JavaScript is disabled in your browser. Please enable JavaScript to view this website.
AB1828

Anti-TIMP2 抗体 [3A4]

Anti-TIMP2 antibody [3A4]

4

(7 Reviews)

|

(63 Publications)

Mouse Monoclonal TIMP2 antibody. Suitable for IHC-P and reacts with Human samples. Cited in 63 publications.

別名を表示する

Metalloproteinase inhibitor 2, CSC-21K, Tissue inhibitor of metalloproteinases 2, TIMP-2, TIMP2

1 Images
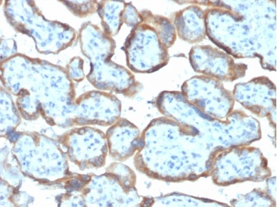
Immunohistochemistry (Formalin/PFA-fixed paraffin-embedded sections) - Anti-TIMP2 antibody [3A4] (AB1828)
  • IHC-P

Lab

Immunohistochemistry (Formalin/PFA-fixed paraffin-embedded sections) - Anti-TIMP2 antibody [3A4] (AB1828)

IHC image of TIMP2 staining in a section of formalin-fixed paraffin-embedded normal human placenta* performed on a Leica BONDTM system using the standard protocol F. The section was pre-treated using heat mediated antigen retrieval with sodium citrate buffer (pH6, epitope retrieval solution 1) for 20mins. The section was then incubated with ab1828, 1μg/ml, for 15 mins at room temperature and detected using an HRP conjugated compact polymer system. DAB was used as the chromogen. The section was then counterstained with haematoxylin and mounted with DPX. The inset secondary-only control image is taken from an identical assay without primary antibody.

For other IHC staining systems (automated and non-automated) customers should optimize variable parameters such as antigen retrieval conditions, primary antibody concentration and antibody incubation times.

*Tissue obtained from the Human Research Tissue Bank, supported by the NIHR Cambridge Biomedical Research Centre

Key facts

宿主種

Mouse

クローン性

Monoclonal

クローン番号

3A4

アイソタイプ

IgG2a

軽鎖のタイプ

kappa

キャリアフリー

No

交差種

Human

アプリケーション

IHC-P

applications

免疫原

The exact immunogen used to generate this antibody is proprietary information.

Reactivity data

{ "title": "Reactivity Data", "filters": { "stats": ["", "Species", "Dilution Info", "Notes"], "tabs": { "all-applications": {"fullname" : "All Applications", "shortname": "All Applications"}, "IHCP" : {"fullname" : "Immunohistochemistry (Formalin/PFA-fixed paraffin-embedded sections)", "shortname":"IHC-P"} }, "product-promise": { "all": "all", "testedAndGuaranteed": "tested", "guaranteed": "expected", "predicted": "predicted", "notRecommended": "not-recommended" } }, "values": { "Human": { "IHCP-species-checked": "testedAndGuaranteed", "IHCP-species-dilution-info": "1 µg/mL", "IHCP-species-notes": "<p></p> Perform heat-mediated antigen retrieval with citrate buffer pH 6 before commencing with IHC staining protocol." }, "Mouse": { "IHCP-species-checked": "predicted", "IHCP-species-dilution-info": "", "IHCP-species-notes": "" }, "Rat": { "IHCP-species-checked": "predicted", "IHCP-species-dilution-info": "", "IHCP-species-notes": "" }, "Cow": { "IHCP-species-checked": "predicted", "IHCP-species-dilution-info": "", "IHCP-species-notes": "" }, "Guinea pig": { "IHCP-species-checked": "predicted", "IHCP-species-dilution-info": "", "IHCP-species-notes": "" }, "Rabbit": { "IHCP-species-checked": "predicted", "IHCP-species-dilution-info": "", "IHCP-species-notes": "" } } }

製品の詳細

Want a custom formulation?
This antibody clone is manufactured by Abcam. If you require a custom buffer formulation or conjugation for your experiments, please contact orders@abcam.com

出荷温度及び保存条件

製品の状態
Liquid
精製方法
Affinity purification
バッファー組成
Preservative: 0.02% Sodium azide Constituents: PBS
出荷温度
Blue Ice
短期保存期間
1-2 weeks
短期保存温度
+4°C
長期保存温度
-20°C
分注に関する情報
Upon delivery aliquot
保管に関する情報
Avoid freeze / thaw cycle

補足情報

This supplementary information is collated from multiple sources and compiled automatically.

TIMP2 also known as Tissue Inhibitor of Metalloproteinases 2 mechanistically inhibits the activity of matrix metalloproteinases (MMPs). It binds to MMPs regulating the extracellular matrix's remodeling. The protein has a molecular mass of around 21 kDa. TIMP2 is expressed in various tissues including the brain liver and kidneys where it maintains a balance between matrix degradation and production.
Biological function summary

TIMP2 plays a significant role in tissue maintenance and repair by controlling extracellular matrix turnover. It forms complexes with MMPs such as MMP-2 inhibiting their proteolytic activities. The protein is also involved in cell proliferation and differentiation affecting processes like angiogenesis and wound healing. Its regulatory function aids in maintaining tissue homeostasis and preventing excessive matrix breakdown.

Pathways

TIMP2 is integral to the matrix metalloproteinase pathway and the regulation of endothelial cell migration. The protein interacts closely with other MMPs influencing their activation and modulation. Through these pathways TIMP2 holds an important position in cellular migration and signaling ensuring precise matrix remodeling in response to physiological needs.

TIMP2 has significant links with cancer and fibrosis. Dysregulation of TIMP2 expression or its imbalance with MMPs can contribute to tumor progression and metastasis due to uncontrolled matrix degradation. Additionally abnormal TIMP2 levels associate with fibrotic diseases where excessive tissue deposition occurs. TIMP2's interaction with proteins like MMP-9 and MMP-2 highlights its involvement in these pathological conditions.

製品プロトコール

For this product, it's our understanding that no specific protocols are required. You can visit:

ターゲットの情報

Complexes with metalloproteinases (such as collagenases) and irreversibly inactivates them by binding to their catalytic zinc cofactor. Known to act on MMP-1, MMP-2, MMP-3, MMP-7, MMP-8, MMP-9, MMP-10, MMP-13, MMP-14, MMP-15, MMP-16 and MMP-19.
See full target information TIMP2

文献 (63)

Recent publications for all applications. Explore the full list and refine your search

Cells 14: PubMed40497984

2025

Quantification of Wnt3a, Wnt5a and Wnt16 Binding to Multiple Frizzleds Under Physiological Conditions Using NanoBit/BRET.

Applications

Unspecified application

Species

Unspecified reactive species

Janine Wesslowski,Sadia Safi,Michelle Rottmann,Melanie Rothley,Gary Davidson

Animals : an open access journal from MDPI 15: PubMed40003024

2025

Differential Remodelling of Endometrial Extracellular Matrix in the Non-Pregnant Uterus of as a Potential Mechanism Underlying Embryonic Death.

Applications

Unspecified application

Species

Unspecified reactive species

Francisco Acuña,Gisela Soledad Gualdoni,Francisco Rivollier,Camila Barril,Enrique Leo Portiansky,Claudio Gustavo Barbeito,Elisa Cebral

Journal of neuroinflammation 22:6 PubMed39800730

2025

TREM2 affects DAM-like cell transformation in the acute phase of TBI in mice by regulating microglial glycolysis.

Applications

Unspecified application

Species

Unspecified reactive species

Lin Wang,Diqing Ouyang,Lin Li,Yunchuan Cao,Yingwen Wang,Nina Gu,Zhaosi Zhang,Zhao Li,Shuang Tang,Hui Tang,Yuan Zhang,Xiaochuan Sun,Jin Yan

EMBO reports 25:3090-3115 PubMed38871984

2024

ADAMTS2 promotes radial migration by activating TGF-β signaling in the developing neocortex.

Applications

Unspecified application

Species

Unspecified reactive species

Noe Kaneko,Kumiko Hirai,Minori Oshima,Kei Yura,Mitsuharu Hattori,Nobuaki Maeda,Chiaki Ohtaka-Maruyama

Journal of the American Heart Association 12:e028215 PubMed36565196

2022

Proteolytic Degradation Is a Major Contributor to Bioprosthetic Heart Valve Failure.

Applications

Unspecified application

Species

Unspecified reactive species

Alexander E Kostyunin,Tatiana V Glushkova,Arseniy A Lobov,Evgeny A Ovcharenko,Bozhana R Zainullina,Leo A Bogdanov,Daria K Shishkova,Victoria E Markova,Maksim A Asanov,Rinat A Mukhamadiyarov,Elena A Velikanova,Tatiana N Akentyeva,Maria A Rezvova,Alexander N Stasev,Alexey V Evtushenko,Leonid S Barbarash,Anton G Kutikhin

Frontiers in oncology 12:901647 PubMed36052250

2022

Expression and clinical significance of Cathepsin K and MMPs in invasive non-functioning pituitary adenomas.

Applications

Unspecified application

Species

Unspecified reactive species

Hongyan Liu,Saichun Zhang,Ting Wu,Zhaohui Lv,Jianming Ba,Weijun Gu,Yiming Mu

Coronary artery disease 33:446-455 PubMed35102064

2022

TIMP-1 expression in coronary thrombi associate with myocardial injury in ST-elevation myocardial infarction patients.

Applications

Unspecified application

Species

Unspecified reactive species

Jostein Nordeng,Hossein Schandiz,Svein Solheim,Sissel Åkra,Pavel Hoffman,Borghild Roald,Bjørn Bendz,Harald Arnesen,Ragnhild Helseth,Ingebjørg Seljeflot

International journal of molecular sciences 22: PubMed34830409

2021

Trabecular Bone Parameters, TIMP-2, MMP-8, MMP-13, VEGF Expression and Immunolocalization in Bone and Cartilage in Newborn Offspring Prenatally Exposed to Fumonisins.

Applications

Unspecified application

Species

Unspecified reactive species

Ewa Tomaszewska,Halyna Rudyk,Izabela Świetlicka,Monika Hułas-Stasiak,Janine Donaldson,Marta Arczewska,Siemowit Muszyński,Piotr Dobrowolski,Maria Mielnik-Błaszczak,Marcin Bartłomiej Arciszewski,Volodymyr Kushnir,Oksana Brezvyn,Viktor Muzyka,Ihor Kotsyumbas

American journal of translational research 13:13135-13146 PubMed34956534

2021

CCR10/CCL27 crosstalk regulates cell metastasis via PI3K-Akt signaling axis in non-small-cell lung cancer.

Applications

Unspecified application

Species

Unspecified reactive species

Yonggang Liu,Ailian Xiao,Biyuan Zhang

Journal of clinical medicine 10: PubMed34768327

2021

Femoral µCT Analysis, Mechanical Testing and Immunolocalization of Bone Proteins in β-Hydroxy β-Methylbutyrate (HMB) Supplemented Spiny Mouse in a Model of Pregnancy and Lactation-Associated Osteoporosis.

Applications

Unspecified application

Species

Unspecified reactive species

Ewa Tomaszewska,Siemowit Muszyński,Janine Donaldson,Piotr Dobrowolski,Deepesh K P Chand,Agnieszka Tomczyk-Warunek,Monika Hułas-Stasiak,Iwona Puzio,Krzysztof Lamorski,Cezary Sławiński,Mirosław Jabłoński,Tomasz Blicharski
View all publications

Abcam product promise

当社は、高品質な試薬を通じてお客様の研究を力強くサポートすることをお約束いたします。ご使用いただく各段階で、常にお客様をサポートできる体制を整えております。万が一、製品が期待通りに機能しない場合は、「Abcam Product Promise」による当社保証制度に基づき、安心してご利用いただけます。
保証に関する詳細については利用規約をご確認ください。

Please note: All products are 'FOR RESEARCH USE ONLY. NOT FOR USE IN DIAGNOSTIC OR THERAPEUTIC PROCEDURES'.

For licensing inquiries, please contact partnerships@abcam.com