JavaScript is disabled in your browser. Please enable JavaScript to view this website.
AB323572

Anti-TIM 4 抗体 [EPR29500-15]

Anti-TIM 4 antibody [EPR29500-15]

  • BOND RX™ Validated
  • Recombinant
  • 20ul selling size
  • RabMAb
  • 詳細を見る

Be the first to review this product! Submit a review

|

(0 Publication)

Rabbit Recombinant Monoclonal TIM 4 antibody. Suitable for Dot, IHC-P, WB and reacts with Transfected cell lysate - Human, Human samples.

別名を表示する

TIM4, TIMD4, T-cell immunoglobulin and mucin domain-containing protein 4, TIMD-4, T-cell immunoglobulin mucin receptor 4, T-cell membrane protein 4, TIM-4

7 Images
Immunohistochemistry (Formalin/PFA-fixed paraffin-embedded sections) - Anti-TIM 4 antibody [EPR29500-15] (AB323572)
  • IHC-P

Supplier Data

Immunohistochemistry (Formalin/PFA-fixed paraffin-embedded sections) - Anti-TIM 4 antibody [EPR29500-15] (AB323572)

Immunohistochemical analysis of paraffin-embedded Human liver tissue labeling TIM 4 with ab323572 at 1/200 (2.48 ug/ml) dilution, followed by a ready to use LeicaDS9800 (Bond™ Polymer Refine Detection).

Low expression tissue : Weak staining on human liver.
The section was incubated with ab323572 for 30 mins at room temperature.
The immunostaining was performed on a Leica Biosystems BOND® RX instrument

Counterstained with Hematoxylin.

Secondary antibody only control : Secondary antibody is a ready to use LeicaDS9800 (Bond™ Polymer Refine Detection).

Heat mediated antigen retrieval was performed with Tris-EDTA buffer (pH 9.0, Epitope Retrieval Solution2) for 20 mins

Immunohistochemistry (Formalin/PFA-fixed paraffin-embedded sections) - Anti-TIM 4 antibody [EPR29500-15] (AB323572)
  • IHC-P

Supplier Data

Immunohistochemistry (Formalin/PFA-fixed paraffin-embedded sections) - Anti-TIM 4 antibody [EPR29500-15] (AB323572)

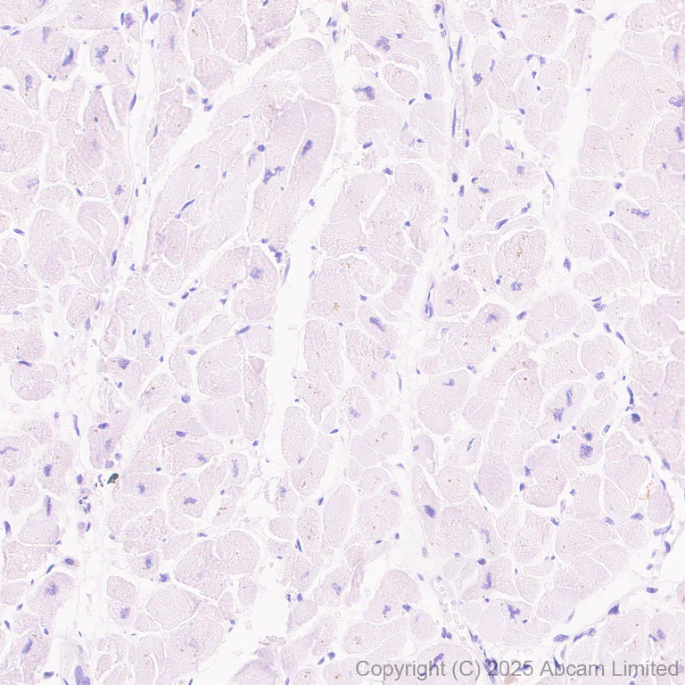
Immunohistochemical analysis of paraffin-embedded Human cardiac muscle tissue labeling TIM 4 with ab323572 at 1/200 (2.48 ug/ml) dilution, followed by a ready to use LeicaDS9800 (Bond™ Polymer Refine Detection).

Negative control : No staining in human cardiac muscle.
The section was incubated with ab323572 for 30 mins at room temperature.
The immunostaining was performed on a Leica Biosystems BOND® RX instrument

Counterstained with Hematoxylin.

Secondary antibody only control : Secondary antibody is a ready to use LeicaDS9800 (Bond™ Polymer Refine Detection).

Heat mediated antigen retrieval was performed with Tris-EDTA buffer (pH 9.0, Epitope Retrieval Solution2) for 20 mins

Immunohistochemistry (Formalin/PFA-fixed paraffin-embedded sections) - Anti-TIM 4 antibody [EPR29500-15] (AB323572)
  • IHC-P

Supplier Data

Immunohistochemistry (Formalin/PFA-fixed paraffin-embedded sections) - Anti-TIM 4 antibody [EPR29500-15] (AB323572)

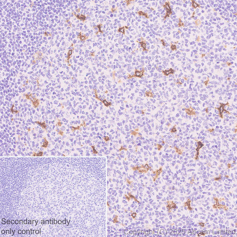
Immunohistochemical analysis of paraffin-embedded Human tonsil tissue labeling TIM 4 with ab323572 at 1/200 (2.48 ug/ml) dilution, followed by a ready to use LeicaDS9800 (Bond™ Polymer Refine Detection).

Positive staining in human tonsil.
The section was incubated with ab323572 for 30 mins at room temperature.
The immunostaining was performed on a Leica Biosystems BOND® RX instrument

Counterstained with Hematoxylin.

Secondary antibody only control : Secondary antibody is a ready to use LeicaDS9800 (Bond™ Polymer Refine Detection).

Heat mediated antigen retrieval was performed with Tris-EDTA buffer (pH 9.0, Epitope Retrieval Solution2) for 20 mins

Immunohistochemistry (Formalin/PFA-fixed paraffin-embedded sections) - Anti-TIM 4 antibody [EPR29500-15] (AB323572)
  • IHC-P

Supplier Data

Immunohistochemistry (Formalin/PFA-fixed paraffin-embedded sections) - Anti-TIM 4 antibody [EPR29500-15] (AB323572)

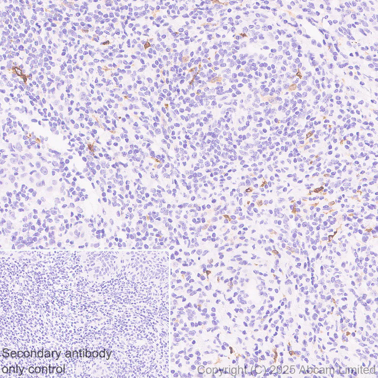
Immunohistochemical analysis of paraffin-embedded Human cervical carcinoma tissue labeling TIM 4 with ab323572 at 1/200 (2.48 ug/ml) dilution, followed by a ready to use LeicaDS9800 (Bond™ Polymer Refine Detection).

Positive staining in human cervical carcinoma.
The section was incubated with ab323572 for 30 mins at room temperature.
The immunostaining was performed on a Leica Biosystems BOND® RX instrument

Counterstained with Hematoxylin.

Secondary antibody only control : Secondary antibody is a ready to use LeicaDS9800 (Bond™ Polymer Refine Detection).

Heat mediated antigen retrieval was performed with Tris-EDTA buffer (pH 9.0, Epitope Retrieval Solution2) for 20 mins

Immunohistochemistry (Formalin/PFA-fixed paraffin-embedded sections) - Anti-TIM 4 antibody [EPR29500-15] (AB323572)
  • IHC-P

Supplier Data

Immunohistochemistry (Formalin/PFA-fixed paraffin-embedded sections) - Anti-TIM 4 antibody [EPR29500-15] (AB323572)

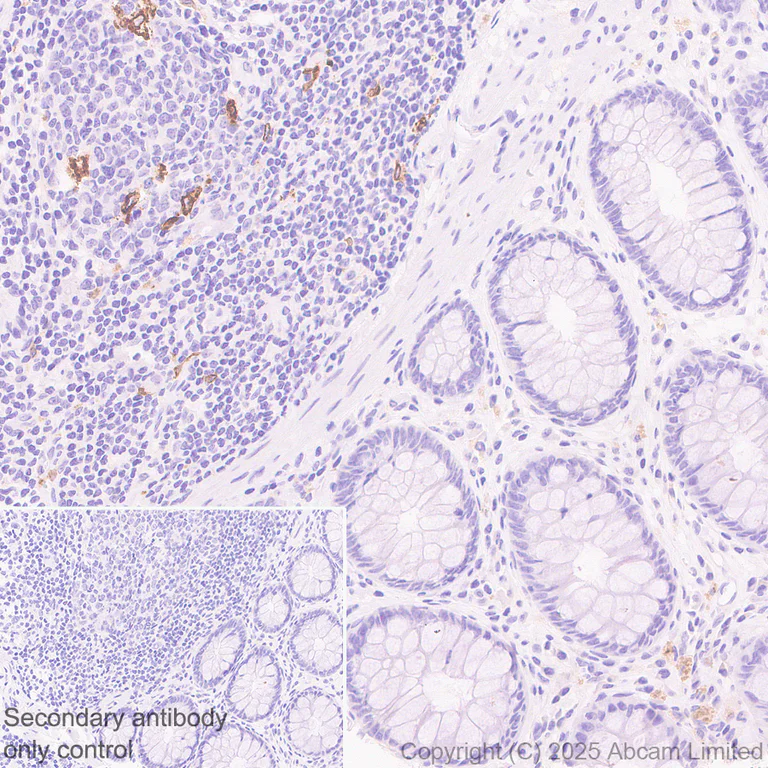
Immunohistochemical analysis of paraffin-embedded Human colon tissue labeling TIM 4 with ab323572 at 1/200 (2.48 ug/ml) dilution, followed by a ready to use LeicaDS9800 (Bond™ Polymer Refine Detection).

Positive staining in immunocytes of human colon.
The section was incubated with ab323572 for 30 mins at room temperature.
The immunostaining was performed on a Leica Biosystems BOND® RX instrument

Counterstained with Hematoxylin.

Secondary antibody only control : Secondary antibody is a ready to use LeicaDS9800 (Bond™ Polymer Refine Detection).

Heat mediated antigen retrieval was performed with Tris-EDTA buffer (pH 9.0, Epitope Retrieval Solution2) for 20 mins

Western blot - Anti-TIM 4 antibody [EPR29500-15] (AB323572)
  • WB

Supplier Data

Western blot - Anti-TIM 4 antibody [EPR29500-15] (AB323572)

Blocking and diluting buffer and concentration : 5% NFDM/TBST.

Low expression : liver, tetsis (PMID : 14768054; PMID : 17960135)

The samples are unboiled.

Lane 1 of this blot was developed using a high-sensitivity ECL substrate, allowing for the detection of proteins in the mid-femtogram range.

The identity of the bands lower than 50 kDa in lanes 1-2 are unknown.

The identity of the bands higher than 50 kDa in lane 1 are unknown.

In Western blot, Anti-GAPDH antibody [EPR16891] - Loading Control (ab181602) staining at 1/200000 dilution.

Exposure time : Lanes 1 : 126 seconds; Lanes 2-4 : 180 seconds.

All lanes:

Western blot - Anti-TIM 4 antibody [EPR29500-15] (ab323572) at 1/1000 dilution

Lane 1:

Human lymphoma tissue lysate at 20 µg

Lane 2:

Human tonsil tissue lysate at 20 µg

Lane 3:

Human liver tissue lysate at 20 µg

Lane 4:

Human testis tissue lysate at 20 µg

Secondary

All lanes:

Goat Anti-Rabbit IgG (HRP) with minimal cross-reactivity with human IgG at 1/2000 dilution

Observed band size: 50 kDa,36 kDa

false

Dot Blot - Anti-TIM 4 antibody [EPR29500-15] (AB323572)
  • Dot

Supplier Data

Dot Blot - Anti-TIM 4 antibody [EPR29500-15] (AB323572)

Dot blot analysis of TIM 4 using ab323572 at 1 : 1000 (0.496 ug/ml) followed by a Goat Anti-Rabbit IgG, (H+L), Peroxidase conjugated (ab97051) at 1 : 100,000 dilution.

Lane1 : 293T cells transfected with a human TIM 4 expression vector containing a myc-His-tag®, whole cell lysate 10 ng
Lane2 : 293T cells transfected with a human TIM 1 expression vector containing a myc-His-tag®, whole cell lysate 500 ng

Exposure time : 180 seconds.

Blocking and diluting buffer and concentration : 5% NFDM/TBST.

This antibody does not cross-react with human TIM 1.

#In Dot Blot, Anti-6X His tag® antibody [EPR20547] - ChIP Grade (ab213204) staining at 1/5000 dilution.

All lanes:

Dot Blot - Anti-TIM 4 antibody [EPR29500-15] (ab323572) at 1/1000 dilution

Lane 1:

293T cells transfected with a human TIM 4 expression vector containing a myc-His-tag®, whole cell lysate at 10 ng

Lane 2:

293T cells transfected with a human TIM 1 expression vector containing a myc-His-tag®, whole cell lysate at 500 ng

Secondary

All lanes:

Dot Blot - Goat Anti-Rabbit IgG H&L (HRP) (<a href='/products/secondary-antibodies/goat-rabbit-igg-h-l-hrp-ab97051'>ab97051</a>) at 1/100000 dilution

false

Exposure time: 180s

Key facts

宿主種

Rabbit

クローン性

Monoclonal

クローン番号

EPR29500-15

アイソタイプ

IgG

キャリアフリー

No

交差種

Human

アプリケーション

IHC-P, WB, Dot

applications

免疫原

The exact immunogen used to generate this antibody is proprietary information.

Reactivity data

{ "title": "Reactivity Data", "filters": { "stats": ["", "Species", "Dilution Info", "Notes"], "tabs": { "all-applications": {"fullname" : "All Applications", "shortname": "All Applications"}, "Dot" : {"fullname" : "Dot Blot", "shortname":"Dot"}, "IHCP" : {"fullname" : "Immunohistochemistry (Formalin/PFA-fixed paraffin-embedded sections)", "shortname":"IHC-P"}, "WB" : {"fullname" : "Western blot", "shortname":"WB"} }, "product-promise": { "all": "all", "testedAndGuaranteed": "tested", "guaranteed": "expected", "predicted": "predicted", "notRecommended": "not-recommended" } }, "values": { "Human": { "Dot-species-checked": "guaranteed", "Dot-species-dilution-info": "", "Dot-species-notes": "", "IHCP-species-checked": "testedAndGuaranteed", "IHCP-species-dilution-info": "1/200", "IHCP-species-notes": "<p></p> Perform heat-mediated antigen retrieval with Tris/EDTA buffer pH 9.0 before commencing with IHC staining protocol.", "WB-species-checked": "testedAndGuaranteed", "WB-species-dilution-info": "1/1000", "WB-species-notes": "<p></p>" }, "Transfected cell lysate - Human": { "Dot-species-checked": "testedAndGuaranteed", "Dot-species-dilution-info": "1/1000", "Dot-species-notes": "<p></p>", "IHCP-species-checked": "notRecommended", "IHCP-species-dilution-info": "", "IHCP-species-notes": "", "WB-species-checked": "notRecommended", "WB-species-dilution-info": "", "WB-species-notes": "" } } }

製品の詳細

Patented technology
Our RabMAb® technology is a patented hybridoma-based technology for making rabbit monoclonal antibodies. For details on our patents, please refer to RabMAb® patents.

What are the advantages of a recombinant monoclonal antibody?
This product is a recombinant monoclonal antibody, which offers several advantages including:

  • - High batch-to-batch consistency and reproducibility
  • - Improved sensitivity and specificity
  • - Long-term security of supply
  • - Animal-free batch production

For more information, read more on recombinant antibodies.

出荷温度及び保存条件

製品の状態
Liquid
精製方法
Affinity purification Protein A
バッファー組成
pH: 7.2 - 7.4 Preservative: 0.01% Sodium azide Constituents: PBS, 40% Glycerol (glycerin, glycerine), 0.05% BSA
出荷温度
Blue Ice
短期保存期間
1-2 weeks
短期保存温度
+4°C
長期保存温度
-20°C
分注に関する情報
Upon delivery aliquot
保管に関する情報
Avoid freeze / thaw cycle

製品プロトコール

For this product, it's our understanding that no specific protocols are required. You can visit:

ターゲットの情報

Phosphatidylserine receptor that plays different role in immune response including phagocytosis of apoptotic cells and T-cell regulation. Controls T-cell activation in a bimodal fashion, decreasing the activation of naive T-cells by inducing cell cycle arrest, while increasing proliferation of activated T-cells by activating AKT1 and ERK1/2 phosphorylations and subsequent signaling pathways (By similarity). Also plays a role in efferocytosis which is the process by which apoptotic cells are removed by phagocytic cells (PubMed : 32703939, PubMed : 34067457). Mechanistically, promotes the engulfment of apoptotic cells or exogenous particles by securing them to phagocytes through direct binding to phosphatidylserine present on apoptotic cells, while other engulfment receptors such as MERTK efficiently recognize apoptotic cells and mediate their ingestion (PubMed : 32640697). Additionally, promotes autophagy process by suppressing NLRP3 inflammasome activity via activation of LKB1/PRKAA1 pathway in a phosphatidylserine-dependent mechanism (By similarity).. (Microbial infection) Plays a positive role in exosome-mediated trafficking of HIV-1 virus and its entry into immune cells.
See full target information TIMD4

Abcam product promise

当社は、高品質な試薬を通じてお客様の研究を力強くサポートすることをお約束いたします。ご使用いただく各段階で、常にお客様をサポートできる体制を整えております。万が一、製品が期待通りに機能しない場合は、「Abcam Product Promise」による当社保証制度に基づき、安心してご利用いただけます。
保証に関する詳細については利用規約をご確認ください。

Please note: All products are 'FOR RESEARCH USE ONLY. NOT FOR USE IN DIAGNOSTIC OR THERAPEUTIC PROCEDURES'.

For licensing inquiries, please contact partnerships@abcam.com