JavaScript is disabled in your browser. Please enable JavaScript to view this website.
AB16059

Anti-TGN46 抗体 - Golgi Marker

Anti-TGN46 antibody - Golgi Marker

4

(8 Reviews)

|

(41 Publications)

Rabbit Polyclonal TGN46 antibody. Golgi marker. Suitable for IHC-P, ICC, ICC/IF and reacts with Mouse, Chinese hamster, Rat samples. Cited in 41 publications.

別名を表示する

Ttgn2, Tgoln2, Trans-Golgi network integral membrane protein 2, TGN38B

4 Images
Immunocytochemistry - Anti-TGN46 antibody - Golgi Marker (AB16059)
  • ICC

Lab

Immunocytochemistry - Anti-TGN46 antibody - Golgi Marker (AB16059)

ab16059 staining TGN46 in MEF1 cells. The cells were fixed with 100% methanol (5 min), permeabilized with 0.1% PBS-Tween for 5 minutes and then blocked with 1% BSA/10% normal goat serum/0.3M glycine in 0.1% PBS-Tween for 1h. The cells were then incubated overnight at 4°C with ab16059 at 1µg/ml and ab7291, Mouse monoclonal [DM1A] to alpha Tubulin - Loading Control. Cells were then incubated with ab150081, Goat polyclonal Secondary Antibody to Rabbit IgG - H&L (Alexa Fluor® 488), pre-adsorbed at 1/1000 dilution (shown in green) and ab150120, Goat polyclonal Secondary Antibody to Mouse IgG - H&L (Alexa Fluor® 594), pre-adsorbed at 1/1000 dilution (shown in pseudocolour red). Nuclear DNA was labelled with DAPI (shown in blue).

Also suitable in cells fixed with 4% paraformaldehyde (10 min).

Image was acquired with a high-content analyser (Operetta CLS, Perkin Elmer) and a maximum intensity projection of confocal sections is shown.

Immunocytochemistry - Anti-TGN46 antibody - Golgi Marker (AB16059)
  • ICC

AbReview13480****

Immunocytochemistry - Anti-TGN46 antibody - Golgi Marker (AB16059)

Paraformaldehyde-fixed, Triton-X 100-permeabilised mouse keratinocytes stained for TGN46 at 1/200 dilution in ICC.

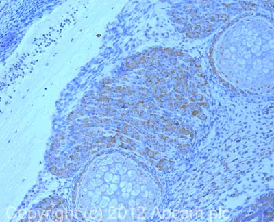
Immunohistochemistry (Formalin/PFA-fixed paraffin-embedded sections) - Anti-TGN46 antibody - Golgi Marker (AB16059)
  • IHC-P

Unknown

Immunohistochemistry (Formalin/PFA-fixed paraffin-embedded sections) - Anti-TGN46 antibody - Golgi Marker (AB16059)

IHC image of ab16059 staining in mouse e14 whole foetus formalin fixed paraffin embedded tissue section, performed on a Leica BondTM system using the standard protocol B. The section was pre-treated using heat mediated antigen retrieval with sodium citrate buffer (pH6, epitope retrieval solution 1) for 20 mins. The section was then incubated with ab16059, 5µg/ml, for 15 mins at room temperature. A goat anti-rabbit biotinylated secondary antibody was used to detect the primary, and visualized using an HRP conjugated ABC system. DAB was used as the chromogen. The section was then counterstained with haematoxylin and mounted with DPX.

For other IHC staining systems (automated and non-automated) customers should optimize variable parameters such as antigen retrieval conditions, primary antibody concentration and antibody incubation times.

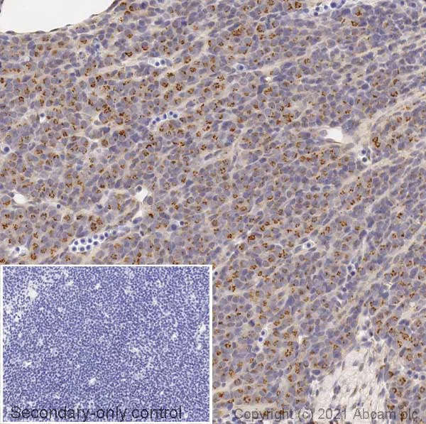
Immunohistochemistry (Formalin/PFA-fixed paraffin-embedded sections) - Anti-TGN46 antibody - Golgi Marker (AB16059)
  • IHC-P

Lab

Immunohistochemistry (Formalin/PFA-fixed paraffin-embedded sections) - Anti-TGN46 antibody - Golgi Marker (AB16059)

IHC image of TGN46 staining in a section of formalin-fixed paraffin-embedded normal mouse E14 embryo performed on a Leica BOND™ system using the standard protocol F. The section was pre-treated using heat mediated antigen retrieval with sodium citrate buffer (pH6, epitope retrieval solution 1) for 20mins. The section was then incubated with ab16059, 1μg/ml, for 15 mins at room temperature and detected using an HRP conjugated compact polymer system. DAB was used as the chromogen. The section was then counterstained with haematoxylin and mounted with DPX. The inset secondary-only control image is taken from an identical assay without primary antibody.

For other IHC staining systems (automated and non-automated) customers should optimize variable parameters such as antigen retrieval conditions, primary antibody concentration and antibody incubation times.

Key facts

宿主種

Rabbit

クローン性

Polyclonal

アイソタイプ

IgG

キャリアフリー

No

交差種

Mouse, Rat, Chinese hamster

アプリケーション

ICC/IF, IHC-P, ICC

applications

免疫原

The exact immunogen used to generate this antibody is proprietary information.

特異性

This antibody does not cross react with TGN46 - the human homologue of TGN46. A Rabbit polyclonal to human TGN46 is available (ab16052).

Reactivity data

{ "title": "Reactivity Data", "filters": { "stats": ["", "Species", "Dilution Info", "Notes"], "tabs": { "all-applications": {"fullname" : "All Applications", "shortname": "All Applications"}, "IHCP" : {"fullname" : "Immunohistochemistry (Formalin/PFA-fixed paraffin-embedded sections)", "shortname":"IHC-P"}, "ICC" : {"fullname" : "Immunocytochemistry", "shortname":"ICC"}, "WB" : {"fullname" : "Western blot", "shortname":"WB"}, "ICCIF" : {"fullname" : "Immunocytochemistry/ Immunofluorescence", "shortname":"ICC/IF"} }, "product-promise": { "all": "all", "testedAndGuaranteed": "tested", "guaranteed": "expected", "predicted": "predicted", "notRecommended": "not-recommended" } }, "values": { "Human": { "IHCP-species-checked": "notRecommended", "IHCP-species-dilution-info": "", "IHCP-species-notes": "<p></p>", "ICC-species-checked": "notRecommended", "ICC-species-dilution-info": "", "ICC-species-notes": "<p></p>", "WB-species-checked": "notRecommended", "WB-species-dilution-info": "", "WB-species-notes": "<p>Rodent TGN46 is extensively glycosylated and as a result has a mass of 97 kDa on an SDS-PAGE gel.</p>", "ICCIF-species-checked": "notRecommended", "ICCIF-species-dilution-info": "", "ICCIF-species-notes": "<p></p>" }, "Mouse": { "IHCP-species-checked": "testedAndGuaranteed", "IHCP-species-dilution-info": "5 µg/mL", "IHCP-species-notes": "<p></p> Perform heat-mediated antigen retrieval before commencing with IHC staining protocol.", "ICC-species-checked": "testedAndGuaranteed", "ICC-species-dilution-info": "1 µg/mL", "ICC-species-notes": "<p></p>", "WB-species-checked": "notRecommended", "WB-species-dilution-info": "1 µg/mL", "WB-species-notes": "<p>Rodent TGN46 is extensively glycosylated and as a result has a mass of 97 kDa on an SDS-PAGE gel.</p>", "ICCIF-species-checked": "guaranteed", "ICCIF-species-dilution-info": "", "ICCIF-species-notes": "<p></p>" }, "Rat": { "IHCP-species-checked": "notRecommended", "IHCP-species-dilution-info": "", "IHCP-species-notes": "", "ICC-species-checked": "notRecommended", "ICC-species-dilution-info": "", "ICC-species-notes": "", "WB-species-checked": "notRecommended", "WB-species-dilution-info": "1 µg/mL", "WB-species-notes": "<p>Rodent TGN46 is extensively glycosylated and as a result has a mass of 97 kDa on an SDS-PAGE gel.</p>", "ICCIF-species-checked": "guaranteed", "ICCIF-species-dilution-info": "", "ICCIF-species-notes": "<p></p>" }, "Chinese hamster": { "IHCP-species-checked": "notRecommended", "IHCP-species-dilution-info": "", "IHCP-species-notes": "", "ICC-species-checked": "notRecommended", "ICC-species-dilution-info": "", "ICC-species-notes": "", "WB-species-checked": "notRecommended", "WB-species-dilution-info": "", "WB-species-notes": "", "ICCIF-species-checked": "guaranteed", "ICCIF-species-dilution-info": "", "ICCIF-species-notes": "<p></p>" } } }

出荷温度及び保存条件

製品の状態
Liquid
精製方法
Affinity purification Immunogen
バッファー組成
pH: 7.4 Preservative: 0.02% Sodium azide Constituents: 98.98% PBS, 1% BSA
出荷温度
Blue Ice
短期保存期間
1-2 weeks
短期保存温度
+4°C
長期保存温度
-20°C
分注に関する情報
Upon delivery aliquot
保管に関する情報
Avoid freeze / thaw cycle

補足情報

This supplementary information is collated from multiple sources and compiled automatically.

TGN46 also known as trans-Golgi network protein 46 is an important membrane protein associated with the trans-Golgi network. The protein has a mass of approximately 46 kDa and plays a role in the sorting and trafficking of proteins to their proper destinations within the cell. TGN46 is widely expressed in various cell types and is commonly used as a Golgi marker in cell biology studies helping to identify Golgi apparatus in cells.
Biological function summary

The protein TGN46 functions in the sorting and transport mechanisms within the cell. It does not function as a part of a large macromolecular complex but it interacts with several other proteins to facilitate the movement of proteins from the Golgi to other sites within the cell. The protein also associates with trafficking components to ensure the correct delivery of proteins to the plasma membrane or lysosomes.

Pathways

The role of TGN46 involves participation in intracellular transport and protein trafficking pathways. It interacts with clathrin-coated vesicles and works closely with proteins such as gamma-adaptin and epsin which are important for vesicle formation and transport. These interactions highlight its involvement in protein secretion and membrane transport pathways which are essential for maintaining cellular homeostasis.

TGN46 appears to have connections to neurodegenerative diseases and certain forms of cancer although the mechanisms are not fully understood. Alterations in TGN46 have been observed in Alzheimer's disease where it may intersect with proteins like amyloid precursor protein (APP) in protein misfolding and aggregation pathways. Additionally changes in TGN46 expression levels have been implicated in prostate cancer potentially due to its role in protein sorting and dysregulation of cellular trafficking processes.

製品プロトコール

For this product, it's our understanding that no specific protocols are required. You can visit:

ターゲットの情報

May be involved in regulating membrane traffic to and from trans-Golgi network.
See full target information Tgoln2

文献 (41)

Recent publications for all applications. Explore the full list and refine your search

Journal of cell science 136: PubMed38126809

2023

Regulated dynamic subcellular GLUT4 localization revealed by proximal proteome mapping in human muscle cells.

Applications

Unspecified application

Species

Unspecified reactive species

Anuttoma Ray,Jennifer Wen,Lucie Yammine,Jeff Culver,Isabella Supardi Parida,Jeonifer Garren,Liang Xue,Katherine Hales,Qing Xiang,Morris J Birnbaum,Bei B Zhang,Mara Monetti,Timothy E McGraw

Cell death & disease 14:297 PubMed37120609

2023

Perturbation of the host cell Ca homeostasis and ER-mitochondria contact sites by the SARS-CoV-2 structural proteins E and M.

Applications

Unspecified application

Species

Unspecified reactive species

Elena Poggio,Francesca Vallese,Andreas J W Hartel,Travis J Morgenstern,Scott A Kanner,Oliver Rauh,Flavia Giamogante,Lucia Barazzuol,Kenneth L Shepard,Henry M Colecraft,Oliver Biggs Clarke,Marisa Brini,Tito Calì

Research and practice in thrombosis and haemostasis 7:100169 PubMed37304829

2023

The intracellular and plasma membrane pools of phosphatidylinositol-4-monophosphate control megakaryocyte maturation and proplatelet formation.

Applications

Unspecified application

Species

Unspecified reactive species

Ana Bura,Sara Čabrijan,Ivana Bertović,Antonija Jurak Begonja

JCI insight 7: PubMed35015735

2022

Angiogenesis depends upon EPHB4-mediated export of collagen IV from vascular endothelial cells.

Applications

Unspecified application

Species

Unspecified reactive species

Di Chen,Elizabeth D Hughes,Thomas L Saunders,Jiangping Wu,Magda N Hernandez Vasquez,Taija Makinen,Philip D King

Nature communications 13:680 PubMed35115539

2022

Dendritic autophagy degrades postsynaptic proteins and is required for long-term synaptic depression in mice.

Applications

Unspecified application

Species

Unspecified reactive species

Emmanouela Kallergi,Akrivi-Dimitra Daskalaki,Angeliki Kolaxi,Come Camus,Evangelia Ioannou,Valentina Mercaldo,Per Haberkant,Frank Stein,Kyriaki Sidiropoulou,Yannis Dalezios,Mikhail M Savitski,Claudia Bagni,Daniel Choquet,Eric Hosy,Vassiliki Nikoletopoulou

Cellular and molecular gastroenterology and hepatology 13:599-622 PubMed34610499

2021

Rab9 Mediates Pancreatic Autophagy Switch From Canonical to Noncanonical, Aggravating Experimental Pancreatitis.

Applications

Unspecified application

Species

Unspecified reactive species

Olga A Mareninova,Dustin L Dillon,Carli J M Wightman,Iskandar Yakubov,Toshimasa Takahashi,Herbert Y Gaisano,Keith Munson,Masaki Ohmuraya,David Dawson,Ilya Gukovsky,Anna S Gukovskaya

The Journal of neuroscience : the official journal of the Society for Neuroscience 41:9235-9256 PubMed34526390

2021

Loss of Christianson Syndrome Na/H Exchanger 6 (NHE6) Causes Abnormal Endosome Maturation and Trafficking Underlying Lysosome Dysfunction in Neurons.

Applications

Unspecified application

Species

Unspecified reactive species

Matthew F Pescosolido,Qing Ouyang,Judy S Liu,Eric M Morrow

Journal of cell science 134: PubMed34013963

2021

Hijacking of the host cell Golgi by Plasmodium berghei liver stage parasites.

Applications

Unspecified application

Species

Unspecified reactive species

Mariana De Niz,Reto Caldelari,Gesine Kaiser,Benoit Zuber,Won Do Heo,Volker T Heussler,Carolina Agop-Nersesian

Virology 557:23-33 PubMed33601113

2021

Rat and human cytomegalovirus ORF116 encodes a virion envelope glycoprotein required for infectivity.

Applications

Unspecified application

Species

Unspecified reactive species

Philippe Gatault,Iris K A Jones,Christine Meyer,Craig Kreklywich,Timothy Alexander,Patricia P Smith,Michael Denton,Josh Powell,Susan L Orloff,Daniel N Streblow

Nature 590:326-331 PubMed33505018

2021

Inceptor counteracts insulin signalling in β-cells to control glycaemia.

Applications

Unspecified application

Species

Unspecified reactive species

Ansarullah,Chirag Jain,Fataneh Fathi Far,Sarah Homberg,Katharina Wißmiller,Felizitas Gräfin von Hahn,Aurelia Raducanu,Silvia Schirge,Michael Sterr,Sara Bilekova,Johanna Siehler,Julius Wiener,Lena Oppenländer,Amir Morshedi,Aimée Bastidas-Ponce,Gustav Collden,Martin Irmler,Johannes Beckers,Annette Feuchtinger,Michal Grzybek,Christin Ahlbrecht,Regina Feederle,Oliver Plettenburg,Timo D Müller,Matthias Meier,Matthias H Tschöp,Ünal Coskun,Heiko Lickert
View all publications

Abcam product promise

当社は、高品質な試薬を通じてお客様の研究を力強くサポートすることをお約束いたします。ご使用いただく各段階で、常にお客様をサポートできる体制を整えております。万が一、製品が期待通りに機能しない場合は、「Abcam Product Promise」による当社保証制度に基づき、安心してご利用いただけます。
保証に関する詳細については利用規約をご確認ください。

関連製品

Select an associated product type
Alternative Product
Primary Antibodies

AB174280

Anti-TGN46 antibody [EPR12676] - Golgi Marker

primary-antibodies

tgn46-antibody-epr12676-golgi-marker-ab174280

0

(0 reviews)

Alternative Product
Primary Antibodies

AB249791

Anti-TGN46 antibody [EPR12676] - BSA and Azide free

primary-antibodies

tgn46-antibody-epr12676-bsa-and-azide-free-ab249791

0

(0 reviews)

Alternative Product
Primary Antibodies

AB50595

Anti-TGN46 antibody - Golgi Marker

primary-antibodies

tgn46-antibody-golgi-marker-ab50595

5

(10 reviews)

Please note: All products are 'FOR RESEARCH USE ONLY. NOT FOR USE IN DIAGNOSTIC OR THERAPEUTIC PROCEDURES'.

For licensing inquiries, please contact partnerships@abcam.com