JavaScript is disabled in your browser. Please enable JavaScript to view this website.
AB321970

Anti-TMEM106B 抗体 [EPR27525-70]

Anti-TMEM106B antibody [EPR27525-70]

Be the first to review this product! Submit a review

|

(1 Publication)

Rabbit Recombinant Monoclonal T106B antibody. Suitable for WB, ICC/IF and reacts with Recombinant fragment - Human, Human, Mouse samples. Cited in 1 publication.

別名を表示する

Transmembrane protein 106B, TMEM106B

4 Images
Immunocytochemistry/ Immunofluorescence - Anti-TMEM106B antibody [EPR27525-70] (AB321970)
  • ICC/IF

Supplier Data

Immunocytochemistry/ Immunofluorescence - Anti-TMEM106B antibody [EPR27525-70] (AB321970)

Immunofluorescent analysis of 4% Paraformaldehyde-fixed 0.1% TritonX-100 permeabilized A549 (human lung carcinoma epithelial cell) cells labelling TMEM106B with ab321970 at 1/500 (1.034 ug/ml) dilution followed by ab150081 Goat Anti-Rabbit IgG H&L (Alexa Fluor® 488) preadsorbed antibody at 1/1000 2 ug/ml dilution (Green).

Confocal image showing cytoplasmic staining in A549 cell line (shown in green) and no staining in TMEM106B KO A549 cell line. The counterstain was observed in magenta. Nuclear DNA was labelled with DAPI (shown in blue). Image was taken with a confocal microscope (Leica-Microsystems TCS SP8).

ab195889 Anti-alpha Tubulin mouse monoclonal antibody - Microtubule Marker (Alexa Fluor® 594) was used to counterstain tubulin at 1/200 2.5ug/ml dilution (Magenta). The Nuclear counterstain was DAPI (Blue).

Secondary antibody only control : Secondary antibody is ab150081 Goat Anti-Rabbit IgG H&L (Alexa Fluor® 488) preadsorbed at 1/1000 2 ug/ml dilution.

Western blot - Anti-TMEM106B antibody [EPR27525-70] (AB321970)
  • WB

Supplier Data

Western blot - Anti-TMEM106B antibody [EPR27525-70] (AB321970)

Blocking and diluting buffer and concentration : 5% NFDM/TBST.

This antibody cross-react with recombinant human TMEM106C by western blot.

All lanes:

Western blot - Anti-TMEM106B antibody [EPR27525-70] (ab321970) at 1/1000 dilution

Lane 1:

His-tagged human TMEM106B recombinant fragment at 10 ng

Lane 2:

His-tagged human TMEM106C recombinant fragment at 10 ng

Secondary

All lanes:

Western blot - Goat Anti-Rabbit IgG H&L (HRP) (<a href='/products/secondary-antibodies/goat-rabbit-igg-h-l-hrp-ab97051'>ab97051</a>) at 1/20000 dilution

Observed band size: 14 kDa

false

Exposure time: 26s

Western blot - Anti-TMEM106B antibody [EPR27525-70] (AB321970)
  • WB

Supplier Data

Western blot - Anti-TMEM106B antibody [EPR27525-70] (AB321970)

Blocking and diluting buffer and concentration : 5% NFDM/TBST.

The molecular weight observed is consistent with what has been described in the literature (PMID : 22895706).

All lanes:

Western blot - Anti-TMEM106B antibody [EPR27525-70] (ab321970) at 1/1000 dilution

Lane 1:

IMR-32 (human neuroblastoma neuroblast) whole cell lysate at 20 µg

Lane 2:

3T3-L1 (mouse embryonic fibroblast) whole cell lysate at 20 µg

Lane 3:

NIH/3T3 (mouse embryonic fibroblast) whole cell lysate at 20 µg

Lane 4:

Mouse testis tissue lysate at 20 µg

Lane 5:

Mouse kidney tissue lysate at 20 µg

Lane 6:

Mouse pancreas tissue lysate at 20 µg

Secondary

All lanes:

Western blot - Goat Anti-Rabbit IgG H&L (HRP) (<a href='/products/secondary-antibodies/goat-rabbit-igg-h-l-hrp-ab97051'>ab97051</a>) at 1/20000 dilution

false

Exposure time: 81s

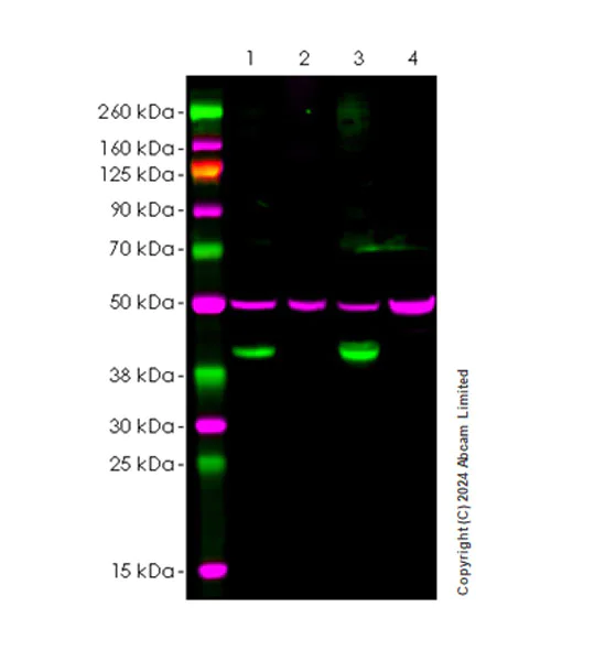
Western blot - Anti-TMEM106B antibody [EPR27525-70] (AB321970)
  • WB

Supplier Data

Western blot - Anti-TMEM106B antibody [EPR27525-70] (AB321970)

Blocking buffer and concentration : Intercept® (TBS) Blocking Buffer diluted with an equal volume of TBS. Diluting buffer and concentration : Intercept® (TBS) Blocking Buffer diluted with an equal volume of 0.1% TBST

The samples were run on a Bis-Tris gel under reducing conditions.

Western blot : Anti-TMEM106B antibody (ab321970) staining at 1/1000 dilution, shown in green; Mouse anti-Tubulin antibody [DM1A] (ab7291) loading control staining at 1/20000 dilution, shown in magenta.

In Western blot, ab321970 was shown to bind specifically to TMEM106B. Target of interest was observed at 40 kDa in wild-type A549 cell lysates (lane 1) with no signal observed at this size in TMEM106B knockout cell line (lane 2, knockout cell line ab273711 / knockout cell lysate ab273769). To generate this image, samples were first run on an SDS-PAGE gel then transferred onto an immobilon-FL PVDF membrane. Membranes were blocked in a fluorescent western blot (TBS-based) blocking solution before incubation with primary antibodies overnight at 4 °C. Blots were washed in TBS-T, incubated with secondary antibodies Goat anti-Rabbit IgG H&L 800CW and Goat anti-Mouse IgG H&L 680RD at 1/20000 dilution for 1 h at room temperature, washed again then imaged.

Negative control : Raji.

Exposure time : N/A

All lanes:

Western blot - Anti-TMEM106B antibody [EPR27525-70] (ab321970) at 1/1000 dilution

Lane 1:

Wild-type A549 (human lung carcinoma epithelial cell) whole cell lysate at 20 µg

Lane 2:

TMEM106B knockout A549 whole cell lysate at 20 µg

Lane 3:

PANC-1 (human pancreatic epithelioid carcinoma epithelial cell) whole cell lysate at 20 µg

Lane 4:

Raji (human burkitts lymphoma b lymphocyte) whole cell lysate at 20 µg

Secondary

All lanes:

Goat Anti-Rabbit IgG H&L (800CW) and Goat Anti-Mouse IgG H&L (680RD) at 1/20000 dilution

Observed band size: 40 kDa

false

Key facts

宿主種

Rabbit

クローン性

Monoclonal

クローン番号

EPR27525-70

アイソタイプ

IgG

キャリアフリー

No

交差種

Human, Mouse

アプリケーション

ICC/IF, WB

applications

免疫原

The exact immunogen used to generate this antibody is proprietary information.

特異性

Unsuitable for mouse ICC. This antibody cross-react with recombinant human TMEM106C by western blot.

Reactivity data

{ "title": "Reactivity Data", "filters": { "stats": ["", "Species", "Dilution Info", "Notes"], "tabs": { "all-applications": {"fullname" : "All Applications", "shortname": "All Applications"}, "WB" : {"fullname" : "Western blot", "shortname":"WB"}, "ICCIF" : {"fullname" : "Immunocytochemistry/ Immunofluorescence", "shortname":"ICC/IF"}, "IHCFr" : {"fullname" : "Immunohistochemistry (Frozen sections)", "shortname":"IHC-Fr"}, "IHCP" : {"fullname" : "Immunohistochemistry (Formalin/PFA-fixed paraffin-embedded sections)", "shortname":"IHC-P"} }, "product-promise": { "all": "all", "testedAndGuaranteed": "tested", "guaranteed": "expected", "predicted": "predicted", "notRecommended": "not-recommended" } }, "values": { "Human": { "WB-species-checked": "testedAndGuaranteed", "WB-species-dilution-info": "1/1000", "WB-species-notes": "<p></p>", "ICCIF-species-checked": "testedAndGuaranteed", "ICCIF-species-dilution-info": "1/500", "ICCIF-species-notes": "<p></p>", "IHCFr-species-checked": "notRecommended", "IHCFr-species-dilution-info": "", "IHCFr-species-notes": "", "IHCP-species-checked": "notRecommended", "IHCP-species-dilution-info": "", "IHCP-species-notes": "<p></p>" }, "Mouse": { "WB-species-checked": "testedAndGuaranteed", "WB-species-dilution-info": "1/1000", "WB-species-notes": "<p></p>", "ICCIF-species-checked": "notRecommended", "ICCIF-species-dilution-info": "", "ICCIF-species-notes": "<p></p>", "IHCFr-species-checked": "notRecommended", "IHCFr-species-dilution-info": "", "IHCFr-species-notes": "<p></p>", "IHCP-species-checked": "notRecommended", "IHCP-species-dilution-info": "", "IHCP-species-notes": "<p></p>" }, "Recombinant fragment - Human": { "WB-species-checked": "testedAndGuaranteed", "WB-species-dilution-info": "1/1000", "WB-species-notes": "<p></p>", "ICCIF-species-checked": "notRecommended", "ICCIF-species-dilution-info": "", "ICCIF-species-notes": "", "IHCFr-species-checked": "notRecommended", "IHCFr-species-dilution-info": "", "IHCFr-species-notes": "", "IHCP-species-checked": "notRecommended", "IHCP-species-dilution-info": "", "IHCP-species-notes": "" } } }

製品の詳細

Patented technology
Our RabMAb® technology is a patented hybridoma-based technology for making rabbit monoclonal antibodies. For details on our patents, please refer to RabMAb® patents.

What are the advantages of a recombinant monoclonal antibody?
This product is a recombinant monoclonal antibody, which offers several advantages including:

  • - High batch-to-batch consistency and reproducibility
  • - Improved sensitivity and specificity
  • - Long-term security of supply
  • - Animal-free batch production

For more information, read more on recombinant antibodies.

出荷温度及び保存条件

製品の状態
Liquid
精製方法
Affinity purification Protein A
バッファー組成
pH: 7.2 - 7.4 Preservative: 0.01% Sodium azide Constituents: PBS, 40% Glycerol (glycerin, glycerine), 0.05% BSA
出荷温度
Blue Ice
短期保存期間
1-2 weeks
短期保存温度
+4°C
長期保存温度
-20°C
分注に関する情報
Upon delivery aliquot
保管に関する情報
Avoid freeze / thaw cycle

補足情報

This supplementary information is collated from multiple sources and compiled automatically.

TMEM106B also known as transmembrane protein 106B is a type II single-pass transmembrane protein with a molecular mass of approximately 33 kDa. It is expressed in specific regions of the brain as well as in other tissue types such as the lungs and immune system cells. Its expression levels are especially elevated in microglia and oligodendrocytes which are brain cells that play important roles in immune response and myelination respectively. Structurally TMEM106B contains a transmembrane domain and its precise biochemical function is still under investigation though it is thought to participate in lysosomal and vesicular trafficking.
Biological function summary

TMEM106B is involved in several cellular processes impacting lysosome function and trafficking. It may become part of a protein complex that manages lysosomal positioning and pathway regulation within the cell. TMEM106B also affects cellular homeostasis and protein degradation which suggests a role in maintaining the proper balance of proteins and lipids within lysosomes. Alteration in TMEM106B expression or function can cause changes in lysosomal size and distribution indicating its role in cellular logistics.

Pathways

The TMEM106B protein becomes involved in the endolysosomal pathway and the autophagy-lysosome pathway. These pathways are critical for processing and breakdown of cellular waste and recycling of cellular components. In these pathways TMEM106B interacts with other proteins such as SORT1 (sortilin 1) and GRN (progranulin) both of which have important roles in protein sorting and trafficking. By influencing these pathways TMEM106B helps maintain cellular health and function.

TMEM106B links to neurodegenerative conditions such as frontotemporal lobar degeneration and possibly Alzheimer's disease. Mutations or abnormal expression levels of TMEM106B have been implicated in the pathogenesis and progression of these diseases. In frontotemporal lobar degeneration TMEM106B interacts with proteins like GRN where changes can lead to neurodegeneration. In Alzheimer's disease abnormal lysosomal function tied to TMEM106B may contribute to the accumulation of pathogenic proteins.

製品プロトコール

For this product, it's our understanding that no specific protocols are required. You can visit:

ターゲットの情報

In neurons, involved in the transport of late endosomes/lysosomes (PubMed : 25066864). May be involved in dendrite morphogenesis and maintenance by regulating lysosomal trafficking (PubMed : 25066864). May act as a molecular brake for retrograde transport of late endosomes/lysosomes, possibly via its interaction with MAP6 (By similarity). In motoneurons, may mediate the axonal transport of lysosomes and axonal sorting at the initial segment (By similarity). It remains unclear whether TMEM106B affects the transport of moving lysosomes in the anterograde or retrograde direction in neurites and whether it is important in the sorting of lysosomes in axons or in dendrites (By similarity). In neurons, may also play a role in the regulation of lysosomal size and responsiveness to stress (PubMed : 25066864). Required for proper lysosomal acidification (By similarity).. (Microbial infection) Plays a role in human coronavirus SARS-CoV-2 infection, but not in common cold coronaviruses HCoV-229E and HCoV-OC43 infections. Involved in ACE2-independent SARS-CoV-2 cell entry. Required for post-endocytic stage of virus entry, facilitates spike-mediated membrane fusion. Virus attachment and endocytosis can also be mediated by other cell surface receptors.
See full target information TMEM106B

文献 (1)

Recent publications for all applications. Explore the full list and refine your search

Acta neuropathologica communications 13:169 PubMed40783546

2025

Divergent and convergent TMEM106B pathology in murine models of neurodegeneration and human disease.

Applications

Unspecified application

Species

Unspecified reactive species

Muzi Du,Suleyman C Akerman,Charlotte M Fare,Linhao Ruan,Svetlana Vidensky,Lyudmila Mamedova,Katie Koo,Joshua Lee,Jeffrey D Rothstein
View all publications

Abcam product promise

当社は、高品質な試薬を通じてお客様の研究を力強くサポートすることをお約束いたします。ご使用いただく各段階で、常にお客様をサポートできる体制を整えております。万が一、製品が期待通りに機能しない場合は、「Abcam Product Promise」による当社保証制度に基づき、安心してご利用いただけます。
保証に関する詳細については利用規約をご確認ください。

Please note: All products are 'FOR RESEARCH USE ONLY. NOT FOR USE IN DIAGNOSTIC OR THERAPEUTIC PROCEDURES'.

For licensing inquiries, please contact partnerships@abcam.com