JavaScript is disabled in your browser. Please enable JavaScript to view this website.
AB13915

Anti-TLR3 抗体 [40C1285]

Anti-TLR3 antibody [40C1285]

4

(3 Reviews)

|

(27 Publications)

Mouse Monoclonal TLR3 antibody. Suitable for WB, IHC-P, Flow Cyt (Intra) and reacts with Human, Mouse samples. Cited in 27 publications. Immunogen corresponding to Synthetic Peptide within Human TLR3 aa 50-100 conjugated to Keyhole Limpet Haemocyanin.

別名を表示する

CD283, Toll-like receptor 3, TLR3

9 Images
Flow Cytometry (Intracellular) - Anti-TLR3 antibody [40C1285] (AB13915)
  • Flow Cyt (Intra)

PubMed

Flow Cytometry (Intracellular) - Anti-TLR3 antibody [40C1285] (AB13915)

ab13915 staining TLR3 in SW480, SW620 (colon cancer) and FaDu, Detroit 562 obtained from human cells by Flow Cytometry. Samples were prepared by trypsinizining and washing in PBS and centrifugation in a buffer containing 2% FBS, 0.1% Na-azide and PBS. Cells were fixed in paraformaldehyde and permeabilized in 0.2% Tween. Gating and analysis was performed by WinMDI 2.9 software. The primary antibody was diluted to 1 μg/cells (PBS, 2% FBS and 0.1% Na-azide) and incubated with sample for 30 minutes at 4°C. An FITC conjugated rabbit polyclonal to mouse IgG, diluted to 1/40, was used as secondary. Image represents FACS analysis of TLR3 protein expression in SW480 (A), SW620 (B), FaDu (C) and Detroit 562 (D) cell lines. Cell lines were permeabilized and immunostained with TLR3-specific antibody (thick black l

This image is a courtesy of Tanja Matijevic

Flow Cytometry (Intracellular) - Anti-TLR3 antibody [40C1285] (AB13915)
  • Flow Cyt (Intra)

Supplier Data

Flow Cytometry (Intracellular) - Anti-TLR3 antibody [40C1285] (AB13915)

Flow cytometry (Intracellular) analysis of human B cells using ab13915 at 1μg/106 cells followed by FITC conjugated secondary antibody (Red). Green shows isotype control.

Flow Cytometry (Intracellular) - Anti-TLR3 antibody [40C1285] (AB13915)
  • Flow Cyt (Intra)

Unknown

Flow Cytometry (Intracellular) - Anti-TLR3 antibody [40C1285] (AB13915)

ab13915 at 2μg / 1x106 cells staining intracellular TLR3 in human monocytes by Flow Cyt (Intra). A PE-conjugated goat polyclonal to mouse IgG1 was used as secondary. The shaded histogram repersents monocytes without antibody; green repersents isotype control and red histogram shows staining with ab13915.

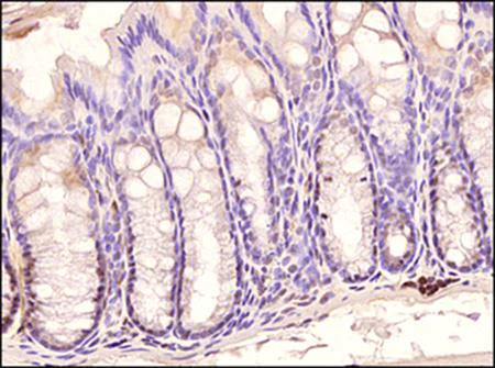
Immunohistochemistry (Formalin/PFA-fixed paraffin-embedded sections) - Anti-TLR3 antibody [40C1285] (AB13915)
  • IHC-P

Supplier Data

Immunohistochemistry (Formalin/PFA-fixed paraffin-embedded sections) - Anti-TLR3 antibody [40C1285] (AB13915)

Immunohistochemical analysis of formalin fixed paraffin embedded tissue section of mouse colon using ab13915 at 1/500 dilution with HRP-DAB detection and hematoxylin counterstaining. Intense signal was found in subset of cells at the bases of the crypts.

Immunohistochemistry (Formalin/PFA-fixed paraffin-embedded sections) - Anti-TLR3 antibody [40C1285] (AB13915)
  • IHC-P

Supplier Data

Immunohistochemistry (Formalin/PFA-fixed paraffin-embedded sections) - Anti-TLR3 antibody [40C1285] (AB13915)

Immunohistochemical analysis of formalin fixed paraffin embedded tissue section of mouse intestine using ab13915 at 1/500 dilution with HRP-DAB detection and hematoxylin counterstaining. The image shows a punctate staining of the ER and endosomes in a subset of cells in Peyer's patches (organized lymphoid nodules) in the tested section.

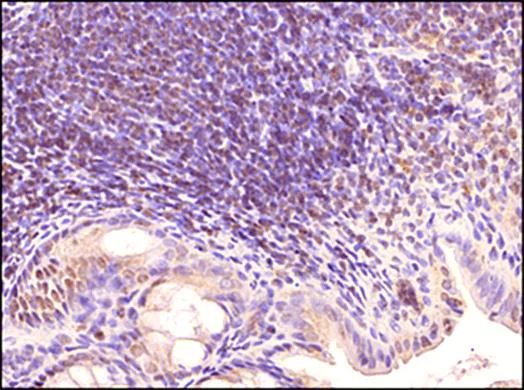
Immunohistochemistry (Formalin/PFA-fixed paraffin-embedded sections) - Anti-TLR3 antibody [40C1285] (AB13915)
  • IHC-P

Unknown

Immunohistochemistry (Formalin/PFA-fixed paraffin-embedded sections) - Anti-TLR3 antibody [40C1285] (AB13915)

ab13915 at 5ug/ml staining TLR3 in mouse spleen tissue section by Immunohistochemistry (Formalin/ PFA fixed paraffin-embedded sections). The left image repersents staining with isotype control and right one repersents staining with ab13915.

Western blot - Anti-TLR3 antibody [40C1285] (AB13915)
  • WB

Unknown

Western blot - Anti-TLR3 antibody [40C1285] (AB13915)

Western blot analysis of TLR3 in lysates from untransfected 293 cells (lane A), 293 cells transfected with human TLR3 cDNA (lane B), and 20 μg/lane human intestine tissue lysate (lane C).

Western blot analysis of TLR3 in lysates from untransfected 293 cells (lane A), 293 cells transfected with human TLR3 cDNA (lane B), and 20 µg/lane human intestine tissue lysate (lane C).

All lanes:

Western blot - Anti-TLR3 antibody [40C1285] (ab13915)

Predicted band size: 104 kDa

false

Western blot - Anti-TLR3 antibody [40C1285] (AB13915)
  • WB

Supplier Data

Western blot - Anti-TLR3 antibody [40C1285] (AB13915)

All lanes:

Western blot - Anti-TLR3 antibody [40C1285] (ab13915) at 3 µg/mL

Lane 1:

Untransfected HEK293 cell lysate

Lane 2:

HEK293 cell lysate transfected with human TLR3 cDNA whole cell lysate

Lane 3:

Human intestine tissue lysate

Lane 4:

Human placenta tissue lysate

Lane 5:

Human heart tissue lysate

Lane 6:

Human ovary tissue lysate

Secondary

All lanes:

Goat anti-mouse HRP conjugate

Predicted band size: 104 kDa

false

Western blot - Anti-TLR3 antibody [40C1285] (AB13915)
  • WB

CiteAb

Western blot - Anti-TLR3 antibody [40C1285] (AB13915)

TLR3 western blot using anti-TLR3 antibody [40C1285] ab13915. Publication image and figure legend from Li, C., Huang, J., et al., 2019, Stem Cells Int, PubMed 31885603.

ab13915 was used in this publication in western blot. This may not be the same as the application(s) guaranteed by Abcam. For a full list of applications guaranteed by Abcam for ab13915 please see the product overview.

Western blot detection of immune-related proteins TLRs, IDO, and NF-κB stimulated by different PLP concentrations. TLR3, TLR4, NF-κB, and IDO had the highest protein expression levels, while TLR6 protein expression was the lowest at 50 ng/mL PLP.

false

Key facts

宿主種

Mouse

クローン性

Monoclonal

クローン番号

40C1285

アイソタイプ

IgG1

キャリアフリー

No

交差種

Mouse, Human

アプリケーション

Flow Cyt (Intra), IHC-P, WB

applications

免疫原

Synthetic Peptide within Human TLR3 aa 50-100 conjugated to Keyhole Limpet Haemocyanin. The exact immunogen used to generate this antibody is proprietary information.

O15455

特異性

Negative results in WB have been obtained for mouse interstine lysates (human intestine is a positive control). The protein is heavily glycosylated and the observed band size should be higher than the predicted 103kDa. The protein is found at different molecular weight in different tissues so optimization may be necessary.

Reactivity data

{ "title": "Reactivity Data", "filters": { "stats": ["", "Species", "Dilution Info", "Notes"], "tabs": { "all-applications": {"fullname" : "All Applications", "shortname": "All Applications"}, "WB" : {"fullname" : "Western blot", "shortname":"WB"}, "IHCP" : {"fullname" : "Immunohistochemistry (Formalin/PFA-fixed paraffin-embedded sections)", "shortname":"IHC-P"}, "FlowCytIntra" : {"fullname" : "Flow Cytometry (Intracellular)", "shortname":"Flow Cyt (Intra)"} }, "product-promise": { "all": "all", "testedAndGuaranteed": "tested", "guaranteed": "expected", "predicted": "predicted", "notRecommended": "not-recommended" } }, "values": { "Human": { "WB-species-checked": "testedAndGuaranteed", "WB-species-dilution-info": "1-3 µg/mL", "WB-species-notes": "<p>TLR3 is a single-pass type I membrane protein. We recomend not to boil the samples, instead heat lysates at 60-70C for 10 minutes.</p>", "IHCP-species-checked": "guaranteed", "IHCP-species-dilution-info": "", "IHCP-species-notes": "", "FlowCytIntra-species-checked": "testedAndGuaranteed", "FlowCytIntra-species-dilution-info": "2-5 µg/cells for 6 µg/cells", "FlowCytIntra-species-notes": "<p><a href='/products/primary-antibodies/mouse-igg1-kappa-monoclonal-15-6e10a7-isotype-control-ab170190'>ab170190</a> - Mouse monoclonal IgG1, is suitable for use as an isotype control with this antibody.</p>" }, "Mouse": { "WB-species-checked": "guaranteed", "WB-species-dilution-info": "", "WB-species-notes": "", "IHCP-species-checked": "testedAndGuaranteed", "IHCP-species-dilution-info": "5-10 µg/mL", "IHCP-species-notes": "<p>Permeabilization of samples might be necessary and overnight incubation with the ab13915 is recommended.</p>", "FlowCytIntra-species-checked": "guaranteed", "FlowCytIntra-species-dilution-info": "", "FlowCytIntra-species-notes": "" } } }

出荷温度及び保存条件

製品の状態
Liquid
精製方法
Affinity purification Protein G
バッファー組成
pH: 7.4 Preservative: 0.05% Sodium azide Constituents: PBS, 0.05% BSA
出荷温度
Blue Ice
短期保存期間
1-2 weeks
短期保存温度
+4°C
長期保存温度
-20°C
分注に関する情報
Upon delivery aliquot
保管に関する情報
Avoid freeze / thaw cycle

補足情報

This supplementary information is collated from multiple sources and compiled automatically.

TLR3 also known as Toll-like receptor 3 is a protein that plays an important role in immune response mechanisms. With a molecular mass of around 104 kDa TLR3 is part of the Toll-like receptor family and expresses mostly in immune cells including dendritic cells and macrophages. It locates mainly on the endosomal membrane where it recognizes double-stranded RNA (dsRNA) which is often a sign of viral infection. TLR3 initiates signaling cascades that lead to the activation of important immune transcription factors.
Biological function summary

TLR3 acts as a sensor for viral and endogenous dsRNA. This receptor forms part of the innate immune system serving as a first line of defense against microbial infections. Upon encountering its ligand TLR3 undergoes conformational changes which allow interaction with the adaptor protein TRIF (TIR-domain-containing adapter-inducing interferon-β). This interaction triggers a downstream signaling cascade that leads to the production of type I interferons and pro-inflammatory cytokines which are essential for mounting an effective antiviral response.

Pathways

TLR3 engages in important signaling cascades like the NF-kB and IRF3 pathways. These pathways are activated by the TRIF-dependent pathway which is unique among the Toll-like receptors. TLR3 influences the expression of genes involved in the inflammatory response and apoptosis. The interactions of TLR3 with other proteins such as MyD88 and IRAK1 are indirect as TLR3 does not depend on the usual MyD88-dependent pathway. This specificity makes TLR3 a critical component in pathogen recognition and response strategies within the immune system.

TLR3 has connections with several conditions primarily viral infections and autoimmune disorders like systemic lupus erythematosus (SLE). Mutations or dysregulation of TLR3 may lead to altered immune responses contributing to the pathogenesis of these diseases. TLR3's association with proteins like TRIF and IRF3 is significant in understanding its role in these conditions. Ongoing research investigates TLR3's potential as a therapeutic target to modulate immune responses in disease states.

製品プロトコール

For this product, it's our understanding that no specific protocols are required. You can visit:

ターゲットの情報

Key component of innate and adaptive immunity. TLRs (Toll-like receptors) control host immune response against pathogens through recognition of molecular patterns specific to microorganisms. TLR3 is a nucleotide-sensing TLR which is activated by double-stranded RNA, a sign of viral infection. Acts via the adapter TRIF/TICAM1, leading to NF-kappa-B activation, IRF3 nuclear translocation, cytokine secretion and the inflammatory response.
See full target information TLR3

文献 (27)

Recent publications for all applications. Explore the full list and refine your search

Molecular pain 21:17448069251346373 PubMed40407181

2025

TLR3 mediates central sensitization in a chronic migraine model induced by repeated nitroglycerin through the ERK signaling pathway.

Applications

Unspecified application

Species

Unspecified reactive species

Bin Yang,Zhaoming Ge

The Journal of clinical investigation 133: PubMed37097753

2023

IRF7 and UNC93B1 variants in an infant with recurrent herpes simplex virus infection.

Applications

Unspecified application

Species

Unspecified reactive species

Megan H Tucker,Wei Yu,Heather Menden,Sheng Xia,Carl F Schreck,Margaret Gibson,Daniel Louiselle,Tomi Pastinen,Nikita Raje,Venkatesh Sampath

PLoS pathogens 17:e1009305 PubMed33556144

2021

Response of human macrophages to gamma radiation is mediated via expression of endogenous retroviruses.

Applications

Unspecified application

Species

Unspecified reactive species

Natallia Mikhalkevich,Ina P O'Carroll,Rok Tkavc,Kateryna Lund,Gauthaman Sukumar,Clifton L Dalgard,Kory R Johnson,Wenxue Li,Tongguang Wang,Avindra Nath,Sergey Iordanskiy

Journal of neuroinflammation 17:305 PubMed33059746

2020

Forsythoside B attenuates memory impairment and neuroinflammation via inhibition on NF-κB signaling in Alzheimer's disease.

Applications

Unspecified application

Species

Unspecified reactive species

Fan'ge Kong,Xue Jiang,Ruochen Wang,Siyu Zhai,Yizhi Zhang,Di Wang

Cell communication and signaling : CCS 18:161 PubMed33036630

2020

Receptor-interacting protein kinase 1 is a key mediator in TLR3 ligand and Smac mimetic-induced cell death and suppresses TLR3 ligand-promoted invasion in cholangiocarcinoma.

Applications

Unspecified application

Species

Unspecified reactive species

Thanpisit Lomphithak,Swati Choksi,Apiwat Mutirangura,Rutaiwan Tohtong,Tewin Tencomnao,Hajime Usubuchi,Michiaki Unno,Hironobu Sasano,Siriporn Jitkaew

Journal of biochemical and molecular toxicology 35:e22622 PubMed32926510

2020

Pinitol attenuates LPS-induced pneumonia in experimental animals: Possible role via inhibition of the TLR-4 and NF-κB/IκBα signaling cascade pathway.

Applications

Unspecified application

Species

Unspecified reactive species

Yingying Fan,Jian Wang,Zhihui Feng,Ke Cao,Hao Xu,Jiankang Liu

Blood cells, molecules & diseases 84:102459 PubMed32559654

2020

Hypoxia induced up-regulation of tissue factor is mediated through extracellular RNA activated Toll-like receptor 3-activated protein 1 signalling.

Applications

Unspecified application

Species

Unspecified reactive species

Saumya Bhagat,Indranil Biswas,Rehan Ahmed,Gausal A Khan

Stem cells international 2019:3121246 PubMed31885603

2019

Pyridoxal-5'-Phosphate Promotes Immunomodulatory Function of Adipose-Derived Mesenchymal Stem Cells through Indoleamine 2,3-Dioxygenase-1 and TLR4/NF-B Pathway.

Applications

Unspecified application

Species

Unspecified reactive species

Cong Li,Jinxian Huang,Huasu Zhu,Qing Shi,Dong Li,Xiuli Ju

Journal of molecular neuroscience : MN 70:9-18 PubMed31368062

2019

Spinal circRNA-9119 Suppresses Nociception by Mediating the miR-26a-TLR3 Axis in a Bone Cancer Pain Mouse Model.

Applications

Unspecified application

Species

Unspecified reactive species

Zhongqi Zhang,Xiaoxia Zhang,Yanjing Zhang,Jiyuan Li,Zumin Xing,Yiwen Zhang

Biology of reproduction 101:733-747 PubMed31350848

2019

Pattern recognition receptor-mediated innate immune responses in seminal vesicle epithelial cell and their impacts on cellular function†.

Applications

Unspecified application

Species

Unspecified reactive species

Maolei Gong,Fei Wang,Weihua Liu,Ran Chen,Han Wu,Wenjing Zhang,Xiaoqin Yu,Ruiqin Han,Aijie Liu,Yongmei Chen,Daishu Han
View all publications

Abcam product promise

当社は、高品質な試薬を通じてお客様の研究を力強くサポートすることをお約束いたします。ご使用いただく各段階で、常にお客様をサポートできる体制を整えております。万が一、製品が期待通りに機能しない場合は、「Abcam Product Promise」による当社保証制度に基づき、安心してご利用いただけます。
保証に関する詳細については利用規約をご確認ください。

Please note: All products are 'FOR RESEARCH USE ONLY. NOT FOR USE IN DIAGNOSTIC OR THERAPEUTIC PROCEDURES'.

For licensing inquiries, please contact partnerships@abcam.com