JavaScript is disabled in your browser. Please enable JavaScript to view this website.
AB267388

Anti-Thrombospondin 1 抗体 [EPR22927-54]

Anti-Thrombospondin 1 antibody [EPR22927-54]

2

(1 Review)

|

(26 Publications)

Anti-Thrombospondin 1 antibody [EPR22927-54] (ab267388) is a rabbit monoclonal antibody detecting Thrombospondin 1 in Western Blot, Flow Cytometry (Intra), Flow Cytometry, IP, IHC-P, ICC/IF. Suitable for Human, Mouse, Rat.

- Biophysical QC for unrivalled batch-batch consistency

別名を表示する

TSP, TSP1, THBS1, Thrombospondin-1, Glycoprotein G

14 Images
Immunohistochemistry (Formalin/PFA-fixed paraffin-embedded sections) - Anti-Thrombospondin 1 antibody [EPR22927-54] (AB267388)
  • IHC-P

Supplier Data

Immunohistochemistry (Formalin/PFA-fixed paraffin-embedded sections) - Anti-Thrombospondin 1 antibody [EPR22927-54] (AB267388)

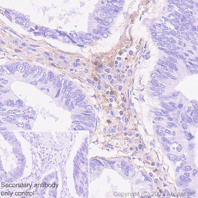
Immunohistochemical analysis of paraffin-embedded Human cervical carcinoma tissue labelling Thrombospondin 1 with ab267388 at 1/5000 (0.101 μg/ml) followed by a Rabbit specific IHC polymer detection kit HRP/DAB (ab209101) at a Ready to use dilution. Positive staining on extracellular matrix of human cervical carcinoma. The section was incubated with ab267388 for 30 mins at room temperature. The immunostaining was performed on a Leica Biosystems BOND® RX instrument Counterstained with Hematoxylin. Secondary antibody only control : Secondary antibody is Rabbit specific IHC polymer detection kit HRP/DAB (ab209101) at Ready to use dilution. Heat mediated antigen retrieval was performed with Tris-EDTA buffer (pH 9.0, Epitope Retrieval Solution2) for 20 mins.

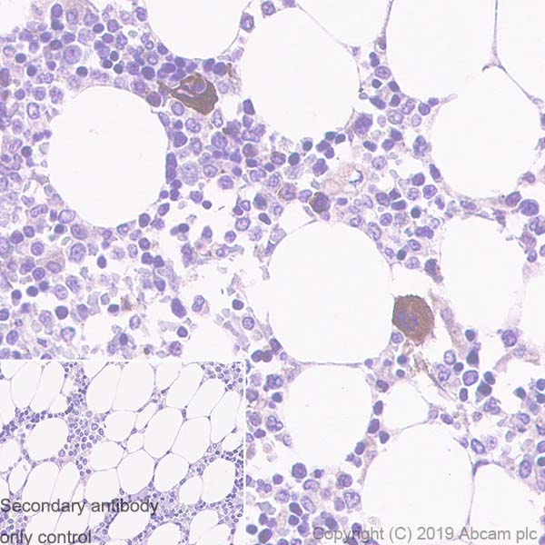
Immunohistochemistry (Formalin/PFA-fixed paraffin-embedded sections) - Anti-Thrombospondin 1 antibody [EPR22927-54] (AB267388)
  • IHC-P

Supplier Data

Immunohistochemistry (Formalin/PFA-fixed paraffin-embedded sections) - Anti-Thrombospondin 1 antibody [EPR22927-54] (AB267388)

Immunohistochemical analysis of paraffin-embedded human bone marrow tissue labeling Thrombospondin 1 with ab267388 at 1/5000 dilution (0.1 µg/ml) followed by a ready to use Goat Anti-Rabbit IgG H&L (HRP Polymer). Positive staining on the megakaryocytes in the human bone marrow (PMID : 28239144). The section was incubated with ab267388 for 10 mins at room temperature. The immunostaining staining was performed on a Leica Biosystems BOND® RX instrument. Counterstained with hematoxylin. Secondary antibody only control : Secondary antibody is a ready to use Goat Anti-Rabbit IgG H&L (HRP Polymer). Heat mediated antigen retrieval with Tris-EDTA buffer (pH 9.0, epitope retrieval solution 2) for 20 mins.

Flow Cytometry (Intracellular) - Anti-Thrombospondin 1 antibody [EPR22927-54] (AB267388)
  • Flow Cyt (Intra)

Unknown

Flow Cytometry (Intracellular) - Anti-Thrombospondin 1 antibody [EPR22927-54] (AB267388)

This data was developed using the same antibody clone in a different buffer formulation containing PBS, BSA, glycerol and sodium azide ab267388.Flow cytometric analysis of 4% paraformaldehyde fixed 90% methanol permeabilized HUVEC (human umbilical vein endothelial cell) cells labelling Thrombospondin 1 with ab267388 at 1/50 (Red) compared with a Rabbit monoclonal IgG (ab172730) / Black isotype control and an unlabelled control (cells without incubation with primary antibody and secondary antibody) (Blue). A Goat anti rabbit IgG (Alexa Fluor� 488, ab150077) at 1/2000 dilution was used as the secondary antibody.

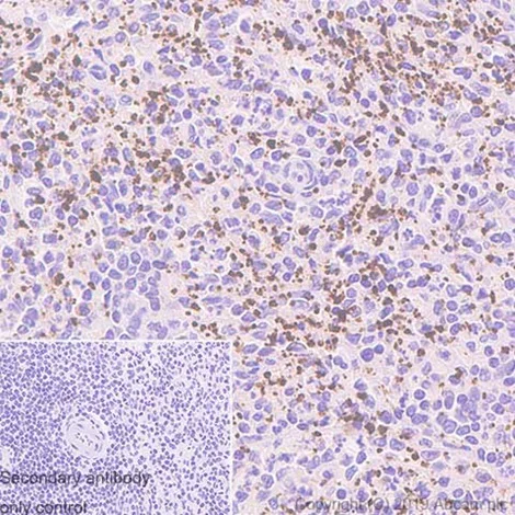
Immunohistochemistry (Formalin/PFA-fixed paraffin-embedded sections) - Anti-Thrombospondin 1 antibody [EPR22927-54] (AB267388)
  • IHC-P

Supplier Data

Immunohistochemistry (Formalin/PFA-fixed paraffin-embedded sections) - Anti-Thrombospondin 1 antibody [EPR22927-54] (AB267388)

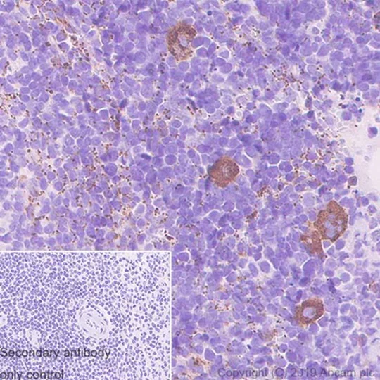
Immunohistochemical analysis of paraffin-embedded human spleen tissue labeling Thrombospondin 1 with ab267388 at 1/5000 dilution (0.1 µg/ml) followed by a ready to use Goat Anti-Rabbit IgG H&L (HRP Polymer). Positive staining on the platelets in the human spleen (PMID : 28239144). The section was incubated with ab267388 for 10 mins at room temperature. The immunostaining staining was performed on a Leica Biosystems BOND® RX instrument. Counterstained with hematoxylin. Secondary antibody only control : Secondary antibody is a ready to use Goat Anti-Rabbit IgG H&L (HRP Polymer). Heat mediated antigen retrieval with Tris-EDTA buffer (pH 9.0, epitope retrieval solution 2) for 20 mins.

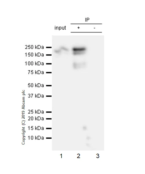
Immunoprecipitation - Anti-Thrombospondin 1 antibody [EPR22927-54] (AB267388)
  • IP

Unknown

Immunoprecipitation - Anti-Thrombospondin 1 antibody [EPR22927-54] (AB267388)

This data was developed using the same antibody clone in a different buffer formulation containing PBS, BSA, glycerol and sodium azide (ab267388).

Thrombospondin 1 was immunoprecipitated from 0.35 mg HUVEC (Human umbilical vein endothelial cell) whole cell lysate 10ug with ab267388 at 1/30 dilution (2ug in 0.35mg lysates). Western blot was performed on the immunoprecipitate using ab267388 at 1/1000 dilution. VeriBlot for IP Detection Reagent (HRP) (ab131366) was used at 1/5000 dilution.

Lane 1 : HUVEC (Human umbilical vein endothelial cell) whole cell lysate 10ug
Lane 2 : ab267388 IP in HUVEC whole cell lysate
Lane 3 : Rabbit monoclonal IgG (ab172730) instead of ab267388 in HUVEC whole cell lysate

Blocking and dilution buffer and concentration : 5% NFDM/TBST.

Exposure time : 8 seconds

All lanes:

Immunoprecipitation - Anti-Thrombospondin 1 antibody [EPR22927-54] (ab267388)

Predicted band size: 129 kDa

false

Immunocytochemistry/ Immunofluorescence - Anti-Thrombospondin 1 antibody [EPR22927-54] (AB267388)
  • ICC/IF

Supplier Data

Immunocytochemistry/ Immunofluorescence - Anti-Thrombospondin 1 antibody [EPR22927-54] (AB267388)

Immunofluorescent analysis of 100% methanol-fixed, permeabilized HUVEC (human umbilical vein endothelial cell) cells labeling Thrombospondin 1 with ab267388 at 1/100 dilution (5 µg/ml), followed by ab150077 AlexaFluor®488 Goat anti-Rabbit secondary antibody at 1/1000 dilution (Green). Confocal image showing cytoplasmic staining in HUVEC cell line is observed. ab195889 Anti-alpha Tubulin antibody [DM1A] - Microtubule Marker (Alexa Fluor® 594) was used to counterstain tubulin at 1/200 dilution (Red). The nuclear counterstain was DAPI (Blue). Secondary antibody only control : Secondary antibody is ab150077 AlexaFluor®488 Goat anti-Rabbit secondary at 1/1000 dilution. 100% methanol fixation is recommended.

Flow Cytometry (Intracellular) - Anti-Thrombospondin 1 antibody [EPR22927-54] (AB267388)
  • Flow Cyt (Intra)

Unknown

Flow Cytometry (Intracellular) - Anti-Thrombospondin 1 antibody [EPR22927-54] (AB267388)

This data was developed using the same antibody clone in a different buffer formulation containing PBS, BSA, glycerol and sodium azide ab267388.Flow cytometric analysis of 4% paraformaldehyde fixed 90% methanol permeabilized 3T3-L1 (mouse embryonic fibroblast) starved with 0.4% serum for 24h, then cultured with 15% serum for 6h (Red) / Untreated control (Green) cells labelling Thrombospondin 1 with ab267388 at 1/50 (Red) compared with a Rabbit monoclonal IgG (ab172730) / Black isotype control and an unlabelled control (cells without incubation with primary antibody and secondary antibody) (Blue). A Goat anti rabbit IgG (Alexa Fluor� 488, ab150077) at 1/2000 dilution was used as the secondary antibody.

Flow Cytometry (Intracellular) - Anti-Thrombospondin 1 antibody [EPR22927-54] (AB267388)
  • Flow Cyt (Intra)

Lab

Flow Cytometry (Intracellular) - Anti-Thrombospondin 1 antibody [EPR22927-54] (AB267388)

Intracellular Flow Cytometry analysis of PC-12 (Rat adrenal gland pheochromocytoma cell line) cells labeling Thrombospondin 1 with ab267388 at 1/500 dilution (Red). Cells were fixed with 4% Paraformaldehyde and permeabilised with 90% Methanol. A Goat Anti-rabbit IgG (Alexa Fluor® 488, ab150081) secondary antibody was used at 1/5000 dilution. Isotype control - Rabbit monoclonal IgG (Black) (ab172730). Unlabeled control - Cell without incubation with primary antibody and secondary antibody (Blue).

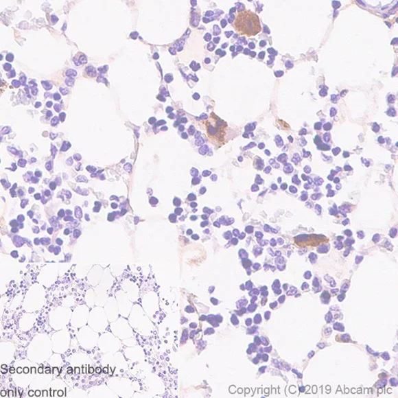
Immunohistochemistry (Formalin/PFA-fixed paraffin-embedded sections) - Anti-Thrombospondin 1 antibody [EPR22927-54] (AB267388)
  • IHC-P

Supplier Data

Immunohistochemistry (Formalin/PFA-fixed paraffin-embedded sections) - Anti-Thrombospondin 1 antibody [EPR22927-54] (AB267388)

Immunohistochemical analysis of paraffin-embedded mouse spleen tissue labeling Thrombospondin 1 with ab267388 at 1/5000 dilution (0.1 µg/ml) followed by a ready to use Goat Anti-Rabbit IgG H&L (HRP Polymer). Positive staining on the megakaryocytes and platelets in the mouse spleen is observed. The section was incubated with ab267388 for 10 mins at room temperature. The immunostaining staining was performed on a Leica Biosystems BOND® RX instrument. Counterstained with hematoxylin. Secondary antibody only control : Secondary antibody is a ready to use Goat Anti-Rabbit IgG H&L (HRP Polymer). Heat mediated antigen retrieval with Tris-EDTA buffer (pH 9.0, epitope retrieval solution 2) for 20 mins.

Immunocytochemistry/ Immunofluorescence - Anti-Thrombospondin 1 antibody [EPR22927-54] (AB267388)
  • ICC/IF

Supplier Data

Immunocytochemistry/ Immunofluorescence - Anti-Thrombospondin 1 antibody [EPR22927-54] (AB267388)

Immunofluorescent analysis of 100% Methanol-fixed, 0.1% TritonX-100 permeabilized PC-12 (rat adrenal gland pheochromocytoma cell) cells labelling Thrombospondin 1 with ab267388 at 1/100 (5.3 μg/ml) dilution, followed by ab150077 AlexaFluor® 488 Goat anti-Rabbit secondary antibody at 1/1000 (2 μg/ml) dilution (Green). Confocal image showing cytoplasmic staining in PC-12 cell line. Image was taken with a confocal microscope (Leica-Microsystems, TCS SP8). ab195889 Anti-alpha Tubulin antibody [DM1A] - Microtubule Marker (Alexa Fluor® 594) was used to counterstain tubulin at 1/200 (2.5 μg/ml) dilution (Red). The Nuclear counterstain was DAPI (Blue). Secondary antibody only control : Secondary antibody is ab150077 AlexaFluor® 488 Goat anti-Rabbit secondary at 1/1000 (2 μg/ml) dilution.

Immunoprecipitation - Anti-Thrombospondin 1 antibody [EPR22927-54] (AB267388)
  • IP

Unknown

Immunoprecipitation - Anti-Thrombospondin 1 antibody [EPR22927-54] (AB267388)

This data was developed using the same antibody clone in a different buffer formulation containing PBS, BSA, glycerol and sodium azide (ab267388).

Thrombospondin 1 was immunoprecipitated from 0.35 mg Mouse platelets whole cell lysate 10ug with ab267388 at 1/30 dilution (2ug in 0.35mg lysates). Western blot was performed on the immunoprecipitate using ab267388 at 1/1000 dilution. VeriBlot for IP Detection Reagent (HRP) (ab131366) was used at 1/5000 dilution.

Lane 1 : Mouse platelets whole cell lysate 10ug
Lane 2 : ab267388 IP in Mouse platelets whole cell lysate
Lane 3 : Rabbit monoclonal IgG (ab172730) instead of ab267388 in Mouse platelets whole cell lysate

Blocking and dilution buffer and concentration : 5% NFDM/TBST.

Exposure time : 8 seconds

All lanes:

Immunoprecipitation - Anti-Thrombospondin 1 antibody [EPR22927-54] (ab267388)

Predicted band size: 129 kDa

false

Western blot - Anti-Thrombospondin 1 antibody [EPR22927-54] (AB267388)
  • WB

Supplier Data

Western blot - Anti-Thrombospondin 1 antibody [EPR22927-54] (AB267388)

The full-length TSP 1 (180kDa) and a 160-kDa band, likely to be an TSP 1 isoform or fragment, are observed.

The molecular weight observed is consistent with what has been described in the literature (PMID : 1426766, 27588705).

Blocking/Dilution buffer : 5% NFDM/TBST.

All lanes:

Western blot - Anti-Thrombospondin 1 antibody [EPR22927-54] (ab267388) at 1/1000 dilution

Lane 1:

HUVEC (human umbilical vein endothelial cell) whole cell lysate at 20 µg

Lane 2:

Mouse platelet lysate at 20 µg

Secondary

All lanes:

Western blot - Goat Anti-Rabbit IgG H&L (HRP) (<a href='/products/secondary-antibodies/goat-rabbit-igg-h-l-hrp-ab97051'>ab97051</a>) at 1/100000 dilution

Predicted band size: 129 kDa

false

Exposure time: 3min

Western blot - Anti-Thrombospondin 1 antibody [EPR22927-54] (AB267388)
  • WB

Unknown

Western blot - Anti-Thrombospondin 1 antibody [EPR22927-54] (AB267388)

TSP 1 is a serum-responsive gene. Its express is elevated in quiescent 3T3 with serum addition.

The full-length TSP 1 (180kDa) and a 160-kDa band, likely to be an TSP 1 isoform or fragment, are observed.

The molecular weight observed is consistent with what has been described in the literature (PMID : 1426766, 27588705).

Blocking/Dilution buffer : 5% NFDM/TBST.

All lanes:

Western blot - Anti-Thrombospondin 1 antibody [EPR22927-54] (ab267388) at 1/1000 dilution

Lane 1:

3T3-L1 (mouse embryonic fibroblast) starved with 0.4% serum for 30 hours whole cell lysate at 10 µg

Lane 2:

3T3-L1 starved with 0.4% serum for 24 hours, then cultivated with 15% serum for 6 hours. whole cell lysate at 10 µg

Secondary

All lanes:

Western blot - Goat Anti-Rabbit IgG H&L (HRP) (<a href='/products/secondary-antibodies/goat-rabbit-igg-h-l-hrp-ab97051'>ab97051</a>) at 1/100000 dilution

Predicted band size: 129 kDa

false

Exposure time: 3min

Western blot - Anti-Thrombospondin 1 antibody [EPR22927-54] (AB267388)
  • WB

Lab

Western blot - Anti-Thrombospondin 1 antibody [EPR22927-54] (AB267388)

Blocking buffer and concentration : 5% NFDM/TBST Diluting buffer and concentration : 5% NFDM/TBST The full-length TSP 1 (180 kDa) and a ~140 kDa band, likely to be a TSP 1 isoform or fragment, are observed. The molecular weight observed is consistent with what has been described in the literature (PMID : 1426766, 27588705).

Lane 1:

Western blot - Anti-Thrombospondin 1 antibody [EPR22927-54] - BSA and Azide free (<a href='/products/primary-antibodies/thrombospondin-1-antibody-epr22927-54-bsa-and-azide-free-ab267397'>ab267397</a>) at 1/1000 dilution

Lane 1:

Western blot - Anti-Thrombospondin 1 antibody [EPR22927-54] (ab267388) at 1/1000 dilution

All lanes:

Rat platelet whole cell lysate at 20 µg

Secondary

All lanes:

Western blot - Goat Anti-Rabbit IgG H&L (HRP) (<a href='/products/secondary-antibodies/goat-rabbit-igg-h-l-hrp-ab97051'>ab97051</a>) at 1/100000 dilution

Predicted band size: 129 kDa

Observed band size: 140 kDa,180 kDa

false

Exposure time: 5.5s

関連する標識済み抗体及び組成の異なる製品 (1)

  • Carrier free

    Anti-Thrombospondin 1 antibody [EPR22927-54] - BSA and Azide free

Key facts

宿主種

Rabbit

クローン性

Monoclonal

クローン番号

EPR22927-54

アイソタイプ

IgG

キャリアフリー

No

交差種

Rat, Mouse, Human

アプリケーション

IP, ICC/IF, Flow Cyt (Intra), IHC-P, WB

applications

免疫原

The exact immunogen used to generate this antibody is proprietary information.

Reactivity data

{ "title": "Reactivity Data", "filters": { "stats": ["", "Species", "Dilution Info", "Notes"], "tabs": { "all-applications": {"fullname" : "All Applications", "shortname": "All Applications"}, "IP" : {"fullname" : "Immunoprecipitation", "shortname":"IP"}, "WB" : {"fullname" : "Western blot", "shortname":"WB"}, "ICCIF" : {"fullname" : "Immunocytochemistry/ Immunofluorescence", "shortname":"ICC/IF"}, "FlowCytIntra" : {"fullname" : "Flow Cytometry (Intracellular)", "shortname":"Flow Cyt (Intra)"}, "IHCP" : {"fullname" : "Immunohistochemistry (Formalin/PFA-fixed paraffin-embedded sections)", "shortname":"IHC-P"} }, "product-promise": { "all": "all", "testedAndGuaranteed": "tested", "guaranteed": "expected", "predicted": "predicted", "notRecommended": "not-recommended" } }, "values": { "Human": { "IP-species-checked": "testedAndGuaranteed", "IP-species-dilution-info": "1/30", "IP-species-notes": "<p></p>", "WB-species-checked": "testedAndGuaranteed", "WB-species-dilution-info": "1/1000", "WB-species-notes": "<p></p>", "ICCIF-species-checked": "testedAndGuaranteed", "ICCIF-species-dilution-info": "1/100", "ICCIF-species-notes": "<p></p>", "FlowCytIntra-species-checked": "testedAndGuaranteed", "FlowCytIntra-species-dilution-info": "1/50 - 1/500", "FlowCytIntra-species-notes": "<p></p>", "IHCP-species-checked": "testedAndGuaranteed", "IHCP-species-dilution-info": "1/5000", "IHCP-species-notes": "<p></p>" }, "Mouse": { "IP-species-checked": "testedAndGuaranteed", "IP-species-dilution-info": "1/30", "IP-species-notes": "<p></p>", "WB-species-checked": "testedAndGuaranteed", "WB-species-dilution-info": "1/1000", "WB-species-notes": "<p></p>", "ICCIF-species-checked": "guaranteed", "ICCIF-species-dilution-info": "", "ICCIF-species-notes": "", "FlowCytIntra-species-checked": "testedAndGuaranteed", "FlowCytIntra-species-dilution-info": "1/50 - 1/500", "FlowCytIntra-species-notes": "<p></p>", "IHCP-species-checked": "testedAndGuaranteed", "IHCP-species-dilution-info": "1/5000", "IHCP-species-notes": "<p></p>" }, "Rat": { "IP-species-checked": "guaranteed", "IP-species-dilution-info": "", "IP-species-notes": "", "WB-species-checked": "testedAndGuaranteed", "WB-species-dilution-info": "1/1000", "WB-species-notes": "<p></p>", "ICCIF-species-checked": "testedAndGuaranteed", "ICCIF-species-dilution-info": "1/100", "ICCIF-species-notes": "<p></p>", "FlowCytIntra-species-checked": "testedAndGuaranteed", "FlowCytIntra-species-dilution-info": "1/50 - 1/500", "FlowCytIntra-species-notes": "<p></p>", "IHCP-species-checked": "guaranteed", "IHCP-species-dilution-info": "", "IHCP-species-notes": "" } } }

製品の詳細

What is this antibody validated in?
Anti-Thrombospondin 1 antibody [EPR22927-54] (ab267388) is a rabbit recombinant monoclonal antibody and is validated for use in Western Blot (WB), Flow Cytometry (Intra), Flow Cytometry (Flow Cyt), Immunoprecipitation (IP), Immunohistochemistry (IHC-P), Immunocytochemistry/immunofluorescence (ICC/IF) in Human, Mouse, Rat samples.

What is the molecular weight of Thrombospondin 1?
Anti-Thrombospondin 1 [EPR22927-54] (ab267388) specifically detects a band for Thrombospondin 1 (UniProt: P35441) at a molecular weight of 129kDa.

Trial sizes available!
Test your antibody or perform pre-screening before committing to a larger quantity. Sold in 10µl. Discover our selection of trial-size antibodies.

Other related products
We have a range of other formats of antibody clone [EPR22927-54] also available for your convenience: ab267388, Carrier free - ab267397

Patented technology
Our RabMAb® technology is a patented hybridoma-based technology for making rabbit monoclonal antibodies. For details on our patents, please refer to RabMAb® patents.

What are the advantages of a recombinant monoclonal antibody?
This product is a recombinant monoclonal antibody, which offers several advantages including:

  • - High batch-to-batch consistency and reproducibility
  • - Improved sensitivity and specificity
  • - Long-term security of supply
  • - Animal-free batch production

For more information, read more on recombinant antibodies.

出荷温度及び保存条件

製品の状態
Liquid
精製方法
Affinity purification Protein A
バッファー組成
pH: 7.2 - 7.4 Preservative: 0.01% Sodium azide Constituents: PBS, 40% Glycerol (glycerin, glycerine), 0.05% BSA
出荷温度
Blue Ice
短期保存期間
1-2 weeks
短期保存温度
+4°C
長期保存温度
-20°C
分注に関する情報
Upon delivery aliquot
保管に関する情報
Avoid freeze / thaw cycle

補足情報

This supplementary information is collated from multiple sources and compiled automatically.

Thrombospondin 1 also known as TSP1 is a multi-functional glycoprotein involved in cellular processes like adhesion migration and tumorigenesis. It has a molecular weight of approximately 450 kDa. TSP1 is produced by multiple cell types including endothelial cells and fibroblasts and it is widely expressed in the extracellular matrix of both normal and tumor tissues. As a member of the thrombospondin family it interacts with cell receptors like integrins and CD36 to mediate its diverse functions.
Biological function summary

TSP1 is significant in modulating angiogenesis immune response and apoptosis. It acts as an anti-angiogenic factor by inhibiting endothelial cell proliferation and migration. TSP1 is a part of a larger complex where it interacts with other matrix proteins and growth factors to fine-tune cellular behavior within tissues. Through its binding domains it inhibits matrix metalloproteinases helping regulate matrix composition and tissue remodeling.

Pathways

TSP1 influences both the TGF-beta and NF-kB signaling pathways. In the TGF-beta pathway TSP1 activates latent TGF-beta contributing to tissue repair and fibrosis processes. It works synergistically with proteins like SMADs in these pathways. In the NF-kB pathway TSP1 modulates immune responses and inflammatory processes. Its interaction with CD36 and integrins in these pathways underlines its versatile role in cellular signaling.

TSP1 has been investigated in cancer progression and cardiovascular diseases. In cancer TSP1's anti-angiogenic properties suppress tumor vascularization which can slow tumor growth. Aberrant TSP1 expression levels have also been linked to atherosclerosis development as it interacts with endothelial cells and inflammatory molecules like TNF-alpha. In both these contexts TSP1 engages with proteins such as integrins and CD36 to exert its influence on disease progression.

製品プロトコール

For this product, it's our understanding that no specific protocols are required. You can visit:

ターゲットの情報

Adhesive glycoprotein that mediates cell-to-cell and cell-to-matrix interactions (PubMed : 15014436, PubMed : 18285447, PubMed : 2430973, PubMed : 6489349). Multifunctional, involved in inflammation, angiogenesis, wound healing, reactive oxygen species (ROS) signaling, nitrous oxide (NO) signaling, apoptosis, senescence, aging, cellular self-renewal, stemness, and cardiovascular and metabolic homeostasis (PubMed : 10613822, PubMed : 11134179, PubMed : 1371676, PubMed : 14568985, PubMed : 24511121, PubMed : 29042481, PubMed : 32679764). Negatively modulates dendritic cell activation and cytokine release, as part of an autocrine feedback loop, contributing to the resolution of inflammation and immune homeostasis (PubMed : 14568985). Ligand for receptor CD47 (PubMed : 19004835, PubMed : 8550562). Modulates nitrous oxide (NO) signaling via CD47, hence playing a role as a pressor agent, supporting blood pressure (By similarity). Plays a role in endothelial cell senescence, acting via CD47, by increasing the abundance and activation of NADPH oxidase NOX1, and so generating excess ROS (PubMed : 29042481). Inhibits stem cell self-renewal, acting via CD47 signaling, probably by regulation of the stem cell transcription factors POU5F1/OCT4, SOX2, MYC/c-Myc and KLF4 (By similarity). Negatively modulates wound healing, acting via CD47 (By similarity). Ligand for receptor CD36 (PubMed : 10613822, PubMed : 11134179, PubMed : 1371676). Involved in inducing apoptosis in podocytes in response to elevated free fatty acids, acting via CD36 (By similarity). Plays a role in suppressing angiogenesis, acting, depending on context, via CD36 or CD47 (PubMed : 10613822, PubMed : 11134179, PubMed : 1371676, PubMed : 32679764). Promotes cellular senescence in a TP53-CDKN1A-RB1 signaling-dependent manner (PubMed : 29042481). Ligand for immunoglobulin-like cell surface receptor SIRPA (PubMed : 24511121). Involved in ROS signaling in non-phagocytic cells, stimulating NADPH oxidase-derived ROS production, acting via interaction with SIRPA (PubMed : 24511121). Plays a role in metabolic dysfunction in diet-induced obesity, perhaps acting by exacerbating adipose inflammatory activity; its effects may be mediated, at least in part, through enhanced adipocyte proliferation (By similarity). Plays a role in ER stress response, via its interaction with the activating transcription factor 6 alpha (ATF6) which produces adaptive ER stress response factors (By similarity). May be involved in age-related conditions, including metabolic dysregulation, during normal aging (PubMed : 29042481, PubMed : 32679764).
See full target information THBS1

文献 (26)

Recent publications for all applications. Explore the full list and refine your search

Diabetology & metabolic syndrome 17:374 PubMed41044623

2025

THBS1 regulates the function and insulin sensitivity of HTR8/SVneo cells treated with high glucose through the RhoA/ROCK1 signaling pathway.

Applications

Unspecified application

Species

Unspecified reactive species

Yuerong Chai,Jie Tang,Aimin Liu,Qin Zhou

Frontiers in immunology 16:1612318 PubMed41019041

2025

Arsenic sulfide enhances the therapeutic effect of hepatocellular carcinoma immunotherapy through STAT3-THBS1/CD47 pathway.

Applications

Unspecified application

Species

Unspecified reactive species

Ting Kang,Zhuowei Feng,Yu Cai,Ruizhe Huang,Ruiheng Wang,Zhiyi Liu,Shumin Lu,Shufeng Xie,Han Liu,Siyu Chen

Journal of translational medicine 23:987 PubMed40898256

2025

Serum TSP-1 is a useful biomarker in severity assessment and the diagnosis of osteoarthritis.

Applications

Unspecified application

Species

Unspecified reactive species

Xianda Che,Chengming Zhang,Yuhao Zhuo,Huanya Li,Xueting Ding,Gaige Wu,Fuyang Cao,Guohao Zhang,Yukun Yin,Li Guo,Pengcui Li,Lu Li,Xiaochun Wei

Frontiers in immunology 16:1577234 PubMed40475787

2025

Thrombospondin-1 mitigates osteoarthritis progression by inhibiting mechanical stress-induced chondrocyte ferroptosis via the integrin/YAP pathway.

Applications

Unspecified application

Species

Unspecified reactive species

Shaoyi Wang,Xiaocong Zhou,Fujian Zhang,Haoxin Zhai,Yuanqiang Zhang,Yongyuan Guo

Renal failure 47:2490200 PubMed40260530

2025

Circ-0069561 as a novel diagnostic biomarker for progression of diabetic kidney disease.

Applications

Unspecified application

Species

Unspecified reactive species

Chaoyi Chen,Xinran Liu,Sai Zhu,Yukai Wang,Yu Ma,Ziyun Hu,Yonggui Wu,Ling Jiang

Cardiovascular therapeutics 2025:3845211 PubMed40231210

2025

Thrombospondin-1 Silencing Ameliorates Osteoblastic Differentiation of Aortic Valve Interstitial Cells via Inhibiting Nuclear Factor-B Pathway.

Applications

Unspecified application

Species

Unspecified reactive species

Qing Li,Chengxiang Song,Zisong Wei,Junli Li,Hao Zhou,Shuoding Wang,Hongde Li,Haoran Yang,Qiang Luo,Mao Chen

Cellular and molecular life sciences : CMLS 82:157 PubMed40220148

2025

m6A reader IGF2BP1 facilitates macrophage glycolytic metabolism and fibrotic phenotype by stabilizing THBS1 mRNA to promote pulmonary fibrosis.

Applications

Unspecified application

Species

Unspecified reactive species

Yan Hu,Lulu Yang,Liting Huang,Chao Zeng,Siying Ren

International journal of biological sciences 21:2083-2100 PubMed40083708

2025

Thrombospondin 1 Promotes Cytoskeleton Remodeling, Dedifferentiation, and Pulmonary Metastasis through ITGA1 and ITGA6 in Osteosarcoma.

Applications

Unspecified application

Species

Unspecified reactive species

Enjie Xu,Zhen Huang,Kunpeng Zhu,Jianping Hu,Xiaolong Ma,Yongjie Wang,Jiazhuang Zhu,Chunlin Zhang

International journal of molecular sciences 26: PubMed39796249

2025

Mechanism of THBS1 Regulation of MDCK Cell Proliferation and Apoptosis Through TGF-β/Smad Signalling.

Applications

Unspecified application

Species

Unspecified reactive species

Rui Li,Fan Zhang,Lijin Wang,Siya Wang,Manlin Zhou,Jun Wang,Yiyang Zhang,Xiao Tan,Weiji Chen,Kun Yang,Zilin Qiao

Journal of cellular and molecular medicine 28:e70268 PubMed39690141

2024

DExD-Box Helicase 21 Enhances Myometrial Contractions Through Thrombospondin-1-Mediated Increase in Cell Adhesion.

Applications

Unspecified application

Species

Unspecified reactive species

Lina Chen,Yanmin Jiang,Xiaodi Wang,Lele Wang,Junjie Bao,Zi Lv,Xiaoyan Sha,Zheng Zheng,Yunshan Chen,Kaiyuan Ji,Huishu Liu
View all publications

Abcam product promise

当社は、高品質な試薬を通じてお客様の研究を力強くサポートすることをお約束いたします。ご使用いただく各段階で、常にお客様をサポートできる体制を整えております。万が一、製品が期待通りに機能しない場合は、「Abcam Product Promise」による当社保証制度に基づき、安心してご利用いただけます。
保証に関する詳細については利用規約をご確認ください。

Please note: All products are 'FOR RESEARCH USE ONLY. NOT FOR USE IN DIAGNOSTIC OR THERAPEUTIC PROCEDURES'.

For licensing inquiries, please contact partnerships@abcam.com