JavaScript is disabled in your browser. Please enable JavaScript to view this website.
AB227987

Anti-TNFAIP3 抗体 [EPR2663] - BSA and Azide free

Anti-TNFAIP3 antibody [EPR2663] - BSA and Azide free

Be the first to review this product! Submit a review

|

(9 Publications)

Knockout Tested Rabbit Recombinant Monoclonal TNFAIP3 antibody. Carrier free. Suitable for WB, IHC-P and reacts with Human, Mouse samples. Cited in 9 publications.

別名を表示する

OTUD7C, TNFAIP3, Tumor necrosis factor alpha-induced protein 3, TNF alpha-induced protein 3, OTU domain-containing protein 7C, Putative DNA-binding protein A20, Zinc finger protein A20

6 Images
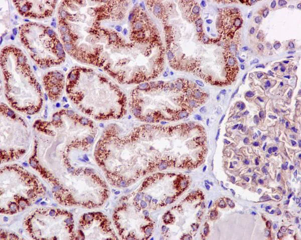
Immunohistochemistry (Formalin/PFA-fixed paraffin-embedded sections) - Anti-TNFAIP3 antibody [EPR2663] - BSA and Azide free (AB227987)
  • IHC-P

Unknown

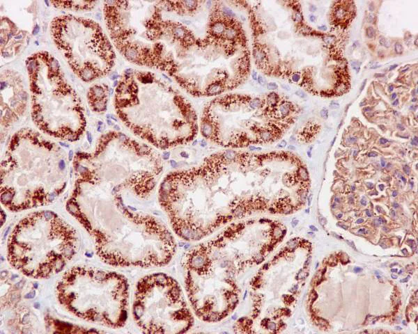
Immunohistochemistry (Formalin/PFA-fixed paraffin-embedded sections) - Anti-TNFAIP3 antibody [EPR2663] - BSA and Azide free (AB227987)

Immunohistochemistry (Formalin/PFA-fixed paraffin-embedded sections) analysis of human kidney tissue labelling TNFAIP3 with purified ab92324 at 1/100. Heat mediated antigen retrieval was performed using Tris/EDTA buffer pH 9. A prediluted HRP-polymer conjugated anti-rabbit IgG was used as the secondary antibody. Counterstained with Hematoxylin.

This data was developed using the same antibody clone in a different buffer formulation containing PBS, BSA, glycerol, and sodium azide (ab92324).

Immunohistochemistry (Formalin/PFA-fixed paraffin-embedded sections) - Anti-TNFAIP3 antibody [EPR2663] - BSA and Azide free (AB227987)
  • IHC-P

Unknown

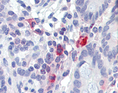
Immunohistochemistry (Formalin/PFA-fixed paraffin-embedded sections) - Anti-TNFAIP3 antibody [EPR2663] - BSA and Azide free (AB227987)

This IHC data was generated using the same anti-TNFAIP3 antibody clone, EPR2663, in a different buffer formulation (cat# ab92324).

Immunohistochemistry (Formalin/PFA-fixed paraffin-embedded sections) analysis of human kidney tissue labelling TNFAIP3 with unpurified ab92324 at 1/50. Heat mediated antigen retrieval was performed using Tris/EDTA buffer pH 9. A prediluted HRP-polymer conjugated anti-rabbit IgG was used as the secondary antibody. Counterstained with Hematoxylin.

Western blot - Anti-TNFAIP3 antibody [EPR2663] - BSA and Azide free (AB227987)
  • WB

Lab

Western blot - Anti-TNFAIP3 antibody [EPR2663] - BSA and Azide free (AB227987)

Western blot : Anti-TNFAIP3 antibody [EPR2663] (ab92324) staining at 1/1000 dilution, shown in green; Mouse anti-GAPDH antibody [6C5] (ab8245) loading control staining at 1/20000 dilution, shown in magenta. In Western blot, ab92324 was shown to bind specifically to TNFAIP3. A band was observed at 90 kDa in wild-type U-87 MG cell lysates with no signal observed at this size in TNFAIP3 knockout cell line. To generate this image, wild-type and TNFAIP3 knockout U-87 MG cell lysates were analysed. First, samples were run on an SDS-PAGE gel then transferred onto a nitrocellulose membrane. Membranes were blocked in 3 % milk in TBS-0.1 % Tween® 20 (TBS-T) before incubation with primary antibodies overnight at 4 °C. Blots were washed four times in TBS-T, incubated with secondary antibodies for 1 h at room temperature, washed again four times then imaged. Secondary antibodies used were Goat anti-Rabbit IgG H&L 800CW and Goat anti-Mouse IgG H&L 680RD at 1/20000 dilution.

All lanes:

Western blot - Anti-TNFAIP3 antibody [EPR2663] (<a href='/products/primary-antibodies/tnfaip3-antibody-epr2663-ab92324'>ab92324</a>) at 1/1000 dilution

Lane 1:

Wild-type U-87 MG cell lysate at 20 µg

Lane 2:

TNFAIP3 knockout U-87 MG cell lysate at 20 µg

Lane 3:

Wild-type A549 cell lysate at 20 µg

Lane 4:

TNFAIP3 knockout A549 cell lysate at 20 µg

Secondary

All lanes:

Goat anti-Rabbit IgG H&L 800CW and Goat anti-Mouse IgG H&L 680RD at 1/20000 dilution

false

Western blot - Anti-TNFAIP3 antibody [EPR2663] - BSA and Azide free (AB227987)
  • WB

Lab

Western blot - Anti-TNFAIP3 antibody [EPR2663] - BSA and Azide free (AB227987)

This data was developed using the same antibody clone in a different buffer formulation (ab92324).

Lanes 1-4 : Merged signal (red and green). Green - ab92324 observed at 80 kDa. Red - loading control, ab8245 observed at 37 kDa.

ab92324 Anti-TNFAIP3 antibody [EPR2663] was shown to specifically react with TNFAIP3 in wild-type HeLa cells. Loss of signal was observed when knockout cell line ab265983 (knockout cell lysate ab257112) was used. Wild-type and TNFAIP3 knockout samples were subjected to SDS-PAGE. ab92324 and Anti-GAPDH antibody [6C5] - Loading Control (ab8245) were incubated overnight at 4°C at 1 in 1000 dilution and 1 in 20000 dilution respectively. Blots were developed with Goat anti-Rabbit IgG H&L (IRDye® 800CW) preadsorbed (ab216773) and Goat anti-Mouse IgG H&L (IRDye® 680RD) preadsorbed (ab216776) secondary antibodies at 1 in 10000 dilution for 1 hour at room temperature before imaging.

All lanes:

Western blot - Anti-TNFAIP3 antibody [EPR2663] (<a href='/products/primary-antibodies/tnfaip3-antibody-epr2663-ab92324'>ab92324</a>) at 1/1000 dilution

Lane 1:

Wild-type HeLa cell lysate at 20 µg

Lane 2:

TNFAIP3 knockout HeLa cell lysate at 20 µg

Lane 2:

Western blot - Human TNFAIP3 knockout HeLa cell line (<a href='/products/cell-lines/human-tnfaip3-knockout-hela-cell-line-ab265983'>ab265983</a>)

Lane 3:

Jurkat cell treated with 5ng/ml PMA for 48 hours and then treated with 2µg/ml PHA for 48 hours, whole cell lysate at 20 µg

Lane 4:

Untreated Jurkat cell lysate at 20 µg

Predicted band size: 89 kDa

Observed band size: 80 kDa

false

Western blot - Anti-TNFAIP3 antibody [EPR2663] - BSA and Azide free (AB227987)
  • WB

Supplier Data

Western blot - Anti-TNFAIP3 antibody [EPR2663] - BSA and Azide free (AB227987)

This data was developed using ab92324, the same antibody clone in a different buffer formulation.

Lanes 1-4 : Merged signal (red and green). Green - ab92324 observed at 80 kDa. Red - loading control ab8245 observed at 36 kDa.

ab92324 Anti-TNFAIP3 antibody [EPR2663] was shown to specifically react with TNFAIP3 in wild-type A549 cells. Loss of signal was observed when knockout cell line ab266945 (knockout cell lysate ab257113) was used. Wild-type and TNFAIP3 knockout samples were subjected to SDS-PAGE. ab92324 and Anti-GAPDH antibody [6C5] - Loading Control (ab8245) were incubated overnight at 4°C at 1 in 1000 dilution and 1 in 20000 dilution respectively. Blots were developed with Goat anti-Rabbit IgG H&L (IRDye® 800CW) preadsorbed (ab216773) and Goat anti-Mouse IgG H&L (IRDye® 680RD) preadsorbed (ab216776) secondary antibodies at 1 in 20000 dilution for 1 hour at room temperature before imaging.

All lanes:

Western blot - Anti-TNFAIP3 antibody [EPR2663] (<a href='/products/primary-antibodies/tnfaip3-antibody-epr2663-ab92324'>ab92324</a>) at 1/1000 dilution

Lane 1:

Wild-type A549 (Human lung carcinoma cell line) whole cell lysate at 20 µg

Lane 2:

TNFAIP3 knockout A549 (Human lung carcinoma cell line) whole cell lysate at 20 µg

Lane 2:

Western blot - Human TNFAIP3 knockout A549 cell line (<a href='/products/cell-lines/human-tnfaip3-knockout-a549-cell-line-ab266945'>ab266945</a>)

Lane 3:

Jurkat (Human T cell leukemia cell line from peripheral blood) cell treated with 5ng/ml PMA for 48 hours and then treated with 2µg/ml PHA for 48 hours, whole cell lysate at 20 µg

Lane 4:

Untreated Jurkat (Human T cell leukemia cell line from peripheral blood) whole cell lysate at 20 µg

Secondary

All lanes:

Western blot - Goat anti-Rabbit IgG H&L (IRDye® 800CW) preadsorbed (<a href='/products/secondary-antibodies/goat-rabbit-igg-h-l-irdye-800cw-preadsorbed-ab216773'>ab216773</a>) at 1/10000 dilution

Predicted band size: 89 kDa

Observed band size: 80 kDa

false

Western blot - Anti-TNFAIP3 antibody [EPR2663] - BSA and Azide free (AB227987)
  • WB

Lab

Western blot - Anti-TNFAIP3 antibody [EPR2663] - BSA and Azide free (AB227987)

This data was developed using the same antibody clone in a different buffer formulation (ab92324).

Lanes 1- 4 : Merged signal (red and green). Green - ab92324 observed at 90 kDa. Red - Anti-GAPDH antibody [6C5] - Loading Control (ab8245) observed at 37 kDa.

ab92324 was shown to react with TNFAIP3 in wild-type A549 cells in western blot. Loss of signal was observed when knockout cell line ab266946 (knockout cell lysate ab257114) was used. Wild-type A549 and TNFAIP3 knockout A549 cell lysates were subjected to SDS-PAGE. Membrane was blocked for 1 hour at room temperature in 0.1% TBST with 3% non-fat dried milk. ab92324 and Anti-GAPDH antibody [6C5] - Loading Control (ab8245) overnight at 4°C at a 1 in 1000 dilution and a 1 in 20000 dilution respectively. Blots were developed with Goat anti-Rabbit IgG H&L (IRDye®800CW) preadsorbed (ab216773) and Goat anti-Mouse IgG H&L (IRDye®680RD) preadsorbed (ab216776) secondary antibodies at 1 in 20000 dilution for 1 hour at room temperature before imaging.

All lanes:

Western blot - Anti-TNFAIP3 antibody [EPR2663] (<a href='/products/primary-antibodies/tnfaip3-antibody-epr2663-ab92324'>ab92324</a>) at 1/1000 dilution

Lane 1:

Wild-type A549 cell lysate at 20 µg

Lane 2:

TNFAIP3 knockout A549 cell lysate at 20 µg

Lane 2:

Western blot - Human TNFAIP3 knockout A549 cell line (<a href='/products/cell-lines/human-tnfaip3-knockout-a549-cell-line-ab266946'>ab266946</a>)

Lane 3:

Wild-type HeLa cell lysate at 20 µg

Lane 4:

TNFAIP3 knockout HeLa cell lysate at 20 µg

Predicted band size: 89 kDa

Observed band size: 90 kDa

false

関連する標識済み抗体及び組成の異なる製品 (8)

Key facts

宿主種

Rabbit

クローン性

Monoclonal

クローン番号

EPR2663

アイソタイプ

IgG

キャリアフリー

Yes

交差種

Mouse, Human

アプリケーション

WB, IHC-P

applications

免疫原

The exact immunogen used to generate this antibody is proprietary information.

特異性

Mouse species is recommended based on WB results, we do not guarantee IHC-P for mouse.

Reactivity data

{ "title": "Reactivity Data", "filters": { "stats": ["", "Species", "Dilution Info", "Notes"], "tabs": { "all-applications": {"fullname" : "All Applications", "shortname": "All Applications"}, "WB" : {"fullname" : "Western blot", "shortname":"WB"}, "ICCIF" : {"fullname" : "Immunocytochemistry/ Immunofluorescence", "shortname":"ICC/IF"}, "FlowCytIntra" : {"fullname" : "Flow Cytometry (Intracellular)", "shortname":"Flow Cyt (Intra)"}, "IHCP" : {"fullname" : "Immunohistochemistry (Formalin/PFA-fixed paraffin-embedded sections)", "shortname":"IHC-P"} }, "product-promise": { "all": "all", "testedAndGuaranteed": "tested", "guaranteed": "expected", "predicted": "predicted", "notRecommended": "not-recommended" } }, "values": { "Human": { "WB-species-checked": "testedAndGuaranteed", "WB-species-dilution-info": "", "WB-species-notes": "<p></p>", "ICCIF-species-checked": "notRecommended", "ICCIF-species-dilution-info": "", "ICCIF-species-notes": "<p></p>", "FlowCytIntra-species-checked": "notRecommended", "FlowCytIntra-species-dilution-info": "", "FlowCytIntra-species-notes": "<p><a href='/products/primary-antibodies/rabbit-igg-monoclonal-epr25a-isotype-control-low-endotoxin-azide-free-ab199376'>ab199376</a> - Rabbit monoclonal IgG (Low endotoxin, Azide free), is suitable for use as an isotype control with this antibody.</p>", "IHCP-species-checked": "testedAndGuaranteed", "IHCP-species-dilution-info": "", "IHCP-species-notes": "<p><strong>Mouse species is recommended based on WB results,</strong> <strong>we do not guarantee IHC-P for mouse. </strong></p>" }, "Mouse": { "WB-species-checked": "testedAndGuaranteed", "WB-species-dilution-info": "", "WB-species-notes": "<p></p>", "ICCIF-species-checked": "notRecommended", "ICCIF-species-dilution-info": "", "ICCIF-species-notes": "", "FlowCytIntra-species-checked": "notRecommended", "FlowCytIntra-species-dilution-info": "", "FlowCytIntra-species-notes": "", "IHCP-species-checked": "guaranteed", "IHCP-species-dilution-info": "", "IHCP-species-notes": "" } } }

製品の詳細

ab227987 is the carrier-free version of ab92324.

Conjugation ready
Our carrier-free antibodies are typically supplied in a PBS-only formulation, purified and free of BSA, sodium azide and glycerol. This conjugation-ready format is designed for use with fluorochromes, metal isotopes, oligonucleotides, and enzymes, which makes them ideal for antibody labelling, functional and cell-based assays, flow-based assays (e.g. mass cytometry) and Multiplex Imaging applications.

Use our conjugation kits for antibody conjugates that are ready-to-use in as little as 20 minutes with 1 minute hands-on-time and 100% antibody recovery: available for fluorescent dyes, HRP, biotin and gold.

Compatibility
This product is compatible with the Maxpar® Antibody Labeling Kit from Fluidigm, without the need for antibody preparation. Maxpar® is a trademark of Fluidigm Canada Inc.

出荷温度及び保存条件

製品の状態
Liquid
精製方法
Affinity purification Protein A
バッファー組成
pH: 7.2 - 7.4 Constituents: PBS
出荷温度
Blue Ice
短期保存温度
+4°C
長期保存温度
+4°C
保管に関する情報
Do Not Freeze

製品プロトコール

For this product, it's our understanding that no specific protocols are required. You can visit:

ターゲットの情報

Ubiquitin-editing enzyme that contains both ubiquitin ligase and deubiquitinase activities. Involved in immune and inflammatory responses signaled by cytokines, such as TNF-alpha and IL-1 beta, or pathogens via Toll-like receptors (TLRs) through terminating NF-kappa-B activity. Essential component of a ubiquitin-editing protein complex, comprising also RNF11, ITCH and TAX1BP1, that ensures the transient nature of inflammatory signaling pathways. In cooperation with TAX1BP1 promotes disassembly of E2-E3 ubiquitin protein ligase complexes in IL-1R and TNFR-1 pathways; affected are at least E3 ligases TRAF6, TRAF2 and BIRC2, and E2 ubiquitin-conjugating enzymes UBE2N and UBE2D3. In cooperation with TAX1BP1 promotes ubiquitination of UBE2N and proteasomal degradation of UBE2N and UBE2D3. Upon TNF stimulation, deubiquitinates 'Lys-63'-polyubiquitin chains on RIPK1 and catalyzes the formation of 'Lys-48'-polyubiquitin chains. This leads to RIPK1 proteasomal degradation and consequently termination of the TNF- or LPS-mediated activation of NF-kappa-B. Deubiquitinates TRAF6 probably acting on 'Lys-63'-linked polyubiquitin. Upon T-cell receptor (TCR)-mediated T-cell activation, deubiquitinates 'Lys-63'-polyubiquitin chains on MALT1 thereby mediating disassociation of the CBM (CARD11 : BCL10 : MALT1) and IKK complexes and preventing sustained IKK activation. Deubiquitinates NEMO/IKBKG; the function is facilitated by TNIP1 and leads to inhibition of NF-kappa-B activation. Upon stimulation by bacterial peptidoglycans, probably deubiquitinates RIPK2. Can also inhibit I-kappa-B-kinase (IKK) through a non-catalytic mechanism which involves polyubiquitin; polyubiquitin promotes association with IKBKG and prevents IKK MAP3K7-mediated phosphorylation. Targets TRAF2 for lysosomal degradation. In vitro able to deubiquitinate 'Lys-11'-, 'Lys-48'- and 'Lys-63' polyubiquitin chains. Inhibitor of programmed cell death. Has a role in the function of the lymphoid system. Required for LPS-induced production of pro-inflammatory cytokines and IFN beta in LPS-tolerized macrophages.
See full target information TNFAIP3

文献 (9)

Recent publications for all applications. Explore the full list and refine your search

PloS one 12:e0169026 PubMed28052131

2017

Two Antagonistic MALT1 Auto-Cleavage Mechanisms Reveal a Role for TRAF6 to Unleash MALT1 Activation.

Applications

WB

Species

Unspecified reactive species

Stefanie Ginster,Maureen Bardet,Adeline Unterreiner,Claire Malinverni,Florian Renner,Stephen Lam,Felix Freuler,Bertran Gerrits,Johannes Voshol,Thomas Calzascia,Catherine H Régnier,Martin Renatus,Rainer Nikolay,Laura Israël,Frédéric Bornancin

Journal of neuroinflammation 13:258 PubMed27716383

2016

Upregulation of neuronal zinc finger protein A20 expression is required for electroacupuncture to attenuate the cerebral inflammatory injury mediated by the nuclear factor-kB signaling pathway in cerebral ischemia/reperfusion rats.

Applications

Unspecified application

Species

Unspecified reactive species

Jian Zhan,Wenyi Qin,Ying Zhang,Jing Jiang,Hongmei Ma,Qiongli Li,Yong Luo

Transgenic research 26:153-163 PubMed27554374

2016

Generation of α-1,3-galactosyltransferase knocked-out transgenic cloned pigs with knocked-in five human genes.

Applications

WB

Species

Unspecified reactive species

Dae-Jin Kwon,Dong-Hwan Kim,In-Sul Hwang,Dong-Ern Kim,Hyung-Joo Kim,Jang-Seong Kim,Kichoon Lee,Gi-Sun Im,Jeong-Woong Lee,Seongsoo Hwang

Medicine 94:e1501 PubMed26426612

2015

Upregulated Expression of A20 on Monocytes is Associated With Increased Severity of Acute-on-Chronic Hepatitis B Liver Failure: A Case-Control Study.

Applications

Flow Cyt

Species

Unspecified reactive species

Yonghong Guo,Yu He,Ying Zhang,Yun Zhou,Yuan Qin,Chao Fan,Guangxi Ji,Peixin Zhang,Zhansheng Jia

PloS one 10:e0123922 PubMed25856582

2015

Frequent down regulation of the tumor suppressor gene a20 in multiple myeloma.

Applications

Unspecified application

Species

Unspecified reactive species

Katharina Troppan,Sybille Hofer,Kerstin Wenzl,Markus Lassnig,Beata Pursche,Elisabeth Steinbauer,Marco Wiltgen,Barbara Zulus,Wilfried Renner,Christine Beham-Schmid,Alexander Deutsch,Peter Neumeister

Genome biology 16:2 PubMed25601191

2015

NF-κB-direct activation of microRNAs with repressive effects on monocyte-specific genes is critical for osteoclast differentiation.

Applications

WB

Species

Unspecified reactive species

Lorenzo de la Rica,Antonio García-Gómez,Natalia R Comet,Javier Rodríguez-Ubreva,Laura Ciudad,Roser Vento-Tormo,Carlos Company,Damiana Álvarez-Errico,Mireia García,Carmen Gómez-Vaquero,Esteban Ballestar

Journal of molecular histology 43:319-25 PubMed22461193

2012

Expression of A20 is reduced in pancreatic cancer tissues.

Applications

IHC

Species

Human

Qing Wang,Lijuan Yuan,Ziyu Liu,Jikai Yin,Xue Jiang,Jianguo Lu

Investigative ophthalmology & visual science 52:8442-54 PubMed21917936

2011

Neurodegenerative and inflammatory pathway components linked to TNF-α/TNFR1 signaling in the glaucomatous human retina.

Applications

WB

Species

Unspecified reactive species

Xiangjun Yang,Cheng Luo,Jian Cai,David W Powell,Dahai Yu,Markus H Kuehn,Gülgün Tezel

Blood 117:4852-4 PubMed21406721

2011

A20 (TNFAIP3) genetic alterations in EBV-associated AIDS-related lymphoma.

Applications

IHC-P

Species

Human

Lisa Giulino,Susan Mathew,Gianna Ballon,Amy Chadburn,Sharon Barouk,Giuseppina Antonicelli,Lorenzo Leoncini,Yi Fang Liu,Swarna Gogineni,Wayne Tam,Ethel Cesarman
View all publications

Abcam product promise

当社は、高品質な試薬を通じてお客様の研究を力強くサポートすることをお約束いたします。ご使用いただく各段階で、常にお客様をサポートできる体制を整えております。万が一、製品が期待通りに機能しない場合は、「Abcam Product Promise」による当社保証制度に基づき、安心してご利用いただけます。
保証に関する詳細については利用規約をご確認ください。

Please note: All products are 'FOR RESEARCH USE ONLY. NOT FOR USE IN DIAGNOSTIC OR THERAPEUTIC PROCEDURES'.

For licensing inquiries, please contact partnerships@abcam.com