins.

Immunohistochemistry (Formalin/PFA-fixed paraffin-embedded sections) - Anti-TOM70 antibody [EPR26576-162] (AB289977)
  • IHC-P

Lab

Immunohistochemistry (Formalin/PFA-fixed paraffin-embedded sections) - Anti-TOM70 antibody [EPR26576-162] (AB289977)

Immunohistochemical analysis of paraffin-embedded Human esophagus tissue labelling TOM70 with ab289977 at 1/2000 dilution followed by Rabbit specific IHC polymer detection kit HRP/DAB (ab209101). Positive staining on human esophagus. The section was incubated with ab289977 for 10 mins at room temperature. The immunostaining was performed on a Leica Biosystems BOND® RX instrument. Counterstained with Hematoxylin.

Secondary antibody only control : Secondary antibody is Rabbit specific IHC polymer detection kit HRP/DAB (ab209101).

Heat mediated antigen retrieval with Tris-EDTA buffer (pH 9.0, epitope retrieval solution2) for 10 mins

Flow Cytometry (Intracellular) - Anti-TOM70 antibody [EPR26576-162] (AB289977)
  • Flow Cyt (Intra)

Lab

Flow Cytometry (Intracellular) - Anti-TOM70 antibody [EPR26576-162] (AB289977)

Flow cytometric analysis of 4% paraformaldehyde fixed, 90% methanol permeabilized U-2 OS (human bone osteosarcoma epithelial cell) cells labelling TOM70 with ab289977 at 1/500 dilution (0.1μg) (Red) compared with a Rabbit monoclonal IgG (ab172730) (Black) isotype control and an unlabelled control (cells without incubation with primary antibody and secondary antibody) (Blue). A Goat Anti-Rabbit IgG (Alexa Fluor® 488, ab150081) at 1/2000 dilution was used as the secondary antibody.

Immunocytochemistry/ Immunofluorescence - Anti-TOM70 antibody [EPR26576-162] (AB289977)
  • ICC/IF

Lab

Immunocytochemistry/ Immunofluorescence - Anti-TOM70 antibody [EPR26576-162] (AB289977)

Immunofluorescent analysis of 4% Paraformaldehyde-fixed, 0.1% Triton X-100 permeabilized U-2 OS cells labeling TOM70 with ab289977 at 1/100 dilution, followed by ab150081 Goat Anti-Rbit IgG H&L (Alexa Fluor® 488) preadsorbed antibody at 1/1000 dilution (Green). Confocal image showing mitochondrial staining in U-2 OS cell line. ab33985 Anti-COX IV mouse monoclonal antibody - Mitochondrial Marker was used at 1/1000 dilution (Red). The Nuclear counterstain was DAPI (Blue).

Secondary antibody only control : Secondary antibody is ab150081 Goat Anti-Rabbit IgG H&L (Alexa Fluor® 488) preadsorbed at 1/1000 dilution.

Immunocytochemistry/ Immunofluorescence - Anti-TOM70 antibody [EPR26576-162] (AB289977)
  • ICC/IF

Lab

Immunocytochemistry/ Immunofluorescence - Anti-TOM70 antibody [EPR26576-162] (AB289977)

Immunofluorescent analysis of 4% Paraformaldehyde-fixed, 0.1% TritonX-100 permeabilized NIH/3T3 cells labeling TOM70 with ab289977 at 1/100 dilution, followed by ab150081 Goat Anti-Rabbit IgG H&L (Alexa Fluor® 488) preadsorbed antibody at 1/1000 (2 μg/ml) dilution (Green). Confocal image showing cytoplasmic staining in NIH/3T3 cell line is observed. ab195889 Anti-alpha Tubulin mouse monoclonal antibody - Microtubule Marker (Alexa Fluo 594) was used to counterstain tubulin at 1/200 dilution (Red). The Nuclear counterstain was DAPI (Blue).

Secondary antibody only control : Secondary antibody is ab150081 Goat Anti-Rabbit IgG H&L (Alexa Fluor® 488) preadsorbed at 1/1000 dilution.

Immunocytochemistry/ Immunofluorescence - Anti-TOM70 antibody [EPR26576-162] (AB289977)
  • ICC/IF

Lab

Immunocytochemistry/ Immunofluorescence - Anti-TOM70 antibody [EPR26576-162] (AB289977)

Immunofluorescent analysis of 4% Paraformaldehyde-fixed, 0.1% Triton X-100 permeabilized C6 cells labeling TOM70 with ab289977 at 1/100 dilution, followed by ab150081 Goat Anti-Rabbit IgG H&L (Alexa Fluor® 488) preadsorbed antibody at 1/1000 dilution (Green). Confocal image showing cytoplasmic staining in C6 cell line. ab195889 Anti-alpha Tubulin mouse monoclonal antibody - Microtubule Marker (Alexa Fluor® 594) was used to counterstain tubulin at 1/200 dilution (Red). The Nuclear counterstain was DAPI (Blue).

Secondary antibody only control : Secondary antibody is ab150081 Goat Anti-Rabbit IgG H&L (Alexa Fluor® 488) preadsorbed at 1/1000 dilution.

Flow Cytometry (Intracellular) - Anti-TOM70 antibody [EPR26576-162] (AB289977)
  • Flow Cyt (Intra)

Lab

Flow Cytometry (Intracellular) - Anti-TOM70 antibody [EPR26576-162] (AB289977)

Intracellular flow cytometric analysis of 4% paraformaldehyde fixed, 90% methanol permeabilized NIH/3T3 (Mouse embryonic fibroblast) cells labelling TOM70 with ab289977 at 1/500 dilution (0.1μg) (Red) compared with a Rabbit monoclonal IgG (ab172730) (Black) isotype control and an unlabelled control (cells without incubation with primary antibody and secondary antibody) (Blue). A Goat Anti-Rabbit IgG (Alexa Fluor® 488, ab150081) at 1/2000 dilution was used as the secondary antibody.

Flow Cytometry (Intracellular) - Anti-TOM70 antibody [EPR26576-162] (AB289977)
  • Flow Cyt (Intra)

Lab

Flow Cytometry (Intracellular) - Anti-TOM70 antibody [EPR26576-162] (AB289977)

Intracellular flow cytometric analysis of 4% paraformaldehyde fixed 90% methanol permeabilized C6 (rat glial tumor glial cell) cells labelling TOM70 with ab289977 at 1/500 dilution (0.1μg) (Red)compared with a Rabbit monoclonal IgG (ab172730) (Black) isotype control and an unlabelled control (cells without incubation with primary antibody and secondary antibody) (Blue). A Goat Anti-Rabbit IgG (Alexa Fluor® 488, ab150081) at 1/2000 dilution was used as the secondary antibody.

Immunoprecipitation - Anti-TOM70 antibody [EPR26576-162] (AB289977)
  • IP

Lab

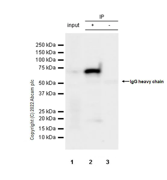
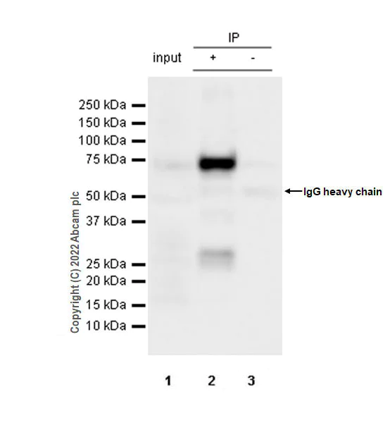
Immunoprecipitation - Anti-TOM70 antibody [EPR26576-162] (AB289977)

TOM70 was immunoprecipitated from NIH/3T3 (mouse embryonic fibroblast) whole cell lysate with ab289977 at 1/30 dilution (2μg in 0.35mg lysates). Western blot was performed on the immunoprecipitate using ab289977 at 1/1000 dilution. VeriBlot for IP secondary antibody(HRP)(ab131366) was used at 1/5000 dilution.

Lane 1 : NIH/3T3 (mouse embryonic fibroblast) whole cell lysate 10 μg

Lane 2 : ab289977 IP in NIH/3T3 whole cell lysate

Lane 3 : Rabbit monoclonal IgG (ab172730) instead of ab289977 in NIH/3T3 whole cell lysate

Blocking and dilution buffer and concentration : 5% NFDM/TBST.

Exposure time : 3.25 seconds

All lanes:

Immunoprecipitation - Anti-TOM70 antibody [EPR26576-162] (ab289977)

Predicted band size: 67 kDa

Observed band size: 70 kDa

false

Immunoprecipitation - Anti-TOM70 antibody [EPR26576-162] (AB289977)
  • IP

Lab

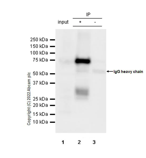
Immunoprecipitation - Anti-TOM70 antibody [EPR26576-162] (AB289977)

TOM70 was immunoprecipitated from C6 (rat glial tumor glial cell) whole cell lysate with ab289977 at 1/30 dilution (2μg in 0.35mg lysates). Western blot was performed on the immunoprecipitate using ab289977 at 1/1000 dilution. VeriBlot for IP secondary antibody(HRP)(ab131366) was used at 1/5000 dilution.

Lane 1 : C6 (rat glial tumor glial cell) whole cell lysate 10 μg

Lane 2 : ab289977 IP in C6 whole cell lysate

Lane 3 : Rabbit monoclonal IgG (ab172730) instead of ab289977 in C6 whole cell lysate

Blocking and dilution buffer and concentration : 5% NFDM/TBST.

Exposure time : 3.25 seconds

All lanes:

Immunoprecipitation - Anti-TOM70 antibody [EPR26576-162] (ab289977)

Predicted band size: 67 kDa

Observed band size: 70 kDa

false

Western blot - Anti-TOM70 antibody [EPR26576-162] (AB289977)
  • WB

Supplier Data

Western blot - Anti-TOM70 antibody [EPR26576-162] (AB289977)

False colour image of Western blot : Anti-TOM70 antibody [EPR26576-162] staining at 1/1000 dilution, shown in green; Mouse anti-GAPDH antibody [6C5] (ab8245) loading control staining at 1/20000 dilution, shown in red. In Western blot, ab289977 was shown to bind specifically to TOM70. A band was observed at 72 kDa in wild-type HeLa cell lysates with no signal observed at this size in TOMM70 knockout cell line ab265396 (knockout cell lysate ab258732). To generate this image, wild-type and TOMM70 knockout HeLa cell lysates were analysed. First, samples were run on an SDS-PAGE gel then transferred onto a nitrocellulose membrane. Membranes were blocked in 3 % milk in TBS-0.1 % Tween® 20 (TBS-T) before incubation with primary antibodies overnight at 4 °C. Blots were washed four times in TBS-T, incubated with secondary antibodies for 1 h at room temperature, washed again four times then imaged. Secondary antibodies used were Goat anti-Rabbit IgG H&L 800CW and Goat anti-Mouse IgG H&L 680RD at 1/20000 dilution.

All lanes:

Western blot - Anti-TOM70 antibody [EPR26576-162] (ab289977) at 1/1000 dilution

Lane 1:

Wild-type HeLa cell lysate at 20 µg

Lane 2:

Western blot - Human TOMM70A (TOM70) knockout HeLa cell lysate (<a href='/products/cell-lysates/human-tomm70a-tom70-knockout-hela-cell-lysate-ab258732'>ab258732</a>) at 20 µg

Lane 3:

U-2 OS cell lysate at 20 µg

Lane 4:

Mouse Brain cell lysate at 20 µg

Lane 5:

Rat Brain cell lysate at 20 µg

Secondary

All lanes:

Goat anti-Rabbit IgG H&L 800CW and Goat anti-Mouse IgG H&L 680RD at 1/20000 dilution

Predicted band size: 67 kDa

Observed band size: 72 kDa

false

Western blot - Anti-TOM70 antibody [EPR26576-162] (AB289977)
  • WB

Lab

Western blot - Anti-TOM70 antibody [EPR26576-162] (AB289977)

Blocking and diluting buffer and concentration : 5% NFDM/TBST

The expression profile/molecular weight observed is consistent with that described in the literature (PMID : 31907385, PMID : 11956321).

Exposure time : 3.25 seconds

All lanes:

Western blot - Anti-TOM70 antibody [EPR26576-162] (ab289977) at 1/1000 dilution

Lane 1:

HepG2 (human hepatocellular carcinoma epithelial cell) whole cell lysate at 20 µg

Lane 2:

HeLa (human cervix adenocarcinoma epithelial cell) whole cell lysate at 20 µg

Lane 3:

U-2 OS (human bone osteosarcoma epithelial cell) whole cell lysate at 20 µg

Secondary

All lanes:

Goat Anti-Rabbit IgG (HRP) with minimal cross-reactivity with human IgG at 1/2000 dilution

Predicted band size: 67 kDa

Observed band size: 70 kDa

false

Western blot - Anti-TOM70 antibody [EPR26576-162] (AB289977)
  • WB

Lab

Western blot - Anti-TOM70 antibody [EPR26576-162] (AB289977)

Blocking and diluting buffer and concentration : 5% NFDM/TBST

The expression profile/molecular weight observed is consistent with that described in the literature (PMID : 32356556)

Low expression : Breast (human protein atlas : https : //www.proteinatlas.org/ENSG00000154174-TOMM70)

Exposure time : 15 seconds

All lanes:

Western blot - Anti-TOM70 antibody [EPR26576-162] (ab289977) at 1/1000 dilution

Lane 1:

NIH/3T3 (mouse embryonic fibroblast) whole cell lysate at 20 µg

Lane 2:

Mouse brain tissue lysate at 20 µg

Lane 3:

Mouse liver tissue lysate at 20 µg

Lane 4:

Mouse breast tissue lysate at 20 µg

Lane 5:

C6 (rat glial tumor glial cell) whole cell lysate at 20 µg

Lane 6:

Rat brain tissue lysate at 20 µg

Lane 7:

Rat liver tissue lysate at 20 µg

Lane 8:

Rat breast tissue lysate at 20 µg

Secondary

All lanes:

Goat Anti-Rabbit IgG, (H+L), Peroxidase conjugated (<a href='/products/secondary-antibodies/goat-rabbit-igg-h-l-hrp-ab97051'>ab97051</a>) at 1/100000 dilution

Predicted band size: 67 kDa

Observed band size: 70 kDa

false

Immunoprecipitation - Anti-TOM70 antibody [EPR26576-162] (AB289977)
  • IP

Lab

Immunoprecipitation - Anti-TOM70 antibody [EPR26576-162] (AB289977)

TOM70 was immunoprecipitated from 0.35 mg HeLa (human cervix adenocarcinoma epithelial cell) whole cell lysate 10 µg with ab289977 at 1/30 dilution (2µg in 0.35mg lysates). Western blot was performed on the immunoprecipitate using ab289977 at 1/1000 dilution. VeriBlot for IP secondary antibody(HRP)(ab131366) was used at 1/5000 dilution. Lane 1 : HeLa (human cervix adenocarcinoma epithelial cell) whole cell lysate 10 µg Lane 2 : ab289977 IP in HeLa whole cell lysate Lane 3 : Rabbit monoclonal IgG (ab172730) instead of ab289977 in HeLa whole cell lysate Blocking and dilution buffer and concentration : 5% NFDM/TBST.

All lanes:

Immunoprecipitation - Anti-TOM70 antibody [EPR26576-162] (ab289977) at 1/30 dilution

Lane 1:

HeLa (human cervix adenocarcinoma epithelial cell) whole cell lysate at 10 µg

Lane 2:

ab289977 IP in HeLa whole cell lysate

Lane 3:

Rabbit monoclonal IgG (<a href='/products/primary-antibodies/rabbit-igg-monoclonal-epr25a-isotype-control-ab172730'>ab172730</a>) instead of ab289977 in HeLa whole cell lysate

Secondary

All lanes:

Immunoprecipitation - VeriBlot for IP Detection Reagent (HRP) (<a href='/products/reagents/veriblot-for-ip-detection-reagent-hrp-ab131366'>ab131366</a>) at 1/5000 dilution

Predicted band size: 67 kDa

Observed band size: 67 kDa

false

Exposure time: 3.25s

関連する標識済み抗体及び組成の異なる製品 (1)

  • Carrier free

    Anti-TOM70 antibody [EPR26576-162] - BSA and Azide free

Key facts

宿主種

Rabbit

クローン性

Monoclonal

クローン番号

EPR26576-162

アイソタイプ

IgG

キャリアフリー

No

交差種

Human, Mouse, Rat

アプリケーション

IP, IHC-P, Flow Cyt (Intra), ICC/IF, WB

applications

免疫原

The exact immunogen used to generate this antibody is proprietary information.

特異性

This antibody does not react with Mouse and Rat species for IHC.

Reactivity data

{ "title": "Reactivity Data", "filters": { "stats": ["", "Species", "Dilution Info", "Notes"], "tabs": { "all-applications": {"fullname" : "All Applications", "shortname": "All Applications"}, "ICCIF" : {"fullname" : "Immunocytochemistry/ Immunofluorescence", "shortname":"ICC/IF"}, "IP" : {"fullname" : "Immunoprecipitation", "shortname":"IP"}, "WB" : {"fullname" : "Western blot", "shortname":"WB"}, "FlowCytIntra" : {"fullname" : "Flow Cytometry (Intracellular)", "shortname":"Flow Cyt (Intra)"}, "IHCP" : {"fullname" : "Immunohistochemistry (Formalin/PFA-fixed paraffin-embedded sections)", "shortname":"IHC-P"} }, "product-promise": { "all": "all", "testedAndGuaranteed": "tested", "guaranteed": "expected", "predicted": "predicted", "notRecommended": "not-recommended" } }, "values": { "Human": { "ICCIF-species-checked": "testedAndGuaranteed", "ICCIF-species-dilution-info": "1/100", "ICCIF-species-notes": "<p></p>", "IP-species-checked": "testedAndGuaranteed", "IP-species-dilution-info": "1/30", "IP-species-notes": "<p></p>", "WB-species-checked": "testedAndGuaranteed", "WB-species-dilution-info": "1/1000", "WB-species-notes": "<p></p>", "FlowCytIntra-species-checked": "testedAndGuaranteed", "FlowCytIntra-species-dilution-info": "1/500", "FlowCytIntra-species-notes": "<p></p>", "IHCP-species-checked": "testedAndGuaranteed", "IHCP-species-dilution-info": "", "IHCP-species-notes": "<p>Only suitable for Human.</p>" }, "Mouse": { "ICCIF-species-checked": "testedAndGuaranteed", "ICCIF-species-dilution-info": "1/100", "ICCIF-species-notes": "<p></p>", "IP-species-checked": "testedAndGuaranteed", "IP-species-dilution-info": "1/30", "IP-species-notes": "<p></p>", "WB-species-checked": "testedAndGuaranteed", "WB-species-dilution-info": "1/1000", "WB-species-notes": "<p></p>", "FlowCytIntra-species-checked": "testedAndGuaranteed", "FlowCytIntra-species-dilution-info": "1/500", "FlowCytIntra-species-notes": "<p></p>", "IHCP-species-checked": "notRecommended", "IHCP-species-dilution-info": "", "IHCP-species-notes": "<p>Only suitable for Human.</p>" }, "Rat": { "ICCIF-species-checked": "testedAndGuaranteed", "ICCIF-species-dilution-info": "1/100", "ICCIF-species-notes": "<p></p>", "IP-species-checked": "testedAndGuaranteed", "IP-species-dilution-info": "1/30", "IP-species-notes": "<p></p>", "WB-species-checked": "testedAndGuaranteed", "WB-species-dilution-info": "1/1000", "WB-species-notes": "<p></p>", "FlowCytIntra-species-checked": "testedAndGuaranteed", "FlowCytIntra-species-dilution-info": "1/500", "FlowCytIntra-species-notes": "<p></p>", "IHCP-species-checked": "notRecommended", "IHCP-species-dilution-info": "", "IHCP-species-notes": "<p>Only suitable for Human.</p>" } } }

製品の詳細

Patented technology
Our RabMAb® technology is a patented hybridoma-based technology for making rabbit monoclonal antibodies. For details on our patents, please refer to RabMAb® patents.

What are the advantages of a recombinant monoclonal antibody?
This product is a recombinant monoclonal antibody, which offers several advantages including:

  • - High batch-to-batch consistency and reproducibility
  • - Improved sensitivity and specificity
  • - Long-term security of supply
  • - Animal-free batch production

For more information, read more on recombinant antibodies.

出荷温度及び保存条件

製品の状態
Liquid
精製方法
Affinity purification Protein A
バッファー組成
pH: 7.2 - 7.4 Preservative: 0.01% Sodium azide Constituents: PBS, 40% Glycerol (glycerin, glycerine), 0.05% BSA
出荷温度
Blue Ice
短期保存期間
1-2 weeks
短期保存温度
+4°C
長期保存温度
-20°C
分注に関する情報
Upon delivery aliquot
保管に関する情報
Avoid freeze / thaw cycle

製品プロトコール

For this product, it's our understanding that no specific protocols are required. You can visit:

ターゲットの情報

Acts as a receptor of the preprotein translocase complex of the outer mitochondrial membrane (TOM complex) (PubMed : 12526792). Recognizes and mediates the translocation of mitochondrial preproteins from the cytosol into the mitochondria in a chaperone dependent manner (PubMed : 12526792, PubMed : 35025629). Mediates TBK1 and IRF3 activation induced by MAVS in response to Sendai virus infection and promotes host antiviral responses during virus infection (PubMed : 20628368, PubMed : 25609812, PubMed : 32728199). Upon Sendai virus infection, recruits HSP90AA1 : IRF3 : BAX in mitochondrion and the complex induces apoptosis (PubMed : 25609812).
See full target information TOMM70

文献 (5)

Recent publications for all applications. Explore the full list and refine your search

ACS nano 18:30405-30420 PubMed39453865

2024

Mitochondrial Bioenergetics of Functional Wound Closure is Dependent on Macrophage-Keratinocyte Exosomal Crosstalk.

Applications

Unspecified application

Species

Unspecified reactive species

Anu Sharma,Rajneesh Srivastava,Surya C Gnyawali,Pramod Bhasme,Adam J Anthony,Yi Xuan,Jonathan C Trinidad,Chandan K Sen,David E Clemmer,Sashwati Roy,Subhadip Ghatak

The Journal of clinical investigation 134: PubMed39264847

2024

Lactate supports Treg function and immune balance via MGAT1 effects on N-glycosylation in the mitochondria.

Applications

Unspecified application

Species

Unspecified reactive species

Jinren Zhou,Jian Gu,Qufei Qian,Yigang Zhang,Tianning Huang,Xiangyu Li,Zhuoqun Liu,Qing Shao,Yuan Liang,Lei Qiao,Xiaozhang Xu,Qiuyang Chen,Zibo Xu,Yu Li,Ji Gao,Yufeng Pan,Yiming Wang,Roderick O'Connor,Keli L Hippen,Ling Lu,Bruce R Blazar

Journal of virology 98:e0068024 PubMed39158347

2024

Mouse hepatitis virus JHMV I protein is required for maximal virulence.

Applications

Unspecified application

Species

Unspecified reactive species

Shea A Lowery,Noah Schuster,Lok-Yin Roy Wong,Thomas Carrillo,Erin Peters,Abby Odle,Alan Sariol,Isabella Cesarz,Pengfei Li,Stanley Perlman

Cell death & disease 15:74 PubMed38242874

2024

COX6C expression driven by copy amplification of 8q22.2 regulates cell proliferation via mediation of mitosis by ROS-AMPK signaling in lung adenocarcinoma.

Applications

Unspecified application

Species

Unspecified reactive species

Shuanghui Liu,Fanggui Shao,Yourong Wang,Yurui Zhang,Hongjia Yu,Ningxin Zhang,Lan He,Qingran Kong,Hao Jiang,Zhixiong Dong

mBio 14:e0247623 PubMed37882568

2023

Contrasting roles of MERS-CoV and SARS-CoV-2 internal proteins in pathogenesis in mice.

Applications

Unspecified application

Species

Unspecified reactive species

Lok-Yin Roy Wong,Abby Odle,Emma Luhmann,Douglas C Wu,Yiquan Wang,Qi Wen Teo,Celeste Ptak,Alan Sariol,Shea Lowery,Matthias Mack,David K Meyerholz,Nicholas C Wu,Lilliana Radoshevich,Stanley Perlman
View all publications

Abcam product promise

当社は、高品質な試薬を通じてお客様の研究を力強くサポートすることをお約束いたします。ご使用いただく各段階で、常にお客様をサポートできる体制を整えております。万が一、製品が期待通りに機能しない場合は、「Abcam Product Promise」による当社保証制度に基づき、安心してご利用いただけます。
保証に関する詳細については利用規約をご確認ください。

Please note: All products are 'FOR RESEARCH USE ONLY. NOT FOR USE IN DIAGNOSTIC OR THERAPEUTIC PROCEDURES'.

For licensing inquiries, please contact partnerships@abcam.com